Serie_Ciencias Naturales_17_d Vida y Reproducción -Cuarta Parte- Microscopio, células, cromosomas, genes, mitosis
 
Mundo microscópico Mientras Mendel caía en el olvido, otros investigadores encontraban cosas maravillosas en el mundo microscópico...
Mundo microscópico En la actualidad damos por hecho que todos los seres vivos están formados por  células.
Mundo microscópico Pero este hecho no fue reconocido sino hasta fines del siglo XIX.
Hooke y las células Ya en el siglo XVII,  Robert Hooke  (1635-1703) había observado la estructura celular del corcho.
Hooke y las células El dibujo que hizo de lo que observó fue publicado en un libro en 1665.
Hooke y las células Vio que el corcho tenía una forma parecida a un panal de abejas: estaba hecho de cajitas vacías puestas unas al lado de otras.
Hooke y las células A estas cajitas las llamó “cell”, palabra inglesa que quiere decir celda. Después “cell” se ha traducido al español por  célula.
Leeuwenhoek Seis años después del descubrimiento de Hooke,  Antón van Leeuwenhoek  vivía en Holanda y en sus ratos libres se dedicaba a construir lupas pequeñas y muy curvadas.
Leeuwenhoek Leeuwenhoek fabricó una lupa que  aumentaba las cosas 100 veces.
Leeuwenhoek Imagínate que mirarás con un microscopio que aumenta 100 veces: un milímetro de una regla lo verías tan largo como 10 centímetros.
Leeuwenhoek ¿Y un centímetro? Aumentado 100 veces, sería 1 metro.  Si un lápiz se viese aumentado 100 veces, tendría la altura de una casa se cuatro pisos.
Leeuwenhoek Leeuwenhoek observó con su lupa muchas de las cosas que tenía a mano: sangre de lagartija, alas de mosca, granos de tierra, etc.
Leeuwenhoek Al observar agua de lluvia, que había estado unos días en unos barriles, vio unos seres pequeñísimos –los más pequeños que se habían visto hasta entonces- que se movían y agitaban.
Leeuwenhoek Eran los  protozoos  (organismos unicelulares). Estamos en 1671.
Microscopios  Los microscopios, que al principio sólo aumentaban 50 o 100 veces la imagen de un objeto, se fueron perfeccionando.
Microscopios A finales de 1800 aumentaban ya 1,500 ó 2,000 veces: eran los microscopios ópticos. Pero se llegó a un límite en que ya no se podía aumentar más las imágenes.
Microscopios De todos modos, este aumento es ya muy importante. Un glóbulo rojo, aumentado 1,000 veces, se ve cómo de 8 milímetros.
Microscopios ¿Sabes que tamaño tendrías tú, si te vieses aumentado mil veces?  Serías mayor que un edificio de 350 pisos.
Microscopios Esto equivale a tres “torres gemelas”, una encima de la otra (cada torre tenía 117 pisos).
El microscopio En el siglo XIX los científicos se dieron cuenta de que todos estamos divididos en células.
Células Cualquiera de nosotros está compuesto por miles de millones de células.
Células Otras criaturas, como los protozoos, consisten en una sola célula.
Células Las células tienen todo tipo de formas y tamaños.
Células Además, los científicos saben que todas las células provienen de la división de una célula preexistente.  ¡No existe generación espontánea!
Células Se fue conociendo la estructura interna de la célula conforme mejoraron los microscopios.
Los cromosomas En primer lugar hay un  núcleo,  y dentro del núcleo existe algo fantástico...
Los cromosomas Justo antes de la división celular aparecen de pronto unos pequeños y delgados objetos, se duplican ¡y después desaparecen!
Los cromosomas A estos objetos se les dio el nombre de  cromosomas.
 
 
Los cromosomas Los cromosomas causaron numerosos debates  ¿por qué los cromosomas solo aparecen en la reproducción y luego  desaparecen ?
