HÁBITOS EN ORTODONCIA
INTEGRANTES:
•CAMARENA CRISOSTOMO CECILIA
• MARTINEZ BARBARAN MARGOT
• POMA VILA SARITA
• TAIPE ORIHUELA CRIS
Hábitos Bucales
• Un hábito puede ser definido como la
costumbre o práctica adquirida por la
repetición frecuente de un mismo acto,
que en un principio se hace de forma
consciente y luego de modo inconsciente,
como: hábitos fisiológicos y no
fisiológicos.
• Los hábitos bucales son de indudable
causa primaria o secundaria de
maloclusiones o deformaciones
dentomaxilofaciales. Suelen
considerarse reacciones automáticas
que pueden manifestarse en
momentos de estrés, frustración,
fatiga o aburrimiento.
A) Hábitos Fisiológicos: son aquellos
que nacen con el individuo (mecanismo
de succión, movimientos corporales,
deglución y respiración nasal)
B) Hábitos no fisiológicos: son
aquellos que ejercen fuerzas perniciosas
contra los dientes, arcos dentarios y
tejidos blandos, entre los cuales
tenemos la succión del dedo, deglución
atípica y la respiración bucal.
Los hábitos no fisiológicos
• Son uno de los principales factores
etiológicos causantes de maloclusiones o
deformaciones dentoesqueléticas, los
cuales pueden alterar el desarrollo normal
del sistema estomatognático y causar un
desequilibrio entre fuerzas musculares
orales y periorales, lo que conlleva al final
a una deformación ósea que va a tener
mayor o menor repercusión según la edad
en que se inicia el habito.
Estos hábitos no fisiológicos
pueden generar:
• Mordida abierta anterior y de laterales.
• Protrusiones dentarias.
• Protrusiones dento alveolares.
• Linguoversiones dentarias.
Deglución Atípica
• La deglución atípica, llamada también
interposición lingual, se produce si
persiste el patrón de deglución infantil
luego de la erupción de los dientes
anteriores.
Se caracteriza por la
interposición de la lengua entre
las arcadas dentarias en el acto
de deglutir, esto es lo que se
denomina lengua protráctil.
Etiología
• La prolongación de la alimentación artificial
por medio del biberón.
• Amígdalas inflamadas.
• Desequilibrio del control nervioso.
• Macroglosia.
• Pérdida temprana de los dientes temporales
anteriores y presencia de un diastema
interincisal grande.
• Factores simbióticos como la respiración
bucal, hábito de succión digital.
Efectos bucales de la deglución
atípica:
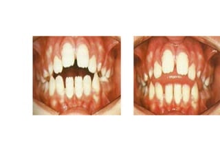
• Mordida abierta anterior simétrica.
• Protrusión de dientes anterosuperiores y aparición
de diastemas.
• Labio superior hipotónico e inferior hipertónico
• Hipertonicidad de la borla de mentón.
• Hiperactividad de los músculos de la masticación.
• Inhibición del crecimiento vertical del proceso
alveolar.
• Incompetencia labial.
• Problemas fonéticos.
• Mordida abierta anterior.
deglución normal
deglución atípica
Diagnóstico
• Posición atípica de la lengua
• Falta de contracción de los maseteros
• Participación de la musculatura perioral con
presión del labio y movimiento con la cabeza
• Tamaño y tonicidad de la lengua
• Babeo nocturno dificultad de ingerir
alimentos sólidos
• Alteración en la fonación.
• Acumular saliva al hablar.
Tipos
Deglución con interposición lingual simple:
• Se caracteriza por la contracción de los
labios, músculos mentonianos y elevadores
de la mandíbula.
• Dientes en oclusión, mientras la lengua se
encuentra protruida en la mordida abierta.
• Mordida abierta muy circunscrita.
• Generalmente, niños respiradores nasales
con hábito de succión digital.
