Carcinoma
hepatocelular
Dra. Evelyn AzariaTorres Gómez R3 IDT
Hospital General Dr. Manuel Gea. González
Introducción
• Ca. Primario higado mas frecuente
• Mas frecuente en hombres 4:2
• 5ta neoplasia mas frecuente en hombres
• 9na neoplasia mas frecuente en mujeres
• Edad pico entre 6ta y 7ma decada de vida
• Raro antes de los 40 años
Tomasz K. Nowicki*, Karolina Markiet and Edyta Szurowska Diagnostic Imaging of Hepatocellular Carcinoma - A Pictorial Essay Current Medical Imaging Reviews, 2017, 13,
140-153
1/3 px con
hepatopatia
cronica van a
desarrollar
Hepatocarcinoma
Alcoholica
Biliar
Fibrosis hepatica
Hemocromatosis
Enf. DeWilson
Riesgo aumenta
con el tiempo
Factores de
riesgo
90%
hepatopatia
cronica
54% secundario
VHB
Cada año 2%
31% secundario
VHC
Cada año 3-8%
CIRROSIS
Tomasz K. Nowicki*, Karolina Markiet and Edyta Szurowska Diagnostic Imaging of Hepatocellular Carcinoma - A Pictorial Essay Current Medical Imaging Reviews, 2017, 13,
140-153
Fisiopatologia
VHC
VHB
Alcohol
Toxinas
Enf. Metabolicas
Inflamacion
Necrosis
Cicatrización
Fibrosis
Cirrosis
Nòdulos de
regeneración
Nòdulos displasicos
Hepatocarcioma
Tomasz K. Nowicki*, Karolina Markiet and Edyta Szurowska Diagnostic Imaging of Hepatocellular Carcinoma - A Pictorial Essay Current Medical Imaging Reviews, 2017, 13,
140-153
Tomasz K. Nowicki*, Karolina Markiet and Edyta Szurowska Diagnostic Imaging of Hepatocellular Carcinoma - A Pictorial Essay Current Medical Imaging Reviews, 2017, 13,
140-153
Ultrasonido
S: 33-96%
E: 90%
CEUS
Lesiones
benignas vs
malignas
Tomasz K. Nowicki*, Karolina Markiet and Edyta Szurowska Diagnostic Imaging of Hepatocellular Carcinoma - A Pictorial Essay Current Medical Imaging Reviews, 2017, 13,
140-153
Tomasz K. Nowicki*, Karolina Markiet and Edyta Szurowska Diagnostic Imaging of Hepatocellular Carcinoma - A Pictorial Essay Current Medical Imaging Reviews, 2017, 13,
140-153
Recomendaciones de EASL-EORTC de los criterios de diagnóstico no invasivos de HCC
Tomasz K. Nowicki*, Karolina Markiet and Edyta Szurowska Diagnostic Imaging of Hepatocellular Carcinoma - A Pictorial Essay Current Medical Imaging Reviews, 2017, 13,
140-153
Simple Arterial
20-
30 s
• Porto-
venosa
60 s Tardía
180 s
Protocolo de adquisición tomografica
Tomasz K. Nowicki*, Karolina Markiet and Edyta Szurowska Diagnostic Imaging of Hepatocellular Carcinoma - A Pictorial Essay Current Medical Imaging Reviews, 2017, 13,
140-153
• 80% hepatocitos : Proteinas, grasas,
ferritina y glucogeno.
• Indices de atenuación normal entre
50-60 UH.
Tomasz K. Nowicki*, Karolina Markiet and Edyta Szurowska Diagnostic Imaging of Hepatocellular Carcinoma - A Pictorial Essay Current Medical Imaging Reviews, 2017, 13,
140-153
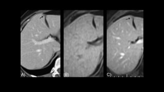
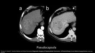
Pseudocapsula
Tomasz K. Nowicki*, Karolina Markiet and Edyta Szurowska Diagnostic Imaging of Hepatocellular Carcinoma - A Pictorial Essay Current Medical Imaging Reviews, 2017, 13,
140-153
20% son hipovasculares
Tomasz K. Nowicki*, Karolina Markiet and Edyta Szurowska Diagnostic Imaging of Hepatocellular Carcinoma - A Pictorial Essay Current Medical Imaging Reviews, 2017, 13,
140-153
Tomasz K. Nowicki*, Karolina Markiet and Edyta Szurowska Diagnostic Imaging of Hepatocellular Carcinoma - A Pictorial Essay Current Medical Imaging Reviews, 2017, 13,
140-153
La Asociación Estadounidense
para el Estudio de
Enfermedades Hepáticas
Alfa-fetproteina
• La AFP sérica es el biomarcador tumoral más utilizado en el
diagnóstico de CHC
• Se encuentra solo en el 10 al 20% de los tumores en la etapa
temprana
• Cirrosis avanzada, exacerbación deVHB oVHC,
colangiocarcinoma, cáncer gástrico y tumores de células
germinales
• Un valor de AFP sérico por debajo de 20 ng / mL se considera
normal
• El valor de corte para malignidad se establece en el nivel 200 ng /
mL (sensibilidad del 22%)
Tomasz K. Nowicki*, Karolina Markiet and Edyta Szurowska Diagnostic Imaging of Hepatocellular Carcinoma - A Pictorial Essay Current Medical Imaging Reviews, 2017, 13,
140-153
Estadificación
• Pronostico
• Tratamiento
• El sistemaTu mor Node Metastasis (TNM)
• El sistema BCLC
• El Sistema Integrado Japonés (JIS)
• El Programa Italiano del Cáncer de Hígado (CLIP)
• El Groupe d'Etude deTraitement du Carcinoma
Hepato cellulaire (GRETCH)
• El índice de pronóstico de la universidad china (CUPI)
• El sistema de estadificación de Okuda;
Función hepática
Sinead H. McEvoy, MBBCh, FFRRCSI • Colin J. McCarthy, MBBCh Hepatocellular Carcinoma: Illustrated Guide to Systematic Radiologic Di- agnosis and Staging According to Guidelines of the
American Associa- tion for the Study of Liver Diseases RadioGraphics 2013; 33:1653–1668
