NOSOLOGIA Y CLINICA DEL APARATO DIGESTIVO
ERIK SANDRE TOXQUI
Definición
 El hepatocarcinoma o carcinoma hepatocelular (HCC)
es un tumor maligno hepático causante de la muerte
anual de entre 250,000 y un millón de personas en el
mundo.
 Es la sexta neoplasia más frecuente y ocupa el cuarto
lugar entre las causas de mortalidad relacionadas con
el cáncer. Es la neoplasia primaria de hígado más
frecuente.
Epidemiologia
 Son regiones de alta incidencia geográfica (entre 15 y
100 casos por 100.000 habitantes y año) el extremo
oriente y el África subsahariana. Son regiones de
mediana incidencia (entre 5 y 10 casos por 100.000
habitantes y año) los países del área mediterránea.
Epidemiologia
 Son regiones de baja incidencia (menos de 3-5 casos
por 100.000 habitantes) el norte de Europa, Australia y
América. Estas variaciones geográficas van en paralelo
a factores raciales o genéticos y a factores ambientales
 En aquellos países cuya incidencia va ligada
etiopatogénicamente al virus de la hepatitis C (VHC) y
a la esteatohepatitis no alcohólica, la incidencia parece
ir en aumento.
 La edad de presentación más frecuente es entre la
sexta y la séptima décadas de la vida, salvo en las zonas
de alta incidencia donde la edad de presentación es
más temprana, en la tercera y la cuarta décadas de la
vida.
 Es más frecuente en varones con una proporción de
entre 2:1 y 6:1
Etiología
 El desarrollo del HCC está vinculado a la existencia de
 cirrosis hepática de cualquier etiología
principalmente. Sin embargo,
 también puede ocurrir en pacientes no cirróticos con
 hígado normal.
.
Etiología
 La infección crónica por el virus B, al que se le atribuye
 cierto poder oncogénico. Este hecho explica la alta
incidencia de HCC en zonas endémicas en virus B,
como Asia oriental y África subsahariana.
Etiología
 La infección crónica por el VHC.
 Las toxinas ambientales como la aflatoxina y las aguas
contaminadas
 Enolismo
 Cirrosis hepática de otro origen. (hemocromatosis,
cirrosis biliar primaria, etc.),
 La esteatohepatitis no alcohólica y la diabetes mellitus.
CLASIFICACION: Barcelona Clinic Liver Cancer (BCLC)
Variable 0 1
Bilirrubina (mg/dl) <3 >3
Albúmina (g/dl) >3 <3
Ascitis No Si
Tamaño tumor < 50% >50 %
•Okuda
•P.Status (ECOG)
Grado ECOG
0 Totalmente activo y capaz de realizar sus actividades normales sin
restricción
1 Limitación leve, actividad sedentaria, ambulatorio
2 Ambulatorio, autónomo, pero no activo laboralmente
3 Solo cuidados personales, en cama o sillón
4 Totalmente confinado a cama o sillón, no autonomía para
cuidados personales
Okuda, I: 0; II: 1-2; III: 3-4
Okuda K, Cancer, 1985
