Histología
Dr. Luis Fernando Tenorio Villalvazo
Jaime Rafael Gutiérrez Pérez
Facultad de Medicina
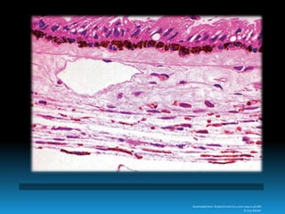
Universidad Veracruzana
Downloaded from: StudentConsult (on 4 June 2009 01:48 AM)
© 2005 Elsevier
Sentido del Oído
Oído Externo
Oído Medio
Oído Interno
Membrana Timpánica
 Ep. Plano Estratificado
 Tejido Fibrocolageno
 Ep. Cubico Bajo
 Huesecillos. Hueso compacto cubiertos de
Ep. Cubico bajo en todo el oido medio
Oído interno
Laberinto membranoso Laberinto óseo
 Conducto coclear
 Sáculo
 Utrículo
 Conductos semicirculares
 Saco y conducto
endolinfatico
 Vestíbulo
 Conducto semicircular
 Conducto coclear
Periostio
 Perilinfa
Downloaded from: StudentConsult (on 4 June 2009 01:48 AM)
© 2005 Elsevier
Mecanoreceptores del oído
Células ciliadas
Ep. Especializado
Estereocilios en
órgano
Inclino
Altas despolarizo
Bajas hiperpolariza
Axones neuronales
Downloaded from: StudentConsult (on 4 June 2009 01:48 AM)
© 2005 Elsevier
Downloaded from: StudentConsult (on 4 June 2009 01:48 AM)
© 2005 Elsevier
Laberinto membranoso
Downloaded from: StudentConsult (on 4 June 2009 01:48 AM)
© 2005 Elsevier
Sonido y Corti
Conducto coclear
2 ¾ giro
Divertículo tubular
fondo ciego
Vestibular timpánica-
perilinfa
C:Coclear- endolinfa
Epiteliales de sostén
Ciliadas
especializadas
 Externo
 Altas delgadas
 3-5 filas paralelas
 Rodeadas solo en el vértice
 Interno
 Redondeado
 Una sola fila
 Completamente rodeadas
Células ciliadas
Downloaded from: StudentConsult (on 4 June 2009 01:48 AM)
© 2005 Elsevier
Downloaded from: StudentConsult (on 4 June 2009 01:48 AM)
© 2005 Elsevier
Macula
 Células ciliadas de la macula utricular y la macula
sacular detectan la gravedad y posición estática
Downloaded from: StudentConsult (on 4 June 2009 01:48 AM)
© 2005 Elsevier
Región ampular del conducto
semicircular
 Aceleración y
movimiento son
detectados en c.
ciliadas de las
ampollas en un
extremo de los
conductos
semicirculares
Sentido de la Vista
Esclerótica Cornea Úvea Retina
Esclerótica
 1 mm a 0.5 mm
 Lamina colágeno
dif. Direcciones.
 Paralelas a la
superficie
 Episclera
 Estroma
 Porción interna
 Limbo 1mm
 Cornea
Cornea
 10.5 mm  11.5 Ã
 Epitelio Corneal :Ep. Escamoso no K
 Membrana de Bowman: Fibras
colágenas
 Estroma Corneal: Laminas de colágeno
paralelas, corneales.Queratocitos
 Membrana de Descemet, hialina
producto de celulas endoteliales
 Endotelio Corneal: células poligonales,
en forma de laminas, sup interna de la
cornea.
Downloaded from: StudentConsult (on 4 June 2009 01:48 AM)
© 2005 Elsevier
Uvea
 Coroides Cuerpo ciliar Iris
Coroides tiene 3 capas
 De la Ora serrata a Nervio óptico
 Contiene vasos sanguíneos y linfáticos
 Fusca Esclerotica xxxx-xxxx Retina
 Estroma coroideo: Fibrocolageno
laxo, melanocitos, linfocitos mastocitos
 Capa coriocapilar capas profundas de la retina
 Membrana de Bruch:
 Membrana basal de células endoteliales coriocap.
 Capa ext. Fib colágenas
 Capa fibroelastica
 Capa int. Fib. Colágenas
 Membrana basal de epitelio pigmentario retina.
