Revisión Básica Radiológica
Cuatro patrones básicos de
densidades
•hueso
•agua (músculo)
•grasa
•aire
Densidades Radiográficas
Básicas
•metal
•hueso cortical
•hueso medular
•agua (músculo)
•grasa
•aire
Densidades
Radiográficas
Básicas
La Radiografia: Un negativo
Un abordaje lógico…
● Mirar primero las vistas lateral y frontal
● Luego las otras vistas
● Colocar las radiografías en el negatoscopio,
siempre de la misma manera
● Si Ud vé algo en una vista, trate de encontrarla
en otra para confirmar que eso que vió es real
● Recordar las claves en el patrón de búsqueda:
ABC’s
ABCs de la
Interpretación
Radiológica
● Alineamiento
● Hueso (Bone)
● Espacio de Cartílago
● Partes Blandas (Soft Tissue)
CS
AB
Alineamiento
● Mediciones
● Curvatura
● Rotación
● Relación entre
huesos
● Lordosis
● Cifósis
● Escoliosis
● Deformidad
● Espondilolistesis
● Fractura: alineación:
aposición,
angulación, rotación
A
Yochum & Rowe, 1996
Hueso
● Cortical
● Médula
● Patrón Trabecular
● Densidad General
● Tamaño
● Forma
● Configuración
● Platillo terminal
● Pedículo
● Lamina
● Procesos: transverso
espinoso articular
B
Yochum & Rowe, 1996
● Espacio Discal
● Articulación
Apofisial
● Costovertebral
● Costotransversa
● Estrechamiento
articular
● Articulaciones
sinoviales
● Articulaciones
fibrosas
● Simetría
● Hueso subcondral
● Comparación
bilateral
Espacio de
C Cartílago
Yochum & Rowe, 1996
Partes Blandas
● Encapsulamiento
de grasa
● Organos
● Piel
● Vasos sanguíneos
● Cálculos
● Quistes
● Aneurismas
● Patrones Gaseosos
S
Yochum & Rowe, 1996
Columa Cervical
Vistas Normales en Series Limitadas
*AP Boca Abierta
*AP Cervical Inferior
*Lateral Neutral
Vistas Suplementarias
*Oblícuas Anterior o Posterior
*Laterales Flexión y Extensión
*PilaresArticulares
AP Boca Abierta
Estructuras
Visualizadas
•Odontoides
•Masas laterales C1
•Cóndilos occipitales
•Cuerpo C2
•PE C2
AP Boca Abierta - Marcado
AP Cervical Inferior
Estructuras Visualizadas
•Cuerpos Vertebrales
•PT’s
•PE’s
•Costillas Superiores
•Campos Pulmonares Superiores
•Procesos Uncinosos
•Sombra Aire Traqueal
AP Cervical Inferior- Marcado
Cervical Lateral
Estructuras Visualizadas
•Cuerpos Vertebrales C2-T1
•Espacios Discales
•IAO (ADI)
•PE’s, Lámina, Pedículos,
•Pilares Articulares y Facetas
•Sombra Aire Traqueal
•Línea de George & línea Espino-laminar
•Silla Turca
•Arcos C1
Cervical Lateral
Cervical Oblícua
Estructuras
Visualizadas
•FIV’s
•Cuerpos Vertebrales
•Arcos C1
•Costillas
•PE’s
•Facetas
Cervical Oblícuas - Marcado
Partes Blandas Prevertebrales
● Espacio medido entre los cuerpos
vertebrales y la sombra de aire de la faringe,
laringe y tráquea.
● Normalmente 10 mm en C1
● 4-7 mm en C4 (retrofaringeal)
● 20-22 mm en C6 (retrotraqueal)
Regla de 2’s y 5’s:
No más de 5 mm
en C2, o 22 mm en
C5
Vertebra en Block
● Falta de separación de dos segmentos
adyacentes.
● Diametro AP del canal esta disminuido,
disco rudimentario, fusión articular
apofiseal, malformación posible de los
PE’s.
● Apariencia de cintura de abispa.
● Complicaciones, EDA prematura en otros
niveles, laxitud entre el occipital y el atlas.
Espina Bifida Oculta
● Falla de la fusión de los centros de osificación
de los arcos posteriores produciendo un
defecto en la linea media.
● Yochum y Rowe dicen que esta no es la
significancia clinica. Algunos autores no estan
de acuerdo, sin embargo la incidencia
incrementada de herniación del disco posterior
y la asociación con la espondilolistesis itsmica.
