RESINAS ACRILICAS
OBJETIVO Conocer las resinas que se aplican a la prostodoncia parcial fija, así como los diferentes materiales y técnicas.
desarrolladas Usadas en odontología RESINAS ACRILICAS  1 Base para prótesis totales  2 Material de restauración directa para dientes anteriores  3 Fabricación de:  Dientes  Carillas Cucharillas Portaimpresiones Prótesis provisionales  Férulas  Guardas nocturnas Aparatos ortodónticos
La resina acrílica originalmente es clara e incolora, pero puede teñirse con facilidad, de aquí que sea idonea para que se le den los colores y tonos de las estructuras de la boca, como dientes o encía
Según su uso principal, se clasifican en: Para base de dentaduras Para dientes artificiales Para obturación dental
Presentación comercial: Polvo-liquido Geles Láminas o tarjetas plásticas
Según su forma de polimerización pueden ser: Termocurables  Activación química (autopolimerización, autocurado, curado en frío) Fotoactivadas
Termocurables  Prostodoncia Prótesis fija Prótesis removible Ortodoncia
Autopolimerizables Prótesis provisional Portaimpresión individual Mantenedores de espacio Aparatos en ortodoncia Placa base para prótesis Reparación provisional prótesis Obturacióndental
Quimiopolimerizables Función Termopolimerizables Metilmetacrilato Monómero (líquido) Hidroquinona (líquido) Etilenglicol dimetacrilato (líquido o polvo) Amina terciaria (polvo) Polimetilmetacrilato (polvo) Peróxido de benzoilo (polvo) Fibras y colorantes (polvo)  Factor de polimerización Inhibidor de la polimerización en almacén Agentes de cadenas cruzadas Activador Consistencia y aumentar el peso molecular Iniciador  Caracterizador  Metilmetacrilato Monómero (líquido) Hidroquinona (líquido) Etilenglicol dimetacrilato (líquido o polvo) Calor Polimetilmetacrilato (polvo) Peróxido de benzoilo (polvo) Fibras y colorantes (polvo
Ventajas Son económicas, insolubles y biocompatibles No se requiere equipo sofisticado para su manipulación Existen tantas gamas de colores, como variantes de color existen en los tejidos duros y blandos de la cavidad bucal Son de fácil manipulación  Sus propiedades físicas y mecánicas son optimas para su uso
Desventajas Su dureza es menor a la del esmalte del diente, por lo que sufre abrasión cuando se usa en la reconstrucción de áreas oclusales en función En su uso para fabricar bases de dentaduras, su contracción altera las dimensiones verticales de las prótesis Existe el riesgo de permitir que se cultiven hongos bucales (moniliasis)
Etapas fisicoquímicas de la resina acrílicas Primera (arenosa) Segunda (filamentosa o pegajosa) Tercera (plástica) Cuarta (elástica) Quinta (rígida)
Equipo y materiales Provisionales mediatos/enmuflado dental Patron de cera Mufla Yeso tipo II Frasco de boca ancha Pincel Separador yeso acrilico  Agua caliente Resina acrílica termocurables  Prensa Piedra rosa Polvo de piedra pómez  Blanco de España Cepillos para pulido Motor de baja velocidad
Provisionales inmediatos Impresión parcial con alginato Resina acrílica autopolimerizable Modelos de estudio
ENMUFLADO
 
 
 
 
 
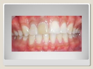
Caracterización.
 
 
 
 
 
 
 
 
 
 
Bibliografia. Kuwata, Atlas a color de tecnología en metal cerámica.  Pujana G. S., José Agustín,  Prostodoncia Parcial Fija y Removible. Fundamentos Básicos,  3° ed., UNAM, FES Iztacala.   Shillinburg; Hobo y Whitsett, fundamentos esenciales de prótesis fija.

