Jaime Rafael Gutiérrez Pérez
Histología
  Dr. Luis Fernando Tenorio Villalvazo
9 Marzo 2009
División del Sistema Nervioso
             Anatómicamente


           Sistema Nervioso   Cerebro
                              Cerebelo
                Central       Medula

Sistema
Nervioso

                              Nervios craneales
           Sistema Nervioso   Nervios raquídeos que
               Periférico       surgen de la medula y
                                ganglios relacionados
División del Sistema Nervioso
             Fisiológicamente


           Componente
             sensitivo
            (Aferente)
Sistema
Nervioso
                         Sistema Somático
           Componente       Una sola neurona llega al
                              músculo esquelético
              motor
            (Eferente)   Sistema Autónomo
                            Neurona ganglio glándula o
                              corazón
FUNCIONES
 SENSITIVAS
    Receptores -Aferentes

 INTEGRADORA
    Centros nerviosos

 MOTORA
   Núcleos - Efectores (células
    musculares y glandulares)

 SECRETORAS
    Hormonas

 Base estructural para las funciones
  superiores del pensamiento
ORIGEN EMBRIOLOGICO Y
   CARACTERISTICAS
 NEURONAS Y NEUROGLIA (excepto
  microglía):

   ORIGEN ECTODERMICO induce la
    formación del Neuroepitelio que forma la
    Placa neural, se curva en el Surco neural
    y cuando se une forma el Tubo neural

    Espina Bifida, Anencefalia, Epilepsia,
     Enfermedad de Hirschprung conocido como
     Megacolon congénito
COMPONENTES HISTOLOGICOS
        (SNC y SNP)
 ELEMENTOS NERVIOSOS PROPIAMENTE TALES
    Neuronas

 ELEMENTOS INTERSTICIALES
    Células de Neuroglia

 TEJIDO CONECTIVO
    FORMA LAS ENVOLTURAS DEL TEJIDO NERVIOSO
     (parte de las meninges del SNC y vainas que envuelven
     los nervios, cápsulas de los ganglios y tejido conectivo
     asociado a las terminaciones nerviosas y órganos
     sensoriales)
Neuronas
CAJAL
  “Elementos constituyentes son células
  independientes desde el punto de vista
  embriológico, morfológico, trófico y funcional”
  (método de Golgi)

WALDEYER (1891)
  “Neuronas”
NEURONAS
 ESTRUCTURA

   ESTRECHA RELACION FORMA-FUNCION
   (recibir estímulos, traducirlos a una señal o impulso nervioso,
    conducir impulso a cierta distancia y finalmente entregarlo)

   CUERPO NEURONAL: SOMA O PERICARION

   PROLONGACIONES:
     AXON O CILINDRO EJE
     DENDRITAS
CUERPO CELULAR, SOMA O
             PERICARION

 FORMA Y TAMAÑO: VARIABLE


 DIMENSIONES: ENTRE 4 MICRONES (células granulosas
  del cerebelo) y 140 MICRONES (células motoras del cuerno
  anterior de la médula espinal)

 FORMA: ESFERICA, OVOIDEA, PIRAMIDAL,
  FUSIFORME, ESTRELLADA O POLIEDRICA.
 Ultra
  estructura de
  un cuerpo
  neuronal
NUCLEO
 GRANDE, ESFERICO, POSICION CENTRAL


 SE TIÑE POCO POR TENER CROMATINA DISPERSA


 CARACTERISTICO NUCLEOLO MUY PROMINENTE


 EN SEXO FEMENINO CUERPO DE BARR


 UNICO (con excepción de algunas neuronas de ganglios simpáticos
  que pueden tener dos)
 Neurona
  motora
  micrografía
  electrónica de
  una neurona
  del asta
  ventral con
  varias
  dendritas
  (x1410)
NUCLEOPLASMA
 CARACTERISTICAS ESTRUCTURALES DE CELULAS
  METABOLICAMENTE ACTIVAS.

 ESTRUCTURAS CITOPLASMATICAS TIPICAS PARA LAS
  NEURONAS
     NEUROFIBRILLAS
     SUSTANCIA CROMATOFILICA (DE NISSL)
     NEUROTUBULOS
     INCLUSIONES
NEUROFIBRILLAS
 FIBRILLAS QUE ATRAVIESAN EL NEUROPLASMA EN TODAS
  DIRECCIONES


 SE TIÑEN CON SALES DE PLATA (ARGIROFILIA)


 M.E.: AGREGADOS DE NEUROFILAMENTOS (finos filamentos de 100 Aª
  de grosor compuestos por subunidades globulares proteicas (filarina, P.M.
  80.000)


 NO TIENEN MEMBRANA LIMITANTE


 EN CORTE TRANSVERSAL: PARED DENSA DE 30 Aª DE GROSOR
  RODEANDO A ZONA CLARA


 FUNCION EXACTA DESCONOCIDA
NEUROTUBULOS
 Corresponden a los microtubulos del citoesqueleto


 Solo observables con el m.e.


 En corte transversal se ven como tubulos de 200 a 300 aª de
  diametro, sin pared membranosa

 Constituidos por subunidades de proteina filamentosa
  (tubulina, p.m. 100.000 - 120.000)

 Funcion relacionada con la mantencion de la forma celular y
  con el transporte de sustancias a lo largo del axon
SUSTANCIA CROMATOFILICA (de Nissl)

 Granulaciones marcadamente basofilas


 Abundantes en el citoplasma del pericarion y dendritas.
  Nunca en el cono axonico ni en el axon mismo

 M.E.: corresponden a acumulos de RER dispuestos en formas
  de cisternas paralelas (función: síntesis proteica)

 Grandes y abundantes en neuronas grandes (cuerno anterior).

 Variación fisiológica y patológica (cromatolisis, reacción
  axónica)
Cuerpos celulares
               coloreados con
               Azul de Toluidina
               este colorante se
               prende al RNA, se
  Neuronas     observa intensa
               síntesis proteica




  Gliales




Corpúsculos
   de Nissl,
      RNA
PROLONGACIONES CELULARES


              ESTRUCTURA BASICA DE LOS
               NERVIOS DEL SNP Y DE LOS
               HACES, CORDONES Y TRACTOS
               DEL SNC

              SON DE DOS CLASES:

                DENDRITAS
                AXON O CILINDRO EJE
DENDRITAS
 Una o varias prolongaciones relativamente cortas y muy
  ramificadas que dan origen a ramas primarias, secundarias,
  terciarias, etc.

 Gruesas en su origen, se adelgazan en los extremos.