Estado funcional del paciente
Sinead H. McEvoy, MBBCh, FFRRCSI • Colin J. McCarthy, MBBCh Hepatocellular Carcinoma: Illustrated Guide to Systematic Radiologic Di- agnosis and Staging According to Guidelines of the
American Associa- tion for the Study of Liver Diseases RadioGraphics 2013; 33:1653–1668
BCLC stage 0
Sinead H. McEvoy, MBBCh, FFRRCSI • Colin J. McCarthy, MBBCh Hepatocellular Carcinoma: Illustrated Guide to Systematic Radiologic Di- agnosis and Staging According to Guidelines of the
American Associa- tion for the Study of Liver Diseases RadioGraphics 2013; 33:1653–1668
BCLC stage A
Sinead H. McEvoy, MBBCh, FFRRCSI • Colin J. McCarthy, MBBCh Hepatocellular Carcinoma: Illustrated Guide to Systematic Radiologic Di- agnosis and Staging According to Guidelines of the
American Associa- tion for the Study of Liver Diseases RadioGraphics 2013; 33:1653–1668
BCLC stage B
Sinead H. McEvoy, MBBCh, FFRRCSI • Colin J. McCarthy, MBBCh Hepatocellular Carcinoma: Illustrated Guide to Systematic Radiologic Di- agnosis and Staging According to Guidelines of the
American Associa- tion for the Study of Liver Diseases RadioGraphics 2013; 33:1653–1668
BCLC stage
C
Sinead H. McEvoy, MBBCh, FFRRCSI • Colin J. McCarthy, MBBCh Hepatocellular Carcinoma: Illustrated Guide to Systematic Radiologic Di- agnosis and Staging According to Guidelines of the
American Associa- tion for the Study of Liver Diseases RadioGraphics 2013; 33:1653–1668
Sinead H. McEvoy, MBBCh, FFRRCSI • Colin J. McCarthy, MBBCh Hepatocellular Carcinoma: Illustrated Guide to Systematic Radiologic Di- agnosis and Staging According to Guidelines of the
American Associa- tion for the Study of Liver Diseases RadioGraphics 2013; 33:1653–1668
Sinead H. McEvoy, MBBCh, FFRRCSI • Colin J. McCarthy, MBBCh Hepatocellular Carcinoma: Illustrated Guide to Systematic Radiologic Di- agnosis and Staging According to Guidelines of the
American Associa- tion for the Study of Liver Diseases RadioGraphics 2013; 33:1653–1668
LI-RADS
• Cirrosis
• Hepatitis cronica porVHB
• CHC presente o previo. Incluye candidatos
a transplante hepatico con CHC
• Sin los factores de riesgo arriba descrito
• Menores de 18 años
• Con transtorno vascular o cirrosis debida
fibrosis hepática congénita
LI-RADS aborda todo el espectro de imagen del CHC
Detección
• Vigilancia
• Incidental
LI-RADS aborda todo el espectro de imagen del CHC
Diagnóstico y estadiaje
LI-RADS aborda todo el espectro de imagen del CHC
Respuesta al tratamiento
Diagnóstico
Tomografía
Resonancia Magnética
Observación
Es un area distinta en relación
con el resto del parenquima
hepático
Se asigna categoria LI-RADS
Realce no anular del tumor mayor
que el resto del parenquima
hepatico.
Lavado no periferico en fase
portovenosa y tardia, aun sin
realce en la fase arterial.
Medicioón de borde exterior a
borde exterior en el eje mas largo,
incluir la capsula.
Aumento de tamaño de una masa
en ≥ 50% en ≤ 6 meses
Bordes lisos, bien definidos,
notablemente mas gruesos que el
resto del tejido fibrotico de
regeneración alrededor, el cual
tiene un realce en corona en la fase
PV y tardia.
Características por imagen
Benigno
Maligno
Probabilidad de
malignidad
Probabilidad de
CHC
18 mm
VictoriaChernyak,MD,MS • KathrynJ.Fowler,MD • AyaKamaya,MD Liver Imaging Reporting and Data System (LI-RADS)Version 2018: Imaging of Hepatocellular Carcinoma in At-
Risk Patients Radiology 2018; 289:816–830
Medio de
contraste
hepatoespecífi
co
Detección de lesiones
Caracterización de lesiones hepatocelulares
Caracterización de lesiones No hepatocelulares
Valorar la función y la anatomía del arbol biliar
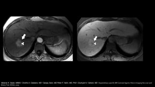
Contraste hepátoespecifico
Melanie K. Seale, MBBS • Onofrio A. Catalano, MD • Sanjay Saini, MD Peter F. Hahn, MD, PhD • Dushyant V. Sahani, MD Hepatobiliary-specific MR Contrast Agents: Role in Imaging the Liver and
Biliary Tree RSNA, 2009
Medio de
contraste
hepatoespecífi
co
Contraste hepátoespecifico
Melanie K. Seale, MBBS • Onofrio A. Catalano, MD • Sanjay Saini, MD Peter F. Hahn, MD, PhD • Dushyant V. Sahani, MD Hepatobiliary-specific MR Contrast Agents: Role in Imaging the Liver and
Biliary Tree RSNA, 2009
Hepatocitos
funcionales
• Hiperplasia
nodular focal
• Nódulo de
regeneración
• Adenoma
Hepatocitos no
funcionales
• CHC
• Nódulos
displasicos
• Metástasis
• Adenoma
Hipointensos
Hiperintensos
5-12% CHC
30% Nódulos
displasicos
Melanie K. Seale, MBBS • Onofrio A. Catalano, MD • Sanjay Saini, MD Peter F. Hahn, MD, PhD • Dushyant V. Sahani, MD Hepatobiliary-specific MR Contrast Agents: Role in Imaging the Liver and
Biliary Tree RSNA, 2009
Lesiones hepaticas que no
cumplen con el comportamiento
vascular clásico del CHC.
