MICOLOGÍA CLÍNICA
DOCENTE: Mg. TM. JOEL YARINGAÑO GONZALES
CORREO: d.jyaringano@upla.edu.pe
CEL: 951473107
SEMANA 13 – MICOSIS
OPORTUNISTAS
⦁ Su frecuencia ha aumentado considerablemente en las últimas décadas.
⦁ Mayor riesgo en personas sometidas a trasplantes de médula ósea y sangre
periférica de progenitores, trasplantes de órganos sólidos y cirugía mayor
(sobre todo en tubo digestivo); así como los pacientes con SIDA o con
enfermedades neoplásicas sometidos a tratamientos inmunodepresores,
ancianos y niños prematuros.
⦁ Los agentes más conocidos son Candida albicans, Cryptococcus
neoformans y Aspergillus fumigatus; aunque existen diversos hongos
oportunistas y cada vez se descubren más.
⦁ Algunos de estos hongos ofrecen resistencia al tratamiento con azoles o
polienos y se debe usar tratamientos alternativos y cirugías.
Infecciones por levaduras
Superficiales • Mucosas : Candida, Saccharomyces, Trichosporon
• Piel : Candida, Trichosporon, Malassezia
• Uñas : Candida, Malassezia
• Funguria : Candida, Saccharomyces,
Trichosporon , Cryptococcus
• Sistémica o Invasora
Fungemia
Localizada
Diseminada
Candida, Cryptococcus, Trichosporon ,
Saccharomyces, Rhodotorula , Malassezia
Invasoras
Género Candida
163 especies
Patógenas: ~15 :
Agente más frecuentemente aislado: C. albicans
Emergencia de especies no-albicans como
patógenos.
C. glabrata, C. dubliniensis, C. tropicalis, C. parapsilosis,
C. guilliermondii , C. krusei
Pueden formar biopelículas ( biofilms )
Morfología
- Blastoconidios : Levadura
unicelular , esféricas u ovoideas-
reproducción por brotación .
- Pseudohifas o
pseudomicelio (levaduras
alargadas que asemejan tubos)
Candida glabrata nunca forma
micelio o pseudomicelio
- Hifas verdaderas
• Habitat : Microbiota: Piel, mucosas, cavidad oral ,
tracto respiratorio, gastrointestinal y genitourinario
del ser humano (15-60% de población sana).
Candidiasis endógenas
Manos personal
de salud
Candidiasis
exógenas
reservorio oral o digestivo
origen más frecuente
Brotes de candidiasis nosocomial en UCI
Dermatitis del pañal (asociada a contaminación fecal)
Candidiasis oral neonatal (más común en niños cuyas madres padecen una
candidiasis vaginal en el momento del parto)
CLASIFICACIÓN CANDIDIASIS
MICROBIOLOGÍA
CLÍNICA
Abarca, García, Vial
Ediciones U. Católica
de Chile
2001
PATOGÉNESIS
HOSPEDERO
AMBIENTE
HONGO
Respuesta inmune
(celular)
*Mecanismos
locales de defensa:
barrera epitelial,
péptidos
antimicrobianos,
IgA secretora,
saliva (lisozima,
lactoferrina).
*Condiciones locales
*Adhesinas, hidrofobicidad, unión
proteína-proteína vía integrinas,
proteínas tipo lectinas.
FACTORES DE RIESGO
• Fisiológicos: embarazo, vejez, infancia.
• Traumáticos: infección de quemaduras.
• Hematológicos: deficiencia inmune celular, SIDA,
enfermedad granulomatosa crónica, anemia aplástica,
leucemia, linfoma....
• Endocrinológicos: Diabetes, hipoparatiroidismo,
enfermedad de Addison.
• Iatrogénicos: Anticonceptivos orales, antibióticos,
esteroides, quimioterapia, catéteres...
Candidiasis :mucosas
- Mucosa oral : C.oral- C.orofaríngea
(algorra, estomatitis)
• Sujetos susceptibles:
• Recién nacidos y ancianos
 Prótesis orales
 Asmáticos en tratamiento con corticoides inhalatorios
 Pacientes con SIDA (signo centinela)
C. ORAL Y
SIDA
ALGORRA DEL RN
C. ORAL Y SIDA
Queilitis
- Candidiasis de mucosa
gastrointestinal
- Mucosa esofágica-
esofagitis, gastritis, enteritis,
enfermedad perianal
- Mucosa Genital :
Vulvovaginitis
Balanitis
• Infección causada normalmente por C. albicans, aunque otras
especies han sido implicadas (C. glabrata).
Candidiasis vulvovaginal (CVV)
(diabetes,
No complicada
Esporádica o infrecuente
Cuadro leve a moderado
Probablemente producida por C. albicans
Hospedero normal, en mujeres no embarazadas
Complicada
Recurrente
Severa
Producida por especies de Candida no-albicans
Hospedero con enfermedad de base
inmunosupresión)
*Am. J. Obstet. Gynecol. 1998; 178: 203-211
Se manifiesta como una descarga o flujo
blanquecino, grumoso (“leche cortada”).
Produce mucha irritación, escozor y prurito
local.
Factorespredisponentes
Contraceptivos orales con alto contenido de estrógenos
Terapia de reemplazo estrogénica
Embarazo
Diabetes mal controlada
Deficiencias de Fe ?
edad
Ropa muy ajustada o sintética ?
Sexo orogenital
Alteracion en la inmunidad ?
Actividad sexual
Uso de antibióticos de amplio
espectro.
Uso de corticoides :sistema inmune
Uso de dispositivos intrauterinos, diafragmas
Jabones o desodorantes perfumados.
Duchas vaginales
Infeccion VIH +
- Intértrigo de grandes pliegues :
axilas, ingle, interglúteo, perineo,
submamario
Factores predisponentes : Obesidad ,
diabetes
Predilección por áreas húmedas del cuerpo (áreas
intertriginosas), que se forman por maceración y oclusión.
Localización más frecuente :
Pliegues cutáneos ........ HUMEDAD
Candidiasis cutáneas
Piel
• “Dermatitis de pañal”, Candidiasis del
pañal : intértrigo del lactante en
pliegues inguinales, suprapúbico e
interglúteo.