• Presentan buen ajuste oclusal y buena
intercuspidación aunque éste presente la
maloclusión
Deglución con interposición lingual
compleja:
• Contracciones de los labios y de los músculos
faciales y mentoniano.
• Ninguna contracción de los músculos
• Interposición de la lengua entre los dientes y
deglución con los dientes separados.
• Mordida abierta generalmente más difusa y
difícil de definir.
• En muchas ocasiones, no presenta mordida
abierta.
• Inestabilidad en la intercuspidación.
• Generalmente , respiradores bucales y casi
siempre con antecedentes de enfermedad
respiratoria crónica o alergias.
Deglución infantil persistente:
• Persistencia predominante del reflejo de
deglución infantil posterupción de los dientes
permanentes.
• Fuertes contracciones de los labios y de la
musculatura facial.
• Interposición de la lengua entre los dientes,
tanto en aparte anterior como lateralmente.
• Musculaturas facial y bucal tensas, fuertes
contracciones del musculo buccinador-
• Los pacientes presentan serias dificultades
en la masticación, ya que los dientes casi
siempre sólo ocluyen sobre un molar de cada
cuadrante.
Deglución con presión atípica de
la lengua
• En pacientes con este tipo de problemas, en el
momento de deglutir los dientes no entran en
contacto.
Tipo I: no causa deformación
Tipo II con presión lingual anterior: la lengua
durante la deglución ejerce presión sobre los
dientes anteriores por lingual o entre ellos.
Las deformaciones son:
• Mordida abierta anterior.
• Mordida abierta y vestíbuloversión.
• Mordida abierta anterior, vestibuloversión y
mordida cruzada posterior
Deglución con presión atípica de la
lengua
• Tipo III: con presión lingual lateral.
La presión lingual se realiza en la región lateral
del arco, a la altura de los premolares, con
obtención de apoyo entre estos dientes del arco
superior e inferior.
Deformaciones resultantes son:
Mordida abierta lateral
Mordida abierta lateral y mordida cruzada
Deglución con presión atípica de la
lengua
Tipo IV: con presión lingual anterios y lateral
Las maloclusiones resultantes son:
Mordida abierta anterior y lateral
Mordida abierta anterior y lateral con
vestibuloversión.
Mordida abierta anterior y lateral con
vestibuloversión y mordida cruzada posterior.
Succión Digital
• Se conoce como succión digital al hábito que
consiste en introducir uno o más dedos
(generalmente el pulgar) en la cavidad oral,
Etiología
• Larson considera la lactancia artificial como
agente etiológico de la succión no nutritiva,
debido a que con frecuencia es más breve y
requiere de un menor esfuerzos físicos; al no
fatigar al bebe impide su adormecimiento
por cansancio y no agota todo su instinto
natural de succión. Los hábitos de succión
tardía son el resultado de frustraciones
psicológicas debidas a contratiempos tanto
escolares como familiares.
Tipos de hábitos de succión Digital:
• Succión del pulgar: Consiste en introducir el
dedo pulgar dentro de la cavidad oral.
• Succión de otros dedos. Consiste de igual
forma introducir otros dedos diferentes al
anterior ya mencionado en la cavidad bucal.
(índice, índice y medio, medio y anular, varios
dedos).
Consecuencias de la succión digital
• Protrusión de los incisivos superiores ( Con o sin
presencia de diastema).
• Retroinclinación de los incisivos inferiores.
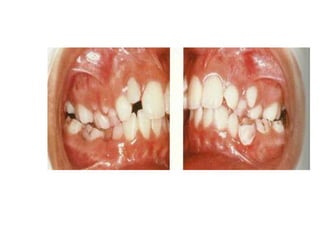
• Mordida abierta anterior.
• Prognatismo Alveolar Superior.
• Estrechamiento del arcada superior ( Debido
principalmente a la acción del musculo
buccinador).
• Mordida cruzada posterior.
• Dimensión vertical aumentada.