Lesiones menores a 2 cm
indeterminadas
Melanie K. Seale, MBBS • Onofrio A. Catalano, MD • Sanjay Saini, MD Peter F. Hahn, MD, PhD • Dushyant V. Sahani, MD Hepatobiliary-specific MR Contrast Agents: Role in Imaging the Liver and
Biliary Tree RSNA, 2009
P.E. Cossio-Torricoa, C.R. Ramírez-Carmonab, M. Stoopen-Rometti Resonancia magnética con ácido gadoxético -contraste hepatoespecífico- para la evaluación de lesiones focales
Revista de Gastroenterología de México. 2015;80(4):267-275
P.E. Cossio-Torricoa, C.R. Ramírez-Carmonab, M. Stoopen-Rometti Resonancia magnética con ácido gadoxético -contraste hepatoespecífico- para la evaluación de lesiones focales
Revista de Gastroenterología de México. 2015;80(4):267-275
Melanie K. Seale, MBBS • Onofrio A. Catalano, MD • Sanjay Saini, MD Peter F. Hahn, MD, PhD • Dushyant V. Sahani, MD Hepatobiliary-specific MR Contrast Agents: Role in Imaging the Liver and
Biliary Tree RSNA, 2009
Pseudolesiones hepáticas
Localizaciones mas frecuentes:
• Segmento IV adyacente al
ligamento falciforme
• Adyacente a la vesicula
• Adyacente a la vena porta
intrahepatica
Zonas focales de menor
atenuacón que son secundarias a
variantes vasculares, anomalias
vasculares y zonas focales de
cambios grasos visibles en fase
portovenosa
Tratamiento
CHC
Oncólogo
Cirujano
oncólogo
Radiólogo
intervencionista
Hepatólogo
Tratamiento
Cirugía radical
• Trasplante
• Resección
Terapias
locoregionales
• Ablación por
radiofrecuencia
• Inyección
percutánea de
alcohol
• Quimioembolización
intraarterial
Terapia sistémica
• Sorafenib
Sinead H. McEvoy, MBBCh, FFRRCSI • Colin J. McCarthy, MBBCh Hepatocellular Carcinoma: Illustrated Guide to Systematic Radiologic Di- agnosis and Staging According to Guidelines of the
American Associa- tion for the Study of Liver Diseases RadioGraphics 2013; 33:1653–1668
Ablación por radiofrecuencia
Transforma la energia de radiofrecuencia en calor
Se utiliza como fuente de energia un
generador de radiofrecuencia en el
rango de los 60 – 250 w
Ablación por radiofrecuencia
Agitación Ionica
Calor
Necrosis
coagulativa
Daño celular 50 a 55ºC por 4-6 min
60- 100 ºC necrosis coagulativa y daño
mitocondrial
Carbonización > 110ºC
SISTEMAS DE RADIOFRECUENCIA 3 tipos de electrodos
RITA- 14 G con 9 electrodos retráctiles en árbol
Puntas miden la temperatura del tejido adyacente
El algoritmo de ablación se basa en temperaturas de
las puntas
LeVeen- 17 G con 10 electrodos curvos
retráctiles en paraguas 2-4 cm (diámetro de
paraguas)
Algoritmo de ablación se basa en
impedancia del tejido
Cool-Tip- 17 G con punta con termómetro
Cuerpo de aguja con 2 canales internos para
perfundirla con agua fría
Algoritmo de ablación – impedancia del tejido
Journal of Hepatology 2018 vol. 68 j 783–797
Ablación por radiofrecuencia
Alcance
• Paraguas 5 cm
Tumor
Margenes libres 5-10 mm.
Duración
10 – 16 min.
Ablación por radiofrecuencia
• Tasas de respuesta completa 80% en tumores menores de
3 cm
• Tasas de respuesta del 50% en tumores 3-5 cm
• Tasas de respuesta del 25% en tumores mayores de 5 cm
Sobrevida del 76% a 5
años
Ablación por radiofrecuencia
Quimioembolización hepática
La quimioembolización hepática consiste
en la infusión intraarterial de agentes
quimioterápicos asociada a la
embolización de las arterias nutricias de
la tumoración hepática.
Quimioembolización hepática
Suministros arteriales accesorios
potenciales comunes para los tumores
hepáticos:
• La arteria frénica derecha
• Una arteria hepática izquierda accesoria
• La arteria mamaria interna derecha
QUIMIOEMBOLIZACIÓN INTRAARTERIAL
MECANISMO DE ACCIÓN 
efecto sinérgico citotóxico /
isquémico
Hepatocarcinoma: irrigado por la
AH.
J Vasc Interv Radiol 2017; 28:1210–1223
TACE:
Prolonga tiempo de contacto.
