NEM
     2A

ASESORES: DR. GONZALEZ VIRLA / DRA. VALENCIA MENDEZ
R3E DRA. ANALLELI MANGUILAR LEON
CASO CLINICO
•   FEMENINO, 32 AÑOS.


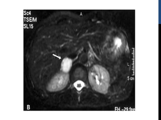
•   EN AÑO 2010, BMN CON SINTOMAS COMPRESIVOS. LA BAAF
    CONCLUYÓ CAMBIOS DE LESION FOLICULAR.


•   SE SOMETIÓ A TT Y DSC, REPORTE HPL DE CARCINOMA MEDULAR DE
    TIROIDES. LA IHQ: CALCITONINA POSITIVA, CROMOGRANINA POSITIVA.


•   EN BUSQUEDA DE METASTASIS: INCIDENTALOMA SUPRARRENAL
    IZQUIERDO EN TAC ABDOMINAL.


•   COMPLEMENTÓ PROTOCOLO DIAGNÓSTICO: Metanefrinas en orina de
    4943 (35 – 460 mcg en 24 hrs) Normetanefrinas en Orina 2598 (110 – 1050
    mcg en 24 hrs) Calcitonina 372 pg/ml (<11.5 pg/ml). Se solicitó RMN que
    demostró LESIONES OCUPANTES DE ESPACIOS SUPRARRENALES
    BILATERALES.
DIAGNOSTICO
NOSOLOGICO


                   CANCER
                 MEDULAR DE
                  TIROIDES



       FEOCROMOCITOMA




                        NEM
                         2A
NEM 2

    • Es un síndrome neoplásico hereditario que predispone al desarrollo
      de tumores de tipo endocrino.
    • Está producido por mutaciones germinales activadoras del
      protooncogen RET, situado en el brazo largo del cromosoma 10
      (10q11.2).
    • Es una entidad infrecuente con una prevalencia de 2.5/100.000, que
      se transmite de forma autosómica dominante.
    • Se clasifica de la siguiente manera: tipo A (MEN 2A), tipo B (MEN
      2B) y carcinoma medular de tiroides familiar (CMTF).
    • Es una entidad muy agresiva, estando indicada tiroidectomía
      profiláctica precoz.


EngC, ClaytonD, SchuffeneckerI, et al. The relationship between specific RET protooncogene mutations and disease phenotype inmultiple endocrine neoplasia type2. International RET
mutation consortium analysis. JAMA 2006;276(19):1575–9.
NEM




EngC, ClaytonD, SchuffeneckerI, et al. The relationship between specific RET protooncogene mutations and disease phenotype inmultiple endocrine neoplasia type2. International RET
mutation consortium analysis. JAMA 2006;276(19):1575–9.
The RET-mutation test can identify
85 to 95% of affected relatives of
patient with medullary carcinoma.
• Multiple endocrine neoplasia (MEN) type 2A, which accounts for
  90–95% of childhood MEN2 cases, is most frequently caused by
  mutations in RET exons 10 (codons 609, 611, 618 and 620) and 11
  (codon 634).
• MEN2B is almost always due to the Met918Thr mutation (exon 16)
  in the RET proto-oncogene and is associated with the most
  aggressive clinical presentation of MTC during childhood.
• Strong genotype–phenotype correlations facilitate guidelines
  for treating children with MEN2; current approaches for
  determining the optimal timing for thyroidectomy incorporate
  ultrasonography and calcitonin data in addition to the
  genotype.
RET: REARRANGED DURING TRANSFECTION




EngC, ClaytonD, SchuffeneckerI, et al. The relationship between specific RET protooncogene mutations and disease phenotype inmultiple endocrine neoplasia type2. International RET
mutation consortium analysis. JAMA 2006;276(19):1575–9.
EngC, ClaytonD, SchuffeneckerI, et al. The relationship between specific RET protooncogene mutations and disease phenotype inmultiple endocrine neoplasia type2. International RET
mutation consortium analysis. JAMA 2006;276(19):1575–9.
NEM 2A




EngC, ClaytonD, SchuffeneckerI, et al. The relationship between specific RET protooncogene mutations and disease phenotype inmultiple endocrine neoplasia type2. International RET
mutation consortium analysis. JAMA 2006;276(19):1575–9.
Waguespack, S. G. et al. Nat. Rev. Endocrinol. 7, 596–607 (2011); published online 23 August 2011
CA MEDULAR DE TIROIDES

• Neoplasia derivada de las células parafoliculares (células C).
• Productor    de    calcitonina, ACTH,  somatostatina,
  betaendorfinas, entre otras hormonas y determinadas
  enzimas.
• Forma esporádica: la más frecuente. Otras formas: familiar y
  asociada a MEN 2A y 2B.
• Diagnóstico histológico. Elevación de niveles de calcitonina y
  CEA.
• Se asocia a mutaciones en el protooncogén RET.
• Tratamiento: Tiroidectomía total + Tratamiento sustitutivo LT4



               Waguespack, S. G. et al. Nat. Rev. Endocrinol. 7, 596–607 (2011); published online 23 August 2011.
Waguespack, S. G. et al. Nat. Rev. Endocrinol. 7, 596–607 (2011); published online 23 August 2011.
EVOLUCION
   CMT




Waguespack, S. G. et al. Nat. Rev. Endocrinol. 7, 596–607 (2011); published online 23 August 2011.
Waguespack, S. G. et al. Nat. Rev. Endocrinol. 7, 596–607 (2011); published online 23 August 2011.
DIAGNOSTICO
• ASINTOMATICOS
• PROTOCOLO DE ESTUDIO DE NODULO TIROIDEO
• TEST DE ESTIMULACION DE CALCITONINA: MARCADOR
  TUMORAL
TRATAMIENTO




     Waguespack, S. G. et al. Nat. Rev. Endocrinol. 7, 596–607 (2011); published online 23 August 2011.
FEOCROMOCITOMA



    • Son tumores que producen, almacenan y secretan
      catecolaminas.
    • Proceden de las células cromafines del sistema nervioso
      simpático y se forman en la médula suprarrenal.
    • Feocromocitomas extrasuprarrenales.




Dluhy RG, Lawrence JE, Williams GH. Endocrine hypertension. En: Larsen PR, Kronenberg HM, Melmed S, Polonsky KS, editors. Williams Textbook of Endocrinology. 11th ed.
Philadelphia: Saunders, p. 552-85.


Pheochromocytoma: recommendations for clinical practice from the First International Symposium. Karel Pacak, Graeme Eisenhofer, Håkan Ahlman, Stefan R Bornstein, Anne-
Paule Gimenez-Roqueplo, Ashley B Grossman, Noriko Kimura, Massimo Mannelli, Anne Marie McNicol and Arthur S Tischler. NATURE. FEBRUARY 2007 VOL 3 NO 2
SINTESIS DE CATECOLAMINAS
SÍNTESIS DE
    CATECOLAMINAS




Dluhy RG, Lawrence JE, Williams GH. Endocrine hypertension. En: Larsen PR, Kronenberg HM, Melmed S, Polonsky KS, editors. Williams Textbook of Endocrinology. 11th ed.
Philadelphia: Saunders, p. 552-85.
EPIDEMIOLOGÍA

    • Incidencia anual de 6-8 casos por un millón de
      habitantes.
    • Prevalencia de 0.1-0.6% en pacientes con HAS
    • Hombres y mujeres 1:1
    • 3ª y 5ª década de la vida
    • 15-20% tienen mutaciones




Dluhy RG, Lawrence JE, Williams GH. Endocrine hypertension. En: Larsen PR, Kronenberg HM, Melmed S, Polonsky KS, editors. Williams Textbook of Endocrinology. 11th ed.
Philadelphia: Saunders, p. 552-85.


