 Descrita en s. XV en Florencia por Beneviene.
 En 1875 Litten describe la IMA y sus cambios anatómicos en
animales.
 En 1894 Councilman describe IMC.
 En 1895 Elliot describe la TVM, que no fue aceptada como
entidad independiente hasta 1936.
 En 1958 Ende publica en la New England Journal of Medicine
‘‘Infarction of the bowel in cardiac failure’’, hablando por
primera vez del NOMI.
HISTORIA
 3 arterias ppales.
 Muchas colaterales
 75% flujo mucosa y
submucosa
 El intestino delgado:
10% del GC ayunas y
20% del GC
postprandial.
ANATOMÍA Y FISIOLOGÍA DE LA CIRCULACIÓN
INTESTINAL
TRONCO CELIACO
A. MESENTÉRICA SUPERIOR*
A. MESENTÉRICA INFERIOR
A. MARGINAL DE DRUMMOND
ARCO DE RIOLANO
 Es necesaria la obstrucción de al
menos dos de estas arterias para
que se produzca isquemia. ¿?
 Las primeras lesiones isquémicas
se dan en la mucosa y la
submucosa
ANATOMÍA Y FISIOLOGÍA DE LA CIRCULACIÓN
INTESTINAL
MUCOSA Y SUBMUCOSA
Enzimas lisosomales
Interleukinas
Radicales libres
Edema parietal y
hemorragia submucosa.
Aumento permeabilidad
intestinal (traslocación
bacteriana).
MÚSCULO NTESTINAL
Aumento inicial del tono
Atonía
Dilatación y necrosis
trasmural.
 ISQUEMIA INTESTINAL: déficit circulatorio (total o
parcial) con respecto a los requerimientos intestinales.
DEFINICIONES
CLASIFICACIÓN:
ISQUEMIA MESENTÉRICA AGUDA (IMA)
ORIGEN ARTERIAL
ORIGEN VENOSO
ISQUEMIA MESENTÉRICA CRÓNICA (IMC) O “ANGINA
INTESTINAL”
COLITIS ISQUÉMICA
 1-2% de las enfs. Gastrointestinales
 1% de los casos de abdomen agudo
 Representa 1 de cada 1000 ingresos hospitalarios en
EEUU.
 Hasta el 5% de la mortalidad hospitalaria en EEUU.
 Reciente aumento de la incidencia 8’6/100000 pers-
año  aumento edad población, realización de más
TC,…
EPIDEMIOLOGÍA
Brandt LJ, et al. AGA technical review on intestinal ischemia. American Gastrointestinal
Association. Gastroenterology 2000; 118. 954-68.
American Gastroenterological Association Medical Position Statement:
Guidelines on Intestinal Ischemia. Gastroenterology 2000: 118: 951-953.
EPIDEMIOLOGÍA
Stefan Acosta, MD.
Epidemiology of Mesenteric
Vascular Disease: Clinical
Implications. Semin Vasc Surg
23:4-8:2010
IMNO
Hipótesis de Angiotensina II y
Vasopresina liberadas por el
riñón mal perfundido
Vasoconstricción persistente
esplácnica
IMA OCLUSIVA IMA NO
OCLUSIVA
ARTERIAL
EMBOLÍGENA
TROMBOSIS
IFS (isquemia focal segmentaria)
VENOSA
TROMBOSIS
Ag /( Sub Ag/ Crónica)
IMNO
IMA OCLUSIVA IMA NO
OCLUSIVA
ARTERIAL
EMBOLÍGENA
TROMBOSIS
IFS (isquemia focal segmentaria)
VENOSA
TROMBOSIS
Ag /( Sub Ag/ Crónica)
IMNO
 EMBOLÍGENA
 TROMBOSIS
 IFS
ARTERIAL
ETIOLOGÍA/F.RIESGO CARACTERÍSTICAS
Origen cardiaco (AI, VI,
lesión valvular
Desencadenante: arritmia,
CVE, cateterismo,
endocarditis
Proximal a A. ileocólica
se denomina “embolia
mayor”
Aterosclerosis,
trombofilias, vasculitis,
aneurisma Aor, síntomas
previos de IMC
Origen de la AMS hasta
3 cm muy extensas y de
mal pronóstico
Vasculitis,
traumatismo, émbolo
de colesterol, post-RT
Compromiso sólo de
un pequeño territorio
que conlleva aparición
rápida de colaterales
IMA OCLUSIVA IMA NO
OCLUSIVA
ARTERIAL
EMBOLÍGENA
TROMBOSIS
IFS (isquemia focal segmentaria)
VENOSA
TROMBOSIS
Ag /( Sub Ag/ Crónica)
IMNO
 TROMBOSIS AGUDA
 T. SUBAGUDA: dolor abd.
 T. CRÓNICA: indolora, varices gastroesofágicas
 IFS: en la obstrucción intestinal con estrangulación
No se considera
IMA. Se forman
colaterales que
evitan el infarto
intestinal
VENOSA
Necesidad de afectación
extensa del eje
esplenoportal
IMA OCLUSIVA IMA NO
OCLUSIVA
ARTERIAL
EMBOLÍGENA
TROMBOSIS
IFS (isquemia focal segmentaria)
VENOSA
TROMBOSIS
Ag /( Sub Ag/ Crónica)
IMNO
 ANTECEDENTES
 DESENCADENANTES
ISQUEMIA MESENTÉRICA NO OCLUSIVA (IMNO)
VASOCONSTRICCIÓN
Y/O REDUCCIÓN DEL
FLUJO ESPLÁCNICO
ATEROSCLEROSIS
DIGITAL
ERGOTAMÍNICOS
COCAÍNA
NORADRENALINA
HIPOPERFUSIÓN
GENERALIZADA/HIPOVOLEMIA
SHOCK
DESHIDRATACIÓN
IAM
IC
FRA, HEMODIÁLISIS
QX MAYOR
ABDOMINAL
QX CARDIACA
SEPSIS
IMA OCLUSIVA IMA NO
OCLUSIVA
ARTERIAL
EMBOLÍGENA
TROMBOSIS
IFS (isquemia focal segmentaria)
VENOSA
TROMBOSIS
Ag /( Sub Ag/ Crónica)
IMNO
 Vómitos 75-82%
 Diarrea 57-70%
 Dolor abdominal agudo  localización difusa 88-95%
 Si origen embolígeno reconocimiento exacto del momento de
inicio
 Si origen trombótico antecedente de angina con dolor agudo
de mayor intensidad
 Embolia previa 33-48%
TRIADA CLÁSICA (Rogers 1982 Ann Surg)
-Dolor abdominal
-Vaciamiento intestinal (vómitos y/o diarrea)
- Enfermedad cardiaca subyacente
TVM
Inicio más insidioso  sólo el
9% de los pacientes se presentan
con síntomas de menos de 24
horas.
Antecedentes
IMNO
Inicio gradual y síntomas más
leves
Dolor periumbilical de tipo
cólico, seguido dolor constante
Distensión y/o intolerancia
digestiva.
Hipotensión, acidosis y
hemorragia en pacientes con
nutrición enteral
Antecedentes
 Aspecto: +/- distensión abdominal
 Palpación: dolor de localización difusa, al inicio sin
signos de irritación peritoneal (sólo 17% al ingreso)
 Auscultación: abolición de RHA en fases avanzadas.