Minimiza toxicidad
Alta concentración (100-10 veces vs QT )
• SG 16 meses sinTACE conTACE > 24meses
• QT sistemica: Cardiotoxica y septisemía
Quimioembolización hepática
BCLC Intermedio
TACE
Primera
TAE en
Japón 1977
1980
TACE
Lipiodol
1990TACE super
selectiva
2002 aceptación
mundial
Prueba irrefutable de superioridad
Evidencia grado 1
2 estudios ciegos aleatorizados
1 metaanálisis
SG 2
años
4 años
Tx
conservador
63% 27%
TACE 82% 63%
SG 1 año 2 año
TACE 57% 31%
Tx conservador 32% 11%
D
E
F
I
N
I
C
I
O
N
E
S
Quimioembolizacion
transarterial
convencional
(TACE-c)
Infusión de QT +/- aceite
etiodizado (Lipiodol) +/- (gelfoam,
PVA o microesferas)
Embolización
transarterial (blanda)
(TAE)
Bloqueo del flujo arterial hepático con un
agente vascular oclusivo (gelfoam, esferas o
partículas)
Quimioembolización
con esferas cargadas
DEB-TACE
Administración de microesferas con para
liberación prolongada
Radioembolización
(TARE)
Administración intra arterial de microesferas de resina o
vidrio que contienen itrio 90 (emisor de partículas B con
entrega de radiación de 2.5 a 11 mm yVM de 60 hrs con
deposición tumoral sin afectar la vasculatura
J Vasc Interv Radiol 2017; 28:1210–1223
 Agentes usados
para la QETA
Doxorrubicina / epirrubicina
Cisplatino / Miriplatino
IDARUBICINA- Evaluación
RESULTADOS
Supervivencia global
1 año - 70.3%
2 años- 51.8%
3 años – 40.4 %
5 años – 32.4 %
Mediana de supervivencia
de 19.4 meses
Efectos Adversos
Alteraciones enzimáticas – 18.1 %
Fiebre – 17.2 %
Toxicidad hematológica 13%
Sindrome post embolización (80-90%)
Mortalidad global – 0.6%
Absceso hépatico (7-10 días)
Lencioni R, de Baere T, Soulen MC, Rilling WS, Geschwind JF. Lipiodol transarterial chemoembolization for
hepatocellular carcinoma: a system- atic review of efficacy and safety data. Hepatology 2016; 64:106–116.
No existe
predilección
Seguimiento
post
procedimiento
TC o RM 4 semanas
Respuesta tumoral y daño hepático
posterior aTACE
Predice la supervivencia del
paciente a una segundaTACE
Ausencia de respuesta radiológica 1 punto
ElevaciónAST > 25% 4 puntos
Child Pugh Incremento 1 punto 1.5 puntos
Child Pugh incremento >2 puntos 3 puntos
Grupo Puntos Superv
1 0 – 1.5 puntos 23.7 meses
2 > 2.5 puntos 6.5 meses
¿SEGUNDATACE?
J Vasc Interv Radiol 2017; 28:1210–1223
 Realizar de 2 tratamientos deTACE en ausencia de deterioro de la
función hepática o alguna complicación mayor antes de considerar la
TACE como no efectiva
Progresión NoTratable
FALLA HEPÁTICA (ascitis)
Progresión en escala de BCLC (invasión vascular, diseminación extrahepática, progresión clínica)
No se alcanza una necrosis significativa después de 2 sesiones de tratamiento
Progresión en sitios que habían tenido una respuesta inicial.
J Vasc Interv Radiol 2017; 28:1210–1223
SORAFENIB
DEB-TACE
 Esferas de PVA que liberan QT lentamente.
 Concentración intratumoral máxima y sostenida
HepaSphere  Europa
QuadraSphere  Estados Unidos
Valoración histológica revela
Histológicamente 70% de las partículas de 100-300nm en
el tumor
Journal of Hepatology 2012 vol. 56 | 908–943
Handbook of Interventional Radiologic Procedures 5th ed.
DEB-TACE vsTACE
 Mejor respuesta local
 26.8% vs 14%
 Menor recurrencia local
 78% vs 45.7%
 Supervivencia local
 48.6% vs 43.8%
Menor síndrome post-
embolización
Mayor dosis de
Doxorrubicina sin
incremento en toxicidad
Journal of Hepatology 2015; 62: 1187 - 1195
Retención de
contraste
PRE 15 min Post
TC FASEVENOSA TC SIMPLE
LOS DEFECTOS DE CONTRASTE SUGIEREN AREAS CON
BAJA EMBOLIZACIÓN
EL CONTRASTE SE RETIENE HASTA POR 1 SEMANA
62 masculino con HCC
PRE PRE
15 min POST
Gas dentro del tumor no es patognomónico de absceso
Técnica
Quimioembolización hepática
Quimioembolización hepática
Contraindicaciones
• Pobre espectativa de vida
• Metastasis extrahepaticas
• Tumores hipovasculares
• Falla cardiaca o renal
• Ascitis maligna
• Alcoholismo activo

hepatocarcinoma.pptx

  • 1.
    Carcinoma hepatocelular Dra. Evelyn AzariaTorresGómez R3 IDT Hospital General Dr. Manuel Gea. González
  • 2.
    Introducción • Ca. Primariohigado mas frecuente • Mas frecuente en hombres 4:2 • 5ta neoplasia mas frecuente en hombres • 9na neoplasia mas frecuente en mujeres • Edad pico entre 6ta y 7ma decada de vida • Raro antes de los 40 años Tomasz K. Nowicki*, Karolina Markiet and Edyta Szurowska Diagnostic Imaging of Hepatocellular Carcinoma - A Pictorial Essay Current Medical Imaging Reviews, 2017, 13, 140-153
  • 3.
    1/3 px con hepatopatia cronicavan a desarrollar Hepatocarcinoma Alcoholica Biliar Fibrosis hepatica Hemocromatosis Enf. DeWilson Riesgo aumenta con el tiempo Factores de riesgo 90% hepatopatia cronica 54% secundario VHB Cada año 2% 31% secundario VHC Cada año 3-8% CIRROSIS Tomasz K. Nowicki*, Karolina Markiet and Edyta Szurowska Diagnostic Imaging of Hepatocellular Carcinoma - A Pictorial Essay Current Medical Imaging Reviews, 2017, 13, 140-153
  • 4.
