LESIONES PULMONARES
CAVITADAS
MEDICO RESIDENTE DE NEUMOLOGIA CYNTHIA EVELYN ARIZANCA
CALLATA
INTRODUCCIÓN
• La CAVIDAD PULMONAR está definida por la
Sociedad Fleischner como “un espacio
lleno de aire, que se ve como una
radiolucencia o área de baja atenuación,
dentro de una consolidación pulmonar,
una masa o un nódulo
• Habitualmente, presenta una pared con un
grosor superior a los 4 mm
Differential Diagnosis of Cavitary Lung LesionsAnagha P.
Parkar1 and Panchakulasingam Kandiah2J Belg Soc
Radiol. 2016; 100(1): 100.
LESIONES MIMICAS
ENFOQUE
ALGORITMICO
Gafoor, Khalid; Patel, Shalin;
Girvin, Francis; Gupta, Nishant;
Naidich, David; Machnicki,
Stephen; Brown, Kevin K.;
Mehta, Atul; Husta, Bryan; Ryu,
Jay; Sarosi, George; Franquet,
Tomas; Verschakelen, Johny;
Johkoh, Takeshi; Travis,
William; Raoof, Suhail
(2018). Cavitary Lung
Diseases-A Clinical-
Radiological Algorithmic
Approach. Chest, (),
S0012369218303945–
Infecciones
• Varios grupos de microorganismos pueden causar lesiones
cavitarias: bacterias comunes (por ejemplo, Streptococcus
p., Staph.aureus, Klebsiella p., H. influenzae );
micobacterias típicas y atípicas; hongos (por ejemplo,
aspergilosis, pneumocystis j.); y parásitos
Differential Diagnosis of Cavitary Lung LesionsAnagha P. Parkar1 and Panchakulasingam Kandiah2J
Belg Soc Radiol. 2016; 100(1): 100.
Absceso pulmonar
• El absceso pulmonar ocurre como una complicación de la neumonía.
• La mayoría de los abscesos se pueden tratar de forma conservadora, pero el drenaje
percutáneo puede ser necesario hasta en el 20% de los casos.
• Además de complicaciones comunes como el neumotórax y el empiema, el
desarrollo de fístulas broncopleurales es una complicación rara
• Los abscesos se ven en la TC como lesiones cavitarias con o sin nivel de
líquido. Pueden ocurrir en cualquier parte de los pulmones. Por lo general, es visible
un espesor de pared intermedio a grueso con realce de contraste periférico y un
centro necrosante. Si el absceso se localiza en la periferia, puede haber un
engrosamiento pleural local o un empiema
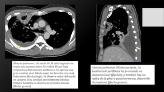
Absceso pulmonar. Mismo paciente. La
localización periférica ha provocado un
empiema local (flechas), y también hay un
realce de la pleura posteriormente, desarrollo
de empiema (flecha gruesa).
Absceso pulmonar . Un varón de 36 años ingresó con
sepsis una semana antes. Se realiza TC por baja
respuesta al tratamiento antibiótico. Se aprecia una
gran cavidad en el lóbulo superior derecho con nivel
hidroaéreo (flecha larga). Se observa realce del borde
en la pared de la cavidad anteriormente (flechas
cortas). También se observa un derrame pleural
(flecha gruesa).
NEUMONIA NECROTIZANTE
Gafoor, Khalid; Patel, Shalin; Girvin, Francis; Gupta, Nishant; Naidich, David; Machnicki, Stephen; Brown, Kevin K.;
Mehta, Atul; Husta, Bryan; Ryu, Jay; Sarosi, George; Franquet, Tomas; Verschakelen, Johny; Johkoh, Takeshi; Travis
William; Raoof, Suhail (2018). Cavitary Lung Diseases-A Clinical-Radiological Algorithmic Approach. Chest, (),
émbolos sépticos
• Los émbolos sépticos ocurren cuando los microorganismos causan trombosis en los capilares
pulmonares periféricos.
• Los pacientes inmunodeprimidos, los pacientes con catéteres arteriales o intravenosos, los
drogadictos intravenosos, los alcohólicos y los pacientes con endocarditis o sometidos a cirugía
dental son susceptibles a la embolia séptica.
• Los trombos conducen al infarto y los consiguientes microabscesos.
• La presentación por TC consiste en múltiples opacidades nodulares periféricas o en forma de
cuña con una base ancha contra la pleura.
• Los nódulos se convierten rápidamente en cavidades (en cuestión de días).
Émbolos sépticos en los pulmones y órganos parenquimatosos. Un varón de 22
años que abusaba de drogas intravenosas ingresó con dolor torácico. Se
aprecian nódulos periféricos, con agrandamiento de la arteria pulmonar, así
como infartos en bazo y riñón derecho (flechas) por endocarditis aórtica.
