TOMOGRAFIA EN COVID19
DR. RENATO CASANOVA M.
MÉDICO NEUMÓLOGO
HOSPITAL NACIONAL DOS DE MAYO – SANNA EPS.
MIEMBRO TITULAR SOCIEDAD PERUANA DE NEUMOLOGÍA – AMERICAN THORACIC
SOCIETY – ASOCIACIÓN LATINOAMERICANA DEL TÓRAX – EUROPEAN RESPIRATORY
SOCIETY.
GODFREY NEWBOLD HOUNSFIELD
Godfrey Newbold Hounsfield recibió el Premio Nobel de Fisiología o Medicina en
1979. El comité de los Nobel describió a Hounsfield, como "la figura central en la
tomografía asistida por computadoras", un método radiológico revolucionario.
Unidades Hounsfield
 El total de la escala es variable de acuerdo a cada equipo, sin
embargo se acepta que en una escala que va del –1000 al 1000
el –1000 se representa con el aire y el 1000 el metal pasando
por el 0 que es el agua.
 Toda esta escala se puede observar en un monitor
otorgándole un tono de gris diferente.
VENTANA PARENQUIMAL
VENTANA MEDIASTINAL
DETERMINACIÓN DE UNIDADES HOUNSFIELD
TACAR
 La tomografía computarizada de alta resolución (TCAR) es la técnica
de imagen radiológica que mejor refleja los cambios estructurales
que ocurren en el pulmón en las enfermedades intersticiales.
 Ha demostrado ser superior a la radiografía convencional de tórax y
a la tomografía computarizada de corte grueso en la detección y
valoración del patrón y extensión de las diferentes enfermedades
pulmonares, se correlaciona mejor con la afectación clínica y
funcional que la radiografía convencional.
 Se realiza un barrido del parénquima pulmonar con un grosor de
corte de menos 1 mm.
TEM
 La Tomografía Espiral Multicorte (TEM) es la evolución de la TAC convencional.
 En vez de obtener una imagen por segundo, se obtienen dos, cuatro, ocho, dieciséis
imágenes y más por segundo.
 Algunos equipos de última generación son capaces de realizar hasta 44 cortes en un
segundo.
 La finura de cada corte puede ser inclusive sub-milimétrica (0.75 mm).
 Esta técnica permite imágenes de adquisición ultra rápida que “congela” órganos en
movimiento así como reconstrucciones en cualquier plano e inclusive tridimensionales sin
distorsión alguna.
 La exposición a la radiación se ha podido disminuir significativamente con respecto a otros
equipos ya que ésta se gradúa automáticamente al mínimo posible, de acuerdo al grosor
de la zona del cuerpo que se estudia.
TEM
RECONSTRUCCIONES
3D
VÍAAÉREAALTA
APICES
PULMONARES
TUBO DE
TRAQUEOSTOMÍA
Matthew Zirui Tay, Chek Meng Poh, Laurent Rénia, Paul A. MacAry and Lisa F. P. Ng. The Trinity of COVID – 19:immunity inflammation and
intervention. Nature reviews Inmunology. 28 abril 2020. https://doi.org/10.1038/s41577-020-0311-8.
Matthew Zirui Tay, Chek Meng Poh, Laurent Rénia, Paul A. MacAry and Lisa F. P. Ng. The Trinity of COVID – 19:immunity
inflammation and intervention. Nature reviews Inmunology. 28 abril 2020. https://doi.org/10.1038/s41577-020-0311-
8.
Dañar
Destruy
e
PAMPs
DAMPs
Matthew Zirui Tay, Chek Meng Poh, Laurent Rénia, Paul A. MacAry and Lisa F. P. Ng. The Trinity of COVID – 19:immunity
inflammation and intervention. Nature reviews Inmunology. 28 abril 2020. https://doi.org/10.1038/s41577-020-0311-
Daño alveolar difuso,
descamación de
células alveolares,
formación de
membrana hialina y
edema pulmonar
Hallazgos patológicos pulmonares en
pacientes con COVID-19
A. Hemorragia petequial subpleural
macroscópica en un varón de 24 años
(PM6).