 Percusión: +/- timpanismo
 Fiebre
 Hipotensión
 SRIS
ABDOMEN
+/- OTROS
‘‘pain out of proportion’’ to
examination
DOLOR ABDOMINAL Y
AUMENTO DEL
PERISTALTISMO
ÍLEO Y ATENUACIÓN
TRANSITORIA DEL
DOLOR
SIGNOS DE IRRITACIÓN
PERITONEAL POR
PROGRESIÓN DE LA
NECROSIS
SEPSIS POR
TRASLOCACIÓN
BACTERIANA Y SHOCK
SÉPTICO.
 HIPERAMILASEMIA: ½ de los
pacientes con infarto intestinal.
 FOSFATO: relación lineal con la
duración de la isquemia.
 PCT: relación lineal
 LEUCOCITOSIS Y DESVIACIÓN
IZQUIERDA
 ACIDOSIS METABÓLICA
 PCR AUMENTADA
 HEMATOCRITO AUMENTADO
 UREA Y Cr ELEVADAS
 Dímero- D
 α-GST (glutation S-transferasa):
experiencia limitada
 IFABP (Intestinal Fatty Acid
Binding Protein): probada en
conejos, no ha demostrado de
momento utilidad.
LABORATORIO
En la TVM los marcadores como la amilasa, el lactato o
la leucocitosis son menos valorables, y el uso del
Dímero-D controvertido
 Rx simple abdomen: +/- signos de obstrucción int. Delg.,
neumatosis, edema de pared, vidrio deslustrado
abdominal.
 NORMAL EN > 25%
 ECO-Doppler: no es útil en la IMA
 Visualización sólo de porción proximal de la AMS. No dx de
NOMI.
 Necesidad de radiólogo con experiencia en Urg.
 Pacientes de urgencias sin ayunas de 6 h.
RADIOLOGÍA
Rx abdomen: neumatosis intestinal.
 TAC con CIV:
 Mejor helicoidal multicorte y la angio-TC que la TC
convencional.
 Visualización de TC, AMS, VMS, VP, estado intestinal.
 Exclusión de otras causas de dolor abd.
RADIOLOGÍA
HALLAZGOS
Stop vascular, circulación colateral
Edema-engrosamiento de pared 26-96%
intestinal
Dilatación de asas-íleo 56-91%
Neumatosis intestinal 97- 100% E
Ascitis
Gas en sistema portal
Infarto de otro órgano sólido
INESPECÍFICOS
APARICIÓN EN
ESTADÍOS TARDÍOS
 TAC con CIV:
RADIOLOGÍA
TROMBOSIS AMS
Stop abrupto del vaso entre
3-10 cm del origen
Colaterales
Placas calcificadas
EMBOLIA AMS
Muesca radioopaca en la luz
TROMBOSIS AMS
Stop venoso de mayor longitud
Aumento de diámetro del vaso
El aumento de grosor de la
pared int. Es más marcado
IMNO
Afectación más generalizada de las
asas intestinales (delgado> colon)
Disminución del calibre de las venas,
VCI aplanada.
“Shock bowell”
Signo de la diana de las asas int.
RADIOLOGÍA
 TAC con CIV:
Obs. De la AMS a su salida
Anatomía normal.
Reconstrucciones TC
RADIOLOGÍA
TC: A corte sagital de oclusión completa de la AMS (flecha). B corte
longitudinal.
RADIOLOGÍA
TC de
paciente con
TVM:
a. Trombosis
de la VMS
b. Continuac
ión
cefálica
hacia el
sistema
portal
c. Corte
coronal
RADIOLOGÍA
a y b. Gas en el sistema portal
c. Neumatosis de pared intestinal
 IMPORTANTE EN LA TC
 Alta S y E
 Es no invasiva y más barata que la
angiografía
 Permite valorar el estado de las
asas int.
 Permite reconstrucciones 3D
 El contraste oral + empeora la
valoración de la pared int.
 Hallazgos muy inespecíficos
(también en infección,
inflamación…)
 Alteraciones aparecen en fases
tardías
RADIOLOGÍA
Meta-análisis Radiology: Volume
256: Number 1—July 2010
 IMPORTANTE EN LA TC
 Alta S y E
 Es no invasiva y más barata que la
angiografía
 Permite valorar el estado de las asas
int. , excluir otras causas.
 Valora mejor las obstrucciones
venosas que la angiografía.
 Permite reconstrucciones 3D
 El contraste oral + empeora la
valoración de la pared int.
 Hallazgos muy inespecíficos (también
en infección, inflamación…)
 Alteraciones aparecen en fases tardías
RADIOLOGÍA
Meta-análisis Radiology: Volume
256: Number 1—July 2010
Cikrit DF, et al. Ann Vasc
Surg 1996;10:109–116
R idley N. Am J Roentgenol
2001;176:549
 Angiografía
 Su indicación principalmente diagnóstica ha pasado a ser terapéutica.
 Sensibilidad para detectar IMA > 90%. Radiol Clin North Am 2003;41:327–42.
 Sigue siendo el “ gold standard”
 Ha demostrado disminuir la mortalidad sin aumento de
complicaciones.
 Hay que tener en cuenta la nefrotoxicidad, el estado hemodinámico
del paciente, y el uso de sustancias vasodilatadoras.
 Puede dar el Dx en NOMI.
 NO está disponible en todos los centros.
 Retraso del tratamiento (en algunos centros)
RADIOLOGÍA
Su uso agresivo y temprano ha
sido uno de los pocos métodos
que ha demostrado disminuir la
mortalidad. Surgery 1977;82:848.
 Angio- RMN:
 No invasiva, pero cara.
 Mejor papel en IMC.
 Sobreestima el grado de estenosis y detecta peor signos
indirectos de isquemia intestinal que sí ve la TC.
 Laparoscopia diagnóstica
 Cuando no se tiene un diagnóstico
 Como último recurso.
RADIOLOGÍA
TRATAMIENTO
OBJETIVO
REESTABLECER EL FLUJO ESPLÁCNICO
TAN PRONTO COMO SEA POSIBLE,
ANTES DEL INFARTO INTESTINAL
DIAGNÓSTICO
TEMPRANO
Boley SJ, Sprayregen S, Siegelman
SJ, Veith FJ. Initial results from an
aggressive roentgenologic and
surgical approach to acute
mesenteric ischemia. Surgery
1977;82:848.
Lobo Martinez E, Carvajosa E, Sacco O,
Martinez Molina E. [Embolectomy in
mesenteric ischemia.] Rev Esp Enferm
Dig 1993;83:351.
Primero en demostrar que la
angiografía temprana
conseguía más supervivencia
que el manejo tradicional
(54% frenta a20% de
supervivencia)
21 pacientes con IMA de
origen embólico
Tto con <12h de
síntomas
Tto con >24 h de
síntomas
100%
viabilidad int.
18% viabilidad
int.
SE HA DEMOSTRADO QUE SI NO
HAY REPERFUSIÓN TEMPRANA, EL
RESTO DE RAMAS DE LA AMS
PRESENTA VASOCONSTRICCIÓN
(Angiotensina II y Vasopresina).
 MEDIDAS GENERALES
 Antibioterapia de amplio espectro: han demostrado aumentar la
supervivencia en ratas. Evita la traslocación bact.
 Anticoagulación con Heparina IV  TPTA x2. Momento controvertido
 Sueroterapia con monitorización hemodinámica estricta, control
de diuresis mediante sondaje.