 La superficie presenta irregularidades “espinas o gemulas
  dendriticas”

 El citoplasma dendrítico tiene los mismos organelos del resto
  del pericarión con abundancia de neurotubulos y
  neurofilamentos
DENDRITAS
 Representan la mayor parte de la superficie receptora de la
  neurona (+/- 200.000 contactos sinapticos sobre el arbol
  dendritico de una sola celula piriforme (de purkinje)

 Los estimulos recibidos pueden ser excitatorios o inhibitorios
  para la actividad electrica de la membrana celular.

 Si se produce señal se genera potencial de accion que se
  propaga a lo largo del axon para ser entregado a otra celula.
CILINDRO EJE O AXON
 Prolongacion unica originada del cuerpo celular en zona
  del cono de origen o cono axonico.

 Ocasionalmente se origina desde la superficie de una
  dendrita.

 Morfológicamente caracterizado por ser delgado, liso en su
  superficie y mucho mas largo que las dendritas.

 Diámetro entre 0.2 y 22 micrones que es constante en su
  trayecto.
CILINDRO EJE O AXON
Puede formar un sistema de ramas colaterales que
 emergen en ángulo recto del axon (aumentan la
 superficie de contacto).

Termina en una arborización llamada
 “telodendron” por la cual transmite los impulsos a
 otras neuronas o a células efectoras.

Cada rama terminal finaliza en un extremo
 abultado, el “botón terminal”.
ULTRAESTRUCTURA DEL AXON
Cubierto por la membrana celular (axolema)

En el citoplasma (axoplasma) a diferencia del
 neuroplasma (cuerpo celular y dendritas) no se
 observan organelos relacionados con la sintesis y
 secrecion de proteinas.

Se observan neurofilamentos, neurotubulos,
 mitocondrias, vesiculas del rel e inclusiones
 lipidicas.
FLUJO AXONICO
Corriente continua de elementos que se trasladan
 por el interior del axon (flujo axoplasmico)
   1.- componente de flujo lento:
     Velocidad de 0.5 a 5 mm por dia
     Sustancias solubles de alto p.m.: proteinas relacionadas al
      crecimiento y mantencion del axon
     Funcion trofica
   2.- componente de flujo rapido:
     Velocidad de 10 a 2000 mm por dia
     Vesiculas de neurosecrecion, mitocondrias y elementos
      unidos a membranas (proteinas, enzimas, catecolaminas,
      dopamina)
     Funcion: relacionada a la sinapsis, transmision del impulso
      nervioso y actividad neurosecretora (por ej.: neuronas de
      nucleos del hipotalamo)
CLASIFICACION DE LAS NEURONAS
 A) de acuerdo a su morfología:
   Según número de prolongaciones celulares
      Unipolares
      Bipolares
      Multipolares
    Según largo del axon
      Axon largo o golgi i
      Axon corto o golgi ii
 B) de acuerdo a su función:
    Sensitivas y neurosensoriales
    Motoras
    De asociacion
    Simpaticas – parasimpaticas
    Neurosecretoras
 C) de acuerdo a su localización:
    Centrales
    Perifericas
CLASIFICACION DE LAS
                NEURONAS
 Unipolares:
    Del soma se desprende un solo proceso celular
    Restringidas al periodo embrionario del s.n.
     (neuroblastos)
 Bipolares:
    Celulas que tienen un axon y una dendrita (por ej.:
     neuronas bipolares de la retina y del ganglio coclear, y
     las células neurosensoriales de la mucosa olfatoria).
    Variedad pseudounipolar (células t), localizadas en los
     ganglios craneales y espinales. En las primeras etapas
     del desarrollo embrionario son bipolares y luego las
     prolongaciones convergen formando una sola que a
     cierta distancia del soma se bifurca (un extremo se
     dirige a la periferia y el otro al snc).
CLASIFICACION DE LAS
            NEURONAS

Multipolares
   Tienen varias dendritas principales
   Según la forma del cuerpo celular pueden ser
    estrelladas, piramidales, granulosas, esfericas, etc.
Micrografía electrónica
luminosa de la materia
gris de la medula espinal
(x270).
Observe las neuronas
multipolares y sus
prolongaciones
Neuroglía
       Pueden ser hasta 10 veces mas, formas
  uniones comunicantes de intersticio pero no
               propagan el impulso eléctrico
Astrocitos
Son los mas grandes
   Astrocitos protoplasmáticos en la sustancia gris SNC
     Forma estrellada abundante citoplasma, gran núcleo y
      muchas ramificaciones cortas, las puntas se fijan a los vasos
      sanguíneos, otros con la piamadre formando la membrana
      piaglial
   Astrocitos fibrosos en sustancia blanca del SNC
     Citoplasma eucromatico, proyecciones largas y casi no
      ramificadas, relacionados con piamadre y vasos sanguíneos
      pero separados por lamina basal


Depredadores de iones y residuos del metabolismo,
 K+, glutamato, y acido α-aminobutirico.
Oligodendrocitos
Parecidos a astrocitos de menor tamaño y con
 menor numero de ramificaciones.
Se tiñen de color mas fuerte
    Núcleo pequeño,
    RER abundante
    Muchos ribosomas libres y mitocondrias
    Complejo de golgi definido


 Oligodendrocitos interfasciculares Localizados en fila a los
  lados de los axones elaboran y conservan la mielina de varias
  axones dentro del SNC
Células de microglia
Pequeñas células
   Tinción oscura
   Citoplasma escaso
   Núcleo de oval a triangular
   Proyecciones cortas irregulares


Función fagocítica de desechos y estructuras
 lesionadas

Se originan en la medula ósea son parte de la
 población de células fagocíticas mononucleares
Células ependimarias
Células de epitelio cilíndrico bajo a cuboideo
Reviste los ventrículos cerebrales y al epéndimo
Citoplasma con abundantes mitocondrias
En ciertas zonas son ciliadas

Tanicitos con proyecciones al hipotálamo
 transportan LCR a células neurosecretoras
Células de Schwann
En SNP
Cubierta mielínica o amielínica
   Células planas
   Núcleo aplanado
   Golgi pequeño y unas cuantas mitocondrias
   La mielina es el plasma lema enrollado varias veces
    (50)
   Interrupciones nódulos de Ranvier
   Segmentos internodales de 200 a 1000 чm


Solo un internado de un solo axón mielínico
Pero pude cubrir a varios axones amielínicos
CELULAS DEL NEUROLEMA
                  (SCHWANN)
 Corresponden a la envoltura mas externa de las fibras
  nerviosas del SNP
 Célula neuroglía de origen ectodérmico
 Núcleo aplanado localizado a media distancia entre dos
  nodos de ranvier
 Tienen poco citoplasma con algunos lisosomas
 Su superficie esta cubierta por una lámina basal la que no se
  interrumpe a nivel de los nodos
 Los bordes de las células del neurolema (Schwann) vecinas
  presentan una serie de procesos citoplasmáticos que se
  interdigitan
Funcion
   Producir mielina
   Necesarias para la regeneración de la fibra nerviosa:
    Adquieren capacidades fagocíticas eliminando los trozos en
     degeneración del axon separados del soma y además
     proliferan activamente formando tubos por los cuales, si se
     reúnen ciertas condiciones (ausencia de infección), puede
     crecer en sentido periférico un trozo de axon en
     regeneración (esta regeneración no se produce en el SNC)
Generación y
conducción del
      Impulso
     Nervioso
 Como resultado de la despolarización de la membrana
 el impulso viaja a través del axón hasta la terminación
                                                axoniana.

