SARA MÁRQUEZ BATALLA
RESIDENTE DE RADIODIAGNÓSTICO
HOSPITAL CLÍNICO DE SALAMANCA
Intersticio axial
Peribroncovascular
Intersticio periférico
Subpleurales
Intralobulillar
Alrededor de los alveolos
Lobulillo pulmonar secundario
(Miller)
Intersticio pulmonar
• Patrón Lineal o Reticular
• Patrón Nodular
• Aumento de la Densidad Pulmonar:
. Densidad en Vidrio deslustrado
. Consolidación
. Patrón en empedrado
• Patrón de disminución de la Densidad Pulmonar:
. Patrón Quístico
. Perfusión en mosaico
• ENGROSAMIENTO DE LAS FIBRAS INTERSTICIALES DEL PULMÓN
por líquido, tejido fibroso o infiltración celular.
• Puede ser liso, irregular o nodular
Pérdida de la nitidez existente entre el
pulmón aireado y los bronquios, vasos y
pleura visceral
Signo de la interfase irregular
• Linfangitis carcinomatosa, linfoma, leucemia
• Neumonía intersticial linfoide
• Edema pulmonar intersticial
• Sarcoidosis
• Fibrosis pulmonar u otras causas de NIU
• Neumonía intersticial no específica
• Neumonitis por hipersensibilidad crónica
• Neumoconiosis
Afectación
difusa del
intersticio
Con frecuencia
asociado a
engrosamiento
de septos
interlobulillares
o intersticio
intralobulillar
• LISO: Diseminación linfática de carcinoma o linfoma, edema
pulmonar intersticial
• NODULAR: Sarcoidosis y diseminación linfática de carcinoma
• IRREGULAR: Fibrosis peribroncovacular y del parénquima
adyacente
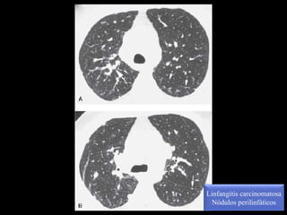
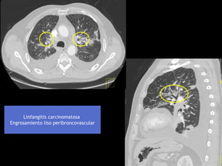
Linfangitis carcinomatosa por carcinoma en pulmón izq.
Engrosamiento liso peribroncovascular
Linfangitis carcinomatosa
Engrosamiento liso peribroncovascular
Sarcoidosis
Engrosamiento del intersticio
peribroncovascular nodular
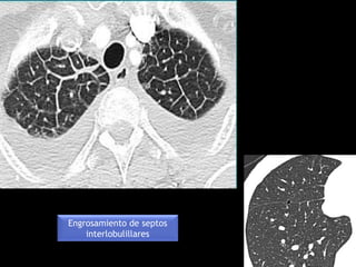
• Numerosos septos interlobulillares claramente visibles indican
con frecuencia patología intersticial (en condiciones normales
vemos algunos)
• Traducen la presencia de líquido, infiltración celular o fibrosis
DD del “Crazy-Paving
si vidrio deslustrado
asociado
Engrosamiento de septos
interlobulillares
Edema pulmonar intersticial
Engrosamiento septal liso
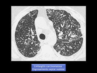
Linfangitis carcinomatosa
Engrosamiento septal liso
Linfangitis carcinomatosa
Engrosamiento septal nodular
Sarcoidosis
Engrosamiento septal nodular
Fibrosis pulmonar
Engrosamiento septal irregular
Engrosamiento
intersticial intralobulillar
Frecuente en
fibrosis pulmonar
Frecuente en
fibrosis pulmonar
• Densidad reticular no afilada de pocos milímetros de grosor y 2-5
cm de largo
• Con frecuencia son periféricas y contactan con la superficie
pleural (engrosada o retraída)
• Representa engrosamiento de septos contiguos, fibrosis
peribroncovascular, cicatrices o atelectasias
Diagnóstico Comentario
Asbestosis Múltiples bandas parenquimatosas
frecuentes; regulares asociadas a
engrosamiento pleural
Sarcoidosis Frecuentes, asociadas a
engrosamiento septal
Silicosis/ Neumoconiosis del trabajador del carbón Asociadas a fibrosis masiva
progresiva y enfisema
Tuberculosis Asociadas a cicatrices
Banda parenquimatosa
Asbestosis
Bandas parenquimatosas
FPI
Líneas subpleurales
Buscar a nivel de
cisuras
Líneas subpleurales
Probable NINE
(esclerodermia)
Línea subpleural
*Quistes de diferentes tamaños de paredes gruesas bien
definidas dispuestos en diferentes capas