● Ver “Clinical Significance or Spina Bifida Occulta” , JMPT
,Octubre 1997 por D.M. Gregerson, DC
AP Toracica
Estructuras Visualizadas
•Cuerpos T1-12
•Articulaciones Costotransversas
•PE’s
•Pediculos
•PT’s
•Costillas Posteriores
•Sombra Aire Traqueal
•Claviculas Mediales
Toracica Lateral
Estructuras
Visualizadas
•Cuerpos Vertebrales
•Espacios Discales
•Escapula
•Costillas
•Diafragma
•Hila Pulmonar
Dimension de la Jaula Toracica
● En una proyección de tórax lateral se mide la
distancia desde el esternón posterior a la
superficie anterior del cuerpo vertebral de la
octava toracica. Distancia minima en
hombres es de 11 mm, con 9 mm en
mujeres.
● Indicativo de sindrome de espalda recta,
posible complicaciones cardiacas.
LUMBAR LATERAL
Estructuras Visualizadas
•Cuerpos Vertebrales T12-S1
•Espacios discales T12-L5
•FIV's
•PE's
•Facetas Articulares
•Pediculos
•Aorta Abdominal (cuando hay
ateroesclerosis)
AP Columna Lumbar
Estructuras Visualizadas
•Cuerpos vertebrales L1-L5
•Pediculos
•PE's
•Lamina
•PT's
•Base Sacral
•Sombra del Psoas
AP Columna Lumbar -
Marcado
LUMBAR LATERAL -
MARCADO
Lordosis Lumbar
● Sobre la proyección lumbar lateral se
trazan lineas paralelas a lo largo del
platillo terminal superior de L1 y de la
base del sacro.
● Se trazan las perpendiculares de esas
lineas y se mide el angulo resultante.
● Normal es de 50-60 grados.
Hemivertebra
● Falla de crecimiento de uno de los centros de
osificación lateral del cuerpo vertebral.
● MC en las lumbares superiores y toracicas
inferiores.
● Usualmente se ven otras anomalias, vert. en
bloque, diastematomielia, Klippel-Feil,
meningocele.
● Cuando es aislada causara escoliosis.
● Cuando es multiple con vert. en bloque, ha
sido llamado columna revuelta
AP PELVIS
Estructuras
Visualizadas
•Articulaciones SI
•Articulaciones Caderas
•Sinfisis Pubica
•Trocanter Mayor y Menor
•Foramen Obturador
•Cabezas Femorales
AP PELVIS - MARCADO
AP FOCAL DE CADERA
Estructuras Visualizadas
•Cabeza Femoral
•Cuello Femoral
•Trocanter Mayor y Menor
•Diafisis Femoral
•Lagrima de Kohler
•Rama Pubica
•Fosa Iliaca
RODILLA AP
Estructuras Visualizadas
•Patela
•Femur
•Tibia
•Perone
•Condilos de la Tibia y el Femur
•Tuberculo Aductor
•Espaco Articular
RODILLA AP - MARCADO
RODILLA LATERAL
Estructuras Visualizadas
•Patela
•Femur
•Tibia
•Perone
•Paquete Adiposo Infra y Supra
Patelar
RODILLA LATERAL -
MARCADO
VISTA TUNEL (RODILLA)
Estructuras Visualizadas
•Espacio Intercondilar
•Espinas Tibiales
•Hueco Popliteo
•Patela, Femur, Tibia, Perone
•Espacio Articular
•Cóndilos
Tobillo AP
Estructuras Visualizadas
•Cupula Astragalo
•Escafoides
•Maleolos Medial, Lateral y Posterior
•Diafisis Tibial
•Diafisis Peronea
•Base Tibial
Tobillo AP -Marcado
Tobillo Oblicua Medial
Estructuras Visualizadas
•Cupula Astragalo
•Maleolos Medial, Lateral y
Posterior
•Base Tibial
•Escafoides
•Calcaneo
•Diafisis Tibial y Peronea
Tobillo Oblicua Medial -
Marcado
Tobillo Lateral
Estructuras Visualizadas
•Tibia
•Perone
•Astragalo
•Calcaneo
•Escafoides
•Cuboides
Tobillo Lateral - Marcado
PIE DORSOPLANTAR (AP)
Estructuras Visualizadas
•Cuboides
•Calcaneo
•Astragalo
•Escafoides
•1ra-3ra Cuna
•1er-5to metatarsianos
•Huesos falanges
PIE DORSOPLANTAR (AP)
MARCADO
Pie Oblicua Medial