B. Membranas hialinas indicativas de daño
alveolar difuso en fase exudativa en una
mujer de 79 años (PM9) con un aumento de
20x.
C. Tinción inmunohistoquímica de CD61 que
indica microtrombosis rica en plaquetas en
capilares alveolares.
D. Metaplasia escamosa en un hombre de 61
años (PM1) con daño alveolar difuso en fase
exudativa en Aumento de 40 ×.
E. Células gigantes multinucleadas
intersticiales en un hombre de 79 años
(PM7) con fase organizativa daño alveolar
difuso a 40 aumentos.
HIPERCOAGULACIÓN EN COVID19
22
Miriam Merad; Jerome Martin. Pathological inflammation in patients with COVID 19: a key role for monocytes and macrophages. Nature
reviews Inmunology. 6 mayo 2020. https://doi.org/10.1038/s41577-020-0331-4.
El método de imagen ampliamente utilizado para la valoración de
COVID-19 es la TC de tórax, y aunque los hallazgos van cambiando con
con la evolución de la enfermedad; la identificación de los signos
radiológicos dependen del desempeño del observador.
TOMOGRAFIA EN COVID19
Ye Z, Zhang Y, Wang Y, Huang Z, Song B. Chest CT manifestations of new coronavirus disease 2019 (COVID-19): a pictorial review. Eur Radiol. 2020;2019(37):1-
9. doi:10.1007/s00330-020-06801-0
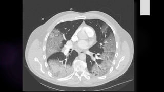
LESIONES RETICULARES
1. Engrosamiento peribroncovascular
 Pared bronquial.
 Interface irregular con el parénquima.
2. Prominencia del intersticio intralobulillar.
3. Engrosamiento del intersticio septal.
4. Bandas parenquimatosas.
5. Líneas subpleurales.
6. Panal de abejas.
LESIONES NODULARES
1. Prominencia de estructuras centrilobulillares
a. Centrilobulillar punteado, lineal o en ramas
b. Arbol en yema
2. Nódulos intersticiales (perilinfaticos)
3. Nódulos diseminados (perivasculares)
4. Nódulos acinares centrilobulillares
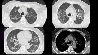
Diversos estudios han podido establecer algunos hallazgos frecuentes en las TEM de los
pacientes con COVID19:
1. Opacidad en vidrio esmerilado de localización periférica o subpleural, uni o bilateral:
ha sido reportada en varias series con porcentajes que van desde 56% al 96% de los casos.
TOMOGRAFIA EN COVID19
Ye Z, Zhang Y, Wang Y, Huang Z, Song B. Chest CT manifestations of new coronavirus disease 2019 (COVID-19): a pictorial review. Eur Radiol. 2020;2019(37):1-
9. doi:10.1007/s00330-020-06801-0
2. Consolidaciones entre el 50% al 62%.
3. Engrosamiento del septo interlobular con rangos del 35% al 59%.
4. Consolidaciones más opacidad en vidrio esmerilado hasta en el 50% de los
casos.
TOMOGRAFIA EN COVID19
Ye Z, Zhang Y, Wang Y, Huang Z, Song B. Chest CT manifestations of new coronavirus disease 2019 (COVID-19): a pictorial review. Eur Radiol. 2020;2019(37):1-
9. doi:10.1007/s00330-020-06801-0
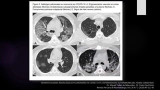
MANIFESTACIONES RADIOLÓGICAS PULMONARES EN COVID-19 VS. ENFERMEDADES AUTOINMUNES DEL TEJIDO CONECTIVO
Dr. Miguel Trelles de Belaundea , Dr. Carlos Saul Peña
Revista Peruana de Reumatología, Vol. 26 N.° 2 (2020):40-51 | 40
El COVID-19 típicamente induce una neumonía bilateral
difusa intersticial con lesiones en distribución asimétrica y
parcheada que afecta principalmente a la periferia pulmonar.