Pheochromocytoma: recommendations for clinical practice from the First International Symposium. Karel Pacak, Graeme Eisenhofer, Håkan Ahlman, Stefan R Bornstein, Anne-
Paule Gimenez-Roqueplo, Ashley B Grossman, Noriko Kimura, Massimo Mannelli, Anne Marie McNicol and Arthur S Tischler. NATURE. FEBRUARY 2007 VOL 3 NO 2
EPIDEMIOLOGÍA

  10% son familiares
  80% son unilaterales y
  solitarios
  10% son extra adrenales
  10% en niños
  10% recidivan después de la
  resección
  10% son malignos




Pheochromocytoma: recommendations for clinical practice from the First International Symposium. Karel Pacak, Graeme Eisenhofer, Håkan Ahlman, Stefan R Bornstein, Anne-
Paule Gimenez-Roqueplo, Ashley B Grossman, Noriko Kimura, Massimo Mannelli, Anne Marie McNicol and Arthur S Tischler. NATURE. FEBRUARY 2007 VOL 3 NO 2
FEOCROMOCITOMA

  • Rasgo autosómico dominante
  • 25% forma hereditaria
  • Bilaterales y multicentralidad
  • Aparición antes de los 30 años
  • Feocromocitoma se localizan en glándulas adrenales con
    diámetros de 4.5cm
  • Tumores muy vascularizados
  • Pesan menos de 100gr y miden menos de 10cm


Neuman HPH, Bausch B, McWhinney SR, Bender BV, Gimm O, Franke G, et al. Germ-line mutations in nonsyndromic pheochromocytoma. N Engl J Med 2002;346:1459-66.
F. EXTRASUPRARRENALES

    Pesan de 20-40gr
    Miden menos de 5cm de
    diámetro
    Situados dentro del abdomen
    Junto a ganglios celíaco,
    mesentérico superior e inferior.
    10% en tórax
    1% en vejiga
    - 3% en cuello



Pheochromocytoma: recommendations for clinical practice from the First International Symposium. Karel Pacak, Graeme Eisenhofer, Håkan Ahlman, Stefan R Bornstein, Anne-
Paule Gimenez-Roqueplo, Ashley B Grossman, Noriko Kimura, Massimo Mannelli, Anne Marie McNicol and Arthur S Tischler. NATURE. FEBRUARY 2007 VOL 3 NO 2
FEOCROMOCITOMA

         • No están inervados= no estímulos nerviosos
           para liberación de catecolaminas.


         • Almacenan y secretan péptidos: opiáceos
           endógenos,       adrenomedulina,    endotelina,
           eritropoyetina, neuropéptido, cromogranina.


         • Secretan adrenalina y noradrenalina


Pheochromocytoma: recommendations for clinical practice from the First International Symposium. Karel Pacak, Graeme Eisenhofer, Håkan Ahlman, Stefan R Bornstein, Anne-
Paule Gimenez-Roqueplo, Ashley B Grossman, Noriko Kimura, Massimo Mannelli, Anne Marie McNicol and Arthur S Tischler. NATURE. FEBRUARY 2007 VOL 3 NO 2
ASOCIACIONES

    NEM TIPO 2B
    -Autosómico dominante
    -98% mutación proto oncogen RET
    -Neuromas mucosos en párpados, lengua, nariz.


    Sx paragangliomas familiares
    -Tumores en cabeza o región cervical


    Neurofibromatosis
    -Mutaciones del gen NF I
    -Menos de 1%


Pheochromocytoma: recommendations for clinical practice from the First International Symposium. Karel Pacak, Graeme Eisenhofer, Håkan Ahlman, Stefan R Bornstein, Anne-
Paule Gimenez-Roqueplo, Ashley B Grossman, Noriko Kimura, Massimo Mannelli, Anne Marie McNicol and Arthur S Tischler. NATURE. FEBRUARY 2007 VOL 3 NO 2
ASOCIACIONES
    NEM-1
    -Adenomas pituitarios
    -Hiperparatiroidismo secundario
    -Tumores carcinoides
    -Colagenomas


    Sx de Von Hippel lindau
    -Frecuencia 60%
    -Gen supresor VHL
    Hemangioblastomas retinianos y cerebelosos, carcinoma de
    células renales, quistes pancreáticos y renales, quistes o
    tumores sólidos en cerebro o médula espinal, cistoadenoma
    epididimario y tumores del saco endolinfático

Pheochromocytoma: recommendations for clinical practice from the First International Symposium. Karel Pacak, Graeme Eisenhofer, Håkan Ahlman, Stefan R Bornstein, Anne-
Paule Gimenez-Roqueplo, Ashley B Grossman, Noriko Kimura, Massimo Mannelli, Anne Marie McNicol and Arthur S Tischler. NATURE. FEBRUARY 2007 VOL 3 NO 2
MANIFESTACIONES CLÍNICAS

HIPERTENSIÓN ARTERIAL
-60% de los pacientes
-50% crisis hipertensivas evidentes
-25% son paroxismos
-La HAS suele ser grave y rebelde al tx
-Las crisis pueden durar minutos a horas
-La tríada clínica clásica consiste en cefalea (80%),
palpitaciones (64%) y diaforesis (57%).
-Se acompañan de angustia, sensación de muerte inminente.
MANIFESTACIONES
    CLÍNICAS
    -Hipotensión ortostática
    -Reducción del volumen circulante, pero también a la
    alteración en la regulación simpática vascular.
    -Con secreción predominante de epinefrina, dopa o
    dopamina la hipotensión ortostática puede ser el síntoma
    inicial.
    -Paroxismos        distintos, con hipertensión sistólica,
    taquicardia, hipotensión, edema pulmonar no cardiogénico y
    arritmias.




Pheochromocytoma: recommendations for clinical practice from the First International Symposium. Karel Pacak, Graeme Eisenhofer, Håkan Ahlman, Stefan R Bornstein, Anne-
Paule Gimenez-Roqueplo, Ashley B Grossman, Noriko Kimura, Massimo Mannelli, Anne Marie McNicol and Arthur S Tischler. NATURE. FEBRUARY 2007 VOL 3 NO 2
MANIFESTACIONES CARDÍACAS

    Taquicardia sinusal
    Bradicardia sinusal
    Arritmias supraventriculares
    Extrasístoles ventriculares
    Angina o infarto
    Cambios inespecíficos en el EKG
    Ondas U pronunciadas


                               MIOCARDIOPATIA DILATADA E HIPERTRÓFICA


Pheochromocytoma: recommendations for clinical practice from the First International Symposium. Karel Pacak, Graeme Eisenhofer, Håkan Ahlman, Stefan R Bornstein, Anne-
Paule Gimenez-Roqueplo, Ashley B Grossman, Noriko Kimura, Massimo Mannelli, Anne Marie McNicol and Arthur S Tischler. NATURE. FEBRUARY 2007 VOL 3 NO 2
INTOLERANCIA A
                 CARBOHIDRATOS


    Inhibición de la secreción de insulina
    Liberación de glucosa hepática
    Intolerancia a los carbohidratos.