• Foliculitis : infección del folículo piloso
pacientes VIH (+) .
• “ Erosión interdigital” :
dedos manos y pies.
Onicomicosis (con paroniquia y perionixis)
• Se manifiesta como paroniquia (aguda o
crónica).
• Inflamación periungueal con
dolor y enrojecimiento .
• Fases agudas con descarga
de pus.
• Uña engrosada , endurecida
de color pardo .
• Individuos que sumergen mucho las manos
en agua (lavanderas, cocineras).
CANDIDIASIS MUCOCUTÁNEA CRÓNICA
• Infección oportunista de piel y
mucosas
• Asociada a defectos genéticos que
incluyen:
Función leucocitaria comprometida (RI
celular)
Trastornos del sistema endocrino
displasia tímica, enfermedad granulomatosa
crónica.
Diagnóstico de
Laboratorio
Examen Microscópico Directo
Identificación delAgente
Cultivo
Toma de Muestras
Sospecha Clínica
Médico
Informe Preliminar
Sensible, específico y rápido
Informe Final
Examen Microscópico directo
Observación al fresco
material clínico con o sin
solución clarificadora y/o
colorante.
Clarificadoras : KOH 10- 40%
Colorantes : Tinta Parker Quink
Tinciones
Gram , Giemsa
Blanco-
Calcofluor
Cultivo
Aislamiento Primario :
Agar Sabouraud Glucosado: Colonias
blancas , cremosas : 24-48 h a 25-37 °C
• Selectivos : ASG + antibiótico +
cicloheximida
• Diferencial : agares cromogénicos .
Identificación
Pruebas morfológicas, fisiológicas y bioquímicas
- Tubos germinales
- Microcultivo
- Medios cromogénicos (Chromagar)
- Fermentación y asimilación de azúcares
Identificación Género Candida :
Convencional
-Tubo Germinal
- Microcultivo: Blastoconidios,Pseudohifas,
Clamidoconidios,Hifas verdaderas
C. parapsilosis
C tropicalis
C krusei C. glabrata
Asimilación de hidratos de Carbono y Nitrógeno:
Auxanograma
Medios cromógenos
ureasa
Métodos fisiológicos
• API 20 C AUX
• API ID 32 C
• Vitek 2 (YBC)
• Auxacolor
• YT Microplate
• Candifast
• Fungichrom I
• Auxanograma
con discos
S > 95%, E > 95%
Affirm VPIII : Uso de una sonda comercial
detecta ADN de Candida en las
muestras”
• < 1 hora
• Candida
– S 75-82%, E 96-98%
• Gardnerella
– S 75-82%, E 96-98%
• Trichomonas
– S 75-82%, E 96-98%
Candida dubliniensis
Inicialmente identificada como C. albicans
Sullivan et al, 1995
Asociada con colonización e infección de la cavidad oral
de pacientes VIH (+ ) / SIDA
Recientemente, infecciones sistémicas en VIH (+) u otras
inmunodeficiencias .
C. albicans y C. dubliniensis comparten
caracteristicas fenotípicas.
* Tubo germinal positivo
* ChromAgar : C. albicans : colonia verde claro,
C dubliniensis : colonia verde oscura
S cerevisiae : levadura ascosporada .
Elaboración de vino ,cerveza y pan .
Vaginitis por Saccharomyces cerevisiae
En un caso se pudo demostrar que la cepa causal de
un episodio de vaginitis era la misma que se obtenia
de los dedos del esposo de la paciente y de la
levadura con que elaboraba pizza en un
establecimiento de su propiedad.
Agente causal de vaginitis y de balanitis en sus parejas.
Wilson et al. Bread making as a source of vaginal infection with Saccharomyces cerevisiae . Report of a case in a
woman and apparent transmission to her partner. Sex Transm Dis 1988.
Nyirjesy et al : Saccharomyces cerevisiae vaginitis : Transmission from yeast used in baking Obstet Gynecol 1995.
Saccharomyces
Candidiasis invasora
• Enfermedad infecciosa grave causada por
diferentes especies de Candida en
personas debilitadas o inmunodeficientes
• Puede afectar
– a un órgano: endocarditis, meningitis,
candidiasis renal, candidiasis hepática
– a varios órganos simultáneamente:
Candidiasis diseminada
– al aparato circulatorio: Candidemia
Porqué Candida produce
enfermedad si es parte de la
microbiota normal ?
Condiciones que lo permiten:
Aumento en número : uso de antibióticos
aumento de humedad y temperatura.
• Adherir
•Invadir : desde el intestino a través de
células ej. uso de catéteres .
Candidiasis invasora
• Candida albicans (~ 50%)
• Otras especies relevantes:
• C. glabrata
• C. parapsilosis
• C. tropicalis
• C. krusei
• Formas diseminadas y focales
• Biopelículas (catéteres y prótesis)
• Infecciones recalcitrantes:
Resistencia
Adultos
• Hospitalización prolongada en UCI
• Falla renal
• Hemodiálisis
• Antibióticos amplio espectro
• Catéter venoso central
• Nutrición parenteral
• Drogas inmunosupresivas
• Cancer y quimioterapia
• Pancreatitis severa aguda
• Colonización por Candida en múltiples
sitios
• Cirugía
• Transplante
 Lactantes y niños
 Inmunosupresión
 Antibióticos de amplio espectro
 Cateter venoso central
 Hiperalimentación
 Cirugía abdominal /perforación
 Hemodiálisis
 Neonatos
 Edad gestational - Prematuro
 Ruptura prolongada de membranas
 Intubación
 Cefalosporinas tercera-generación
 Malformaciones congénitas
Factores de riesgo
Candidiasis invasora
ojo
Pulmón-Neumonía
hígado
riñon
Candidemia
Invasión de órganos
Cerebro-Meningitis
Candidemia
asociada a
catéter
Candidiasis
aguda
diseminada
Candidiasis
crónica
diseminada
Candidiasis
profunda
multiorgánica
Artritis
osteomielitis
miositis
Hueso-articulaciones
Corazón- Endocarditis
bazo
Peritonitis
Patogenia
• Multiplicación y adhesión ( colonización de
mucosas ) Adhesinas:Als1, Ala1p, Hwp, Int1, Mnt1p
• Dimorfismo
• SECRECIÓN DE ENZIMAS : presentes en el extremo apical
del tubo germinativo ) proteasas, fosfolipasas.