Iris, diafragma delante del
cristalino
 Pupila es una apertura controlada por musculo
liso
 Membrana limitante anterior: capa
incompleta y fenestrada.
 Estroma: fibrocolageno laxo, fibroblastos
fusiformes.
 Capa musculo dilatador iris: celulas
mioepiteliales
 Epitelio posterior: capa interna mioepitelial,
capa externa gránulos con melanina se continua
con la retina
Downloaded from: StudentConsult (on 4 June 2009 01:48 AM)
© 2005 Elsevier
Downloaded from: StudentConsult (on 4 June 2009 01:48 AM)
© 2005 Elsevier
Limitante anterior
Estroma
Musculo dilatador
Cuerpo Ciliar, musculo
ciliar liso
Pars Plica Pars Plana
 Crestas o pliegues 2 mm
longitud
 2 capas epitelio cilindrico
 Ext Pigmentada
 Interna Humor acuoso
 Fibras suspensorias del
cristalino
 Plana posterior 4mm de
longitud
 Estroma se continua
coroides
 Pigmentario externo se
vuelve la retina
Base de iris Ora Serrata Coroides
Estroma vascular, musculo liso, epitelio de cobertura
Retina
 Celulas Epiteliales Pigmentarias
 Celulas Fotorreceptoras
 Celulas de sostén retinianas
 Celulas nerviosas
Epitelio pigmentario sostiene a las c.
fotorreceptoras
En la membrana celular hay de 600 a 1000
pliegues son los Discos Fotorreceptores
Conos Bastones
 Discos se mantienen como
invaginaciones
 Mas gruesos y mas cortos
 Segmento cónico
 Perciben color, en la fovea
 Discos libres
 Segmento ext cilindrico
 Perciben intensidad
luminosa en la periferia de
la retina
Downloaded from: StudentConsult (on 4 June 2009 01:48 AM)
© 2005 Elsevier
Downloaded from: StudentConsult (on 4 June 2009 01:48 AM)
© 2005 Elsevier
Celulas
nerviosas
Fotorreceptores.
Bipolares
Ganglionares
Horizontales
Amacrinas
Interplexiformes
Integran las
señales de
grupos
adyacentes
Retina sensorial 9 capas
1. Capa de fotorreceptores
2. Membrana limitante externa
3. Capa nuclear externa
4. Capa plexiforme externa
5. Capa nuclear interna
6. Capa plexiforme interna
7. Capa de celulas ganglionares
8. Capa de fibras nerviosas
9. Membrana limitante interna
Downloaded from: StudentConsult (on 4 June 2009 01:48 AM)
© 2005 Elsevier
Downloaded from: StudentConsult (on 4 June 2009 01:48 AM)
© 2005 Elsevier
Desprendimiento de retina
Cristalino, biconvexo, transparente,
9mm diámetro. 3.5 grosor
 Capsula externa: colágeno tipo IV
 Epitelio cubico
 Centro formado por celulas cristalinas
Compartimentos del ojo
 Humor vitreo 4 ml
 Humor acuoso 2 ml por minuto
Cámara
posterior
Malla
trabecular
Conducto
de Schlem
Downloaded from: StudentConsult (on 4 June 2009 01:48 AM)
© 2005 Elsevier
Downloaded from: StudentConsult (on 4 June 2009 01:48 AM)
© 2005 Elsevier
Componentes accesorios del ojo
 Conjuntiva
 2 epitelios cilíndrico estratificado
se continua con ep. Escamoso
aplanado
 Por debajo hay tejido
fibroconectivo laxo.
Downloaded from: StudentConsult (on 4 June 2009 01:48 AM)
© 2005 Elsevier
Párpados
 Piel
 Musculo orbicular
 Tarso
 Conjuntiva
 G. de Meibomio: sebaceo
 G. de Zeis: sebaceos de pestañas
 G. de Moll: sudoriparas
 G. de Krause: lagrimales accesoria
 G. deWolfring lagrimales accesorias
Glandulas lagrimales
 Borde superolateral orbita drena en
el fornix conjuntival 10 pequeños
ductos
 Cubren el ojo
 Drenan a través de conductos
lagrimales superior e inferior.
