HEPATOCARCINOMAHEPATOCARCINOMA
Dr. Jhon Mejía GarayDr. Jhon Mejía Garay
Residente de RadiologíaResidente de Radiología
Rotación EMETAC S.A.C.Rotación EMETAC S.A.C.
GENERALIDADESGENERALIDADES
• El carcinoma hepatocelular (HCC) es la neoplasia primaria más común del
hígado. 
• Está fuertemente asociado con la cirrosis , tanto por el alcohol como por las
etiologías virales. 
• El HCC constituye aproximadamente el 5% de todos los cánceres
infección por hepatitis B.
• El HCC se diagnostica típicamente en adultos de mediana edad avanzada o
adultos mayores (promedio de 65 años) y es más común en varones (75% de
casos) 
PRESENTACIÓN CLÍNICAPRESENTACIÓN CLÍNICA
• Síntomas constitucionales
• Ictericia
• Hipertensión portal de la invasión de la vena porta
• Hepatomegalia / masa
• Hemorragia del tumor
PATOLOGÍA
• El origen de los HCC está relacionado con ciclos repetidos de
necrosis y regeneración, independientemente de la causa. 
• El genoma del VHB y del VHC contiene material genético que
puede predisponer a las células a acumular mutaciones o altera el
control del crecimiento, permitiendo así un segundo mecanismo
mediante el cual la infección con estos agentes predispone al HCC
MACROSCOPÍAMACROSCOPÍA
• En la patología macroscópica, los HCC típicamente aparecen como masas pálidas
dentro del hígado.
• Pueden ser de presentación unifocal, multifocales o difusamente infiltrantes.
• El crecimiento macroscópico de los HCC suele clasificarse en tres subtipos: nodular,
masivo e infiltrativo . 
• El subtipo infiltrativo se caracteriza por un crecimiento de múltiples nódulos
pequeños en todo el hígado o en un segmento entero del hígado.
VARIEDADES DE APARIENCIAVARIEDADES DE APARIENCIA
• Masivo (focal)
• gran masa
• puede tener necrosis, grasa y / o calcificación
• Nodular (multifocal)
• masas múltiples de atenuación variable
• también puede tener necrosis central
• Infiltrativo (difuso) 
• pueden ser difíciles de distinguir de la cirrosis asociada - también se les ha denominado
CHC de tipo cirrotomimético o HCC tipo cirrosis
CARACTERÍSTICAS RADIOGRÁFICASCARACTERÍSTICAS RADIOGRÁFICAS
• Patrón de realce característico: mejora arterial temprana con "lavado
temprano". Por lo tanto, pequeños focos de HCC se puede ver dentro
de un nódulo regenerativo hígado , como focos de realce arterial.
• HCC rara vez demuestra una cicatriz central similar a la FNH. Además,
la mejora de los bordes en las imágenes de post-contraste retrasadas
representa una cápsula que se considera relativamente específica
para HCC.
• Estos tumores tienen la propensión a invadir estructuras vasculares
(vena porta, venas hepáticas, la VCI y la aurícula derecha). 
ECOGRAFIAECOGRAFIA
• Hígado pequeño HCC focal aparece hipoecoico en comparación con el hígado
normal
• Las lesiones más grandes son heterogéneas (fibrosis, cambios grasos, necrosis y
calcificación)
• Puede observarse un halo periférico de hipoecogenicidad (grasa)
• El HCC difuso puede ser difícil de identificar o distinguir de la cirrosis de fondo
TOMOGRAFÍATOMOGRAFÍA
• Por lo general, la masa capta contraste intensamente durante la fase arterial tardía (~ 35
segundos) y luego se elimina rápidamente, llegando a ser indistinta o hipoatenuante en la
fase venosa portal, en comparación con el resto del hígado.
• Además, pueden estar asociados con una anomalía de perfusión en forma de cuña debido
a shunts arterioportales, y esto, a su vez, puede resultar en un cambio graso focal en el
hígado normal. 
• También puede observarse un halo graso focal alrededor de un HCC en un hígado graso.
• El trombo tumoral de la vena portal puede distinguirse de un trombo blando al demostrar
mejoras.