TOMOGRAFIA EN COVID19
Salehi S, Abedi A, Balakrishnan S, et al. Coronavirus Disease 2019 (COVID-19): A Systematic Review of Imaging Findings in
919. AJR Am J Roentgenol. 2020: 1-7. doi: 10.2214/AJR.20.23034
 Un estudio incluye 1014 casos usando RT-PCR como estándar de referencia.
 Se reporta que la sensibilidad de la TC es de 96% y la especificidad de 25% para
diagnóstico de COVID -19 cuando se correlaciona con RT-PCR .
 Otro estudio que incluyó 167 pacientes diagnosticados de Neumonía COVID – 19 por
laboratorio, al analizar retrospectivamente los resultados de la tomografía, esta no
identificó la enfermedad solo en el 4% de los casos.
TOMOGRAFIA EN COVID19 SEVERA – SENSIBILIDAD Y ESPECIFICIDAD
Ai T, Yang Z, Hou H, et al. Correlation of Chest CT and RT-PCR Testing in Coronavirus Disease 2019 (COVID-19) in China: A Report of 1014 Cases. Radiology.
February 2020:200642. doi:10.1148/radiol.2020200642
Xie X, Zhong Z, Zhao W, Zheng C, Wang F, Liu J. Chest CT for Typical 2019-nCoV Pneumonia: Relationship to Negative RT-PCR Testing. Radiology. February
2020:200343. doi:10.1148/radiol.2020200343
Tao A, Zhenlu Y, Hongyan H, et al. Correlation of Chest CT and RT-PCR Testing in Coronavirus Disease 2019 (COVID-19) in China: A Report of 1014
Cases. Radiology. 2020.
Simpson S, Kay FU, Abbara S, et al. Radiological Society of North America
Expert Consensus Statement on Reporting Chest CT Findings Related to
COVID-19. Endorsed by the Society of Thoracic Radiology, the American
College of Radiology, and RSNA. Radiol Cardiothorac Imaging.
2020;2(2):e200152. doi:10.1148/ryct.2020200152
Simpson S, Kay FU, Abbara S, et al.
Radiological Society of North America
Expert Consensus Statement on
Reporting Chest CT Findings Related to
COVID-19. Endorsed by the Society of
Thoracic Radiology, the American College
of Radiology, and RSNA. Radiol
Cardiothorac Imaging. 2020;2(2):e200152.
doi:10.1148/ryct.2020200152
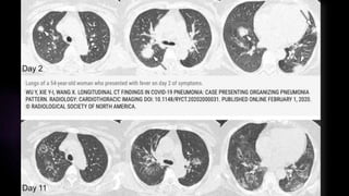
TOMOGRAFIA EN COVID19 SEVERA – CUANTIFICACIÓN DE
SEVERIDAD
TOMOGRAFIA EN COVID19 SEVERA – CUANTIFICACIÓN DE
SEVERIDAD
Pan F, Ye T, Sun P et al. Time Course of Lung Changes On Chest CT During Recovery From 2019 Novel Coronavirus (COVID-19) Pneumonia. Radiology
2020. doi: 10.1148/radiol.2020200370
 Durante los días 0 – 2, lo predominante fue una TC normal en algo más de la mitad de los
casos y en un 44% de pacientes se encontró opacidad en vidrio esmerilado, generalmente
unilateral.
 Posteriormente, a los días 3 – 5, el hallazgo predominante fue opacidad en vidrio
esmerilado en un 88% de los pacientes seguido por consolidaciones, la afectación fue en
un 30% multilobar.
 A los días 6 -12, el hallazgo predominante fue opacidad en vidrio esmerilado con un
aumento en la frecuencia de consolidaciones, la afectación multilobar llegó al 50%.
