ISQUEMIA
INTESTINAL
Molina Padrón Alexandro
ISQUEMIA MESENTERICA
Es el resultado de una variedad de condiciones
que producen la interrupción o reducción del
flujo sanguíneo intestinal o del drenaje venoso,
que condicionan un daño celular debido a la
disminución del aporte de oxigeno y nutrientes,
siendo estos insuficientes para satisfacer los
requerimientos del intestino
Moya Calvo M., Acosta Gacho G., et. Al.,Patologia del mesenterio, isquemia intestinal, Medicine,
2008;10(4), pp 231-241
• Isquemia intestinal
• Isquemia mesentérica
• Trombosis mesentérica
• Accidente vascular mesentérico
• Su prevalencia a aumentado debido al envejecimiento
progresivo de la población
• 1 de cada 1000 ingresos hospitalarios
• Mortalidad de aprox. 70%, resultando en un 5% de la
mortalidad hospitalaria
Moya Calvo M., Acosta Gacho G., et. Al.,Patologia del mesenterio, isquemia intestinal, Medicine,
2008;10(4), pp 231-241
IRRIGACION INTESTINAL
El territorio esplácnico se
irriga a través de 3 vasos
- El tronco celiaco T12

- La arteria mesentérica
superior (AMS) L1
- La arteria mesentérica
inferior (AMI) L3
IRRIGACION INTESTINAL
La AMS y la AMI
proporcionan
la
mayor parte del flujo
sanguíneo del tracto
gastrointestinal
IRRIGACION INTESTINAL
IRRIGACION INTESTINAL
Isquemia
mesentérica
aguda (IMA)

ISQUEMIA
INTESTINAL

Colitis
Isquemica

Isquemia
mesentérica
crónica (IMC)

Moya Calvo M., Acosta Gacho G., et. Al.,Patologia del mesenterio, isquemia intestinal, Medicine,
2008;10(4), pp 231-241
Moya Calvo M., Acosta Gacho G., et. Al.,Patologia del mesenterio, isquemia intestinal, Medicine,
2008;10(4), pp 231-241
Isquemia
intestinal

IMA
Embolia de
la AMS

CI

IMC
Trombosis
de la AMS

IMNO

Trombosis
de la VMS

Isquemia
focal
ISQUEMIA MESENTERICA AGUDA (IMA)
• Surge como déficit de aporte sanguíneo de la AMS, por lo tanto afecta
al intestino delgado y/o hemicolon derecho

Moya Calvo M., Acosta Gacho G., et. Al.,Patologia del mesenterio, isquemia intestinal, Medicine,
2008;10(4), pp 231-241
Moya Calvo M., Acosta Gacho G., et. Al.,Patologia del mesenterio, isquemia intestinal, Medicine,
2008;10(4), pp 231-241
EMBOLIA DE LA AMS (50%)
• El origen mas frecuente de los
embolos que se producen son de
origen cardiaco

• Su gravedad depende
fundamentalmente, de lo proximal
que se asiente el embolo

Moya Calvo M., Acosta Gacho G., et. Al.,Patologia del mesenterio, isquemia intestinal, Medicine,
2008;10(4), pp 231-241
Moya Calvo M., Acosta Gacho G., et. Al.,Patologia del mesenterio, isquemia intestinal, Medicine,
2008;10(4), pp 231-241
TROMBOSIS DE LA AMS (10%)
• Suele producirse en áreas de
ateroesclerosis, muy
frecuentemente en el origen de la
AMS o del tronco celiaco

• 50% de los casos, es la culminación
de una isquemia mesentérica
crónica (dolor abdominal
posprandial y perdida de peso)
Moya Calvo M., Acosta Gacho G., et. Al.,Patologia del mesenterio, isquemia intestinal, Medicine,
2008;10(4), pp 231-241
ISQUEMIA MESENTERICA NO OCLUSIVA IMNO
(25%)
• En estos casos, la disminución del
flujo se produce por vasoconstricción
reactiva a situaciones de bajo gasto
• El organismo va a liberar sustancias,
endotelina, que provocan intensa
vasoconstricción del territorio
esplácnico, para desviar la sangre
hacia otros órganos vitales como
corazón, cerebro y riñon
Moya Calvo M., Acosta Gacho G., et. Al.,Patologia del mesenterio, isquemia intestinal, Medicine,
2008;10(4), pp 231-241
ISQUEMIA FOCAL SEGMENTARIA (5%)
• Resultado del compromiso vascular en
una región limitada del intestino
• No tiene mucho riesgo de producir
una isquemia extensa, debido a que la
circulación colateral suele suplir la
demanda de nutrientes