Resinas acrilicas

  • 1.
  • 2.
    OBJETIVO Conocer lasresinas que se aplican a la prostodoncia parcial fija, así como los diferentes materiales y técnicas.
  • 3.
    desarrolladas Usadas enodontología RESINAS ACRILICAS 1 Base para prótesis totales 2 Material de restauración directa para dientes anteriores 3 Fabricación de: Dientes Carillas Cucharillas Portaimpresiones Prótesis provisionales Férulas Guardas nocturnas Aparatos ortodónticos
  • 4.
    La resina acrílicaoriginalmente es clara e incolora, pero puede teñirse con facilidad, de aquí que sea idonea para que se le den los colores y tonos de las estructuras de la boca, como dientes o encía
  • 5.
    Según su usoprincipal, se clasifican en: Para base de dentaduras Para dientes artificiales Para obturación dental
  • 6.
    Presentación comercial: Polvo-liquidoGeles Láminas o tarjetas plásticas
  • 7.
    Según su formade polimerización pueden ser: Termocurables Activación química (autopolimerización, autocurado, curado en frío) Fotoactivadas
  • 8.
    Termocurables ProstodonciaPrótesis fija Prótesis removible Ortodoncia
  • 9.
    Autopolimerizables Prótesis provisionalPortaimpresión individual Mantenedores de espacio Aparatos en ortodoncia Placa base para prótesis Reparación provisional prótesis Obturacióndental
  • 10.
    Quimiopolimerizables Función TermopolimerizablesMetilmetacrilato Monómero (líquido) Hidroquinona (líquido) Etilenglicol dimetacrilato (líquido o polvo) Amina terciaria (polvo) Polimetilmetacrilato (polvo) Peróxido de benzoilo (polvo) Fibras y colorantes (polvo) Factor de polimerización Inhibidor de la polimerización en almacén Agentes de cadenas cruzadas Activador Consistencia y aumentar el peso molecular Iniciador Caracterizador Metilmetacrilato Monómero (líquido) Hidroquinona (líquido) Etilenglicol dimetacrilato (líquido o polvo) Calor Polimetilmetacrilato (polvo) Peróxido de benzoilo (polvo) Fibras y colorantes (polvo
  • 11.
    Ventajas Son económicas,insolubles y biocompatibles No se requiere equipo sofisticado para su manipulación Existen tantas gamas de colores, como variantes de color existen en los tejidos duros y blandos de la cavidad bucal Son de fácil manipulación Sus propiedades físicas y mecánicas son optimas para su uso
  • 12.
    Desventajas Su durezaes menor a la del esmalte del diente, por lo que sufre abrasión cuando se usa en la reconstrucción de áreas oclusales en función En su uso para fabricar bases de dentaduras, su contracción altera las dimensiones verticales de las prótesis Existe el riesgo de permitir que se cultiven hongos bucales (moniliasis)
  • 13.
    Etapas fisicoquímicas dela resina acrílicas Primera (arenosa) Segunda (filamentosa o pegajosa) Tercera (plástica) Cuarta (elástica) Quinta (rígida)
  • 14.
    Equipo y materialesProvisionales mediatos/enmuflado dental Patron de cera Mufla Yeso tipo II Frasco de boca ancha Pincel Separador yeso acrilico Agua caliente Resina acrílica termocurables Prensa Piedra rosa Polvo de piedra pómez Blanco de España Cepillos para pulido Motor de baja velocidad
  • 15.
    Provisionales inmediatos Impresiónparcial con alginato Resina acrílica autopolimerizable Modelos de estudio
  • 16.
  • 17.
  • 18.
  • 19.
  • 20.
  • 21.
  • 22.
  • 23.
  • 24.
  • 25.
  • 26.
  • 27.
  • 28.
  • 29.
  • 30.
  • 31.
  • 32.
  • 33.
    Bibliografia. Kuwata, Atlasa color de tecnología en metal cerámica. Pujana G. S., José Agustín, Prostodoncia Parcial Fija y Removible. Fundamentos Básicos, 3° ed., UNAM, FES Iztacala. Shillinburg; Hobo y Whitsett, fundamentos esenciales de prótesis fija.