Aspartilproteasas (Saps), fosfolipasas (Plb1)
Factores de virulencia están controlados por múltiples
genes diferentes
- HEX1 (hexosaminidasa)
- SAP1, SAP2, SAP3 y SAP4 (proteinasas)
- INT1 ( producir tubos germinales y adhesión)
Control y diseminación de la enfermedad ( estado
inmune del hospedero )
•Candida albicans presenta mayor virulencia
•Está asociada a su habilidad para:
– Evadir a los mecanismos de defensa del hospedero
– resistir al tratamiento antifúngico
– lesionar las células y tejidos que invade
Candidiasis Invasora
Candidiasis
invasora
DIAGNÓSTICO DE LABORATORIO
• MUESTRAS CLÍNICAS: • TÉCNICAS DIAGNÓSTICAS:
 Raspados de piel y fanéreos
 Secreciones (heridas, flujo vaginal)
 Líquidos de cavidades estériles (sangre,
LCR, L. pleural, L. peritoneal, L.
pericárdico, L. articular)
 Lavado bronquio-alveolar (LBA)
 Cuerpos implantables (catéteres,
prótesis)
 Biopsias
 Examen Microscópico directo
 Cultivo (Agar Sabouraud y Agar
Sangre
 Identificación :Tubo germinativo,
Microcultivo
Bioquímica (asimilación de azúcares)
 Agares cromogénicos
 Detección de componentes
estructurales y productos
metabólicos (antígenos, enolasa,
arabinitol)
 Histología
Superficiales
Profundas
Hemocultivo
Diagnóstico de Candidiasis invasora
• Complicado:
– Obtención de aislamientos en cultivo a partir de
muestras estériles (hemocultivos, LCR, biopsias…)
– Visualización de Candida en biopsias
– Detección de antígenos o anticuerpos
• Sensibilidad y especificidad baja
– Hemocultivos positivos o Candida en los tejidos
como diagnóstico definitivo
HISTORIA
 1894, Sanfelice descubre la levadura
encapsulada en el zumo de durazno,Italia.
 Busse y Buschke, lesión ulcerosa, tibia, Alemania
 Curtis, 1896, saccaromicosis humana
 1905,Van Hauseman, 1º reporte de Meningitis
criptocococica.
 1950, Emmons comunicó el aislamiento de la
cepa virulenta en el suelo de corrales.
 Criadores de paloma, infección demostrada (Ac), mas no
enfermedad.
 Descrito en Koalas.
SINONIMOS
Saccharomyces neoformans
Blastomyces neoformans
Cryptococcus hominis
Torula histolytica
C. neoformans: Características Generales
Cápsula
diámetro celular: 2.5 µm a 10 µm
Brote
• Hongo basidiomiceto levaduriforme oportunista capaz de causar meningitis en el humano
• Levadura dimórfica (Basidiomiceto)
• medios ricos y muestras clínicas: forma de levadura,
• medios pobres en nitrógeno y/o desecados: forma filamentosa
• Pared celular
• Cápsula
• 1,3-manano, ramificaciones monosacarídicas de xilosa y ácido glucorónico (GMX)
• Se reproduce por brotación
• Suelo
• pH de 4.0 a 7.5


a
a

a
Características Generales
• Ciclo sexual:
• Heterotálica
• Forma perfecta –
Filobasidiella neoformans
• Filamentación haplóide –
produce basidiosporos –
sin fusión de clampas de
conección
Características Generales
• Variedades de Cryptococcus neoformans
• neoformans
• grubii
• gattii (especie o variedad?)
• Serotipo
• A
• D
• B
• C
Características Generales
• Variedad vs Serotipos de Cryptococcus
neoformans
• neoformans – serotipo D
• grubii – serotipo A
• gattii – serotipo B y C
• serotipo AD
Ecobiologia
• Distribución geográfica: serotipo – diferencia en estructura de
polisacárído capsular
• Serotipo A – presente en zonas temperadas (C. neoformans
var grubii)
• Serotipo D – ubíquo (C. neoformans var neoformans)
• Serotipo AD – zonas temperadas; presencia de dos
serotipos
• Serotipo B – regiones tropicales y subtropicales (C.
neoformans var gattii)
• Serotipo C – regiones tropicales y subtropicales (C.
neoformans var gattii)
Ecobiologia
• Medio ambiente en madera en
descomposición
• No transmisión de persona a persona –
transplante de órganos
• Transmisión animal-persona nunca fué
documentado
• No es un comensal
• Presente en aves y sus excretas –
palomas
• Prevalencia de tipo sexual 
Murray et al, 2002
Vía de ingreso: inhalación
EPIDEMIOLOGÍA
 Distribución mundial
 No hay diferenciación en edad o raza
 Igual en ambos sexos, niños antes de la pubertad es casi
inexistente.
 Predisposición: Uso de corticoides
LES , HIV+, SIDA
Criptococosis - Manifestaciones
clínicas
Pulmonar
Meningitis
Cutánea
Osea
Ocular
 otras
Lesiones pequeñas de
criptococosis cutánea
A) Lesión ulcerada de piel en paciente HIV
B) Lesión nodular de piel causada por C.
neoformans.
A B
Patogénesis
inhalación
cápsula
Defensas huésped:
Macrófagos pulmón
Diseminación
sanguínea
CEREBRO y MENINGES
Otros órganos:
piel, nódulos linfáticos, etc.