*Típicamente los quistes comparten pared con los quistes
adyacentes
*La localización más frecuente es en regiones periféricas y
subpleurales
*Con frecuencia asociado a otros signos de fibrosis pulmonar:
Distorsión de la arquitectura, engrosamiento intersticial intralobulillar,
bronquiectasias o bronquioloectasias de tracción, engrosamiento subpleural
irregular, densidades lineales irregulares
PATRÓN EN
PANAL
Distribuido
predominantemente
subpleural, posterior y en
lúbulo inferior
Distribuido
predominantemente
subpleural, posterior y en
lúbulo inferior
Otra distribución (central,
del lóbulo superior…)
Otra distribución (central,
del lóbulo superior…)
FPI (70%), enfermedades del
colágeno, neumonitis por
hipersensibilidad, asbestosis,
fibrosis secundaria a fármacos,
sarcoidosis (raro)
Sarcoidosis (frecuente),
neumonitis por hipersensibilidad,
radioterapia, SDRA avanzado, FPI,
enfermedadesdel colágeno,
fibrosis secundaria a fármacos
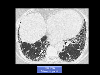
NIU (FPI)
Patrón en panal
NIU (FPI)
Patrón en panal
Densidad redondeada de < 3cm (micronódulo < 7 mm).
Diagnóstico diferencial basado en:
. Tamaño (pequeño o grande)
. Apariencia: bien definido (intersticiales) o mal definido (alveolares o
del espacio aéreo)
. Atenuación (tejidos blandos o vidrio deslustrado)
. Distribución: perilinfáticos, centrolobulillares o al azar
PERILINFÁTICOS
.Sarcoidosis
.Linfangitis carcinomatosa
.Silicosis / Neumoconiosis
CENTROLOBULILLARES
AZAR
.Metástasis hematógenas
.Diseminación miliar tuberculosa
.Infección fúngica
DISTRIBUCIÓN
PERILINFÁTICA
NÓDULOS
PEQUEÑOSSin nódulos
pleurales
Con nódulos
pleurales
Predominio parcheado,
subpleural,
peribroncovacular y
septal
Distribución difusa y
unifrome, sin
predilección
Patología de la vía
aérea, patología
vascular
Sarcoidosis, linfangitis
carcinomatosa,
silicosis y
neumoconiosis de los
mineros
Tuberculosis miliar,
infección por
hongos, metástasis
hematógenas
Con imagen en
“árbol en
brote”
Sin imagen en
“árbol en
brote”
Patología bronquiolar
(infección o
retención mucosa)
Patología
bronquiolar o
vascular
Diseminación endobronquial de una infección
(TBC, micobacterias no tuberculosas)
bronconeumonía, bronquiolitis infecciosa
bronquiectasias, FQ, panbronquiolitis,ABPA,
asma, tumor endobronquial
Diseminación endobronquial de una infección
(TBC, micobacterias no tuberculosas,
bronconeumonía), NHS, bronquiolitis
respiratoria, NO, histiocitosis, aspiración,tumor
endobronquial, edema pulmonar, vasculitis.
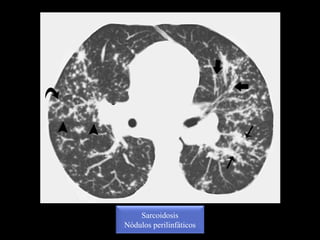
Nodulos perilinfáticos
Sarcoidosis
Sarcoidosis
Nódulos perilinfáticos
Linfangitis carcinomatosa
Nódulos perilinfáticos
Silicosis
Nódulos perilinfáticos
Neumonitis por hipersensibilidad subaguda
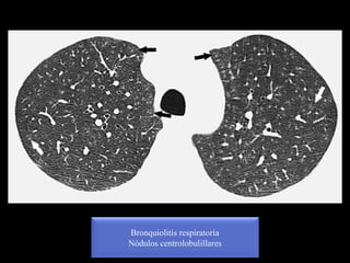
Nódulos centrolobulillares
Nodulos centrolobulillares
Bronquiolitis respiratoria
Nódulos centrolobulillares
Enfermedad veno-oclusiva pulmonar
Nódulos centrolobulillares
Nodulos centrolobulillares con árbol en brote
Bronquiolitis infecciosa
Nódulos centrolobulillares con árbol en brote
Panbronquiolitis
Nódulos centrolobulillares con árbol en brote
Metástasis intravasculares de carcinoma de células renales
Nódulos centrolobulillares con árbol en brote
Nodulos aleatorios
TBC miliar
Metástasis de carcinoma rectal.