Los cromosomas Finalmente se llegó al acuerdo de que los cromosomas no desaparecen ni se disuelven...
Los cromosomas Simplemente son demasiado  pequeños,  durante la mayor parte del tiempo, para ser observados con un microscopio ordinario.
Los cromosomas Sin embargo durante la división celular se  enroscan , y se vuelven suficientemente gruesos para poder verlos.
Mitosis En la actualidad ya sabemos que ocurre con los cromosomas durante la división celular.
Mitosis Mientras permanecen invisibles los cromosomas se duplican...
Mitosis ...y permanecen unidos en un punto al que se da el nombre de  centrómero.
Mitosis Luego los cromosomas se engrosan y acortan y se vuelven visibles al microscopio.
Mitosis Los cromosomas se alinean en el ecuador de la célula. Los cromosomas se dividen en dos.
Mitosis Los cromosomas se desplazan a los polos de la célula.
Mitosis Se forma de nuevo la membrana nuclear.
Mitosis Los cromosomas vuelven a ser invisibles y la célula se divide.
Mitosis A este proceso se le llama  mitosis.  El proceso de la mitosis es sumamente exacto.
Mitosis Gracias a la mitosis, cada célula  hija  recibe un juego completo y perfecto de cromosomas.
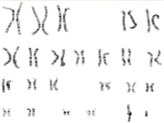
Los cromosomas El número de cromosomas será el mismo en cada célula. Cada especie tiene un número de cromosomas que le es característico.
Los cromosomas Mosquito: 6 cromosomas.
Los cromosomas Humanos: 46 cromosomas.
Los cromosomas Perro: 78 cromosomas.
Los cromosomas Gato: 34 cromosomas.
Los cromosomas Carpa dorada: 94 cromosomas.
Los cromosomas Col: 18 cromosomas.
Los cromosomas Cuy: 16 cromosomas.
Los cromosomas Arveja: 14 cromosomas.
Los cromosomas Como habrán notado  todos estos números son pares.  Hay una buena razón para ello...
El espermatozoide y el óvulo son las únicas células que tienen la mitad del número normal de cromosomas.
Óvulo y espermatozoide Ello opera en esta forma: el espermatozoide y el óvulo (conocidas como  células germinales  o  gametos )...
Óvulo y espermatozoide ...tienen cada uno la mitad de un juego de cromosomas.
Óvulo y espermatozoide Al ocurrir la fecundación se unen sus núcleos y dan origen al huevo fecundado o  cigoto .
Óvulo y espermatozoide El  cigoto  posee el número completo de cromosomas, y a partir de esta célula surgen las demás por mitosis.
Walter Sutton Además el norteamericano  Walter Sutton  realizó un descubrimiento en 1902...
Cromosomas en pares Sutton descubrió que cada cromosoma del espermatozoide se puede unir con otro casi idéntico del óvulo...
Cromosomas en pares Así, en realidad hay ya dos ejemplares de cada cromosoma en la célula. Se les llama pares homólogos (homólogo = “de la misma forma”)
Cromosomas en pares Por ejemplo los seres humanos que poseen 46 cromosomas, tiene 23 pares homólogos.
Cromosomas en pares En cada par  un cromosoma proviene del padre y el otro de la madre.
Cromosomas en pares Con la única excepción de los cromosomas sexuales   ¡Lo explicaremos más adelante!
Meiosis Y existe un proceso especial para producir células sexuales (gametos), este proceso se denomina  meiosis.
Descubriendo a Mendel Una vez que se conocieron los procesos de mitosis y meiosis, los biólogos comenzaron a sospechar que los cromosomas regulaban la herencia...
Descubriendo a Mendel Y la ciencia avanzó... pero hacia atrás ¡a las teorías de Mendel!
Descubriendo a Mendel Hacia fines del siglo XIX, tres científicos, trabajando en forma independiente entre si, reprodujeron los experimentos y resultados de Mendel.