Succión labial
• -Se presenta en las maloclusiones que van
acompañadas de un gran resalte incisivo
• -También puede aparecer como una variante
o sustitución de la succión digital
• -Frecuentemente el labio inferior es el que
está implicado.
• Efectos Típicos: la interposición repetida del
labio inferior entre ambos incisivos da como
resultado una protrusión superior; una
lingualización del frente incisivo mandibular;
incremento del resalte y una mordida
abierta anterior.
Succión de chupete
• Frecuente en la mayoría de los niños menores
de dos años durante la dentición temporal.
• Asociado con la presencia de mordida abierta
anterior y a menudo con una mordida
cruzada posterior.
Respiración bucal
• Cualquier obstáculo para la respiración nasal
deriva en respiración por la boca. En estos
casos la lengua adopta una posición
descendida para permitir el paso del flujo del
aire.
• Por obstrucción funcional o anatómica.
• Por Hábito.
Este fenómeno acarrea dos consecuencias:
1. Por una parte provoca una falta de
crecimiento transversal del maxilar
superior al quedar sometido a las
fuerzas centrípetas de la musculatura
mímica, especialmente del musculo
buccinador.
2. La lengua descendida está asociada con
un crecimiento rotacional posterior de
la mandíbula con apertura del eje facial
y aumento de altura facial inferior.
Etiología de respiración oral
• Amígdalas palatinas hipertróficas.
• Adenoides Hipertróficas.
• Presencia de Pólipos Nasales.
• Rinitis Alérgicas.
• Desviación del tabique nasal.
• Hipertrofia idiopática de los cornetes.
• Asmas y Bronquitis.
• Inflamación de la mucosa por infecciones o
alergias.
Características más resaltantes de la
respiración bucal
• Cara larga (mayor altura del tercio inferior
de la cara).
• Depresión malar.
• Tercio inferior aumentado.
• Resequedad e incompetencia labial .
• Un paladar ojival ya sea en forma de V ó U.
• Mordida abierta anterior.
• Mordida cruzada posterior .
• Colapso del maxilar superior.
• Gingivitis.
• Elevación de la base de la nariz (que presentara su
punta elevada, permitiendo una observación
frontal de las narinas, que serán estrechas).
• Maxilar superior protruído.
• Vestibularización de los incisivos superiores, gran
resalte.
• Retrusión maxilar.
• Incisivos inferiores lingualizados y apiñados.
• Lengua en posición atípica, ubicándose en el piso
de la cavidad bucal o entre los dientes.
• Déficit de neumatización de los senos.
• Modificación de la posición de la cabeza.
• Predisposición a una pronunciación mala (ceceo
debido a una protrusión lingual).
Maloclusiones más frecuentes
causadas por la Respiración Bucal
•
Alteraciones en el Plano Sagital:
• Clase II división 1
• Clase III
• Alteraciones en el Plano Transversal:
Mordida Cruzada Posterior:
Alteraciones en el Plano Vertical:
• Patrones dolicofaciales
• Altura facial inferior aumentada
• Extrusión de piezas dentarias
• Mordida Abierta Anterior
Habito de postura
• La deformación de los arcos también ser
causadas por las presiones anormales de la
postura la dormir o sentarse.
• El tiempo de maloclusión ocasionado por
este habito es generalmente unilateral o
localizado en el arco superior.
Lo que ocurre es lo siguiente:
• El peso de la cabeza pasa tejidos de la región
malar y se localiza allí por la acción de la mano o
el brazo.
Las estructuras de la mandíbula no se perjudican
porque el hueso es móvil se libra de las presiones
deslizándose.
Los dientes de la maxila, entonces experimentan
una inclinación hacia palatino, ocasionando una
mordida cruzada posterior unilateral, sin desvió
de la línea media.
Habito de onicofagia
• El habito de roer la uñas, es generalmente una
sustitución del acto de succionar el dedo o el
chupón.