TOMOGRAFIA EN COVID19 SEVERA – HALLAZGOS
SEGÚN TIEMPO DE EVOLUCIÓN
Shi H, Han X, Jiang N, et al. Radiological findings from 81 patients with COVID-19 pneumonia in Wuhan, China: a descriptive study. Lancet Infect
Dis. 2020;3099(20):1-10. doi:10.1016/S1473-3099(20)30086-4
MANIFESTACIONES RADIOLÓGICAS PULMONARES EN COVID-19 VS. ENFERMEDADES AUTOINMUNES DEL TEJIDO CONECTIVO
Dr. Miguel Trelles de Belaundea , Dr. Carlos Saul Peña
Revista Peruana de Reumatología, Vol. 26 N.° 2 (2020):40-51 | 40
H. Shi, X. Han, N. Jiang y colaboradores Fuente: The Lancet Infectious Diseases Feb 24, 2020 Radiological
findings from 81 patients with COVID-19 pneumonia in Wuhan, China: a descriptive study
Wang Y, Dong C, Hu Y, et al. Temporal Changes of CT Findings in 90 Patients with COVID-19 Pneumonia: A Longitudinal Study. Radiology. 2020.
Liang Y, Pan F, Ye T, et al. Time Course of Lung Changes On Chest CT During Recovery From 2019 Novel Coronavirus (COVID-19) Pneumonia. Radiology. 2020.
Yuan M, Yin W, Tao Z, et al.. Association of radiologic findings with mortality of patients infected with 2019 novel coronavirus in Wuhan, China. PLoS ONE 15(3): e0230548.
Wang Y, Dong C, Hu Y, et al. Temporal Changes of CT Findings in 90 Patients with COVID-19 Pneumonia: A Longitudinal Study. Radiology. 2020.
Liang Y, Pan F, Ye T, et al. Time Course of Lung Changes On Chest CT During Recovery From 2019 Novel Coronavirus (COVID-19) Pneumonia. Radiology. 2020.
Yuan M, Yin W, Tao Z, et al.. Association of radiologic findings with mortality of patients infected with 2019 novel coronavirus in Wuhan, China. PLoS ONE 15(3): e0230548.
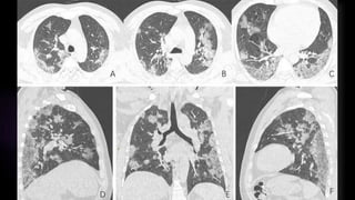
Lóbulo superior derecho: 50% (03 ptos)
Lóbulo medio derecho: 30% (03 ptos)
Lóbulo inferior derecho: 60% (04 ptos)
Lóbulo superior izquierdo: 60% (04 ptos)
Lóbulo inferior izquierdo: 80% (05 ptos)
Puntuación: 19 ptos
CONCLUSIÓN: AFECCIÓN SEVERA
Lóbulo superior derecho: 50% (03 ptos)
Lóbulo medio derecho: 30% (03 ptos)
Lóbulo inferior derecho: 60% (04 ptos)
Lóbulo superior izquierdo: 60% (04 ptos)
Lóbulo inferior izquierdo: 80% (05 ptos)
Puntuación: 19 ptos
CONCLUSIÓN: AFECCIÓN SEVERA –
CATEGORIA B (PATRÓN EMPEDRADO)
 La TC no debe usarse para detectar o como prueba de primera línea para diagnosticar
COVID-19.
 La TC debe utilizarse con moderación y reservarse para pacientes sintomáticos hospitalizados
con indicaciones clínicas específicas para la TC.
 Se deben seguir los procedimientos apropiados de control de infecciones antes de escanear a los
pacientes posteriores.
 Idealmente usar equipos portátiles que sean periódicamente desinfectados.
 Los radiólogos deben familiarizarse con la apariencia en la TC de la infección por COVID-19 para
poder identificar hallazgos compatibles con la infección en pacientes en los que se obtienen
imágenes por otras razones.
TOMOGRAFIA EN COVID19 – RECOMENDACIONES
Thoracic Imaging in COVID-19 Infection Guidance for the Reporting Radiologist British Society of Thoracic Imaging
 Datos clínicos.
 Describir los hallazgos.
 Distribución de los cambios: lóbulos / anatomía / cambios periféricos -
centrales - mixtos.
 Usar imágenes axiales y coronales.
 El número de opacidades y su extensión puede ser útil para categorizar los
hallazgos como moderados o severos.
