MA Hinojosa MD Pæds SP MSc
2020
TUBERCULOSIS EN NIÑOS
TUBERCULOSIS EN NIÑOS
Tuberculosis (TB) es una enfermedad ancestral
reconocida por mas de 4.000 años con
evidencias en momias del Viejo y el Nuevo
Mundo
Tuberculosis (TB) is an ancient disease, with evidence of skeletal TB found in mummies
in both the Old and New World.
Paediatrics in review Vol 31 Nº1. Enero 2010.
Kliegman et al. Nelson Textbook of Pediatrics 20th Ed 2016
MOMIAS EN LAS QUE SE ASUME TB
• Antropolgía
de la Tb:
Evidencia
arqueológica
EPIDEMIOLOGÍA MUNDIAL
•La Tb es la segunda causa, después del VIH, de mortalidad
infecciosa en el mundo.
•25 000’000.000 infectados en el mundo (2016)
•En 2015: 10,4 millones de casos nuevos y 1,8 millones
murieron (0,4 millones con VIH).
•95% de muertes en países de ingresos medios y bajos.
•Seis países acaparan el 60% de la mortalidad total (India,
Indonesia, China, Nigeria, Pakistán y Sudáfrica).
•2015 un millón de casos en niños y 170 000 murieron.
•2015, 35% de muertes asociadas a VIH se debieron a Tb.
•2015 Desarrollaron TB-MDR (480 000 personas a nivel
mundial).
Tb PREVALENCIA MUNDIAL
Tb MULTIDROGORESISTENCIA
TENDENCIA MUNDIAL
EPIDEMIOLOGÍA ECUADOR
• La tasa de mortalidad en el Ecuador ha ido
disminuyendo progresivamente desde el año 2005,
en que fue de 5,88 por 100 mil habitantes, hasta los
2,43 reportados en 2013.
• En 2012, se reportó 5.108 casos nuevos y el éxito de
tratamiento fue de 78,24%; en 2013, reportó 4.976
casos y el éxito del tratamiento fue del 81,90%. En
2014 se reportó 4.897 casos nuevos de TB que se
encuentran en tratamiento bajo DOTS (desde el
2001 ), para garantizar la curación del afectado por
tuberculosis.
TUBERCULOSIS EN NIÑOS
El agente causal es un mycobacterium, un bacilo
alcohol-ácido resistente de manifiesta severidad y
dificil erradicación. Cinco variedades de
mycobacterium son responsables de esta
enfermedad en humanos ( M. tuberculosis, M. bovis,
M. africanum, M. microti, y M. canetti.)
The causative agent is Mycobacterium tuberculosis, a fastidious, aerobic, acid-fast bacillus.
Paediatrics in review Vol 31 Nº1. Enero 2010.
Hatzenbuehler L, Starke J. Tuberculosis Chapter 242 in Nelson Textbook of Pediatrics 21st
Ed. 2020 Pp 6321/6361
TUBERCULOSIS EN NIÑOS
En los inicios del VIH, el # de niños y adultos infectados
se ha multiplicado en los últimos 30 años.
El control de la Tb en niños ha sido dejada de lado
debido a que son poco transmisores y escapan a los
programas de control. Sin embargo mucha de la
morbilidad y mortalidad ocurre durante la niñez y es
el reservorio para el futuro del problema.
Ayudan a disminuir la carga de la enfermedad:
• Screening por factores de riesgo
• Quimioprofilaxis apropiada
• Alto nivel de sospecha clínica
In the wake of human immunodeficiency virus (HIV) infection, the number of children and adults afflicted with TB has escalated tremendously worldwide in the past 25 years. Control of TB in
children often has been neglected because children are ineffective transmitters of the bacillus and frequently escape the attention of TB control programs. However, much of the
morbidity and mortality of TB occurs in childhood, and acquisition of TB infection during childhood contributes to the future reservoir of cases. Risk factor-based screening of children for
TB infection, appropriate implementation of chemoprophylaxis, and a high degree of suspicion for TB disease on the part of clinicians can decrease the disease burden in children.
*Department of Pediatrics, Section of Infectious Diseases, Baylor College of Medicine, Houston, Tex. From http://pedsinreview.aappublications.org. Provided by Health Internetwork on March 22, 2010
TERMINOLOGÍA:
Existen 3 etapas clínicas mayores en el desarrollo de la
tuberculosis: exposición, infección y enfermedad
Exposición= contacto cercano sin manifestaciones o
exámenes positivos pero con riesgo de desarrollar la
enfermedad
Infección= contagio con fluidos PPD e IGRA (+), Rx +/-
Enfermedad: Un adulto immunocompetente no tratado
tiene 5-10% de riesgo para desarrollar Tb a lo largo de su
vida. Al contrario un niño menor de un año tiene 40% de
probabilidad de desarrollar Tb y, en un lapso de 9 meses
TUBERCULOSIS EN NIÑOS
Enfermedad:
En los niños la enfermedad es una complicación
de la infección inicial o sea que ambas fases se
presentan de manera continua.
Contrario a lo que sucede a los adultos que se
debe a reactivación de microorganismos latentes
que habitan en zonas apicales de los pulmones
preferentemente.
TUBERCULOSIS EN NIÑOS
RESPUESTA INMUNE A LA Tb
En los niños es muy difícil el diagnóstico
con confirmación bacteriológica por falta
de expectoración y cuando esta se logra por
lo general es negativa incluso en el
cultivo.
TUBERCULOSIS EN NIÑOS
TUBERCULOSIS EN NIÑOS
GENERALIDADES
• Afecta a todos los órganos y tejidos
• Mycobacterium tuberculosis humano o bovino
• Alcohol-ácido resistente prolifera en O2 y a Tº corporal.
• Transmisión por esputo, gotas de flugge, orina o
secreciones, polvo.
• Destruido por sol/UV,pero sobrevive en desecación
• Condicionantes: hacinamiento y pobreza, epidemias en
grupos no expuestos y contagiados por un adulto
TUBERCULOSIS EN NIÑOS
GENERALIDADES
Componentes del bacilo:
HdC: Formación de exudado polimorfonuclear
liberación de neutrófilos y VIRULENCIA
Prot: producción de neutrófilos, monocitos, celulas
epitelioides y celulas gigantes. Sensibilidad a la
tuberculina
Lip: acido resistencia, a mayor concentración mayor
virulencia y acido resistencia
• Patogénesis
Transmisión aérea. Infección de ganglios linfáticos por
M Tuberculosis. Agrandamiento de ganglios con o
sin inflamación. En una vía terminal = nódulo de
Gohn (Foco infeccioso inicial, drenaje de linfáticos,
crecimiento ganglionar regional). La infección puede
ser contenida o, diseminarse rápidamente o,
reactivarse posteriormente en la vida.
TB is transmitted most commonly via airborne spread. Lymph nodes frequently become infected with M tuberculosis. Such
infection causes enlargement of the nodes with or without significant inflammation. Inhalation of the bacillus into a terminal
airway can result in formation of a Ghon complex, which includes the initial focus of infection, the draining lymphatic
vessels, and enlarged regional lymph nodes. Following this stage, the infection can be contained, spread rapidly, or
reactivate at a later point in life. Different clinical manifestations of TB in children have varying incubation periods. Miliary or
disseminated disease usually occurs 2 to 6 months after infection, renal TB manifests in 5 years, skeletal TB occurs 1 to 2
years after infection, and pulmonary and lymphatic TB occur within 4 to 12 months. Most clinical manifestations in children
occur within 1 to 2 years of initial infection
TUBERCULOSIS EN NIÑOS
From http://pedsinreview.aappublications.org. Provided by Health Internetwork on March 22, 2010
Resistencia a TB
# y virulencia del bacilo
Factores del huésped: mas graves en
la primera infancia y la adolescencia,
desnutrición, enfermedades
intercurrentes, VIH, reactivación de
lesiones.
Vacuna antisarampionosa agrava el
cuadro
TUBERCULOSIS EN NIÑOS
TRANSMISIÓN
PRESENTACIÓN DE LA TB
TB PRIMARIA EN NIÑOS
TB SECUNDARIA O DE
REINFECCIÓN EN ADULTOS
• Tb latente describe la fase asintomática de la infección.
• La prueba cutánea es positiva, la Rx de tórax sigue siendo
normal y no hay signos ni síntomas de enfermedad.
• La enfermedad tuberculosa ocurre cuando aparecen signos
y síntomas clínicos o anomalías en la radiografía de tórax.
• El intervalo entre la tuberculosis latente y el comienzo de la
enfermedad puede ser de varias semanas o de muchas
décadas en los adultos.