• No se debe reprender porque normalmente
esta vinculado a graves disturbios
emocionales y no causa problemas de
oclusión ya que solo produce presión en el eje
longitudinal de los diente.
• Sin embargo algunos autores creen
que interfiere en el desarrollo normal
de la cara ya que puede tener como
consecuencia dependiendo de la
frecuencia de intensidad crecimiento
vertical de la cara surgiendo mordida
cruzada anterior.
Conclusiones
• Los hábitos bucales no fisiológicos son
responsables de una gran cantidad de
maloclusiones en pacientes que se
encuentran en etapa de crecimiento, por
consiguiente, todo lo que hagamos para
interceptar y erradicar oportunamente
dichos hábitos redundará en un
desarrollo armónico y funcional del
sistema estomatognático.
EPIDEMIOLOGIA
RELACIÓN ENTRE HÁBITOS NOCIVOS Y
MALOCLUSIONES EN UNA MUESTRA DE 525
PACIENTES DE ORTODONCIA DE 5 - 15 AÑOS
1998- 2005
• RESUMEN La literatura refleja la influencia de
ciertos hábitos orales nocivos en el desarrollo
de las maloclusiones. Para comprobar la
influencia de las unas sobre las otras y la
relación entre distintas maloclusiones, se
realizó un estudio descriptivo transversal de
525 historias clínicas escogidas al azar de
pacientes que acudieron al servicio de
Ortodoncia del Hospital San Rafael de Madrid
• RESPIRADOR ORAL
• 1. Hubo mayor porcentaje de pacientes con
interposición lingual (p<0.004) y deglución
atípica (p<0.007) en pacientes que eran
respiradores orales.
• 2. Hubo mayor porcentaje de pacientes con
mordida abierta (p<0.0001) entre los
respiradores orales. Asimismo la
sobremordida está disminuida (p<0.010) en
pacientes respiradores orales.
• DEGLUCIÓN ATÍPICA
• 1. Está relacionada con una disminución de la
sobremordida (p<0.0001) y por tanto, con la
aparición de la mordida abierta anterior
(p<0.0001).
• INTERPOSICIÓN LINGUAL
• 1. Al igual que la deglución atípica está
relacionada con una disminución de la
sobremordida (p<0.0001) y aparición de
mordida abierta anterior (p<0.0001).
• 2. También está relacionada con una
disminución del resalte (p<0.002).
• INTERPOSICIÓN LABIAL
• 1. Está inversamente relacionada con la aparición
de mordida cruzada (p<0.0001).
•
• ONICOFAGIA
• 1. Está relacionada con un aumento de la
mordida en tijera (p<0.003).
•
• SUCCIÓN DIGITAL
• 1. Está relacionado con una disminución de la
sobremordida (p<0.006).
• CLASE CANINA
• 1. Tiene correlación con la clase molar
(p<0.0001).
•
• MORDIDA CRUZADA
• 1. Está relacionada con una disminución del
resalte (p<0.0001) y la sobremordida
(p<0.0001).
• 2. Aparece más en clases II y III que en clases I,
tanto molares (p<0.003) como esqueléticas
(p<0.001).
• MORDIDA ABIERTA
• 1. Está relacionada con una disminución del resalte
(p<0.001) y la sobremordida (p<0.0001).
•
• SOBREMORDIDA
• 1. A mayor resalte, mayor sobremordida (p<0.0001).
• 2. Hay mayor proporción de dientes incluidos en
pacientes con mayores sobremordidas (p<0.004).
•
• DIENTES INCLUIDOS
• 1. Hay mayor proporción de dientes incluidos en
pacientes con dientes supernumerarios, ya que estos
tienden a no erupcionar (p<0.0001).
• CLASE ESQUELETICA
• 1. Hay una correlación con la clase molar
(p<0.0001).