 Patologías de base.
 Conclusión: probabilidad alta de neumonía vírica / posible neumonía
vírica / hay otro diagnóstico posible / normal.
TOMOGRAFIA EN COVID19 – INFORME FINAL
Gracias por vuestra atención
neumovida@hotmail.com
https://es.slideshare.net/ALDORENATO

Tomografía Tórax en COVID19 Dr. casanova

  • 1.
    TOMOGRAFIA EN COVID19 DR.RENATO CASANOVA M. MÉDICO NEUMÓLOGO HOSPITAL NACIONAL DOS DE MAYO – SANNA EPS. MIEMBRO TITULAR SOCIEDAD PERUANA DE NEUMOLOGÍA – AMERICAN THORACIC SOCIETY – ASOCIACIÓN LATINOAMERICANA DEL TÓRAX – EUROPEAN RESPIRATORY SOCIETY.
  • 2.
    GODFREY NEWBOLD HOUNSFIELD GodfreyNewbold Hounsfield recibió el Premio Nobel de Fisiología o Medicina en 1979. El comité de los Nobel describió a Hounsfield, como "la figura central en la tomografía asistida por computadoras", un método radiológico revolucionario.
  • 6.
    Unidades Hounsfield  Eltotal de la escala es variable de acuerdo a cada equipo, sin embargo se acepta que en una escala que va del –1000 al 1000 el –1000 se representa con el aire y el 1000 el metal pasando por el 0 que es el agua.  Toda esta escala se puede observar en un monitor otorgándole un tono de gris diferente.
  • 7.
  • 8.
  • 9.
  • 10.
    TACAR  La tomografíacomputarizada de alta resolución (TCAR) es la técnica de imagen radiológica que mejor refleja los cambios estructurales que ocurren en el pulmón en las enfermedades intersticiales.  Ha demostrado ser superior a la radiografía convencional de tórax y a la tomografía computarizada de corte grueso en la detección y valoración del patrón y extensión de las diferentes enfermedades pulmonares, se correlaciona mejor con la afectación clínica y funcional que la radiografía convencional.  Se realiza un barrido del parénquima pulmonar con un grosor de corte de menos 1 mm.
  • 12.
    TEM  La TomografíaEspiral Multicorte (TEM) es la evolución de la TAC convencional.  En vez de obtener una imagen por segundo, se obtienen dos, cuatro, ocho, dieciséis imágenes y más por segundo.  Algunos equipos de última generación son capaces de realizar hasta 44 cortes en un segundo.  La finura de cada corte puede ser inclusive sub-milimétrica (0.75 mm).  Esta técnica permite imágenes de adquisición ultra rápida que “congela” órganos en movimiento así como reconstrucciones en cualquier plano e inclusive tridimensionales sin distorsión alguna.  La exposición a la radiación se ha podido disminuir significativamente con respecto a otros equipos ya que ésta se gradúa automáticamente al mínimo posible, de acuerdo al grosor de la zona del cuerpo que se estudia.
  • 13.
  • 14.
  • 16.
    Matthew Zirui Tay,Chek Meng Poh, Laurent Rénia, Paul A. MacAry and Lisa F. P. Ng. The Trinity of COVID – 19:immunity inflammation and intervention. Nature reviews Inmunology. 28 abril 2020. https://doi.org/10.1038/s41577-020-0311-8.
  • 19.
    Matthew Zirui Tay,Chek Meng Poh, Laurent Rénia, Paul A. MacAry and Lisa F. P. Ng. The Trinity of COVID – 19:immunity inflammation and intervention. Nature reviews Inmunology. 28 abril 2020. https://doi.org/10.1038/s41577-020-0311- 8. Dañar Destruy e PAMPs DAMPs
  • 20.
    Matthew Zirui Tay,Chek Meng Poh, Laurent Rénia, Paul A. MacAry and Lisa F. P. Ng. The Trinity of COVID – 19:immunity inflammation and intervention. Nature reviews Inmunology. 28 abril 2020. https://doi.org/10.1038/s41577-020-0311- Daño alveolar difuso, descamación de células alveolares, formación de membrana hialina y edema pulmonar
  • 21.