                                                        HAS, DM2, HIPERCATABOLISMO




Pheochromocytoma: recommendations for clinical practice from the First International Symposium. Karel Pacak, Graeme Eisenhofer, Håkan Ahlman, Stefan R Bornstein, Anne-
Paule Gimenez-Roqueplo, Ashley B Grossman, Noriko Kimura, Massimo Mannelli, Anne Marie McNicol and Arthur S Tischler. NATURE. FEBRUARY 2007 VOL 3 NO 2
OTRAS MANIFESTACIONES

    • Elevación de hematócrito
    • Hipercalcemia
    • Fiebre
    • Aumento de VSG




Pheochromocytoma: recommendations for clinical practice from the First International Symposium. Karel Pacak, Graeme Eisenhofer, Håkan Ahlman, Stefan R Bornstein, Anne-
Paule Gimenez-Roqueplo, Ashley B Grossman, Noriko Kimura, Massimo Mannelli, Anne Marie McNicol and Arthur S Tischler. NATURE. FEBRUARY 2007 VOL 3 NO 2
PRINCIPALES
SÍNTOMAS




               Landers JWM, Pacak K, Walther MM et al. Biochemical diagnosis of
              pheochromocytoma. Which is the best? JAMA 2002; 287: 1427-1434.
DX DIFERENCIAL
EN QUIEN
SOSPECHAR…..
PRUEBAS                                                                                       Cromatografía líquida
     BIOQUÍMICAS                                                                                      de alta resolución
                                                                                                          (HPLC) o
                                                                                                      espectrometría de
                                                                                                            masas



Determinación de ácido vanililmandélico -SE
Metanefrinas (+SE)
Catecolaminas no conjugadas o libres




   Landers JWM, Pacak K, Walther MM et al. Biochemical diagnosis of pheochromocytoma. Which is the best? JAMA 2002; 287: 1427-1434.
CATECOLAMINAS LIBRES
590-885 nmol en 24 hrs
Adrenalina + 275nmol - MEN 2
Falsos positivos: metildopa, levodopa, labetalol, hipoglucemia,
ejercicio físico extenuante.


METANEFRINAS Y AVM
•   Metanefrinas 7Mmol
•   AVM 35Mmol
•   3 veces los límites normales
•   Normetanefrina y metanefrina plasmáticas, altamente
    sensibles
•   Poco específicos en ancianos


      Landers JWM, Pacak K, Walther MM et al. Biochemical diagnosis of pheochromocytoma. Which is the best? JAMA 2002; 287: 1427-1434.
CROMOGRANINA A

• Esta proteína se almacena y secreta con las catecolaminas
  en el tejido cromafin, pero no es específica del
  feocromocitoma.


• Elevada en otros tumores de origen neuroendocrino.


• Puede ser útil para que el seguimiento postoperatorio.




   Landers JWM, Pacak K, Walther MM et al. Biochemical diagnosis of pheochromocytoma. Which is the best? JAMA 2002; 287: 1427-1434.
OTRAS PRUEBAS….
Pruebas de clonidina y glucagón.


• La clonidina es un bloqueante alfa-adrenérgico que normalmente suprime la
  liberación de catecolaminas por neuronas, pero no afecta la de las
           PRUEBA DE GLUCAGON Y CLONIDINA
  neoplasias.
• EnSOLO EN CASO DE QUE LAS horas de la administración de
      pacientes sin feocromocitoma a las 2-3 METANEFRINAS
                    NO SEAN CONCUYENTES
  clonidina las catecolaminas plasmáticas muestran un . descenso del 50% o
  valores inferiores a 3 nmol/l.
• La inyección de glucagón por vía intravenosa                                                    típicamente triplica las
  catecolaminas plasmáticas a los 2 minutos.
• La prueba del glucagón se considera altamente específica, pero no es
  sensible, mientras que la de la clonidina sería altamente sensible pero poco
  específica.


   Landers JWM, Pacak K, Walther MM et al. Biochemical diagnosis of pheochromocytoma. Which is the best? JAMA 2002; 287: 1427-1434.
EN RESUMEN…..




 Landers JWM, Pacak K, Walther MM et al. Biochemical diagnosis of pheochromocytoma. Which is the best? JAMA 2002; 287: 1427-1434.
DIAGNÓSTICO

    La localización del tumor debe realizarse después, y no
    antes, de establecer el diagnóstico bioquímico de
    feocromocitoma.


    Las técnicas de imagen incluyen:
    1. Tomografía computarizada
    2. Resonancia magnética
    3. Gammagrafía                                   con            metaiodobenzilguanidina                                              o        con
       octreótido




Pheochromocytoma: recommendations for clinical practice from the First International Symposium. Karel Pacak, Graeme Eisenhofer, Håkan Ahlman, Stefan R Bornstein, Anne-
Paule Gimenez-Roqueplo, Ashley B Grossman, Noriko Kimura, Massimo Mannelli, Anne Marie McNicol and Arthur S Tischler. NATURE. FEBRUARY 2007 VOL 3 NO 2
IMAGENOLOGIA




Pheochromocytoma: recommendations for clinical practice from the First International Symposium. Karel Pacak, Graeme Eisenhofer, Håkan Ahlman, Stefan R Bornstein, Anne-
Paule Gimenez-Roqueplo, Ashley B Grossman, Noriko Kimura, Massimo Mannelli, Anne Marie McNicol and Arthur S Tischler. NATURE. FEBRUARY 2007 VOL 3 NO 2
TAC Y RMN

    Por su tamaño (típicamente entre 2 y 5 cm) los
    feocromocitomas son tumores fácilmente detectables tanto
    por TC como por RM
    La sensibilidad de la TC es superior al 93%
    En la RM el feocromocitoma muestra característicamente
    isointensidad respecto al hígado en T1 y es en cambio
    hiperintenso respecto al hígado y a tumores suprarrenales
    de otra estirpe en T2
    La hipervascularización del tumor es evidente si se usa
    gadolinio.




Pheochromocytoma: recommendations for clinical practice from the First International Symposium. Karel Pacak, Graeme Eisenhofer, Håkan Ahlman, Stefan R Bornstein, Anne-
Paule Gimenez-Roqueplo, Ashley B Grossman, Noriko Kimura, Massimo Mannelli, Anne Marie McNicol and Arthur S Tischler. NATURE. FEBRUARY 2007 VOL 3 NO 2
GAMMAGRAFIA

    • La gammagrafía, tanto con MIBG como octreótide, es
      especialmente útil en la localización de los tumores de
      origen extra- adrenal, de las recurrencias, y de las
      metástasis en feocromocitomas malignos.


    • Su sensibilidad es superior al 90% con una especificidad
      del 99%.




Pheochromocytoma: recommendations for clinical practice from the First International Symposium. Karel Pacak, Graeme Eisenhofer, Håkan Ahlman, Stefan R Bornstein, Anne-
Paule Gimenez-Roqueplo, Ashley B Grossman, Noriko Kimura, Massimo Mannelli, Anne Marie McNicol and Arthur S Tischler. NATURE. FEBRUARY 2007 VOL 3 NO 2
QUE SIGUE??
TRATAMIENTO

  Una     vez   establecido   el
  diagnóstico bioquímico y el
  tumor ha sido localizado, el
  tratamiento definitivo de los
  feocromocitomas benignos es
  la exéresis quirúrgica.


  Es necesaria una preparación
  preoperatoria debido a la alta
  morbilidad (40%) y mortalidad
  (4%).




Pheochromocytoma: recommendations for clinical practice from the First International Symposium. Karel Pacak, Graeme Eisenhofer, Håkan Ahlman, Stefan R Bornstein, Anne-
Paule Gimenez-Roqueplo, Ashley B Grossman, Noriko Kimura, Massimo Mannelli, Anne Marie McNicol and Arthur S Tischler. NATURE. FEBRUARY 2007 VOL 3 NO 2
TRATAMIENTO
    PREOPERATORIO
    BLOQUEO ALFA ADRENÉRGICO:FENOXIBENZAMIDA


    10-14 días de tratamiento
    Se inicia con 10 mg/día
    La dosis total final 60 y 80 mg/día.
    Induce hipotensión                                      ortostática,                     taquicardia                      y        arritmias
    cardíacas.
    La adición de alfa-metiltirosina, un inhibidor de la síntesis de
    catecolaminas, al tratamiento con fenoxibenzamida puede
    lograr el control adecuado de la hipertensión
    La fenoxibenzamida por su prolongada vida media puede dar
    lugar a hipotensión postoperatoria.

