HISTOLOGIA
SEMANA 4
SESION 8: SISTEMA DIGESTIVO II
GLÁNDULAS DIGESTIVAS Y ORGANOS ASOCIADOS
GLÁNDULAS DIGESTIVAS Y ORGANOS ASOCIADOS
GLÁNDULAS DIGESTIVAS Y ORGANOS ASOCIADOS
GLÁNDULAS DIGESTIVAS Y ORGANOS ASOCIADOS
GLÁNDULAS DIGESTIVAS Y ORGANOS ASOCIADOS
GLÁNDULAS SALIVALES
Se reconocen tres como las principales:
Nombre Ac. Serosos Ac. Mucosos Ac. Mixtos Tej. Adiposo
Sublinguales + + + + + + +
Submaxilares + + + + + +
Parótidas + + + + NO NO + +
GLÁNDULAS SALIVALES
ACINO SEROSO
ACINO MUCINOSO
GLÁNDULA PAROTIDA
GLÁNDULA PAROTIDA
GLÁNDULA PAROTIDA
GLÁNDULA SUBMAXILAR
GLÁNDULA SUBMAXILAR
GLÁNDULA SUBLINGUAL
GLÁNDULA SUBLINGUAL
GLÁNDULA SUBLINGUAL
HIGADO
HÍGADO
Es la glándula de mayor tamaño del organismo. Se encuentra en la cavidad abdominal en el
cuadrante superior derecho, justamente por debajo del diafragma. Se subdivide en cuatro
lóbulos: derecho, izquierdo, cuadrado y caudado.
El hígado tiene funciones tanto endocrinas como exocrinas. A diferencia del páncreas la misma
célula, el hepatocito, se encarga tanto de la producción endocrina como exocrina
HÍGADO
Los vasos quilíferos se unen y llegan al hígado a través de la vena hepática. Estas de
distribuyen por las venas centrales de los lobulillos hepáticos, para luego distribuirse
por los capilares sinusoidales ubicados entre las trabéculas hepáticas o de Remack.
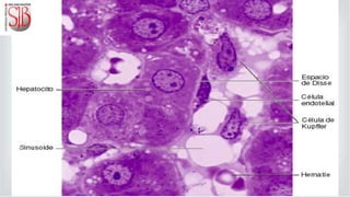
Las moléculas pasan al espacio de Disse de donde son tomadas por los hepatocitos.
Los hepatocitos realizan la glucoronoconjugación, y finalmente se produce la bilis.
Ésta va por los capilares biliares, pasa por el espacio de Düke para desembocar en los
conductillos biliares que son visibles en los espacios interlobulillares o de Kiernan o
porta. Se observan junto a vénulas y arteriolas.
ESTRUCTURA GENERAL
Y RIEGO SANGUÍNEO DEL HÍGADO
Con excepción de la zona desnuda, el hígado está envuelto de peritoneo sobre la cápsula de Glisson,
que es de tejido conectivo denso irregular. La cápsula se introduce en el hígado y forma un soporte
para los vasos sanguíneos, linfáticos y los conductos biliares.
El hígado tiene un riego sanguíneo doble, pues recibe sangre oxigenada de las arterias hepáticas
izquierda y derecha en un 25% y sangre rica en nutrientes provenientes de la vena porta en un 75%. La
sangre sale por las venas hepáticas que vacían su contenido en la vena cava inferior.
HIGADO
HIGADO
HIGADO
Los hepatocitos están distribuidos en lobulillos de forma hexagonal, miden 2 mm de longitud y 0.7 mm de diámetro con
límites muy escasos de tejido conectivo (lobulillo clásico). Los espacios porta es la intersección de tres lobulillos
hepáticos. Acá encontramos a una arteriola, rama de la arteria hepática; vénula, rama de la vena porta; conductos
biliares y vasos linfáticos.
El eje longitudinal de cada lobulillo está ocupado por una vena central, rama inicial de la vena hepática. Los hepatocitos
se proyectan al igual que los rayos de una rueda desde la vena central y forman placas
HIGADO
HIGADO
HIGADO
Imagen a menor aumento
de la cara externa del
hígado. La Cápsula de
Glisson se adhiere
firmemente al parénquima
subyacente.
HÍGADO NORMAL
HIGADO
HIGADO
HIGADO
Los conductillos biliares forman
conductos biliares y luego los
conductos hepáticos derecho e
izquierdo.
Se unen y forman el conducto
hepático común.