Factores de Virulencia
• Cápsula
• Producción de Melanina
• Capacidad de desarrollo a 37C
• Constitución de la Cápsula
• GXM – glucuronoxylomananos – predominante (88%)
• GalXM – galactoxilomanana – 7%
• MP – manoproteína
• Biosíntesis de lacápsula todavía no definida
• Cápsula importante para activación del complemento
• Tamaño de la cápsula no importante para la virulencia
Producción de la Cápsula
Células encapsuladas en LCR
Cápsula
– fierro + fierro
Cápsula Cápsula
Producción de la Cápsula
Condiciones ambientales: Alta concentración de CO2 y baja concentración de Fierro
Melanina
 Pigmentos de alto peso molecular
 Formados por polimerización de compuestos difenólicos
 Usualmente son de color marrón oscuro o negro
CLINICAL MICROBIOLOGY REVIEWS, 2000, 13(4):708–717
BSL-2/3
 Sukroongreung y col., 1998, basidiosporas son los propágulos mas
infecciosos
 Cuando se trabaje con cruce de cepas
DIAGNOSTICO DE
LABORATORIO
EXAMEN MICROSCOPICO:
Tinta China
Tinta China Modificada, JCM; 1996,
34(9):2290–2291
TINCIONES PERMANENTES:
Gram , PAS , Alcian Blue
Mucicarmín Mayer Modificado, Quadex;
1997, 1:1-3
Otros.
DIAGNOSTICO DE LABORATORIO
CULTIVO:
Agar Sabouraud.
Agar Chocolate.
Agar Guizottia abyssinica, fenoloxidasa
Chromagar.
AHM-T80: no hifas, no pseudohifas, levaduras
PRUEBAS INMUNOLOGICAS:
Aglutinación en látex
EIA, PCR, otras.
Material Fibrilar
Estrato Lúcido
Zona Clara
Ulceras grandes y profundas de piernas izq. (a) y der. (b).
C. neoformans en pus, técnica tinta china (c)
MUCHAS GRACIAS
NEUMOCISTOSIS
HISTORIA
Carlos Chagas lo
encontró en ratones en
1909
Descrito por primera vez
como Pneumocysitis
carini (Delanoe y
Delanoe, 1912)
En 1926 Wenyon lo
clasifico como protozoo
de la clase sporozoa
Hasta finales de los años
80 se consideró que era
un protozoo, pero el
análisis del ADN
demostró en 1988 que
es un hongo.
En 1999 pasa a
llamarse Pneumocysitis
jiroveci.
Nuevo nombre para el Pneumocystisdel humano: Pneumocystis jiroveci, Rev Panam Salud Publica vol.12 no.4 Washington Out. 2002
EPIDEMIOLOGIA
 Es una enfermedad cosmopolita y afecta principalmente a pacientes
inmunocomprometidos, sobre todo a aquellos infectados por el virus de la
inmunodeficiencia humana (VIH).
 Se ha estimado que hasta un 75% de los pacientes con sida desarrollarán un evento de
PJP durante su vida.
 Lactantes prematuros o desnutridos.
 Otras causas frecuentemente relacionadas con la infección es en pacientes con
enfermedades hematológicas o con presencia de tumores sólidos y trasplantes de
órganos.
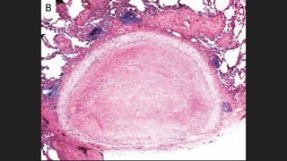
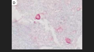
MORFOLOGIA
 Su taxonomía es dentro del reino fungi pero comparte
características morfológicas Y biológicas de un protozoo.
 Hongo unicelular atípico, ubicuo, extracelular.
 Formas quísticas (quiste) redondeadas de 4 - 6 µm de
diámetro tiene pared gruesa rica en beta-1,3 D glucano.
 Los quistes liberan 8 formas tróficas (trofozoitos) ameboides,
mononucleadas, de 2 - 8 µm de diámetro y en su superficie
presentan pequeñas prolongaciones llamadas filopodios
Formas quísticas
Formas tróficas
http://www.facmed.unam.mx/deptos/microbiologia/micologia/neumocistosis.html
TRANSMISION Y CICLO BIOLOGICO
Se transmite a través del aire, por secreciones
bronquiales exhaladas por los portadores y
enfermos
El MO se encuentra muy difundido en la naturaleza,
en numerosas especies de mamíferos incluido el
ser humano.
Es infectante en cualquiera de sus estados
evolutivos.
El humano es asintomático hasta que su sistema
inmune esta comprometido.
Se establecen en los espacios aéreos alveolares, y
bronquiolares, así como en la pared de los
alveolos.
Quiste
Prequiste
Trofozoitos
PATOGENIA
Infecta y reside casi exclusivamente en la superficie de los alveolos pulmonares en
donde las formas tróficas, a través de sus filópodos e integrinas (glicoproteínas) del
hospedero, se adhieren específicamente a los neumocitos tipo I y se nutren del líquido
alveolar y otras células.
El beta-1-3 d-glucano, es el responsable de la respuesta inflamatoria pulmonar en el
huésped infectado.
Causan lisis de neumocitos y originan reacción inflamatoria con linfocitos y células
plasmáticas, exudado intraalveolar, edema interalveolar obstruyendo los bronquiolos,
comprometiendo la hematosis
Francisco Biagi Filizola, DR. ENFERMEDADES PARASITARIAS . México : Editorial El Manual Moderno 2004. 4a.
http://www.facmed.unam.mx/deptos/microbiologia/micologia/neumocistosis.html
CUADRO CLINICO
La enfermedad
evoluciona en
semanas, con fiebre y
tos seca.
La fatiga es uno de los
principales síntomas del
paciente.
Disnea, cianosis,
taquipnea, taquicardia,
perdida de peso y dolor
intercostal.
El cuadro puede
progresar en pocos días
o en semanas (3 – 4
semanas) y persistir.
En rx se ve similar a la
neumonía intersticial
Neumotórax o derrame
pleural.
Elevación de LDH
puede ser de mal
pronostico.
Los pacientes con
infección por VIH
presentan un desarrollo
subagudo con síntomas
de infección más
prolongados
Neumocistosis
extrapulmonar
Francisco Biagi Filizola, DR. ENFERMEDADES PARASITARIAS . México : Editorial El Manual Moderno 2004. 4a.
http://www.facmed.unam.mx/deptos/microbiologia/micologia/neumocistosis.html
DIAGNOSTICO
 Es difícil de diagnosticar, la clínica de ningún modo
puede dar certeza ya que la auscultación torácica
en general es normal.