Pheochromocytoma: recommendations for clinical practice from the First International Symposium. Karel Pacak, Graeme Eisenhofer, Håkan Ahlman, Stefan R Bornstein, Anne-
Paule Gimenez-Roqueplo, Ashley B Grossman, Noriko Kimura, Massimo Mannelli, Anne Marie McNicol and Arthur S Tischler. NATURE. FEBRUARY 2007 VOL 3 NO 2
ALFA BLOQUEO
    • La utilización bloqueadores alfa-1 como la doxazosina (2-8
      mg/día), prazosina (2-5 mg/8 h) o terazosina (2-5 mg/día) puede
      resultar de utilidad para solventar ciertas desventajas derivadas
      del uso de la fenoxibenzamina.


    • Dado que no producen bloqueo de los receptores alfa-2, estos
      fármacos no aumentan la liberación de noradrenalina, por lo que
      no producen taquicardia refleja.


    • Su acción es menos duradera, permite un rápido ajuste de dosis y
      disminuye la duración de la hipotensión postoperatoria.



Pheochromocytoma: recommendations for clinical practice from the First International Symposium. Karel Pacak, Graeme Eisenhofer, Håkan Ahlman, Stefan R Bornstein, Anne-
Paule Gimenez-Roqueplo, Ashley B Grossman, Noriko Kimura, Massimo Mannelli, Anne Marie McNicol and Arthur S Tischler. NATURE. FEBRUARY 2007 VOL 3 NO 2
TX PREOPERATORIO
    EXPANSION DEL VOLUMEN PLASMÁTICO
    Administración de una dieta rica en sodio (150-200 mmol/día),
    para lograr la expansión del espacio intravascular, necesaria
    para reducir el riesgo de hipotensión.


    BLOQUEO BETA ADRENÉRGICO
    • El bloqueo beta no debe iniciarse nunca antes del bloqueo
      alfa.
    • Propanolol 80 y 120 mg/día.
    • El labetalol, un fármaco con acción antagonista alfa y beta,
      puede utilizarse en una dosis entre 200 y 600 mg cada 12 h.


Pheochromocytoma: recommendations for clinical practice from the First International Symposium. Karel Pacak, Graeme Eisenhofer, Håkan Ahlman, Stefan R Bornstein, Anne-
Paule Gimenez-Roqueplo, Ashley B Grossman, Noriko Kimura, Massimo Mannelli, Anne Marie McNicol and Arthur S Tischler. NATURE. FEBRUARY 2007 VOL 3 NO 2
CALCIOANTAGONISTAS???


    • Tienen propiedades vasodilatadoras arteriolares, y en
      consecuencia se reduce la resistencia vascular
      periférica (inhibición de la liberación de calcio
      intracelular mediada por noradrenalina) y mejora la
      función ventricular izquierda.
    • Pueden ser utilizados                                                                 en combinación con
      bloqueadores alfa-1 en                                                                casos de hipertensión
      resistente.
    • Además no producen hipotensión ortostática y resultan
      de utilidad en pacientes con hipertensión paroxística.


Pheochromocytoma: recommendations for clinical practice from the First International Symposium. Karel Pacak, Graeme Eisenhofer, Håkan Ahlman, Stefan R Bornstein, Anne-
Paule Gimenez-Roqueplo, Ashley B Grossman, Noriko Kimura, Massimo Mannelli, Anne Marie McNicol and Arthur S Tischler. NATURE. FEBRUARY 2007 VOL 3 NO 2
PREOPERATORIO
    ADECUADO…


    a) Presión arterial en decúbito no superior a 160/90 mmHg
    b) Hipotensión arterial ortostática que no exceda 80/45 mmHg
    c) Electrocardiograma sin cambios en el segmento ST o en la
       onda T por un periodo mínimo de 2 semanas
    d) Menos de una contracción ventricular prematura cada 5
       minutos.




Pheochromocytoma: recommendations for clinical practice from the First International Symposium. Karel Pacak, Graeme Eisenhofer, Håkan Ahlman, Stefan R Bornstein, Anne-
Paule Gimenez-Roqueplo, Ashley B Grossman, Noriko Kimura, Massimo Mannelli, Anne Marie McNicol and Arthur S Tischler. NATURE. FEBRUARY 2007 VOL 3 NO 2
TX QUIRÚRGICO
 La cirugía del feocromocitoma es de alto riesgo
 Es preciso un control cuidadoso de la presión arterial, presión
 arterial  de   oxígeno,    presión   venosa    central        y
 electrocardiograma.
 Por la vascularidad del tumor pueden presentarse hemorragias
 Puede haber crisis hipertensivas: nitroprusiato
 Hipotensión arterial
 Hipoglucemia
 La utilización de lidocaína o esmolol puede ser de utilidad en
 caso de aparición de arritmias.

Pheochromocytoma: recommendations for clinical practice from the First International Symposium. Karel Pacak, Graeme Eisenhofer, Håkan Ahlman, Stefan R Bornstein, Anne-
Paule Gimenez-Roqueplo, Ashley B Grossman, Noriko Kimura, Massimo Mannelli, Anne Marie McNicol and Arthur S Tischler. NATURE. FEBRUARY 2007 VOL 3 NO 2
EVOLUCIÓN POSTOPERATORIA
    • Los niveles de catecolaminas caen rápidamente después de
      la cirugía, pero se puede tardar unas 2 semanas en alcanzar
      los niveles normales, por lo que su determinación precoz no
      es de utilidad.


    • Si la hipertensión arterial persiste con catecolaminas ya
      normales debe considerarse que el paciente padece
      hipertensión arterial esencial o hipertensión arterial
      secundaria a lesión renal.


    • Monitorización por lo menos 5 años



Pheochromocytoma: recommendations for clinical practice from the First International Symposium. Karel Pacak, Graeme Eisenhofer, Håkan Ahlman, Stefan R Bornstein, Anne-
Paule Gimenez-Roqueplo, Ashley B Grossman, Noriko Kimura, Massimo Mannelli, Anne Marie McNicol and Arthur S Tischler. NATURE. FEBRUARY 2007 VOL 3 NO 2
FEOCROMOCITOMA MALIGNO

     • Ocurre en un 10% de los casos, e implica una supervivencia a
       los 5 años del 23% al 44%.


     • La distinción entre feocromocitoma benigno y maligno no
       puede hacerse en base a datos clínicos, bioquímicos ni
       anatomopatológicos.


     • La malignidad del feocromocitoma se establece por la
       invasión local, la recidiva o la presencia de metástasis,
       comúnmente pulmonares, óseas, hepáticas o linfáticas.


Pheochromocytoma: recommendations for clinical practice from the First International Symposium. Karel Pacak, Graeme Eisenhofer, Håkan Ahlman, Stefan R Bornstein, Anne-
Paule Gimenez-Roqueplo, Ashley B Grossman, Noriko Kimura, Massimo Mannelli, Anne Marie McNicol and Arthur S Tischler. NATURE. FEBRUARY 2007 VOL 3 NO 2
FEOCROMOCITOMA MALIGNO
    • Se trata de un tumor de crecimiento lento, en el que la
      evidencia de la malignidad aparece después de 5 años


    • Se han sugerido como factores pronósticos de un curso
      clínico maligno el tamaño y la invasión local.


    • El tratamiento de elección es la cirugía.