 SNG a bolsa y dieta absoluta  descompresión digestiva
 Fármacos a evitar: Vasoconstrictores cuando sea posible (DA, NA),
Digital (vasoconstricción esplácnica)
 Dobutamina mejor de DA y NA.
 Reservar C. Hematíes y realizar estudio preoperatorio.
Al DX? Si no hay signos de infarto int.?Tras cirugía?
MEDIDAS GENERALES
 QUIRÚRGICA
 Embolectomía, técnicas de by-pass
 Estado de asas intestinales
 Color, pulso, peristaltismo, ECO-doppler, fluoresceína iv +
lámpara de Wood
 Resección de asas infartadas tras revascularización
 ¿A quiénes? pacientes operables que tengan signos de
irritación peritoneal
 Secod-look  24-48 h con el obj de revisar estado de asas
REVASCULARIZACIÓN
Sach et al. Reportaron que sólo 18-20% de los pac. Se
beneficiaban
Laparoscopia o laparotomía? Ventajas y desventajas
Lo más aceptado en función de los hallazgos de la primera Qx.
 ENDOVASCULAR PERCUTÁNEA
 Inyección intraarterial de trombolíticos,
 Vasodilatadores (Papaverina)  evitan la vasoconstricción
persistente tras la reperfusión.
 Colocación de stent
 ¿A quienes? En pacientes operables sin signos de peritonismo,
pacientes inoperables, previo a laparotomía
 Se recomienda realizarla en quirófano por si hiciese falta
realizar laparotomía.
 Diagnóstica-terapéutica.
REVASCULARIZACIÓN
REVASCULARIZACIÓN J Vasc Surg 2011;53:698-705.)
ESTUDIO RETROSPECTIVO
Ohyo. 70 pacientes 1999-2008
RESULTADOS
-Mayor supervivencia con tto
endovascular primario
-Menor tasa de complicaciones
con tto endovascular
-SESGO DE SELECCIÓN
-EL 69% de los tratados
mediante abordaje
endovascular requirieron Qx
 Revascularización Qx: embolectomía con catéter de
Fogarty + revisión-resección de asas.
 Revascularización endovenosa percutánea +
trombolisis intraarterial+/- vasodilatadores
intraarteriales +/- stent
 Buscar causa embolígena y tratarla
IMA EMBOLÍGENA
 Revascularización Qx: By-pass con vena safena aor-
mesentérica
 Evitar uso de prótesis por alto riesgo infeccioso en la
IMA.
 Revascularización endovascular: trombectomía + stent
(necesidad de lecho distal permeable).
 Estudiar enfermedad aterosclerótica a otros niveles:
coronarias, carótidas.
IMA TROMBÓTICA
 SIN PERITONISMO
 CON PERITONISMO
TVM
 Anticoagulación inmediata
 Trombolisis por abordaje: v. yugular, AMS o
portal transhepática.
NO HAY ESTUDIOS
QUE LOS COMPAREN
 CIRUGÍA + ANTICOAGULACIÓN
La trombectomía no se recomienda por alta tasa de recurrencia
Sólo en < 3 días y con trombosis en la porción proximal de la VMS.
 ¿Hasta cuando la anticoagulación?
 3-6 meses en primer episodio
 De por vida tras 2º episodio o si causa permanente.
 La heparina ha demostrado
 ¿QX o anticoagulación?
J. Vasc. Surg 2001; 34.673-9. No encontraron diferencias
-Superv. A los 2 años
-Morbilidad
-Mortalidad
Las asas intestinales suelen ser viables en la TVM
aunque su aspecto quirúrgico sea de inviables.
Mejor tasa de supervivencia que otros tipos de IMA.
TVM
Gastroenterology 2000;118:954
Aumentar la supervivencia
Disminuir la recurrencia
Disminuir la progresión del
trombo
 VASODILATADORES INTRAARTERIALES
 Papaverina intraarterial 30-60 mg/h
 Hasta 24 h después de la respuesta
 No finalizar aunque se realice Qx
 Monitorización hemodinámica estricta, peligro de hipoTA
profunda.
 Iloprost
 Análogo de Prostaciclina, vasodilatador arterial
 Actividad fibrinolítica y antiagregante
 En cerdos aumento 60% el flujo sin disminuir TA.
 SI PERITONISMO  QX-resección int.
 CORREGIR DESENCADENANTES Y FACT. RIESGO
IMNO
 La reperfusión lleva a otros órganos radicales libres y
toxinas bacterianas, pudiendo provocar daños y
complicaciones a pulmones u otros órganos
 Tratamiento: ¿O2 hiperbárico?–> en investigación.
y medidas de soporte
SD. ISQUEMIA-REPERFUSIÓN
 MORTALIDAD ALTÍSIMA
 60-80% (40% para la TVM).
 Tasa superv. en función del momento diagnóstico
 Primeras 24 h  60%
 > 24 h  30%
 Poco frecuente
 Difícil diagnóstico con clínica, exploración y radiología
inespecíficos.
 ‘‘pain out of proportion’’ to examination
 Alta mortalidad
 Mejor pronóstico si: Reconocimiento precoz, adecuado
estudio diagnóstico y tratamiento agresivo.
CASOS CLÍNICOS
 Mujer de 69 años
 ANTECEDENTES PERSONALES
 HTA, DM tipo 2, obesidad
 Asma bronquial, OCFA con necesidad de OCD ocasional, SAHOS
con CPAP nocturna
 ACV hemorrágico en 2006 con parálisis VII central, AIT en 2010.
 Intervenida por sinusitis con afectación de PCs V, VI y VII.
 Cardiológicos: FA permanente anticoagulada, Cardiopatía
isquémica con afectación severa de DA m, Iaor sev e IM, que se
intervienen en 2010 con sustitución valvular, con infección de
herida quirúrgica. Varios ingresos por ICC y EAP. Último ECO-
cardio Jul 2012: AD dilatada, VD hipertrófico con FEVI 50%.
 Katz B, deambulación con baston. Clase funcional II-III/IV NYHA.
 Trtamiento habitual: amlodipino, lanacordin, seguril 40 mg/12h,
sintrom, atorvastatina, deprax, durogesic, humulina NPH.
 24 Nov. 2012  La paciente acude a Urgencias por
disnea de reposo, dolor torácico pleurítico, tos y
leucocitosis, insuficiencia respiratoria hipoxémica,
ingresando en Neumología con diagnóstico de NAC
basal derecha.
 25 Nov. 2012  es trasladada a Cardiología por
presentar episodio compatible con EAP por IC
descompensada secundariamente a NAC.
 1 Dic. 2012  inicia clínica de dolor abdominal inicialmente
localizado en HCI, no irradiado, que progresivamente se
acompaña de vómitos biliosos, con deposiciones normales.
 Se avisa a Cir. General: “ abd. Blando y depresible, doloroso a
la palpación en flanco y FII sin peritonismo ni defensa”
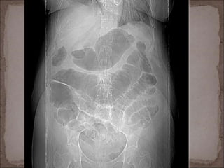
 Se cursa Rx de abdomen  dilatación de asas de delgado
 2 Dic. 2012  se cursa TC abdominal: alteración de la
densidad del bazo en relación con infartos esplénicos. No
líquido libre, ni adenopatías intraabdominales. Hidrops
vesicular y colelitiasis, sin signos de colecistitis.