• En los niños pequeños, la tuberculosis se suele desarrollar
como una complicación inmediata de la infección primaria,
y la distinción entre infección y enfermedad puede ser
menos obvia.
TUBERCULOSIS EN NIÑOS
• La Tb pulmonar primaria en los lactantes mayores
y los niños suele ser una infección asintomática.
• Muchas veces la enfermedad se manifiesta por
PPD positiva con anomalías mínimas en la Rx de
tórax, como un infiltrado con linfadenopatía hiliar
o complejo de Ghon.
• Después del desarrollo de hipersensibilidad tardía,
pueden aparecer malestar general, febrícula,
eritema nudoso o síntom as originados por
agrandamiento de los ganglios linfáticos
TUBERCULOSIS EN NIÑOS
TB PRIMARIA EN NIÑOS
BT viene del exterior y forma en lesión a nivel del
sitio de entrada con reacción de los ganglios
regionales
TUBERCULOSIS EN NIÑOS
TB PRIMARIA EN NIÑOS
- BT se localiza en la superficie alveolar preferentemente
subpleural inferior del lóbulo superior o superior del
lóbulo inferior.
- 10 a 14 días después: hipersensibilidad – consolidación –
caseoso con necrosis central- células epiteliodes y células
gigantes de Langhans
- Posteriormente: fibrosis- calcificación- osificación –
desaparece
TUBERCULOSIS EN NIÑOS
TB PRIMARIA EN NIÑOS
Biopsia bronquial endoscópica con exudado caseoso
y numerosos M B á-a resistentes.
Ziehl-Nielsen, x 1200
TUBERCULOSIS EN NIÑOS
TUBERCULOSIS EN NIÑOS
TB PRIMARIA EN NIÑOS
Complejo de Ghon: Granuloma tuberculoso con centro
caseificado y células gigantes de Langhans.
Con corona linfoplasmocelular
TUBERCULOSIS EN NIÑOS
TB PRIMARIA EN NIÑOS
Complejo de Ghon: Numerosos bacilos á-a resistentes
en el área de caseificación
central
TB PRIMARIA EN NIÑOS
-En lactantes puede haber migración peribronquial y
mediastinal. Generalmente unilateral. Fibrocalcificación al
curarse
- Al persistir puede drenar al bronquio y provocar
cicatrización y secuestro pulmonar
- Ganglios pueden invadir estructuras vecinas
- Puede producir neumonía Tb y/o atelectasia
- Diseminación miliar linfática-hematógena a higado,
cerebro/meninges, hueso, riñones, etc.
TUBERCULOSIS EN NIÑOS
TUBERCULOSIS EN NIÑOS
TB PRIMARIA en niños
CPTb de Ghon intrapulmonar
y ganglios hiliares caseificados.
El pulmón restante con hemorragia
difusa reciente
TB PRIMARIA EN
NIÑOS
Linfoadenitis caseosa
tuberculosa del CPTb
TUBERCULOSIS EN NIÑOS
TUBERCULOSIS EN NIÑOS
TB PRIMARIA EN NIÑOS
CPTb al centro que
compromete bronquios
y el tejido pulmonar
distal con múltiples
focos caseosos
TUBERCULOSIS EN NIÑOS
TB PRIMARIA EN ADULTO
1.Cicatriz estrellada con antracosis;
2. Linfonodo hiliar con calcificación secuela del foco TB
1 2
TB PRIMARIA CUADRO CLÍNICO
- Incubación variable: 2 a 10 sem. (cultivo en sangre y
lavado gástrico +, PPD y Rx -)
-Hipersensibilidad inicial x 2 sem: anorexia, debilidad, tal
vez eritema nodoso, T 39ºC (simula IRA o Neumonía)
- Si progresa presenta anorexia, apatía, pérdida de peso
Rx: bronconeumonía
- En compromiso bronquial: tos ronca paroxística, roncus y
sibilancias. Bronquiectasias asintomáticas no supuradas
-Tardiamente: hemoptisis (Dx con broncoscopia)
TUBERCULOSIS EN NIÑOS
TB PRIMARIA DIAGNÓSTICO
-Tb primaria no invasiva: asintomática con Rx muy
patológico
- Dx: Contacto, PPD > 10 con 5TU, Rx puede ser normal
- Tríada RX: Hipertrofia ganglionar hiliar, estrías e
infiltrado pulmonar (Desde zona redodndeada de 2 cm
hasta consolidación lobar)
- Incluir investigación del bacilo en contenido gástrico
TUBERCULOSIS EN NIÑOS
• Patogénesis
LA MAYORÍA DE MANIFESTACIONES CLÍNICAS EN
NIÑOS DENTRO DE 1 A 2 AÑOS DE LA INFECCIÓN
INICIAL
• Tb miliar en 2 a 6 meses después de la infección
• Tb ósea en 1 a 2 años
• Tb pulmonar o linfática en 4 a 12 meses
• Tb renal en 5 años
TB is transmitted most commonly via airborne spread. Lymph nodes frequently become infected with M
tuberculosis. Such infection causes enlargement of the nodes with or without significant inflammation.
Inhalation of the bacillus into a terminal airway can result in formation of a Ghon complex, which includes
the initial focus of infection, the draining lymphatic vessels, and enlarged regional lymph nodes. Following
this stage, the infection can be contained, spread rapidly, or reactivate at a later point in life. Different
clinical manifestations of TB in children have varying incubation periods. Miliary or disseminated disease
usually occurs 2 to 6 months after infection, renal TB manifests in 5 years, skeletal TB occurs 1 to 2 years
after infection, and pulmonary and lymphatic TB occur within 4 to 12 months. Most clinical manifestations
in children occur within 1 to 2 years of initial infection
TUBERCULOSIS EN NIÑOS
From http://pedsinreview.aappublications.org. Provided by Health Internetwork on March 22, 2010
TUBERCULOSIS EN NIÑOS
• Únicamente del 5% a
10% de niños mayores
de 3 años que han
tenido infección Tb
latente no tratada.
• Progresan a manifestar
la enfermedad, en un
estimado de 1 a 2 años
luego de la infección
inicial
4 AÑOS
• El sitio mas común de infección es
pulmonar, que compromete sobre el
80% de los casos.
TUBERCULOSIS EN NIÑOS
From Hilton SVW, Edwards DK [editors]: Practical Pediatric Radiology, 3rd ed. Philadelphia, Elsevier, 2003, p 335
8 AÑOS 14 AÑOS
RIESGO DE PROGRESIÓN DE INFECCIÓN
Tb A ENFERMEDAD EN NIÑOS
50
75
95 98
85
35
15
5 2
1515
2,5 0,5 0,2 0,20
20
40
60
80
100
120
Ninguna
Pulmonar
Miliar o SNC
Adaptado de Marais et al. Childhood pulmonary tuberculosis: old wisdom and new challenges. Am. J. Resp. Crit. Care Med. 2006; 173:1708-1090
%
La manifestación extrapulmonar mas frecuente es:
• LINFADENOPATÍA TUBERCULOSA (67%),
• MENINGITIS TUBERCULOSA (13%, mas frecuente
entre niños menores de dos años),
• TB pleural (6%),
• Tb MILIAR (5%), y
• Tb ÓSEA (4%).
TUBERCULOSIS EN NIÑOS
LINFADENOPATÍA TUBERCULOSA EN NIÑOS
67 %
MENINGITIS TUBERCULOSA EN NIÑOS
13 %
Tb MILIAR EN NIÑOS
5 %
TUBERCULOSIS RENAL EN NIÑOS
Tb ÓSEA 4% – MAL DE POTT
La antiguedad del Mal de Pott, tuberculosis de la columna
vertebral (Percivall Pott , 1779)
A la izquierda una estatuilla egipcia, encontrada en Assuán.
A la derecha una estauilla griega. British Museum, Londres.
• Las áreas frecuentemente involucradas en la
adolescencia son los ganglios linfáticos, espacios
pleurales y huesos.
• El riesgo de Tb extrapulmonar se incrementa en
niños y adolescentes immunocomprometidos.
• Los grupos inmunocomprometidos mas estudiados
son los pacientes HIV-positivos, pero además la
disfunción de células T y la desnutrición conllevan
alto riesgo de progresión de Infección Latente Tb a
Enfermedad Tb.
TUBERCULOSIS EN NIÑOS
• Otras formas
• Tb abdominal por deglución de material infectado.
• Es una complicación relativamente infrecuente donde los
rebaños de vacas lecheras son inspeccionados para
detectar la presencia de Tb bovina.