    Hallazgos patológicos pulmonaresen pacientes con COVID-19 A. Hemorragia petequial subpleural macroscópica en un varón de 24 años (PM6). B. Membranas hialinas indicativas de daño alveolar difuso en fase exudativa en una mujer de 79 años (PM9) con un aumento de 20x. C. Tinción inmunohistoquímica de CD61 que indica microtrombosis rica en plaquetas en capilares alveolares. D. Metaplasia escamosa en un hombre de 61 años (PM1) con daño alveolar difuso en fase exudativa en Aumento de 40 ×. E. Células gigantes multinucleadas intersticiales en un hombre de 79 años (PM7) con fase organizativa daño alveolar difuso a 40 aumentos.
  • 22.
    HIPERCOAGULACIÓN EN COVID19 22 MiriamMerad; Jerome Martin. Pathological inflammation in patients with COVID 19: a key role for monocytes and macrophages. Nature reviews Inmunology. 6 mayo 2020. https://doi.org/10.1038/s41577-020-0331-4.
  • 24.
    El método deimagen ampliamente utilizado para la valoración de COVID-19 es la TC de tórax, y aunque los hallazgos van cambiando con con la evolución de la enfermedad; la identificación de los signos radiológicos dependen del desempeño del observador. TOMOGRAFIA EN COVID19 Ye Z, Zhang Y, Wang Y, Huang Z, Song B. Chest CT manifestations of new coronavirus disease 2019 (COVID-19): a pictorial review. Eur Radiol. 2020;2019(37):1- 9. doi:10.1007/s00330-020-06801-0
  • 26.
    LESIONES RETICULARES 1. Engrosamientoperibroncovascular  Pared bronquial.  Interface irregular con el parénquima. 2. Prominencia del intersticio intralobulillar. 3. Engrosamiento del intersticio septal. 4. Bandas parenquimatosas. 5. Líneas subpleurales. 6. Panal de abejas.
  • 27.
    LESIONES NODULARES 1. Prominenciade estructuras centrilobulillares a. Centrilobulillar punteado, lineal o en ramas b. Arbol en yema 2. Nódulos intersticiales (perilinfaticos) 3. Nódulos diseminados (perivasculares) 4. Nódulos acinares centrilobulillares
  • 31.
    Diversos estudios hanpodido establecer algunos hallazgos frecuentes en las TEM de los pacientes con COVID19: 1. Opacidad en vidrio esmerilado de localización periférica o subpleural, uni o bilateral: ha sido reportada en varias series con porcentajes que van desde 56% al 96% de los casos. TOMOGRAFIA EN COVID19 Ye Z, Zhang Y, Wang Y, Huang Z, Song B. Chest CT manifestations of new coronavirus disease 2019 (COVID-19): a pictorial review. Eur Radiol. 2020;2019(37):1- 9. doi:10.1007/s00330-020-06801-0
  • 34.
    2. Consolidaciones entreel 50% al 62%. 3. Engrosamiento del septo interlobular con rangos del 35% al 59%. 4. Consolidaciones más opacidad en vidrio esmerilado hasta en el 50% de los casos. TOMOGRAFIA EN COVID19 Ye Z, Zhang Y, Wang Y, Huang Z, Song B. Chest CT manifestations of new coronavirus disease 2019 (COVID-19): a pictorial review. Eur Radiol. 2020;2019(37):1- 9. doi:10.1007/s00330-020-06801-0
  • 36.
    MANIFESTACIONES RADIOLÓGICAS PULMONARESEN COVID-19 VS. ENFERMEDADES AUTOINMUNES DEL TEJIDO CONECTIVO Dr. Miguel Trelles de Belaundea , Dr. Carlos Saul Peña Revista Peruana de Reumatología, Vol. 26 N.° 2 (2020):40-51 | 40
  • 37.
    El COVID-19 típicamenteinduce una neumonía bilateral difusa intersticial con lesiones en distribución asimétrica y parcheada que afecta principalmente a la periferia pulmonar. TOMOGRAFIA EN COVID19
  • 38.