Divertículos sigmoideos. Ateromatosis calcificada de
arteria esplénica, aorto-ilíaca y mesentérica superior.
 Cirugía revisa TC con Radiología: “ llama la atención la
rarefacción de la grasa del subcutáneo a nivel de FII con aire
en su interior en relación con posible inflamación a ese nivel
sin colecciones organizadas.
 Se descarta patología quirúrgica urgente.
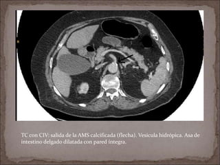
TC con CIV: salida de la AMS calcificada (flecha). Vesícula hidrópica. Asa de
intestino delgado dilatada con pared íntegra.
 3 Dic. 2012  aumento de dolor abdominal que ahora
es generalizado, signos de irritación peritoneal.
 Se avisa a Digestivo de guardia que sospecha isquemia
mesentérica y recomienda realización de angio-TC abd:
dilatación de cámara gástrica y asas intestinales hasta 4
cm con niveles hidroaéreos y progresiva normalización
en íleon proximal, sin causa obstructiva. Troncos
viscerales permeables incluyendo arteria y vena
mesentérica superior.
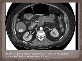
TC con CIV: asas de intestino delgado dilatadas con pared mal definida.
¿neumatosis?. Vesícula hidrópica con colelitiasis.
 4 Dic. 2012  empeoramiento clínico, con hipotensión
(TAS 75), más dolor abdominal y oliguria. Se comenta con
UCI-P y se decide ingreso.
 EF: TA 115/50, Sat O2 89% con VMSK 28%, FR 24 rpm, Tª 36’5
ºC, consciente y orientada, sin focalidad neurológica,
arrtímica, click de válvula protésica, MV disminuido, con
crepitantes en ambos hemitórax, abd. Globuloso, timpánico,
doloroso a la palpación en los 4 cuadrantes y a la
descompresión, con RHA abolidos. Tacto rectal: heces duras
de aspecto normal en ampolla rectal.
 Analítica: glu 161, urea 157, Cr 3’13, LDH 757, CPK 33, PCT 3’5,
Hb 13’5, plaq 178000, leucos 15000. GAB: pH 7’44, pCO2 38,
CO3H 25’8, exc. Base 1’8, sat O2 91, lactato 36.
 Rx tórax: ICT aumentado, hilios prominentes, signos de
redistribución, dudoso infiltrado basal derecho.
 Se pautan profilaxis habituales, antibioterapia de
amplio espectro (Meropenem y Aztreonam). Se toma
vía central subclavia izquierda y se inicia NA a 5 ml/h
tras reposición hídrica. Se retiran diuréticos y se coloca
SNG saliendo bilis. Se toman cultivos.
 Dx inicial: shock séptico de origen desconocido. A
descartar origen abdominal y respiratorio. Íleo
paralítico.
 5 Dic. 2013  se cursa ECO abdominal que descarta
colecistitis y se avisa de nuevo a Cirugía General,
decidiéndose realizar laparotomía exploradora, con los
siguientes hallazgos:
 Isquemia de yeyuno de unos 40-50 cm a 30 cm de Treitz.
Resto de int. Delgado con áreas parcheadas de aspecto
isquémico parcial. Vesícula distendida sin signos de
colecistitis. Se palpa pulso raíz de AMS. Resección
intestinal de 50 cm de yeyuno. Anastomosis T-T. Cierre
de brecha mesentérica. 2 Penrose. Cierre sobre malla
composite.
 9 Dic. 2013  se decide reintervenir ante exploración
abdominal patológica y no mejoría clínica.
 Seroma de herida quirúrgica, sutura y-y sin signos de
dehiscencia con buena vascularización. En colon
transverso zona deserosada no perforada. Resto sin
hallazgos.
 COMPLICACIONES POSTERIORES
 53 días de ingreso en unidad de críticos.
 Infección de herida quirúrgica
 Ventilación mecánica prolongada. Traqueostomía
percutánea 27/12/12. Neumonía nosocomial izquierda
(Proteus mirabilis). Imposibilidad para el destete.
Traqueotomía percutánea.
 Fracaso renal.
 Colitis isquémica segmentaria de colon descendente y
sigma, con diarrea secundaria.
 Herpes zoster en área de T1 derecha.
 Fallecimiento por shock y FMO el 26 de Ene de 2013.
A pesar de los avances en algoritmos
clínicos, investigaciones de laboratorio,
y mejora de las técnicas de imagen, la
isquemia mesentérica sigue siendo un
desafío clínico diagnóstico con una
presentación inespecífica y alta
mortalidad
 A. Wasnik, et al. Multidetector CT imaging in mesenteric ischemia—pearls and pitfalls.
Emerg Radiol (2011) 18:145–156.
 X. Meng, et al. Indications and Procedures for Second-Look Surgery in Acute Mesenteric
Ischemia. Surg Today (2010) 40:700–705.
 ZM Arthurs, et al. A comparison of endovascular revascularization with traditional
therapy for the treatment of acute mesenteric ischemia. J Vasc Surg 2011;53:698-705.
 MC. Wyers, et al. Acute Mesenteric Ischemia: Diagnostic Approach and Surgical
Treatment. Semin Vasc Surg 23:9-20 © 2010.
 H. Yasuhara, et al. Acute Mesenteric Ischemia: The Challenge of Gastroenterology. Surg
Today (2005) 35:185–195 .
 J. Menke, et al. Diagnostic Accuracy of Multidetector CT in Acute Mesenteric Ischemia:
Systematic Review and Meta-Analysis. Radiology: Volume 256: Number 1—July 2010.
 J. Gagniere, et al. Acute Thrombotic Mesenteric Ischemia: Primary Endovascular
Treatment in Eight Patients. Cardiovasc Intervent Radiol (2011) 34:942–948.
 DM. Schoch, et al. Management of Chronic Mesenteric Vascular Insufficiency: An
Endovascular Approach. J Am Coll Surg 2011;212:668–677.
 K. Karabulut, et al. Diagnostic and prognostic value of procalcitonin and
phosphorus in acute mesenteric ischemia. Ulus Travma Acil Cerrahi Derg 2011;17
(3):193-198.
 ZD. Dundar, et al. Serum intestinal fatty acid binding protein and phosphate levels in the
diagnosis of acute intestinal ischemia: an experimental study in rabbits. The Journal of
Emergency Medicine, Vol. 42, No. 6, pp. 741–747, 2012.
 MJ. Sise, et al. Mesenteric ischemia: the whole spectrum. Scandinavian Journal of
Surgery 99: 106–110, 2010.
 Mesenteric ischemia. Emerg Med Clin N Am 22 (2004) 909–928
GRACIAS POR SU
ATENCIÓN

SINDROME_DE_ISQUEMIA_MESENTERICA_AGU.pptx

  • 1.
     Descrita ens. XV en Florencia por Beneviene.  En 1875 Litten describe la IMA y sus cambios anatómicos en animales.  En 1894 Councilman describe IMC.  En 1895 Elliot describe la TVM, que no fue aceptada como entidad independiente hasta 1936.  En 1958 Ende publica en la New England Journal of Medicine ‘‘Infarction of the bowel in cardiac failure’’, hablando por primera vez del NOMI. HISTORIA
  • 2.