Pheochromocytoma: recommendations for clinical practice from the First International Symposium. Karel Pacak, Graeme Eisenhofer, Håkan Ahlman, Stefan R Bornstein, Anne-
Paule Gimenez-Roqueplo, Ashley B Grossman, Noriko Kimura, Massimo Mannelli, Anne Marie McNicol and Arthur S Tischler. NATURE. FEBRUARY 2007 VOL 3 NO 2
VALOREMOS CORRECTAMENTE PARA DIAGNOSTICO
Y TRATAMIENTO OPORTUNOS…

NEM 2a

  • 1.
    NEM 2A ASESORES: DR. GONZALEZ VIRLA / DRA. VALENCIA MENDEZ R3E DRA. ANALLELI MANGUILAR LEON
  • 2.
    CASO CLINICO • FEMENINO, 32 AÑOS. • EN AÑO 2010, BMN CON SINTOMAS COMPRESIVOS. LA BAAF CONCLUYÓ CAMBIOS DE LESION FOLICULAR. • SE SOMETIÓ A TT Y DSC, REPORTE HPL DE CARCINOMA MEDULAR DE TIROIDES. LA IHQ: CALCITONINA POSITIVA, CROMOGRANINA POSITIVA. • EN BUSQUEDA DE METASTASIS: INCIDENTALOMA SUPRARRENAL IZQUIERDO EN TAC ABDOMINAL. • COMPLEMENTÓ PROTOCOLO DIAGNÓSTICO: Metanefrinas en orina de 4943 (35 – 460 mcg en 24 hrs) Normetanefrinas en Orina 2598 (110 – 1050 mcg en 24 hrs) Calcitonina 372 pg/ml (<11.5 pg/ml). Se solicitó RMN que demostró LESIONES OCUPANTES DE ESPACIOS SUPRARRENALES BILATERALES.
  • 3.
    DIAGNOSTICO NOSOLOGICO CANCER MEDULAR DE TIROIDES FEOCROMOCITOMA NEM 2A
  • 4.
    NEM 2 • Es un síndrome neoplásico hereditario que predispone al desarrollo de tumores de tipo endocrino. • Está producido por mutaciones germinales activadoras del protooncogen RET, situado en el brazo largo del cromosoma 10 (10q11.2). • Es una entidad infrecuente con una prevalencia de 2.5/100.000, que se transmite de forma autosómica dominante. • Se clasifica de la siguiente manera: tipo A (MEN 2A), tipo B (MEN 2B) y carcinoma medular de tiroides familiar (CMTF). • Es una entidad muy agresiva, estando indicada tiroidectomía profiláctica precoz. EngC, ClaytonD, SchuffeneckerI, et al. The relationship between specific RET protooncogene mutations and disease phenotype inmultiple endocrine neoplasia type2. International RET mutation consortium analysis. JAMA 2006;276(19):1575–9.
  • 5.
    NEM EngC, ClaytonD, SchuffeneckerI,et al. The relationship between specific RET protooncogene mutations and disease phenotype inmultiple endocrine neoplasia type2. International RET mutation consortium analysis. JAMA 2006;276(19):1575–9.
  • 6.
    The RET-mutation testcan identify 85 to 95% of affected relatives of patient with medullary carcinoma.
  • 7.
    • Multiple endocrineneoplasia (MEN) type 2A, which accounts for 90–95% of childhood MEN2 cases, is most frequently caused by mutations in RET exons 10 (codons 609, 611, 618 and 620) and 11 (codon 634). • MEN2B is almost always due to the Met918Thr mutation (exon 16) in the RET proto-oncogene and is associated with the most aggressive clinical presentation of MTC during childhood. • Strong genotype–phenotype correlations facilitate guidelines for treating children with MEN2; current approaches for determining the optimal timing for thyroidectomy incorporate ultrasonography and calcitonin data in addition to the genotype.
  • 8.
    RET: REARRANGED DURINGTRANSFECTION EngC, ClaytonD, SchuffeneckerI, et al. The relationship between specific RET protooncogene mutations and disease phenotype inmultiple endocrine neoplasia type2. International RET mutation consortium analysis. JAMA 2006;276(19):1575–9.
  • 9.
    EngC, ClaytonD, SchuffeneckerI,et al. The relationship between specific RET protooncogene mutations and disease phenotype inmultiple endocrine neoplasia type2. International RET mutation consortium analysis. JAMA 2006;276(19):1575–9.
  • 11.
    NEM 2A EngC, ClaytonD,SchuffeneckerI, et al. The relationship between specific RET protooncogene mutations and disease phenotype inmultiple endocrine neoplasia type2. International RET mutation consortium analysis. JAMA 2006;276(19):1575–9.
  • 12.
    Waguespack, S. G.et al. Nat. Rev. Endocrinol. 7, 596–607 (2011); published online 23 August 2011
  • 14.
    CA MEDULAR DETIROIDES • Neoplasia derivada de las células parafoliculares (células C). • Productor de calcitonina, ACTH, somatostatina, betaendorfinas, entre otras hormonas y determinadas enzimas. • Forma esporádica: la más frecuente. Otras formas: familiar y asociada a MEN 2A y 2B. • Diagnóstico histológico. Elevación de niveles de calcitonina y CEA. • Se asocia a mutaciones en el protooncogén RET. • Tratamiento: Tiroidectomía total + Tratamiento sustitutivo LT4 Waguespack, S. G. et al. Nat. Rev. Endocrinol. 7, 596–607 (2011); published online 23 August 2011.
  • 15.
    Waguespack, S. G.et al. Nat. Rev. Endocrinol. 7, 596–607 (2011); published online 23 August 2011.
  • 16.
    EVOLUCION CMT Waguespack, S. G. et al. Nat. Rev. Endocrinol. 7, 596–607 (2011); published online 23 August 2011.
  • 18.
    Waguespack, S. G.et al. Nat. Rev. Endocrinol. 7, 596–607 (2011); published online 23 August 2011.
  • 19.
    DIAGNOSTICO • ASINTOMATICOS • PROTOCOLODE ESTUDIO DE NODULO TIROIDEO • TEST DE ESTIMULACION DE CALCITONINA: MARCADOR TUMORAL
  • 20.
    TRATAMIENTO Waguespack, S. G. et al. Nat. Rev. Endocrinol. 7, 596–607 (2011); published online 23 August 2011.
  • 21.
    FEOCROMOCITOMA • Son tumores que producen, almacenan y secretan catecolaminas. • Proceden de las células cromafines del sistema nervioso simpático y se forman en la médula suprarrenal. • Feocromocitomas extrasuprarrenales. Dluhy RG, Lawrence JE, Williams GH. Endocrine hypertension. En: Larsen PR, Kronenberg HM, Melmed S, Polonsky KS, editors. Williams Textbook of Endocrinology. 11th ed. Philadelphia: Saunders, p. 552-85. Pheochromocytoma: recommendations for clinical practice from the First International Symposium. Karel Pacak, Graeme Eisenhofer, Håkan Ahlman, Stefan R Bornstein, Anne- Paule Gimenez-Roqueplo, Ashley B Grossman, Noriko Kimura, Massimo Mannelli, Anne Marie McNicol and Arthur S Tischler. NATURE. FEBRUARY 2007 VOL 3 NO 2
  • 22.
  • 23.
    SÍNTESIS DE CATECOLAMINAS Dluhy RG, Lawrence JE, Williams GH. Endocrine hypertension. En: Larsen PR, Kronenberg HM, Melmed S, Polonsky KS, editors. Williams Textbook of Endocrinology. 11th ed. Philadelphia: Saunders, p. 552-85.
  • 24.