Infección por Mycobacterium Tuberculosis
• La tuberculosis tiene una prevalencia creciente después de años de cierto declive. La manifestación clínica
puede ser sutil o completamente ausente. Los síntomas incluyen febrícula, malestar general, pérdida de
peso y, cuando los pulmones están afectados, tos, con o sin hemoptisis .
• Existe un patrón radiológico; la enfermedad de la cavidad del lóbulo superior se observa comúnmente en
adultos inmunocompetentes, mientras que la enfermedad de la zona pulmonar inferior, la adenopatía y los
derrames pleurales se encuentran comúnmente en pacientes inmunocomprometidos (los niños se
consideran en este grupo).
• El grosor de la pared de la cavidad puede variar considerablemente y la pared de la cavidad puede mostrar
realce del borde en la TC. Si hay afectación de los ganglios linfáticos, se puede ver realce del borde
ganglionar alrededor de la necrosis central
• Puede ocurrir derrame pleural y se observa en el 25 por ciento de los pacientes. La tuberculosis miliar es la
diseminación hematógena de la enfermedad, que se presenta como pequeños nódulos de 2 a 3 mm de
tamaño. Suelen estar situados en las zonas inferiores de los lóbulos y pueden cavitarse.
Tuberculosis. Este hombre de 68 años vivía
anteriormente en áreas de tuberculosis
endémica. Ingresó con tos productiva y fiebre por
la noche en las últimas dos semanas. Ahora tiene
hemoptisis con un nivel de proteína C reactiva de
120 mg/L. La radiografía inicial mostró una
cavidad. La TC con contraste mostró una cavidad
llena de líquido en la parte superior del pulmón
derecho, con un leve realce de contraste en la
pared.
Tuberculosis miliar. Una mujer de 65 años con
disnea ingresó porque su neumonía no
mejoraba a pesar del tratamiento. La TC se
realizó con sospecha de tromboembolismo
pulmonar. Las imágenes muestran múltiples
nódulos cavitados pequeños en los lóbulos
superior e inferior de ambos lados. La
microbiología resultó positiva para
tuberculosis.
Infección por micobacterias no tuberculosas
(NTMB)
Las infecciones por micobacterias atípicas o micobacterias no tuberculosas (NTMB) son causadas por micobacterias
distintas de Mycobacterium tuberculosis . Se componen de decenas de organismos diferentes, los más comunes
son M. avium-intracelluare y M. kansaii .
Hay dos formas principales de presentación: clásica y no clásica.
La forma clásica se presenta como una enfermedad cavitaria en las zonas superiores de los lóbulos, con síntomas
similares a la tuberculosis pero sin hemoptisis. En las imágenes, hay nódulos en todos los lóbulos, con una ligera
predilección por los segmentos apical y posterior.
Los nódulos se convierten en cavidades, ya que también se producen nuevos nódulos. El grosor de la pared puede
variar desde una pared interior fina y lisa hasta una pared interior gruesa e irregular. Los nódulos cavitarios rara
vez superan los 2,5 cm de tamaño. Pueden verse pequeñas calcificaciones. Las adenopatías mediastínicas y los
derrames pleurales son raros .
La NTMB no clásica se presenta con tos crónica y como enfermedad bronquiectásica, con nódulos
centrolobulillares y patrón de árbol en brote en relación con las bronquiectasias. La cavitación y la linfadenopatía
mediastínica son raras en la NTMB no clásica
ASPERGILOSIS
La aspergilosis es causada por un hongo, Aspergillus fumigatus .Existen varias formas de
presentación: aspergiloma, aspergilosis broncopulmonar alérgica, aspergilosis crónica necrotizante
(anteriormente semiinvasiva) y aspergilosis invasiva.
Las dos últimas formas se observan en huéspedes inmunocomprometidos, mientras que los
aspergilomas se observan en pacientes con cavidades subyacentes en los pulmones.
En la aspergilosis invasiva, la presentación clínica consiste en síntomas prolongados de
tos productiva, fiebre, malestar general y, a veces, hemoptisis.
En la TC, inicialmente hay consolidación, a veces varias, que pueden tener un halo de vidrio esmerilado rodeándolas. Los
nódulos pueden cavitarse. Los aspergilomas no son verdaderas lesiones cavitarias sino bolas fúngicas que se desarrollan en
pacientes con enfermedades subyacentes (tuberculosis, sarcoidosis) con cavidades preexistentes en los pulmones. Pueden ser
completamente asintomáticos, cuando desarrollan síntomas; la más frecuente es la hemoptisis por afección de vasos . En las
imágenes, se pueden encontrar opacidades o masas con cavitación solitaria o cavitación múltiple con una colección de aire en
forma de media luna en la parte no dependiente de la cavidad.
