Universidad Internacional de las Américas
Laberintos Óseos
Órgano de Corti
Membrana Vestibular
Helicotrema
Nervio Coclear
Canal Vestibular
Membrana
Timpánica
Conducto Coclear
Conducto Coclear
Membrana Basilar
Canal Vestibular
Membrana
Vestibular
Órgano de Corti
Ligamento en
Espiral
Células Pilosas
Escala Vestibular
Escala Timpánica
Fibras Nerviosas
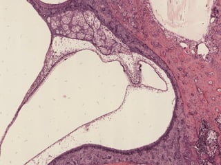
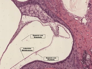
Laberinto
Membranoso
Cúpula
Crestas
Ampollares
Canales
Semicirculares
Células Pilosas
Membrana Vestibular
Órgano de
Corti
Escala Timpánica
Escala Vestibular
Órgano de Corti
Estría Vascular del
Conducto Coclear
T.E.Plano Estratificado
Membrana
Vestibular
Membrana Basilar
Membrana Basilar
Membrana Vestibular
Membrana Tectorial
Membrana Basilar
Ganglio Espiral
Conducto Coclear
Escala Timpánica
Ligamento Espiral
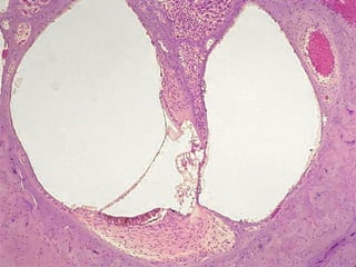
Utrículo
Macula del
Utrículo
Macula del
Saculo
Saculo
Crestas
Ampollares
Conductos Semicirculares
Espacio con
Perilinfa
Laberinto
Membranoso
Espacio con
Endolinfa
Gabriela Calvo ReyesGabriela Calvo Reyes
Silvia Montes de Oca ChacónSilvia Montes de Oca Chacón
Rodrigo Quesada ÁlvarezRodrigo Quesada Álvarez
Meybelline Ruiz CéspedesMeybelline Ruiz Céspedes
Universidad Internacional de las Américas
Cuerpo Vítreo 
Iris 
Musculo Constrictor de la Retina 
Nervio Óptico 
Cornea
Cristalino
Esclera
Coroides
Retina
OJO
Cámara
Anterior 
Cámara
Posterior 
Cornea
Cristalino
Conducto de
Schlemm
Procesos
Ciliares
Ligamento
Suspensorio  
Musculo Constrictor de la Retina
Musculo Dilatador de la Pupila 
Procesos Ciliares
Cuerpos Ciliares
Musculo Ciliar 
Estroma
Membrana de Bowman 
Epitelio Anterior 
Membrana de Descement
Endotelio Corneal
apas de la Retina
apas de la Retina Epitelio
Pigmentario
Conos y
Bastones
Limitante Externa
Nuclear Externa
Plexiforme Externa
Nuclear Interna
Plexiforme Interna
Células Ganglionares
Fibras
erviosas
Limitante Interna
Nervio Óptico
Fóvea

Histologia Ojo y oido