Descubriendo a Mendel Los tres científicos son:  Hugo DeVries, Erich von Tschermak y Carl Correns.
Descubriendo a Mendel En el año 1900 los tres buscaron en las bibliotecas científicas si había antecedentes de sus trabajos  ¡y los tres encontraron a Gregor Mendel!
Descubriendo a Mendel Después que terminaron de pelearse entre ellos, anunciaron el descubrimiento de Mendel al mundo entero
Walter Sutton Dos años después Walter Sutton observó pares homólogos de cromosomas en células de saltamontes.
¡Y de pronto la ciencia vio la luz!
¿De que se dieron cuenta exactamente?
Cromosomas y genes Los cromosomas se comportan como los genes.
Cromosomas y genes Por lo tanto es lógico suponer que los genes se encuentran en los cromosomas.
Cromosomas y genes Los científicos pensaron que debía de haber muchos genes en cada cromosoma...
Cromosomas y genes ...ya que debe de haber mucho más genes que los escasos cromosomas.
 
Cromosomas y genes El descubrimiento de los pares homólogos fue la conexión con las investigaciones de Mendel.
Cromosomas y genes Recuerde que cada célula tiene un par de alelos para cada gen, por lo tanto...
Cromosomas y genes Las dos copias de un gen se ubican en los cromosomas homólogos (en un mismo punto).
Cromosomas y genes Ejemplo. Si un gen para la altura se encuentra aquí =  A1
Cromosomas y genes Entonces su homólogo debe de estar ubicado aquí =  A2
Cromosomas y genes Todo esto resulto cierto...  pero, una vez que se analizó el asunto con mayor profundidad se descubrieron cosas de las que Mendel no se había dado cuenta.
Haploide y diploide En primer lugar, no todos los organismos poseen un doble conjunto de cromosomas.
Haploide y diploide Muchas especies inferiores, como algunos hongos, solo tienen un conjunto de cromosomas.
Haploide y diploide Una célula con un solo conjunto de cromosomas recibe el nombre de  haploide.  Y a la célula que tiene dos conjuntos de cromosomas se le denomina  diploide.
Haploide y diploide Todas las células de nuestro cuerpo son  diploides,  mientras que las células germinales (células sexuales) son  haploides.
Diploides Todos los mamíferos y las aves (y algunas plantas) son diploides.
Haploides Entre los haploides encontramos a los machos de la abeja (zánganos), varios hongos y los organismos unicelulares que carecen de sexo.
Poliploide Y, además, existen los organismos  poliploides,  es decir con muchos conjuntos de células. A este grupo pertenecen un gran número de plantas (menos las arvejas, claro).
Poliploide Por ejemplo, la papa contiene cuatro juegos de doce cromosomas: 48 cromosomas en total.
Mapa de genes Finalmente los cromosomas pueden intercambiar genes. A esto se le llama  entrecruzamiento.
Mapa de genes Durante la meiosis los cromosomas se tocan...  ...y algunos segmentos se entrecruzan.
Mapa de genes Cuando se separan, los cromosomas tienen nuevas combinaciones de alelos, por tanto...
Mapa de genes ...los cromosomas que usted transmite a sus hijos  no son exactamente como los suyos...
Continuará...

Conocer Ciencia - Vida y Reproducción IV

  • 1.
    Serie_Ciencias Naturales_17_d Viday Reproducción -Cuarta Parte- Microscopio, células, cromosomas, genes, mitosis
  • 2.
  • 3.
    Mundo microscópico MientrasMendel caía en el olvido, otros investigadores encontraban cosas maravillosas en el mundo microscópico...
  • 4.
    Mundo microscópico Enla actualidad damos por hecho que todos los seres vivos están formados por células.
  • 5.
    Mundo microscópico Peroeste hecho no fue reconocido sino hasta fines del siglo XIX.
  • 6.
    Hooke y lascélulas Ya en el siglo XVII, Robert Hooke (1635-1703) había observado la estructura celular del corcho.