  La transmisión de una neurona hacia otra, una célula
         muscular o de una glándula se llama Sinapsis
Las neuronas están polarizadas
   Potencial reposo -70 mV
   Concentración K+ mas elevada dentro
   Concentraron Na+ y Ca+ mas elevada fuera
Estimulación de Neurona abre canales de Na+ en
 una región de la membrana esto invierte el voltaje
 la membrana esta despolarizada
Se cierran canales Na+ 2 mseg fase refractario
Se abren canales K+ y salen
Ocurre un periodo de hiperpolarización
Potencial de accion 1000 impulsos/seg
   La despolarización de una zona por la entrada de
    iones Na+ se extiende
Sinapsis
La membrana presináptica descarga uno o mas
 neurotransmisores en la hendidura sináptica de 20 a
 30 nm, el neurotransmisor se difunde hasta los
 receptores especializados en la membrana
 postsináptica.
Entonces en la neurona postsináptica puede provocar
   Despolarización de la membrana e inicia un potencial de
    acción el potencial potsináptico excitatorio
   Conservación de potencial de la membrana potencial
    potsináptico inhibitorio
TIPOS DE SINAPSIS
 SEGÚN LAS PARTES DE LAS NEURONAS QUE
  ESTABLECEN RELACION SINAPTICA:

   AXODENDRITICAS
   AXOSOMATICAS
   AXOAXONICAS
   DENDRODENDRITICAS
   SOMATOSOMATICAS
   SOMATODENDRITICAS
   SOMATOAXONICAS
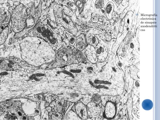
   Micrografía
    electrónica
    de sinapsis
    axodendríti
    cas
Nervios
Periféricos
 Son haces de fibras nerviosas rodeados por
       por varias vainas de tejido conectivo.
Contiene componentes tanto sensitivos como
                                     motores
Revestimiento del
            tejido conectivo
Epineurio capa mas externa del nervio
   Tejido conectivo fibroso denso fibras elásticas
   Fibras colágenas alineadas para protegerlo de lesión
    en una extensión excesiva
   Se adelgaza mas entre mas se aleja el axón y al final
    desaparece en las pequeñas fibras nerviosas

Perineurio capa media
   Cubre cada haz de fibras nerviosas dentro del nervio
   Tejido conectivo denso mas delgado
   Capa interna de células epiteloides aíslan el
    ambiente nervioso
   Su grosor disminuye hasta ser una capa de células
    aplanadas
Endoneurio capa mas interna del nervio
   Rodea a cada axón
   Tejido conectivo laxo, capa delgada de fibras
    reticulares, producidas por células de Schwann
   Fibroblastos, macrófagos fijos, capilares, y mastocitos
    perivasculares
   Esta en contacto con lamina basal de células de
    Schwann
Estructura
de un haz
nervioso
CLASIFICACION DE LAS FIBRAS
               NERVIOSAS

 MORFOLOGICA:
   MIELINICAS
   AMIELINICAS


 FUNCIONAL:
    SENSITIVAS O AFERENTES: el impulso hacia el SNC
    MOTORAS O EFERENTES: desde el SNC
FIBRAS MIELINICAS

Formadas por el axon, una vaina de mielina (de
 naturaleza lipoproteica) que la cubre, la célula
 envolvente y, por fuera, una membrana basal.
FIBRAS MIELINICAS
Axon
  Los de este tipo de fibras son de mayor calibre (hasta
   22 micrones de diámetro).
  Como el axon es de mayor longitud que la célula
   envolvente esta cubierto en su trayecto por varias de
   estas células en tramos de distinta magnitud
   (constante para una misma fibra)
  Los sitios en que el axon queda sin su cubierta
   celular envolvente se llaman estrangulaciones o
   nodos de ranvier.
  La distancia entre nodos vecinos se llama internodo y
   corresponde a la longitud de las células neuroglías
FIBRAS MIELINICAS
Mielina
   Vaina dependiente de la célula del neurolema
    (schwann) o de oligodendrocitos, que se forma
    durante el crecimiento de la fibra nerviosa por
    enrollamiento en vueltas sucesivas de una parte de la
    célula neuroglica alrededor del axon (teoría de
    mielinización por rotación)

   El citoplasma contenido en la porción celular en
    proceso de enrollamiento se desplaza hacia la
    periferia y el axon queda envuelto por laminas
    espirales de dobles membranas celulares, desde unas
    pocas hasta 100 o mas según el diámetro de la fibra.
FIBRAS MIELINICAS
Mielina
   En el m.e. se observa como un sistema laminar con
    bandas alternadas claras y oscuras. Las bandas claras
    corresponden a capas lipidias de la doble membrana
    plasmática y las oscuras, de dos tipos, indican la zona
    de fusión de las capas proteicas de la membrana.

   La banda mas ancha o línea densa mayor corresponde a
    la unión de las capas proteicas internas

   La banda mas fina o línea intraperiodica representa la
    unión entre las capas proteicas externas.
FIBRAS MIELINICAS
La zona donde se encuentra el extremo de
 invaginación mas profundo de la célula neuroglica se
 llama mesaxon interno

La zona en donde ha penetrado inicialmente el borde
 celular es el mesaxon externo

Las vainas de mielina que tienen mas de 20 laminas de
 espesor presentan formaciones llamadas incisuras
 mielinicas (cisuras de Schmidt – Lanterman) que están
 relacionadas con cambios de la fibra al ajustarse a
 cambios de volumen axoplasmico y de longitud
Estructura
 fina de
 una fibra
 nerviosa
 mielínica y
 su célula
 de
 Schwann
FUNCIONES DE LA
                VAINA DE MIELINA
 La mielinización de las fibras nerviosas es un sistema
  desarrollado para aumentar la velocidad de conducción del
  impulso

 Las capas de mielina forman un buen aislante eléctrico
  alrededor del axon

 En los nodos de ranvier se produce flujo de iones a través del
  axolema generándose los potenciales eléctricos que propagan
  el impulso el cual es conducido de nodo a nodo “conducción
  saltatoria”

 Entre las fibras mielinicas a mayor diámetro del axon, mayor
  velocidad de conducción
Cuatro fases sucesivas de la formación de la capa de mielina por las
Células de Schwann
FIBRAS AMIELINICAS
              (REMAK)

Son las fibras mas delgadas del SN.