Se une al conducto cístico y forma el
conducto colédoco que desemboca en
la ampolla de Vater junto al conducto
de Wirsung.
HIGADO
HIGADO
La bilis baja por los conductos hepáticos derecho
e izquierdo, originando el conducto hepático común,
el que se une a la desembocadura del conducto
cístico formando el conducto colédoco. Desemboca
finalmente en la ampolla de Vater.
La bilis ingresa a la vesícula biliar por éstasis. El
hígado metaboliza, todos los nutrientes (salvo los
quilomicrones) que se absorben por el tubo
digestivo se transportan hacia este por la vena
porta. La sangre del Bazo llega por la vena porta al
hígado.
VESICULA BILIAR
VESICULA BILIAR
VESICULA BILIAR
VESICULA BILIAR
La pared tiene tres capas. En una vesícula biliar
vacía o contraída, la mucosa muestra muchos
pliegues, que se aplanan cuando el órgano se
llena de bilis.
Esta vesícula biliar ligeramente distendida tiene
solo unos pocos pliegues pequeños. Los haces
de fibras musculares lisas forman la muscularis
media.
La serosa contiene una rica red de canales
linfáticos (*) y escubierto externamente por
mesotelio escamoso simple del peritoneo
VESICULA BILIAR
La mucosa muestra muchos pliegues, que están revestidos por
un epitelio columnar simple. El epitelio descansa sobre tejido
conectivo suelto y muy vascularizado: la lámina propia.
Los pliegues de la mucosa se extienden hasta la parte superior
de la muscular y se parecen a las vellosidades, pero a diferencia
de las vellosidades, desaparecen en un órgano distendido.
Las células del músculo liso de la muscular están orientadas en
diferentes direcciones: longitudinal, circular y oblicua. Una
capa más externa de tejido conectivo irregular denso
constituye la adventicia.
VESICULA BILIAR
El epitelio columnar simple recubre la
luz.
La lámina propia altamente celular
contiene partes de una glándula
mucosa.
Las glándulas mucosas se encuentran
en el área del cuello, pero
generalmente están ausentes en otras
partes del órgano.
PÁNCREAS
El páncreas presenta una zona endocrina y otra exocrina. Los acinos pancreáticos
presentan las células centro acinares.
Entre las sustancias producidas tenemos el tripsinógeno (se activa en tripsina al
mezclarse con la bilis).
PÁNCREAS
PÁNCREAS
Paul W. Langerhans, 1847-1888
Paul W. Langerhans, 1847-1888
PÁNCREAS
MUCHAS GRACIAS……

4 ta teoria. digestivo 2

  • 2.
    HISTOLOGIA SEMANA 4 SESION 8:SISTEMA DIGESTIVO II
  • 3.
    GLÁNDULAS DIGESTIVAS YORGANOS ASOCIADOS
  • 4.
    GLÁNDULAS DIGESTIVAS YORGANOS ASOCIADOS
  • 5.
    GLÁNDULAS DIGESTIVAS YORGANOS ASOCIADOS
  • 6.
    GLÁNDULAS DIGESTIVAS YORGANOS ASOCIADOS
  • 7.
    GLÁNDULAS DIGESTIVAS YORGANOS ASOCIADOS
  • 8.
    GLÁNDULAS SALIVALES Se reconocentres como las principales: Nombre Ac. Serosos Ac. Mucosos Ac. Mixtos Tej. Adiposo Sublinguales + + + + + + + Submaxilares + + + + + + Parótidas + + + + NO NO + +
  • 9.
  • 10.
  • 11.
  • 12.
  • 13.
  • 14.
  • 15.
  • 16.
  • 17.
  • 18.
  • 19.
  • 20.
  • 21.
    HÍGADO Es la glándulade mayor tamaño del organismo. Se encuentra en la cavidad abdominal en el cuadrante superior derecho, justamente por debajo del diafragma. Se subdivide en cuatro lóbulos: derecho, izquierdo, cuadrado y caudado. El hígado tiene funciones tanto endocrinas como exocrinas. A diferencia del páncreas la misma célula, el hepatocito, se encarga tanto de la producción endocrina como exocrina
  • 22.
    HÍGADO Los vasos quilíferosse unen y llegan al hígado a través de la vena hepática. Estas de distribuyen por las venas centrales de los lobulillos hepáticos, para luego distribuirse por los capilares sinusoidales ubicados entre las trabéculas hepáticas o de Remack. Las moléculas pasan al espacio de Disse de donde son tomadas por los hepatocitos. Los hepatocitos realizan la glucoronoconjugación, y finalmente se produce la bilis. Ésta va por los capilares biliares, pasa por el espacio de Düke para desembocar en los conductillos biliares que son visibles en los espacios interlobulillares o de Kiernan o porta. Se observan junto a vénulas y arteriolas.