     3 arteriasppales.  Muchas colaterales  75% flujo mucosa y submucosa  El intestino delgado: 10% del GC ayunas y 20% del GC postprandial. ANATOMÍA Y FISIOLOGÍA DE LA CIRCULACIÓN INTESTINAL TRONCO CELIACO A. MESENTÉRICA SUPERIOR* A. MESENTÉRICA INFERIOR A. MARGINAL DE DRUMMOND ARCO DE RIOLANO
  • 3.
     Es necesariala obstrucción de al menos dos de estas arterias para que se produzca isquemia. ¿?  Las primeras lesiones isquémicas se dan en la mucosa y la submucosa ANATOMÍA Y FISIOLOGÍA DE LA CIRCULACIÓN INTESTINAL MUCOSA Y SUBMUCOSA Enzimas lisosomales Interleukinas Radicales libres Edema parietal y hemorragia submucosa. Aumento permeabilidad intestinal (traslocación bacteriana). MÚSCULO NTESTINAL Aumento inicial del tono Atonía Dilatación y necrosis trasmural.
  • 4.
     ISQUEMIA INTESTINAL:déficit circulatorio (total o parcial) con respecto a los requerimientos intestinales. DEFINICIONES CLASIFICACIÓN: ISQUEMIA MESENTÉRICA AGUDA (IMA) ORIGEN ARTERIAL ORIGEN VENOSO ISQUEMIA MESENTÉRICA CRÓNICA (IMC) O “ANGINA INTESTINAL” COLITIS ISQUÉMICA
  • 5.
     1-2% delas enfs. Gastrointestinales  1% de los casos de abdomen agudo  Representa 1 de cada 1000 ingresos hospitalarios en EEUU.  Hasta el 5% de la mortalidad hospitalaria en EEUU.  Reciente aumento de la incidencia 8’6/100000 pers- año  aumento edad población, realización de más TC,… EPIDEMIOLOGÍA Brandt LJ, et al. AGA technical review on intestinal ischemia. American Gastrointestinal Association. Gastroenterology 2000; 118. 954-68. American Gastroenterological Association Medical Position Statement: Guidelines on Intestinal Ischemia. Gastroenterology 2000: 118: 951-953.
  • 6.
    EPIDEMIOLOGÍA Stefan Acosta, MD. Epidemiologyof Mesenteric Vascular Disease: Clinical Implications. Semin Vasc Surg 23:4-8:2010
  • 7.
    IMNO Hipótesis de AngiotensinaII y Vasopresina liberadas por el riñón mal perfundido Vasoconstricción persistente esplácnica
  • 8.
    IMA OCLUSIVA IMANO OCLUSIVA ARTERIAL EMBOLÍGENA TROMBOSIS IFS (isquemia focal segmentaria) VENOSA TROMBOSIS Ag /( Sub Ag/ Crónica) IMNO
  • 9.
    IMA OCLUSIVA IMANO OCLUSIVA ARTERIAL EMBOLÍGENA TROMBOSIS IFS (isquemia focal segmentaria) VENOSA TROMBOSIS Ag /( Sub Ag/ Crónica) IMNO
  • 10.
     EMBOLÍGENA  TROMBOSIS IFS ARTERIAL ETIOLOGÍA/F.RIESGO CARACTERÍSTICAS Origen cardiaco (AI, VI, lesión valvular Desencadenante: arritmia, CVE, cateterismo, endocarditis Proximal a A. ileocólica se denomina “embolia mayor” Aterosclerosis, trombofilias, vasculitis, aneurisma Aor, síntomas previos de IMC Origen de la AMS hasta 3 cm muy extensas y de mal pronóstico Vasculitis, traumatismo, émbolo de colesterol, post-RT Compromiso sólo de un pequeño territorio que conlleva aparición rápida de colaterales
  • 11.
    IMA OCLUSIVA IMANO OCLUSIVA ARTERIAL EMBOLÍGENA TROMBOSIS IFS (isquemia focal segmentaria) VENOSA TROMBOSIS Ag /( Sub Ag/ Crónica) IMNO
  • 12.
     TROMBOSIS AGUDA T. SUBAGUDA: dolor abd.  T. CRÓNICA: indolora, varices gastroesofágicas  IFS: en la obstrucción intestinal con estrangulación No se considera IMA. Se forman colaterales que evitan el infarto intestinal VENOSA Necesidad de afectación extensa del eje esplenoportal
  • 13.
    IMA OCLUSIVA IMANO OCLUSIVA ARTERIAL EMBOLÍGENA TROMBOSIS IFS (isquemia focal segmentaria) VENOSA TROMBOSIS Ag /( Sub Ag/ Crónica) IMNO
  • 14.
     ANTECEDENTES  DESENCADENANTES ISQUEMIAMESENTÉRICA NO OCLUSIVA (IMNO) VASOCONSTRICCIÓN Y/O REDUCCIÓN DEL FLUJO ESPLÁCNICO ATEROSCLEROSIS DIGITAL ERGOTAMÍNICOS COCAÍNA NORADRENALINA HIPOPERFUSIÓN GENERALIZADA/HIPOVOLEMIA SHOCK DESHIDRATACIÓN IAM IC FRA, HEMODIÁLISIS QX MAYOR ABDOMINAL QX CARDIACA SEPSIS
  • 15.
    IMA OCLUSIVA IMANO OCLUSIVA ARTERIAL EMBOLÍGENA TROMBOSIS IFS (isquemia focal segmentaria) VENOSA TROMBOSIS Ag /( Sub Ag/ Crónica) IMNO
  • 16.
     Vómitos 75-82% Diarrea 57-70%  Dolor abdominal agudo  localización difusa 88-95%  Si origen embolígeno reconocimiento exacto del momento de inicio  Si origen trombótico antecedente de angina con dolor agudo de mayor intensidad  Embolia previa 33-48% TRIADA CLÁSICA (Rogers 1982 Ann Surg) -Dolor abdominal -Vaciamiento intestinal (vómitos y/o diarrea) - Enfermedad cardiaca subyacente TVM Inicio más insidioso  sólo el 9% de los pacientes se presentan con síntomas de menos de 24 horas. Antecedentes IMNO Inicio gradual y síntomas más leves Dolor periumbilical de tipo cólico, seguido dolor constante Distensión y/o intolerancia digestiva. Hipotensión, acidosis y hemorragia en pacientes con nutrición enteral Antecedentes
  • 17.
     Aspecto: +/-distensión abdominal  Palpación: dolor de localización difusa, al inicio sin signos de irritación peritoneal (sólo 17% al ingreso)  Auscultación: abolición de RHA en fases avanzadas.  Percusión: +/- timpanismo  Fiebre  Hipotensión  SRIS ABDOMEN +/- OTROS ‘‘pain out of proportion’’ to examination
  • 18.
    DOLOR ABDOMINAL Y AUMENTODEL PERISTALTISMO ÍLEO Y ATENUACIÓN TRANSITORIA DEL DOLOR SIGNOS DE IRRITACIÓN PERITONEAL POR PROGRESIÓN DE LA NECROSIS SEPSIS POR TRASLOCACIÓN BACTERIANA Y SHOCK SÉPTICO.
  • 20.
