PATOLOGIA PLEURAL DR. RENATO CASANOVA MENDOZA NEUMÓLOGO ASISITENTE DEL CENTRO MEDICO NAVAL. INSTITUTO DE INVESTIGACIÓN DE ENFERMEDADES RESPIRATORIAS CLÍNICA SAN GABRIEL. MIEMBRO DEL COMITÉ DE TUBERCULOSIS DE LA SOCIEDAD PERUANA DE NEUMOLOGÍA.  EX - RESIDENTE DEL HOSPITAL NACIONAL DOS DE MAYO. 2010
PATOLOGIA PLEURAL Es la alteración de la pleura en su estructura y función, especialmente debido a acumulo de  líquido, presencia de aire, crecimiento de neoplasias, etc.
PATOLOGIA PLEURAL Una clasificación general de la Patología Pleural está marcada por los Derrames Pleurales, Neumotórax, Hemotórax, Quilotórax, engrosamientos, calcificaciones y Tumores Pleurales.
 
ANATOMIA PLEURAL La pleura está formada por una capa de células mesoteliales que asienta sobre una membrana basal compuesta básicamente por colágeno, elastina, capilares sanguíneos y linfáticos.  Es una membrana muy fina que recubre al pulmón con sus cisuras, al mediastino, al diafragma y a la pared costal.
 
ANATOMIA PLEURAL Estructura de origen mesodérmico con dos capas: parietal y visceral. Histología: Capa de células mesoteliales sobre abundante elastina y fibras colágenas; una capa de glicoproteínas ricas en ácido hialurónico cubre el mesotelio. Drenaje linfático:  P. Parietal: lagunas submesoteliales (ruta más importante para reabsorción);  Inervaciòn: Pleura parietal ricamente inervada con fibras dolorosas
Pleura parietal Pleura visceral Irrigación sistémica Irrigación pulmonar y sistémica Estomas   Espacios  Lacunares    Linfaticos.
ANATOMIA PLEURAL La visceral envuelve superficie pulmonar excepto hilios. La parietal recubre superficie interior de pared torax. Capa visceral no tiene fibras sensibles a dolor. Capa parietal presenta fibras sensitivas. Estimulo doloroso en diafragma central (N.frenico) respuesta en  hombro ipsolateral. N.Intercostales que inervan pleura costal y periferia de diafragma provocan dolor en pared de torax adyacente.
Pleura parietal Pleura visceral Duele por recibir sensibilidad de los nervios intercostales No duele, origina reflejo de la tos al irritarse.
ANATOMIA PLEURAL En el espacio pleural hay una pequeña cantidad de líquido en sujetos normales (0.1-0.2 ml/Kg de peso corporal en humanos) que está en un equilibrio dinámico.  Este líquido lubrifica y facilita el acoplamiento del pulmón y la pared torácica.
ANATOMIA PLEURAL Las células mesoteliales no solo forman una capa de revestimiento sino también cumplen las siguientes funciones: Inflamatoria    Citoquinas, Factores quimiotacticos. Inmunológica    Macrófago. Reparadora    Fibrosis. Mecánica de fluidos    Secreción y reabsorción.
LÍQUIDO PLEURAL – PRESIONES Filtración 28 mmHg Pres. capilares 25 mmHg Pres. intrapleural (-) 3 mmHg Absorción 21 mmHg Pres. oncótica plasma - pleural 21 mmHg Filtración    07 mmHg
Mayor presión  intrapleural Menor presión intrapleural
DERRAME PLEURAL El DP se define, como la acumulación patológica de líquido en el espacio pleural; es el resultado de un desequilibrio entre la formación y la reabsorción de líquido a este nivel.
MECANISMOS RESPONSABLES DE LA ACUMULACIÓN DE LÍQUIDO EN EL ESPACIO PLEURAL Aumento de las presiones hidrostáticas:  Tiene importancia cuando se elevan las presiones capilares en la circulación pulmonar.  Descenso de la presión oncótica en la microcirculación:  Hipoalbuminemias. Descenso de la presión en el espacio pleural (o lo que es lo mismo, aumento de la presión negativa):  Atelectasia pulmonar importante.  Aumento de la permeabilidad en la microcirculación:  El aumento de permeabilidad podría iniciarse a través de la formación de anafilotoxinas producidas a partir de inmunocomplejos fagocitados por los polinucleares y macrófagos en el espacio pleural.