El signo de la media luna debe correlacionarse con el entorno clínico de la enfermedad subyacente, ya que el signo no es
exclusivo del aspergiloma [ 20 ]. La movilidad del contenido de la cavidad puede utilizarse para diferenciarla de otras entidades
[19 ]. La pared de la cavidad preexistente puede verse afectada por el aspergiloma y volverse irregular, pero el grosor de la
pared suele permanecer por debajo de los 3 mm [ 20 ]. Puede haber engrosamiento pleural local .
Aspergilosis necrotizante crónica (semi-invasiva) . Una mujer
de 70 años con asma de larga evolución fue tratada con
esteroides. Recibió tratamiento por neumonía, pero aún
tenía PCR en aumento de 140 a 170 mg/L. La TC reveló un
nódulo cavitario en el lóbulo superior derecho con vidrio
esmerilado alrededor, el llamado signo de halo (flechas).
El nódulo tenía una pared gruesa,
pero una pared interna lisa, y no
había ganglios linfáticos en el
mediastino.
Aspergiloma. Un paciente varón de
58 años con sarcoidosis también
tenía fibrosis conocida desde hacía
mucho tiempo. La CXR de rutina
reveló opacidades en los segmentos
apicales de ambos pulmones. La TC
mostró un gran contenido de
quistes fibróticos conocidos
apicalmente con aire en forma de
media luna (flechas cortas) en la
parte anterior debido a grandes
bolas de hongos formadas (flechas
largas). Había engrosamiento
pleural local (flecha gruesa) (sin
síntomas).
Enfermedades Sistémicas
• Granulomatosis con poliangeítis
• La granulomatosis con poliangeítis (GPA) es una enfermedad autoinmune que causa vasculitis en los pequeños
vasos. Los órganos comunes afectados son las vías respiratorias superiores e inferiores y los riñones.
• Las hemorragias nasales y la hemoptisis son los síntomas más comunes, y el 95 por ciento de todos los
pacientes presentan tos y disnea.
• Las imágenes revelan grandes nódulos y masas pulmonares, por lo general de 2 a 4 cm y rara vez de hasta 10
cm. Veinticinco por ciento de todos los nódulos cavitan. A menudo se localizan centralmente pero no muestran
predilección por los pulmones superiores o inferiores. El grosor de la pared puede variar
considerablemente. Los nódulos a veces tienen un halo que los rodea debido a una
hemorragia. Aproximadamente la mitad de los nódulos se resuelven con el tiempo en respuesta al
tratamiento; los restantes curan con fibrosis residual (o quistes de paredes delgadas) o permanecen sin
cambios.
• La GPA también puede presentarse como opacidades en vidrio esmerilado o atenuación en mosaico debido a
una hemorragia difusa en los pulmones
Granulomatosis con poliangeítis. Una mujer de 74 años ingresó por disnea y tos productiva,
pero sin fiebre. Las imágenes de TC muestran una lesión cavitaria relativamente grande en
ambos pulmones con paredes gruesas e irregulares (flechas gruesas). Tres años más tarde, los
nódulos se habían convertido en un quiste en el lado derecho. En el lado izquierdo, el nódulo
era más pequeño y ya no cavitado.
Nódulos reumáticos
• Las opacidades nodulares cavitantes en el curso de enfermedades
reumáticas son mucho más raras que las neumonías pulmonares
intersticiales y las vasculitis. Los nódulos se producen cuando las células
epiteliales cubren una zona necrótica, creando un nódulo necrobiótico,
que es el causante de la cavidad.
• Estos se localizan con mayor frecuencia en la periferia o
subpleuralmente. Pueden variar en tamaño y espesor de
pared. Normalmente son asintomáticos y se resuelven sin tratamiento
específico, pero en algunos casos se han reportado tos y hemoptisis.
Nódulo reumático. Un varón de 46 años con
artritis reumatoide de larga evolución estaba
inmunosuprimido debido al tratamiento
continuo con metotrexato. Se solicitó TC por
tos crónica. La TC mostró múltiples nódulos
centrolobulillares en el pulmón izquierdo
(dentro del área marcada), que eran
bronquiolitis por su AR. Además, se observa un
nódulo cavitario subplueral (flecha gruesa). Un
mes después, el nódulo se estaba disipando
lentamente (flecha).
Neoplasias malignas
• El nódulo cavitario solitario que se encuentra con mayor
frecuencia en el pulmón es un tumor maligno .
• Pueden ocurrir en cualquier parte de los pulmones y tener formas
redondas o irregulares con una gran variación en el grosor de la
pared. El grosor de la pared superior a 24 mm, así como la
consolidación perilesional pueden indicar malignidad, como se
mencionó anteriormente .
• De todos los carcinomas bronquiales, del 10 al 15 por ciento son
cavitados.
Cáncer de pulmón. Paciente femenina de 65 años,
fumadora desde hace 50 años, que ingresa con
hemoptisis y malestar general, sin fiebre. La TC
mostró una gran lesión cavitaria con paredes de
diferente grosor. Nótese que sin la historia clínica
este caso es imposible de diferenciar del caso
presentado.