• La peritonitis Tb se asocia a Tb abdominal y se presenta
con fiebre, anorexia, ascitis y dolor abdominal.
• Tb urogenital es una complicación por reactivación
tardía y es rara en los niños. Se presenta con disuria,
polaquiuria, urgencia miccional, hematuria y piuría
estéril.
TUBERCULOSIS EN NIÑOS
DIAGNÓSTICO
TUBERCULOSIS EN NIÑOS
Para el diagnóstico se consideran cinco
criterios :
1. Criterio epidemiológico
2. Criterio clínico
3. Criterio inmunológico
4. Criterio radiográfico
5. Criterio bacteriológico
TUBERCULOSIS EN NIÑOS
Criterio Epidemiológico
• Usualmente existe y VERIFICAR un contacto adulto
BK +
• El riesgo de adquirir infección tuberculosa depende
de factores ambientales
• El riesgo de presentar enfermedad tuberculosa
depende de factores genéticos e inmunitarios del
huésped
• La fuente de contagio mas frecuente es el hogar,
seguido por la escuela, guarderías y lugares cerrados
•El 60% de los casos es en < 5años
•Entre 5 a 14 años las tasas son muy bajas
•Meningitis Tb y Tb ganglionar mas frecuentes en <
de 5 años, las otras formas extrapulmonares son
mas frecuentes en niños mayores y adolescentes
•Vacuna BCG
Criterio Epidemiológico
Criterio Clínico
• En países en desarrollo la enfermedad Tb se
identifica cuando hay síntomas graves
• Los hallazgos físicos difieren con la edad
• Los lactantes muy pequeños tienen síntomas y
signos de mayor importancia por diámetro menor
en sus vías respiratorias
• Los lactantes y niños con TB de moderada a grave
es de mucha ayuda la radiografía, la exploración
física es casi nula.
TUBERCULOSIS EN NIÑOS
Signos y Síntomas de Tb Pulmonar por Edad
CLINICA < 1 AÑO NIÑEZ (1-10 A) ADOLESCENTES
SINTOMAS
Fiebre
Diaforesis nocturna
Tos
Tos productiva
Hemoptisis
Disnea
Frecuente
Rara
Frecuente
Rara
Nunca
Frecuente
InFrecuente
Rara
Frecuente
Rara
Rara
Rara
Frecuente
InFrecuente
Frecuente
Frecuente
Rara
Rara
SIGNOS
Rales
Sibilancias
↓ ruidos respiratorios
Frecuente
Frecuente
Frecuente
InFrecuente
InFrecuente
Frecuente
Raro
InFrecuente
InFrecuente
LOCALIZACION
Pulmonar
Pulmonar y extrapulmonar
Frecuente
Frecuente
Frecuente
Infrecuente
Frecuente
Infrecuente
Criterio Inmunológico
• El PPD permite detectar infección Tb aun antes de
que la enfermedad se haga evidente clínicamente
• El PPD reactivo obliga a buscar enfermedad Tb en el
niño
• El PPD debe considerarse reactivo con pápula de
mayor a 10 mm (no eritema)
• En niños desnutridos o VIH + y son contacto de
pacientes tuberculosos 5mm o mas es reactivo
• Si es negativo no descarta la infección Tb
TUBERCULOSIS EN NIÑOS - PPD
•La aplicación de la prueba de Mantoux es simple.
•Si la aplicación no es correcta el resultado no es exacto
•El responsable colocará su mano debajo del brazo del
paciente, para estabilizarlo.
•La tuberculina se inyectará en dirección lateral del
brazo, e intradérmica
•Se debe obtener un habón de 6 a 10 mm de diámetro
•Lectura se realiza a las 48 o 72 horas
TUBERCULOSIS EN NIÑOS - PPD
DIAGNÓSTICO
-PPD positiva:
-Reactivo < 10 mm: Niño vacunado con BCG
-> 5 mm en contacto íntimo con casos comprobados,
clinica y Rx evidentes, inmunodeprimidos o con VIH.
->10 mm en < 4 años, desnutridos, mieloproliferativas,
diabetes, I renal, exposicion a contaminación ambiental,
áreas endémicas, hacinamiento, pobreza extrema.
->15 mm en todos > 4 años
TUBERCULOSIS EN NIÑOS
DIAGNÓSTICO PPD :
TUBERCULOSIS EN NIÑOS
PT + PT - Total
QFG –IT + 79 6 85
QFG-IT - 8 8 16
QFG –IT indeterminado 3 1 4
Total 90 15 105
QFG-IT ´+ (%) PT ´+ (%)
Pulmonar (n=70) 61 (87,1) 63 (90)
Pleuropulmonar (n=13) 9 (69,2) 12 (92)
Extrapulm/miliar (n=22) 15 (68) 15 (68)
DIAGNÓSTICO NICE :
TUBERCULOSIS EN NIÑOS
Criterios Radiológicos
• Permite evidenciar la presencia,
extensión y localización de la lesión en
pacientes con sospecha de TB
• En la Tb miliar puede hacer el
diagnóstico
• Es de mucha ayuda en el derrame
pleural tuberculoso
• La tuberculosis extrapulmonar tiene
radiografías de tórax normal
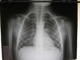
• Edad: 1 año 9 meses
• Tos desde hace 1 año
• Diaforesis
• Falta de apetito
• Ex físico: normal
• Multiples tratamientos
• Peso al inicio: 9 Kg
• Peso a los 2 meses: 12
Kg
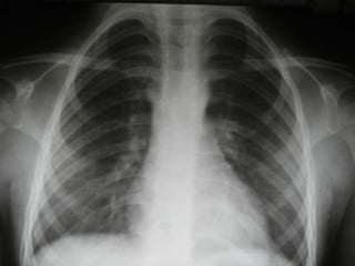
•Edad 6 años
•Tos de 1 año
•Falta de apetito
•PPD: 10 mm
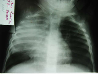
TUBERCULOSIS MILIAR
Adolescente de 17
años con afectación
pulmonar bilateral,
derrames y peritonitis
Tb
Baciloscopía
• Es fundamental. Muestra pulmonar o
extrapulmonar .
• Dos muestras seriadas de esputo para identificar a
los bacilíferos e iniciar tratamiento oportuno.
• Baciloscopías de control son obligatorias hasta el
final del tratamiento, aunque la muestra sea de
mala calidad.
TUBERCULOSIS EN NIÑOS
Criterios Bacteriológicos
Cultivo
• Es el método bacteriológico más sensible y
específico para detectar el Mycobacterium Tb
(permite diagnosticar la enfermedad con escasa
población bacilar).
TUBERCULOSIS EN NIÑOS
Criterios Bacteriológicos
DIAGNÓSTICO Cultivo
Debe efectuarse en:
Muestras de expectoración de pacientes con BK de diagnóstico negativas, pero
con sospecha clínica, radiológica y epidemiológica de TB
Muestras pulmonares de control de tratamiento en pacientes que presentan
positividad en el tercer mes de tratamiento del esquema Uno, o en las que
después de negativizar, vuelven a ser positivas y se sospecha fracaso de
tratamiento. Todo esto con miras a solicitar la respectiva prueba de sensibilidad.
• Muestras de aspirado bronquial, gástrico o expectoración inducida, en pacientes
con evidente sospecha de TB pulmonar que no expectoran espontáneamente.
• En todas las muestras extrapulmonares.
• En la investigación de TB infantil.
• En el estudio de sintomático respiratorios contactos de pacientes con tuberculosis
resistente.
• En investigación de TB en PVVS.
• En investigación de TB en personal de salud.
• En investigación de TB en PPL.
• En pacientes antes tratados, recaídas, abandonos recuperados y fracasos de
tratamiento.
• Para tipificación de micobacterias o en estudio de resistencia a drogas.
TUBERCULOSIS EN NIÑOS
DIAGNÓSTICO DIFERENCIAL
-Tb primaria: micosis, granulomatosas, tifoidea,
malignidad
- Tb Primaria progresiva: Neumonía, abscesos, cuerpo
extraño
-Hipertrofia ganglionar en Tb, sarcoidosis y Hodgkin
-Bronquitis Tb: con laringotraqueobronquitis o
tosferina
-PRUEBA DE MANTOUX ES DEFINITORIA
TUBERCULOSIS EN NIÑOS
TUBERCULOSIS EN NIÑOS
TRATAMIENTO
ACOSTA ENRIQUE E HINOJOSA MIGUEL PEDIATRIA 8S UIDE 2020
TUBERCULOSIS EN NIÑOS
TUBERCULOSIS EN NIÑOS TRATAMIENTO
• La mayoría remiten espontáneamente
• INH inhibe la multiplicación de los bacilos 10
mg/Kg/d VO x 1 año o más
• Primoinfección Progresiva y/o complicada
(diseminada): se asocia Rifampicina (15-20 mg/Kg/d
VO 2-3 x d x 1-3m) o estreptomicina 20 mg/Kg/d
máximo 1g IM, 1º m QD y 2ºm 3xsem
• Triple terapia: Etionamida y Etambutol 15-20
mg/Kg/d VO 2-3xd x 12-18 m
• Complicada con proceso inflamatorio:
Corticosteroides 1mg/Kg/d x 6 – 8 sem.