 Saco lagrimal
 Cornete inferior
 Conducto lagrimal superior e inferior:
EPITELIO PLANO ESTRATIFICADO
 Saco lagrimal y conducto
nasolagrimal: EPITELIOCILINDRICO
PSEUDOESTRATIFICADO,
RESPIRATORIO
Gracias por su
participación
Jaime Rafael
Gutiérrez Pérez

Expo sentidos

  • 1.
    Histología Dr. Luis FernandoTenorio Villalvazo Jaime Rafael Gutiérrez Pérez Facultad de Medicina Universidad Veracruzana
  • 2.
    Downloaded from: StudentConsult(on 4 June 2009 01:48 AM) © 2005 Elsevier Sentido del Oído Oído Externo Oído Medio Oído Interno
  • 3.
    Membrana Timpánica  Ep.Plano Estratificado  Tejido Fibrocolageno  Ep. Cubico Bajo  Huesecillos. Hueso compacto cubiertos de Ep. Cubico bajo en todo el oido medio
  • 4.
    Oído interno Laberinto membranosoLaberinto óseo  Conducto coclear  Sáculo  Utrículo  Conductos semicirculares  Saco y conducto endolinfatico  Vestíbulo  Conducto semicircular  Conducto coclear Periostio  Perilinfa
  • 5.
    Downloaded from: StudentConsult(on 4 June 2009 01:48 AM) © 2005 Elsevier Mecanoreceptores del oído Células ciliadas Ep. Especializado Estereocilios en órgano Inclino Altas despolarizo Bajas hiperpolariza Axones neuronales
  • 6.
    Downloaded from: StudentConsult(on 4 June 2009 01:48 AM) © 2005 Elsevier
  • 7.
    Downloaded from: StudentConsult(on 4 June 2009 01:48 AM) © 2005 Elsevier Laberinto membranoso
  • 8.
    Downloaded from: StudentConsult(on 4 June 2009 01:48 AM) © 2005 Elsevier Sonido y Corti Conducto coclear 2 ¾ giro Divertículo tubular fondo ciego Vestibular timpánica- perilinfa C:Coclear- endolinfa Epiteliales de sostén Ciliadas especializadas
  • 9.
     Externo  Altasdelgadas  3-5 filas paralelas  Rodeadas solo en el vértice  Interno  Redondeado  Una sola fila  Completamente rodeadas Células ciliadas
  • 11.
    Downloaded from: StudentConsult(on 4 June 2009 01:48 AM) © 2005 Elsevier
  • 13.
    Downloaded from: StudentConsult(on 4 June 2009 01:48 AM) © 2005 Elsevier Macula  Células ciliadas de la macula utricular y la macula sacular detectan la gravedad y posición estática
  • 14.
    Downloaded from: StudentConsult(on 4 June 2009 01:48 AM) © 2005 Elsevier Región ampular del conducto semicircular  Aceleración y movimiento son detectados en c. ciliadas de las ampollas en un extremo de los conductos semicirculares
  • 16.
    Sentido de laVista Esclerótica Cornea Úvea Retina
  • 18.
    Esclerótica  1 mma 0.5 mm  Lamina colágeno dif. Direcciones.  Paralelas a la superficie  Episclera  Estroma  Porción interna  Limbo 1mm  Cornea
  • 19.
    Cornea  10.5 mm 11.5 à  Epitelio Corneal :Ep. Escamoso no K  Membrana de Bowman: Fibras colágenas  Estroma Corneal: Laminas de colágeno paralelas, corneales.Queratocitos  Membrana de Descemet, hialina producto de celulas endoteliales  Endotelio Corneal: células poligonales, en forma de laminas, sup interna de la cornea.
  • 20.
    Downloaded from: StudentConsult(on 4 June 2009 01:48 AM) © 2005 Elsevier
  • 21.
  • 22.
    Coroides tiene 3capas  De la Ora serrata a Nervio óptico  Contiene vasos sanguíneos y linfáticos  Fusca Esclerotica xxxx-xxxx Retina  Estroma coroideo: Fibrocolageno laxo, melanocitos, linfocitos mastocitos  Capa coriocapilar capas profundas de la retina  Membrana de Bruch:  Membrana basal de células endoteliales coriocap.  Capa ext. Fib colágenas  Capa fibroelastica  Capa int. Fib. Colágenas  Membrana basal de epitelio pigmentario retina.
  • 23.
