Neumonías Intersticiales
Nadia Rojas
Residente de Radiología.
Definición
• Son un grupo heterogéneo de enfermedades no neoplásicas
parenquimatosas del pulmón con manifestaciones, imágenes,
clínica y outcomes diversos.
• Procesos de inflamación y fibrosis
• Pueden ser idiopáticas o secundarias
• Imágenes ayudan a diferenciarlas y clasificarlas.
Diagnóstico o pueden solaparse
• Diagnóstico definitivo requiere: histopatología
Consenso 2002 ATS-ERS
Fibrosis pulmonar idiopática
• Causa desconocida
• Es la más común de IIP 50-60%
• Patrón histológico y TC: UIP
exposición a drogas y polvo, neumonitis hipersensibilidad crónicas,
colágeno y asbestosis
D: excluir causas
FPI
• >50 , h
• Síntomas gradual, disnea, tos seca
• No responde a corticoides
• Pronóstico pobre, 2-4 SV
• Muerte: falla respiratoria, cor pulmonare
• Secundario: mejor pronóstico
UIP histología
• Combinación heterogénea de inflamación intersticial,
fibrosis y panalización con áreas normales
• *biopsia puede desestimarse
UIP TC
• Fibrosis con áreas normales.
• Disminución de volumen pulmonar
• Opacidades reticulares
• Vidrio esmerilado
• Predominio en regiones basales y subpleurales
• Distorsión arquitectónica con bronquiectasias por tracción
secundaria a fibrosis.
• Panal de abejas (2-20mm)
• Linfoadenopatías mediastínicas pequeñas.
DD UIP CT
• AR, Esclerodermia (esófago dilatado)
• Asbestosis ( derrame pleural, bandas parenquimatosas)
• Neumonitis por hipersensibilidad crónica: fijarse en signos de
atrapamiento aéreo, Respeto de bases o cuando hay nódulos
centrolobulillares.
• Sarcoidosis terminal: fibrosis en segmentos posteriores de
lóbulos superiores o perihiliar, o nódulos perilinfáticos.
• NSIP
• Complicaciones:
• Exacerbación, DAD
• Cáncer pulmonar 10-15% bases
NSIP
• + asociado a otras condiciones esclerodermia,
poliomiositis, dermatomiositis, toxicidad a drogas,
inmunodeficiencia.
• Mejor pronóstico
• 40-50 h=m
NSIP Histología
• Continuo de componente celular a fibrosis
• Plasmocitos y linfocitos
• Engrosamiento intersticial por acumulación de colágeno
• Homogeneidad
• Biopsia es incompatible
con otros patrones
NSIP TC
• Vidrio esmerilado bilat y simétrico, LS
Reticulación fina, BQ por tracción, disminuciónd e volumen pulmonar,
panalización leve
Consolidaciones
Exacerbaciones menos comunes que FPI
• Pronóstico depende del grado de fibrosis
• Celular: 100% sv Fibrótico: 5 años SV
RB-ILD
• RB Asintomático, hallazgo
• Representan un continuo por la injuria del
tabaquismo
• Overlap
• RB ILD se asocia más a fumadores
• DIP: incluye drogas, polvo
CT
• Nódulos centrolobulares LS
• Vidrio esmerilado
• Atrapamiento aéreo
• Engrosamiento septal interlobular
• DD: neumonitis por hipersensibilidad
subaguda, DIP y NSIP
• Biopsia: bronbquiolitis acumulación intraluminal de
macrófagos pigmentados
DIP
• “alveolar macrophage pneumonia”
• Vidrio esmerilado
• LI y subpleural
• Quistes aéreos, panalziación poco frecuente
• DD: RB. NSIP: ausencia de fibrosis, bq x
tracción
• LBA: macrófagos
Aguda/subaguda
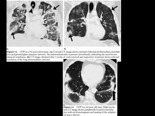
COP
• Ex BOOP
• Asociada a : colágeno, infecciones, EII,
radiación, toxicidad, transplante órganos
Criptogénica: idiopática
55 h=m
4- 6 semanas con síntomas de gripe
Buen pronóstico
COP histología
• Tejido granulación dentro de los ductos alveolares asociado a
infiltrados mononucleares
• pólipos
COP CT
• Consolidaciones parcheadas
• Broncograma aéreo Signo halo inverso
• Vidrio esmerilado periférico o peribroncovascular
• Crazy paving
• LI
• Nódulos, cavitarse
• Puede simular neumonía
• Reticulación subpleural
• Derrame pleural
Bilateral or unilateral patchy alveolar airspace consolidation is revealed,
often subpleural and peribronchial in location and mainly in the lower
zones.
Generally, the infiltrates gradually enlarge from their original size or
new infiltrates appear.
Consolidation is often nonsegmental and varies from 2 to 6 cm in
diameter.
Cavitary BOOP that mimics tuberculosis and cavitating opacity after
lung transplantation has been reported.
An air bronchogram may be present.
Nodules 3-5 mm in diameter are seen in approximately one half of
patients; nodules may be migratory.