    EPIDEMIOLOGÍA • Incidencia anual de 6-8 casos por un millón de habitantes. • Prevalencia de 0.1-0.6% en pacientes con HAS • Hombres y mujeres 1:1 • 3ª y 5ª década de la vida • 15-20% tienen mutaciones Dluhy RG, Lawrence JE, Williams GH. Endocrine hypertension. En: Larsen PR, Kronenberg HM, Melmed S, Polonsky KS, editors. Williams Textbook of Endocrinology. 11th ed. Philadelphia: Saunders, p. 552-85. Pheochromocytoma: recommendations for clinical practice from the First International Symposium. Karel Pacak, Graeme Eisenhofer, Håkan Ahlman, Stefan R Bornstein, Anne- Paule Gimenez-Roqueplo, Ashley B Grossman, Noriko Kimura, Massimo Mannelli, Anne Marie McNicol and Arthur S Tischler. NATURE. FEBRUARY 2007 VOL 3 NO 2
  • 25.
    EPIDEMIOLOGÍA 10%son familiares 80% son unilaterales y solitarios 10% son extra adrenales 10% en niños 10% recidivan después de la resección 10% son malignos Pheochromocytoma: recommendations for clinical practice from the First International Symposium. Karel Pacak, Graeme Eisenhofer, Håkan Ahlman, Stefan R Bornstein, Anne- Paule Gimenez-Roqueplo, Ashley B Grossman, Noriko Kimura, Massimo Mannelli, Anne Marie McNicol and Arthur S Tischler. NATURE. FEBRUARY 2007 VOL 3 NO 2
  • 26.
    FEOCROMOCITOMA •Rasgo autosómico dominante • 25% forma hereditaria • Bilaterales y multicentralidad • Aparición antes de los 30 años • Feocromocitoma se localizan en glándulas adrenales con diámetros de 4.5cm • Tumores muy vascularizados • Pesan menos de 100gr y miden menos de 10cm Neuman HPH, Bausch B, McWhinney SR, Bender BV, Gimm O, Franke G, et al. Germ-line mutations in nonsyndromic pheochromocytoma. N Engl J Med 2002;346:1459-66.
  • 27.
    F. EXTRASUPRARRENALES Pesan de 20-40gr Miden menos de 5cm de diámetro Situados dentro del abdomen Junto a ganglios celíaco, mesentérico superior e inferior. 10% en tórax 1% en vejiga - 3% en cuello Pheochromocytoma: recommendations for clinical practice from the First International Symposium. Karel Pacak, Graeme Eisenhofer, Håkan Ahlman, Stefan R Bornstein, Anne- Paule Gimenez-Roqueplo, Ashley B Grossman, Noriko Kimura, Massimo Mannelli, Anne Marie McNicol and Arthur S Tischler. NATURE. FEBRUARY 2007 VOL 3 NO 2
  • 28.
    FEOCROMOCITOMA • No están inervados= no estímulos nerviosos para liberación de catecolaminas. • Almacenan y secretan péptidos: opiáceos endógenos, adrenomedulina, endotelina, eritropoyetina, neuropéptido, cromogranina. • Secretan adrenalina y noradrenalina Pheochromocytoma: recommendations for clinical practice from the First International Symposium. Karel Pacak, Graeme Eisenhofer, Håkan Ahlman, Stefan R Bornstein, Anne- Paule Gimenez-Roqueplo, Ashley B Grossman, Noriko Kimura, Massimo Mannelli, Anne Marie McNicol and Arthur S Tischler. NATURE. FEBRUARY 2007 VOL 3 NO 2
  • 29.
    ASOCIACIONES NEM TIPO 2B -Autosómico dominante -98% mutación proto oncogen RET -Neuromas mucosos en párpados, lengua, nariz. Sx paragangliomas familiares -Tumores en cabeza o región cervical Neurofibromatosis -Mutaciones del gen NF I -Menos de 1% Pheochromocytoma: recommendations for clinical practice from the First International Symposium. Karel Pacak, Graeme Eisenhofer, Håkan Ahlman, Stefan R Bornstein, Anne- Paule Gimenez-Roqueplo, Ashley B Grossman, Noriko Kimura, Massimo Mannelli, Anne Marie McNicol and Arthur S Tischler. NATURE. FEBRUARY 2007 VOL 3 NO 2
  • 30.
    ASOCIACIONES NEM-1 -Adenomas pituitarios -Hiperparatiroidismo secundario -Tumores carcinoides -Colagenomas Sx de Von Hippel lindau -Frecuencia 60% -Gen supresor VHL Hemangioblastomas retinianos y cerebelosos, carcinoma de células renales, quistes pancreáticos y renales, quistes o tumores sólidos en cerebro o médula espinal, cistoadenoma epididimario y tumores del saco endolinfático Pheochromocytoma: recommendations for clinical practice from the First International Symposium. Karel Pacak, Graeme Eisenhofer, Håkan Ahlman, Stefan R Bornstein, Anne- Paule Gimenez-Roqueplo, Ashley B Grossman, Noriko Kimura, Massimo Mannelli, Anne Marie McNicol and Arthur S Tischler. NATURE. FEBRUARY 2007 VOL 3 NO 2
  • 31.
    MANIFESTACIONES CLÍNICAS HIPERTENSIÓN ARTERIAL -60%de los pacientes -50% crisis hipertensivas evidentes -25% son paroxismos -La HAS suele ser grave y rebelde al tx -Las crisis pueden durar minutos a horas -La tríada clínica clásica consiste en cefalea (80%), palpitaciones (64%) y diaforesis (57%). -Se acompañan de angustia, sensación de muerte inminente.
  • 32.
    MANIFESTACIONES CLÍNICAS -Hipotensión ortostática -Reducción del volumen circulante, pero también a la alteración en la regulación simpática vascular. -Con secreción predominante de epinefrina, dopa o dopamina la hipotensión ortostática puede ser el síntoma inicial. -Paroxismos distintos, con hipertensión sistólica, taquicardia, hipotensión, edema pulmonar no cardiogénico y arritmias. Pheochromocytoma: recommendations for clinical practice from the First International Symposium. Karel Pacak, Graeme Eisenhofer, Håkan Ahlman, Stefan R Bornstein, Anne- Paule Gimenez-Roqueplo, Ashley B Grossman, Noriko Kimura, Massimo Mannelli, Anne Marie McNicol and Arthur S Tischler. NATURE. FEBRUARY 2007 VOL 3 NO 2
  • 33.
    MANIFESTACIONES CARDÍACAS Taquicardia sinusal Bradicardia sinusal Arritmias supraventriculares Extrasístoles ventriculares Angina o infarto Cambios inespecíficos en el EKG Ondas U pronunciadas MIOCARDIOPATIA DILATADA E HIPERTRÓFICA Pheochromocytoma: recommendations for clinical practice from the First International Symposium. Karel Pacak, Graeme Eisenhofer, Håkan Ahlman, Stefan R Bornstein, Anne- Paule Gimenez-Roqueplo, Ashley B Grossman, Noriko Kimura, Massimo Mannelli, Anne Marie McNicol and Arthur S Tischler. NATURE. FEBRUARY 2007 VOL 3 NO 2
  • 34.
    INTOLERANCIA A CARBOHIDRATOS Inhibición de la secreción de insulina Liberación de glucosa hepática Intolerancia a los carbohidratos. HAS, DM2, HIPERCATABOLISMO Pheochromocytoma: recommendations for clinical practice from the First International Symposium. Karel Pacak, Graeme Eisenhofer, Håkan Ahlman, Stefan R Bornstein, Anne- Paule Gimenez-Roqueplo, Ashley B Grossman, Noriko Kimura, Massimo Mannelli, Anne Marie McNicol and Arthur S Tischler. NATURE. FEBRUARY 2007 VOL 3 NO 2
  • 35.