Las metástasis pulmonares de carcinomas de células escamosas, principalmente del tracto gastrointestinal y de mama,
sarcomas y adenocarcinomas frecuentemente cavitan . En las imágenes, puede ser difícil diferenciar los tumores
malignos de otras entidades cavitarias, pero la historia clínica de pérdida de peso y la ausencia de síntomas agudos,
como fiebre, pueden ser útiles.
Metástasis. Se muestran nódulos pulmonares
con componentes cavitarios pequeños y
grandes (flechas), que eran metástasis de un
adenocarcinoma en el páncreas (no se
muestra).
Entidades que se superponen con enfermedades quísticas
La histiocitosis de células de Langerhans (HCL), la linfangioleiomiomatosis (LAM), la neumonía intersticial
linfocítica (LIP) y los hallazgos de infección por Pneumocystis jirovecii son enfermedades pulmonares
quísticas.. La bronquiectasia quística también puede ser un diagnóstico diferencial. Sin embargo, el grosor de
la pared, así como los hallazgos clínicos, son criterios importantes para diferenciar entre enfermedades
pulmonares cavitarias y quísticas
Mujer de 84 años, intervenida previamente de un
angiomiolipoma, que ingresó con disnea. La TC mostró
múltiples quistes de paredes delgadas con diferentes
tamaños.
CONCLUSIONES
• las lesiones pulmonares cavitarias son causadas por varias entidades
patológicas variables. Prestar mucha atención a los hallazgos de la TC
específicos de la enfermedad combinados con la historia clínica y los
hallazgos son herramientas importantes que conducen al diagnóstico
correcto.
BIBLIOGRAFIA
• Gafoor, Khalid; Patel, Shalin; Girvin, Francis; Gupta, Nishant; Naidich, David; Machnicki,
Stephen; Brown, Kevin K.; Mehta, Atul; Husta, Bryan; Ryu, Jay; Sarosi, George; Franquet,
Tomas; Verschakelen, Johny; Johkoh, Takeshi; Travis, William; Raoof, Suhail
(2018). Cavitary Lung Diseases-A Clinical-Radiological Algorithmic Approach. Chest, (),
S0012369218303945–. doi:10.1016/j.chest.2018.02.026
• https://piper.espacio-seram.com/index.php/seram/article/view/9085/7551
• Differential Diagnosis of Cavitary Lung LesionsAnagha P. Parkar1 and Panchakulasingam
Kandiah2J Belg Soc Radiol. 2016; 100(1): 100.

LESIONES PULMONARES CAVITADAS.pptx

  • 1.
    LESIONES PULMONARES CAVITADAS MEDICO RESIDENTEDE NEUMOLOGIA CYNTHIA EVELYN ARIZANCA CALLATA
  • 2.
    INTRODUCCIÓN • La CAVIDADPULMONAR está definida por la Sociedad Fleischner como “un espacio lleno de aire, que se ve como una radiolucencia o área de baja atenuación, dentro de una consolidación pulmonar, una masa o un nódulo • Habitualmente, presenta una pared con un grosor superior a los 4 mm Differential Diagnosis of Cavitary Lung LesionsAnagha P. Parkar1 and Panchakulasingam Kandiah2J Belg Soc Radiol. 2016; 100(1): 100.
  • 3.
  • 4.
    ENFOQUE ALGORITMICO Gafoor, Khalid; Patel,Shalin; Girvin, Francis; Gupta, Nishant; Naidich, David; Machnicki, Stephen; Brown, Kevin K.; Mehta, Atul; Husta, Bryan; Ryu, Jay; Sarosi, George; Franquet, Tomas; Verschakelen, Johny; Johkoh, Takeshi; Travis, William; Raoof, Suhail (2018). Cavitary Lung Diseases-A Clinical- Radiological Algorithmic Approach. Chest, (), S0012369218303945–
  • 5.
    Infecciones • Varios gruposde microorganismos pueden causar lesiones cavitarias: bacterias comunes (por ejemplo, Streptococcus p., Staph.aureus, Klebsiella p., H. influenzae ); micobacterias típicas y atípicas; hongos (por ejemplo, aspergilosis, pneumocystis j.); y parásitos Differential Diagnosis of Cavitary Lung LesionsAnagha P. Parkar1 and Panchakulasingam Kandiah2J Belg Soc Radiol. 2016; 100(1): 100.
  • 6.