  • 23.
    ESTRUCTURA GENERAL Y RIEGOSANGUÍNEO DEL HÍGADO Con excepción de la zona desnuda, el hígado está envuelto de peritoneo sobre la cápsula de Glisson, que es de tejido conectivo denso irregular. La cápsula se introduce en el hígado y forma un soporte para los vasos sanguíneos, linfáticos y los conductos biliares. El hígado tiene un riego sanguíneo doble, pues recibe sangre oxigenada de las arterias hepáticas izquierda y derecha en un 25% y sangre rica en nutrientes provenientes de la vena porta en un 75%. La sangre sale por las venas hepáticas que vacían su contenido en la vena cava inferior.
  • 24.
  • 25.
  • 26.
    HIGADO Los hepatocitos estándistribuidos en lobulillos de forma hexagonal, miden 2 mm de longitud y 0.7 mm de diámetro con límites muy escasos de tejido conectivo (lobulillo clásico). Los espacios porta es la intersección de tres lobulillos hepáticos. Acá encontramos a una arteriola, rama de la arteria hepática; vénula, rama de la vena porta; conductos biliares y vasos linfáticos. El eje longitudinal de cada lobulillo está ocupado por una vena central, rama inicial de la vena hepática. Los hepatocitos se proyectan al igual que los rayos de una rueda desde la vena central y forman placas
  • 27.
  • 28.
  • 29.
    HIGADO Imagen a menoraumento de la cara externa del hígado. La Cápsula de Glisson se adhiere firmemente al parénquima subyacente.
  • 30.
  • 31.
  • 33.
  • 35.
  • 38.
    Los conductillos biliaresforman conductos biliares y luego los conductos hepáticos derecho e izquierdo. Se unen y forman el conducto hepático común. Se une al conducto cístico y forma el conducto colédoco que desemboca en la ampolla de Vater junto al conducto de Wirsung.
  • 40.
  • 41.
  • 42.
    La bilis bajapor los conductos hepáticos derecho e izquierdo, originando el conducto hepático común, el que se une a la desembocadura del conducto cístico formando el conducto colédoco. Desemboca finalmente en la ampolla de Vater. La bilis ingresa a la vesícula biliar por éstasis. El hígado metaboliza, todos los nutrientes (salvo los quilomicrones) que se absorben por el tubo digestivo se transportan hacia este por la vena porta. La sangre del Bazo llega por la vena porta al hígado. VESICULA BILIAR
  • 43.
  • 44.
  • 45.
    VESICULA BILIAR La paredtiene tres capas. En una vesícula biliar vacía o contraída, la mucosa muestra muchos pliegues, que se aplanan cuando el órgano se llena de bilis. Esta vesícula biliar ligeramente distendida tiene solo unos pocos pliegues pequeños. Los haces de fibras musculares lisas forman la muscularis media. La serosa contiene una rica red de canales linfáticos (*) y escubierto externamente por mesotelio escamoso simple del peritoneo
  • 46.
    VESICULA BILIAR La mucosamuestra muchos pliegues, que están revestidos por un epitelio columnar simple. El epitelio descansa sobre tejido conectivo suelto y muy vascularizado: la lámina propia. Los pliegues de la mucosa se extienden hasta la parte superior de la muscular y se parecen a las vellosidades, pero a diferencia de las vellosidades, desaparecen en un órgano distendido. Las células del músculo liso de la muscular están orientadas en diferentes direcciones: longitudinal, circular y oblicua. Una capa más externa de tejido conectivo irregular denso constituye la adventicia.
  • 47.
    VESICULA BILIAR El epiteliocolumnar simple recubre la luz. La lámina propia altamente celular contiene partes de una glándula mucosa. Las glándulas mucosas se encuentran en el área del cuello, pero generalmente están ausentes en otras partes del órgano.
  • 48.
    PÁNCREAS El páncreas presentauna zona endocrina y otra exocrina. Los acinos pancreáticos presentan las células centro acinares. Entre las sustancias producidas tenemos el tripsinógeno (se activa en tripsina al mezclarse con la bilis).
  • 50.
  • 52.
  • 53.
  • 54.
  • 56.
  • 59.