• DISCUSIÓN SUCCIÓN DIGITAL DIFERENCIA ENTRE
SEXOS: Diversos estudios han mostrado una
mayor prevalencia del hábito de succión digital
en las niñas: Larsson (9), Bardolet (10),
Domínguez Reyes (11), en escolares españoles; e
incluso un hábito más persistente y una mayor
necesidad de tratamiento en el sexo femenino
(9,12);
gracias

Hábitos en ortodoncia (ii)

  • 1.
    HÁBITOS EN ORTODONCIA INTEGRANTES: •CAMARENACRISOSTOMO CECILIA • MARTINEZ BARBARAN MARGOT • POMA VILA SARITA • TAIPE ORIHUELA CRIS
  • 2.
    Hábitos Bucales • Unhábito puede ser definido como la costumbre o práctica adquirida por la repetición frecuente de un mismo acto, que en un principio se hace de forma consciente y luego de modo inconsciente, como: hábitos fisiológicos y no fisiológicos.
  • 3.
    • Los hábitosbucales son de indudable causa primaria o secundaria de maloclusiones o deformaciones dentomaxilofaciales. Suelen considerarse reacciones automáticas que pueden manifestarse en momentos de estrés, frustración, fatiga o aburrimiento.
  • 4.
    A) Hábitos Fisiológicos:son aquellos que nacen con el individuo (mecanismo de succión, movimientos corporales, deglución y respiración nasal) B) Hábitos no fisiológicos: son aquellos que ejercen fuerzas perniciosas contra los dientes, arcos dentarios y tejidos blandos, entre los cuales tenemos la succión del dedo, deglución atípica y la respiración bucal.
  • 5.
    Los hábitos nofisiológicos • Son uno de los principales factores etiológicos causantes de maloclusiones o deformaciones dentoesqueléticas, los cuales pueden alterar el desarrollo normal del sistema estomatognático y causar un desequilibrio entre fuerzas musculares orales y periorales, lo que conlleva al final a una deformación ósea que va a tener mayor o menor repercusión según la edad en que se inicia el habito.
  • 6.
    Estos hábitos nofisiológicos pueden generar: • Mordida abierta anterior y de laterales. • Protrusiones dentarias. • Protrusiones dento alveolares. • Linguoversiones dentarias.
  • 7.
    Deglución Atípica • Ladeglución atípica, llamada también interposición lingual, se produce si persiste el patrón de deglución infantil luego de la erupción de los dientes anteriores.
  • 8.
    Se caracteriza porla interposición de la lengua entre las arcadas dentarias en el acto de deglutir, esto es lo que se denomina lengua protráctil.
  • 9.
    Etiología • La prolongaciónde la alimentación artificial por medio del biberón. • Amígdalas inflamadas. • Desequilibrio del control nervioso. • Macroglosia. • Pérdida temprana de los dientes temporales anteriores y presencia de un diastema interincisal grande. • Factores simbióticos como la respiración bucal, hábito de succión digital.
  • 11.
    Efectos bucales dela deglución atípica: • Mordida abierta anterior simétrica. • Protrusión de dientes anterosuperiores y aparición de diastemas. • Labio superior hipotónico e inferior hipertónico • Hipertonicidad de la borla de mentón. • Hiperactividad de los músculos de la masticación. • Inhibición del crecimiento vertical del proceso alveolar. • Incompetencia labial. • Problemas fonéticos. • Mordida abierta anterior.
  • 12.
  • 13.
    Diagnóstico • Posición atípicade la lengua • Falta de contracción de los maseteros • Participación de la musculatura perioral con presión del labio y movimiento con la cabeza • Tamaño y tonicidad de la lengua • Babeo nocturno dificultad de ingerir alimentos sólidos • Alteración en la fonación. • Acumular saliva al hablar.
  • 14.
    Tipos Deglución con interposiciónlingual simple: • Se caracteriza por la contracción de los labios, músculos mentonianos y elevadores de la mandíbula. • Dientes en oclusión, mientras la lengua se encuentra protruida en la mordida abierta. • Mordida abierta muy circunscrita. • Generalmente, niños respiradores nasales con hábito de succión digital. • Presentan buen ajuste oclusal y buena intercuspidación aunque éste presente la maloclusión
  • 15.