•Bi, HTP, Child-Pugh
Oken MM, Am J Clin Oncol, 1982
Cuadro clinico
 Habitualmente el HCC no presenta síntomas. Puesto
que la mayoría de ellos se desarrollan sobre un hígado
cirrótico, el paciente puede padecer los síntomas
propios de la cirrosis
Cuadro clinico
 ictericia obstructiva cuando la tumoración comprime
la vía biliar; hemobilia si la tumoración se rompe hacia
el conducto biliar; hemoperitoneo si se rompe hacia el
peritoneo; dolor óseo o disnea si la presentación es
metastásica; fiebre si el HCC es grande y presenta
necrosis central tumoral
Hepatocarcinoma
Diagnóstico precoz
90 % en pacientes cirróticos
Cribado en cirróticos (coste-eficaz)
1. Ecografía dirigida (Sens 80 %, Esp 90 %) cada 6 meses
2. Alfa-feto-proteína: Sens 35 %, Esp 70 %
Hepatocarcinoma
Diagnóstico
 90 % en cirrosis
 Lesión hipervascular precoz (arteria hepática), rápido aclaramiento,
hipovascular en fase portal
Otras lesiones (4 % en cirrosis): metástasis, tumores
neuroendocrinos, carcinoma renal, hemangioma, angiomiolipoma
 Cápsula o seudocápsula, hemorragia y/o grasa intratumoral
•Ecografía
•Ecografía con contraste
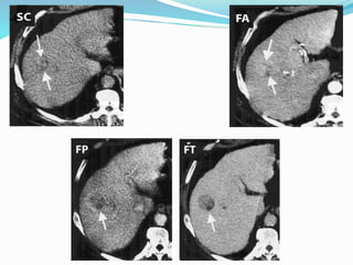
•TAC
•RM
Hepatocarcinoma
Criterios diagnósticos
Lesión hipervascular precoz (arteria hepática), rápido aclaramiento, hipovascular
en fase portal: intensa captación de contraste en fase arterial y lavado en fase
portal o tardía
Nódulos en paciente cirrótico:
> 2 cm: dos pruebas de imagen dinámica
1-2 cm: Biopsia
< 1 cm: seguimiento y si crece hepatocarcinoma
Comportamientos atípicos: biopsia-PAAF
Alfa-feto-proteína > 500 ng/dl
•Ecografía contraste
•TAC
•RM
Des gama-carboxiprotrombina
Hepatocarcinoma
Estudio de extensión
Invasión vascular intra y extrahepática (porta)
Ecografía- TAC- RM
Invasión extrahepática intraabdominal
Ecografía- TAC- RM
Metástasis pulmonares (TAC)
Metástasis óseas (g-grafía ósea)
Hepatocarcinoma
Ecografía
Sens.
>5 cm 75 % Esp.:93 %
3-5 cm 50 % VPP:14 %
2-3 cm 20 % ND: 4,6 %
1-2 cm 13 %
Única técnica en tumores avanzados
Mejora con potenciadores de señal (contrastes)
Técnica dependiente de explorador
Situaciones especiales: atrofia hepática, obesidad,
esteatosis, lesiones isoecogénicas, subdiafragmáticas,...
Tomografía Computarizada
Sensibilidad 50 % (37-94 %)
Especificidad 79 %
Helicoidal, multicorte, estudios dinámicos, angio-TC
4 fases: arterial precoz, parenquimatosa, venosa-portal
precoz y tardía
Resonancia Magnética
Secuencias rápidas,estudios hemodinámicos, adquisición
multifásica, Angio-RM
Contrastes:
•Gadolinio, Ferrumóxidos, Ferritina (c.Kupffer)
•Manganesio, DPDP, Telescan (hepatocitos)
Sens.