TUBERCULOSIS EN NIÑOS TRATAMIENTO
PREVENCIÓN
• No es indispensable aislamiento
• En caso de Tb renal, cavitaria o supurada aislamiento
con control de frotis y cultivos
• CONTACTOS POSITIVOS: Hacer Mantoux y Rx.
• En viraje tuberculínico y lactantes/niños = INH 1 AÑO
• VACUNACION BCG: Intradérmica. RN O,O5 ml y 0,1 ml
en los demás
TUBERCULOSIS EN NIÑOS TRATAMIENTO
• Tb hematógena y hematógena prolongada
• Tb miliar, Tb primaria extrapulmonar (piel, vagina,
TCS, mucosa bucal – amígdalas – Intestinos)
• Estómago, glandula endocrinas y exócrinas son
resistentes
• Triple terapia: INH, Rifampicina y Estreptomicina
(hasta 6 m post curación)
• Con proceso inflamatorio: Corticosteroides
Tb EN NIÑOS TRATAMIENTO SNS:
CRITERIOS DE STEGEN Y KAPLAN
RECOMENDACIONES D.O.T. S.
TUBERCULOSIS EN NIÑOS
TRATAMIENTO SNS
TUBERCULOSIS EN NIÑOS: TRATAMIENTO SNS
ESQUEMA UNO: 2HRZE/4HR
• La fase inicial dura aproximadamente 2 meses (50 dosis),
(5 a 7 días por semana): isoniacida, rifampicina,
pirazinamida y etambutol.
• La fase de consolidación dura 4 meses (50 dosis), (5 a 7
días por semana): isoniacida y rifampicina.
INDICACIÓN: Todos los casos nuevos, específicamente:
• Casos nuevos con tuberculosis pulmonar BK +
• Casos nuevos con tuberculosis pulmonar BK – Cultivo +
• Casos nuevos con tuberculosis pulmonar BK – Cultivo –
• Casos nuevos con tuberculosis extrapulmonar
• Casos nuevos con tuberculosis e infección por VIH
RECOMENDACIONES
RECOMENDACIONES:
Lactantes y adolescentes
Diferencias guías 2010
RECOMENDACIONES:
TB snc, ósea u osteoarticular
RECOMENDACIONES: Profilaxis
Profilaxis
RECOMENDACIONES: Profilaxis
RECOMENDACIONES: Profilaxis
Tb-MDR y Tb-RR
4 Km (Am) – MFX (dosis altas) – Eto – H (dosis altas) – Cfz – Z – E
5 MFX – Cfz – Z – E
Fase intensiva: 4 meses (prolonga a 6 meses si baciloscopía es positiva al
4to mes)
• Kanamicina (se puede reemplazar por amikacina)
• Moxifloxacina dosis altas (no se puede reemplazar por levoflozacina)
• Etionamida (puede reemplazarse por protionamida)
• Isoniacida dosis altas
• Clofazimina
• Pirazinamida
• Etambutol
Fase de continuación: 5
meses
• Moxifloxacina
• Clofazimina
• Etambutol
• Pirazinamida
TUBERCULOSIS CONGÉNITA
• Es una forma clínica grave, rápidamente progresiva,
que se diferencia de la forma neonatal por la
aparición de la lesión en las primeras semanas de
vida, presencia de complejo primario hepático o
granulomas caseosos, confirmación de tuberculosis
en la placenta o tracto genital de la madre (útero o
anexos) y exclusión de exposición en el canal de
parto o post-natal por contacto con foco tuberculoso
incluyendo al personal hospitalario.
síndrome febril sin foco evidente
TUBERCULOSIS CONGÉNITA
• CLINICA:
• Hepatoesplenomegalia, distensión abdominal y
dificultad respiratoria. Ecografía abdominal con
ascitis, hepatoesplenomegalia difusa, imágenes
hipoecoicas en bazo y adenopatías adyacentes al
tronco celíaco y en hilio hepático.
• Rx de tórax con infiltrado micronodulillar. Cultivo
positivo de lavado gástrico, hemocultivo y punción
esplénica
• Antecedente materno de neumonía con derrame
durante el embarazo. Tratamiento empírico con 4
drogas: isoniacida, rifampicina, pirazinamida y
etambutol.
• Usualmente fallecen.
TUBERCULOSIS CONGÉNITA
• CASO
• Niña de 20 días de edad que ingresa al Servicio de Neonatología por síndrome febril de 24 h de evolución sin foco
evidente. Nació por cesárea por falta de progresión, PN 3.050 g, edad gestacional de 40 semanas y Apgar 9/10.
Madre de 27 años, primigesta con embarazo controlado. Antecedente de internación en la semana 17 por
neumonía con derrame, medicada con ampicilina/sulbactam durante 10 días. Serologías para VIH, Chagas,
toxoplasmosis, VDRL negativas que recibió profilaxis antibiótica en el parto.
Se dio el alta conjunta a las 72 h de edad, con control de salud normal y pesquisa neonatal obligatoria: normal.
Reingresa a los 20 días de vida con peso 3.060 g, hiperextensión de cabeza, abdomen globuloso, doloroso a la
palpación profunda, hígado a 3 cm del reborde costal, polo de bazo, soplo sistólico intensidad 2/6 por estenosis
de ramas pulmonares.
Laboratorio de ingreso: Hto 31%, leucocitos 8.200/mm3 (neutrófilos 69%, linfocitos 25% y monocitos 5%),
plaquetas 50.000/mm3, tiempo de protrombina 38 seg, tiempo parcial de tromboplastina 53 seg, tiempo de
coagulación 73%, glucemia 102 mg%, calcio 8,1 mg%, Na 129 mEq/l, K 3,5 mEq/ l, proteína C-reactiva 1:16, EAB
pH 7,46,/ PO2 37/ PCO2 57/ bicarbonato 27/ exceso de base +2.2. LCR claro con leucocitos 3/mm3, glucosa 37
mg%, proteínas 0,50 gr/dl, Cl 102 mEq/l. Rx de tórax con infiltrado difuso a predominio derecho y Rx de abdomen
con regular distribución de aire. Con sospecha de sepsis neonatal se medicó con ampicilina y gentamicina.
En su evolución persiste febril con regular estado general y requerimiento de oxígeno. Laboratorio al 2° día de
internación: 5.200 leucocitos/mm3 (61% neutrófilos, 29% linfocitos y 10% monocitos), plaquetas 29.000/mm3,
TGO 117 UI, TGP 187 UI. Hemocultivos, urocultivo y cultivo de LCR sin desarrollo de bacterias comunes. A las 72 h
se repitió punción lumbar con cultivo bacteriano negativo y PCR para enterovirus negativos.
Ecografía abdominal: hepatomegalia difusa homogénea con ecoestructura conservadas. Vías biliares no dilatadas.
Adenopatías adyacentes al tronco celíaco y en hilio hepático (Figura 1). Ascitis libre. Esplenomegalia difusa
heterogénea con múltiples imágenes focales hipoecoicas de 2-5 mm de diámetro, que sugieren microabcesos
(Figura 2). Riñones y vías urinarias normales. Ecodoppler abdominal: venas suprahepáticas con flujo conservado.
Ecografía cerebral: normal. Fondo de ojo normal.
TUBERCULOSIS CONGENITA
BIBLIOGRAFÍA
Kliegman et al en Nedlson Textbook of pediatrics 21st ed 2020.
Nelson Essentials o f Pediatrics 7th Ed. by Karen J. Marcdante, and Robert M. Kliegman, Elsevier Inc. Copyright © 2015
https://www.salud.gob.ec/wp-content/uploads/2018/03/gp_tuberculosis-1.pdf
https://aplicaciones.msp.gob.ec/salud/archivosdigitales/documentosdirecciones/dnn/archivos/manual%20%20de%2
0normas%20y%20procedimientos%20para%20el%20control%20de%20la%20tuberculosis.pdf
https://www.analesdepediatria.org/es-actualizacion-del-tratamiento-tuberculosis-ninos-articulo-
s1695403317302254
http://www.scielo.org.bo/scielo.php?script=sci_arttext&pid=s1817-74332010000200015
Dres. Ricardo S. Dalamón*, Silvina N. Cantelli*, Diego Jaroslavsky*, Miriam Bruno*, Miguel A. Debuh* y Julio Falk*
Tuberculosis congénita. Presentación infrecuente de una enfermedad habitual. Archivos argentinos de pediatría
versión impresa ISSN 0325-0075v.106 n.2 Buenos Aires mar./abr. 2008. * Centro Neonatal y Pediátrico (CENYP).