Nódulos aleatorios
 VIDRIO DESLUSTRADOVIDRIO DESLUSTRADO:: Aumento de densidad pulmonar que
permite visualizar en su seno las estructuras vasculares.
Proceso activo y tratable.
 CONDENSACIÓNCONDENSACIÓN:: Opacidad de mayor grado que borra
estructuras vasculares.
 EMPEDRADO LOCO O CRAZY PAVINGEMPEDRADO LOCO O CRAZY PAVING: Opacidades en vidrio
deslustrado superpuestas a patrón reticular (engrosamiento septal
interlobulillar e intralobulillar)
*Normalmente traduce proceso activo y tratable
*Patología del espacio aéreo, intersticial o ambos
*Se asocia a síntomas agudos o subagudos/crónicos
Inflamación Inflamación o fibrosis
(actividad)
Asocia bronquiectasias
por tracción
o
patrón en panal
DD del patrón en vidrio deslustrado
AGUDO
-NIA
-SDRA
-Edema pulmonar
-Hemorragia pulmonar
-Neumonía (P. Jirovecii,
Mycoplasma, CMV
-N. Aspiración
-N. Por radiación
-Neumonía eosinófila
aguda
CRÓNICO
-Neumonías intersticiales
(NINE, NID)
-Neumonitis por
hipersensibilidad
-Proteinosis alveolar
-Bronquiolitis respiratoria y
enfermedad pulmonar
intersticial
-Neumonía organizada
-Neumonía eosinófila crónica
-Neumonía lipoidea
-Adenocarcinoma
Vidrio deslustrado
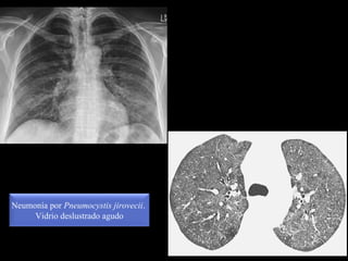
Neumonía por Pneumocystis jirovecii.
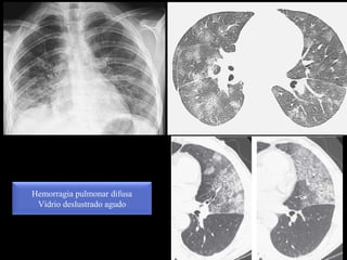
Vidrio deslustrado agudo
Hemorragia pulmonar difusa
Vidrio deslustrado agudo
Neumonitis por hipersensibilidad subaguda
Vidrio deslustrado subagudo/crónico
NINE
Vidrio deslustrado crónico
FPI
Vidrio deslustrado crónico
*Aumento de la atenuación del parénquima pulmonar junto con
ocultación y borramiento de estructuras vasculares
* En su mayoría por ocupación del espacio aéreo (reemplazo del
aire por líquido, células, tejido) o puede por anomalía
intersticial extensa confluente (NIU, sarcoidosis)
* Si la condensación se asocia a otro patrón (nódulos, vidrio
deslustrado), usar dicho patrón para el diagnóstico.
Neumonía organizada
Condensación
Neumonía eosinofílica
Condensación
Neumonía Tx pulmonar
Condensación
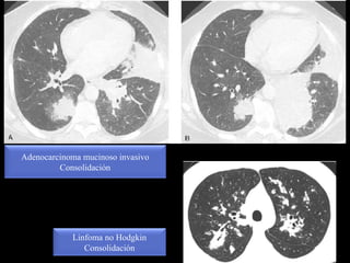
Adenocarcinoma mucinoso invasivo
Consolidación
Linfoma no Hodgkin
Consolidación
Dd del patron en empedrado
Proteinosis alveolar
Crazy Paving
Neumonía organizada. Broncoaspiración
Crazy Paving
SDRA
Crazy Paving
 Panal de abeja
 Quistes pulmonares
 Enfisema
 Bullas
 Neumatoceles
 Nódulos cavitados
 Bronquiectasias
 Perfusión en mosaico
 Atrapamiento aéreo
 Rotura alveolar y dilatación de conductos alveolares y
bronquiolos
 Espacios quísticos con paredes bien definidas de 1-3 mm de
grosor
 Predominio en regiones periférias y subpleurales.