Moya Calvo M., Acosta Gacho G., et. Al.,Patologia del mesenterio, isquemia intestinal, Medicine,
2008;10(4), pp 231-241
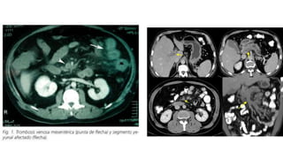
TROMBOSIS VENOSA MESENTERICA (10%)
• Agudas, subagudas y crónicas
• De origen primario cuando hay
alteraciones en la coagulación
• Secundarias si es por otros
mecanismos que predisponen a una
trombosis

Moya Calvo M., Acosta Gacho G., et. Al.,Patologia del mesenterio, isquemia intestinal, Medicine,
2008;10(4), pp 231-241
CUADRO CLINICO
• Se manifiesta como un cuadro de dolor abdominal
intenso, que no suele encontrar correlacion con la
exploración física.
• En la embolia y trombosis de la AMS presentan un inicio
agudo de los síntomas y un rápido deterioro de su
condición
• La IMNO y la trombosis VMS suelen tener un inicio mas
gradual y un curso clínico mas prolongado
Moya Calvo M., Acosta Gacho G., et. Al.,Patologia del mesenterio, isquemia intestinal, Medicine,
2008;10(4), pp 231-241
CUADRO CLINICO
• Sospechar de IMA en Px con cualquiera de los factores
de riesgo
- Enfermedad vascular, arritmias

- Antecedentes de estados de hipercoagulabilidad,
deficiencia de proteína C y S
- Historia de dolor posprandial y baja de peso

Moya Calvo M., Acosta Gacho G., et. Al.,Patologia del mesenterio, isquemia intestinal, Medicine,
2008;10(4), pp 231-241
CUADRO CLINICO
• En un 30% de los ancianos el cuadro clínico esta
enmascarado por un estado de confusión mental
- Deterioro cognitivo

- Taquipnea
- Hipoacusia
El dolor abdominal en estos pacientes en menos
frecuente que en Px jóvenes
Moya Calvo M., Acosta Gacho G., et. Al.,Patologia del mesenterio, isquemia intestinal, Medicine,
2008;10(4), pp 231-241
DIAGNOSTICO
• LABORATORIOS
- 75% de los pacientes = leucocitosis con desviación a la izq.
- Elevacion del dimero-D, fosfatasa alcalina, LDH, reflejan la presencia
de una necrosis intestinal establecida.
Dimero-D = <500 microgramos/L
FA= 44-147 UI/L
LDH= 105-333 UI/L
Moya Calvo M., Acosta Gacho G., et. Al.,Patologia del mesenterio, isquemia intestinal, Medicine,
2008;10(4), pp 231-241
DIAGNOSTICO
• Rx.
- 25% de los Px tienen una Rx simple de abdomen normal -> indicador
de buen pronostico ya que hace improbable la presencia de lesiones
mucosas avanzadas. (mortalidad de 29%)
- Alteraciones como engrosamiento de las asas intestinales,
impresiones digitiformes, thumbprinting -> sinónimos de hemorragia
intramural y edema, lo que da un mal pronostico (mortalidad del
80%)
Moya Calvo M., Acosta Gacho G., et. Al.,Patologia del mesenterio, isquemia intestinal, Medicine,
2008;10(4), pp 231-241
DIAGNOSTICO
• ECO-DOPPLER
• Sirve solo para demostrar las oclusiones mas proximales de la AMS

• Limitacion para ver estenosis a nivel de las porciones distales de la
AMS
• Oclusiones o estenosis completas de 2 y hasta 3 vasos no son Dx de
IMA ya que hay Px asintomáticos con estas oclusiones
Moya Calvo M., Acosta Gacho G., et. Al.,Patologia del mesenterio, isquemia intestinal, Medicine,
2008;10(4), pp 231-241
DIAGNOSTICO
• TAC
• Su mayor utilidad es en el diagnostico de TVM