    Iris, diafragma delantedel cristalino  Pupila es una apertura controlada por musculo liso  Membrana limitante anterior: capa incompleta y fenestrada.  Estroma: fibrocolageno laxo, fibroblastos fusiformes.  Capa musculo dilatador iris: celulas mioepiteliales  Epitelio posterior: capa interna mioepitelial, capa externa gránulos con melanina se continua con la retina
  • 24.
    Downloaded from: StudentConsult(on 4 June 2009 01:48 AM) © 2005 Elsevier
  • 25.
    Downloaded from: StudentConsult(on 4 June 2009 01:48 AM) © 2005 Elsevier Limitante anterior Estroma Musculo dilatador
  • 26.
    Cuerpo Ciliar, musculo ciliarliso Pars Plica Pars Plana  Crestas o pliegues 2 mm longitud  2 capas epitelio cilindrico  Ext Pigmentada  Interna Humor acuoso  Fibras suspensorias del cristalino  Plana posterior 4mm de longitud  Estroma se continua coroides  Pigmentario externo se vuelve la retina Base de iris Ora Serrata Coroides Estroma vascular, musculo liso, epitelio de cobertura
  • 28.
    Retina  Celulas EpitelialesPigmentarias  Celulas Fotorreceptoras  Celulas de sostén retinianas  Celulas nerviosas
  • 29.
    Epitelio pigmentario sostienea las c. fotorreceptoras En la membrana celular hay de 600 a 1000 pliegues son los Discos Fotorreceptores Conos Bastones  Discos se mantienen como invaginaciones  Mas gruesos y mas cortos  Segmento cónico  Perciben color, en la fovea  Discos libres  Segmento ext cilindrico  Perciben intensidad luminosa en la periferia de la retina
  • 30.
    Downloaded from: StudentConsult(on 4 June 2009 01:48 AM) © 2005 Elsevier
  • 31.
    Downloaded from: StudentConsult(on 4 June 2009 01:48 AM) © 2005 Elsevier
  • 32.
  • 33.
    Retina sensorial 9capas 1. Capa de fotorreceptores 2. Membrana limitante externa 3. Capa nuclear externa 4. Capa plexiforme externa 5. Capa nuclear interna 6. Capa plexiforme interna 7. Capa de celulas ganglionares 8. Capa de fibras nerviosas 9. Membrana limitante interna
  • 34.
    Downloaded from: StudentConsult(on 4 June 2009 01:48 AM) © 2005 Elsevier
  • 35.
    Downloaded from: StudentConsult(on 4 June 2009 01:48 AM) © 2005 Elsevier
  • 36.
  • 37.
    Cristalino, biconvexo, transparente, 9mmdiámetro. 3.5 grosor  Capsula externa: colágeno tipo IV  Epitelio cubico  Centro formado por celulas cristalinas
  • 38.
    Compartimentos del ojo Humor vitreo 4 ml  Humor acuoso 2 ml por minuto Cámara posterior Malla trabecular Conducto de Schlem
  • 39.
    Downloaded from: StudentConsult(on 4 June 2009 01:48 AM) © 2005 Elsevier
  • 40.
    Downloaded from: StudentConsult(on 4 June 2009 01:48 AM) © 2005 Elsevier Componentes accesorios del ojo  Conjuntiva  2 epitelios cilíndrico estratificado se continua con ep. Escamoso aplanado  Por debajo hay tejido fibroconectivo laxo.
  • 41.
    Downloaded from: StudentConsult(on 4 June 2009 01:48 AM) © 2005 Elsevier Párpados  Piel  Musculo orbicular  Tarso  Conjuntiva  G. de Meibomio: sebaceo  G. de Zeis: sebaceos de pestañas  G. de Moll: sudoriparas  G. de Krause: lagrimales accesoria  G. deWolfring lagrimales accesorias
  • 42.
    Glandulas lagrimales  Bordesuperolateral orbita drena en el fornix conjuntival 10 pequeños ductos  Cubren el ojo  Drenan a través de conductos lagrimales superior e inferior.  Saco lagrimal  Cornete inferior  Conducto lagrimal superior e inferior: EPITELIO PLANO ESTRATIFICADO  Saco lagrimal y conducto nasolagrimal: EPITELIOCILINDRICO PSEUDOESTRATIFICADO, RESPIRATORIO
  • 44.
    Gracias por su participación JaimeRafael Gutiérrez Pérez