MECANISMOS RESPONSABLES DE LA ACUMULACIÓN DE LÍQUIDO EN EL ESPACIO PLEURAL Deterioro del drenaje linfático:  El bloqueo linfático puede producirse en la misma zona subpleural, o en el mediastino, y en ambos casos la reabsorción de líquido se verá seriamente comprometida.  Llegada de líquido desde el espacio peritoneal:  De forma casi invariable esto se produce a través de pequeñas comunicaciones transdiafragmáticas o  a traves de la producción de citocinas por un mesotelio pleural irritado a causa del proceso purulento vecino.
LÍQUIDO PLEURAL NORMAL Volumen 5 – 15 ml Células (mm 3 ) 1000 - 5000 % mesoteliales 3 – 70 % % linfócitos 2 – 30% % granulocitos 10% Proteínas 1 – 2 g/dl Glucosa 60% plasma DHL 50% plasma Renovación: 1 – 2 litros / dia
TIPOS DE DERRAMES PLEURALES Trasudado:  ICC, Sd. Nefrótico, obstrucción de la VCS, Cirrosis, diálisis peritoneal, Glomerulonefritis.  Exudado:  Empiema por gérmenes comunes, por TBC, por micosis sistémicas, tromboembolismo pulmonar, post cirugía (Esplenectomia, gastrectomía, trasplante cardio-pulmonar), pancreatitis, perforación de esófago, metástasis pleurales o neoplasias primarias de pleura, LES. AR, Uremia, post aortografía traslumbar, pulmón atrapado, Hemotórax, quilotórax.
VALORACION DEL LIQUIDO PLEURAL   TRASUDADO EXUDADO Aspecto Claro Claro, turbio o sanguinolento Proteínas:     Valor absoluto < 3.0 g/dl > 3.0 g/dl Relación líquido pleural/suero < 0.5 0.5
Deshidrogenasa láctica:     Valor absoluto < 200 UI/L >200 UI/L Relación líquido pleural/suero < 0.6 > 0.6 Glucosa > 60 mg/dl Variable a menudo < 60 mg/dl Leucocitos < 1000/ml > 1000/ml PMN < 50% Generalmente > 50% Hematíes < 5000/ml Variable
EFUSION PLEURAL : DIAGNOSTICO DIFERENCIAL TBC  EMPIEMA NEOPLASIA COLAGENOPATIA PH 7.3 < 7.0 <7.2 <7.2 DHL >200 >1000 >200 >200 Glucosa 40-60 <40 <40 <20 PMN N P N N LMN P N N N Alt c/n N N S N
MANIFESTACIONES CLINICAS Disnea.  Tos no productiva.  Expectoración: sugiere afección parenquimatosa. Dolor: es debido a inflamación de la pleura parietal inervada por ramas intercostales  o el nervio frénico Disminución de las VV. Disminución de la sonoridad la percusión: ayuda a localizar el borde superior del derrame.
MANIFESTACIONES CLINICAS Soplo pleurítico “ en E”. Hay hipersensibilidad en base pulmonar si el paciente está en posición vertical. Si la traquea se encuentra en posición central aun cuando existan grandes volúmenes de líquido pleural, sugiere obstrucción del árbol bronquial, pulmón atrapado o mediastino fijo por proceso inflamatorio o maligno.  Si la cantidad de líquido es menor de 150 ml esta confinado en una comisura interlobular, es difícil identificarlo
EFUSION PLEURAL : VALORACION Radiologia , Ecografia, Resonancia  magnetica  (RM),Tomografia axial  computarizada (TAC). Toracocentesis. Biopsia pleural. Enzimoinmunoanalisis. Videotoracoscopia.
MARCADORES BIOQUÍMICOS PROTEÍNAS:  Clasificar a los derrames en exudados y trasudados. DESHIDROGENASA LÁCTICA:  niveles muy altos se han asociado a derrames paraneumónicos complicados, pleuresía reumática y paragonimiasis pleural. La LDH-5 parece ser más específica de pleuresía maligna. GLUCOSA:  Su concentración en líquido pleural es similar a la plasmática, con un valor habitualmente mayor de 60 mg/dL. Se observa disminución en artritis reumatoidea, empiema, derrame maligno, pleuresía tuberculosa, pleuritis lúpica y ruptura esofágica.