 Pruebas de laboratorio.
 Pruebas serológicas (inmunoflorescencia),
determinación de búsqueda de 1-3 glucanos en
suero.
 PCR (técnica más sensible y específica).
 Estudios de gabinete (Rx y TAC).
Francisco Biagi Filizola, DR. ENFERMEDADES PARASITARIAS . México : Editorial El Manual Moderno 2004. 4a.
SIN CONOCIMIENTO,
NO HAY CIENCIA

SEMANA 13 - MICOSIS OPORTUNISTAS.pdf

  • 1.
    MICOLOGÍA CLÍNICA DOCENTE: Mg.TM. JOEL YARINGAÑO GONZALES CORREO: d.jyaringano@upla.edu.pe CEL: 951473107 SEMANA 13 – MICOSIS OPORTUNISTAS
  • 2.
    ⦁ Su frecuenciaha aumentado considerablemente en las últimas décadas. ⦁ Mayor riesgo en personas sometidas a trasplantes de médula ósea y sangre periférica de progenitores, trasplantes de órganos sólidos y cirugía mayor (sobre todo en tubo digestivo); así como los pacientes con SIDA o con enfermedades neoplásicas sometidos a tratamientos inmunodepresores, ancianos y niños prematuros. ⦁ Los agentes más conocidos son Candida albicans, Cryptococcus neoformans y Aspergillus fumigatus; aunque existen diversos hongos oportunistas y cada vez se descubren más. ⦁ Algunos de estos hongos ofrecen resistencia al tratamiento con azoles o polienos y se debe usar tratamientos alternativos y cirugías.
  • 3.
    Infecciones por levaduras Superficiales• Mucosas : Candida, Saccharomyces, Trichosporon • Piel : Candida, Trichosporon, Malassezia • Uñas : Candida, Malassezia • Funguria : Candida, Saccharomyces, Trichosporon , Cryptococcus • Sistémica o Invasora Fungemia Localizada Diseminada Candida, Cryptococcus, Trichosporon , Saccharomyces, Rhodotorula , Malassezia Invasoras
  • 4.
    Género Candida 163 especies Patógenas:~15 : Agente más frecuentemente aislado: C. albicans Emergencia de especies no-albicans como patógenos. C. glabrata, C. dubliniensis, C. tropicalis, C. parapsilosis, C. guilliermondii , C. krusei Pueden formar biopelículas ( biofilms )
  • 5.
    Morfología - Blastoconidios :Levadura unicelular , esféricas u ovoideas- reproducción por brotación . - Pseudohifas o pseudomicelio (levaduras alargadas que asemejan tubos) Candida glabrata nunca forma micelio o pseudomicelio - Hifas verdaderas
  • 6.
    • Habitat :Microbiota: Piel, mucosas, cavidad oral , tracto respiratorio, gastrointestinal y genitourinario del ser humano (15-60% de población sana). Candidiasis endógenas Manos personal de salud Candidiasis exógenas reservorio oral o digestivo origen más frecuente Brotes de candidiasis nosocomial en UCI Dermatitis del pañal (asociada a contaminación fecal) Candidiasis oral neonatal (más común en niños cuyas madres padecen una candidiasis vaginal en el momento del parto)
  • 7.
  • 8.
    PATOGÉNESIS HOSPEDERO AMBIENTE HONGO Respuesta inmune (celular) *Mecanismos locales dedefensa: barrera epitelial, péptidos antimicrobianos, IgA secretora, saliva (lisozima, lactoferrina). *Condiciones locales *Adhesinas, hidrofobicidad, unión proteína-proteína vía integrinas, proteínas tipo lectinas.
  • 9.
    FACTORES DE RIESGO •Fisiológicos: embarazo, vejez, infancia. • Traumáticos: infección de quemaduras. • Hematológicos: deficiencia inmune celular, SIDA, enfermedad granulomatosa crónica, anemia aplástica, leucemia, linfoma.... • Endocrinológicos: Diabetes, hipoparatiroidismo, enfermedad de Addison. • Iatrogénicos: Anticonceptivos orales, antibióticos, esteroides, quimioterapia, catéteres...
  • 10.
    Candidiasis :mucosas - Mucosaoral : C.oral- C.orofaríngea (algorra, estomatitis) • Sujetos susceptibles: • Recién nacidos y ancianos  Prótesis orales  Asmáticos en tratamiento con corticoides inhalatorios  Pacientes con SIDA (signo centinela) C. ORAL Y SIDA
  • 11.
    ALGORRA DEL RN C.ORAL Y SIDA Queilitis
  • 12.
    - Candidiasis demucosa gastrointestinal - Mucosa esofágica- esofagitis, gastritis, enteritis, enfermedad perianal - Mucosa Genital : Vulvovaginitis Balanitis
  • 13.
    • Infección causadanormalmente por C. albicans, aunque otras especies han sido implicadas (C. glabrata). Candidiasis vulvovaginal (CVV) (diabetes, No complicada Esporádica o infrecuente Cuadro leve a moderado Probablemente producida por C. albicans Hospedero normal, en mujeres no embarazadas Complicada Recurrente Severa Producida por especies de Candida no-albicans Hospedero con enfermedad de base inmunosupresión) *Am. J. Obstet. Gynecol. 1998; 178: 203-211 Se manifiesta como una descarga o flujo blanquecino, grumoso (“leche cortada”). Produce mucha irritación, escozor y prurito local.
  • 14.
    Factorespredisponentes Contraceptivos orales conalto contenido de estrógenos Terapia de reemplazo estrogénica Embarazo Diabetes mal controlada Deficiencias de Fe ? edad Ropa muy ajustada o sintética ? Sexo orogenital Alteracion en la inmunidad ? Actividad sexual Uso de antibióticos de amplio espectro. Uso de corticoides :sistema inmune Uso de dispositivos intrauterinos, diafragmas Jabones o desodorantes perfumados. Duchas vaginales Infeccion VIH +
  • 15.