    Deglución con interposiciónlingual compleja: • Contracciones de los labios y de los músculos faciales y mentoniano. • Ninguna contracción de los músculos • Interposición de la lengua entre los dientes y deglución con los dientes separados. • Mordida abierta generalmente más difusa y difícil de definir. • En muchas ocasiones, no presenta mordida abierta. • Inestabilidad en la intercuspidación. • Generalmente , respiradores bucales y casi siempre con antecedentes de enfermedad respiratoria crónica o alergias.
  • 16.
    Deglución infantil persistente: •Persistencia predominante del reflejo de deglución infantil posterupción de los dientes permanentes. • Fuertes contracciones de los labios y de la musculatura facial. • Interposición de la lengua entre los dientes, tanto en aparte anterior como lateralmente. • Musculaturas facial y bucal tensas, fuertes contracciones del musculo buccinador- • Los pacientes presentan serias dificultades en la masticación, ya que los dientes casi siempre sólo ocluyen sobre un molar de cada cuadrante.
  • 17.
    Deglución con presiónatípica de la lengua • En pacientes con este tipo de problemas, en el momento de deglutir los dientes no entran en contacto. Tipo I: no causa deformación Tipo II con presión lingual anterior: la lengua durante la deglución ejerce presión sobre los dientes anteriores por lingual o entre ellos.
  • 18.
    Las deformaciones son: •Mordida abierta anterior. • Mordida abierta y vestíbuloversión. • Mordida abierta anterior, vestibuloversión y mordida cruzada posterior
  • 19.
    Deglución con presiónatípica de la lengua • Tipo III: con presión lingual lateral. La presión lingual se realiza en la región lateral del arco, a la altura de los premolares, con obtención de apoyo entre estos dientes del arco superior e inferior. Deformaciones resultantes son: Mordida abierta lateral Mordida abierta lateral y mordida cruzada
  • 20.
    Deglución con presiónatípica de la lengua Tipo IV: con presión lingual anterios y lateral Las maloclusiones resultantes son: Mordida abierta anterior y lateral Mordida abierta anterior y lateral con vestibuloversión. Mordida abierta anterior y lateral con vestibuloversión y mordida cruzada posterior.
  • 21.
    Succión Digital • Seconoce como succión digital al hábito que consiste en introducir uno o más dedos (generalmente el pulgar) en la cavidad oral,
  • 22.
    Etiología • Larson considerala lactancia artificial como agente etiológico de la succión no nutritiva, debido a que con frecuencia es más breve y requiere de un menor esfuerzos físicos; al no fatigar al bebe impide su adormecimiento por cansancio y no agota todo su instinto natural de succión. Los hábitos de succión tardía son el resultado de frustraciones psicológicas debidas a contratiempos tanto escolares como familiares.
  • 23.
    Tipos de hábitosde succión Digital: • Succión del pulgar: Consiste en introducir el dedo pulgar dentro de la cavidad oral. • Succión de otros dedos. Consiste de igual forma introducir otros dedos diferentes al anterior ya mencionado en la cavidad bucal. (índice, índice y medio, medio y anular, varios dedos).
  • 24.
    Consecuencias de lasucción digital • Protrusión de los incisivos superiores ( Con o sin presencia de diastema). • Retroinclinación de los incisivos inferiores. • Mordida abierta anterior. • Prognatismo Alveolar Superior. • Estrechamiento del arcada superior ( Debido principalmente a la acción del musculo buccinador). • Mordida cruzada posterior. • Dimensión vertical aumentada.
  • 25.