> 3 cm 100 %
> 1 cm 52 %
< 1 cm 4 %
Global 55-93 %
T1 hipointensa
T2 hiperintensa
PT1
PT2
Hepatocarcinoma
Pronóstico
HC
Número y tamaño
Invasión vascular
Invasión extrahepática
Tratable Tumor Función hepática Estado general
Resección
Trasplante
RF/IPE
Tamaño
Localización
Número
Invasión vascular
Child-Pugh
Meld
HT portal
Karnofski
Performance status
Síntomas
BCLC: implicaciones terapéuticas (clasificación de Milán)
HC
Estadio 0
Ch A; PST 0 Estadio A-C
Ch A-B; PST 0-2
Estadio D
Ch C; PST>2
Muy temprano 0
Único < 2 cm, ca in situ
Temprano A
Único o <3<3cm; PST 0
Intermedio B
multinodular; PST 0
Avanzado C
Inv portal-extrahep;PST1-2
Terminal D
Presión portal
Bilirrubina
<3 nódulos
< 3 cm
Normal Aumentada
RESECCION
Enf.asociadas
TRASPLANTE IPE/RF QETA
SORAFENIB
OTROS SINTOMATICO
Tratamientos curativos (40 %)
Supervivencia a los 5 a: 50-70 %
Trat. paliativos (30 %)
Sv 20 m/ Sv 11 m
Tto. Sint (30 %)
SV a 1 a: 10 %
Percutaneous ethanol injection (PEI) and
radiofrequency ablation (RFA
• Mortalidad:
• < 3-5 % perioperatoria, mortalidad 50 % a los 5
• Recidiva 70 % a los 5 años:
 Precoz, antes de los 2 años (75 %)
 Tardía, tumores de novo (25 %)
• Si datos de alto riesgo de recidiva (invasión microvascular o nódulos satélites),
considerar trasplante hepático
Hepatocarcinoma
Resección
• Indicaciones:
• HC sobre hígado no cirrótico (5-10 %, Asia 40 %)
• Cirrosis compensada: ausencia de HT portal significativa, bi normal, plaq >
100.000,
• Tumores pequeños, únicos, resecables por su localización
Hepatocarcinoma
Trasplante
Discusión:
• Extensión de criterios de Milan
• Tto inmunosupresor postx
• Manejo del HC en lista activa
(exclusiones 15-30 % al año)
Priorización del HC
Tratamientos: QETA, RF
Indicaciones:
• Criterios de Milan (Mazzaferro, 1996): único < 5 cm o < 3 menores de 3 cm, sin
invasión vascular ni extrahepática
• Supervivencia a los 4 años del 75 %, con tasa de recidiva < 10 %
años
• Eficacia:
• General 80 %, con recurrencia del 40 % a los 2 años
• Factores de riesgo:
 Respuesta inicial completa (TAMAÑO)
 Child-Pugh
 Número y tamaño
 AFP
Hepatocarcinoma
Tratamiento percutáneo
• Indicaciones:
• IPE: tumores < 3 cm
• RF: igual, con mayor capacidad ablativa (menos sesiones)
Atención a : localización subcapsular, vecindad de vesícula, corazón, vasos.
<2 cm 96 %
2-3 cm 78 %
3-5 cm 57 %
5-7 cm 45 %
2-3 nódulos 46 %
• Síndrome postQETA: fiebre, íleo, dolor abdominal, abscesos, colecistitis
isquémica, fallo hepático
• Contraindicaciones:
• Trombosis portal o flujo hepatófugo
• Insuficiencia renal
• Coagulopatía grave
• Estadio B o C de Ch-P
Hepatocarcinoma
Quimioembolización transarterial (QETA)
• Doxorrubicina, Mitomicina, Cisplatino, Adriamicina
• Disminuye la progresión y la invasión vascular
• Supervivencia ? (16 – 20 meses)
• DC Beads: doxo/adria de liberación lenta e in situ Radioembolización
(Ytrium90, lipiodol-I131)
Hepatocarcinoma
Quimioembolización transarterial (QETA)
Embolización arterial
Radioembolizacion9o909
90p
Hepatocarcinoma avanzado
Tratamiento: Sorafenib
Sorafenib RAF, VEGF, PFGFR
Tamoxifeno
Seocalcitol
Doxorubicina
Cisplatino
…
RAF: vía de señalización de HCC
VEGF: factor de crecimiento endotelio vascular
PFGFR: Receptor de factor de crecimiento plaquetas
Vasos neoformados: alteración expresión génica
proangiogénica, con cambios estructurales y funcionales,
recubiertos por cels. tumorales, con luz irregular,
Hepatocarcinoma
Prevención
Evitar factores de riesgo:
1. Evitar progresión a cirrosis: virus B, virus C, alcohol, …
2. Evitar síndrome metabólico, diabetes
3. Evitar consumo de alcohol
4. VHB: vacunación antiviral, tratamiento antiviral (Lamivudina,
Adefovir, Telbivudina, Entecavir, Tenofovir, ..)