    Salehi S, AbediA, Balakrishnan S, et al. Coronavirus Disease 2019 (COVID-19): A Systematic Review of Imaging Findings in 919. AJR Am J Roentgenol. 2020: 1-7. doi: 10.2214/AJR.20.23034
  • 40.
     Un estudioincluye 1014 casos usando RT-PCR como estándar de referencia.  Se reporta que la sensibilidad de la TC es de 96% y la especificidad de 25% para diagnóstico de COVID -19 cuando se correlaciona con RT-PCR .  Otro estudio que incluyó 167 pacientes diagnosticados de Neumonía COVID – 19 por laboratorio, al analizar retrospectivamente los resultados de la tomografía, esta no identificó la enfermedad solo en el 4% de los casos. TOMOGRAFIA EN COVID19 SEVERA – SENSIBILIDAD Y ESPECIFICIDAD Ai T, Yang Z, Hou H, et al. Correlation of Chest CT and RT-PCR Testing in Coronavirus Disease 2019 (COVID-19) in China: A Report of 1014 Cases. Radiology. February 2020:200642. doi:10.1148/radiol.2020200642 Xie X, Zhong Z, Zhao W, Zheng C, Wang F, Liu J. Chest CT for Typical 2019-nCoV Pneumonia: Relationship to Negative RT-PCR Testing. Radiology. February 2020:200343. doi:10.1148/radiol.2020200343
  • 41.
    Tao A, ZhenluY, Hongyan H, et al. Correlation of Chest CT and RT-PCR Testing in Coronavirus Disease 2019 (COVID-19) in China: A Report of 1014 Cases. Radiology. 2020.
  • 46.
    Simpson S, KayFU, Abbara S, et al. Radiological Society of North America Expert Consensus Statement on Reporting Chest CT Findings Related to COVID-19. Endorsed by the Society of Thoracic Radiology, the American College of Radiology, and RSNA. Radiol Cardiothorac Imaging. 2020;2(2):e200152. doi:10.1148/ryct.2020200152
  • 47.
    Simpson S, KayFU, Abbara S, et al. Radiological Society of North America Expert Consensus Statement on Reporting Chest CT Findings Related to COVID-19. Endorsed by the Society of Thoracic Radiology, the American College of Radiology, and RSNA. Radiol Cardiothorac Imaging. 2020;2(2):e200152. doi:10.1148/ryct.2020200152
  • 49.
    TOMOGRAFIA EN COVID19SEVERA – CUANTIFICACIÓN DE SEVERIDAD
  • 53.
    TOMOGRAFIA EN COVID19SEVERA – CUANTIFICACIÓN DE SEVERIDAD
  • 55.
    Pan F, YeT, Sun P et al. Time Course of Lung Changes On Chest CT During Recovery From 2019 Novel Coronavirus (COVID-19) Pneumonia. Radiology 2020. doi: 10.1148/radiol.2020200370
  • 56.
     Durante losdías 0 – 2, lo predominante fue una TC normal en algo más de la mitad de los casos y en un 44% de pacientes se encontró opacidad en vidrio esmerilado, generalmente unilateral.  Posteriormente, a los días 3 – 5, el hallazgo predominante fue opacidad en vidrio esmerilado en un 88% de los pacientes seguido por consolidaciones, la afectación fue en un 30% multilobar.  A los días 6 -12, el hallazgo predominante fue opacidad en vidrio esmerilado con un aumento en la frecuencia de consolidaciones, la afectación multilobar llegó al 50%. TOMOGRAFIA EN COVID19 SEVERA – HALLAZGOS SEGÚN TIEMPO DE EVOLUCIÓN Shi H, Han X, Jiang N, et al. Radiological findings from 81 patients with COVID-19 pneumonia in Wuhan, China: a descriptive study. Lancet Infect Dis. 2020;3099(20):1-10. doi:10.1016/S1473-3099(20)30086-4
  • 59.