    Absceso pulmonar • Elabsceso pulmonar ocurre como una complicación de la neumonía. • La mayoría de los abscesos se pueden tratar de forma conservadora, pero el drenaje percutáneo puede ser necesario hasta en el 20% de los casos. • Además de complicaciones comunes como el neumotórax y el empiema, el desarrollo de fístulas broncopleurales es una complicación rara • Los abscesos se ven en la TC como lesiones cavitarias con o sin nivel de líquido. Pueden ocurrir en cualquier parte de los pulmones. Por lo general, es visible un espesor de pared intermedio a grueso con realce de contraste periférico y un centro necrosante. Si el absceso se localiza en la periferia, puede haber un engrosamiento pleural local o un empiema
  • 7.
    Absceso pulmonar. Mismopaciente. La localización periférica ha provocado un empiema local (flechas), y también hay un realce de la pleura posteriormente, desarrollo de empiema (flecha gruesa). Absceso pulmonar . Un varón de 36 años ingresó con sepsis una semana antes. Se realiza TC por baja respuesta al tratamiento antibiótico. Se aprecia una gran cavidad en el lóbulo superior derecho con nivel hidroaéreo (flecha larga). Se observa realce del borde en la pared de la cavidad anteriormente (flechas cortas). También se observa un derrame pleural (flecha gruesa).
  • 8.
    NEUMONIA NECROTIZANTE Gafoor, Khalid;Patel, Shalin; Girvin, Francis; Gupta, Nishant; Naidich, David; Machnicki, Stephen; Brown, Kevin K.; Mehta, Atul; Husta, Bryan; Ryu, Jay; Sarosi, George; Franquet, Tomas; Verschakelen, Johny; Johkoh, Takeshi; Travis William; Raoof, Suhail (2018). Cavitary Lung Diseases-A Clinical-Radiological Algorithmic Approach. Chest, (),
  • 9.
    émbolos sépticos • Losémbolos sépticos ocurren cuando los microorganismos causan trombosis en los capilares pulmonares periféricos. • Los pacientes inmunodeprimidos, los pacientes con catéteres arteriales o intravenosos, los drogadictos intravenosos, los alcohólicos y los pacientes con endocarditis o sometidos a cirugía dental son susceptibles a la embolia séptica. • Los trombos conducen al infarto y los consiguientes microabscesos. • La presentación por TC consiste en múltiples opacidades nodulares periféricas o en forma de cuña con una base ancha contra la pleura. • Los nódulos se convierten rápidamente en cavidades (en cuestión de días).
  • 10.
    Émbolos sépticos enlos pulmones y órganos parenquimatosos. Un varón de 22 años que abusaba de drogas intravenosas ingresó con dolor torácico. Se aprecian nódulos periféricos, con agrandamiento de la arteria pulmonar, así como infartos en bazo y riñón derecho (flechas) por endocarditis aórtica.
  • 11.
    Infección por MycobacteriumTuberculosis • La tuberculosis tiene una prevalencia creciente después de años de cierto declive. La manifestación clínica puede ser sutil o completamente ausente. Los síntomas incluyen febrícula, malestar general, pérdida de peso y, cuando los pulmones están afectados, tos, con o sin hemoptisis . • Existe un patrón radiológico; la enfermedad de la cavidad del lóbulo superior se observa comúnmente en adultos inmunocompetentes, mientras que la enfermedad de la zona pulmonar inferior, la adenopatía y los derrames pleurales se encuentran comúnmente en pacientes inmunocomprometidos (los niños se consideran en este grupo). • El grosor de la pared de la cavidad puede variar considerablemente y la pared de la cavidad puede mostrar realce del borde en la TC. Si hay afectación de los ganglios linfáticos, se puede ver realce del borde ganglionar alrededor de la necrosis central • Puede ocurrir derrame pleural y se observa en el 25 por ciento de los pacientes. La tuberculosis miliar es la diseminación hematógena de la enfermedad, que se presenta como pequeños nódulos de 2 a 3 mm de tamaño. Suelen estar situados en las zonas inferiores de los lóbulos y pueden cavitarse.
  • 12.
    Tuberculosis. Este hombrede 68 años vivía anteriormente en áreas de tuberculosis endémica. Ingresó con tos productiva y fiebre por la noche en las últimas dos semanas. Ahora tiene hemoptisis con un nivel de proteína C reactiva de 120 mg/L. La radiografía inicial mostró una cavidad. La TC con contraste mostró una cavidad llena de líquido en la parte superior del pulmón derecho, con un leve realce de contraste en la pared.
  • 15.
    Tuberculosis miliar. Unamujer de 65 años con disnea ingresó porque su neumonía no mejoraba a pesar del tratamiento. La TC se realizó con sospecha de tromboembolismo pulmonar. Las imágenes muestran múltiples nódulos cavitados pequeños en los lóbulos superior e inferior de ambos lados. La microbiología resultó positiva para tuberculosis.
  • 16.