    Fisiopatologia VHC VHB Alcohol Toxinas Enf. Metabolicas Inflamacion Necrosis Cicatrización Fibrosis Cirrosis Nòdulos de regeneración Nòdulosdisplasicos Hepatocarcioma Tomasz K. Nowicki*, Karolina Markiet and Edyta Szurowska Diagnostic Imaging of Hepatocellular Carcinoma - A Pictorial Essay Current Medical Imaging Reviews, 2017, 13, 140-153
  • 5.
    Tomasz K. Nowicki*,Karolina Markiet and Edyta Szurowska Diagnostic Imaging of Hepatocellular Carcinoma - A Pictorial Essay Current Medical Imaging Reviews, 2017, 13, 140-153
  • 6.
    Ultrasonido S: 33-96% E: 90% CEUS Lesiones benignasvs malignas Tomasz K. Nowicki*, Karolina Markiet and Edyta Szurowska Diagnostic Imaging of Hepatocellular Carcinoma - A Pictorial Essay Current Medical Imaging Reviews, 2017, 13, 140-153
  • 7.
    Tomasz K. Nowicki*,Karolina Markiet and Edyta Szurowska Diagnostic Imaging of Hepatocellular Carcinoma - A Pictorial Essay Current Medical Imaging Reviews, 2017, 13, 140-153
  • 8.
    Recomendaciones de EASL-EORTCde los criterios de diagnóstico no invasivos de HCC Tomasz K. Nowicki*, Karolina Markiet and Edyta Szurowska Diagnostic Imaging of Hepatocellular Carcinoma - A Pictorial Essay Current Medical Imaging Reviews, 2017, 13, 140-153
  • 9.
    Simple Arterial 20- 30 s •Porto- venosa 60 s Tardía 180 s Protocolo de adquisición tomografica Tomasz K. Nowicki*, Karolina Markiet and Edyta Szurowska Diagnostic Imaging of Hepatocellular Carcinoma - A Pictorial Essay Current Medical Imaging Reviews, 2017, 13, 140-153
  • 10.
    • 80% hepatocitos: Proteinas, grasas, ferritina y glucogeno. • Indices de atenuación normal entre 50-60 UH. Tomasz K. Nowicki*, Karolina Markiet and Edyta Szurowska Diagnostic Imaging of Hepatocellular Carcinoma - A Pictorial Essay Current Medical Imaging Reviews, 2017, 13, 140-153
  • 11.
    Pseudocapsula Tomasz K. Nowicki*,Karolina Markiet and Edyta Szurowska Diagnostic Imaging of Hepatocellular Carcinoma - A Pictorial Essay Current Medical Imaging Reviews, 2017, 13, 140-153
  • 12.
    20% son hipovasculares TomaszK. Nowicki*, Karolina Markiet and Edyta Szurowska Diagnostic Imaging of Hepatocellular Carcinoma - A Pictorial Essay Current Medical Imaging Reviews, 2017, 13, 140-153
  • 13.
    Tomasz K. Nowicki*,Karolina Markiet and Edyta Szurowska Diagnostic Imaging of Hepatocellular Carcinoma - A Pictorial Essay Current Medical Imaging Reviews, 2017, 13, 140-153
  • 14.
    La Asociación Estadounidense parael Estudio de Enfermedades Hepáticas
  • 15.
    Alfa-fetproteina • La AFPsérica es el biomarcador tumoral más utilizado en el diagnóstico de CHC • Se encuentra solo en el 10 al 20% de los tumores en la etapa temprana • Cirrosis avanzada, exacerbación deVHB oVHC, colangiocarcinoma, cáncer gástrico y tumores de células germinales • Un valor de AFP sérico por debajo de 20 ng / mL se considera normal • El valor de corte para malignidad se establece en el nivel 200 ng / mL (sensibilidad del 22%) Tomasz K. Nowicki*, Karolina Markiet and Edyta Szurowska Diagnostic Imaging of Hepatocellular Carcinoma - A Pictorial Essay Current Medical Imaging Reviews, 2017, 13, 140-153
  • 16.
    Estadificación • Pronostico • Tratamiento •El sistemaTu mor Node Metastasis (TNM) • El sistema BCLC • El Sistema Integrado Japonés (JIS) • El Programa Italiano del Cáncer de Hígado (CLIP) • El Groupe d'Etude deTraitement du Carcinoma Hepato cellulaire (GRETCH) • El índice de pronóstico de la universidad china (CUPI) • El sistema de estadificación de Okuda;
  • 18.
    Función hepática Sinead H.McEvoy, MBBCh, FFRRCSI • Colin J. McCarthy, MBBCh Hepatocellular Carcinoma: Illustrated Guide to Systematic Radiologic Di- agnosis and Staging According to Guidelines of the American Associa- tion for the Study of Liver Diseases RadioGraphics 2013; 33:1653–1668
  • 19.
    Estado funcional delpaciente Sinead H. McEvoy, MBBCh, FFRRCSI • Colin J. McCarthy, MBBCh Hepatocellular Carcinoma: Illustrated Guide to Systematic Radiologic Di- agnosis and Staging According to Guidelines of the American Associa- tion for the Study of Liver Diseases RadioGraphics 2013; 33:1653–1668
  • 20.
    BCLC stage 0 SineadH. McEvoy, MBBCh, FFRRCSI • Colin J. McCarthy, MBBCh Hepatocellular Carcinoma: Illustrated Guide to Systematic Radiologic Di- agnosis and Staging According to Guidelines of the American Associa- tion for the Study of Liver Diseases RadioGraphics 2013; 33:1653–1668
  • 21.