     HIPERAMILASEMIA: ½de los pacientes con infarto intestinal.  FOSFATO: relación lineal con la duración de la isquemia.  PCT: relación lineal  LEUCOCITOSIS Y DESVIACIÓN IZQUIERDA  ACIDOSIS METABÓLICA  PCR AUMENTADA  HEMATOCRITO AUMENTADO  UREA Y Cr ELEVADAS  Dímero- D  α-GST (glutation S-transferasa): experiencia limitada  IFABP (Intestinal Fatty Acid Binding Protein): probada en conejos, no ha demostrado de momento utilidad. LABORATORIO En la TVM los marcadores como la amilasa, el lactato o la leucocitosis son menos valorables, y el uso del Dímero-D controvertido
  • 21.
     Rx simpleabdomen: +/- signos de obstrucción int. Delg., neumatosis, edema de pared, vidrio deslustrado abdominal.  NORMAL EN > 25%  ECO-Doppler: no es útil en la IMA  Visualización sólo de porción proximal de la AMS. No dx de NOMI.  Necesidad de radiólogo con experiencia en Urg.  Pacientes de urgencias sin ayunas de 6 h. RADIOLOGÍA
  • 22.
  • 23.
     TAC conCIV:  Mejor helicoidal multicorte y la angio-TC que la TC convencional.  Visualización de TC, AMS, VMS, VP, estado intestinal.  Exclusión de otras causas de dolor abd. RADIOLOGÍA HALLAZGOS Stop vascular, circulación colateral Edema-engrosamiento de pared 26-96% intestinal Dilatación de asas-íleo 56-91% Neumatosis intestinal 97- 100% E Ascitis Gas en sistema portal Infarto de otro órgano sólido INESPECÍFICOS APARICIÓN EN ESTADÍOS TARDÍOS
  • 24.
     TAC conCIV: RADIOLOGÍA TROMBOSIS AMS Stop abrupto del vaso entre 3-10 cm del origen Colaterales Placas calcificadas EMBOLIA AMS Muesca radioopaca en la luz TROMBOSIS AMS Stop venoso de mayor longitud Aumento de diámetro del vaso El aumento de grosor de la pared int. Es más marcado IMNO Afectación más generalizada de las asas intestinales (delgado> colon) Disminución del calibre de las venas, VCI aplanada. “Shock bowell” Signo de la diana de las asas int.
  • 25.
    RADIOLOGÍA  TAC conCIV: Obs. De la AMS a su salida Anatomía normal. Reconstrucciones TC
  • 26.
    RADIOLOGÍA TC: A cortesagital de oclusión completa de la AMS (flecha). B corte longitudinal.
  • 27.
    RADIOLOGÍA TC de paciente con TVM: a.Trombosis de la VMS b. Continuac ión cefálica hacia el sistema portal c. Corte coronal
  • 28.
    RADIOLOGÍA a y b.Gas en el sistema portal c. Neumatosis de pared intestinal
  • 29.
     IMPORTANTE ENLA TC  Alta S y E  Es no invasiva y más barata que la angiografía  Permite valorar el estado de las asas int.  Permite reconstrucciones 3D  El contraste oral + empeora la valoración de la pared int.  Hallazgos muy inespecíficos (también en infección, inflamación…)  Alteraciones aparecen en fases tardías RADIOLOGÍA Meta-análisis Radiology: Volume 256: Number 1—July 2010
  • 30.
     IMPORTANTE ENLA TC  Alta S y E  Es no invasiva y más barata que la angiografía  Permite valorar el estado de las asas int. , excluir otras causas.  Valora mejor las obstrucciones venosas que la angiografía.  Permite reconstrucciones 3D  El contraste oral + empeora la valoración de la pared int.  Hallazgos muy inespecíficos (también en infección, inflamación…)  Alteraciones aparecen en fases tardías RADIOLOGÍA Meta-análisis Radiology: Volume 256: Number 1—July 2010 Cikrit DF, et al. Ann Vasc Surg 1996;10:109–116 R idley N. Am J Roentgenol 2001;176:549
  • 31.
     Angiografía  Suindicación principalmente diagnóstica ha pasado a ser terapéutica.  Sensibilidad para detectar IMA > 90%. Radiol Clin North Am 2003;41:327–42.  Sigue siendo el “ gold standard”  Ha demostrado disminuir la mortalidad sin aumento de complicaciones.  Hay que tener en cuenta la nefrotoxicidad, el estado hemodinámico del paciente, y el uso de sustancias vasodilatadoras.  Puede dar el Dx en NOMI.  NO está disponible en todos los centros.  Retraso del tratamiento (en algunos centros) RADIOLOGÍA Su uso agresivo y temprano ha sido uno de los pocos métodos que ha demostrado disminuir la mortalidad. Surgery 1977;82:848.
  • 32.
     Angio- RMN: No invasiva, pero cara.  Mejor papel en IMC.  Sobreestima el grado de estenosis y detecta peor signos indirectos de isquemia intestinal que sí ve la TC.  Laparoscopia diagnóstica  Cuando no se tiene un diagnóstico  Como último recurso. RADIOLOGÍA
  • 33.
  • 34.
    OBJETIVO REESTABLECER EL FLUJOESPLÁCNICO TAN PRONTO COMO SEA POSIBLE, ANTES DEL INFARTO INTESTINAL DIAGNÓSTICO TEMPRANO
  • 35.
    Boley SJ, SprayregenS, Siegelman SJ, Veith FJ. Initial results from an aggressive roentgenologic and surgical approach to acute mesenteric ischemia. Surgery 1977;82:848. Lobo Martinez E, Carvajosa E, Sacco O, Martinez Molina E. [Embolectomy in mesenteric ischemia.] Rev Esp Enferm Dig 1993;83:351. Primero en demostrar que la angiografía temprana conseguía más supervivencia que el manejo tradicional (54% frenta a20% de supervivencia) 21 pacientes con IMA de origen embólico Tto con <12h de síntomas Tto con >24 h de síntomas 100% viabilidad int. 18% viabilidad int. SE HA DEMOSTRADO QUE SI NO HAY REPERFUSIÓN TEMPRANA, EL RESTO DE RAMAS DE LA AMS PRESENTA VASOCONSTRICCIÓN (Angiotensina II y Vasopresina).
  • 36.
     MEDIDAS GENERALES Antibioterapia de amplio espectro: han demostrado aumentar la supervivencia en ratas. Evita la traslocación bact.  Anticoagulación con Heparina IV  TPTA x2. Momento controvertido  Sueroterapia con monitorización hemodinámica estricta, control de diuresis mediante sondaje.  SNG a bolsa y dieta absoluta  descompresión digestiva  Fármacos a evitar: Vasoconstrictores cuando sea posible (DA, NA), Digital (vasoconstricción esplácnica)  Dobutamina mejor de DA y NA.  Reservar C. Hematíes y realizar estudio preoperatorio. Al DX? Si no hay signos de infarto int.?Tras cirugía? MEDIDAS GENERALES
  • 37.
     QUIRÚRGICA  Embolectomía,técnicas de by-pass  Estado de asas intestinales  Color, pulso, peristaltismo, ECO-doppler, fluoresceína iv + lámpara de Wood  Resección de asas infartadas tras revascularización  ¿A quiénes? pacientes operables que tengan signos de irritación peritoneal  Secod-look  24-48 h con el obj de revisar estado de asas REVASCULARIZACIÓN Sach et al. Reportaron que sólo 18-20% de los pac. Se beneficiaban Laparoscopia o laparotomía? Ventajas y desventajas Lo más aceptado en función de los hallazgos de la primera Qx.