    Infección por micobacteriasno tuberculosas (NTMB) Las infecciones por micobacterias atípicas o micobacterias no tuberculosas (NTMB) son causadas por micobacterias distintas de Mycobacterium tuberculosis . Se componen de decenas de organismos diferentes, los más comunes son M. avium-intracelluare y M. kansaii . Hay dos formas principales de presentación: clásica y no clásica. La forma clásica se presenta como una enfermedad cavitaria en las zonas superiores de los lóbulos, con síntomas similares a la tuberculosis pero sin hemoptisis. En las imágenes, hay nódulos en todos los lóbulos, con una ligera predilección por los segmentos apical y posterior. Los nódulos se convierten en cavidades, ya que también se producen nuevos nódulos. El grosor de la pared puede variar desde una pared interior fina y lisa hasta una pared interior gruesa e irregular. Los nódulos cavitarios rara vez superan los 2,5 cm de tamaño. Pueden verse pequeñas calcificaciones. Las adenopatías mediastínicas y los derrames pleurales son raros . La NTMB no clásica se presenta con tos crónica y como enfermedad bronquiectásica, con nódulos centrolobulillares y patrón de árbol en brote en relación con las bronquiectasias. La cavitación y la linfadenopatía mediastínica son raras en la NTMB no clásica
  • 18.
    ASPERGILOSIS La aspergilosis escausada por un hongo, Aspergillus fumigatus .Existen varias formas de presentación: aspergiloma, aspergilosis broncopulmonar alérgica, aspergilosis crónica necrotizante (anteriormente semiinvasiva) y aspergilosis invasiva. Las dos últimas formas se observan en huéspedes inmunocomprometidos, mientras que los aspergilomas se observan en pacientes con cavidades subyacentes en los pulmones. En la aspergilosis invasiva, la presentación clínica consiste en síntomas prolongados de tos productiva, fiebre, malestar general y, a veces, hemoptisis. En la TC, inicialmente hay consolidación, a veces varias, que pueden tener un halo de vidrio esmerilado rodeándolas. Los nódulos pueden cavitarse. Los aspergilomas no son verdaderas lesiones cavitarias sino bolas fúngicas que se desarrollan en pacientes con enfermedades subyacentes (tuberculosis, sarcoidosis) con cavidades preexistentes en los pulmones. Pueden ser completamente asintomáticos, cuando desarrollan síntomas; la más frecuente es la hemoptisis por afección de vasos . En las imágenes, se pueden encontrar opacidades o masas con cavitación solitaria o cavitación múltiple con una colección de aire en forma de media luna en la parte no dependiente de la cavidad. El signo de la media luna debe correlacionarse con el entorno clínico de la enfermedad subyacente, ya que el signo no es exclusivo del aspergiloma [ 20 ]. La movilidad del contenido de la cavidad puede utilizarse para diferenciarla de otras entidades [19 ]. La pared de la cavidad preexistente puede verse afectada por el aspergiloma y volverse irregular, pero el grosor de la pared suele permanecer por debajo de los 3 mm [ 20 ]. Puede haber engrosamiento pleural local .
  • 20.
    Aspergilosis necrotizante crónica(semi-invasiva) . Una mujer de 70 años con asma de larga evolución fue tratada con esteroides. Recibió tratamiento por neumonía, pero aún tenía PCR en aumento de 140 a 170 mg/L. La TC reveló un nódulo cavitario en el lóbulo superior derecho con vidrio esmerilado alrededor, el llamado signo de halo (flechas). El nódulo tenía una pared gruesa, pero una pared interna lisa, y no había ganglios linfáticos en el mediastino.
  • 21.
    Aspergiloma. Un pacientevarón de 58 años con sarcoidosis también tenía fibrosis conocida desde hacía mucho tiempo. La CXR de rutina reveló opacidades en los segmentos apicales de ambos pulmones. La TC mostró un gran contenido de quistes fibróticos conocidos apicalmente con aire en forma de media luna (flechas cortas) en la parte anterior debido a grandes bolas de hongos formadas (flechas largas). Había engrosamiento pleural local (flecha gruesa) (sin síntomas).
  • 22.
    Enfermedades Sistémicas • Granulomatosiscon poliangeítis • La granulomatosis con poliangeítis (GPA) es una enfermedad autoinmune que causa vasculitis en los pequeños vasos. Los órganos comunes afectados son las vías respiratorias superiores e inferiores y los riñones. • Las hemorragias nasales y la hemoptisis son los síntomas más comunes, y el 95 por ciento de todos los pacientes presentan tos y disnea. • Las imágenes revelan grandes nódulos y masas pulmonares, por lo general de 2 a 4 cm y rara vez de hasta 10 cm. Veinticinco por ciento de todos los nódulos cavitan. A menudo se localizan centralmente pero no muestran predilección por los pulmones superiores o inferiores. El grosor de la pared puede variar considerablemente. Los nódulos a veces tienen un halo que los rodea debido a una hemorragia. Aproximadamente la mitad de los nódulos se resuelven con el tiempo en respuesta al tratamiento; los restantes curan con fibrosis residual (o quistes de paredes delgadas) o permanecen sin cambios. • La GPA también puede presentarse como opacidades en vidrio esmerilado o atenuación en mosaico debido a una hemorragia difusa en los pulmones
  • 23.