Sanatorio y Maternidad Santa Isabel. ricardodalamon@yahoo.com
GRACIAS POR SU ATENCIÓN
MEJORAR LOS
HÁAAABITOS

Pediatria tuberculosis 2020 v1.0

  • 1.
    MA Hinojosa MDPæds SP MSc 2020 TUBERCULOSIS EN NIÑOS
  • 2.
    TUBERCULOSIS EN NIÑOS Tuberculosis(TB) es una enfermedad ancestral reconocida por mas de 4.000 años con evidencias en momias del Viejo y el Nuevo Mundo Tuberculosis (TB) is an ancient disease, with evidence of skeletal TB found in mummies in both the Old and New World. Paediatrics in review Vol 31 Nº1. Enero 2010. Kliegman et al. Nelson Textbook of Pediatrics 20th Ed 2016
  • 3.
    MOMIAS EN LASQUE SE ASUME TB • Antropolgía de la Tb: Evidencia arqueológica
  • 4.
    EPIDEMIOLOGÍA MUNDIAL •La Tbes la segunda causa, después del VIH, de mortalidad infecciosa en el mundo. •25 000’000.000 infectados en el mundo (2016) •En 2015: 10,4 millones de casos nuevos y 1,8 millones murieron (0,4 millones con VIH). •95% de muertes en países de ingresos medios y bajos. •Seis países acaparan el 60% de la mortalidad total (India, Indonesia, China, Nigeria, Pakistán y Sudáfrica). •2015 un millón de casos en niños y 170 000 murieron. •2015, 35% de muertes asociadas a VIH se debieron a Tb. •2015 Desarrollaron TB-MDR (480 000 personas a nivel mundial).
  • 5.
  • 6.
  • 7.
  • 8.
    EPIDEMIOLOGÍA ECUADOR • Latasa de mortalidad en el Ecuador ha ido disminuyendo progresivamente desde el año 2005, en que fue de 5,88 por 100 mil habitantes, hasta los 2,43 reportados en 2013. • En 2012, se reportó 5.108 casos nuevos y el éxito de tratamiento fue de 78,24%; en 2013, reportó 4.976 casos y el éxito del tratamiento fue del 81,90%. En 2014 se reportó 4.897 casos nuevos de TB que se encuentran en tratamiento bajo DOTS (desde el 2001 ), para garantizar la curación del afectado por tuberculosis.
  • 9.
    TUBERCULOSIS EN NIÑOS Elagente causal es un mycobacterium, un bacilo alcohol-ácido resistente de manifiesta severidad y dificil erradicación. Cinco variedades de mycobacterium son responsables de esta enfermedad en humanos ( M. tuberculosis, M. bovis, M. africanum, M. microti, y M. canetti.) The causative agent is Mycobacterium tuberculosis, a fastidious, aerobic, acid-fast bacillus. Paediatrics in review Vol 31 Nº1. Enero 2010. Hatzenbuehler L, Starke J. Tuberculosis Chapter 242 in Nelson Textbook of Pediatrics 21st Ed. 2020 Pp 6321/6361
  • 10.
    TUBERCULOSIS EN NIÑOS Enlos inicios del VIH, el # de niños y adultos infectados se ha multiplicado en los últimos 30 años. El control de la Tb en niños ha sido dejada de lado debido a que son poco transmisores y escapan a los programas de control. Sin embargo mucha de la morbilidad y mortalidad ocurre durante la niñez y es el reservorio para el futuro del problema. Ayudan a disminuir la carga de la enfermedad: • Screening por factores de riesgo • Quimioprofilaxis apropiada • Alto nivel de sospecha clínica In the wake of human immunodeficiency virus (HIV) infection, the number of children and adults afflicted with TB has escalated tremendously worldwide in the past 25 years. Control of TB in children often has been neglected because children are ineffective transmitters of the bacillus and frequently escape the attention of TB control programs. However, much of the morbidity and mortality of TB occurs in childhood, and acquisition of TB infection during childhood contributes to the future reservoir of cases. Risk factor-based screening of children for TB infection, appropriate implementation of chemoprophylaxis, and a high degree of suspicion for TB disease on the part of clinicians can decrease the disease burden in children. *Department of Pediatrics, Section of Infectious Diseases, Baylor College of Medicine, Houston, Tex. From http://pedsinreview.aappublications.org. Provided by Health Internetwork on March 22, 2010
  • 11.
    TERMINOLOGÍA: Existen 3 etapasclínicas mayores en el desarrollo de la tuberculosis: exposición, infección y enfermedad Exposición= contacto cercano sin manifestaciones o exámenes positivos pero con riesgo de desarrollar la enfermedad Infección= contagio con fluidos PPD e IGRA (+), Rx +/- Enfermedad: Un adulto immunocompetente no tratado tiene 5-10% de riesgo para desarrollar Tb a lo largo de su vida. Al contrario un niño menor de un año tiene 40% de probabilidad de desarrollar Tb y, en un lapso de 9 meses TUBERCULOSIS EN NIÑOS
  • 12.
    Enfermedad: En los niñosla enfermedad es una complicación de la infección inicial o sea que ambas fases se presentan de manera continua. Contrario a lo que sucede a los adultos que se debe a reactivación de microorganismos latentes que habitan en zonas apicales de los pulmones preferentemente. TUBERCULOSIS EN NIÑOS
  • 13.
  • 14.
    En los niñoses muy difícil el diagnóstico con confirmación bacteriológica por falta de expectoración y cuando esta se logra por lo general es negativa incluso en el cultivo. TUBERCULOSIS EN NIÑOS
  • 15.
    TUBERCULOSIS EN NIÑOS GENERALIDADES •Afecta a todos los órganos y tejidos • Mycobacterium tuberculosis humano o bovino • Alcohol-ácido resistente prolifera en O2 y a Tº corporal. • Transmisión por esputo, gotas de flugge, orina o secreciones, polvo. • Destruido por sol/UV,pero sobrevive en desecación • Condicionantes: hacinamiento y pobreza, epidemias en grupos no expuestos y contagiados por un adulto
  • 16.
    TUBERCULOSIS EN NIÑOS GENERALIDADES Componentesdel bacilo: HdC: Formación de exudado polimorfonuclear liberación de neutrófilos y VIRULENCIA Prot: producción de neutrófilos, monocitos, celulas epitelioides y celulas gigantes. Sensibilidad a la tuberculina Lip: acido resistencia, a mayor concentración mayor virulencia y acido resistencia
  • 17.
    • Patogénesis Transmisión aérea.Infección de ganglios linfáticos por M Tuberculosis. Agrandamiento de ganglios con o sin inflamación. En una vía terminal = nódulo de Gohn (Foco infeccioso inicial, drenaje de linfáticos, crecimiento ganglionar regional). La infección puede ser contenida o, diseminarse rápidamente o, reactivarse posteriormente en la vida. TB is transmitted most commonly via airborne spread. Lymph nodes frequently become infected with M tuberculosis. Such infection causes enlargement of the nodes with or without significant inflammation. Inhalation of the bacillus into a terminal airway can result in formation of a Ghon complex, which includes the initial focus of infection, the draining lymphatic vessels, and enlarged regional lymph nodes. Following this stage, the infection can be contained, spread rapidly, or reactivate at a later point in life. Different clinical manifestations of TB in children have varying incubation periods. Miliary or disseminated disease usually occurs 2 to 6 months after infection, renal TB manifests in 5 years, skeletal TB occurs 1 to 2 years after infection, and pulmonary and lymphatic TB occur within 4 to 12 months. Most clinical manifestations in children occur within 1 to 2 years of initial infection TUBERCULOSIS EN NIÑOS From http://pedsinreview.aappublications.org. Provided by Health Internetwork on March 22, 2010
  • 18.
    Resistencia a TB #y virulencia del bacilo Factores del huésped: mas graves en la primera infancia y la adolescencia, desnutrición, enfermedades intercurrentes, VIH, reactivación de lesiones. Vacuna antisarampionosa agrava el cuadro
  • 19.
  • 20.
