 Campo plástico para la mesa
 Pinza clinica
 Sonda exploradora nq5
 Espejo clinico plano
 Dique de goma
 Arco deYoung
 Perforadora para dique
 Pinza Portaclamp
 Grapas para molares n. 206 a 209
 Escobilla para limpieza de fresas
 Hilo dental
 Contrangulo
 Separador
 Fresas esféricas lisas
 Recortadores de Margen Gingival
 Puntas diamantadas
 Formadores de ángulos 18 y 19
Acceso para instrumentación
La táctica operatoria para la instrumentación de la
cavidad de Clase lll extensa, que envuelve parte de la
cara lingual y vestibular, es un procedimiento mas
simplificado, por causa de visión directa y porque la
lesión de caries restauración que será cambiada es en la
mayoría de veces estrictamente proximal para lesiones
incipientes.
Cuando una lesión de caries proximal o restauración
defectuosa se extiende por las caras vestibular y lingual,
el acceso se puede obtener fácilmente por cualquiera de
las dos caras.
 Técnica de Preparación
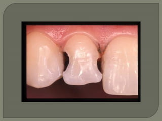
Después de la toma de color (Fig.24 1A) se realiza inicialmente el
aislamiento absoluto del campo operatorio,que debe
comprender los dientes anteriores y los de los primeros
premolares superiores.No es necesario la separación
previa,porque una lesión amplia de Clase lll en la superficie
proximal de un incisivo lateral generalmente envuelve
parte de las caras lingual y vestibular,lo que facilita el
acceso para instrumentación.(Fig.24 1B y C)
 Una cuña de madera es insertada en el espacio
interdentario gingival para alejar la tela de goma y el tejido
blando subyacente y mantener una tira de acero en posición
después de adaptada y bruñida al diente vecino. Estos
procedimientos mejoran el acceso y la visibilidad de las
áreas proximales y gingivales de la lesión de caries o
restauración insatisfactoria, protegiendo la superficie
proximal del diente vecino contra la acción de la boca o
punta diamantada (Fig.24.2a 4).
 Forma de Contorno
Una fresa de carburo s 2 o 3 girando baja velocidad y una
punta diamantada en alta rotación bajo refrigeración
(cuando fuera restauraci6n insatisfactoria de resina
compuesta) son usadas para determinar la forma de
contorno de extensión apropiada.Algún esmalte sin
soporte, pero no enfriable,se puede dejar si no fuera un
área de gran estrés masticatorio (tensión al masticar).
 El contorno externo de la cavidad adquiere la forma de la
restauración preexistente,juntamente con las extensiones
necesarias para incluir caries recurrente, defectuoso estructura
dentaria friable. El contorno externo de la cavidad de Clase lll
convencional es caracterizado por paredes circundantes
perpendiculares a la superficie externa del diente,después del
biselado del margen del esmalte.
 El contorno externo de la cavidad para cambiar
restauraciones tendrá forma y extensión iguales a las de la
antigua restauración (ya que frecuentemente la cavidad
antigua es preparada de forma convencional).
Generalmente, la retención se obtiene por la adhesión en
esmalte y por la geometría interna, y por eso no necesita de
canaletas de retención.
 La instrumentación del contorno interno de la cavidades
finalizada por la remoción de la dentina infectada
remanente con una fresa esférica girando en baja rotación
y/o una pequeña cuchara de dentina, o ambas. La punta de
una sonda exploradora n. 2 puede usarse para detectar y
remover caries remanente de la unión amelodentinaria.
Forma De Retención
El diseño geométrico de la cavidad de Clase lll para
lesiones incipientes preparada en forma de caja por si solo
proporciona condiciones de auto retención. En este caso, la
instrumentación de las paredes circundantes las hace
retentivas por causa del paralelismo entre ellas o por
pequeñas irregularidades internas.
EJ:
 Además, en las lesiones extensas que alcancen parte de la
cara vestibular y lingual, por causa de la ausencia parcial o
de las divergencias entre ellas en sentido axioproximal, las
paredes vestibular y lingual pueden no ser retentivas. De
este modo, cuando se cambia una restauración voluminosa
o se restaura lesión de Clase ll extensa, el operador decidirá
si la retención se debe mejorar con la colocación de
canaletas en el área gingival y/o un orificio en el ángulo
incisal, caracterizando retenciones adicionales a la adhesión
micro mecánica con la estructura dentaria proporcionada
por el ataque acido.
Acabado de las Paredes
Se aplican aquí las mismas razones y justificativas para dar
el acabado de las paredes y márgenes de esmalte descritas,
comentadas y discutidas en las cavidades con acceso
vestibular y con acceso lingual.
 Se debe limpiar y lavar la cavidad de cualquier
debridamiento visible e inspeccionar su profundidad y las
características de la dentina (primaria,reaccional o
reparadora), para decidir sobre cual tipo de protección
(convencional con bases protectoras o hibridizacion
dentinaria) mejor se ajustan con aquellas condiciones.