    Granulomatosis con poliangeítis.Una mujer de 74 años ingresó por disnea y tos productiva, pero sin fiebre. Las imágenes de TC muestran una lesión cavitaria relativamente grande en ambos pulmones con paredes gruesas e irregulares (flechas gruesas). Tres años más tarde, los nódulos se habían convertido en un quiste en el lado derecho. En el lado izquierdo, el nódulo era más pequeño y ya no cavitado.
  • 24.
    Nódulos reumáticos • Lasopacidades nodulares cavitantes en el curso de enfermedades reumáticas son mucho más raras que las neumonías pulmonares intersticiales y las vasculitis. Los nódulos se producen cuando las células epiteliales cubren una zona necrótica, creando un nódulo necrobiótico, que es el causante de la cavidad. • Estos se localizan con mayor frecuencia en la periferia o subpleuralmente. Pueden variar en tamaño y espesor de pared. Normalmente son asintomáticos y se resuelven sin tratamiento específico, pero en algunos casos se han reportado tos y hemoptisis.
  • 25.
    Nódulo reumático. Unvarón de 46 años con artritis reumatoide de larga evolución estaba inmunosuprimido debido al tratamiento continuo con metotrexato. Se solicitó TC por tos crónica. La TC mostró múltiples nódulos centrolobulillares en el pulmón izquierdo (dentro del área marcada), que eran bronquiolitis por su AR. Además, se observa un nódulo cavitario subplueral (flecha gruesa). Un mes después, el nódulo se estaba disipando lentamente (flecha).
  • 26.
    Neoplasias malignas • Elnódulo cavitario solitario que se encuentra con mayor frecuencia en el pulmón es un tumor maligno . • Pueden ocurrir en cualquier parte de los pulmones y tener formas redondas o irregulares con una gran variación en el grosor de la pared. El grosor de la pared superior a 24 mm, así como la consolidación perilesional pueden indicar malignidad, como se mencionó anteriormente . • De todos los carcinomas bronquiales, del 10 al 15 por ciento son cavitados.
  • 27.
    Cáncer de pulmón.Paciente femenina de 65 años, fumadora desde hace 50 años, que ingresa con hemoptisis y malestar general, sin fiebre. La TC mostró una gran lesión cavitaria con paredes de diferente grosor. Nótese que sin la historia clínica este caso es imposible de diferenciar del caso presentado.
  • 28.
    Las metástasis pulmonaresde carcinomas de células escamosas, principalmente del tracto gastrointestinal y de mama, sarcomas y adenocarcinomas frecuentemente cavitan . En las imágenes, puede ser difícil diferenciar los tumores malignos de otras entidades cavitarias, pero la historia clínica de pérdida de peso y la ausencia de síntomas agudos, como fiebre, pueden ser útiles. Metástasis. Se muestran nódulos pulmonares con componentes cavitarios pequeños y grandes (flechas), que eran metástasis de un adenocarcinoma en el páncreas (no se muestra).
  • 29.
    Entidades que sesuperponen con enfermedades quísticas La histiocitosis de células de Langerhans (HCL), la linfangioleiomiomatosis (LAM), la neumonía intersticial linfocítica (LIP) y los hallazgos de infección por Pneumocystis jirovecii son enfermedades pulmonares quísticas.. La bronquiectasia quística también puede ser un diagnóstico diferencial. Sin embargo, el grosor de la pared, así como los hallazgos clínicos, son criterios importantes para diferenciar entre enfermedades pulmonares cavitarias y quísticas Mujer de 84 años, intervenida previamente de un angiomiolipoma, que ingresó con disnea. La TC mostró múltiples quistes de paredes delgadas con diferentes tamaños.
  • 30.
    CONCLUSIONES • las lesionespulmonares cavitarias son causadas por varias entidades patológicas variables. Prestar mucha atención a los hallazgos de la TC específicos de la enfermedad combinados con la historia clínica y los hallazgos son herramientas importantes que conducen al diagnóstico correcto.
  • 31.
    BIBLIOGRAFIA • Gafoor, Khalid;Patel, Shalin; Girvin, Francis; Gupta, Nishant; Naidich, David; Machnicki, Stephen; Brown, Kevin K.; Mehta, Atul; Husta, Bryan; Ryu, Jay; Sarosi, George; Franquet, Tomas; Verschakelen, Johny; Johkoh, Takeshi; Travis, William; Raoof, Suhail (2018). Cavitary Lung Diseases-A Clinical-Radiological Algorithmic Approach. Chest, (), S0012369218303945–. doi:10.1016/j.chest.2018.02.026 • https://piper.espacio-seram.com/index.php/seram/article/view/9085/7551 • Differential Diagnosis of Cavitary Lung LesionsAnagha P. Parkar1 and Panchakulasingam Kandiah2J Belg Soc Radiol. 2016; 100(1): 100.