Basal linear opacities are linked to a poorer prognosis.
Unilateral focal or lobar consolidation occurs in 5-31% of patients.
Miliary pattern is rare.
Pleural thickening occurs but pleural effusions are rare.
DD COP
• Infección y aspiración
• Vasculitis, sarcoidosis, adenocarcinoma
mucinoso, infoma
• Si consolidación subpleural: neumonia crónica
eosinofílica. Nódulos COP
AIP
• Rápidamente progresiva
• Persona sana en días o semanas
• DAD de causa desconocida
• DD: SDRA
• Ventilación mecánica O2
• 50% mortalidad
Histología• DAD fase aguda exudativa, proliferativa y fibrótica.
• Edema,, proliferación fb y neumocito2, deposición de colágeno
AIP CT
• Vidrio esmerilado
• Simétrico, bilateral LI
• Consolidaciones
• Tardía hay distorsión, bq x tracción y
panalización
• DD: SDRA, COP, P jirovecii, edema hidrostático,
neumonía eosinofílica aguda, hemorragia alveolar
difusa, proteinosis alveolar.
IIP raras
LIP
• Benigna
• Idiopática es rara
• Asociada a SS, VIH, enferemedad autoinmune
tiroides, enfermedad de castleman
M, 50
Disnea tos, fiebre artralgias,
80% disproteinemias igG igM
• Infiltración de linfocitos e histiocitos engrosando septos
LIP CT
• Vidrio esmerilado
• Nódulos
• Engrosamiento septos y peribroncovascular
• *Quistes 80% LI DD: NSIP celular
• DD: histiocitosis de langerhans,
linfangioleiomiomatosis, enfisema, DIP,
Fibroelastosis
pleuroparenquimatosa idiopática
• Rara
• Fibrosis pelura y subpleura LS
• 60% progresa y 40% muere
• CT:
• Engrosamiento pelural irregular y “tags” y fibrosis
• Pérdiad de volumen de LS, Bq por tracción
• DD: fibrosis pulmonar familiar, tejido conectivo (espondilitis
anquilosante), sarcoidosis fibrótica, neumonitis por
hipersensibilidad
*IIP no calsificables
• Tabla2
• 10%
• No puede realizarse biopsia
• 17% patrón UIP
• 50% posible patrón UIP
• Bq y panalización: pobre pronóstico
Neumonías intersticiales en tomografía computada.
Neumonías intersticiales en tomografía computada.
Neumonías intersticiales en tomografía computada.

Neumonías intersticiales en tomografía computada.

  • 1.
  • 2.
    Definición • Son ungrupo heterogéneo de enfermedades no neoplásicas parenquimatosas del pulmón con manifestaciones, imágenes, clínica y outcomes diversos. • Procesos de inflamación y fibrosis • Pueden ser idiopáticas o secundarias • Imágenes ayudan a diferenciarlas y clasificarlas. Diagnóstico o pueden solaparse • Diagnóstico definitivo requiere: histopatología
  • 3.
  • 10.
    Fibrosis pulmonar idiopática •Causa desconocida • Es la más común de IIP 50-60% • Patrón histológico y TC: UIP exposición a drogas y polvo, neumonitis hipersensibilidad crónicas, colágeno y asbestosis D: excluir causas
  • 11.
    FPI • >50 ,h • Síntomas gradual, disnea, tos seca • No responde a corticoides • Pronóstico pobre, 2-4 SV • Muerte: falla respiratoria, cor pulmonare • Secundario: mejor pronóstico
  • 12.
    UIP histología • Combinaciónheterogénea de inflamación intersticial, fibrosis y panalización con áreas normales • *biopsia puede desestimarse
  • 13.
    UIP TC • Fibrosiscon áreas normales. • Disminución de volumen pulmonar • Opacidades reticulares • Vidrio esmerilado • Predominio en regiones basales y subpleurales • Distorsión arquitectónica con bronquiectasias por tracción secundaria a fibrosis. • Panal de abejas (2-20mm) • Linfoadenopatías mediastínicas pequeñas.
  • 20.
    DD UIP CT •AR, Esclerodermia (esófago dilatado) • Asbestosis ( derrame pleural, bandas parenquimatosas) • Neumonitis por hipersensibilidad crónica: fijarse en signos de atrapamiento aéreo, Respeto de bases o cuando hay nódulos centrolobulillares. • Sarcoidosis terminal: fibrosis en segmentos posteriores de lóbulos superiores o perihiliar, o nódulos perilinfáticos. • NSIP • Complicaciones: • Exacerbación, DAD • Cáncer pulmonar 10-15% bases
  • 22.
    NSIP • + asociadoa otras condiciones esclerodermia, poliomiositis, dermatomiositis, toxicidad a drogas, inmunodeficiencia. • Mejor pronóstico • 40-50 h=m
  • 23.
    NSIP Histología • Continuode componente celular a fibrosis • Plasmocitos y linfocitos • Engrosamiento intersticial por acumulación de colágeno • Homogeneidad • Biopsia es incompatible con otros patrones
  • 24.