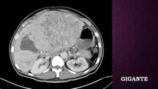
GIGANTEGIGANTE
DIFUSODIFUSO
RESONANCIA MAGNETICARESONANCIA MAGNETICA
• T1
• variable
• iso- o hiperintensa del hígado circundante
• hiperintensidad puede deberse a
• grasa intratumoral 
• disminución de la intensidad en el hígado
• T1 C + (Gd)
• mejora es generalmente arterial ("hypervascularity")
• "lavado rápido", convirtiéndose en hipointenso para el resto del hígado (96% específico) (esto
se debe a que el suministro a los CHC es predominantemente de la arteria hepática en lugar
de la vena porta)
• la mejora del borde puede persistir (denominada cápsula)
• se ha desarrollado un sistema de clasificación por imágenes ( LI-RADS ) para estratificar
lesiones
RESONANCIA MAGNETICARESONANCIA MAGNETICA
• T1 C + ( Eovist / Primovist )
• similar a la evaluación con Gd extracelular, pero la evaluación de la fase hepatobiliar
requiere atención.
• T2: variable, típicamente moderadamente hiperintensa
• C + post-SPIO (óxido de hierro): aumenta la sensibilidad en el diagnóstico de HCC
pequeños
• DWI: señal alta intratumoral; aumenta la sensibilidad y especificidad
CRITERIOS PRINCIPALES
• Mejora de la fase hepática
• hiperenfuerzo: mejora en la fase arterial es
definitivamente mayor que la del hígado de
fondo
• si no está seguro, clasifíquelo como
isoenhancing
• "fracaso"
• una evaluación visual de la hipointensidad
relativa de la lesión en comparación con el
hígado de fondo en las fases venosa portal y
tardía
• Cápsula / pseudocápsula
• borde periférico de hiperenfuerzo liso visto en
las fases venosa o tardía portal
• Crecimiento umbral
• diámetro de una masa por un mínimo de 5 mm
• además
• si examen previo ≤6 meses, diámetro ≥50%
de aumento
• si el examen previo> 6 meses, el diámetro
≥100% de aumento
• una nueva lesión de 10 mm representa un
crecimiento umbral, independientemente del
intervalo de tiempo
• El crecimiento umbral sólo se aplica a las masas
• el crecimiento umbral debe compararse en
secuencias similares entre los estudios
Características auxiliares
• favoreciendo HCC
• hiperintensidad T2 leve-moderada
• difusión restringida
• mejora de corona (borde de mejora peri-
lesional)
• arquitectura de mosaico
• nódulo en el nódulo de la arquitectura
• grasa intralesional
• hierro lesional
• pérdida de grasa lesional
• productos sanguíneos
• aumento del diámetro (menor que el
crecimiento umbral)
• favoreciendo la benignidad
• hiperintensidad T2 marcada
homogénea
• homogéneo marcado T2 o T2 *
hypointensity
• vasos no distorsionados
• paraleliza la mejora del pool de sangre
• reducción de diámetro
• estabilidad del diámetro> 2 años
TRATAMIENTOTRATAMIENTO
• Si la lesión es pequeña, entonces es posible la resección (hepatectomía parcial) hasta
2/3 del hígado se pueden resecar.
• El trasplante hepático también es una opción. se deben cumplir ciertos criterios
(criterios de Milán ).
• Si ninguna de estas opciones es posible, entonces quimioterapia, quimioembolización
transarterial (TACE), ablación térmica (RFA, crioablación o ablación por microondas)
y terapia de radiación interna selectiva (SIRT).
• Si un tumor es resecable, entonces la supervivencia a los 5 años es ~ 45% (rango 37-
56%) .
• La metástasis se produce en las etapas finales de la enfermedad (IVA) y tiene un mal
pronóstico. Los sitios más frecuentemente involucrados son el pulmón, las glándulas
suprarrenales, los ganglios linfáticos y el hueso.
Los criterios de Milán 
•Criterios utilizados para evaluar la idoneidad en pacientes para trasplante hepático
con cirrosis y carcinoma hepatocelular.
•Con el fin de ser adecuado para un trasplante de hígado, uno necesita tener :
• tumor único con diámetro ≤5 cm, o hasta 3 tumores cada uno con diámetro ≤3 cm
• sin afectación extrahepática
• ninguna participación importante de los buques
Hepatocarcinoma

Hepatocarcinoma

  • 1.