• Recomendación de que en Px con dolor abdominal y antecedentes de
trombosis venosa profunda o de hipercoagulabilidad

Moya Calvo M., Acosta Gacho G., et. Al.,Patologia del mesenterio, isquemia intestinal, Medicine,
2008;10(4), pp 231-241
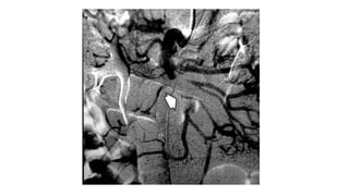
DIAGNOSTICO
• ARTERIOGRAFIA
• No solo confirma el Dx, sino que permite establecer su etiología

• Permite distinguir formas oclusivas de las no oclusivas
• Permite infusión de drogas vasodilatadoras como papaverina y
agentes troboliticos

Moya Calvo M., Acosta Gacho G., et. Al.,Patologia del mesenterio, isquemia intestinal, Medicine,
2008;10(4), pp 231-241
TRATAMIENTO
Vasodilatador:
1mg/ml con una velocidad
de infusión de 30-60mg/hr
Hasta obtener una
arteriografía normal

12-24 hrs después de la Qx

Urocinasa
Estreptocinasa
Activador del plasminogeno tisular

Anticoagulacion por 6 meses para
prevenir recurrencias
• En la TAMS su tratamiento es Qx principalmente
• Se asocia con un alta reoclusion por las placas ateroescleróticas, por
lo que se hace una revascularización mediante una derivación o un
bypass

• Injerto aortovisceral o una protesis de poliéster
• Manejo igual que una EAMS
Heparina sódica de 5 mil unidades en
bolo, seguida de perfusión continua de
1000 U/h32 por 7 a 10 días.

Anticoagulantes por 6 meses orales
ISQUEMIA MESENTERICA CRONICA
• Conocida también como angina intestinal
• Personas con marcada ateroesclerosis y representa menos
de un 5% de las isquemias mesentéricas
• Existe una desproporción entre las demandas de oxígeno,
lo cual ocurre fundamentalmente durante la digestión, y el
flujo sanguíneo proporcionado por el sistema vascular.
CUADRO CLINICO
• Dolor abdominal que aparece precozmente tras la ingesta de
alimentos y cede en un plazo de 2 horas.
• En comidas copiosas el dolor aumenta

• Consecuente perdida de peso, en un 80% de los casos, debido al
miedo al comer por el dolor
• Se puede generar una IMA sobre una IMC debido a la formación de
trombos sobre placas de ateroesclerosis
Ulcera gástrica
Pancreatitis crónica
Cancer de páncreas
Litiasis biliar
sintomática
COLITITS ISQUEMICA
• Causa mas frecuente de isquemia
intestinal
• Ocurre en individuos de la 3ra edad
• Reduccion brusca y transitoria del
flujo sanguíneo en colon
COLITITS ISQUEMICA
Los sitios mas
comunes de
oclusión es:
- Angulo
esplénico
- Union rectosigmoidea
COLITITS ISQUEMICA
• Su causa mas
común es por una
vasoconstricción
esplénica debido a
la disminución del
volumen
circulatorio (CI
no oclusiva)
COLITITS ISQUEMICA
• CUADRO CLINICO
- Dolor abdominal leve, moderado que se situa en flanco
y fosa iliaca izquierda
- Distensión abdominal con urgencia para defecar
- Rectorragia o hematoquecia
- Febricula y dolor a la palpación profunda
COLITITS ISQUEMICA
• DIAGNOSTICO

Se establece a partir de la sintomatología, la exploración física,
los hallazgos en las pruebas complementarias
Rx
TAC
Endoscopia

son inespecíficos y sirven para hacer Dx dif.
COLITITS ISQUEMICA
• ENDOSCOPIA
es la técnica mas sensible
• TRATAMIENTO
• Asegurar un adecuado aporte hidroelectrolítico
• Uso de antibióticos IV de amplio espectro
• Colocacion de sonda nasogástrica para descompresión intestinal