MARCADORES BIOQUÍMICOS pH:  La acidosis del líquido pleural (pH<7,3) se ha encontrado en la ruptura esofágica, empiema, pleuresía reumática, y con un pH entre 7,00 y 7,29 las pleuresías malignas, tuberculosas y lúpicas. AMILASA:  La elevación de la amilasa en líquido pleural, por encima de valores séricos normales o un cociente líquido/plasma > 1,0 sugiere pancreatitis aguda, seudoquiste pancreático, ruptura esofágica, malignidad o ruptura de embarazo ectópico. TRIGLICÉRIDOS:  Los niveles de triglicéridos se han mostrado útiles en el diagnóstico de quilotórax.
MARCADORES BIOQUÍMICOS CREATININA:  La elevación de creatinina en líquido pleural puede ser útil en el diagnóstico de urinotórax. ÁCIDO HIALURÓNICO:  Su elevación en líquido pleural por encima de 100 mg/L es muy sugestiva de mesotelioma.  FACTOR REUMATOIDEO:  Su indicación debe responder a la sospecha clínica de pleuritis secundaria a artritis reumatoidea,  ANTICUERPOS ANTINUCLEARES:  Son sugestivos de derrames pleurales reumatoideos y lúpicos, respectivamente. MARCADORES TUMORALES:  El antígeno carcinoembrionario (CEA), de particular valor en el diagnóstico de los adenocarcinomas
MARCADORES BIOQUÍMICOS ADENOSINA DESAMINASA (ADA):  En pleuresías tuberculosas.  LISOZIMA (MURAMIDASA):  En las pleuritis tuberculosas,  empiema y artritis reumatoidea.
Otras pruebas del L.P. Cultivos : BK, Gérmenes comunes, hongos. Frotis de liquido pleural : GRAM, Z-N. PAP y BLOCK-CELLS del L.P. Biopsias pleurales: Estudio anatomopatológico y microbiológico de la muestra.
TRATAMIENTO Primero la causa básica o de fondo. Drenaje toráxico: Con aguja, con tubo toráxico, con sistemas de 3 cámaras, con válvula de Hemlich, etc. Pleurodesis : Tetraciclina, oxitetraciclina, talco. Derivaciones pleuro –peritoneales (válvula de Denver).
NEUMOTORAX Presencia de aire en el espacio pleural. Causas: Espontáneo o primario. A tensión. Secundarios: Ventilación mecánica, traumático, asociado al SIDA, por consumo de drogas inhaladas, iatrogénicos,  Ruptura de tubérculo subpleural, enfisema pulmonar, asma, fibrosis pulmonar .
MASAS PLEURALES Derrames localizados o tabicados. Mesoteliomas. Lipomas. Empiema organizado. Hematoma. Quiste mesotelial. Tumores neurales (Schwannoma, neurofibroma). Timomas. Placas pleurales (asbestosis).
METASTASIS PLEURALES Pulmón. Mama Linfomas Ovário Estómago Testículos. Desconocido (7%)
ETIOLOGÍA DEL EMPIEMA Derrame pleural paraneumónico en   terapia intensiva:  E mpiema . E . Salgado  Y épez   Medicina intensiva, vol. 18 nº 1 - 2001
CONARPE 2003 - ARGENTINA
 
SPP -  Estadíos evolutivos Estadío Días: I Exudativo 0 – 4  II Fibrinopurulento 2 – 21  III O rganizativo más de 21
Empiema Sin Tabicamiento     Hoff SJ. J Pediatr. Surg. 24(7); 659-63.1989 Foglia R P; J. Pediatrics Surg. 22 28-33. 1987 Manejo Ecografía y Punción TRATAMIENTO :
 
ESTADÍO FIBRINO PURULENTO   Empiema Tabicado Manejo : Toilette Pleural VADT  o Toracotomía
Estadío Organizativo Líquido escaso  Cáscara pleural - peel - Escoliosis, retracción Decorticación Tratamiento
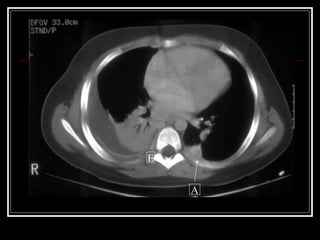
DERRAME PLEURAL DERECHO
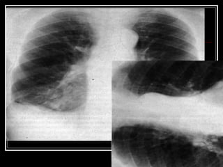
NEUMOTORAX DERECHO
 
 
 
 
 
 
DERRAME TABICADO
PAQUIPLEURITIS
 
E A
MESOTELIOMA MALIGNO
MESOTELIOMA BENIGNO O FIBROSO
TORACOSCOPIA:TUMOR INTRAPLEURAL
MUCHAS GRACIAS

Patologia pleural Dr.Casanova

  • 1.