  • 38.
     ENDOVASCULAR PERCUTÁNEA Inyección intraarterial de trombolíticos,  Vasodilatadores (Papaverina)  evitan la vasoconstricción persistente tras la reperfusión.  Colocación de stent  ¿A quienes? En pacientes operables sin signos de peritonismo, pacientes inoperables, previo a laparotomía  Se recomienda realizarla en quirófano por si hiciese falta realizar laparotomía.  Diagnóstica-terapéutica. REVASCULARIZACIÓN
  • 39.
    REVASCULARIZACIÓN J VascSurg 2011;53:698-705.) ESTUDIO RETROSPECTIVO Ohyo. 70 pacientes 1999-2008 RESULTADOS -Mayor supervivencia con tto endovascular primario -Menor tasa de complicaciones con tto endovascular -SESGO DE SELECCIÓN -EL 69% de los tratados mediante abordaje endovascular requirieron Qx
  • 40.
     Revascularización Qx:embolectomía con catéter de Fogarty + revisión-resección de asas.  Revascularización endovenosa percutánea + trombolisis intraarterial+/- vasodilatadores intraarteriales +/- stent  Buscar causa embolígena y tratarla IMA EMBOLÍGENA
  • 41.
     Revascularización Qx:By-pass con vena safena aor- mesentérica  Evitar uso de prótesis por alto riesgo infeccioso en la IMA.  Revascularización endovascular: trombectomía + stent (necesidad de lecho distal permeable).  Estudiar enfermedad aterosclerótica a otros niveles: coronarias, carótidas. IMA TROMBÓTICA
  • 42.
     SIN PERITONISMO CON PERITONISMO TVM  Anticoagulación inmediata  Trombolisis por abordaje: v. yugular, AMS o portal transhepática. NO HAY ESTUDIOS QUE LOS COMPAREN  CIRUGÍA + ANTICOAGULACIÓN La trombectomía no se recomienda por alta tasa de recurrencia Sólo en < 3 días y con trombosis en la porción proximal de la VMS.
  • 43.
     ¿Hasta cuandola anticoagulación?  3-6 meses en primer episodio  De por vida tras 2º episodio o si causa permanente.  La heparina ha demostrado  ¿QX o anticoagulación? J. Vasc. Surg 2001; 34.673-9. No encontraron diferencias -Superv. A los 2 años -Morbilidad -Mortalidad Las asas intestinales suelen ser viables en la TVM aunque su aspecto quirúrgico sea de inviables. Mejor tasa de supervivencia que otros tipos de IMA. TVM Gastroenterology 2000;118:954 Aumentar la supervivencia Disminuir la recurrencia Disminuir la progresión del trombo
  • 44.
     VASODILATADORES INTRAARTERIALES Papaverina intraarterial 30-60 mg/h  Hasta 24 h después de la respuesta  No finalizar aunque se realice Qx  Monitorización hemodinámica estricta, peligro de hipoTA profunda.  Iloprost  Análogo de Prostaciclina, vasodilatador arterial  Actividad fibrinolítica y antiagregante  En cerdos aumento 60% el flujo sin disminuir TA.  SI PERITONISMO  QX-resección int.  CORREGIR DESENCADENANTES Y FACT. RIESGO IMNO
  • 45.
     La reperfusiónlleva a otros órganos radicales libres y toxinas bacterianas, pudiendo provocar daños y complicaciones a pulmones u otros órganos  Tratamiento: ¿O2 hiperbárico?–> en investigación. y medidas de soporte SD. ISQUEMIA-REPERFUSIÓN
  • 47.
     MORTALIDAD ALTÍSIMA 60-80% (40% para la TVM).  Tasa superv. en función del momento diagnóstico  Primeras 24 h  60%  > 24 h  30%
  • 48.
     Poco frecuente Difícil diagnóstico con clínica, exploración y radiología inespecíficos.  ‘‘pain out of proportion’’ to examination  Alta mortalidad  Mejor pronóstico si: Reconocimiento precoz, adecuado estudio diagnóstico y tratamiento agresivo.
  • 49.
  • 50.
     Mujer de69 años  ANTECEDENTES PERSONALES  HTA, DM tipo 2, obesidad  Asma bronquial, OCFA con necesidad de OCD ocasional, SAHOS con CPAP nocturna  ACV hemorrágico en 2006 con parálisis VII central, AIT en 2010.  Intervenida por sinusitis con afectación de PCs V, VI y VII.  Cardiológicos: FA permanente anticoagulada, Cardiopatía isquémica con afectación severa de DA m, Iaor sev e IM, que se intervienen en 2010 con sustitución valvular, con infección de herida quirúrgica. Varios ingresos por ICC y EAP. Último ECO- cardio Jul 2012: AD dilatada, VD hipertrófico con FEVI 50%.  Katz B, deambulación con baston. Clase funcional II-III/IV NYHA.  Trtamiento habitual: amlodipino, lanacordin, seguril 40 mg/12h, sintrom, atorvastatina, deprax, durogesic, humulina NPH.
  • 51.
     24 Nov.2012  La paciente acude a Urgencias por disnea de reposo, dolor torácico pleurítico, tos y leucocitosis, insuficiencia respiratoria hipoxémica, ingresando en Neumología con diagnóstico de NAC basal derecha.  25 Nov. 2012  es trasladada a Cardiología por presentar episodio compatible con EAP por IC descompensada secundariamente a NAC.
  • 52.
     1 Dic.2012  inicia clínica de dolor abdominal inicialmente localizado en HCI, no irradiado, que progresivamente se acompaña de vómitos biliosos, con deposiciones normales.  Se avisa a Cir. General: “ abd. Blando y depresible, doloroso a la palpación en flanco y FII sin peritonismo ni defensa”  Se cursa Rx de abdomen  dilatación de asas de delgado  2 Dic. 2012  se cursa TC abdominal: alteración de la densidad del bazo en relación con infartos esplénicos. No líquido libre, ni adenopatías intraabdominales. Hidrops vesicular y colelitiasis, sin signos de colecistitis. Divertículos sigmoideos. Ateromatosis calcificada de arteria esplénica, aorto-ilíaca y mesentérica superior.  Cirugía revisa TC con Radiología: “ llama la atención la rarefacción de la grasa del subcutáneo a nivel de FII con aire en su interior en relación con posible inflamación a ese nivel sin colecciones organizadas.  Se descarta patología quirúrgica urgente.
  • 54.
    TC con CIV:salida de la AMS calcificada (flecha). Vesícula hidrópica. Asa de intestino delgado dilatada con pared íntegra.
  • 55.
     3 Dic.2012  aumento de dolor abdominal que ahora es generalizado, signos de irritación peritoneal.  Se avisa a Digestivo de guardia que sospecha isquemia mesentérica y recomienda realización de angio-TC abd: dilatación de cámara gástrica y asas intestinales hasta 4 cm con niveles hidroaéreos y progresiva normalización en íleon proximal, sin causa obstructiva. Troncos viscerales permeables incluyendo arteria y vena mesentérica superior.
  • 56.
    TC con CIV:asas de intestino delgado dilatadas con pared mal definida. ¿neumatosis?. Vesícula hidrópica con colelitiasis.
  • 57.