    OTRAS MANIFESTACIONES • Elevación de hematócrito • Hipercalcemia • Fiebre • Aumento de VSG Pheochromocytoma: recommendations for clinical practice from the First International Symposium. Karel Pacak, Graeme Eisenhofer, Håkan Ahlman, Stefan R Bornstein, Anne- Paule Gimenez-Roqueplo, Ashley B Grossman, Noriko Kimura, Massimo Mannelli, Anne Marie McNicol and Arthur S Tischler. NATURE. FEBRUARY 2007 VOL 3 NO 2
  • 36.
    PRINCIPALES SÍNTOMAS Landers JWM, Pacak K, Walther MM et al. Biochemical diagnosis of pheochromocytoma. Which is the best? JAMA 2002; 287: 1427-1434.
  • 37.
  • 38.
  • 39.
    PRUEBAS Cromatografía líquida BIOQUÍMICAS de alta resolución (HPLC) o espectrometría de masas Determinación de ácido vanililmandélico -SE Metanefrinas (+SE) Catecolaminas no conjugadas o libres Landers JWM, Pacak K, Walther MM et al. Biochemical diagnosis of pheochromocytoma. Which is the best? JAMA 2002; 287: 1427-1434.
  • 40.
    CATECOLAMINAS LIBRES 590-885 nmolen 24 hrs Adrenalina + 275nmol - MEN 2 Falsos positivos: metildopa, levodopa, labetalol, hipoglucemia, ejercicio físico extenuante. METANEFRINAS Y AVM • Metanefrinas 7Mmol • AVM 35Mmol • 3 veces los límites normales • Normetanefrina y metanefrina plasmáticas, altamente sensibles • Poco específicos en ancianos Landers JWM, Pacak K, Walther MM et al. Biochemical diagnosis of pheochromocytoma. Which is the best? JAMA 2002; 287: 1427-1434.
  • 41.
    CROMOGRANINA A • Estaproteína se almacena y secreta con las catecolaminas en el tejido cromafin, pero no es específica del feocromocitoma. • Elevada en otros tumores de origen neuroendocrino. • Puede ser útil para que el seguimiento postoperatorio. Landers JWM, Pacak K, Walther MM et al. Biochemical diagnosis of pheochromocytoma. Which is the best? JAMA 2002; 287: 1427-1434.
  • 42.
    OTRAS PRUEBAS…. Pruebas declonidina y glucagón. • La clonidina es un bloqueante alfa-adrenérgico que normalmente suprime la liberación de catecolaminas por neuronas, pero no afecta la de las PRUEBA DE GLUCAGON Y CLONIDINA neoplasias. • EnSOLO EN CASO DE QUE LAS horas de la administración de pacientes sin feocromocitoma a las 2-3 METANEFRINAS NO SEAN CONCUYENTES clonidina las catecolaminas plasmáticas muestran un . descenso del 50% o valores inferiores a 3 nmol/l. • La inyección de glucagón por vía intravenosa típicamente triplica las catecolaminas plasmáticas a los 2 minutos. • La prueba del glucagón se considera altamente específica, pero no es sensible, mientras que la de la clonidina sería altamente sensible pero poco específica. Landers JWM, Pacak K, Walther MM et al. Biochemical diagnosis of pheochromocytoma. Which is the best? JAMA 2002; 287: 1427-1434.
  • 43.
    EN RESUMEN….. LandersJWM, Pacak K, Walther MM et al. Biochemical diagnosis of pheochromocytoma. Which is the best? JAMA 2002; 287: 1427-1434.
  • 44.
    DIAGNÓSTICO La localización del tumor debe realizarse después, y no antes, de establecer el diagnóstico bioquímico de feocromocitoma. Las técnicas de imagen incluyen: 1. Tomografía computarizada 2. Resonancia magnética 3. Gammagrafía con metaiodobenzilguanidina o con octreótido Pheochromocytoma: recommendations for clinical practice from the First International Symposium. Karel Pacak, Graeme Eisenhofer, Håkan Ahlman, Stefan R Bornstein, Anne- Paule Gimenez-Roqueplo, Ashley B Grossman, Noriko Kimura, Massimo Mannelli, Anne Marie McNicol and Arthur S Tischler. NATURE. FEBRUARY 2007 VOL 3 NO 2
  • 45.
    IMAGENOLOGIA Pheochromocytoma: recommendations forclinical practice from the First International Symposium. Karel Pacak, Graeme Eisenhofer, Håkan Ahlman, Stefan R Bornstein, Anne- Paule Gimenez-Roqueplo, Ashley B Grossman, Noriko Kimura, Massimo Mannelli, Anne Marie McNicol and Arthur S Tischler. NATURE. FEBRUARY 2007 VOL 3 NO 2
  • 46.
    TAC Y RMN Por su tamaño (típicamente entre 2 y 5 cm) los feocromocitomas son tumores fácilmente detectables tanto por TC como por RM La sensibilidad de la TC es superior al 93% En la RM el feocromocitoma muestra característicamente isointensidad respecto al hígado en T1 y es en cambio hiperintenso respecto al hígado y a tumores suprarrenales de otra estirpe en T2 La hipervascularización del tumor es evidente si se usa gadolinio. Pheochromocytoma: recommendations for clinical practice from the First International Symposium. Karel Pacak, Graeme Eisenhofer, Håkan Ahlman, Stefan R Bornstein, Anne- Paule Gimenez-Roqueplo, Ashley B Grossman, Noriko Kimura, Massimo Mannelli, Anne Marie McNicol and Arthur S Tischler. NATURE. FEBRUARY 2007 VOL 3 NO 2
  • 50.
    GAMMAGRAFIA • La gammagrafía, tanto con MIBG como octreótide, es especialmente útil en la localización de los tumores de origen extra- adrenal, de las recurrencias, y de las metástasis en feocromocitomas malignos. • Su sensibilidad es superior al 90% con una especificidad del 99%. Pheochromocytoma: recommendations for clinical practice from the First International Symposium. Karel Pacak, Graeme Eisenhofer, Håkan Ahlman, Stefan R Bornstein, Anne- Paule Gimenez-Roqueplo, Ashley B Grossman, Noriko Kimura, Massimo Mannelli, Anne Marie McNicol and Arthur S Tischler. NATURE. FEBRUARY 2007 VOL 3 NO 2
  • 51.
  • 52.
    TRATAMIENTO Una vez establecido el diagnóstico bioquímico y el tumor ha sido localizado, el tratamiento definitivo de los feocromocitomas benignos es la exéresis quirúrgica. Es necesaria una preparación preoperatoria debido a la alta morbilidad (40%) y mortalidad (4%). Pheochromocytoma: recommendations for clinical practice from the First International Symposium. Karel Pacak, Graeme Eisenhofer, Håkan Ahlman, Stefan R Bornstein, Anne- Paule Gimenez-Roqueplo, Ashley B Grossman, Noriko Kimura, Massimo Mannelli, Anne Marie McNicol and Arthur S Tischler. NATURE. FEBRUARY 2007 VOL 3 NO 2
  • 53.
    TRATAMIENTO PREOPERATORIO BLOQUEO ALFA ADRENÉRGICO:FENOXIBENZAMIDA 10-14 días de tratamiento Se inicia con 10 mg/día La dosis total final 60 y 80 mg/día. Induce hipotensión ortostática, taquicardia y arritmias cardíacas. La adición de alfa-metiltirosina, un inhibidor de la síntesis de catecolaminas, al tratamiento con fenoxibenzamida puede lograr el control adecuado de la hipertensión La fenoxibenzamida por su prolongada vida media puede dar lugar a hipotensión postoperatoria. Pheochromocytoma: recommendations for clinical practice from the First International Symposium. Karel Pacak, Graeme Eisenhofer, Håkan Ahlman, Stefan R Bornstein, Anne- Paule Gimenez-Roqueplo, Ashley B Grossman, Noriko Kimura, Massimo Mannelli, Anne Marie McNicol and Arthur S Tischler. NATURE. FEBRUARY 2007 VOL 3 NO 2