    NSIP TC • Vidrioesmerilado bilat y simétrico, LS Reticulación fina, BQ por tracción, disminuciónd e volumen pulmonar, panalización leve Consolidaciones Exacerbaciones menos comunes que FPI • Pronóstico depende del grado de fibrosis • Celular: 100% sv Fibrótico: 5 años SV
  • 32.
    RB-ILD • RB Asintomático,hallazgo • Representan un continuo por la injuria del tabaquismo • Overlap • RB ILD se asocia más a fumadores • DIP: incluye drogas, polvo
  • 33.
    CT • Nódulos centrolobularesLS • Vidrio esmerilado • Atrapamiento aéreo • Engrosamiento septal interlobular • DD: neumonitis por hipersensibilidad subaguda, DIP y NSIP
  • 34.
    • Biopsia: bronbquiolitisacumulación intraluminal de macrófagos pigmentados
  • 37.
    DIP • “alveolar macrophagepneumonia” • Vidrio esmerilado • LI y subpleural • Quistes aéreos, panalziación poco frecuente • DD: RB. NSIP: ausencia de fibrosis, bq x tracción • LBA: macrófagos
  • 42.
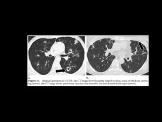
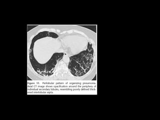
    Aguda/subaguda COP • Ex BOOP •Asociada a : colágeno, infecciones, EII, radiación, toxicidad, transplante órganos Criptogénica: idiopática 55 h=m 4- 6 semanas con síntomas de gripe Buen pronóstico
  • 43.
    COP histología • Tejidogranulación dentro de los ductos alveolares asociado a infiltrados mononucleares • pólipos
  • 44.
    COP CT • Consolidacionesparcheadas • Broncograma aéreo Signo halo inverso • Vidrio esmerilado periférico o peribroncovascular • Crazy paving • LI • Nódulos, cavitarse • Puede simular neumonía • Reticulación subpleural • Derrame pleural
  • 45.
    Bilateral or unilateralpatchy alveolar airspace consolidation is revealed, often subpleural and peribronchial in location and mainly in the lower zones. Generally, the infiltrates gradually enlarge from their original size or new infiltrates appear. Consolidation is often nonsegmental and varies from 2 to 6 cm in diameter. Cavitary BOOP that mimics tuberculosis and cavitating opacity after lung transplantation has been reported. An air bronchogram may be present. Nodules 3-5 mm in diameter are seen in approximately one half of patients; nodules may be migratory. Basal linear opacities are linked to a poorer prognosis. Unilateral focal or lobar consolidation occurs in 5-31% of patients. Miliary pattern is rare. Pleural thickening occurs but pleural effusions are rare.
  • 47.
    DD COP • Infeccióny aspiración • Vasculitis, sarcoidosis, adenocarcinoma mucinoso, infoma • Si consolidación subpleural: neumonia crónica eosinofílica. Nódulos COP
  • 54.
    AIP • Rápidamente progresiva •Persona sana en días o semanas • DAD de causa desconocida • DD: SDRA • Ventilación mecánica O2 • 50% mortalidad
  • 55.
    Histología• DAD faseaguda exudativa, proliferativa y fibrótica. • Edema,, proliferación fb y neumocito2, deposición de colágeno
  • 56.
    AIP CT • Vidrioesmerilado • Simétrico, bilateral LI • Consolidaciones • Tardía hay distorsión, bq x tracción y panalización • DD: SDRA, COP, P jirovecii, edema hidrostático, neumonía eosinofílica aguda, hemorragia alveolar difusa, proteinosis alveolar.
  • 61.
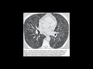
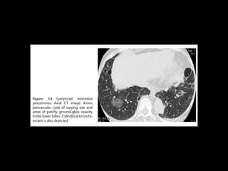
    IIP raras LIP • Benigna •Idiopática es rara • Asociada a SS, VIH, enferemedad autoinmune tiroides, enfermedad de castleman M, 50 Disnea tos, fiebre artralgias, 80% disproteinemias igG igM
  • 62.
    • Infiltración delinfocitos e histiocitos engrosando septos
  • 63.
    LIP CT • Vidrioesmerilado • Nódulos • Engrosamiento septos y peribroncovascular • *Quistes 80% LI DD: NSIP celular • DD: histiocitosis de langerhans, linfangioleiomiomatosis, enfisema, DIP,
  • 68.
    Fibroelastosis pleuroparenquimatosa idiopática • Rara •Fibrosis pelura y subpleura LS • 60% progresa y 40% muere • CT: • Engrosamiento pelural irregular y “tags” y fibrosis • Pérdiad de volumen de LS, Bq por tracción • DD: fibrosis pulmonar familiar, tejido conectivo (espondilitis anquilosante), sarcoidosis fibrótica, neumonitis por hipersensibilidad
  • 71.
    *IIP no calsificables •Tabla2 • 10% • No puede realizarse biopsia • 17% patrón UIP • 50% posible patrón UIP • Bq y panalización: pobre pronóstico