En el SNP formadas por axones y células del
 neurolema (schwann) y rodeadas por una lamina
 basal

No tienen mielina y característicamente cada célula
 del neurolema envuelve a varios axones (ej.: 7 a 21
 en el nervio trigémino)
Corte transversa de un nervio, la vaina de mielina que envolvía cada axón fue
parcialmente removida por el proceso histológico, Pararrosalina y azul de toluidina,
aumento medio
Corte transversal de nervios de pequeño diametroo, losnucleos de celulas de
Schwann cabezas de flecha y los axones flechas. Pararrosalina y azul de toluidina,
aumento medio
FIBRAS AMIELINICAS
 En las zonas de relación entre células del neurolema vecinas, estas
  presentan una cierta cantidad de interdigitaciones de forma que
  una extensión citoplasmática de una célula puede acompañar a un
  axon por alguna distancia en el territorio de la siguiente célula de
  la serie

 En el SNC las fibras amielinicas carecen de una envoltura celular
  propia: en la sustancia blanca van entremezcladas con las
  mielinicas

 En los lugares en que predominan las fibras amielinicas, como en el
  hipotalamo, estas se presentan en grupos rodeados por tabiques de
  procesos celulares pertenecientes a astrocitos
Estructura
 fina de una
 fibra
 nerviosa
 amielinica
CLASIFICACION DE LAS
        FIBRAS NERVIOSAS
Según el diámetro de las fibras y velocidad de
 conducción:
   Tipo A:
     Mielinicas, en nervios espinales
   Tipo B:
      Mielinicas, fibras preganglionares de nervios del SNA
   Tipo C:
      Amielinicas, corresponden a mas de la mitad de los nervios
      sensitivos y todas las ramas nerviosas del SNA
      postganglionares. Mas de las dos terceras partes de las
      fibras en los nervios periféricos
CLASIFICACION DE LAS
        FIBRAS NERVIOSAS

                          DIAMETRO       VELOCIDAD DE
        FIBRA TIPO         (micrones)    CONDUCCION
                                          (mts / segundo)

             A              4 – 22          15 – 120
             B               1–3              3 – 14
             C              0.2 – 1           0.2 - 2

 OTRO TIPO DE FIBRAS DESCRITO SON LAS FIBRAS DELTA QUE SON
  BASTANTE DELGADAS (1.4 micrones) Y DE CONDUCCION
  RELATIVAMENTE LENTA (5 – 15 mts / seg)
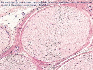
Fotomicrografía de un corte transversal de un nervio periférico (x132) Se observa los
axones y el perineurio que rodea el fascículo
Fotomicrografía de un corte longitudinal de un nervio periférico (x270) Se observa
mielina y nódulos de Ranvier además de los núcleos ovales de Schwann
Diseño esquemático
muestra la ultra
estructura de una fibra
mielínica (A) y de una
amielinica (B):
1 núcleo y citoplasma
de célula de Schwamm;

2 axón;
3 microtubulos;
4 neurofilamentos;
5 vaina de mielina,
6 mesaxón;
7 nódulo de Ranvier;
8 interdigitaciones de
las células de Schwann
en el nodo de Ranvier;
9 vista lateral de un
axón amielínico,
10 lámina basal.
Ganglios
Agregados de cuerpos celulares de neuronas
        localizadas fuera del SNC.
     Ganglios sensitivos y autónomos.
Ganglio sensitivo
Relacionados a los nervios craneales V, VII, IX, y X,
 y casa uno de los nervios raquídeos.

Se manifiestan como tumefacciones del nervio

Albergan cuerpos celulares seudounipolares
 envueltos por células satélites aplanadas.

Luego una capa de tejido conectivo de células
 capsulares de colágeno
Microfotografía
de un ganglio
sensorial (x270)
se observa los
largos cuerpos
neuronales con
núcleos
singulares
Ganglios autónomos
Su función es motora, hacen que los músculos liso y
 cardiaco se contraigan y las glándulas secreten.

Fibras preganglionares

Ganglios de la cadena simpática junto a la medula,
 ganglios colaterales a lo largo de al aorta abdominal

En el parasimpático, ganglios terminales en la
 cabeza
Barrera
Hematoencef
       álica
     Barrera altamente selectiva, entre las
 sustancias que trasporta la sangre y el tejido
               nervioso del SNC
Constituida por células endoteliales que revisten
 los capilares continuos

Las células endoteliales forman fascias ocluyentes
 entre si, retrasan el flujo de materiales entre células

Solo O2, H2O, CO2 y materiales pequeños

Los capilares del SNC revestidos de laminas basales
 rodeadas por los pediculos de numerosos
 astrocitos, Glía limitante perivascular
Plexo
Coroideo
Produce liquido cefalorraquídeo que llena los
  ventrículos cerebrales y circula debajo del
           espacio subaracnoideo.
Los pliegues de piamadre (capa delgada de
 fibroblastos modificados aplanados) albergan
 abundancia de capilares fenestrados y están
 revestidos por una cubierta celular cuboidea simple
 (ependimaria) que se extiende a los ventrículos y
 forma los plexos.