  • 7.
    Hooke y lascélulas El dibujo que hizo de lo que observó fue publicado en un libro en 1665.
  • 8.
    Hooke y lascélulas Vio que el corcho tenía una forma parecida a un panal de abejas: estaba hecho de cajitas vacías puestas unas al lado de otras.
  • 9.
    Hooke y lascélulas A estas cajitas las llamó “cell”, palabra inglesa que quiere decir celda. Después “cell” se ha traducido al español por célula.
  • 10.
    Leeuwenhoek Seis añosdespués del descubrimiento de Hooke, Antón van Leeuwenhoek vivía en Holanda y en sus ratos libres se dedicaba a construir lupas pequeñas y muy curvadas.
  • 11.
    Leeuwenhoek Leeuwenhoek fabricóuna lupa que aumentaba las cosas 100 veces.
  • 12.
    Leeuwenhoek Imagínate quemirarás con un microscopio que aumenta 100 veces: un milímetro de una regla lo verías tan largo como 10 centímetros.
  • 13.
    Leeuwenhoek ¿Y uncentímetro? Aumentado 100 veces, sería 1 metro. Si un lápiz se viese aumentado 100 veces, tendría la altura de una casa se cuatro pisos.
  • 14.
    Leeuwenhoek Leeuwenhoek observócon su lupa muchas de las cosas que tenía a mano: sangre de lagartija, alas de mosca, granos de tierra, etc.
  • 15.
    Leeuwenhoek Al observaragua de lluvia, que había estado unos días en unos barriles, vio unos seres pequeñísimos –los más pequeños que se habían visto hasta entonces- que se movían y agitaban.
  • 16.
    Leeuwenhoek Eran los protozoos (organismos unicelulares). Estamos en 1671.
  • 17.
    Microscopios Losmicroscopios, que al principio sólo aumentaban 50 o 100 veces la imagen de un objeto, se fueron perfeccionando.
  • 18.
    Microscopios A finalesde 1800 aumentaban ya 1,500 ó 2,000 veces: eran los microscopios ópticos. Pero se llegó a un límite en que ya no se podía aumentar más las imágenes.
  • 19.
    Microscopios De todosmodos, este aumento es ya muy importante. Un glóbulo rojo, aumentado 1,000 veces, se ve cómo de 8 milímetros.
  • 20.
    Microscopios ¿Sabes quetamaño tendrías tú, si te vieses aumentado mil veces? Serías mayor que un edificio de 350 pisos.
  • 21.
    Microscopios Esto equivalea tres “torres gemelas”, una encima de la otra (cada torre tenía 117 pisos).
  • 22.
    El microscopio Enel siglo XIX los científicos se dieron cuenta de que todos estamos divididos en células.
  • 23.
    Células Cualquiera denosotros está compuesto por miles de millones de células.
  • 24.
    Células Otras criaturas,como los protozoos, consisten en una sola célula.
  • 25.
    Células Las célulastienen todo tipo de formas y tamaños.
  • 26.
    Células Además, loscientíficos saben que todas las células provienen de la división de una célula preexistente. ¡No existe generación espontánea!
  • 27.
    Células Se fueconociendo la estructura interna de la célula conforme mejoraron los microscopios.
  • 28.
    Los cromosomas Enprimer lugar hay un núcleo, y dentro del núcleo existe algo fantástico...
  • 29.
    Los cromosomas Justoantes de la división celular aparecen de pronto unos pequeños y delgados objetos, se duplican ¡y después desaparecen!
  • 30.
    Los cromosomas Aestos objetos se les dio el nombre de cromosomas.
  • 31.
  • 32.
  • 33.
    Los cromosomas Loscromosomas causaron numerosos debates ¿por qué los cromosomas solo aparecen en la reproducción y luego desaparecen ?
  • 34.
    Los cromosomas Finalmentese llegó al acuerdo de que los cromosomas no desaparecen ni se disuelven...
  • 35.