    PATOLOGIA PLEURAL DR.RENATO CASANOVA MENDOZA NEUMÓLOGO ASISITENTE DEL CENTRO MEDICO NAVAL. INSTITUTO DE INVESTIGACIÓN DE ENFERMEDADES RESPIRATORIAS CLÍNICA SAN GABRIEL. MIEMBRO DEL COMITÉ DE TUBERCULOSIS DE LA SOCIEDAD PERUANA DE NEUMOLOGÍA. EX - RESIDENTE DEL HOSPITAL NACIONAL DOS DE MAYO. 2010
  • 2.
    PATOLOGIA PLEURAL Esla alteración de la pleura en su estructura y función, especialmente debido a acumulo de líquido, presencia de aire, crecimiento de neoplasias, etc.
  • 3.
    PATOLOGIA PLEURAL Unaclasificación general de la Patología Pleural está marcada por los Derrames Pleurales, Neumotórax, Hemotórax, Quilotórax, engrosamientos, calcificaciones y Tumores Pleurales.
  • 4.
  • 5.
    ANATOMIA PLEURAL Lapleura está formada por una capa de células mesoteliales que asienta sobre una membrana basal compuesta básicamente por colágeno, elastina, capilares sanguíneos y linfáticos. Es una membrana muy fina que recubre al pulmón con sus cisuras, al mediastino, al diafragma y a la pared costal.
  • 6.
  • 7.
    ANATOMIA PLEURAL Estructurade origen mesodérmico con dos capas: parietal y visceral. Histología: Capa de células mesoteliales sobre abundante elastina y fibras colágenas; una capa de glicoproteínas ricas en ácido hialurónico cubre el mesotelio. Drenaje linfático: P. Parietal: lagunas submesoteliales (ruta más importante para reabsorción); Inervaciòn: Pleura parietal ricamente inervada con fibras dolorosas
  • 8.
    Pleura parietal Pleuravisceral Irrigación sistémica Irrigación pulmonar y sistémica Estomas  Espacios Lacunares  Linfaticos.
  • 9.
    ANATOMIA PLEURAL Lavisceral envuelve superficie pulmonar excepto hilios. La parietal recubre superficie interior de pared torax. Capa visceral no tiene fibras sensibles a dolor. Capa parietal presenta fibras sensitivas. Estimulo doloroso en diafragma central (N.frenico) respuesta en hombro ipsolateral. N.Intercostales que inervan pleura costal y periferia de diafragma provocan dolor en pared de torax adyacente.
  • 10.
    Pleura parietal Pleuravisceral Duele por recibir sensibilidad de los nervios intercostales No duele, origina reflejo de la tos al irritarse.
  • 11.
    ANATOMIA PLEURAL Enel espacio pleural hay una pequeña cantidad de líquido en sujetos normales (0.1-0.2 ml/Kg de peso corporal en humanos) que está en un equilibrio dinámico. Este líquido lubrifica y facilita el acoplamiento del pulmón y la pared torácica.
  • 12.
    ANATOMIA PLEURAL Lascélulas mesoteliales no solo forman una capa de revestimiento sino también cumplen las siguientes funciones: Inflamatoria  Citoquinas, Factores quimiotacticos. Inmunológica  Macrófago. Reparadora  Fibrosis. Mecánica de fluidos  Secreción y reabsorción.
  • 13.
    LÍQUIDO PLEURAL –PRESIONES Filtración 28 mmHg Pres. capilares 25 mmHg Pres. intrapleural (-) 3 mmHg Absorción 21 mmHg Pres. oncótica plasma - pleural 21 mmHg Filtración  07 mmHg
  • 14.
    Mayor presión intrapleural Menor presión intrapleural
  • 15.
    DERRAME PLEURAL ElDP se define, como la acumulación patológica de líquido en el espacio pleural; es el resultado de un desequilibrio entre la formación y la reabsorción de líquido a este nivel.
  • 16.
    MECANISMOS RESPONSABLES DELA ACUMULACIÓN DE LÍQUIDO EN EL ESPACIO PLEURAL Aumento de las presiones hidrostáticas: Tiene importancia cuando se elevan las presiones capilares en la circulación pulmonar. Descenso de la presión oncótica en la microcirculación: Hipoalbuminemias. Descenso de la presión en el espacio pleural (o lo que es lo mismo, aumento de la presión negativa): Atelectasia pulmonar importante. Aumento de la permeabilidad en la microcirculación: El aumento de permeabilidad podría iniciarse a través de la formación de anafilotoxinas producidas a partir de inmunocomplejos fagocitados por los polinucleares y macrófagos en el espacio pleural.