LCR de 14 a 36 ml/hr, se restablece 4 o 5 veces al
 día
   Plexo
    coroideo
Regeneración
                  Nerviosa
      Las neuronas no pueden sustituirse pues no
                                 pueden proliferar.
       Si se lesiona una fibra nerviosa periférica la
  neurona intentara reparar la lesión, regenerara la
        proyección y restaurara el funcionamiento
Reacción Axoniana
Reacción local:
   Los extremos seccionados se retraen separándose
    entre si, la membrana se cierra para no perder
    axoplasma

Reacción anterógrada
   La terminal axoniana se hipertrofia
   La porción distal del axón experimenta degeneración
    walleriana el axón se desintegra y las células de
    Schwann proliferan y se dirigen al axón que esta
    regenerando hasta la célula postsináptica
Reacción retrógrada
   El pericarión se hipertrofia, se dispersan los cuerpos
    de Nissl y su núcleo se desplaza, (Cromatólisis) el
    soma produce ribosomas y sintetiza proteínas, dura
    varios meses
   El cono axoniano proximal y la vaina de mielina
    degeneran, surgen varios primordios del axón desde
    el cono proximal, entran en la vaina de tejido
    conectivo, son guiadas por las células de Schwann
Fotomicrografía del cerebelo que pone de de manifiesto sus capas (x132)observe
las células de Purkinje prominentes
Gracias