    Los cromosomas Simplementeson demasiado pequeños, durante la mayor parte del tiempo, para ser observados con un microscopio ordinario.
  • 36.
    Los cromosomas Sinembargo durante la división celular se enroscan , y se vuelven suficientemente gruesos para poder verlos.
  • 37.
    Mitosis En laactualidad ya sabemos que ocurre con los cromosomas durante la división celular.
  • 38.
    Mitosis Mientras permaneceninvisibles los cromosomas se duplican...
  • 39.
    Mitosis ...y permanecenunidos en un punto al que se da el nombre de centrómero.
  • 40.
    Mitosis Luego loscromosomas se engrosan y acortan y se vuelven visibles al microscopio.
  • 41.
    Mitosis Los cromosomasse alinean en el ecuador de la célula. Los cromosomas se dividen en dos.
  • 42.
    Mitosis Los cromosomasse desplazan a los polos de la célula.
  • 43.
    Mitosis Se formade nuevo la membrana nuclear.
  • 44.
    Mitosis Los cromosomasvuelven a ser invisibles y la célula se divide.
  • 45.
    Mitosis A esteproceso se le llama mitosis. El proceso de la mitosis es sumamente exacto.
  • 46.
    Mitosis Gracias ala mitosis, cada célula hija recibe un juego completo y perfecto de cromosomas.
  • 47.
    Los cromosomas Elnúmero de cromosomas será el mismo en cada célula. Cada especie tiene un número de cromosomas que le es característico.
  • 48.
  • 49.
  • 50.
    Los cromosomas Perro:78 cromosomas.
  • 51.
    Los cromosomas Gato:34 cromosomas.
  • 52.
    Los cromosomas Carpadorada: 94 cromosomas.
  • 53.
    Los cromosomas Col:18 cromosomas.
  • 54.
    Los cromosomas Cuy:16 cromosomas.
  • 55.
    Los cromosomas Arveja:14 cromosomas.
  • 56.
    Los cromosomas Comohabrán notado todos estos números son pares. Hay una buena razón para ello...
  • 57.
    El espermatozoide yel óvulo son las únicas células que tienen la mitad del número normal de cromosomas.
  • 58.
    Óvulo y espermatozoideEllo opera en esta forma: el espermatozoide y el óvulo (conocidas como células germinales o gametos )...
  • 59.
    Óvulo y espermatozoide...tienen cada uno la mitad de un juego de cromosomas.
  • 60.
    Óvulo y espermatozoideAl ocurrir la fecundación se unen sus núcleos y dan origen al huevo fecundado o cigoto .
  • 61.
    Óvulo y espermatozoideEl cigoto posee el número completo de cromosomas, y a partir de esta célula surgen las demás por mitosis.
  • 62.
    Walter Sutton Ademásel norteamericano Walter Sutton realizó un descubrimiento en 1902...
  • 63.
    Cromosomas en paresSutton descubrió que cada cromosoma del espermatozoide se puede unir con otro casi idéntico del óvulo...
  • 64.
    Cromosomas en paresAsí, en realidad hay ya dos ejemplares de cada cromosoma en la célula. Se les llama pares homólogos (homólogo = “de la misma forma”)
  • 65.
    Cromosomas en paresPor ejemplo los seres humanos que poseen 46 cromosomas, tiene 23 pares homólogos.
  • 66.
    Cromosomas en paresEn cada par un cromosoma proviene del padre y el otro de la madre.
  • 67.
    Cromosomas en paresCon la única excepción de los cromosomas sexuales ¡Lo explicaremos más adelante!
  • 68.
    Meiosis Y existeun proceso especial para producir células sexuales (gametos), este proceso se denomina meiosis.
  • 69.
    Descubriendo a MendelUna vez que se conocieron los procesos de mitosis y meiosis, los biólogos comenzaron a sospechar que los cromosomas regulaban la herencia...
  • 70.
