PROSTODONCIA TOTAL II	CASO CLINICO PRESENTA JOSUE B. PEREZ ORTIZ
FICHA DE IDENTIFICACIONGUILLERMINA CICERO SANCHEZ52 AÑOSESTADO CIVIL “DEJADA”     (SEPARADA)VIVE SOLA COMERCIANTE (VENDE COMIDA)5 HIJAS TODOS CASADOS
ANTECEDENTES HEREDOFAMILIARES PATOLOGICOS	ABUELA PATERNA  FINADA A LOS 75 AÑOS, DESCONOCE LA CAUSA YA QUE NO LA CONOCIOABUELO PATERNO FINADO A LOS 53 AÑOS , DE ALCOHOLISMOABUELA MATERNA FINADA A LOS 83 AÑOS , POR MUERTE NATURALABUELO PATERNO FINADO A LOS 72 AÑOS,     DIABETES
PADRE FINADO A LOS 72 AÑOS, MUERTE NATURALMADRE FINADA  A LOS 68 AÑOS , MUERTE POR DIABETES TIPO IIHIJOS LE SOBREVIVEN TODOS , APARENTEMENTE SANOS SIN ENFERMEDADES METABOLICAS , CARDIOGENICAS Y NEUROLOGICAS
ANTECEDENTES PERSONALES PATOLOGICOS	VARICELA A LOS 8 AÑOS DE EDADAMIGDALITIS DURANTE SU INFANCIA Y ADOLESCENCIATABAQUISMO DE LOS 18 AÑOS A LOS 42 , LO DEJO APARENTEMENTE SI CAUSARLE DAÑO6 GESTAS , 1 MUERTE NEONATAL, 5 HIJOS LE SOBREVIVEN2 CESAREAS SIN COMPLICACIONES
MENOPAUSIA A LOS 48 AÑOS DE EDADGASTRITIS Y COLITIS DESDE LOS 45 AÑOS DE EDAD, CONTROLADA CON RANITIDINA DE 150 mg 1 CADA 24 HORAS , SOLO CUANDO TIENE MOLESTIAS Y BROMURO DE PINAVERIO PARA LA COLITIS, REFIERE NO TENER , HELICOBACTER PILLORY YA QUE LE PRACTICARON UNA ENDOSCOPIA, HACE 6 MESES, COLITIS POR TENSION NERVIOSA
PRESENTA RUIDOS ARTICULARES, LLAMADOS CHASQUIDOS, SIN PRESENCIA DE CREPITACIONESSOBREPESOANODONCIA TOTAL  POR MUTILACIONES MULTIPLES CANDIDA ALBYCANS
EXAMEN FACIAL	TES BLANCA OJO DERECHO DE MAYOR DIAMETRO QUE EL OJO IZQUIERDOOREJA DERECHA CON UNA IMPLANTACION MAS BAJA QUE LA OREJA IZQUIERDANARIZ DE BUEN TAMAÑOSURCOS NASOGENIANOS MUY MARCADOS
EXAMEN FACIAL	CARA OVALADA LABIOS RESECOSEXPRESION DE ANGUSTIA, TRISTEZANOS PRESENTA CICATRICESNO PRESENTA TICKS NERVIOSOS
ANALISIS DE TERCIOSTERCIO SUPERIOR 30%TERCIO MEDIO 36%TERCIO INFERIOR 33%
PERFILCONCAVO?CLASE III ESQUELETAL?PROGNATA?MAXILAR HIPOPLASICO?
PERFIL	PERFIL RECTOCLASE I ESQUELETALBUENA RELACION INTERMAXILAR(MAXILAR Y MANDIBULA EN ARMONIA)PLANO DE FRANKFURT (AGUJERO AUDITIVO EXTERNO, PARTE MAS INFERIOR DE LA ORBITA) VS PLANO FACIAL ( SUTURA FRONTO NASAL CON LA PARTE MAS ANTERIOR INFERIOR DEL MENTON)
ANALISIS INTRAORAL
ARCADA SUPERIOR CLASIFICACIÓN DE OSAWA TIPO IFORMA DE PROCESO “U”LINEA MEDIA COINCIDE CON EL RAFE PALATINOCOLOR ROJO BRILLANTETEXTURA LISAPROCESO ALVEOLAR TIPO IAPARENTEMENTE SIN PRESENCIA DE CANDIDABUENA INSERCION DE LOS FRENILLOS
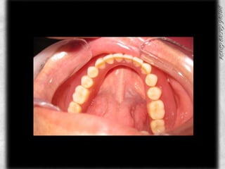
ARCADA INFERIORSIN PRESENCIA DE ORGANOS DENTARIOSCOLORACION ROSABUENA INSERCION DEL FRENILLO LINGUAL PROCESO ALVEOLAR TIPO IIISIN PRESENCIA DE CANDIDASIN ULCERACIONES
ANTECESDENTES PROSTODONTICOSPROSTODONCIA SUPERIOR CON 7 AÑOS DE USO Y DESGASTES EN TODOS LOS DIENTES, SIN PRESENCIA DE SARRO Y CON MOVILIDAD