    BCLC stage A SineadH. McEvoy, MBBCh, FFRRCSI • Colin J. McCarthy, MBBCh Hepatocellular Carcinoma: Illustrated Guide to Systematic Radiologic Di- agnosis and Staging According to Guidelines of the American Associa- tion for the Study of Liver Diseases RadioGraphics 2013; 33:1653–1668
  • 22.
    BCLC stage B SineadH. McEvoy, MBBCh, FFRRCSI • Colin J. McCarthy, MBBCh Hepatocellular Carcinoma: Illustrated Guide to Systematic Radiologic Di- agnosis and Staging According to Guidelines of the American Associa- tion for the Study of Liver Diseases RadioGraphics 2013; 33:1653–1668
  • 23.
    BCLC stage C Sinead H.McEvoy, MBBCh, FFRRCSI • Colin J. McCarthy, MBBCh Hepatocellular Carcinoma: Illustrated Guide to Systematic Radiologic Di- agnosis and Staging According to Guidelines of the American Associa- tion for the Study of Liver Diseases RadioGraphics 2013; 33:1653–1668
  • 24.
    Sinead H. McEvoy,MBBCh, FFRRCSI • Colin J. McCarthy, MBBCh Hepatocellular Carcinoma: Illustrated Guide to Systematic Radiologic Di- agnosis and Staging According to Guidelines of the American Associa- tion for the Study of Liver Diseases RadioGraphics 2013; 33:1653–1668
  • 25.
    Sinead H. McEvoy,MBBCh, FFRRCSI • Colin J. McCarthy, MBBCh Hepatocellular Carcinoma: Illustrated Guide to Systematic Radiologic Di- agnosis and Staging According to Guidelines of the American Associa- tion for the Study of Liver Diseases RadioGraphics 2013; 33:1653–1668
  • 26.
    LI-RADS • Cirrosis • Hepatitiscronica porVHB • CHC presente o previo. Incluye candidatos a transplante hepatico con CHC • Sin los factores de riesgo arriba descrito • Menores de 18 años • Con transtorno vascular o cirrosis debida fibrosis hepática congénita
  • 27.
    LI-RADS aborda todoel espectro de imagen del CHC Detección • Vigilancia • Incidental
  • 29.
    LI-RADS aborda todoel espectro de imagen del CHC Diagnóstico y estadiaje
  • 30.
    LI-RADS aborda todoel espectro de imagen del CHC Respuesta al tratamiento
  • 31.
  • 32.
    Observación Es un areadistinta en relación con el resto del parenquima hepático Se asigna categoria LI-RADS
  • 33.
    Realce no anulardel tumor mayor que el resto del parenquima hepatico. Lavado no periferico en fase portovenosa y tardia, aun sin realce en la fase arterial. Medicioón de borde exterior a borde exterior en el eje mas largo, incluir la capsula. Aumento de tamaño de una masa en ≥ 50% en ≤ 6 meses Bordes lisos, bien definidos, notablemente mas gruesos que el resto del tejido fibrotico de regeneración alrededor, el cual tiene un realce en corona en la fase PV y tardia. Características por imagen
  • 34.
  • 37.
  • 38.
    VictoriaChernyak,MD,MS • KathrynJ.Fowler,MD• AyaKamaya,MD Liver Imaging Reporting and Data System (LI-RADS)Version 2018: Imaging of Hepatocellular Carcinoma in At- Risk Patients Radiology 2018; 289:816–830
  • 39.
    Medio de contraste hepatoespecífi co Detección delesiones Caracterización de lesiones hepatocelulares Caracterización de lesiones No hepatocelulares Valorar la función y la anatomía del arbol biliar Contraste hepátoespecifico Melanie K. Seale, MBBS • Onofrio A. Catalano, MD • Sanjay Saini, MD Peter F. Hahn, MD, PhD • Dushyant V. Sahani, MD Hepatobiliary-specific MR Contrast Agents: Role in Imaging the Liver and Biliary Tree RSNA, 2009
  • 40.
    Medio de contraste hepatoespecífi co Contraste hepátoespecifico MelanieK. Seale, MBBS • Onofrio A. Catalano, MD • Sanjay Saini, MD Peter F. Hahn, MD, PhD • Dushyant V. Sahani, MD Hepatobiliary-specific MR Contrast Agents: Role in Imaging the Liver and Biliary Tree RSNA, 2009 Hepatocitos funcionales • Hiperplasia nodular focal • Nódulo de regeneración • Adenoma Hepatocitos no funcionales • CHC • Nódulos displasicos • Metástasis • Adenoma Hipointensos Hiperintensos 5-12% CHC 30% Nódulos displasicos
  • 41.
    Melanie K. Seale,MBBS • Onofrio A. Catalano, MD • Sanjay Saini, MD Peter F. Hahn, MD, PhD • Dushyant V. Sahani, MD Hepatobiliary-specific MR Contrast Agents: Role in Imaging the Liver and Biliary Tree RSNA, 2009 Lesiones hepaticas que no cumplen con el comportamiento vascular clásico del CHC. Lesiones menores a 2 cm indeterminadas
  • 42.
    Melanie K. Seale,MBBS • Onofrio A. Catalano, MD • Sanjay Saini, MD Peter F. Hahn, MD, PhD • Dushyant V. Sahani, MD Hepatobiliary-specific MR Contrast Agents: Role in Imaging the Liver and Biliary Tree RSNA, 2009
  • 43.
