PREPARACIONES PARA
RESTAURACIONES CLASE
III, IV
CLASIFICACIÓN DE LAS
PREPARACIONES CLASE III
Estrictamente proximales
VestibuloproximalesLinguoproximales
Linguoproximovestibulares
Proximal con cola de
milano
Preparación Cavitaria
Para sector anterior y
posterior
• Conservar mayor
cantidad de tejido
sano
• Paredes curvas
hacen la
restauración menos
visible
• Unión entre paredes
y ángulos
redondeada
Sector Posterior: No dejar esmalte sin soporte
Fuerza masticatoria – fractura -- caries
Sector Anterior: Si se puede dejar esmalte sin
soporte
No recibe grandes presiones masticatorias,
valor estético superior al material restaurador
Preparación Cavitaria
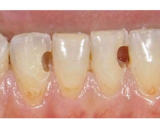
Clase III Estrictamente Proximal
• Diagnóstico
– RX (mayoría de los
casos)
– Transiluminación
• Ubicación
– En el punto de contacto
o ligeramente encima
de él
• Maniobras previas
– Dx pulpar
– Oclusión
– Examen radiográfico
– Morfología
– Profilaxis
– Anestesia
– Aislamiento
–Separación dental
Clase III Estrictamente Proximal
Ventajas de la Separación
Mejor acceso del instrumental rotatoria
Disminuye probabilidad de lesionar diente
vecino
Protección papila gingival
Facilita inserción y polimerización del material
obturador
Mejora las condiciones de terminación de la
restauración
• Preparación
– Contorno de forma
triangular:
– Base gingival, 2 caras
(vestibular y lingual) que se
unen en un vértice incisal
Clase III Estrictamente Proximal
Seguir la inclinación de los prismas del esmalte:
paredes expulsivas
Clase III Estrictamente Proximal
• Apertura
– Desde vestibular en la cara proximal
con una fresa redonda pequeña
• Conformación. Fresa cono
invertido
– Con el costado de la fresa se
preparará la pared vestibular y con
el extremo se preparará el piso
pulpar
– Cambia la posición y con el extremo
de fresa se prepara la pared palatina
y con el costado el piso pulpar
– Cambia la posicion, con la base de la
fresa se prepara el piso gingival y
con el costado el piso pulpar
Pared
vestibular
Piso
pulpar
Pared palatina
Piso pulpar
Pared gingival
Piso pulpar
Clase III Estrictamente Proximal
• Terminar de remover caries
con una fresa redonda del
tamaño adecuado
• Instrumental
cortante de mano
realizar acabado y
pulido
• BISELAR! 1 a 2 mm
Fresa troncocónica
por todo el
contorno cavitario
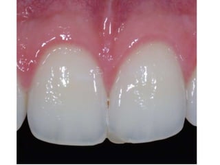
CLASE III de 2 y 3 Superficies
• Además de la
superficie proximal,
involucra la
superficie vestibular,
lingual o ambas.
• Mismas maniobras
previas, pero se
incluye la toma del
color.
• Banda de acero y cuña
proximal
• La apertura se realiza por
la pared mas debilitada,
lingual o vestibular, o
donde exista una
restauración previa
defectuosa.
• Fresa redonda o piriforme
CLASE III de 2 y 3 Superficies
• Contorno: dictado por la
extensión de la caries. Se
puede dejar esmalte sin
soporte, a menos que
esté en contacto directo
con el antagonista
• Remoción del tejido
cariado con cucharilla,
luego con fresa redonda,
poca presión y baja
velocidad.
CLASE III de 2 y 3 Superficies
• Terminación de paredes
• Bisel!
– Sellado marginal
– Retención
– Estética
Puede ser plano (fresa
troncocónica) o cóncavo
(fresa redonda)
Bisel de la cara lingual, sólo
si lo permite la oclusión del
paciente.
CLASE III de 2 y 3 Superficies
PREPARACIÓN PARA
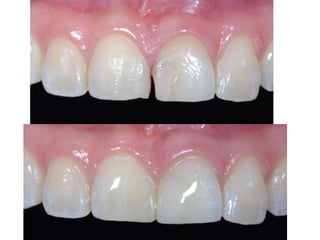
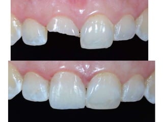
CAVIDADES CLASE IV
CAVIDADES CLASE IV
• Afectan el ángulo
incisal de los dientes
anteriores
– Caries proximal
– Traumatismos
– Defectos del esmalte
– Restauraciones
antiguas
CAVIDADES CLASE IV
• Maniobras previas
– Las mismas que en una clase III
– Mayor probabilidad de patología pulpar
• Posibilidad de realizar el tratamiento en 2 citas
• 1. Impresiones preliminares, registro de mordida,
montaje en articulador, encerado
• 2. Matriz en silicona del encerado en superficie
palatina
CAVIDADES CLASE IV
• Apertura
– Si existe brecha, usar fresa del tamaño de la
brecha para tener acceso a la lesión y determinar
su extensión.
– Puede quedar esmalte sin soporte en vestibular,
pero lo suficiente como para preparar un bisel.
CAVIDADES CLASE IV
• Conformación
– Técnicas adhesivas
permiten tallar
preparaciones más
conservadoras que se
limitan a la eliminación de
la caries sin el tallado
convencional de la
cavidad.
– Redondear ángulos
debilitados
CAVIDADES CLASE IV
• Conformación
– Bisel de todo el borde cavo del esmalte
– Tallado de 1 a 2mm sobre esmalte en ángulo de
45 grados con respecto al borde
CAVIDADES CLASE IV
Preparaciones Clase iii, iv
Preparaciones Clase iii, iv
Preparaciones Clase iii, iv