5. VHC: tratamiento antiviral (IFN pegilado y Ribavirina)
Bibliografa
 Villalobos Peréz (2012) 6ª Edicion Gastroenterología
Mendez, México.
 Eduardo Pérez Torres (2012) 1ª Edicion
Gastrenterologia, Mc Graw Hill. México

Hepatocarcinoma

  • 1.
    NOSOLOGIA Y CLINICADEL APARATO DIGESTIVO ERIK SANDRE TOXQUI
  • 2.
    Definición  El hepatocarcinomao carcinoma hepatocelular (HCC) es un tumor maligno hepático causante de la muerte anual de entre 250,000 y un millón de personas en el mundo.
  • 3.
     Es lasexta neoplasia más frecuente y ocupa el cuarto lugar entre las causas de mortalidad relacionadas con el cáncer. Es la neoplasia primaria de hígado más frecuente.
  • 4.
    Epidemiologia  Son regionesde alta incidencia geográfica (entre 15 y 100 casos por 100.000 habitantes y año) el extremo oriente y el África subsahariana. Son regiones de mediana incidencia (entre 5 y 10 casos por 100.000 habitantes y año) los países del área mediterránea.
  • 5.
    Epidemiologia  Son regionesde baja incidencia (menos de 3-5 casos por 100.000 habitantes) el norte de Europa, Australia y América. Estas variaciones geográficas van en paralelo a factores raciales o genéticos y a factores ambientales
  • 6.
     En aquellospaíses cuya incidencia va ligada etiopatogénicamente al virus de la hepatitis C (VHC) y a la esteatohepatitis no alcohólica, la incidencia parece ir en aumento.
  • 7.
     La edadde presentación más frecuente es entre la sexta y la séptima décadas de la vida, salvo en las zonas de alta incidencia donde la edad de presentación es más temprana, en la tercera y la cuarta décadas de la vida.  Es más frecuente en varones con una proporción de entre 2:1 y 6:1
  • 8.
    Etiología  El desarrollodel HCC está vinculado a la existencia de  cirrosis hepática de cualquier etiología principalmente. Sin embargo,  también puede ocurrir en pacientes no cirróticos con  hígado normal. .
  • 9.
    Etiología  La infeccióncrónica por el virus B, al que se le atribuye  cierto poder oncogénico. Este hecho explica la alta incidencia de HCC en zonas endémicas en virus B, como Asia oriental y África subsahariana.
  • 10.
    Etiología  La infeccióncrónica por el VHC.  Las toxinas ambientales como la aflatoxina y las aguas contaminadas  Enolismo  Cirrosis hepática de otro origen. (hemocromatosis, cirrosis biliar primaria, etc.),  La esteatohepatitis no alcohólica y la diabetes mellitus.
  • 11.
    CLASIFICACION: Barcelona ClinicLiver Cancer (BCLC) Variable 0 1 Bilirrubina (mg/dl) <3 >3 Albúmina (g/dl) >3 <3 Ascitis No Si Tamaño tumor < 50% >50 % •Okuda •P.Status (ECOG) Grado ECOG 0 Totalmente activo y capaz de realizar sus actividades normales sin restricción 1 Limitación leve, actividad sedentaria, ambulatorio 2 Ambulatorio, autónomo, pero no activo laboralmente 3 Solo cuidados personales, en cama o sillón 4 Totalmente confinado a cama o sillón, no autonomía para cuidados personales Okuda, I: 0; II: 1-2; III: 3-4 Okuda K, Cancer, 1985 •Bi, HTP, Child-Pugh Oken MM, Am J Clin Oncol, 1982
  • 12.
    Cuadro clinico  Habitualmenteel HCC no presenta síntomas. Puesto que la mayoría de ellos se desarrollan sobre un hígado cirrótico, el paciente puede padecer los síntomas propios de la cirrosis
  • 13.
    Cuadro clinico  ictericiaobstructiva cuando la tumoración comprime la vía biliar; hemobilia si la tumoración se rompe hacia el conducto biliar; hemoperitoneo si se rompe hacia el peritoneo; dolor óseo o disnea si la presentación es metastásica; fiebre si el HCC es grande y presenta necrosis central tumoral
  • 14.