    HEPATOCARCINOMAHEPATOCARCINOMA Dr. Jhon MejíaGarayDr. Jhon Mejía Garay Residente de RadiologíaResidente de Radiología Rotación EMETAC S.A.C.Rotación EMETAC S.A.C.
  • 2.
    GENERALIDADESGENERALIDADES • El carcinomahepatocelular (HCC) es la neoplasia primaria más común del hígado.  • Está fuertemente asociado con la cirrosis , tanto por el alcohol como por las etiologías virales.  • El HCC constituye aproximadamente el 5% de todos los cánceres infección por hepatitis B. • El HCC se diagnostica típicamente en adultos de mediana edad avanzada o adultos mayores (promedio de 65 años) y es más común en varones (75% de casos) 
  • 3.
    PRESENTACIÓN CLÍNICAPRESENTACIÓN CLÍNICA •Síntomas constitucionales • Ictericia • Hipertensión portal de la invasión de la vena porta • Hepatomegalia / masa • Hemorragia del tumor
  • 4.
    PATOLOGÍA • El origende los HCC está relacionado con ciclos repetidos de necrosis y regeneración, independientemente de la causa.  • El genoma del VHB y del VHC contiene material genético que puede predisponer a las células a acumular mutaciones o altera el control del crecimiento, permitiendo así un segundo mecanismo mediante el cual la infección con estos agentes predispone al HCC
  • 5.
    MACROSCOPÍAMACROSCOPÍA • En lapatología macroscópica, los HCC típicamente aparecen como masas pálidas dentro del hígado. • Pueden ser de presentación unifocal, multifocales o difusamente infiltrantes. • El crecimiento macroscópico de los HCC suele clasificarse en tres subtipos: nodular, masivo e infiltrativo .  • El subtipo infiltrativo se caracteriza por un crecimiento de múltiples nódulos pequeños en todo el hígado o en un segmento entero del hígado.
  • 6.
    VARIEDADES DE APARIENCIAVARIEDADESDE APARIENCIA • Masivo (focal) • gran masa • puede tener necrosis, grasa y / o calcificación • Nodular (multifocal) • masas múltiples de atenuación variable • también puede tener necrosis central • Infiltrativo (difuso)  • pueden ser difíciles de distinguir de la cirrosis asociada - también se les ha denominado CHC de tipo cirrotomimético o HCC tipo cirrosis
  • 7.
    CARACTERÍSTICAS RADIOGRÁFICASCARACTERÍSTICAS RADIOGRÁFICAS •Patrón de realce característico: mejora arterial temprana con "lavado temprano". Por lo tanto, pequeños focos de HCC se puede ver dentro de un nódulo regenerativo hígado , como focos de realce arterial. • HCC rara vez demuestra una cicatriz central similar a la FNH. Además, la mejora de los bordes en las imágenes de post-contraste retrasadas representa una cápsula que se considera relativamente específica para HCC. • Estos tumores tienen la propensión a invadir estructuras vasculares (vena porta, venas hepáticas, la VCI y la aurícula derecha). 
  • 8.
    ECOGRAFIAECOGRAFIA • Hígado pequeñoHCC focal aparece hipoecoico en comparación con el hígado normal • Las lesiones más grandes son heterogéneas (fibrosis, cambios grasos, necrosis y calcificación) • Puede observarse un halo periférico de hipoecogenicidad (grasa) • El HCC difuso puede ser difícil de identificar o distinguir de la cirrosis de fondo
  • 10.
    TOMOGRAFÍATOMOGRAFÍA • Por logeneral, la masa capta contraste intensamente durante la fase arterial tardía (~ 35 segundos) y luego se elimina rápidamente, llegando a ser indistinta o hipoatenuante en la fase venosa portal, en comparación con el resto del hígado. • Además, pueden estar asociados con una anomalía de perfusión en forma de cuña debido a shunts arterioportales, y esto, a su vez, puede resultar en un cambio graso focal en el hígado normal.  • También puede observarse un halo graso focal alrededor de un HCC en un hígado graso. • El trombo tumoral de la vena portal puede distinguirse de un trombo blando al demostrar mejoras.