    Descubriendo a MendelY la ciencia avanzó... pero hacia atrás ¡a las teorías de Mendel!
  • 71.
    Descubriendo a MendelHacia fines del siglo XIX, tres científicos, trabajando en forma independiente entre si, reprodujeron los experimentos y resultados de Mendel.
  • 72.
    Descubriendo a MendelLos tres científicos son: Hugo DeVries, Erich von Tschermak y Carl Correns.
  • 73.
    Descubriendo a MendelEn el año 1900 los tres buscaron en las bibliotecas científicas si había antecedentes de sus trabajos ¡y los tres encontraron a Gregor Mendel!
  • 74.
    Descubriendo a MendelDespués que terminaron de pelearse entre ellos, anunciaron el descubrimiento de Mendel al mundo entero
  • 75.
    Walter Sutton Dosaños después Walter Sutton observó pares homólogos de cromosomas en células de saltamontes.
  • 76.
    ¡Y de prontola ciencia vio la luz!
  • 77.
    ¿De que sedieron cuenta exactamente?
  • 78.
    Cromosomas y genesLos cromosomas se comportan como los genes.
  • 79.
    Cromosomas y genesPor lo tanto es lógico suponer que los genes se encuentran en los cromosomas.
  • 80.
    Cromosomas y genesLos científicos pensaron que debía de haber muchos genes en cada cromosoma...
  • 81.
    Cromosomas y genes...ya que debe de haber mucho más genes que los escasos cromosomas.
  • 82.
  • 83.
    Cromosomas y genesEl descubrimiento de los pares homólogos fue la conexión con las investigaciones de Mendel.
  • 84.
    Cromosomas y genesRecuerde que cada célula tiene un par de alelos para cada gen, por lo tanto...
  • 85.
    Cromosomas y genesLas dos copias de un gen se ubican en los cromosomas homólogos (en un mismo punto).
  • 86.
    Cromosomas y genesEjemplo. Si un gen para la altura se encuentra aquí = A1
  • 87.
    Cromosomas y genesEntonces su homólogo debe de estar ubicado aquí = A2
  • 88.
    Cromosomas y genesTodo esto resulto cierto... pero, una vez que se analizó el asunto con mayor profundidad se descubrieron cosas de las que Mendel no se había dado cuenta.
  • 89.
    Haploide y diploideEn primer lugar, no todos los organismos poseen un doble conjunto de cromosomas.
  • 90.
    Haploide y diploideMuchas especies inferiores, como algunos hongos, solo tienen un conjunto de cromosomas.
  • 91.
    Haploide y diploideUna célula con un solo conjunto de cromosomas recibe el nombre de haploide. Y a la célula que tiene dos conjuntos de cromosomas se le denomina diploide.
  • 92.
    Haploide y diploideTodas las células de nuestro cuerpo son diploides, mientras que las células germinales (células sexuales) son haploides.
  • 93.
    Diploides Todos losmamíferos y las aves (y algunas plantas) son diploides.
  • 94.
    Haploides Entre loshaploides encontramos a los machos de la abeja (zánganos), varios hongos y los organismos unicelulares que carecen de sexo.
  • 95.
    Poliploide Y, además,existen los organismos poliploides, es decir con muchos conjuntos de células. A este grupo pertenecen un gran número de plantas (menos las arvejas, claro).
  • 96.
    Poliploide Por ejemplo,la papa contiene cuatro juegos de doce cromosomas: 48 cromosomas en total.
  • 97.
    Mapa de genesFinalmente los cromosomas pueden intercambiar genes. A esto se le llama entrecruzamiento.
  • 98.
    Mapa de genesDurante la meiosis los cromosomas se tocan... ...y algunos segmentos se entrecruzan.
  • 99.
    Mapa de genesCuando se separan, los cromosomas tienen nuevas combinaciones de alelos, por tanto...
  • 100.
    Mapa de genes...los cromosomas que usted transmite a sus hijos no son exactamente como los suyos...
  • 101.