Leucocitosis
Fiebre persistente
Diarrea
Rectorragia
Isquemia intestinal
Isquemia intestinal

Isquemia intestinal

  • 1.
  • 2.
    ISQUEMIA MESENTERICA Es elresultado de una variedad de condiciones que producen la interrupción o reducción del flujo sanguíneo intestinal o del drenaje venoso, que condicionan un daño celular debido a la disminución del aporte de oxigeno y nutrientes, siendo estos insuficientes para satisfacer los requerimientos del intestino Moya Calvo M., Acosta Gacho G., et. Al.,Patologia del mesenterio, isquemia intestinal, Medicine, 2008;10(4), pp 231-241
  • 3.
    • Isquemia intestinal •Isquemia mesentérica • Trombosis mesentérica • Accidente vascular mesentérico
  • 4.
    • Su prevalenciaa aumentado debido al envejecimiento progresivo de la población • 1 de cada 1000 ingresos hospitalarios • Mortalidad de aprox. 70%, resultando en un 5% de la mortalidad hospitalaria Moya Calvo M., Acosta Gacho G., et. Al.,Patologia del mesenterio, isquemia intestinal, Medicine, 2008;10(4), pp 231-241
  • 5.
    IRRIGACION INTESTINAL El territorioesplácnico se irriga a través de 3 vasos - El tronco celiaco T12 - La arteria mesentérica superior (AMS) L1 - La arteria mesentérica inferior (AMI) L3
  • 6.
    IRRIGACION INTESTINAL La AMSy la AMI proporcionan la mayor parte del flujo sanguíneo del tracto gastrointestinal
  • 7.
  • 8.
  • 9.
    Isquemia mesentérica aguda (IMA) ISQUEMIA INTESTINAL Colitis Isquemica Isquemia mesentérica crónica (IMC) MoyaCalvo M., Acosta Gacho G., et. Al.,Patologia del mesenterio, isquemia intestinal, Medicine, 2008;10(4), pp 231-241
  • 10.
    Moya Calvo M.,Acosta Gacho G., et. Al.,Patologia del mesenterio, isquemia intestinal, Medicine, 2008;10(4), pp 231-241
  • 11.
    Isquemia intestinal IMA Embolia de la AMS CI IMC Trombosis dela AMS IMNO Trombosis de la VMS Isquemia focal
  • 12.
    ISQUEMIA MESENTERICA AGUDA(IMA) • Surge como déficit de aporte sanguíneo de la AMS, por lo tanto afecta al intestino delgado y/o hemicolon derecho Moya Calvo M., Acosta Gacho G., et. Al.,Patologia del mesenterio, isquemia intestinal, Medicine, 2008;10(4), pp 231-241
  • 13.
    Moya Calvo M.,Acosta Gacho G., et. Al.,Patologia del mesenterio, isquemia intestinal, Medicine, 2008;10(4), pp 231-241
  • 14.
    EMBOLIA DE LAAMS (50%) • El origen mas frecuente de los embolos que se producen son de origen cardiaco • Su gravedad depende fundamentalmente, de lo proximal que se asiente el embolo Moya Calvo M., Acosta Gacho G., et. Al.,Patologia del mesenterio, isquemia intestinal, Medicine, 2008;10(4), pp 231-241
  • 15.
    Moya Calvo M.,Acosta Gacho G., et. Al.,Patologia del mesenterio, isquemia intestinal, Medicine, 2008;10(4), pp 231-241
  • 16.
    TROMBOSIS DE LAAMS (10%) • Suele producirse en áreas de ateroesclerosis, muy frecuentemente en el origen de la AMS o del tronco celiaco • 50% de los casos, es la culminación de una isquemia mesentérica crónica (dolor abdominal posprandial y perdida de peso) Moya Calvo M., Acosta Gacho G., et. Al.,Patologia del mesenterio, isquemia intestinal, Medicine, 2008;10(4), pp 231-241
  • 18.
    ISQUEMIA MESENTERICA NOOCLUSIVA IMNO (25%) • En estos casos, la disminución del flujo se produce por vasoconstricción reactiva a situaciones de bajo gasto • El organismo va a liberar sustancias, endotelina, que provocan intensa vasoconstricción del territorio esplácnico, para desviar la sangre hacia otros órganos vitales como corazón, cerebro y riñon Moya Calvo M., Acosta Gacho G., et. Al.,Patologia del mesenterio, isquemia intestinal, Medicine, 2008;10(4), pp 231-241