Preparaciones Clase iii, iv

  • 1.
  • 2.
    CLASIFICACIÓN DE LAS PREPARACIONESCLASE III Estrictamente proximales VestibuloproximalesLinguoproximales Linguoproximovestibulares Proximal con cola de milano
  • 4.
    Preparación Cavitaria Para sectoranterior y posterior • Conservar mayor cantidad de tejido sano • Paredes curvas hacen la restauración menos visible • Unión entre paredes y ángulos redondeada
  • 5.
    Sector Posterior: Nodejar esmalte sin soporte Fuerza masticatoria – fractura -- caries Sector Anterior: Si se puede dejar esmalte sin soporte No recibe grandes presiones masticatorias, valor estético superior al material restaurador Preparación Cavitaria
  • 7.
    Clase III EstrictamenteProximal • Diagnóstico – RX (mayoría de los casos) – Transiluminación • Ubicación – En el punto de contacto o ligeramente encima de él
  • 8.
    • Maniobras previas –Dx pulpar – Oclusión – Examen radiográfico – Morfología – Profilaxis – Anestesia – Aislamiento –Separación dental Clase III Estrictamente Proximal
  • 9.
    Ventajas de laSeparación Mejor acceso del instrumental rotatoria Disminuye probabilidad de lesionar diente vecino Protección papila gingival Facilita inserción y polimerización del material obturador Mejora las condiciones de terminación de la restauración
  • 10.
    • Preparación – Contornode forma triangular: – Base gingival, 2 caras (vestibular y lingual) que se unen en un vértice incisal Clase III Estrictamente Proximal Seguir la inclinación de los prismas del esmalte: paredes expulsivas
  • 11.
    Clase III EstrictamenteProximal • Apertura – Desde vestibular en la cara proximal con una fresa redonda pequeña • Conformación. Fresa cono invertido – Con el costado de la fresa se preparará la pared vestibular y con el extremo se preparará el piso pulpar – Cambia la posición y con el extremo de fresa se prepara la pared palatina y con el costado el piso pulpar – Cambia la posicion, con la base de la fresa se prepara el piso gingival y con el costado el piso pulpar Pared vestibular Piso pulpar Pared palatina Piso pulpar Pared gingival Piso pulpar
  • 12.
    Clase III EstrictamenteProximal • Terminar de remover caries con una fresa redonda del tamaño adecuado • Instrumental cortante de mano realizar acabado y pulido • BISELAR! 1 a 2 mm Fresa troncocónica por todo el contorno cavitario
  • 13.
    CLASE III de2 y 3 Superficies • Además de la superficie proximal, involucra la superficie vestibular, lingual o ambas. • Mismas maniobras previas, pero se incluye la toma del color.
  • 14.
    • Banda deacero y cuña proximal • La apertura se realiza por la pared mas debilitada, lingual o vestibular, o donde exista una restauración previa defectuosa. • Fresa redonda o piriforme CLASE III de 2 y 3 Superficies
  • 15.
    • Contorno: dictadopor la extensión de la caries. Se puede dejar esmalte sin soporte, a menos que esté en contacto directo con el antagonista • Remoción del tejido cariado con cucharilla, luego con fresa redonda, poca presión y baja velocidad. CLASE III de 2 y 3 Superficies
  • 16.
    • Terminación deparedes • Bisel! – Sellado marginal – Retención – Estética Puede ser plano (fresa troncocónica) o cóncavo (fresa redonda) Bisel de la cara lingual, sólo si lo permite la oclusión del paciente. CLASE III de 2 y 3 Superficies
  • 17.
  • 18.
    CAVIDADES CLASE IV •Afectan el ángulo incisal de los dientes anteriores – Caries proximal – Traumatismos – Defectos del esmalte – Restauraciones antiguas
  • 19.
    CAVIDADES CLASE IV •Maniobras previas – Las mismas que en una clase III – Mayor probabilidad de patología pulpar
  • 21.
    • Posibilidad derealizar el tratamiento en 2 citas • 1. Impresiones preliminares, registro de mordida, montaje en articulador, encerado • 2. Matriz en silicona del encerado en superficie palatina CAVIDADES CLASE IV
  • 22.
    • Apertura – Siexiste brecha, usar fresa del tamaño de la brecha para tener acceso a la lesión y determinar su extensión. – Puede quedar esmalte sin soporte en vestibular, pero lo suficiente como para preparar un bisel. CAVIDADES CLASE IV
  • 23.
    • Conformación – Técnicasadhesivas permiten tallar preparaciones más conservadoras que se limitan a la eliminación de la caries sin el tallado convencional de la cavidad. – Redondear ángulos debilitados CAVIDADES CLASE IV
  • 24.
    • Conformación – Biselde todo el borde cavo del esmalte – Tallado de 1 a 2mm sobre esmalte en ángulo de 45 grados con respecto al borde CAVIDADES CLASE IV

Notas del editor

  • #2 Restauraciones clase III realizadas sin tela de caucho asociadoas a una mayor frecuencia de caries que aquellas realizadas con tela de caucho. Fuerzade union mayor si el esmalte era cortado en direccion oblicua a la orientacion de los prismas comparado a una direccion paralela. Menor pigmentacion del margen en preparaciones con bisel Un bisel extenso incrementa la resistencia a la fractura en restauraciones en resina clase IV y hace casi invisible la transicion entre la restauración y el esmalte.