  • 17.
    MECANISMOS RESPONSABLES DELA ACUMULACIÓN DE LÍQUIDO EN EL ESPACIO PLEURAL Deterioro del drenaje linfático: El bloqueo linfático puede producirse en la misma zona subpleural, o en el mediastino, y en ambos casos la reabsorción de líquido se verá seriamente comprometida. Llegada de líquido desde el espacio peritoneal: De forma casi invariable esto se produce a través de pequeñas comunicaciones transdiafragmáticas o a traves de la producción de citocinas por un mesotelio pleural irritado a causa del proceso purulento vecino.
  • 18.
    LÍQUIDO PLEURAL NORMALVolumen 5 – 15 ml Células (mm 3 ) 1000 - 5000 % mesoteliales 3 – 70 % % linfócitos 2 – 30% % granulocitos 10% Proteínas 1 – 2 g/dl Glucosa 60% plasma DHL 50% plasma Renovación: 1 – 2 litros / dia
  • 19.
    TIPOS DE DERRAMESPLEURALES Trasudado: ICC, Sd. Nefrótico, obstrucción de la VCS, Cirrosis, diálisis peritoneal, Glomerulonefritis. Exudado: Empiema por gérmenes comunes, por TBC, por micosis sistémicas, tromboembolismo pulmonar, post cirugía (Esplenectomia, gastrectomía, trasplante cardio-pulmonar), pancreatitis, perforación de esófago, metástasis pleurales o neoplasias primarias de pleura, LES. AR, Uremia, post aortografía traslumbar, pulmón atrapado, Hemotórax, quilotórax.
  • 20.
    VALORACION DEL LIQUIDOPLEURAL   TRASUDADO EXUDADO Aspecto Claro Claro, turbio o sanguinolento Proteínas:     Valor absoluto < 3.0 g/dl > 3.0 g/dl Relación líquido pleural/suero < 0.5 0.5
  • 21.
    Deshidrogenasa láctica:    Valor absoluto < 200 UI/L >200 UI/L Relación líquido pleural/suero < 0.6 > 0.6 Glucosa > 60 mg/dl Variable a menudo < 60 mg/dl Leucocitos < 1000/ml > 1000/ml PMN < 50% Generalmente > 50% Hematíes < 5000/ml Variable
  • 22.
    EFUSION PLEURAL :DIAGNOSTICO DIFERENCIAL TBC EMPIEMA NEOPLASIA COLAGENOPATIA PH 7.3 < 7.0 <7.2 <7.2 DHL >200 >1000 >200 >200 Glucosa 40-60 <40 <40 <20 PMN N P N N LMN P N N N Alt c/n N N S N
  • 23.
    MANIFESTACIONES CLINICAS Disnea. Tos no productiva. Expectoración: sugiere afección parenquimatosa. Dolor: es debido a inflamación de la pleura parietal inervada por ramas intercostales o el nervio frénico Disminución de las VV. Disminución de la sonoridad la percusión: ayuda a localizar el borde superior del derrame.
  • 24.
    MANIFESTACIONES CLINICAS Soplopleurítico “ en E”. Hay hipersensibilidad en base pulmonar si el paciente está en posición vertical. Si la traquea se encuentra en posición central aun cuando existan grandes volúmenes de líquido pleural, sugiere obstrucción del árbol bronquial, pulmón atrapado o mediastino fijo por proceso inflamatorio o maligno. Si la cantidad de líquido es menor de 150 ml esta confinado en una comisura interlobular, es difícil identificarlo
  • 25.
    EFUSION PLEURAL :VALORACION Radiologia , Ecografia, Resonancia magnetica (RM),Tomografia axial computarizada (TAC). Toracocentesis. Biopsia pleural. Enzimoinmunoanalisis. Videotoracoscopia.
  • 26.
    MARCADORES BIOQUÍMICOS PROTEÍNAS: Clasificar a los derrames en exudados y trasudados. DESHIDROGENASA LÁCTICA: niveles muy altos se han asociado a derrames paraneumónicos complicados, pleuresía reumática y paragonimiasis pleural. La LDH-5 parece ser más específica de pleuresía maligna. GLUCOSA: Su concentración en líquido pleural es similar a la plasmática, con un valor habitualmente mayor de 60 mg/dL. Se observa disminución en artritis reumatoidea, empiema, derrame maligno, pleuresía tuberculosa, pleuritis lúpica y ruptura esofágica.