     4 Dic.2012  empeoramiento clínico, con hipotensión (TAS 75), más dolor abdominal y oliguria. Se comenta con UCI-P y se decide ingreso.  EF: TA 115/50, Sat O2 89% con VMSK 28%, FR 24 rpm, Tª 36’5 ºC, consciente y orientada, sin focalidad neurológica, arrtímica, click de válvula protésica, MV disminuido, con crepitantes en ambos hemitórax, abd. Globuloso, timpánico, doloroso a la palpación en los 4 cuadrantes y a la descompresión, con RHA abolidos. Tacto rectal: heces duras de aspecto normal en ampolla rectal.  Analítica: glu 161, urea 157, Cr 3’13, LDH 757, CPK 33, PCT 3’5, Hb 13’5, plaq 178000, leucos 15000. GAB: pH 7’44, pCO2 38, CO3H 25’8, exc. Base 1’8, sat O2 91, lactato 36.  Rx tórax: ICT aumentado, hilios prominentes, signos de redistribución, dudoso infiltrado basal derecho.
  • 58.
     Se pautanprofilaxis habituales, antibioterapia de amplio espectro (Meropenem y Aztreonam). Se toma vía central subclavia izquierda y se inicia NA a 5 ml/h tras reposición hídrica. Se retiran diuréticos y se coloca SNG saliendo bilis. Se toman cultivos.  Dx inicial: shock séptico de origen desconocido. A descartar origen abdominal y respiratorio. Íleo paralítico.
  • 59.
     5 Dic.2013  se cursa ECO abdominal que descarta colecistitis y se avisa de nuevo a Cirugía General, decidiéndose realizar laparotomía exploradora, con los siguientes hallazgos:  Isquemia de yeyuno de unos 40-50 cm a 30 cm de Treitz. Resto de int. Delgado con áreas parcheadas de aspecto isquémico parcial. Vesícula distendida sin signos de colecistitis. Se palpa pulso raíz de AMS. Resección intestinal de 50 cm de yeyuno. Anastomosis T-T. Cierre de brecha mesentérica. 2 Penrose. Cierre sobre malla composite.
  • 60.
     9 Dic.2013  se decide reintervenir ante exploración abdominal patológica y no mejoría clínica.  Seroma de herida quirúrgica, sutura y-y sin signos de dehiscencia con buena vascularización. En colon transverso zona deserosada no perforada. Resto sin hallazgos.
  • 61.
     COMPLICACIONES POSTERIORES 53 días de ingreso en unidad de críticos.  Infección de herida quirúrgica  Ventilación mecánica prolongada. Traqueostomía percutánea 27/12/12. Neumonía nosocomial izquierda (Proteus mirabilis). Imposibilidad para el destete. Traqueotomía percutánea.  Fracaso renal.  Colitis isquémica segmentaria de colon descendente y sigma, con diarrea secundaria.  Herpes zoster en área de T1 derecha.  Fallecimiento por shock y FMO el 26 de Ene de 2013.
  • 62.
    A pesar delos avances en algoritmos clínicos, investigaciones de laboratorio, y mejora de las técnicas de imagen, la isquemia mesentérica sigue siendo un desafío clínico diagnóstico con una presentación inespecífica y alta mortalidad
  • 63.
     A. Wasnik,et al. Multidetector CT imaging in mesenteric ischemia—pearls and pitfalls. Emerg Radiol (2011) 18:145–156.  X. Meng, et al. Indications and Procedures for Second-Look Surgery in Acute Mesenteric Ischemia. Surg Today (2010) 40:700–705.  ZM Arthurs, et al. A comparison of endovascular revascularization with traditional therapy for the treatment of acute mesenteric ischemia. J Vasc Surg 2011;53:698-705.  MC. Wyers, et al. Acute Mesenteric Ischemia: Diagnostic Approach and Surgical Treatment. Semin Vasc Surg 23:9-20 © 2010.  H. Yasuhara, et al. Acute Mesenteric Ischemia: The Challenge of Gastroenterology. Surg Today (2005) 35:185–195 .  J. Menke, et al. Diagnostic Accuracy of Multidetector CT in Acute Mesenteric Ischemia: Systematic Review and Meta-Analysis. Radiology: Volume 256: Number 1—July 2010.  J. Gagniere, et al. Acute Thrombotic Mesenteric Ischemia: Primary Endovascular Treatment in Eight Patients. Cardiovasc Intervent Radiol (2011) 34:942–948.  DM. Schoch, et al. Management of Chronic Mesenteric Vascular Insufficiency: An Endovascular Approach. J Am Coll Surg 2011;212:668–677.  K. Karabulut, et al. Diagnostic and prognostic value of procalcitonin and phosphorus in acute mesenteric ischemia. Ulus Travma Acil Cerrahi Derg 2011;17 (3):193-198.  ZD. Dundar, et al. Serum intestinal fatty acid binding protein and phosphate levels in the diagnosis of acute intestinal ischemia: an experimental study in rabbits. The Journal of Emergency Medicine, Vol. 42, No. 6, pp. 741–747, 2012.  MJ. Sise, et al. Mesenteric ischemia: the whole spectrum. Scandinavian Journal of Surgery 99: 106–110, 2010.  Mesenteric ischemia. Emerg Med Clin N Am 22 (2004) 909–928
  • 64.

Notas del editor

  • #3 La arteria mesentérica superior irriga yeyuno, íleon, colon ascendente y parte proximal del colon transverso. Las principales arterial colaterales que suplen la irrigación si hay obstáculos son la marginal de Drummond y el arco de Riolano, que comunican la AMS con la AMI, y que suelen tener un calibre aumentado en la IMC.
  • #5 La IMA es un déficit brusco del flujo sanguíneo a un determinado segmento intestinal, lesionándolo al principio de forma reversible pero que si se mantiene el tiempo suficiente, hace que deje de ser viable y evolucione hacia la necrosis completa de su pared Nos centraremos más en ella a continuación. La IMC aparece cuando en el curso de la digestión ocurre una manifiesta desproporción entre las demandas de O2 en el intestino y el flujo real proporcionado por el sistema vascular. Aparece en personas con marcada arteriosclerosis y representa menos del 5% de los casos de isquemia intestinal. La CI es la forma más frecuente de isquemia intestinal (70%) y surge cuando el colon se ve transitoriamente privado del flujo vascular. Algunas áreas, como la flexura esplénica (punto de Griffith), la unión rectosigmoidea (punto de Sudek), y el colon derecho son más vulnerables. Su incidencia se estima en 16 casos por cada 105 habitantes y año. La mayoría de los episodios ocurren en personas con factores de riesgo vascular, siendo frecuente la toma de AINE. Cuando la enfermedad incide en personas jóvenes, debe sospecharse abuso de cocaína (un potente vasoconstrictor), una vasculitis o una trombofilia.
  • #11 En la imagen podéis ver el fin abrupto de la arteria mesentérica superior señalado con una flecha, secundario a un émbolo.
  • #15 La incidencia de la IMNO está disminuyendo, y se cree que es por la mejoría en los cuidados del enfermo crítico y por el uso de Vasodilatadores tras un evento cardiaco.
  • #25 Shock bowell: intestino dilatado y con pared realzada por el contraste por la vasoconstricción esplácnica y la baja perfusión
  • #40 En definitiva, el tratamiento endovascular cada vez se está teniendo más en cuenta a la hora de plantear una opción terapéutica.