    P.E. Cossio-Torricoa, C.R.Ramírez-Carmonab, M. Stoopen-Rometti Resonancia magnética con ácido gadoxético -contraste hepatoespecífico- para la evaluación de lesiones focales Revista de Gastroenterología de México. 2015;80(4):267-275
  • 44.
    P.E. Cossio-Torricoa, C.R.Ramírez-Carmonab, M. Stoopen-Rometti Resonancia magnética con ácido gadoxético -contraste hepatoespecífico- para la evaluación de lesiones focales Revista de Gastroenterología de México. 2015;80(4):267-275
  • 45.
    Melanie K. Seale,MBBS • Onofrio A. Catalano, MD • Sanjay Saini, MD Peter F. Hahn, MD, PhD • Dushyant V. Sahani, MD Hepatobiliary-specific MR Contrast Agents: Role in Imaging the Liver and Biliary Tree RSNA, 2009
  • 46.
    Pseudolesiones hepáticas Localizaciones masfrecuentes: • Segmento IV adyacente al ligamento falciforme • Adyacente a la vesicula • Adyacente a la vena porta intrahepatica Zonas focales de menor atenuacón que son secundarias a variantes vasculares, anomalias vasculares y zonas focales de cambios grasos visibles en fase portovenosa
  • 48.
  • 49.
    Tratamiento Cirugía radical • Trasplante •Resección Terapias locoregionales • Ablación por radiofrecuencia • Inyección percutánea de alcohol • Quimioembolización intraarterial Terapia sistémica • Sorafenib
  • 50.
    Sinead H. McEvoy,MBBCh, FFRRCSI • Colin J. McCarthy, MBBCh Hepatocellular Carcinoma: Illustrated Guide to Systematic Radiologic Di- agnosis and Staging According to Guidelines of the American Associa- tion for the Study of Liver Diseases RadioGraphics 2013; 33:1653–1668
  • 52.
    Ablación por radiofrecuencia Transformala energia de radiofrecuencia en calor Se utiliza como fuente de energia un generador de radiofrecuencia en el rango de los 60 – 250 w
  • 53.
    Ablación por radiofrecuencia AgitaciónIonica Calor Necrosis coagulativa Daño celular 50 a 55ºC por 4-6 min 60- 100 ºC necrosis coagulativa y daño mitocondrial Carbonización > 110ºC
  • 54.
    SISTEMAS DE RADIOFRECUENCIA3 tipos de electrodos RITA- 14 G con 9 electrodos retráctiles en árbol Puntas miden la temperatura del tejido adyacente El algoritmo de ablación se basa en temperaturas de las puntas LeVeen- 17 G con 10 electrodos curvos retráctiles en paraguas 2-4 cm (diámetro de paraguas) Algoritmo de ablación se basa en impedancia del tejido Cool-Tip- 17 G con punta con termómetro Cuerpo de aguja con 2 canales internos para perfundirla con agua fría Algoritmo de ablación – impedancia del tejido Journal of Hepatology 2018 vol. 68 j 783–797
  • 56.
    Ablación por radiofrecuencia Alcance •Paraguas 5 cm Tumor Margenes libres 5-10 mm. Duración 10 – 16 min.
  • 57.
    Ablación por radiofrecuencia •Tasas de respuesta completa 80% en tumores menores de 3 cm • Tasas de respuesta del 50% en tumores 3-5 cm • Tasas de respuesta del 25% en tumores mayores de 5 cm Sobrevida del 76% a 5 años
  • 58.
  • 59.
  • 60.
    La quimioembolización hepáticaconsiste en la infusión intraarterial de agentes quimioterápicos asociada a la embolización de las arterias nutricias de la tumoración hepática. Quimioembolización hepática Suministros arteriales accesorios potenciales comunes para los tumores hepáticos: • La arteria frénica derecha • Una arteria hepática izquierda accesoria • La arteria mamaria interna derecha
  • 61.
    QUIMIOEMBOLIZACIÓN INTRAARTERIAL MECANISMO DEACCIÓN  efecto sinérgico citotóxico / isquémico Hepatocarcinoma: irrigado por la AH. J Vasc Interv Radiol 2017; 28:1210–1223 TACE: Prolonga tiempo de contacto. Minimiza toxicidad Alta concentración (100-10 veces vs QT ) • SG 16 meses sinTACE conTACE > 24meses • QT sistemica: Cardiotoxica y septisemía Quimioembolización hepática
  • 62.
    BCLC Intermedio TACE Primera TAE en Japón1977 1980 TACE Lipiodol 1990TACE super selectiva 2002 aceptación mundial Prueba irrefutable de superioridad Evidencia grado 1 2 estudios ciegos aleatorizados 1 metaanálisis SG 2 años 4 años Tx conservador 63% 27% TACE 82% 63% SG 1 año 2 año TACE 57% 31% Tx conservador 32% 11%
  • 63.
    D E F I N I C I O N E S Quimioembolizacion transarterial convencional (TACE-c) Infusión de QT+/- aceite etiodizado (Lipiodol) +/- (gelfoam, PVA o microesferas) Embolización transarterial (blanda) (TAE) Bloqueo del flujo arterial hepático con un agente vascular oclusivo (gelfoam, esferas o partículas) Quimioembolización con esferas cargadas DEB-TACE Administración de microesferas con para liberación prolongada Radioembolización (TARE) Administración intra arterial de microesferas de resina o vidrio que contienen itrio 90 (emisor de partículas B con entrega de radiación de 2.5 a 11 mm yVM de 60 hrs con deposición tumoral sin afectar la vasculatura J Vasc Interv Radiol 2017; 28:1210–1223
  • 64.