PROSTODONCIA DEL PACIENTE INFERIORPROSTODONCIA INFERIOR CON BUENA ANATOMIA OCLUSAL EN LOS MOLARESCON 6 MESES DE USOBUEN SELLADO, SOLO SE HIZO LA INFERIOR
ANTERIOR DE PROSTODONCIADOS COLORES DIFERENTES DE ACRILICOSANTIESTETICA
PROCEDIMIENTOS CLINICOS
TOMA DE IMPRESIÓN ANATOMICAIMPRESIÓN SUPERIOR E INFERIOR SE REALIZO CON PORTA IMPRESIONES  TBSPARA  DESDENTADOALGINATO ZHERMACK “HIDROGUM”IMPRESIÓN MUCOESTATICA
MODELO SUPERIOR ANATOMICOEL CUAL SE DELIMITA Y PROXIMAMENTE SE OCUPARA PARA HACER LA CUCHARILLA INDIVIDUAL
MODELO INFERIOR ANATOMICOSE DELIMITA  ASI DE ESTA FORMA SE PODRAN HACER LAS CUCHARILLAS INDIVIDUALES
CUCHARILLAS INDIVIDUALESREALIZADAS CON ACRY JET Color 62TECNICA DE PRESION SELECTIVA
RECTIFICACION DE BORDESRECTIFICACION DE BORDES, CON UN MATERIAL TERMOPLASTICO  MODELINA “KERR”
IMPRESIÓN FISIOLOGICADESPUES DE HABER HECHO LA RECTIFICACION DE BORDES,, SE TOMA LA IMPRESIÓN CON UN MATERIAL LIGERO Y DE GRAN EXACTITUDPOLIETER “IMPREGUM”
SE UTILIZO YESO ZHERMACK ELITE STONE SANDY BROWN
CON EL MODELO FISIOLOGICO SE PODRA HACER LA PLACA BASE CON UN ACETATO DEL NUMERO 80 , 70,60
PLACAS   BASE   ACETATOS
RODILLOSSE PROCEDE A HACER LOS RODILLOS CON CERA EXTRA DURA, Y UN MOLDE ESTANDARD
SE ORIENTARA EL RODILLO SUPERIOR  AY EL INFERIOR A
PLATINA
LINEAS DE REFERENCIAMARCAR LINEA MEDIALINEA DE LOS CANINOS
ASEGURARSE QUE NO PASE NINGUNA LUZ
TOMA DE ARCO FACIALTOMA DE ARCO FACIALARCO FACIAL ARTICULADOR “WHIP MIX SEMIAJUSTABLE”
SPLIT-CAST
MONTAJE DE MODELO SUPERIORMONTAJE DE MODELO SUPERIOR EN ARTICULADOR  SEMIAJUSTABLE “WHIP MIX”
TOMA DE ARCO GOTICOSE UTILIZO COMO PASTA DE REGISTRO, OXIDO DE ZINC CON ALCOHOL
ARCO GOTICO
FIJAR RODILOS
MONTAJE DEL MODELO INFERIOR
SELECCION DE DIENTESTRILUX     T 41                 COLOR A2, 6247 mm DISTANCIA DE CANINO A CANINO.
MONTAJE DE DIENTES ANTERIORES
MONTAJE DIENTES POSTERIORES
FESTONEADO
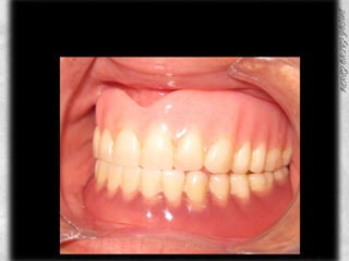
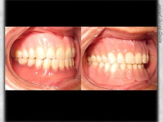
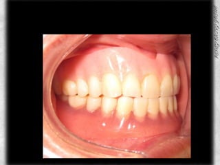
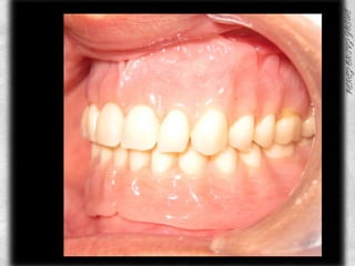
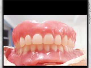
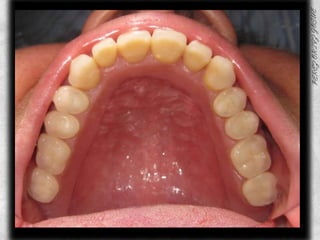
PROTESIS TERMINADA
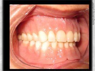
AJUSTE OCLUSAL
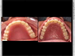
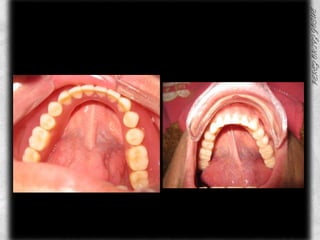
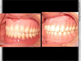
COMPARATIVOS
EN CONCLUSION
GOOD JOB!!
BUEN EQUIPO
BIBLIOGRAFIAPROSTODONCIA  IIOZAWA DEGUCHI JOSE Y. “ PROSTODONCIA TOTAL “  UNIVERSIDAD NACIONAL AUTONOMA DE MEXICO , CIUDAD UNIVERSITARIA , PRIMERA REIMPRESION 1995BARTOLI LILIA “PROTESIS REMOVIBLES CLASICAS E INNOVACIONES” EDITORIAL AMOLCABERNAL ARCINIEGA RUBEN,  “PROSTODONCIA TOTAL “ EDITORIAL TRILLAS SEGUNDA EDICION MEXICO DF

Prostodoncia Total