    - Intértrigo degrandes pliegues : axilas, ingle, interglúteo, perineo, submamario Factores predisponentes : Obesidad , diabetes Predilección por áreas húmedas del cuerpo (áreas intertriginosas), que se forman por maceración y oclusión. Localización más frecuente : Pliegues cutáneos ........ HUMEDAD Candidiasis cutáneas
  • 16.
    Piel • “Dermatitis depañal”, Candidiasis del pañal : intértrigo del lactante en pliegues inguinales, suprapúbico e interglúteo. • Foliculitis : infección del folículo piloso pacientes VIH (+) . • “ Erosión interdigital” : dedos manos y pies.
  • 17.
    Onicomicosis (con paroniquiay perionixis) • Se manifiesta como paroniquia (aguda o crónica). • Inflamación periungueal con dolor y enrojecimiento . • Fases agudas con descarga de pus. • Uña engrosada , endurecida de color pardo . • Individuos que sumergen mucho las manos en agua (lavanderas, cocineras).
  • 18.
    CANDIDIASIS MUCOCUTÁNEA CRÓNICA •Infección oportunista de piel y mucosas • Asociada a defectos genéticos que incluyen: Función leucocitaria comprometida (RI celular) Trastornos del sistema endocrino displasia tímica, enfermedad granulomatosa crónica.
  • 19.
    Diagnóstico de Laboratorio Examen MicroscópicoDirecto Identificación delAgente Cultivo Toma de Muestras Sospecha Clínica Médico Informe Preliminar Sensible, específico y rápido Informe Final
  • 20.
    Examen Microscópico directo Observaciónal fresco material clínico con o sin solución clarificadora y/o colorante. Clarificadoras : KOH 10- 40% Colorantes : Tinta Parker Quink Tinciones Gram , Giemsa Blanco- Calcofluor
  • 21.
    Cultivo Aislamiento Primario : AgarSabouraud Glucosado: Colonias blancas , cremosas : 24-48 h a 25-37 °C • Selectivos : ASG + antibiótico + cicloheximida • Diferencial : agares cromogénicos .
  • 22.
    Identificación Pruebas morfológicas, fisiológicasy bioquímicas - Tubos germinales - Microcultivo - Medios cromogénicos (Chromagar) - Fermentación y asimilación de azúcares
  • 23.
    Identificación Género Candida: Convencional -Tubo Germinal - Microcultivo: Blastoconidios,Pseudohifas, Clamidoconidios,Hifas verdaderas
  • 24.
  • 25.
    Asimilación de hidratosde Carbono y Nitrógeno: Auxanograma Medios cromógenos ureasa
  • 26.
    Métodos fisiológicos • API20 C AUX • API ID 32 C • Vitek 2 (YBC) • Auxacolor • YT Microplate • Candifast • Fungichrom I • Auxanograma con discos S > 95%, E > 95%
  • 27.
    Affirm VPIII :Uso de una sonda comercial detecta ADN de Candida en las muestras” • < 1 hora • Candida – S 75-82%, E 96-98% • Gardnerella – S 75-82%, E 96-98% • Trichomonas – S 75-82%, E 96-98%
  • 28.
    Candida dubliniensis Inicialmente identificadacomo C. albicans Sullivan et al, 1995 Asociada con colonización e infección de la cavidad oral de pacientes VIH (+ ) / SIDA Recientemente, infecciones sistémicas en VIH (+) u otras inmunodeficiencias . C. albicans y C. dubliniensis comparten caracteristicas fenotípicas. * Tubo germinal positivo * ChromAgar : C. albicans : colonia verde claro, C dubliniensis : colonia verde oscura
  • 29.
    S cerevisiae :levadura ascosporada . Elaboración de vino ,cerveza y pan . Vaginitis por Saccharomyces cerevisiae En un caso se pudo demostrar que la cepa causal de un episodio de vaginitis era la misma que se obtenia de los dedos del esposo de la paciente y de la levadura con que elaboraba pizza en un establecimiento de su propiedad. Agente causal de vaginitis y de balanitis en sus parejas. Wilson et al. Bread making as a source of vaginal infection with Saccharomyces cerevisiae . Report of a case in a woman and apparent transmission to her partner. Sex Transm Dis 1988. Nyirjesy et al : Saccharomyces cerevisiae vaginitis : Transmission from yeast used in baking Obstet Gynecol 1995. Saccharomyces
  • 30.
    Candidiasis invasora • Enfermedadinfecciosa grave causada por diferentes especies de Candida en personas debilitadas o inmunodeficientes • Puede afectar – a un órgano: endocarditis, meningitis, candidiasis renal, candidiasis hepática – a varios órganos simultáneamente: Candidiasis diseminada – al aparato circulatorio: Candidemia
  • 31.
    Porqué Candida produce enfermedadsi es parte de la microbiota normal ? Condiciones que lo permiten: Aumento en número : uso de antibióticos aumento de humedad y temperatura. • Adherir •Invadir : desde el intestino a través de células ej. uso de catéteres .
  • 32.
    Candidiasis invasora • Candidaalbicans (~ 50%) • Otras especies relevantes: • C. glabrata • C. parapsilosis • C. tropicalis • C. krusei • Formas diseminadas y focales • Biopelículas (catéteres y prótesis) • Infecciones recalcitrantes: Resistencia
  • 33.
    Adultos • Hospitalización prolongadaen UCI • Falla renal • Hemodiálisis • Antibióticos amplio espectro • Catéter venoso central • Nutrición parenteral • Drogas inmunosupresivas • Cancer y quimioterapia • Pancreatitis severa aguda • Colonización por Candida en múltiples sitios • Cirugía • Transplante  Lactantes y niños  Inmunosupresión  Antibióticos de amplio espectro  Cateter venoso central  Hiperalimentación  Cirugía abdominal /perforación  Hemodiálisis  Neonatos  Edad gestational - Prematuro  Ruptura prolongada de membranas  Intubación  Cefalosporinas tercera-generación  Malformaciones congénitas Factores de riesgo
  • 34.