Estructuras Visualizadas
•Calcaneo
•Astragalo
•Escafoides
•Cuboides
•1ra-3ra Cunas
•Metatarsianos
•Falanges
Pie Oblicua Medial - Marcado
Pie Lateral
Estructuras
Visualizadas
•Calcaneo
•Astragalo
•Escafoides
•Cuboides
•Metatarsianos
Pie Lateral - Marcado
Hombro – Rotacion Externa
Estructuras
Visualizadas
•Proceso Coracoides
•Troquin y Troquiter
•Glenoides
•Articulacion AC
•Acromion
•Costillas/Pulmones
•Escapula
•Clavicula
Hombro – Rotacion Externa
Marcado
Hombro – Rotacion Interna
Estructuras
Visualizadas
•Proceso Coracoides
•Troquin y Troquiter
•Glenoides
•Articulacion AC
•Acromion
•Costillas/Pulmones
•Escapula
•Clavicula
Hombro – Rotacion Interna
Marcado
Hombro - Baby Arm
Estructuras
Visualizadas
•Proceso Coracoides
•Troquin y Troquiter
•Glenoides
•Articulacion AC
•Acromion
•Costilla/Pulmon
•Escapula
•Clavicula
CODO AP
Estructuras
Visualizadas
•Cabeza Radial
•Proceso Olecranon
•Capitulum
•Troclea
•Proceso Coronoides
CODO AP - MARCADO
CODO OBLICUA MEDIAL
Estructuras Visualizadas
Fosa Olecraniana
Epicóndilo Medial
Epicóndilo Lateral
Linea Supracondilar
Procesos Olecraniano
Proceso Coronoides
Cabeza Radial
CODO LATERAL
Estructuras Visualizadas
Capitulum/Troclea
Superpuesta
Proceso Olecranon
Proceso Coronoideo
Cabeza y cuello radial
Tuberosidad Radial
Linea Grasa Supinador
Fosa Olecraniana
Fosa Coronoidea
CODO LATERAL - MARCADO
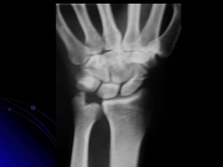
MUÑECA PA
Estructuras Visualizadas
•Metacarpianos 1-5
•Carpianos - Escafoides,
Semilunar, Piramidal,
Pisiformes, Trapezio,
Trapezoides, Hueso Grande,
Ganchoso
•Cubito
•Estiloides Cubital
•Radio
MUÑECA PA - MARCADO
MUÑECA OBLICUA
Estructuras Visualizadas
•Metacarpianos 1-5
•Carpianos - Escafoides,
Semilunar, Piramidal,
Pisiformes, Trapezio,
Trapezoides, Hueso Grande,
Ganchoso
•Cubital
•Estiloides Cubital
•Radio
MUÑECA LATERAL
Estructuras
Visualizadas
•Escafoides
•Semilunar
•Radio
•Metacarpales
MUÑECA LATERAL -
MARCADO
DESVIACION CUBITAL
Estructuras
Visualizadas
•Metacarpianos 1-5
•Carpianos - Escafoides
Semilunar, Piramidal,
Pisiformes, Trapezio,
Trapezoides, Hueso
Grande, Ganchoso
•Cubital
•Estiloides Cubital
•Radio
MANO PA
Estructuras Visualizadas
•Metacarpianos 1-5
•Carpianos - Escafoides,
Semilunar, Piramidal, Pisiformes,
Trapezio, Trapezoides, Hueso
Grande, Ganchoso
•Falanges Proximales y Distales 1-
5
•Falanges Medias 2-5
•Falanges Distales 1-5
•Cubito & Estiloides Cubital
MANO PA - MARCADO
MANO OBLICUA
Estructuras Visualizadas
•Metacarpianos 1-5
•Carpianos - Escafoides, Semilunar,
Piramidal, Pisiformes, Trapezio,
Trapezoides, Hueso Grande,
Ganchoso
•Falanges Proximales y Distales 1-5
•Falanges Medias 2-5
•Falanges Distales 1-5
•Cubito y Estiloides Cubital
•Radio
MANO LATERAL
Estructuras Visualizadas
•Falanges Proximales 1-5
•Falanges Medias 2-5
•Falanges Distales 1-5
Polidactilia
● Numero incrementado de dedos de mano o
pie.
● Puede estar asociado con otros sindromes.
● El rol de las imagenes es determinar la
naturaleza de desarrollo óseo y cualquier
otra anomalia ósea.
Sindactilia
● Fusión de la piel entre los dedos o fusión
ósea de los digitos.
● Es la anomalia de desarrollo mas comun de
la mano.
● Puede estar asociado con otros sindromes.
Introducción a la Radiología.pptx

Introducción a la Radiología.pptx