  • 11.
  • 12.
  • 14.
    RESONANCIA MAGNETICARESONANCIA MAGNETICA •T1 • variable • iso- o hiperintensa del hígado circundante • hiperintensidad puede deberse a • grasa intratumoral  • disminución de la intensidad en el hígado • T1 C + (Gd) • mejora es generalmente arterial ("hypervascularity") • "lavado rápido", convirtiéndose en hipointenso para el resto del hígado (96% específico) (esto se debe a que el suministro a los CHC es predominantemente de la arteria hepática en lugar de la vena porta) • la mejora del borde puede persistir (denominada cápsula) • se ha desarrollado un sistema de clasificación por imágenes ( LI-RADS ) para estratificar lesiones
  • 18.
    RESONANCIA MAGNETICARESONANCIA MAGNETICA •T1 C + ( Eovist / Primovist ) • similar a la evaluación con Gd extracelular, pero la evaluación de la fase hepatobiliar requiere atención. • T2: variable, típicamente moderadamente hiperintensa • C + post-SPIO (óxido de hierro): aumenta la sensibilidad en el diagnóstico de HCC pequeños • DWI: señal alta intratumoral; aumenta la sensibilidad y especificidad
  • 20.
    CRITERIOS PRINCIPALES • Mejorade la fase hepática • hiperenfuerzo: mejora en la fase arterial es definitivamente mayor que la del hígado de fondo • si no está seguro, clasifíquelo como isoenhancing • "fracaso" • una evaluación visual de la hipointensidad relativa de la lesión en comparación con el hígado de fondo en las fases venosa portal y tardía • Cápsula / pseudocápsula • borde periférico de hiperenfuerzo liso visto en las fases venosa o tardía portal • Crecimiento umbral • diámetro de una masa por un mínimo de 5 mm • además • si examen previo ≤6 meses, diámetro ≥50% de aumento • si el examen previo> 6 meses, el diámetro ≥100% de aumento • una nueva lesión de 10 mm representa un crecimiento umbral, independientemente del intervalo de tiempo • El crecimiento umbral sólo se aplica a las masas • el crecimiento umbral debe compararse en secuencias similares entre los estudios
  • 21.
    Características auxiliares • favoreciendoHCC • hiperintensidad T2 leve-moderada • difusión restringida • mejora de corona (borde de mejora peri- lesional) • arquitectura de mosaico • nódulo en el nódulo de la arquitectura • grasa intralesional • hierro lesional • pérdida de grasa lesional • productos sanguíneos • aumento del diámetro (menor que el crecimiento umbral) • favoreciendo la benignidad • hiperintensidad T2 marcada homogénea • homogéneo marcado T2 o T2 * hypointensity • vasos no distorsionados • paraleliza la mejora del pool de sangre • reducción de diámetro • estabilidad del diámetro> 2 años
  • 22.
    TRATAMIENTOTRATAMIENTO • Si lalesión es pequeña, entonces es posible la resección (hepatectomía parcial) hasta 2/3 del hígado se pueden resecar. • El trasplante hepático también es una opción. se deben cumplir ciertos criterios (criterios de Milán ). • Si ninguna de estas opciones es posible, entonces quimioterapia, quimioembolización transarterial (TACE), ablación térmica (RFA, crioablación o ablación por microondas) y terapia de radiación interna selectiva (SIRT). • Si un tumor es resecable, entonces la supervivencia a los 5 años es ~ 45% (rango 37- 56%) . • La metástasis se produce en las etapas finales de la enfermedad (IVA) y tiene un mal pronóstico. Los sitios más frecuentemente involucrados son el pulmón, las glándulas suprarrenales, los ganglios linfáticos y el hueso.
  • 23.
    Los criterios de Milán  •Criteriosutilizados para evaluar la idoneidad en pacientes para trasplante hepático con cirrosis y carcinoma hepatocelular. •Con el fin de ser adecuado para un trasplante de hígado, uno necesita tener : • tumor único con diámetro ≤5 cm, o hasta 3 tumores cada uno con diámetro ≤3 cm • sin afectación extrahepática • ninguna participación importante de los buques