Incrustar presentación
Descargado 27 veces


























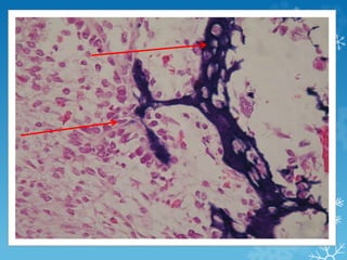
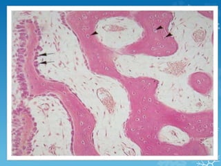
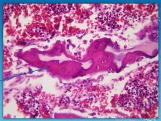
Este documento describe el desarrollo del sistema esquelético y óseo en el cuerpo humano. Se forma a partir del mesodermo paraxial en la tercera semana de desarrollo, cuando se forman los somitas que dan origen a las vertebras, costillas, y otros huesos. En la cuarta semana, el mesénquima derivado del mesodermo se transforma y comienzan a verse los esbozos de las extremidades. Existen dos procesos de osificación - intramembranosa, donde las células forman directamente hueso, y endocondral
