Tejido nervioso

  • 1.
    Jaime Rafael GutiérrezPérez Histología Dr. Luis Fernando Tenorio Villalvazo 9 Marzo 2009
  • 2.
    División del SistemaNervioso Anatómicamente Sistema Nervioso Cerebro Cerebelo Central Medula Sistema Nervioso Nervios craneales Sistema Nervioso Nervios raquídeos que Periférico surgen de la medula y ganglios relacionados
  • 3.
    División del SistemaNervioso Fisiológicamente Componente sensitivo (Aferente) Sistema Nervioso Sistema Somático Componente Una sola neurona llega al músculo esquelético motor (Eferente) Sistema Autónomo Neurona ganglio glándula o corazón
  • 4.
    FUNCIONES  SENSITIVAS  Receptores -Aferentes  INTEGRADORA  Centros nerviosos  MOTORA  Núcleos - Efectores (células musculares y glandulares)  SECRETORAS  Hormonas  Base estructural para las funciones superiores del pensamiento
  • 5.
    ORIGEN EMBRIOLOGICO Y CARACTERISTICAS  NEURONAS Y NEUROGLIA (excepto microglía):  ORIGEN ECTODERMICO induce la formación del Neuroepitelio que forma la Placa neural, se curva en el Surco neural y cuando se une forma el Tubo neural Espina Bifida, Anencefalia, Epilepsia, Enfermedad de Hirschprung conocido como Megacolon congénito
  • 6.
    COMPONENTES HISTOLOGICOS (SNC y SNP)  ELEMENTOS NERVIOSOS PROPIAMENTE TALES  Neuronas  ELEMENTOS INTERSTICIALES  Células de Neuroglia  TEJIDO CONECTIVO  FORMA LAS ENVOLTURAS DEL TEJIDO NERVIOSO (parte de las meninges del SNC y vainas que envuelven los nervios, cápsulas de los ganglios y tejido conectivo asociado a las terminaciones nerviosas y órganos sensoriales)
  • 7.
    Neuronas CAJAL “Elementosconstituyentes son células independientes desde el punto de vista embriológico, morfológico, trófico y funcional” (método de Golgi) WALDEYER (1891) “Neuronas”
  • 8.
    NEURONAS  ESTRUCTURA  ESTRECHA RELACION FORMA-FUNCION  (recibir estímulos, traducirlos a una señal o impulso nervioso, conducir impulso a cierta distancia y finalmente entregarlo)  CUERPO NEURONAL: SOMA O PERICARION  PROLONGACIONES: AXON O CILINDRO EJE DENDRITAS
  • 10.
    CUERPO CELULAR, SOMAO PERICARION  FORMA Y TAMAÑO: VARIABLE  DIMENSIONES: ENTRE 4 MICRONES (células granulosas del cerebelo) y 140 MICRONES (células motoras del cuerno anterior de la médula espinal)  FORMA: ESFERICA, OVOIDEA, PIRAMIDAL, FUSIFORME, ESTRELLADA O POLIEDRICA.
  • 11.
     Ultra estructura de un cuerpo neuronal
  • 12.
    NUCLEO  GRANDE, ESFERICO,POSICION CENTRAL  SE TIÑE POCO POR TENER CROMATINA DISPERSA  CARACTERISTICO NUCLEOLO MUY PROMINENTE  EN SEXO FEMENINO CUERPO DE BARR  UNICO (con excepción de algunas neuronas de ganglios simpáticos que pueden tener dos)
  • 13.
     Neurona motora micrografía electrónica de una neurona del asta ventral con varias dendritas (x1410)
  • 14.
    NUCLEOPLASMA  CARACTERISTICAS ESTRUCTURALESDE CELULAS METABOLICAMENTE ACTIVAS.  ESTRUCTURAS CITOPLASMATICAS TIPICAS PARA LAS NEURONAS  NEUROFIBRILLAS  SUSTANCIA CROMATOFILICA (DE NISSL)  NEUROTUBULOS  INCLUSIONES
  • 15.
    NEUROFIBRILLAS  FIBRILLAS QUEATRAVIESAN EL NEUROPLASMA EN TODAS DIRECCIONES  SE TIÑEN CON SALES DE PLATA (ARGIROFILIA)  M.E.: AGREGADOS DE NEUROFILAMENTOS (finos filamentos de 100 Aª de grosor compuestos por subunidades globulares proteicas (filarina, P.M. 80.000)  NO TIENEN MEMBRANA LIMITANTE  EN CORTE TRANSVERSAL: PARED DENSA DE 30 Aª DE GROSOR RODEANDO A ZONA CLARA  FUNCION EXACTA DESCONOCIDA
  • 17.
    NEUROTUBULOS  Corresponden alos microtubulos del citoesqueleto  Solo observables con el m.e.  En corte transversal se ven como tubulos de 200 a 300 aª de diametro, sin pared membranosa  Constituidos por subunidades de proteina filamentosa (tubulina, p.m. 100.000 - 120.000)  Funcion relacionada con la mantencion de la forma celular y con el transporte de sustancias a lo largo del axon
  • 18.
    SUSTANCIA CROMATOFILICA (deNissl)  Granulaciones marcadamente basofilas  Abundantes en el citoplasma del pericarion y dendritas. Nunca en el cono axonico ni en el axon mismo  M.E.: corresponden a acumulos de RER dispuestos en formas de cisternas paralelas (función: síntesis proteica)  Grandes y abundantes en neuronas grandes (cuerno anterior).  Variación fisiológica y patológica (cromatolisis, reacción axónica)
  • 19.
    Cuerpos celulares coloreados con Azul de Toluidina este colorante se prende al RNA, se Neuronas observa intensa síntesis proteica Gliales Corpúsculos de Nissl, RNA
  • 20.
    PROLONGACIONES CELULARES  ESTRUCTURA BASICA DE LOS NERVIOS DEL SNP Y DE LOS HACES, CORDONES Y TRACTOS DEL SNC  SON DE DOS CLASES:  DENDRITAS  AXON O CILINDRO EJE
  • 21.
    DENDRITAS  Una ovarias prolongaciones relativamente cortas y muy ramificadas que dan origen a ramas primarias, secundarias, terciarias, etc.  Gruesas en su origen, se adelgazan en los extremos.  La superficie presenta irregularidades “espinas o gemulas dendriticas”  El citoplasma dendrítico tiene los mismos organelos del resto del pericarión con abundancia de neurotubulos y neurofilamentos
  • 23.
    DENDRITAS  Representan lamayor parte de la superficie receptora de la neurona (+/- 200.000 contactos sinapticos sobre el arbol dendritico de una sola celula piriforme (de purkinje)  Los estimulos recibidos pueden ser excitatorios o inhibitorios para la actividad electrica de la membrana celular.   Si se produce señal se genera potencial de accion que se propaga a lo largo del axon para ser entregado a otra celula.
  • 24.
    CILINDRO EJE OAXON  Prolongacion unica originada del cuerpo celular en zona del cono de origen o cono axonico.  Ocasionalmente se origina desde la superficie de una dendrita.  Morfológicamente caracterizado por ser delgado, liso en su superficie y mucho mas largo que las dendritas.  Diámetro entre 0.2 y 22 micrones que es constante en su trayecto.
  • 25.
    CILINDRO EJE OAXON Puede formar un sistema de ramas colaterales que emergen en ángulo recto del axon (aumentan la superficie de contacto). Termina en una arborización llamada “telodendron” por la cual transmite los impulsos a otras neuronas o a células efectoras. Cada rama terminal finaliza en un extremo abultado, el “botón terminal”.
  • 27.
    ULTRAESTRUCTURA DEL AXON Cubiertopor la membrana celular (axolema) En el citoplasma (axoplasma) a diferencia del neuroplasma (cuerpo celular y dendritas) no se observan organelos relacionados con la sintesis y secrecion de proteinas. Se observan neurofilamentos, neurotubulos, mitocondrias, vesiculas del rel e inclusiones lipidicas.
  • 28.
    FLUJO AXONICO Corriente continuade elementos que se trasladan por el interior del axon (flujo axoplasmico)  1.- componente de flujo lento: Velocidad de 0.5 a 5 mm por dia Sustancias solubles de alto p.m.: proteinas relacionadas al crecimiento y mantencion del axon Funcion trofica  2.- componente de flujo rapido: Velocidad de 10 a 2000 mm por dia Vesiculas de neurosecrecion, mitocondrias y elementos unidos a membranas (proteinas, enzimas, catecolaminas, dopamina) Funcion: relacionada a la sinapsis, transmision del impulso nervioso y actividad neurosecretora (por ej.: neuronas de nucleos del hipotalamo)
  • 29.
    CLASIFICACION DE LASNEURONAS  A) de acuerdo a su morfología:  Según número de prolongaciones celulares Unipolares Bipolares Multipolares  Según largo del axon Axon largo o golgi i Axon corto o golgi ii  B) de acuerdo a su función:  Sensitivas y neurosensoriales  Motoras  De asociacion  Simpaticas – parasimpaticas  Neurosecretoras  C) de acuerdo a su localización:  Centrales  Perifericas
  • 30.