    Succión labial • -Sepresenta en las maloclusiones que van acompañadas de un gran resalte incisivo • -También puede aparecer como una variante o sustitución de la succión digital • -Frecuentemente el labio inferior es el que está implicado. • Efectos Típicos: la interposición repetida del labio inferior entre ambos incisivos da como resultado una protrusión superior; una lingualización del frente incisivo mandibular; incremento del resalte y una mordida abierta anterior.
  • 26.
    Succión de chupete •Frecuente en la mayoría de los niños menores de dos años durante la dentición temporal. • Asociado con la presencia de mordida abierta anterior y a menudo con una mordida cruzada posterior.
  • 27.
    Respiración bucal • Cualquierobstáculo para la respiración nasal deriva en respiración por la boca. En estos casos la lengua adopta una posición descendida para permitir el paso del flujo del aire. • Por obstrucción funcional o anatómica. • Por Hábito.
  • 29.
    Este fenómeno acarreados consecuencias: 1. Por una parte provoca una falta de crecimiento transversal del maxilar superior al quedar sometido a las fuerzas centrípetas de la musculatura mímica, especialmente del musculo buccinador. 2. La lengua descendida está asociada con un crecimiento rotacional posterior de la mandíbula con apertura del eje facial y aumento de altura facial inferior.
  • 30.
    Etiología de respiraciónoral • Amígdalas palatinas hipertróficas. • Adenoides Hipertróficas. • Presencia de Pólipos Nasales. • Rinitis Alérgicas. • Desviación del tabique nasal. • Hipertrofia idiopática de los cornetes. • Asmas y Bronquitis. • Inflamación de la mucosa por infecciones o alergias.
  • 32.
    Características más resaltantesde la respiración bucal • Cara larga (mayor altura del tercio inferior de la cara). • Depresión malar. • Tercio inferior aumentado. • Resequedad e incompetencia labial . • Un paladar ojival ya sea en forma de V ó U. • Mordida abierta anterior. • Mordida cruzada posterior . • Colapso del maxilar superior. • Gingivitis.
  • 33.
    • Elevación dela base de la nariz (que presentara su punta elevada, permitiendo una observación frontal de las narinas, que serán estrechas). • Maxilar superior protruído. • Vestibularización de los incisivos superiores, gran resalte. • Retrusión maxilar. • Incisivos inferiores lingualizados y apiñados. • Lengua en posición atípica, ubicándose en el piso de la cavidad bucal o entre los dientes. • Déficit de neumatización de los senos. • Modificación de la posición de la cabeza. • Predisposición a una pronunciación mala (ceceo debido a una protrusión lingual).
  • 34.
    Maloclusiones más frecuentes causadaspor la Respiración Bucal • Alteraciones en el Plano Sagital: • Clase II división 1 • Clase III • Alteraciones en el Plano Transversal: Mordida Cruzada Posterior: Alteraciones en el Plano Vertical: • Patrones dolicofaciales • Altura facial inferior aumentada • Extrusión de piezas dentarias • Mordida Abierta Anterior
  • 36.
    Habito de postura •La deformación de los arcos también ser causadas por las presiones anormales de la postura la dormir o sentarse. • El tiempo de maloclusión ocasionado por este habito es generalmente unilateral o localizado en el arco superior.
  • 37.
    Lo que ocurrees lo siguiente: • El peso de la cabeza pasa tejidos de la región malar y se localiza allí por la acción de la mano o el brazo. Las estructuras de la mandíbula no se perjudican porque el hueso es móvil se libra de las presiones deslizándose. Los dientes de la maxila, entonces experimentan una inclinación hacia palatino, ocasionando una mordida cruzada posterior unilateral, sin desvió de la línea media.
  • 39.
    Habito de onicofagia •El habito de roer la uñas, es generalmente una sustitución del acto de succionar el dedo o el chupón. • No se debe reprender porque normalmente esta vinculado a graves disturbios emocionales y no causa problemas de oclusión ya que solo produce presión en el eje longitudinal de los diente.
  • 41.