  • 54.
    ALFA BLOQUEO • La utilización bloqueadores alfa-1 como la doxazosina (2-8 mg/día), prazosina (2-5 mg/8 h) o terazosina (2-5 mg/día) puede resultar de utilidad para solventar ciertas desventajas derivadas del uso de la fenoxibenzamina. • Dado que no producen bloqueo de los receptores alfa-2, estos fármacos no aumentan la liberación de noradrenalina, por lo que no producen taquicardia refleja. • Su acción es menos duradera, permite un rápido ajuste de dosis y disminuye la duración de la hipotensión postoperatoria. Pheochromocytoma: recommendations for clinical practice from the First International Symposium. Karel Pacak, Graeme Eisenhofer, Håkan Ahlman, Stefan R Bornstein, Anne- Paule Gimenez-Roqueplo, Ashley B Grossman, Noriko Kimura, Massimo Mannelli, Anne Marie McNicol and Arthur S Tischler. NATURE. FEBRUARY 2007 VOL 3 NO 2
  • 55.
    TX PREOPERATORIO EXPANSION DEL VOLUMEN PLASMÁTICO Administración de una dieta rica en sodio (150-200 mmol/día), para lograr la expansión del espacio intravascular, necesaria para reducir el riesgo de hipotensión. BLOQUEO BETA ADRENÉRGICO • El bloqueo beta no debe iniciarse nunca antes del bloqueo alfa. • Propanolol 80 y 120 mg/día. • El labetalol, un fármaco con acción antagonista alfa y beta, puede utilizarse en una dosis entre 200 y 600 mg cada 12 h. Pheochromocytoma: recommendations for clinical practice from the First International Symposium. Karel Pacak, Graeme Eisenhofer, Håkan Ahlman, Stefan R Bornstein, Anne- Paule Gimenez-Roqueplo, Ashley B Grossman, Noriko Kimura, Massimo Mannelli, Anne Marie McNicol and Arthur S Tischler. NATURE. FEBRUARY 2007 VOL 3 NO 2
  • 56.
    CALCIOANTAGONISTAS??? • Tienen propiedades vasodilatadoras arteriolares, y en consecuencia se reduce la resistencia vascular periférica (inhibición de la liberación de calcio intracelular mediada por noradrenalina) y mejora la función ventricular izquierda. • Pueden ser utilizados en combinación con bloqueadores alfa-1 en casos de hipertensión resistente. • Además no producen hipotensión ortostática y resultan de utilidad en pacientes con hipertensión paroxística. Pheochromocytoma: recommendations for clinical practice from the First International Symposium. Karel Pacak, Graeme Eisenhofer, Håkan Ahlman, Stefan R Bornstein, Anne- Paule Gimenez-Roqueplo, Ashley B Grossman, Noriko Kimura, Massimo Mannelli, Anne Marie McNicol and Arthur S Tischler. NATURE. FEBRUARY 2007 VOL 3 NO 2
  • 57.
    PREOPERATORIO ADECUADO… a) Presión arterial en decúbito no superior a 160/90 mmHg b) Hipotensión arterial ortostática que no exceda 80/45 mmHg c) Electrocardiograma sin cambios en el segmento ST o en la onda T por un periodo mínimo de 2 semanas d) Menos de una contracción ventricular prematura cada 5 minutos. Pheochromocytoma: recommendations for clinical practice from the First International Symposium. Karel Pacak, Graeme Eisenhofer, Håkan Ahlman, Stefan R Bornstein, Anne- Paule Gimenez-Roqueplo, Ashley B Grossman, Noriko Kimura, Massimo Mannelli, Anne Marie McNicol and Arthur S Tischler. NATURE. FEBRUARY 2007 VOL 3 NO 2
  • 58.
    TX QUIRÚRGICO Lacirugía del feocromocitoma es de alto riesgo Es preciso un control cuidadoso de la presión arterial, presión arterial de oxígeno, presión venosa central y electrocardiograma. Por la vascularidad del tumor pueden presentarse hemorragias Puede haber crisis hipertensivas: nitroprusiato Hipotensión arterial Hipoglucemia La utilización de lidocaína o esmolol puede ser de utilidad en caso de aparición de arritmias. Pheochromocytoma: recommendations for clinical practice from the First International Symposium. Karel Pacak, Graeme Eisenhofer, Håkan Ahlman, Stefan R Bornstein, Anne- Paule Gimenez-Roqueplo, Ashley B Grossman, Noriko Kimura, Massimo Mannelli, Anne Marie McNicol and Arthur S Tischler. NATURE. FEBRUARY 2007 VOL 3 NO 2
  • 59.
    EVOLUCIÓN POSTOPERATORIA • Los niveles de catecolaminas caen rápidamente después de la cirugía, pero se puede tardar unas 2 semanas en alcanzar los niveles normales, por lo que su determinación precoz no es de utilidad. • Si la hipertensión arterial persiste con catecolaminas ya normales debe considerarse que el paciente padece hipertensión arterial esencial o hipertensión arterial secundaria a lesión renal. • Monitorización por lo menos 5 años Pheochromocytoma: recommendations for clinical practice from the First International Symposium. Karel Pacak, Graeme Eisenhofer, Håkan Ahlman, Stefan R Bornstein, Anne- Paule Gimenez-Roqueplo, Ashley B Grossman, Noriko Kimura, Massimo Mannelli, Anne Marie McNicol and Arthur S Tischler. NATURE. FEBRUARY 2007 VOL 3 NO 2
  • 60.
    FEOCROMOCITOMA MALIGNO • Ocurre en un 10% de los casos, e implica una supervivencia a los 5 años del 23% al 44%. • La distinción entre feocromocitoma benigno y maligno no puede hacerse en base a datos clínicos, bioquímicos ni anatomopatológicos. • La malignidad del feocromocitoma se establece por la invasión local, la recidiva o la presencia de metástasis, comúnmente pulmonares, óseas, hepáticas o linfáticas. Pheochromocytoma: recommendations for clinical practice from the First International Symposium. Karel Pacak, Graeme Eisenhofer, Håkan Ahlman, Stefan R Bornstein, Anne- Paule Gimenez-Roqueplo, Ashley B Grossman, Noriko Kimura, Massimo Mannelli, Anne Marie McNicol and Arthur S Tischler. NATURE. FEBRUARY 2007 VOL 3 NO 2
  • 61.
    FEOCROMOCITOMA MALIGNO • Se trata de un tumor de crecimiento lento, en el que la evidencia de la malignidad aparece después de 5 años • Se han sugerido como factores pronósticos de un curso clínico maligno el tamaño y la invasión local. • El tratamiento de elección es la cirugía. Pheochromocytoma: recommendations for clinical practice from the First International Symposium. Karel Pacak, Graeme Eisenhofer, Håkan Ahlman, Stefan R Bornstein, Anne- Paule Gimenez-Roqueplo, Ashley B Grossman, Noriko Kimura, Massimo Mannelli, Anne Marie McNicol and Arthur S Tischler. NATURE. FEBRUARY 2007 VOL 3 NO 2
  • 62.
    VALOREMOS CORRECTAMENTE PARADIAGNOSTICO Y TRATAMIENTO OPORTUNOS…