    CLASIFICACION DE LAS NEURONAS  Unipolares:  Del soma se desprende un solo proceso celular  Restringidas al periodo embrionario del s.n. (neuroblastos)  Bipolares:  Celulas que tienen un axon y una dendrita (por ej.: neuronas bipolares de la retina y del ganglio coclear, y las células neurosensoriales de la mucosa olfatoria).  Variedad pseudounipolar (células t), localizadas en los ganglios craneales y espinales. En las primeras etapas del desarrollo embrionario son bipolares y luego las prolongaciones convergen formando una sola que a cierta distancia del soma se bifurca (un extremo se dirige a la periferia y el otro al snc).
  • 32.
    CLASIFICACION DE LAS NEURONAS Multipolares  Tienen varias dendritas principales  Según la forma del cuerpo celular pueden ser estrelladas, piramidales, granulosas, esfericas, etc.
  • 33.
    Micrografía electrónica luminosa dela materia gris de la medula espinal (x270). Observe las neuronas multipolares y sus prolongaciones
  • 34.
    Neuroglía Pueden ser hasta 10 veces mas, formas uniones comunicantes de intersticio pero no propagan el impulso eléctrico
  • 35.
    Astrocitos Son los masgrandes  Astrocitos protoplasmáticos en la sustancia gris SNC Forma estrellada abundante citoplasma, gran núcleo y muchas ramificaciones cortas, las puntas se fijan a los vasos sanguíneos, otros con la piamadre formando la membrana piaglial  Astrocitos fibrosos en sustancia blanca del SNC Citoplasma eucromatico, proyecciones largas y casi no ramificadas, relacionados con piamadre y vasos sanguíneos pero separados por lamina basal Depredadores de iones y residuos del metabolismo, K+, glutamato, y acido α-aminobutirico.
  • 38.
    Oligodendrocitos Parecidos a astrocitosde menor tamaño y con menor numero de ramificaciones. Se tiñen de color mas fuerte  Núcleo pequeño,  RER abundante  Muchos ribosomas libres y mitocondrias  Complejo de golgi definido  Oligodendrocitos interfasciculares Localizados en fila a los lados de los axones elaboran y conservan la mielina de varias axones dentro del SNC
  • 41.
    Células de microglia Pequeñascélulas  Tinción oscura  Citoplasma escaso  Núcleo de oval a triangular  Proyecciones cortas irregulares Función fagocítica de desechos y estructuras lesionadas Se originan en la medula ósea son parte de la población de células fagocíticas mononucleares
  • 43.
    Células ependimarias Células deepitelio cilíndrico bajo a cuboideo Reviste los ventrículos cerebrales y al epéndimo Citoplasma con abundantes mitocondrias En ciertas zonas son ciliadas Tanicitos con proyecciones al hipotálamo transportan LCR a células neurosecretoras
  • 44.
    Células de Schwann EnSNP Cubierta mielínica o amielínica  Células planas  Núcleo aplanado  Golgi pequeño y unas cuantas mitocondrias  La mielina es el plasma lema enrollado varias veces (50)  Interrupciones nódulos de Ranvier  Segmentos internodales de 200 a 1000 чm Solo un internado de un solo axón mielínico Pero pude cubrir a varios axones amielínicos
  • 45.
    CELULAS DEL NEUROLEMA (SCHWANN)  Corresponden a la envoltura mas externa de las fibras nerviosas del SNP  Célula neuroglía de origen ectodérmico  Núcleo aplanado localizado a media distancia entre dos nodos de ranvier  Tienen poco citoplasma con algunos lisosomas  Su superficie esta cubierta por una lámina basal la que no se interrumpe a nivel de los nodos  Los bordes de las células del neurolema (Schwann) vecinas presentan una serie de procesos citoplasmáticos que se interdigitan
  • 46.
    Funcion Producir mielina  Necesarias para la regeneración de la fibra nerviosa: Adquieren capacidades fagocíticas eliminando los trozos en degeneración del axon separados del soma y además proliferan activamente formando tubos por los cuales, si se reúnen ciertas condiciones (ausencia de infección), puede crecer en sentido periférico un trozo de axon en regeneración (esta regeneración no se produce en el SNC)
  • 47.
    Generación y conducción del Impulso Nervioso Como resultado de la despolarización de la membrana el impulso viaja a través del axón hasta la terminación axoniana. La transmisión de una neurona hacia otra, una célula muscular o de una glándula se llama Sinapsis
  • 48.
    Las neuronas estánpolarizadas  Potencial reposo -70 mV  Concentración K+ mas elevada dentro  Concentraron Na+ y Ca+ mas elevada fuera Estimulación de Neurona abre canales de Na+ en una región de la membrana esto invierte el voltaje la membrana esta despolarizada Se cierran canales Na+ 2 mseg fase refractario Se abren canales K+ y salen Ocurre un periodo de hiperpolarización Potencial de accion 1000 impulsos/seg
  • 49.
    La despolarización de una zona por la entrada de iones Na+ se extiende
  • 51.
    Sinapsis La membrana presinápticadescarga uno o mas neurotransmisores en la hendidura sináptica de 20 a 30 nm, el neurotransmisor se difunde hasta los receptores especializados en la membrana postsináptica. Entonces en la neurona postsináptica puede provocar  Despolarización de la membrana e inicia un potencial de acción el potencial potsináptico excitatorio  Conservación de potencial de la membrana potencial potsináptico inhibitorio
  • 53.
    TIPOS DE SINAPSIS SEGÚN LAS PARTES DE LAS NEURONAS QUE ESTABLECEN RELACION SINAPTICA:  AXODENDRITICAS  AXOSOMATICAS  AXOAXONICAS  DENDRODENDRITICAS  SOMATOSOMATICAS  SOMATODENDRITICAS  SOMATOAXONICAS
  • 55.
    Micrografía electrónica de sinapsis axodendríti cas
  • 56.
    Nervios Periféricos Son hacesde fibras nerviosas rodeados por por varias vainas de tejido conectivo. Contiene componentes tanto sensitivos como motores
  • 57.
    Revestimiento del tejido conectivo Epineurio capa mas externa del nervio  Tejido conectivo fibroso denso fibras elásticas  Fibras colágenas alineadas para protegerlo de lesión en una extensión excesiva  Se adelgaza mas entre mas se aleja el axón y al final desaparece en las pequeñas fibras nerviosas Perineurio capa media  Cubre cada haz de fibras nerviosas dentro del nervio  Tejido conectivo denso mas delgado  Capa interna de células epiteloides aíslan el ambiente nervioso  Su grosor disminuye hasta ser una capa de células aplanadas
  • 58.
    Endoneurio capa masinterna del nervio  Rodea a cada axón  Tejido conectivo laxo, capa delgada de fibras reticulares, producidas por células de Schwann  Fibroblastos, macrófagos fijos, capilares, y mastocitos perivasculares  Esta en contacto con lamina basal de células de Schwann
  • 59.
  • 61.
    CLASIFICACION DE LASFIBRAS NERVIOSAS  MORFOLOGICA:  MIELINICAS  AMIELINICAS  FUNCIONAL:  SENSITIVAS O AFERENTES: el impulso hacia el SNC  MOTORAS O EFERENTES: desde el SNC
  • 62.
    FIBRAS MIELINICAS Formadas porel axon, una vaina de mielina (de naturaleza lipoproteica) que la cubre, la célula envolvente y, por fuera, una membrana basal.
  • 63.
    FIBRAS MIELINICAS Axon Los de este tipo de fibras son de mayor calibre (hasta 22 micrones de diámetro).  Como el axon es de mayor longitud que la célula envolvente esta cubierto en su trayecto por varias de estas células en tramos de distinta magnitud (constante para una misma fibra)  Los sitios en que el axon queda sin su cubierta celular envolvente se llaman estrangulaciones o nodos de ranvier.  La distancia entre nodos vecinos se llama internodo y corresponde a la longitud de las células neuroglías
  • 64.
    FIBRAS MIELINICAS Mielina  Vaina dependiente de la célula del neurolema (schwann) o de oligodendrocitos, que se forma durante el crecimiento de la fibra nerviosa por enrollamiento en vueltas sucesivas de una parte de la célula neuroglica alrededor del axon (teoría de mielinización por rotación)  El citoplasma contenido en la porción celular en proceso de enrollamiento se desplaza hacia la periferia y el axon queda envuelto por laminas espirales de dobles membranas celulares, desde unas pocas hasta 100 o mas según el diámetro de la fibra.