    Hepatocarcinoma Diagnóstico precoz 90 %en pacientes cirróticos Cribado en cirróticos (coste-eficaz) 1. Ecografía dirigida (Sens 80 %, Esp 90 %) cada 6 meses 2. Alfa-feto-proteína: Sens 35 %, Esp 70 %
  • 15.
    Hepatocarcinoma Diagnóstico  90 %en cirrosis  Lesión hipervascular precoz (arteria hepática), rápido aclaramiento, hipovascular en fase portal Otras lesiones (4 % en cirrosis): metástasis, tumores neuroendocrinos, carcinoma renal, hemangioma, angiomiolipoma  Cápsula o seudocápsula, hemorragia y/o grasa intratumoral •Ecografía •Ecografía con contraste •TAC •RM
  • 16.
    Hepatocarcinoma Criterios diagnósticos Lesión hipervascularprecoz (arteria hepática), rápido aclaramiento, hipovascular en fase portal: intensa captación de contraste en fase arterial y lavado en fase portal o tardía Nódulos en paciente cirrótico: > 2 cm: dos pruebas de imagen dinámica 1-2 cm: Biopsia < 1 cm: seguimiento y si crece hepatocarcinoma Comportamientos atípicos: biopsia-PAAF Alfa-feto-proteína > 500 ng/dl •Ecografía contraste •TAC •RM Des gama-carboxiprotrombina
  • 18.
    Hepatocarcinoma Estudio de extensión Invasiónvascular intra y extrahepática (porta) Ecografía- TAC- RM Invasión extrahepática intraabdominal Ecografía- TAC- RM Metástasis pulmonares (TAC) Metástasis óseas (g-grafía ósea)
  • 19.
    Hepatocarcinoma Ecografía Sens. >5 cm 75% Esp.:93 % 3-5 cm 50 % VPP:14 % 2-3 cm 20 % ND: 4,6 % 1-2 cm 13 % Única técnica en tumores avanzados Mejora con potenciadores de señal (contrastes) Técnica dependiente de explorador Situaciones especiales: atrofia hepática, obesidad, esteatosis, lesiones isoecogénicas, subdiafragmáticas,...
  • 21.
    Tomografía Computarizada Sensibilidad 50% (37-94 %) Especificidad 79 % Helicoidal, multicorte, estudios dinámicos, angio-TC 4 fases: arterial precoz, parenquimatosa, venosa-portal precoz y tardía
  • 23.
    Resonancia Magnética Secuencias rápidas,estudioshemodinámicos, adquisición multifásica, Angio-RM Contrastes: •Gadolinio, Ferrumóxidos, Ferritina (c.Kupffer) •Manganesio, DPDP, Telescan (hepatocitos) Sens. > 3 cm 100 % > 1 cm 52 % < 1 cm 4 % Global 55-93 % T1 hipointensa T2 hiperintensa
  • 24.
  • 25.
    Hepatocarcinoma Pronóstico HC Número y tamaño Invasiónvascular Invasión extrahepática Tratable Tumor Función hepática Estado general Resección Trasplante RF/IPE Tamaño Localización Número Invasión vascular Child-Pugh Meld HT portal Karnofski Performance status Síntomas
  • 26.
    BCLC: implicaciones terapéuticas(clasificación de Milán) HC Estadio 0 Ch A; PST 0 Estadio A-C Ch A-B; PST 0-2 Estadio D Ch C; PST>2 Muy temprano 0 Único < 2 cm, ca in situ Temprano A Único o <3<3cm; PST 0 Intermedio B multinodular; PST 0 Avanzado C Inv portal-extrahep;PST1-2 Terminal D Presión portal Bilirrubina <3 nódulos < 3 cm Normal Aumentada RESECCION Enf.asociadas TRASPLANTE IPE/RF QETA SORAFENIB OTROS SINTOMATICO Tratamientos curativos (40 %) Supervivencia a los 5 a: 50-70 % Trat. paliativos (30 %) Sv 20 m/ Sv 11 m Tto. Sint (30 %) SV a 1 a: 10 % Percutaneous ethanol injection (PEI) and radiofrequency ablation (RFA
  • 27.