Notas del editor

  • #3 Existen muchas enfermedades, tanto benignas como malignas que pueden producir enfermedad pulmonar cavitaria. Habitualmente, la radiografía simple de tórax es la primera prueba de imagen inicial ante la sospecha de patología pulmonar, siendo la Tomografía Computarizada (TC) la prueba de elección ante la sospecha de una cavidad, pues permite una mejor caracterización de las lesiones
  • #7  Los síntomas son consistentes con neumonía: tos productiva, fiebre, dolor en el pecho .
  • #10 Los pacientes están sépticos y tienen tos y disnea, dolor torácico y quizás hemoptisis y taquicardia sinusal El desarrollo dinámico ayuda a diferenciarlo de las neoplasias malignas. Las cavidades pueden mostrar realce de contraste periférico. El grosor de la pared puede variar considerablemente y no ayuda a distinguirlo de otras entidades. A menudo hay derrame pleural, que puede convertirse en un empiema. Se pueden producir adenopatías hiliares y mediastínicas. Los hallazgos de imagen adicionales incluyen el ensanchamiento de la arteria pulmonar debido al aumento de la presión. Si los trombos llegan al corazón izquierdo, pueden ocurrir infartos en los órganos del parénquima abdominal, el cerebro y la piel .
  • #17 Los NTMB no son tan contagiosos como la tuberculosis. Los pacientes con enfermedad pulmonar preexistente, como la enfermedad pulmonar obstructiva crónica, y los ancianos son propensos a las infecciones por NTMB. Hay dos formas principales de presentación: clásica y no clásica. La forma clásica se presenta como una enfermedad cavitaria en las zonas superiores de los lóbulos, con síntomas similares a la tuberculosis pero sin hemoptisis. En las imágenes, hay nódulos en todos los lóbulos, con una ligera predilección por los segmentos apical y posterior. Los nódulos se convierten en cavidades, ya que también se producen nuevos nódulos. El grosor de la pared puede variar desde una pared interior fina y lisa hasta una pared interior gruesa e irregular. Los nódulos cavitarios rara vez superan los 2,5 cm de tamaño. Pueden verse pequeñas calcificaciones. Las adenopatías mediastínicas y los derrames pleurales son raros (Figuras​(Figuras11,11,​,12).12). La NTMB no clásica se presenta con tos crónica y como enfermedad bronquiectásica, con nódulos centrolobulillares y patrón de árbol en brote en relación con las bronquiectasias. La cavitación y la linfadenopatía mediastínica son raras en la NTMB no clásica 
  • #19 La aspergilosis es causada por un hongo, Aspergillus fumigatus .  Existen varias formas de presentación: aspergiloma, aspergilosis broncopulmonar alérgica, aspergilosis crónica necrotizante (anteriormente semiinvasiva) y aspergilosis invasiva. Las dos últimas formas se observan en huéspedes inmunocomprometidos, mientras que los aspergilomas se observan en pacientes con cavidades subyacentes en los pulmones. En la aspergilosis invasiva, la presentación clínica consiste en síntomas prolongados de tos productiva, fiebre, malestar general y, a veces, hemoptisis [ 19 , 20 ]. En la TC, inicialmente hay consolidación, a veces varias, que pueden tener un halo de vidrio esmerilado rodeándolas. Los nódulos pueden cavitarse (Figuras​(Figuras13,13,​,14)14) [ 19 , 20 ]. Los aspergilomas no son verdaderas lesiones cavitarias sino bolas fúngicas que se desarrollan en pacientes con enfermedades subyacentes (tuberculosis, sarcoidosis) con cavidades preexistentes en los pulmones. Pueden ser completamente asintomáticos, cuando desarrollan síntomas; la más frecuente es la hemoptisis por afección de vasos [ 19 , 20 ]. En las imágenes, se pueden encontrar opacidades o masas con cavitación solitaria o cavitación múltiple con una colección de aire en forma de media luna en la parte no dependiente de la cavidad. El signo de la media luna debe correlacionarse con el entorno clínico de la enfermedad subyacente, ya que el signo no es exclusivo del aspergiloma [ 20 ]. La movilidad del contenido de la cavidad puede utilizarse para diferenciarla de otras entidades [19 ]. La pared de la cavidad preexistente puede verse afectada por el aspergiloma y volverse irregular, pero el grosor de la pared suele permanecer por debajo de los 3 mm [ 20 ]. Puede haber engrosamiento pleural local (Figura​(Figura 15)15) [ 20 ].