  • 19.
    ISQUEMIA FOCAL SEGMENTARIA(5%) • Resultado del compromiso vascular en una región limitada del intestino • No tiene mucho riesgo de producir una isquemia extensa, debido a que la circulación colateral suele suplir la demanda de nutrientes Moya Calvo M., Acosta Gacho G., et. Al.,Patologia del mesenterio, isquemia intestinal, Medicine, 2008;10(4), pp 231-241
  • 20.
    TROMBOSIS VENOSA MESENTERICA(10%) • Agudas, subagudas y crónicas • De origen primario cuando hay alteraciones en la coagulación • Secundarias si es por otros mecanismos que predisponen a una trombosis Moya Calvo M., Acosta Gacho G., et. Al.,Patologia del mesenterio, isquemia intestinal, Medicine, 2008;10(4), pp 231-241
  • 23.
    CUADRO CLINICO • Semanifiesta como un cuadro de dolor abdominal intenso, que no suele encontrar correlacion con la exploración física. • En la embolia y trombosis de la AMS presentan un inicio agudo de los síntomas y un rápido deterioro de su condición • La IMNO y la trombosis VMS suelen tener un inicio mas gradual y un curso clínico mas prolongado Moya Calvo M., Acosta Gacho G., et. Al.,Patologia del mesenterio, isquemia intestinal, Medicine, 2008;10(4), pp 231-241
  • 24.
    CUADRO CLINICO • Sospecharde IMA en Px con cualquiera de los factores de riesgo - Enfermedad vascular, arritmias - Antecedentes de estados de hipercoagulabilidad, deficiencia de proteína C y S - Historia de dolor posprandial y baja de peso Moya Calvo M., Acosta Gacho G., et. Al.,Patologia del mesenterio, isquemia intestinal, Medicine, 2008;10(4), pp 231-241
  • 25.
    CUADRO CLINICO • Enun 30% de los ancianos el cuadro clínico esta enmascarado por un estado de confusión mental - Deterioro cognitivo - Taquipnea - Hipoacusia El dolor abdominal en estos pacientes en menos frecuente que en Px jóvenes Moya Calvo M., Acosta Gacho G., et. Al.,Patologia del mesenterio, isquemia intestinal, Medicine, 2008;10(4), pp 231-241
  • 26.
    DIAGNOSTICO • LABORATORIOS - 75%de los pacientes = leucocitosis con desviación a la izq. - Elevacion del dimero-D, fosfatasa alcalina, LDH, reflejan la presencia de una necrosis intestinal establecida. Dimero-D = <500 microgramos/L FA= 44-147 UI/L LDH= 105-333 UI/L Moya Calvo M., Acosta Gacho G., et. Al.,Patologia del mesenterio, isquemia intestinal, Medicine, 2008;10(4), pp 231-241
  • 27.
    DIAGNOSTICO • Rx. - 25%de los Px tienen una Rx simple de abdomen normal -> indicador de buen pronostico ya que hace improbable la presencia de lesiones mucosas avanzadas. (mortalidad de 29%) - Alteraciones como engrosamiento de las asas intestinales, impresiones digitiformes, thumbprinting -> sinónimos de hemorragia intramural y edema, lo que da un mal pronostico (mortalidad del 80%) Moya Calvo M., Acosta Gacho G., et. Al.,Patologia del mesenterio, isquemia intestinal, Medicine, 2008;10(4), pp 231-241
  • 29.
    DIAGNOSTICO • ECO-DOPPLER • Sirvesolo para demostrar las oclusiones mas proximales de la AMS • Limitacion para ver estenosis a nivel de las porciones distales de la AMS • Oclusiones o estenosis completas de 2 y hasta 3 vasos no son Dx de IMA ya que hay Px asintomáticos con estas oclusiones Moya Calvo M., Acosta Gacho G., et. Al.,Patologia del mesenterio, isquemia intestinal, Medicine, 2008;10(4), pp 231-241