  • 65.
    FIBRAS MIELINICAS Mielina  En el m.e. se observa como un sistema laminar con bandas alternadas claras y oscuras. Las bandas claras corresponden a capas lipidias de la doble membrana plasmática y las oscuras, de dos tipos, indican la zona de fusión de las capas proteicas de la membrana.  La banda mas ancha o línea densa mayor corresponde a la unión de las capas proteicas internas  La banda mas fina o línea intraperiodica representa la unión entre las capas proteicas externas.
  • 66.
    FIBRAS MIELINICAS La zonadonde se encuentra el extremo de invaginación mas profundo de la célula neuroglica se llama mesaxon interno La zona en donde ha penetrado inicialmente el borde celular es el mesaxon externo Las vainas de mielina que tienen mas de 20 laminas de espesor presentan formaciones llamadas incisuras mielinicas (cisuras de Schmidt – Lanterman) que están relacionadas con cambios de la fibra al ajustarse a cambios de volumen axoplasmico y de longitud
  • 67.
    Estructura fina de una fibra nerviosa mielínica y su célula de Schwann
  • 70.
    FUNCIONES DE LA VAINA DE MIELINA  La mielinización de las fibras nerviosas es un sistema desarrollado para aumentar la velocidad de conducción del impulso  Las capas de mielina forman un buen aislante eléctrico alrededor del axon  En los nodos de ranvier se produce flujo de iones a través del axolema generándose los potenciales eléctricos que propagan el impulso el cual es conducido de nodo a nodo “conducción saltatoria”  Entre las fibras mielinicas a mayor diámetro del axon, mayor velocidad de conducción
  • 71.
    Cuatro fases sucesivasde la formación de la capa de mielina por las Células de Schwann
  • 72.
    FIBRAS AMIELINICAS (REMAK) Son las fibras mas delgadas del SN. En el SNP formadas por axones y células del neurolema (schwann) y rodeadas por una lamina basal No tienen mielina y característicamente cada célula del neurolema envuelve a varios axones (ej.: 7 a 21 en el nervio trigémino)
  • 73.
    Corte transversa deun nervio, la vaina de mielina que envolvía cada axón fue parcialmente removida por el proceso histológico, Pararrosalina y azul de toluidina, aumento medio
  • 74.
    Corte transversal denervios de pequeño diametroo, losnucleos de celulas de Schwann cabezas de flecha y los axones flechas. Pararrosalina y azul de toluidina, aumento medio
  • 75.
    FIBRAS AMIELINICAS  Enlas zonas de relación entre células del neurolema vecinas, estas presentan una cierta cantidad de interdigitaciones de forma que una extensión citoplasmática de una célula puede acompañar a un axon por alguna distancia en el territorio de la siguiente célula de la serie  En el SNC las fibras amielinicas carecen de una envoltura celular propia: en la sustancia blanca van entremezcladas con las mielinicas  En los lugares en que predominan las fibras amielinicas, como en el hipotalamo, estas se presentan en grupos rodeados por tabiques de procesos celulares pertenecientes a astrocitos
  • 76.
    Estructura fina deuna fibra nerviosa amielinica
  • 78.
    CLASIFICACION DE LAS FIBRAS NERVIOSAS Según el diámetro de las fibras y velocidad de conducción:  Tipo A: Mielinicas, en nervios espinales  Tipo B:  Mielinicas, fibras preganglionares de nervios del SNA  Tipo C:  Amielinicas, corresponden a mas de la mitad de los nervios sensitivos y todas las ramas nerviosas del SNA postganglionares. Mas de las dos terceras partes de las fibras en los nervios periféricos
  • 79.
    CLASIFICACION DE LAS FIBRAS NERVIOSAS DIAMETRO VELOCIDAD DE FIBRA TIPO (micrones) CONDUCCION (mts / segundo) A 4 – 22 15 – 120 B 1–3 3 – 14 C 0.2 – 1 0.2 - 2  OTRO TIPO DE FIBRAS DESCRITO SON LAS FIBRAS DELTA QUE SON BASTANTE DELGADAS (1.4 micrones) Y DE CONDUCCION RELATIVAMENTE LENTA (5 – 15 mts / seg)
  • 80.
    Fotomicrografía de uncorte transversal de un nervio periférico (x132) Se observa los axones y el perineurio que rodea el fascículo
  • 81.
    Fotomicrografía de uncorte longitudinal de un nervio periférico (x270) Se observa mielina y nódulos de Ranvier además de los núcleos ovales de Schwann
  • 82.
    Diseño esquemático muestra laultra estructura de una fibra mielínica (A) y de una amielinica (B): 1 núcleo y citoplasma de célula de Schwamm; 2 axón; 3 microtubulos; 4 neurofilamentos; 5 vaina de mielina, 6 mesaxón; 7 nódulo de Ranvier; 8 interdigitaciones de las células de Schwann en el nodo de Ranvier; 9 vista lateral de un axón amielínico, 10 lámina basal.
  • 83.
    Ganglios Agregados de cuerposcelulares de neuronas localizadas fuera del SNC. Ganglios sensitivos y autónomos.
  • 84.
    Ganglio sensitivo Relacionados alos nervios craneales V, VII, IX, y X, y casa uno de los nervios raquídeos. Se manifiestan como tumefacciones del nervio Albergan cuerpos celulares seudounipolares envueltos por células satélites aplanadas. Luego una capa de tejido conectivo de células capsulares de colágeno
  • 85.
    Microfotografía de un ganglio sensorial(x270) se observa los largos cuerpos neuronales con núcleos singulares
  • 86.
    Ganglios autónomos Su funciónes motora, hacen que los músculos liso y cardiaco se contraigan y las glándulas secreten. Fibras preganglionares Ganglios de la cadena simpática junto a la medula, ganglios colaterales a lo largo de al aorta abdominal En el parasimpático, ganglios terminales en la cabeza
  • 87.
    Barrera Hematoencef álica Barrera altamente selectiva, entre las sustancias que trasporta la sangre y el tejido nervioso del SNC
  • 88.
    Constituida por célulasendoteliales que revisten los capilares continuos Las células endoteliales forman fascias ocluyentes entre si, retrasan el flujo de materiales entre células Solo O2, H2O, CO2 y materiales pequeños Los capilares del SNC revestidos de laminas basales rodeadas por los pediculos de numerosos astrocitos, Glía limitante perivascular
  • 90.
    Plexo Coroideo Produce liquido cefalorraquídeoque llena los ventrículos cerebrales y circula debajo del espacio subaracnoideo.
  • 91.
    Los pliegues depiamadre (capa delgada de fibroblastos modificados aplanados) albergan abundancia de capilares fenestrados y están revestidos por una cubierta celular cuboidea simple (ependimaria) que se extiende a los ventrículos y forma los plexos. LCR de 14 a 36 ml/hr, se restablece 4 o 5 veces al día
  • 92.
    Plexo coroideo
  • 93.
    Regeneración Nerviosa Las neuronas no pueden sustituirse pues no pueden proliferar. Si se lesiona una fibra nerviosa periférica la neurona intentara reparar la lesión, regenerara la proyección y restaurara el funcionamiento
  • 94.
    Reacción Axoniana Reacción local:  Los extremos seccionados se retraen separándose entre si, la membrana se cierra para no perder axoplasma Reacción anterógrada  La terminal axoniana se hipertrofia  La porción distal del axón experimenta degeneración walleriana el axón se desintegra y las células de Schwann proliferan y se dirigen al axón que esta regenerando hasta la célula postsináptica
  • 95.
    Reacción retrógrada  El pericarión se hipertrofia, se dispersan los cuerpos de Nissl y su núcleo se desplaza, (Cromatólisis) el soma produce ribosomas y sintetiza proteínas, dura varios meses  El cono axoniano proximal y la vaina de mielina degeneran, surgen varios primordios del axón desde el cono proximal, entran en la vaina de tejido conectivo, son guiadas por las células de Schwann
  • 98.
    Fotomicrografía del cerebeloque pone de de manifiesto sus capas (x132)observe las células de Purkinje prominentes
  • 100.