    MANIFESTACIONES RADIOLÓGICAS PULMONARESEN COVID-19 VS. ENFERMEDADES AUTOINMUNES DEL TEJIDO CONECTIVO Dr. Miguel Trelles de Belaundea , Dr. Carlos Saul Peña Revista Peruana de Reumatología, Vol. 26 N.° 2 (2020):40-51 | 40
  • 61.
    H. Shi, X.Han, N. Jiang y colaboradores Fuente: The Lancet Infectious Diseases Feb 24, 2020 Radiological findings from 81 patients with COVID-19 pneumonia in Wuhan, China: a descriptive study
  • 63.
    Wang Y, DongC, Hu Y, et al. Temporal Changes of CT Findings in 90 Patients with COVID-19 Pneumonia: A Longitudinal Study. Radiology. 2020. Liang Y, Pan F, Ye T, et al. Time Course of Lung Changes On Chest CT During Recovery From 2019 Novel Coronavirus (COVID-19) Pneumonia. Radiology. 2020. Yuan M, Yin W, Tao Z, et al.. Association of radiologic findings with mortality of patients infected with 2019 novel coronavirus in Wuhan, China. PLoS ONE 15(3): e0230548.
  • 64.
    Wang Y, DongC, Hu Y, et al. Temporal Changes of CT Findings in 90 Patients with COVID-19 Pneumonia: A Longitudinal Study. Radiology. 2020. Liang Y, Pan F, Ye T, et al. Time Course of Lung Changes On Chest CT During Recovery From 2019 Novel Coronavirus (COVID-19) Pneumonia. Radiology. 2020. Yuan M, Yin W, Tao Z, et al.. Association of radiologic findings with mortality of patients infected with 2019 novel coronavirus in Wuhan, China. PLoS ONE 15(3): e0230548.
  • 66.
    Lóbulo superior derecho:50% (03 ptos) Lóbulo medio derecho: 30% (03 ptos) Lóbulo inferior derecho: 60% (04 ptos) Lóbulo superior izquierdo: 60% (04 ptos) Lóbulo inferior izquierdo: 80% (05 ptos) Puntuación: 19 ptos CONCLUSIÓN: AFECCIÓN SEVERA
  • 67.
    Lóbulo superior derecho:50% (03 ptos) Lóbulo medio derecho: 30% (03 ptos) Lóbulo inferior derecho: 60% (04 ptos) Lóbulo superior izquierdo: 60% (04 ptos) Lóbulo inferior izquierdo: 80% (05 ptos) Puntuación: 19 ptos CONCLUSIÓN: AFECCIÓN SEVERA – CATEGORIA B (PATRÓN EMPEDRADO)
  • 68.
     La TCno debe usarse para detectar o como prueba de primera línea para diagnosticar COVID-19.  La TC debe utilizarse con moderación y reservarse para pacientes sintomáticos hospitalizados con indicaciones clínicas específicas para la TC.  Se deben seguir los procedimientos apropiados de control de infecciones antes de escanear a los pacientes posteriores.  Idealmente usar equipos portátiles que sean periódicamente desinfectados.  Los radiólogos deben familiarizarse con la apariencia en la TC de la infección por COVID-19 para poder identificar hallazgos compatibles con la infección en pacientes en los que se obtienen imágenes por otras razones. TOMOGRAFIA EN COVID19 – RECOMENDACIONES Thoracic Imaging in COVID-19 Infection Guidance for the Reporting Radiologist British Society of Thoracic Imaging
  • 69.
     Datos clínicos. Describir los hallazgos.  Distribución de los cambios: lóbulos / anatomía / cambios periféricos - centrales - mixtos.  Usar imágenes axiales y coronales.  El número de opacidades y su extensión puede ser útil para categorizar los hallazgos como moderados o severos.  Patologías de base.  Conclusión: probabilidad alta de neumonía vírica / posible neumonía vírica / hay otro diagnóstico posible / normal. TOMOGRAFIA EN COVID19 – INFORME FINAL
  • 70.
    Gracias por vuestraatención neumovida@hotmail.com https://es.slideshare.net/ALDORENATO