    Candidiasis invasora ojo Pulmón-Neumonía hígado riñon Candidemia Invasión deórganos Cerebro-Meningitis Candidemia asociada a catéter Candidiasis aguda diseminada Candidiasis crónica diseminada Candidiasis profunda multiorgánica Artritis osteomielitis miositis Hueso-articulaciones Corazón- Endocarditis bazo Peritonitis
  • 35.
    Patogenia • Multiplicación yadhesión ( colonización de mucosas ) Adhesinas:Als1, Ala1p, Hwp, Int1, Mnt1p • Dimorfismo • SECRECIÓN DE ENZIMAS : presentes en el extremo apical del tubo germinativo ) proteasas, fosfolipasas. Aspartilproteasas (Saps), fosfolipasas (Plb1)
  • 36.
    Factores de virulenciaestán controlados por múltiples genes diferentes - HEX1 (hexosaminidasa) - SAP1, SAP2, SAP3 y SAP4 (proteinasas) - INT1 ( producir tubos germinales y adhesión) Control y diseminación de la enfermedad ( estado inmune del hospedero ) •Candida albicans presenta mayor virulencia •Está asociada a su habilidad para: – Evadir a los mecanismos de defensa del hospedero – resistir al tratamiento antifúngico – lesionar las células y tejidos que invade
  • 37.
  • 38.
  • 39.
    DIAGNÓSTICO DE LABORATORIO •MUESTRAS CLÍNICAS: • TÉCNICAS DIAGNÓSTICAS:  Raspados de piel y fanéreos  Secreciones (heridas, flujo vaginal)  Líquidos de cavidades estériles (sangre, LCR, L. pleural, L. peritoneal, L. pericárdico, L. articular)  Lavado bronquio-alveolar (LBA)  Cuerpos implantables (catéteres, prótesis)  Biopsias  Examen Microscópico directo  Cultivo (Agar Sabouraud y Agar Sangre  Identificación :Tubo germinativo, Microcultivo Bioquímica (asimilación de azúcares)  Agares cromogénicos  Detección de componentes estructurales y productos metabólicos (antígenos, enolasa, arabinitol)  Histología Superficiales Profundas Hemocultivo
  • 40.
    Diagnóstico de Candidiasisinvasora • Complicado: – Obtención de aislamientos en cultivo a partir de muestras estériles (hemocultivos, LCR, biopsias…) – Visualización de Candida en biopsias – Detección de antígenos o anticuerpos • Sensibilidad y especificidad baja – Hemocultivos positivos o Candida en los tejidos como diagnóstico definitivo
  • 42.
    HISTORIA  1894, Sanfelicedescubre la levadura encapsulada en el zumo de durazno,Italia.  Busse y Buschke, lesión ulcerosa, tibia, Alemania  Curtis, 1896, saccaromicosis humana  1905,Van Hauseman, 1º reporte de Meningitis criptocococica.  1950, Emmons comunicó el aislamiento de la cepa virulenta en el suelo de corrales.  Criadores de paloma, infección demostrada (Ac), mas no enfermedad.  Descrito en Koalas.
  • 43.
  • 44.
    C. neoformans: CaracterísticasGenerales Cápsula diámetro celular: 2.5 µm a 10 µm Brote • Hongo basidiomiceto levaduriforme oportunista capaz de causar meningitis en el humano • Levadura dimórfica (Basidiomiceto) • medios ricos y muestras clínicas: forma de levadura, • medios pobres en nitrógeno y/o desecados: forma filamentosa • Pared celular • Cápsula • 1,3-manano, ramificaciones monosacarídicas de xilosa y ácido glucorónico (GMX) • Se reproduce por brotación • Suelo • pH de 4.0 a 7.5
  • 45.
      a a  a Características Generales • Ciclosexual: • Heterotálica • Forma perfecta – Filobasidiella neoformans • Filamentación haplóide – produce basidiosporos – sin fusión de clampas de conección
  • 46.
    Características Generales • Variedadesde Cryptococcus neoformans • neoformans • grubii • gattii (especie o variedad?) • Serotipo • A • D • B • C
  • 47.
    Características Generales • Variedadvs Serotipos de Cryptococcus neoformans • neoformans – serotipo D • grubii – serotipo A • gattii – serotipo B y C • serotipo AD
  • 48.
    Ecobiologia • Distribución geográfica:serotipo – diferencia en estructura de polisacárído capsular • Serotipo A – presente en zonas temperadas (C. neoformans var grubii) • Serotipo D – ubíquo (C. neoformans var neoformans) • Serotipo AD – zonas temperadas; presencia de dos serotipos • Serotipo B – regiones tropicales y subtropicales (C. neoformans var gattii) • Serotipo C – regiones tropicales y subtropicales (C. neoformans var gattii)
  • 49.
    Ecobiologia • Medio ambienteen madera en descomposición • No transmisión de persona a persona – transplante de órganos • Transmisión animal-persona nunca fué documentado • No es un comensal • Presente en aves y sus excretas – palomas • Prevalencia de tipo sexual 
  • 50.
    Murray et al,2002 Vía de ingreso: inhalación
  • 51.
    EPIDEMIOLOGÍA  Distribución mundial No hay diferenciación en edad o raza  Igual en ambos sexos, niños antes de la pubertad es casi inexistente.  Predisposición: Uso de corticoides LES , HIV+, SIDA
  • 52.
  • 53.
  • 54.
    A) Lesión ulceradade piel en paciente HIV B) Lesión nodular de piel causada por C. neoformans. A B
  • 55.
  • 56.
    Factores de Virulencia •Cápsula • Producción de Melanina • Capacidad de desarrollo a 37C
  • 57.
    • Constitución dela Cápsula • GXM – glucuronoxylomananos – predominante (88%) • GalXM – galactoxilomanana – 7% • MP – manoproteína • Biosíntesis de lacápsula todavía no definida • Cápsula importante para activación del complemento • Tamaño de la cápsula no importante para la virulencia Producción de la Cápsula
  • 58.