 Los quistes del panal tienden a compartir sus paredes
 Lesión redondeada, bien definida, pared uniforme y de grosor
variable (generalmente pared fina< de 3mm)
 Linfangiomiomatosis, histiocitosis de Langerhans y neumonitis
intersticial linfocítica
DIAGNÓSTICODIAGNÓSTICO COMENTAARIOCOMENTAARIO
Linfangiomiomatosis Quistes normalmente redondos y de tamaño y
forma relativamente uniforme; afectación
pulmonar difusa; casi exclusiva de mujeres
Histiocitosis de Langerhans Quistes de formas inusuales; mayores y más
numerosos en ápices pulmonares; respetan
normalmente senos costofrénicos; pueden
existir pequeños nódulos
Neumonitis intersticial linfocítica Menos numerosos que en la linfangiomiomatois
o en la histiocitosis; pueden asociarse nódulos
Bullas Distribución subpleural en la mayoría de los
casos; capa única en la superficie pleural;
puede existir enfisema centrilobulillar
Neumatoceles Dispersos; distribución parcheada; número
limitado; hallazgos de neumonía
Panal de abeja Predominio subpleural; múltiples capas en la
superficie pleural; los quistes comparten
paredes, hallazgos de fibrosis
Bronquiectasias quísticas Distribución en racimo o perihiliar; pueden
existir niveles hidroaéreos
Histiocitosis de células de Langerhans
Quistes pulmonares
Neumonía intersticial linfoide
Quistes pulmonares
Linfangioleiomiomatosis
Quistes pulmonares
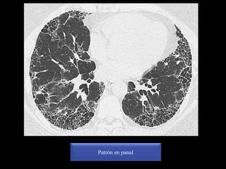
Patrón en panal
*Aumento anómalo y permanente de los espacios aéreos distales al
bronquiolo terminal acompañado de destrucción de las paredes de
los espacios aéreos involucrados
* Clasificación:
*Centrilobulillar (proximal o centroacinar)
*Panlobulillar (panacinar)
*Paraseptal (acinar distal)
Centrilobulillar (proximal o centroacinar):
. Zonas de baja atenuación de distribución central
. Lóbulos superiores
. Carece de pared (sólo visible si fibrosis)
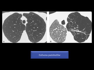
Panlobulillar (panacinar)
. Disminución de la atenuación pulmonar y del tamaño de los vasos
. Carecen de pared
Paraseptal (acinar distal)
. Afecta a porciones distales del lobulillo (rodeado de
paredes finas que son septos)
. DD con panalización ( enfisema una sola capa)
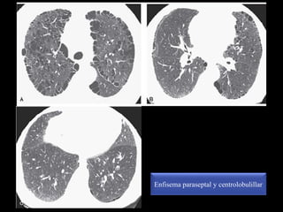
Enfisema centrolobulillar
Enfisema panlobulillar
Enfisema paraseptal y centrolobulillar
*Dilatación bronquial localizada e irreversible a menudo
acompañada de engrosamiento de la pared
*Cilíndricas, en anillo de sello, varicosas, quísticas
*Densidad pulmonar heterogénea por patología de la vía aérea o
patología vascular pulmonar
*En la perfusión en mosaico las zonas de baja atenuación los vasos
suelen ser más pequeños (a diferencia de vidrio deslustrado!)
Patología
obstructiva de la
vía aérea
. Bronquiectasias
. Hipodensidades
lobulillares
. Atrapamiento aéreo
(espiración)
Patología
obstructiva de la
vía aérea
. Bronquiectasias
. Hipodensidades
lobulillares
. Atrapamiento aéreo
(espiración)
Patología vascular
. Hipertensión pulmonar
. Grandes áreas
hipodensas
. No atrapamiento aéreo
Patología vascular
. Hipertensión pulmonar
. Grandes áreas
hipodensas
. No atrapamiento aéreo
Embolismo pulmonar
crónico
Bronquiolitis constrictiva,
FQ, bronquiectasias
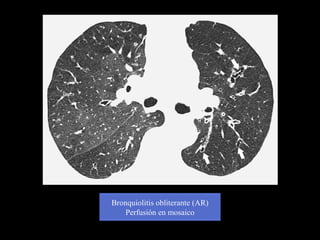
Bronquiolitis obliterante (AR)
Perfusión en mosaico
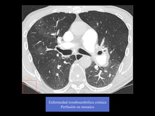
Enfermedad tromboembólica crónica
Perfusión en mosaico
Patrones pulmonares

Patrones pulmonares