Grupo 20 2014 1 Odo 225

  • 2.
     Campo plásticopara la mesa  Pinza clinica  Sonda exploradora nq5  Espejo clinico plano  Dique de goma  Arco deYoung  Perforadora para dique  Pinza Portaclamp  Grapas para molares n. 206 a 209  Escobilla para limpieza de fresas  Hilo dental  Contrangulo  Separador  Fresas esféricas lisas  Recortadores de Margen Gingival  Puntas diamantadas  Formadores de ángulos 18 y 19
  • 3.
    Acceso para instrumentación Latáctica operatoria para la instrumentación de la cavidad de Clase lll extensa, que envuelve parte de la cara lingual y vestibular, es un procedimiento mas simplificado, por causa de visión directa y porque la lesión de caries restauración que será cambiada es en la mayoría de veces estrictamente proximal para lesiones incipientes. Cuando una lesión de caries proximal o restauración defectuosa se extiende por las caras vestibular y lingual, el acceso se puede obtener fácilmente por cualquiera de las dos caras.
  • 4.
     Técnica dePreparación Después de la toma de color (Fig.24 1A) se realiza inicialmente el aislamiento absoluto del campo operatorio,que debe comprender los dientes anteriores y los de los primeros premolares superiores.No es necesario la separación previa,porque una lesión amplia de Clase lll en la superficie proximal de un incisivo lateral generalmente envuelve parte de las caras lingual y vestibular,lo que facilita el acceso para instrumentación.(Fig.24 1B y C)
  • 5.
     Una cuñade madera es insertada en el espacio interdentario gingival para alejar la tela de goma y el tejido blando subyacente y mantener una tira de acero en posición después de adaptada y bruñida al diente vecino. Estos procedimientos mejoran el acceso y la visibilidad de las áreas proximales y gingivales de la lesión de caries o restauración insatisfactoria, protegiendo la superficie proximal del diente vecino contra la acción de la boca o punta diamantada (Fig.24.2a 4).
  • 8.
     Forma deContorno Una fresa de carburo s 2 o 3 girando baja velocidad y una punta diamantada en alta rotación bajo refrigeración (cuando fuera restauraci6n insatisfactoria de resina compuesta) son usadas para determinar la forma de contorno de extensión apropiada.Algún esmalte sin soporte, pero no enfriable,se puede dejar si no fuera un área de gran estrés masticatorio (tensión al masticar).  El contorno externo de la cavidad adquiere la forma de la restauración preexistente,juntamente con las extensiones necesarias para incluir caries recurrente, defectuoso estructura dentaria friable. El contorno externo de la cavidad de Clase lll convencional es caracterizado por paredes circundantes perpendiculares a la superficie externa del diente,después del biselado del margen del esmalte.
  • 10.
     El contornoexterno de la cavidad para cambiar restauraciones tendrá forma y extensión iguales a las de la antigua restauración (ya que frecuentemente la cavidad antigua es preparada de forma convencional). Generalmente, la retención se obtiene por la adhesión en esmalte y por la geometría interna, y por eso no necesita de canaletas de retención.  La instrumentación del contorno interno de la cavidades finalizada por la remoción de la dentina infectada remanente con una fresa esférica girando en baja rotación y/o una pequeña cuchara de dentina, o ambas. La punta de una sonda exploradora n. 2 puede usarse para detectar y remover caries remanente de la unión amelodentinaria.
  • 11.
    Forma De Retención Eldiseño geométrico de la cavidad de Clase lll para lesiones incipientes preparada en forma de caja por si solo proporciona condiciones de auto retención. En este caso, la instrumentación de las paredes circundantes las hace retentivas por causa del paralelismo entre ellas o por pequeñas irregularidades internas. EJ:
  • 12.
     Además, enlas lesiones extensas que alcancen parte de la cara vestibular y lingual, por causa de la ausencia parcial o de las divergencias entre ellas en sentido axioproximal, las paredes vestibular y lingual pueden no ser retentivas. De este modo, cuando se cambia una restauración voluminosa o se restaura lesión de Clase ll extensa, el operador decidirá si la retención se debe mejorar con la colocación de canaletas en el área gingival y/o un orificio en el ángulo incisal, caracterizando retenciones adicionales a la adhesión micro mecánica con la estructura dentaria proporcionada por el ataque acido.
  • 13.
    Acabado de lasParedes Se aplican aquí las mismas razones y justificativas para dar el acabado de las paredes y márgenes de esmalte descritas, comentadas y discutidas en las cavidades con acceso vestibular y con acceso lingual.  Se debe limpiar y lavar la cavidad de cualquier debridamiento visible e inspeccionar su profundidad y las características de la dentina (primaria,reaccional o reparadora), para decidir sobre cual tipo de protección (convencional con bases protectoras o hibridizacion dentinaria) mejor se ajustan con aquellas condiciones.