    Células encapsuladas enLCR Cápsula – fierro + fierro Cápsula Cápsula Producción de la Cápsula Condiciones ambientales: Alta concentración de CO2 y baja concentración de Fierro
  • 59.
    Melanina  Pigmentos dealto peso molecular  Formados por polimerización de compuestos difenólicos  Usualmente son de color marrón oscuro o negro CLINICAL MICROBIOLOGY REVIEWS, 2000, 13(4):708–717
  • 60.
    BSL-2/3  Sukroongreung ycol., 1998, basidiosporas son los propágulos mas infecciosos  Cuando se trabaje con cruce de cepas
  • 61.
    DIAGNOSTICO DE LABORATORIO EXAMEN MICROSCOPICO: TintaChina Tinta China Modificada, JCM; 1996, 34(9):2290–2291 TINCIONES PERMANENTES: Gram , PAS , Alcian Blue Mucicarmín Mayer Modificado, Quadex; 1997, 1:1-3 Otros.
  • 62.
    DIAGNOSTICO DE LABORATORIO CULTIVO: AgarSabouraud. Agar Chocolate. Agar Guizottia abyssinica, fenoloxidasa Chromagar. AHM-T80: no hifas, no pseudohifas, levaduras PRUEBAS INMUNOLOGICAS: Aglutinación en látex EIA, PCR, otras.
  • 63.
  • 66.
    Ulceras grandes yprofundas de piernas izq. (a) y der. (b). C. neoformans en pus, técnica tinta china (c)
  • 69.
  • 70.
  • 71.
    HISTORIA Carlos Chagas lo encontróen ratones en 1909 Descrito por primera vez como Pneumocysitis carini (Delanoe y Delanoe, 1912) En 1926 Wenyon lo clasifico como protozoo de la clase sporozoa Hasta finales de los años 80 se consideró que era un protozoo, pero el análisis del ADN demostró en 1988 que es un hongo. En 1999 pasa a llamarse Pneumocysitis jiroveci. Nuevo nombre para el Pneumocystisdel humano: Pneumocystis jiroveci, Rev Panam Salud Publica vol.12 no.4 Washington Out. 2002
  • 72.
    EPIDEMIOLOGIA  Es unaenfermedad cosmopolita y afecta principalmente a pacientes inmunocomprometidos, sobre todo a aquellos infectados por el virus de la inmunodeficiencia humana (VIH).  Se ha estimado que hasta un 75% de los pacientes con sida desarrollarán un evento de PJP durante su vida.  Lactantes prematuros o desnutridos.  Otras causas frecuentemente relacionadas con la infección es en pacientes con enfermedades hematológicas o con presencia de tumores sólidos y trasplantes de órganos.
  • 73.
    MORFOLOGIA  Su taxonomíaes dentro del reino fungi pero comparte características morfológicas Y biológicas de un protozoo.  Hongo unicelular atípico, ubicuo, extracelular.  Formas quísticas (quiste) redondeadas de 4 - 6 µm de diámetro tiene pared gruesa rica en beta-1,3 D glucano.  Los quistes liberan 8 formas tróficas (trofozoitos) ameboides, mononucleadas, de 2 - 8 µm de diámetro y en su superficie presentan pequeñas prolongaciones llamadas filopodios Formas quísticas Formas tróficas http://www.facmed.unam.mx/deptos/microbiologia/micologia/neumocistosis.html
  • 75.
    TRANSMISION Y CICLOBIOLOGICO Se transmite a través del aire, por secreciones bronquiales exhaladas por los portadores y enfermos El MO se encuentra muy difundido en la naturaleza, en numerosas especies de mamíferos incluido el ser humano. Es infectante en cualquiera de sus estados evolutivos. El humano es asintomático hasta que su sistema inmune esta comprometido. Se establecen en los espacios aéreos alveolares, y bronquiolares, así como en la pared de los alveolos. Quiste Prequiste Trofozoitos
  • 76.
    PATOGENIA Infecta y residecasi exclusivamente en la superficie de los alveolos pulmonares en donde las formas tróficas, a través de sus filópodos e integrinas (glicoproteínas) del hospedero, se adhieren específicamente a los neumocitos tipo I y se nutren del líquido alveolar y otras células. El beta-1-3 d-glucano, es el responsable de la respuesta inflamatoria pulmonar en el huésped infectado. Causan lisis de neumocitos y originan reacción inflamatoria con linfocitos y células plasmáticas, exudado intraalveolar, edema interalveolar obstruyendo los bronquiolos, comprometiendo la hematosis Francisco Biagi Filizola, DR. ENFERMEDADES PARASITARIAS . México : Editorial El Manual Moderno 2004. 4a. http://www.facmed.unam.mx/deptos/microbiologia/micologia/neumocistosis.html
  • 77.
    CUADRO CLINICO La enfermedad evolucionaen semanas, con fiebre y tos seca. La fatiga es uno de los principales síntomas del paciente. Disnea, cianosis, taquipnea, taquicardia, perdida de peso y dolor intercostal. El cuadro puede progresar en pocos días o en semanas (3 – 4 semanas) y persistir. En rx se ve similar a la neumonía intersticial Neumotórax o derrame pleural. Elevación de LDH puede ser de mal pronostico. Los pacientes con infección por VIH presentan un desarrollo subagudo con síntomas de infección más prolongados Neumocistosis extrapulmonar Francisco Biagi Filizola, DR. ENFERMEDADES PARASITARIAS . México : Editorial El Manual Moderno 2004. 4a. http://www.facmed.unam.mx/deptos/microbiologia/micologia/neumocistosis.html
  • 78.
    DIAGNOSTICO  Es difícilde diagnosticar, la clínica de ningún modo puede dar certeza ya que la auscultación torácica en general es normal.  Pruebas de laboratorio.  Pruebas serológicas (inmunoflorescencia), determinación de búsqueda de 1-3 glucanos en suero.  PCR (técnica más sensible y específica).  Estudios de gabinete (Rx y TAC). Francisco Biagi Filizola, DR. ENFERMEDADES PARASITARIAS . México : Editorial El Manual Moderno 2004. 4a.
  • 79.