    PRESENTACIÓN DE LATB TB PRIMARIA EN NIÑOS TB SECUNDARIA O DE REINFECCIÓN EN ADULTOS
  • 21.
    • Tb latentedescribe la fase asintomática de la infección. • La prueba cutánea es positiva, la Rx de tórax sigue siendo normal y no hay signos ni síntomas de enfermedad. • La enfermedad tuberculosa ocurre cuando aparecen signos y síntomas clínicos o anomalías en la radiografía de tórax. • El intervalo entre la tuberculosis latente y el comienzo de la enfermedad puede ser de varias semanas o de muchas décadas en los adultos. • En los niños pequeños, la tuberculosis se suele desarrollar como una complicación inmediata de la infección primaria, y la distinción entre infección y enfermedad puede ser menos obvia. TUBERCULOSIS EN NIÑOS
  • 22.
    • La Tbpulmonar primaria en los lactantes mayores y los niños suele ser una infección asintomática. • Muchas veces la enfermedad se manifiesta por PPD positiva con anomalías mínimas en la Rx de tórax, como un infiltrado con linfadenopatía hiliar o complejo de Ghon. • Después del desarrollo de hipersensibilidad tardía, pueden aparecer malestar general, febrícula, eritema nudoso o síntom as originados por agrandamiento de los ganglios linfáticos TUBERCULOSIS EN NIÑOS
  • 23.
    TB PRIMARIA ENNIÑOS BT viene del exterior y forma en lesión a nivel del sitio de entrada con reacción de los ganglios regionales TUBERCULOSIS EN NIÑOS
  • 24.
    TB PRIMARIA ENNIÑOS - BT se localiza en la superficie alveolar preferentemente subpleural inferior del lóbulo superior o superior del lóbulo inferior. - 10 a 14 días después: hipersensibilidad – consolidación – caseoso con necrosis central- células epiteliodes y células gigantes de Langhans - Posteriormente: fibrosis- calcificación- osificación – desaparece TUBERCULOSIS EN NIÑOS
  • 25.
    TB PRIMARIA ENNIÑOS Biopsia bronquial endoscópica con exudado caseoso y numerosos M B á-a resistentes. Ziehl-Nielsen, x 1200 TUBERCULOSIS EN NIÑOS
  • 26.
    TUBERCULOSIS EN NIÑOS TBPRIMARIA EN NIÑOS Complejo de Ghon: Granuloma tuberculoso con centro caseificado y células gigantes de Langhans. Con corona linfoplasmocelular
  • 27.
    TUBERCULOSIS EN NIÑOS TBPRIMARIA EN NIÑOS Complejo de Ghon: Numerosos bacilos á-a resistentes en el área de caseificación central
  • 28.
    TB PRIMARIA ENNIÑOS -En lactantes puede haber migración peribronquial y mediastinal. Generalmente unilateral. Fibrocalcificación al curarse - Al persistir puede drenar al bronquio y provocar cicatrización y secuestro pulmonar - Ganglios pueden invadir estructuras vecinas - Puede producir neumonía Tb y/o atelectasia - Diseminación miliar linfática-hematógena a higado, cerebro/meninges, hueso, riñones, etc. TUBERCULOSIS EN NIÑOS
  • 29.
    TUBERCULOSIS EN NIÑOS TBPRIMARIA en niños CPTb de Ghon intrapulmonar y ganglios hiliares caseificados. El pulmón restante con hemorragia difusa reciente
  • 30.
    TB PRIMARIA EN NIÑOS Linfoadenitiscaseosa tuberculosa del CPTb TUBERCULOSIS EN NIÑOS
  • 31.
    TUBERCULOSIS EN NIÑOS TBPRIMARIA EN NIÑOS CPTb al centro que compromete bronquios y el tejido pulmonar distal con múltiples focos caseosos
  • 32.
    TUBERCULOSIS EN NIÑOS TBPRIMARIA EN ADULTO 1.Cicatriz estrellada con antracosis; 2. Linfonodo hiliar con calcificación secuela del foco TB 1 2
  • 33.
    TB PRIMARIA CUADROCLÍNICO - Incubación variable: 2 a 10 sem. (cultivo en sangre y lavado gástrico +, PPD y Rx -) -Hipersensibilidad inicial x 2 sem: anorexia, debilidad, tal vez eritema nodoso, T 39ºC (simula IRA o Neumonía) - Si progresa presenta anorexia, apatía, pérdida de peso Rx: bronconeumonía - En compromiso bronquial: tos ronca paroxística, roncus y sibilancias. Bronquiectasias asintomáticas no supuradas -Tardiamente: hemoptisis (Dx con broncoscopia) TUBERCULOSIS EN NIÑOS
  • 34.
    TB PRIMARIA DIAGNÓSTICO -Tbprimaria no invasiva: asintomática con Rx muy patológico - Dx: Contacto, PPD > 10 con 5TU, Rx puede ser normal - Tríada RX: Hipertrofia ganglionar hiliar, estrías e infiltrado pulmonar (Desde zona redodndeada de 2 cm hasta consolidación lobar) - Incluir investigación del bacilo en contenido gástrico TUBERCULOSIS EN NIÑOS
  • 35.
    • Patogénesis LA MAYORÍADE MANIFESTACIONES CLÍNICAS EN NIÑOS DENTRO DE 1 A 2 AÑOS DE LA INFECCIÓN INICIAL • Tb miliar en 2 a 6 meses después de la infección • Tb ósea en 1 a 2 años • Tb pulmonar o linfática en 4 a 12 meses • Tb renal en 5 años TB is transmitted most commonly via airborne spread. Lymph nodes frequently become infected with M tuberculosis. Such infection causes enlargement of the nodes with or without significant inflammation. Inhalation of the bacillus into a terminal airway can result in formation of a Ghon complex, which includes the initial focus of infection, the draining lymphatic vessels, and enlarged regional lymph nodes. Following this stage, the infection can be contained, spread rapidly, or reactivate at a later point in life. Different clinical manifestations of TB in children have varying incubation periods. Miliary or disseminated disease usually occurs 2 to 6 months after infection, renal TB manifests in 5 years, skeletal TB occurs 1 to 2 years after infection, and pulmonary and lymphatic TB occur within 4 to 12 months. Most clinical manifestations in children occur within 1 to 2 years of initial infection TUBERCULOSIS EN NIÑOS From http://pedsinreview.aappublications.org. Provided by Health Internetwork on March 22, 2010
  • 36.
    TUBERCULOSIS EN NIÑOS •Únicamente del 5% a 10% de niños mayores de 3 años que han tenido infección Tb latente no tratada. • Progresan a manifestar la enfermedad, en un estimado de 1 a 2 años luego de la infección inicial 4 AÑOS
  • 37.
    • El sitiomas común de infección es pulmonar, que compromete sobre el 80% de los casos. TUBERCULOSIS EN NIÑOS From Hilton SVW, Edwards DK [editors]: Practical Pediatric Radiology, 3rd ed. Philadelphia, Elsevier, 2003, p 335 8 AÑOS 14 AÑOS
  • 38.
    RIESGO DE PROGRESIÓNDE INFECCIÓN Tb A ENFERMEDAD EN NIÑOS 50 75 95 98 85 35 15 5 2 1515 2,5 0,5 0,2 0,20 20 40 60 80 100 120 Ninguna Pulmonar Miliar o SNC Adaptado de Marais et al. Childhood pulmonary tuberculosis: old wisdom and new challenges. Am. J. Resp. Crit. Care Med. 2006; 173:1708-1090 %
  • 39.
    La manifestación extrapulmonarmas frecuente es: • LINFADENOPATÍA TUBERCULOSA (67%), • MENINGITIS TUBERCULOSA (13%, mas frecuente entre niños menores de dos años), • TB pleural (6%), • Tb MILIAR (5%), y • Tb ÓSEA (4%). TUBERCULOSIS EN NIÑOS
  • 40.
  • 41.
  • 42.
    Tb MILIAR ENNIÑOS 5 %
  • 43.
  • 44.
    Tb ÓSEA 4%– MAL DE POTT La antiguedad del Mal de Pott, tuberculosis de la columna vertebral (Percivall Pott , 1779) A la izquierda una estatuilla egipcia, encontrada en Assuán. A la derecha una estauilla griega. British Museum, Londres.
  • 45.
    • Las áreasfrecuentemente involucradas en la adolescencia son los ganglios linfáticos, espacios pleurales y huesos. • El riesgo de Tb extrapulmonar se incrementa en niños y adolescentes immunocomprometidos. • Los grupos inmunocomprometidos mas estudiados son los pacientes HIV-positivos, pero además la disfunción de células T y la desnutrición conllevan alto riesgo de progresión de Infección Latente Tb a Enfermedad Tb. TUBERCULOSIS EN NIÑOS
  • 46.