    • Sin embargoalgunos autores creen que interfiere en el desarrollo normal de la cara ya que puede tener como consecuencia dependiendo de la frecuencia de intensidad crecimiento vertical de la cara surgiendo mordida cruzada anterior.
  • 42.
    Conclusiones • Los hábitosbucales no fisiológicos son responsables de una gran cantidad de maloclusiones en pacientes que se encuentran en etapa de crecimiento, por consiguiente, todo lo que hagamos para interceptar y erradicar oportunamente dichos hábitos redundará en un desarrollo armónico y funcional del sistema estomatognático.
  • 43.
    EPIDEMIOLOGIA RELACIÓN ENTRE HÁBITOSNOCIVOS Y MALOCLUSIONES EN UNA MUESTRA DE 525 PACIENTES DE ORTODONCIA DE 5 - 15 AÑOS 1998- 2005 • RESUMEN La literatura refleja la influencia de ciertos hábitos orales nocivos en el desarrollo de las maloclusiones. Para comprobar la influencia de las unas sobre las otras y la relación entre distintas maloclusiones, se realizó un estudio descriptivo transversal de 525 historias clínicas escogidas al azar de pacientes que acudieron al servicio de Ortodoncia del Hospital San Rafael de Madrid
  • 44.
    • RESPIRADOR ORAL •1. Hubo mayor porcentaje de pacientes con interposición lingual (p<0.004) y deglución atípica (p<0.007) en pacientes que eran respiradores orales. • 2. Hubo mayor porcentaje de pacientes con mordida abierta (p<0.0001) entre los respiradores orales. Asimismo la sobremordida está disminuida (p<0.010) en pacientes respiradores orales.
  • 45.
    • DEGLUCIÓN ATÍPICA •1. Está relacionada con una disminución de la sobremordida (p<0.0001) y por tanto, con la aparición de la mordida abierta anterior (p<0.0001).
  • 46.
    • INTERPOSICIÓN LINGUAL •1. Al igual que la deglución atípica está relacionada con una disminución de la sobremordida (p<0.0001) y aparición de mordida abierta anterior (p<0.0001). • 2. También está relacionada con una disminución del resalte (p<0.002).
  • 47.
    • INTERPOSICIÓN LABIAL •1. Está inversamente relacionada con la aparición de mordida cruzada (p<0.0001). • • ONICOFAGIA • 1. Está relacionada con un aumento de la mordida en tijera (p<0.003). • • SUCCIÓN DIGITAL • 1. Está relacionado con una disminución de la sobremordida (p<0.006).
  • 48.
    • CLASE CANINA •1. Tiene correlación con la clase molar (p<0.0001). • • MORDIDA CRUZADA • 1. Está relacionada con una disminución del resalte (p<0.0001) y la sobremordida (p<0.0001). • 2. Aparece más en clases II y III que en clases I, tanto molares (p<0.003) como esqueléticas (p<0.001).
  • 49.
    • MORDIDA ABIERTA •1. Está relacionada con una disminución del resalte (p<0.001) y la sobremordida (p<0.0001). • • SOBREMORDIDA • 1. A mayor resalte, mayor sobremordida (p<0.0001). • 2. Hay mayor proporción de dientes incluidos en pacientes con mayores sobremordidas (p<0.004). • • DIENTES INCLUIDOS • 1. Hay mayor proporción de dientes incluidos en pacientes con dientes supernumerarios, ya que estos tienden a no erupcionar (p<0.0001).
  • 50.
    • CLASE ESQUELETICA •1. Hay una correlación con la clase molar (p<0.0001). • DISCUSIÓN SUCCIÓN DIGITAL DIFERENCIA ENTRE SEXOS: Diversos estudios han mostrado una mayor prevalencia del hábito de succión digital en las niñas: Larsson (9), Bardolet (10), Domínguez Reyes (11), en escolares españoles; e incluso un hábito más persistente y una mayor necesidad de tratamiento en el sexo femenino (9,12);
  • 51.