  • 27.
    MARCADORES BIOQUÍMICOS pH: La acidosis del líquido pleural (pH<7,3) se ha encontrado en la ruptura esofágica, empiema, pleuresía reumática, y con un pH entre 7,00 y 7,29 las pleuresías malignas, tuberculosas y lúpicas. AMILASA: La elevación de la amilasa en líquido pleural, por encima de valores séricos normales o un cociente líquido/plasma > 1,0 sugiere pancreatitis aguda, seudoquiste pancreático, ruptura esofágica, malignidad o ruptura de embarazo ectópico. TRIGLICÉRIDOS: Los niveles de triglicéridos se han mostrado útiles en el diagnóstico de quilotórax.
  • 28.
    MARCADORES BIOQUÍMICOS CREATININA: La elevación de creatinina en líquido pleural puede ser útil en el diagnóstico de urinotórax. ÁCIDO HIALURÓNICO: Su elevación en líquido pleural por encima de 100 mg/L es muy sugestiva de mesotelioma. FACTOR REUMATOIDEO: Su indicación debe responder a la sospecha clínica de pleuritis secundaria a artritis reumatoidea, ANTICUERPOS ANTINUCLEARES: Son sugestivos de derrames pleurales reumatoideos y lúpicos, respectivamente. MARCADORES TUMORALES: El antígeno carcinoembrionario (CEA), de particular valor en el diagnóstico de los adenocarcinomas
  • 29.
    MARCADORES BIOQUÍMICOS ADENOSINADESAMINASA (ADA): En pleuresías tuberculosas. LISOZIMA (MURAMIDASA): En las pleuritis tuberculosas, empiema y artritis reumatoidea.
  • 30.
    Otras pruebas delL.P. Cultivos : BK, Gérmenes comunes, hongos. Frotis de liquido pleural : GRAM, Z-N. PAP y BLOCK-CELLS del L.P. Biopsias pleurales: Estudio anatomopatológico y microbiológico de la muestra.
  • 31.
    TRATAMIENTO Primero lacausa básica o de fondo. Drenaje toráxico: Con aguja, con tubo toráxico, con sistemas de 3 cámaras, con válvula de Hemlich, etc. Pleurodesis : Tetraciclina, oxitetraciclina, talco. Derivaciones pleuro –peritoneales (válvula de Denver).
  • 32.
    NEUMOTORAX Presencia deaire en el espacio pleural. Causas: Espontáneo o primario. A tensión. Secundarios: Ventilación mecánica, traumático, asociado al SIDA, por consumo de drogas inhaladas, iatrogénicos, Ruptura de tubérculo subpleural, enfisema pulmonar, asma, fibrosis pulmonar .
  • 33.
    MASAS PLEURALES Derrameslocalizados o tabicados. Mesoteliomas. Lipomas. Empiema organizado. Hematoma. Quiste mesotelial. Tumores neurales (Schwannoma, neurofibroma). Timomas. Placas pleurales (asbestosis).
  • 34.
    METASTASIS PLEURALES Pulmón.Mama Linfomas Ovário Estómago Testículos. Desconocido (7%)
  • 35.
    ETIOLOGÍA DEL EMPIEMADerrame pleural paraneumónico en terapia intensiva: E mpiema . E . Salgado Y épez Medicina intensiva, vol. 18 nº 1 - 2001
  • 36.
    CONARPE 2003 -ARGENTINA
  • 37.
  • 38.
    SPP - Estadíos evolutivos Estadío Días: I Exudativo 0 – 4 II Fibrinopurulento 2 – 21 III O rganizativo más de 21
  • 39.
    Empiema Sin Tabicamiento Hoff SJ. J Pediatr. Surg. 24(7); 659-63.1989 Foglia R P; J. Pediatrics Surg. 22 28-33. 1987 Manejo Ecografía y Punción TRATAMIENTO :
  • 40.
  • 41.
    ESTADÍO FIBRINO PURULENTO Empiema Tabicado Manejo : Toilette Pleural VADT o Toracotomía
  • 42.
    Estadío Organizativo Líquidoescaso Cáscara pleural - peel - Escoliosis, retracción Decorticación Tratamiento
  • 43.
  • 44.
  • 45.
  • 46.
  • 47.
  • 48.
  • 49.
  • 50.
  • 51.
  • 52.
  • 53.
  • 54.
  • 55.
  • 56.
  • 57.
  • 58.