    • Otras formas •Tb abdominal por deglución de material infectado. • Es una complicación relativamente infrecuente donde los rebaños de vacas lecheras son inspeccionados para detectar la presencia de Tb bovina. • La peritonitis Tb se asocia a Tb abdominal y se presenta con fiebre, anorexia, ascitis y dolor abdominal. • Tb urogenital es una complicación por reactivación tardía y es rara en los niños. Se presenta con disuria, polaquiuria, urgencia miccional, hematuria y piuría estéril. TUBERCULOSIS EN NIÑOS
  • 47.
  • 48.
    Para el diagnósticose consideran cinco criterios : 1. Criterio epidemiológico 2. Criterio clínico 3. Criterio inmunológico 4. Criterio radiográfico 5. Criterio bacteriológico TUBERCULOSIS EN NIÑOS
  • 49.
    Criterio Epidemiológico • Usualmenteexiste y VERIFICAR un contacto adulto BK + • El riesgo de adquirir infección tuberculosa depende de factores ambientales • El riesgo de presentar enfermedad tuberculosa depende de factores genéticos e inmunitarios del huésped • La fuente de contagio mas frecuente es el hogar, seguido por la escuela, guarderías y lugares cerrados
  • 50.
    •El 60% delos casos es en < 5años •Entre 5 a 14 años las tasas son muy bajas •Meningitis Tb y Tb ganglionar mas frecuentes en < de 5 años, las otras formas extrapulmonares son mas frecuentes en niños mayores y adolescentes •Vacuna BCG Criterio Epidemiológico
  • 51.
    Criterio Clínico • Enpaíses en desarrollo la enfermedad Tb se identifica cuando hay síntomas graves • Los hallazgos físicos difieren con la edad • Los lactantes muy pequeños tienen síntomas y signos de mayor importancia por diámetro menor en sus vías respiratorias • Los lactantes y niños con TB de moderada a grave es de mucha ayuda la radiografía, la exploración física es casi nula.
  • 52.
    TUBERCULOSIS EN NIÑOS Signosy Síntomas de Tb Pulmonar por Edad CLINICA < 1 AÑO NIÑEZ (1-10 A) ADOLESCENTES SINTOMAS Fiebre Diaforesis nocturna Tos Tos productiva Hemoptisis Disnea Frecuente Rara Frecuente Rara Nunca Frecuente InFrecuente Rara Frecuente Rara Rara Rara Frecuente InFrecuente Frecuente Frecuente Rara Rara SIGNOS Rales Sibilancias ↓ ruidos respiratorios Frecuente Frecuente Frecuente InFrecuente InFrecuente Frecuente Raro InFrecuente InFrecuente LOCALIZACION Pulmonar Pulmonar y extrapulmonar Frecuente Frecuente Frecuente Infrecuente Frecuente Infrecuente
  • 53.
    Criterio Inmunológico • ElPPD permite detectar infección Tb aun antes de que la enfermedad se haga evidente clínicamente • El PPD reactivo obliga a buscar enfermedad Tb en el niño • El PPD debe considerarse reactivo con pápula de mayor a 10 mm (no eritema) • En niños desnutridos o VIH + y son contacto de pacientes tuberculosos 5mm o mas es reactivo • Si es negativo no descarta la infección Tb
  • 54.
  • 55.
    •La aplicación dela prueba de Mantoux es simple. •Si la aplicación no es correcta el resultado no es exacto •El responsable colocará su mano debajo del brazo del paciente, para estabilizarlo. •La tuberculina se inyectará en dirección lateral del brazo, e intradérmica •Se debe obtener un habón de 6 a 10 mm de diámetro •Lectura se realiza a las 48 o 72 horas TUBERCULOSIS EN NIÑOS - PPD
  • 61.
    DIAGNÓSTICO -PPD positiva: -Reactivo <10 mm: Niño vacunado con BCG -> 5 mm en contacto íntimo con casos comprobados, clinica y Rx evidentes, inmunodeprimidos o con VIH. ->10 mm en < 4 años, desnutridos, mieloproliferativas, diabetes, I renal, exposicion a contaminación ambiental, áreas endémicas, hacinamiento, pobreza extrema. ->15 mm en todos > 4 años TUBERCULOSIS EN NIÑOS
  • 62.
    DIAGNÓSTICO PPD : TUBERCULOSISEN NIÑOS PT + PT - Total QFG –IT + 79 6 85 QFG-IT - 8 8 16 QFG –IT indeterminado 3 1 4 Total 90 15 105 QFG-IT ´+ (%) PT ´+ (%) Pulmonar (n=70) 61 (87,1) 63 (90) Pleuropulmonar (n=13) 9 (69,2) 12 (92) Extrapulm/miliar (n=22) 15 (68) 15 (68)
  • 63.
  • 64.
    Criterios Radiológicos • Permiteevidenciar la presencia, extensión y localización de la lesión en pacientes con sospecha de TB • En la Tb miliar puede hacer el diagnóstico • Es de mucha ayuda en el derrame pleural tuberculoso • La tuberculosis extrapulmonar tiene radiografías de tórax normal
  • 67.
    • Edad: 1año 9 meses • Tos desde hace 1 año • Diaforesis • Falta de apetito • Ex físico: normal • Multiples tratamientos • Peso al inicio: 9 Kg • Peso a los 2 meses: 12 Kg
  • 68.
    •Edad 6 años •Tosde 1 año •Falta de apetito •PPD: 10 mm
  • 72.
  • 73.
    Adolescente de 17 añoscon afectación pulmonar bilateral, derrames y peritonitis Tb
  • 74.
    Baciloscopía • Es fundamental.Muestra pulmonar o extrapulmonar . • Dos muestras seriadas de esputo para identificar a los bacilíferos e iniciar tratamiento oportuno. • Baciloscopías de control son obligatorias hasta el final del tratamiento, aunque la muestra sea de mala calidad. TUBERCULOSIS EN NIÑOS Criterios Bacteriológicos
  • 75.
    Cultivo • Es elmétodo bacteriológico más sensible y específico para detectar el Mycobacterium Tb (permite diagnosticar la enfermedad con escasa población bacilar). TUBERCULOSIS EN NIÑOS Criterios Bacteriológicos
  • 76.
    DIAGNÓSTICO Cultivo Debe efectuarseen: Muestras de expectoración de pacientes con BK de diagnóstico negativas, pero con sospecha clínica, radiológica y epidemiológica de TB Muestras pulmonares de control de tratamiento en pacientes que presentan positividad en el tercer mes de tratamiento del esquema Uno, o en las que después de negativizar, vuelven a ser positivas y se sospecha fracaso de tratamiento. Todo esto con miras a solicitar la respectiva prueba de sensibilidad. • Muestras de aspirado bronquial, gástrico o expectoración inducida, en pacientes con evidente sospecha de TB pulmonar que no expectoran espontáneamente. • En todas las muestras extrapulmonares. • En la investigación de TB infantil. • En el estudio de sintomático respiratorios contactos de pacientes con tuberculosis resistente. • En investigación de TB en PVVS. • En investigación de TB en personal de salud. • En investigación de TB en PPL. • En pacientes antes tratados, recaídas, abandonos recuperados y fracasos de tratamiento. • Para tipificación de micobacterias o en estudio de resistencia a drogas. TUBERCULOSIS EN NIÑOS
  • 77.
    DIAGNÓSTICO DIFERENCIAL -Tb primaria:micosis, granulomatosas, tifoidea, malignidad - Tb Primaria progresiva: Neumonía, abscesos, cuerpo extraño -Hipertrofia ganglionar en Tb, sarcoidosis y Hodgkin -Bronquitis Tb: con laringotraqueobronquitis o tosferina -PRUEBA DE MANTOUX ES DEFINITORIA TUBERCULOSIS EN NIÑOS
  • 78.
    TUBERCULOSIS EN NIÑOS TRATAMIENTO ACOSTAENRIQUE E HINOJOSA MIGUEL PEDIATRIA 8S UIDE 2020
  • 79.
  • 80.
    TUBERCULOSIS EN NIÑOSTRATAMIENTO • La mayoría remiten espontáneamente • INH inhibe la multiplicación de los bacilos 10 mg/Kg/d VO x 1 año o más • Primoinfección Progresiva y/o complicada (diseminada): se asocia Rifampicina (15-20 mg/Kg/d VO 2-3 x d x 1-3m) o estreptomicina 20 mg/Kg/d máximo 1g IM, 1º m QD y 2ºm 3xsem • Triple terapia: Etionamida y Etambutol 15-20 mg/Kg/d VO 2-3xd x 12-18 m • Complicada con proceso inflamatorio: Corticosteroides 1mg/Kg/d x 6 – 8 sem.