     Agentes usados parala QETA Doxorrubicina / epirrubicina Cisplatino / Miriplatino IDARUBICINA- Evaluación RESULTADOS Supervivencia global 1 año - 70.3% 2 años- 51.8% 3 años – 40.4 % 5 años – 32.4 % Mediana de supervivencia de 19.4 meses Efectos Adversos Alteraciones enzimáticas – 18.1 % Fiebre – 17.2 % Toxicidad hematológica 13% Sindrome post embolización (80-90%) Mortalidad global – 0.6% Absceso hépatico (7-10 días) Lencioni R, de Baere T, Soulen MC, Rilling WS, Geschwind JF. Lipiodol transarterial chemoembolization for hepatocellular carcinoma: a system- atic review of efficacy and safety data. Hepatology 2016; 64:106–116. No existe predilección
  • 65.
    Seguimiento post procedimiento TC o RM4 semanas Respuesta tumoral y daño hepático posterior aTACE Predice la supervivencia del paciente a una segundaTACE Ausencia de respuesta radiológica 1 punto ElevaciónAST > 25% 4 puntos Child Pugh Incremento 1 punto 1.5 puntos Child Pugh incremento >2 puntos 3 puntos Grupo Puntos Superv 1 0 – 1.5 puntos 23.7 meses 2 > 2.5 puntos 6.5 meses ¿SEGUNDATACE? J Vasc Interv Radiol 2017; 28:1210–1223
  • 66.
     Realizar de2 tratamientos deTACE en ausencia de deterioro de la función hepática o alguna complicación mayor antes de considerar la TACE como no efectiva Progresión NoTratable FALLA HEPÁTICA (ascitis) Progresión en escala de BCLC (invasión vascular, diseminación extrahepática, progresión clínica) No se alcanza una necrosis significativa después de 2 sesiones de tratamiento Progresión en sitios que habían tenido una respuesta inicial. J Vasc Interv Radiol 2017; 28:1210–1223 SORAFENIB
  • 67.
    DEB-TACE  Esferas dePVA que liberan QT lentamente.  Concentración intratumoral máxima y sostenida HepaSphere  Europa QuadraSphere  Estados Unidos Valoración histológica revela Histológicamente 70% de las partículas de 100-300nm en el tumor Journal of Hepatology 2012 vol. 56 | 908–943 Handbook of Interventional Radiologic Procedures 5th ed.
  • 68.
    DEB-TACE vsTACE  Mejorrespuesta local  26.8% vs 14%  Menor recurrencia local  78% vs 45.7%  Supervivencia local  48.6% vs 43.8% Menor síndrome post- embolización Mayor dosis de Doxorrubicina sin incremento en toxicidad Journal of Hepatology 2015; 62: 1187 - 1195
  • 69.
    Retención de contraste PRE 15min Post TC FASEVENOSA TC SIMPLE LOS DEFECTOS DE CONTRASTE SUGIEREN AREAS CON BAJA EMBOLIZACIÓN EL CONTRASTE SE RETIENE HASTA POR 1 SEMANA
  • 70.
    62 masculino conHCC PRE PRE 15 min POST Gas dentro del tumor no es patognomónico de absceso
  • 71.
  • 72.
    Quimioembolización hepática Contraindicaciones • Pobreespectativa de vida • Metastasis extrahepaticas • Tumores hipovasculares • Falla cardiaca o renal • Ascitis maligna • Alcoholismo activo

Notas del editor

  • #55 After the ablation cycle is completed, a temperature reading from the extended electrodes in excess of 50°C at 1 min is considered to indicate satisfactory ablation  The ablation algorithm is based on tissue impedance, and ablation is considered successful if the device impedes out. The ablation algorithm is based on tissue impedance, and ablation is considered successful if the device impedes out. As a result, successful ablations usually increase the temperature of the ablated tissue to above 60°C.
  • #62 DEBIDO A QUE EL Hcc muestra una actividad neoangiogenica arterial intensa durante su progresion, EL MEC DE ACCION DE LA TACE LE SACA PROVECHO The indication for TACE should consider tumour burden, under- lying liver disease, and performance status. Estas variables resentes- incrementan la posibilidad de falla hepatica post tace y estos pacientes no se benefician-
  • #64 El aceite etiodizado sirve como transportador de la quimioterapia y como una sustancia embolica para el procedimiento, creando una suspension o emulsion que es localmente entregada. Lipiodol es una semilla de aceite que contiene yodo etiodizado
  • #65 Con esfínter de Oddie funcional 1% Esfínter de Oddie disfuncional 25%.
  • #66 After initial TACE success, the treated tumours gain vascular- isation and may be re-treated. La decision de si se debe realizar una asegunda TACE o interrumpir el tx es compleja. Años recientes se han creado escalas para guiar la decision de volver a tratar.
  • #67 No hay datos que avalen que se debe seguir un calendario agresivo (tACE cada dos meses) ya que puede inducir falla hepatica a una porporcion inaceptable de paciente.s Hoy en dia, la tace se recomienda solo cuando existe HCC viable residual en la tc CONTRASTADA.
  • #68 Se ha demostrado que las esferas cargadas con quimioterapia aumenta la concentración local del fármaco con una toxicidad sistémica deseable. TACE vs TACE-DEB: Reducción significativa de la toxicidad hepática. Disminución de los efectos adversos.
  • #69 Microesferas cargadas de quimioterapia producen una oclusion distal de pequeños vasos y entrega de altas dosis de quimioterapia al tumor con muy poca circulacion sistemica del agente quimioterapeutico, por lo q reduce los efectos adversos sistemicos asociados cuando se compara con la tace convencional . Finally, doxorubicin like any other antracicleno may induce cardiotoxicity. It is mostly a dose-dependent chronic cardiomyopathy. Left ventricular ejection fraction should be checked by echocardiogram in patients receiving multiple TACE sessions and the cumulative dose should not exceed 450 mg/m