    • Mortalidad: • <3-5 % perioperatoria, mortalidad 50 % a los 5 • Recidiva 70 % a los 5 años:  Precoz, antes de los 2 años (75 %)  Tardía, tumores de novo (25 %) • Si datos de alto riesgo de recidiva (invasión microvascular o nódulos satélites), considerar trasplante hepático Hepatocarcinoma Resección • Indicaciones: • HC sobre hígado no cirrótico (5-10 %, Asia 40 %) • Cirrosis compensada: ausencia de HT portal significativa, bi normal, plaq > 100.000, • Tumores pequeños, únicos, resecables por su localización
  • 28.
    Hepatocarcinoma Trasplante Discusión: • Extensión decriterios de Milan • Tto inmunosupresor postx • Manejo del HC en lista activa (exclusiones 15-30 % al año) Priorización del HC Tratamientos: QETA, RF Indicaciones: • Criterios de Milan (Mazzaferro, 1996): único < 5 cm o < 3 menores de 3 cm, sin invasión vascular ni extrahepática • Supervivencia a los 4 años del 75 %, con tasa de recidiva < 10 % años
  • 29.
    • Eficacia: • General80 %, con recurrencia del 40 % a los 2 años • Factores de riesgo:  Respuesta inicial completa (TAMAÑO)  Child-Pugh  Número y tamaño  AFP Hepatocarcinoma Tratamiento percutáneo • Indicaciones: • IPE: tumores < 3 cm • RF: igual, con mayor capacidad ablativa (menos sesiones) Atención a : localización subcapsular, vecindad de vesícula, corazón, vasos. <2 cm 96 % 2-3 cm 78 % 3-5 cm 57 % 5-7 cm 45 % 2-3 nódulos 46 %
  • 30.
    • Síndrome postQETA:fiebre, íleo, dolor abdominal, abscesos, colecistitis isquémica, fallo hepático • Contraindicaciones: • Trombosis portal o flujo hepatófugo • Insuficiencia renal • Coagulopatía grave • Estadio B o C de Ch-P Hepatocarcinoma Quimioembolización transarterial (QETA) • Doxorrubicina, Mitomicina, Cisplatino, Adriamicina • Disminuye la progresión y la invasión vascular • Supervivencia ? (16 – 20 meses) • DC Beads: doxo/adria de liberación lenta e in situ Radioembolización (Ytrium90, lipiodol-I131)
  • 31.
  • 32.
    Hepatocarcinoma avanzado Tratamiento: Sorafenib SorafenibRAF, VEGF, PFGFR Tamoxifeno Seocalcitol Doxorubicina Cisplatino … RAF: vía de señalización de HCC VEGF: factor de crecimiento endotelio vascular PFGFR: Receptor de factor de crecimiento plaquetas Vasos neoformados: alteración expresión génica proangiogénica, con cambios estructurales y funcionales, recubiertos por cels. tumorales, con luz irregular,
  • 33.
    Hepatocarcinoma Prevención Evitar factores deriesgo: 1. Evitar progresión a cirrosis: virus B, virus C, alcohol, … 2. Evitar síndrome metabólico, diabetes 3. Evitar consumo de alcohol 4. VHB: vacunación antiviral, tratamiento antiviral (Lamivudina, Adefovir, Telbivudina, Entecavir, Tenofovir, ..) 5. VHC: tratamiento antiviral (IFN pegilado y Ribavirina)
  • 34.
    Bibliografa  Villalobos Peréz(2012) 6ª Edicion Gastroenterología Mendez, México.  Eduardo Pérez Torres (2012) 1ª Edicion Gastrenterologia, Mc Graw Hill. México