  • 81.
    TUBERCULOSIS EN NIÑOSTRATAMIENTO PREVENCIÓN • No es indispensable aislamiento • En caso de Tb renal, cavitaria o supurada aislamiento con control de frotis y cultivos • CONTACTOS POSITIVOS: Hacer Mantoux y Rx. • En viraje tuberculínico y lactantes/niños = INH 1 AÑO • VACUNACION BCG: Intradérmica. RN O,O5 ml y 0,1 ml en los demás
  • 82.
    TUBERCULOSIS EN NIÑOSTRATAMIENTO • Tb hematógena y hematógena prolongada • Tb miliar, Tb primaria extrapulmonar (piel, vagina, TCS, mucosa bucal – amígdalas – Intestinos) • Estómago, glandula endocrinas y exócrinas son resistentes • Triple terapia: INH, Rifampicina y Estreptomicina (hasta 6 m post curación) • Con proceso inflamatorio: Corticosteroides
  • 83.
    Tb EN NIÑOSTRATAMIENTO SNS: CRITERIOS DE STEGEN Y KAPLAN
  • 85.
  • 86.
  • 87.
    TUBERCULOSIS EN NIÑOS:TRATAMIENTO SNS ESQUEMA UNO: 2HRZE/4HR • La fase inicial dura aproximadamente 2 meses (50 dosis), (5 a 7 días por semana): isoniacida, rifampicina, pirazinamida y etambutol. • La fase de consolidación dura 4 meses (50 dosis), (5 a 7 días por semana): isoniacida y rifampicina. INDICACIÓN: Todos los casos nuevos, específicamente: • Casos nuevos con tuberculosis pulmonar BK + • Casos nuevos con tuberculosis pulmonar BK – Cultivo + • Casos nuevos con tuberculosis pulmonar BK – Cultivo – • Casos nuevos con tuberculosis extrapulmonar • Casos nuevos con tuberculosis e infección por VIH
  • 88.
  • 90.
  • 91.
  • 92.
  • 93.
  • 94.
  • 95.
  • 96.
    Tb-MDR y Tb-RR 4Km (Am) – MFX (dosis altas) – Eto – H (dosis altas) – Cfz – Z – E 5 MFX – Cfz – Z – E Fase intensiva: 4 meses (prolonga a 6 meses si baciloscopía es positiva al 4to mes) • Kanamicina (se puede reemplazar por amikacina) • Moxifloxacina dosis altas (no se puede reemplazar por levoflozacina) • Etionamida (puede reemplazarse por protionamida) • Isoniacida dosis altas • Clofazimina • Pirazinamida • Etambutol Fase de continuación: 5 meses • Moxifloxacina • Clofazimina • Etambutol • Pirazinamida
  • 97.
    TUBERCULOSIS CONGÉNITA • Esuna forma clínica grave, rápidamente progresiva, que se diferencia de la forma neonatal por la aparición de la lesión en las primeras semanas de vida, presencia de complejo primario hepático o granulomas caseosos, confirmación de tuberculosis en la placenta o tracto genital de la madre (útero o anexos) y exclusión de exposición en el canal de parto o post-natal por contacto con foco tuberculoso incluyendo al personal hospitalario. síndrome febril sin foco evidente
  • 98.
    TUBERCULOSIS CONGÉNITA • CLINICA: •Hepatoesplenomegalia, distensión abdominal y dificultad respiratoria. Ecografía abdominal con ascitis, hepatoesplenomegalia difusa, imágenes hipoecoicas en bazo y adenopatías adyacentes al tronco celíaco y en hilio hepático. • Rx de tórax con infiltrado micronodulillar. Cultivo positivo de lavado gástrico, hemocultivo y punción esplénica • Antecedente materno de neumonía con derrame durante el embarazo. Tratamiento empírico con 4 drogas: isoniacida, rifampicina, pirazinamida y etambutol. • Usualmente fallecen.
  • 99.
  • 100.
    • CASO • Niñade 20 días de edad que ingresa al Servicio de Neonatología por síndrome febril de 24 h de evolución sin foco evidente. Nació por cesárea por falta de progresión, PN 3.050 g, edad gestacional de 40 semanas y Apgar 9/10. Madre de 27 años, primigesta con embarazo controlado. Antecedente de internación en la semana 17 por neumonía con derrame, medicada con ampicilina/sulbactam durante 10 días. Serologías para VIH, Chagas, toxoplasmosis, VDRL negativas que recibió profilaxis antibiótica en el parto. Se dio el alta conjunta a las 72 h de edad, con control de salud normal y pesquisa neonatal obligatoria: normal. Reingresa a los 20 días de vida con peso 3.060 g, hiperextensión de cabeza, abdomen globuloso, doloroso a la palpación profunda, hígado a 3 cm del reborde costal, polo de bazo, soplo sistólico intensidad 2/6 por estenosis de ramas pulmonares. Laboratorio de ingreso: Hto 31%, leucocitos 8.200/mm3 (neutrófilos 69%, linfocitos 25% y monocitos 5%), plaquetas 50.000/mm3, tiempo de protrombina 38 seg, tiempo parcial de tromboplastina 53 seg, tiempo de coagulación 73%, glucemia 102 mg%, calcio 8,1 mg%, Na 129 mEq/l, K 3,5 mEq/ l, proteína C-reactiva 1:16, EAB pH 7,46,/ PO2 37/ PCO2 57/ bicarbonato 27/ exceso de base +2.2. LCR claro con leucocitos 3/mm3, glucosa 37 mg%, proteínas 0,50 gr/dl, Cl 102 mEq/l. Rx de tórax con infiltrado difuso a predominio derecho y Rx de abdomen con regular distribución de aire. Con sospecha de sepsis neonatal se medicó con ampicilina y gentamicina. En su evolución persiste febril con regular estado general y requerimiento de oxígeno. Laboratorio al 2° día de internación: 5.200 leucocitos/mm3 (61% neutrófilos, 29% linfocitos y 10% monocitos), plaquetas 29.000/mm3, TGO 117 UI, TGP 187 UI. Hemocultivos, urocultivo y cultivo de LCR sin desarrollo de bacterias comunes. A las 72 h se repitió punción lumbar con cultivo bacteriano negativo y PCR para enterovirus negativos. Ecografía abdominal: hepatomegalia difusa homogénea con ecoestructura conservadas. Vías biliares no dilatadas. Adenopatías adyacentes al tronco celíaco y en hilio hepático (Figura 1). Ascitis libre. Esplenomegalia difusa heterogénea con múltiples imágenes focales hipoecoicas de 2-5 mm de diámetro, que sugieren microabcesos (Figura 2). Riñones y vías urinarias normales. Ecodoppler abdominal: venas suprahepáticas con flujo conservado. Ecografía cerebral: normal. Fondo de ojo normal. TUBERCULOSIS CONGENITA
  • 101.
    BIBLIOGRAFÍA Kliegman et alen Nedlson Textbook of pediatrics 21st ed 2020. Nelson Essentials o f Pediatrics 7th Ed. by Karen J. Marcdante, and Robert M. Kliegman, Elsevier Inc. Copyright © 2015 https://www.salud.gob.ec/wp-content/uploads/2018/03/gp_tuberculosis-1.pdf https://aplicaciones.msp.gob.ec/salud/archivosdigitales/documentosdirecciones/dnn/archivos/manual%20%20de%2 0normas%20y%20procedimientos%20para%20el%20control%20de%20la%20tuberculosis.pdf https://www.analesdepediatria.org/es-actualizacion-del-tratamiento-tuberculosis-ninos-articulo- s1695403317302254 http://www.scielo.org.bo/scielo.php?script=sci_arttext&pid=s1817-74332010000200015 Dres. Ricardo S. Dalamón*, Silvina N. Cantelli*, Diego Jaroslavsky*, Miriam Bruno*, Miguel A. Debuh* y Julio Falk* Tuberculosis congénita. Presentación infrecuente de una enfermedad habitual. Archivos argentinos de pediatría versión impresa ISSN 0325-0075v.106 n.2 Buenos Aires mar./abr. 2008. * Centro Neonatal y Pediátrico (CENYP). Sanatorio y Maternidad Santa Isabel. ricardodalamon@yahoo.com
  • 102.
    GRACIAS POR SUATENCIÓN MEJORAR LOS HÁAAABITOS