Jornada de Actualización en Bioimágenes
TC del Htal. F. J. Muñiz en tiempos de pandemia
Lic. Daniela A. Sabaj
danielasabaj@hotmail.com
Modificación del protocolo de trabajo
●Reorganización de la circulación de personal y
pacientes.
●Distinción de áreas de trabajo: Limpia/Sucia
●Utilización de EPP y material descartable.
●Constante higiene del servicio.
UFU
●Circuito cerrado
de atención a
pacientes febriles
sospechosos de
COVID-19
También procedencia desde:
●Cualquier sala del hospital que comience con síntomas
compatibles con COVID-19.
●Personal de planta y/o guardia.
EPP
●Cubre botas
●Cofia
●Bata
●Guantes
●Barbijo N95
●Máscara o antiparras
Rx de Tx
Ventajas Desventajas
Evita desplazamiento de pacientes
internados
Poca sensibilidad (en relación a
TC)
De gran utilidad en UTI Poco específica
Menor radiación Poco específica
De elección para seguimiento Score de gravedad poco prácticos
TC de TX en COVID-19:
●Mayor sensibilidad y especificidad que Rx; algunos estudios
además sugieren que la sensibilidad de la TC puede ser
superior a la RT-PCR
●Puede ser normal en los primeros días de la enfermedad, y
también puede mostrar hallazgos en pacientes asintomáticos
●Establecer diagnósticos diferenciales
●Evaluar complicaciones
●Alta sospecha clínica y RT-PCR negativa
Etapa (días) TC TX
Temprana (0-4) Normal / Vidrio esmerilado
Progresiva (5-8) Aumento de vidrio esmerilado /
Patrón “Crazy paving”
Punto máximo (9-13) Consolidaciones / Neumonía
organizada
Absorción (> o = a 14) Bandas fibrosas / Vidrio esmerilado
Hallazgos sugestivos de infección por COVID-19
●Opacidades periféricas en vidrio esmerilado (con o sin
consolidación)
● Patrón alveolar difuso
●Crazy paving
●Neumonía organizativa
Hallazgos poco sugestivos de infección
por COVID-19
●Neumonía lobar
●Infecciones cavitadas
●Árbol en brote
●Patrón miliar
●Nódulos
●Calcificaciones, etc.
Sutiles y/o hallazgos
Patrones tomográficos sugestivos de
infección por COVID-19
●Opacidades periféricas en vidrio esmerilado (con o sin
consolidación)
●Consolidaciones
● Patrón alveolar difuso
Bronquiolo terminal
Bronquilo respiratorio
Alveolo
●Crazy paving
●Neumonía organizativa
Hallazgos atípicos en TC de TX - Complicaciones
●Linfadenopatía mediastínica
●Derrame pleural
●Nodulillos centrolobulillares
●Patrón de árbol en brote
●Engrosamiento de la pared bronquial
●Cavitación
●Neumotórax
Neumomediastíno
Neumotórax
TEP
Casos
Jornadas cemic 2020
Jornadas cemic 2020
Jornadas cemic 2020
Jornadas cemic 2020
Jornadas cemic 2020
Jornadas cemic 2020

Jornadas cemic 2020

  • 1.
    Jornada de Actualizaciónen Bioimágenes TC del Htal. F. J. Muñiz en tiempos de pandemia Lic. Daniela A. Sabaj danielasabaj@hotmail.com
  • 2.
    Modificación del protocolode trabajo ●Reorganización de la circulación de personal y pacientes. ●Distinción de áreas de trabajo: Limpia/Sucia ●Utilización de EPP y material descartable. ●Constante higiene del servicio.
  • 3.
    UFU ●Circuito cerrado de atencióna pacientes febriles sospechosos de COVID-19
  • 4.
    También procedencia desde: ●Cualquiersala del hospital que comience con síntomas compatibles con COVID-19. ●Personal de planta y/o guardia.
  • 5.
  • 6.
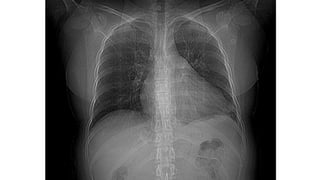
    Rx de Tx VentajasDesventajas Evita desplazamiento de pacientes internados Poca sensibilidad (en relación a TC) De gran utilidad en UTI Poco específica Menor radiación Poco específica De elección para seguimiento Score de gravedad poco prácticos
  • 7.
    TC de TXen COVID-19: ●Mayor sensibilidad y especificidad que Rx; algunos estudios además sugieren que la sensibilidad de la TC puede ser superior a la RT-PCR ●Puede ser normal en los primeros días de la enfermedad, y también puede mostrar hallazgos en pacientes asintomáticos ●Establecer diagnósticos diferenciales ●Evaluar complicaciones ●Alta sospecha clínica y RT-PCR negativa
  • 8.
    Etapa (días) TCTX Temprana (0-4) Normal / Vidrio esmerilado Progresiva (5-8) Aumento de vidrio esmerilado / Patrón “Crazy paving” Punto máximo (9-13) Consolidaciones / Neumonía organizada Absorción (> o = a 14) Bandas fibrosas / Vidrio esmerilado
  • 10.
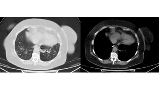
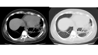
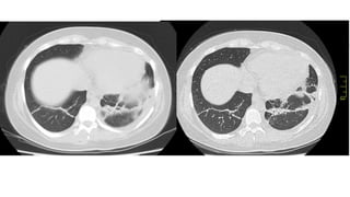
    Hallazgos sugestivos deinfección por COVID-19 ●Opacidades periféricas en vidrio esmerilado (con o sin consolidación) ● Patrón alveolar difuso ●Crazy paving ●Neumonía organizativa
  • 11.
    Hallazgos poco sugestivosde infección por COVID-19 ●Neumonía lobar ●Infecciones cavitadas ●Árbol en brote ●Patrón miliar ●Nódulos ●Calcificaciones, etc.
  • 12.
  • 13.
    Patrones tomográficos sugestivosde infección por COVID-19
  • 14.
    ●Opacidades periféricas envidrio esmerilado (con o sin consolidación)
  • 15.
  • 16.
    ● Patrón alveolardifuso Bronquiolo terminal Bronquilo respiratorio Alveolo
  • 17.
  • 18.
  • 19.
    Hallazgos atípicos enTC de TX - Complicaciones ●Linfadenopatía mediastínica ●Derrame pleural ●Nodulillos centrolobulillares ●Patrón de árbol en brote ●Engrosamiento de la pared bronquial ●Cavitación ●Neumotórax
  • 20.
  • 21.
  • 22.
  • 23.