  • 30.
    DIAGNOSTICO • TAC • Sumayor utilidad es en el diagnostico de TVM • Recomendación de que en Px con dolor abdominal y antecedentes de trombosis venosa profunda o de hipercoagulabilidad Moya Calvo M., Acosta Gacho G., et. Al.,Patologia del mesenterio, isquemia intestinal, Medicine, 2008;10(4), pp 231-241
  • 32.
    DIAGNOSTICO • ARTERIOGRAFIA • Nosolo confirma el Dx, sino que permite establecer su etiología • Permite distinguir formas oclusivas de las no oclusivas • Permite infusión de drogas vasodilatadoras como papaverina y agentes troboliticos Moya Calvo M., Acosta Gacho G., et. Al.,Patologia del mesenterio, isquemia intestinal, Medicine, 2008;10(4), pp 231-241
  • 36.
  • 37.
    Vasodilatador: 1mg/ml con unavelocidad de infusión de 30-60mg/hr Hasta obtener una arteriografía normal 12-24 hrs después de la Qx Urocinasa Estreptocinasa Activador del plasminogeno tisular Anticoagulacion por 6 meses para prevenir recurrencias
  • 38.
    • En laTAMS su tratamiento es Qx principalmente • Se asocia con un alta reoclusion por las placas ateroescleróticas, por lo que se hace una revascularización mediante una derivación o un bypass • Injerto aortovisceral o una protesis de poliéster • Manejo igual que una EAMS
  • 40.
    Heparina sódica de5 mil unidades en bolo, seguida de perfusión continua de 1000 U/h32 por 7 a 10 días. Anticoagulantes por 6 meses orales
  • 41.
    ISQUEMIA MESENTERICA CRONICA •Conocida también como angina intestinal • Personas con marcada ateroesclerosis y representa menos de un 5% de las isquemias mesentéricas • Existe una desproporción entre las demandas de oxígeno, lo cual ocurre fundamentalmente durante la digestión, y el flujo sanguíneo proporcionado por el sistema vascular.
  • 42.
    CUADRO CLINICO • Dolorabdominal que aparece precozmente tras la ingesta de alimentos y cede en un plazo de 2 horas. • En comidas copiosas el dolor aumenta • Consecuente perdida de peso, en un 80% de los casos, debido al miedo al comer por el dolor • Se puede generar una IMA sobre una IMC debido a la formación de trombos sobre placas de ateroesclerosis
  • 43.
    Ulcera gástrica Pancreatitis crónica Cancerde páncreas Litiasis biliar sintomática
  • 46.
    COLITITS ISQUEMICA • Causamas frecuente de isquemia intestinal • Ocurre en individuos de la 3ra edad • Reduccion brusca y transitoria del flujo sanguíneo en colon
  • 47.
    COLITITS ISQUEMICA Los sitiosmas comunes de oclusión es: - Angulo esplénico - Union rectosigmoidea
  • 48.
    COLITITS ISQUEMICA • Sucausa mas común es por una vasoconstricción esplénica debido a la disminución del volumen circulatorio (CI no oclusiva)
  • 49.
    COLITITS ISQUEMICA • CUADROCLINICO - Dolor abdominal leve, moderado que se situa en flanco y fosa iliaca izquierda - Distensión abdominal con urgencia para defecar - Rectorragia o hematoquecia - Febricula y dolor a la palpación profunda
  • 50.
    COLITITS ISQUEMICA • DIAGNOSTICO Seestablece a partir de la sintomatología, la exploración física, los hallazgos en las pruebas complementarias Rx TAC Endoscopia son inespecíficos y sirven para hacer Dx dif.
  • 51.
    COLITITS ISQUEMICA • ENDOSCOPIA esla técnica mas sensible
  • 52.
    • TRATAMIENTO • Asegurarun adecuado aporte hidroelectrolítico • Uso de antibióticos IV de amplio espectro • Colocacion de sonda nasogástrica para descompresión intestinal Leucocitosis Fiebre persistente Diarrea Rectorragia