MINISTERIO DE   SALUD Servicio de Cirugía de Cabeza, Cuello y Máxilofacial DEPARTAMENTO DE CIRUGIA Dr. Edwin J. Calderón Flores Cirujano de Cabeza, Cuello y Maxilofacial RNE:18918  HOSPITAL “LA CALETA”   Miembro de la Sociedad Peruana de Cirugía de Cabeza, Cuello y Maxilofacial
CAVIDAD ORAL Dr. Edwin José Calderón Flores Cirujano de Cabeza, Cuello y Máxilofacial Hospital “La Caleta”   Chimbote-Ancash-Perú
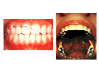
Generalidades Cavidad oral   o   boca .  Situada entre las fosas nasales y el cuello (región suprahioidea). Dividida por la  región gingivodentaria  en  vestíbulo bucal , por delante y  boca propiamente dicha , por detrás. Ambos comunican por los  espacios interdentarios y retrodentarios . Abierto hacia delante mediante el orificio bucal, y en comunicación posterior con la faringe a través del istmo de las fauces. Constituida por 6 paredes denominadas: Pared anterior o labios ; Paredes laterales o mejillas ;  Pared superior o bóveda palatina ; Pared inferior o piso de la boca , y Pared posterior o velo del paladar .
Vestibulo Cavidad oral propiament e dicha Re gion gingivodentaria Istmo de las fauces
Frenillos laterales
 
Pared Anterior: Labios Dos  repliegues músculomembranosos:  2  caras y  2  bordes. Cara anterior:   1. Labio superior :   a. El  surco medio subnasal o filtro ,  c. El  arco  de Cupido ,  d. Hacia  los lados : los  segmentos laterales  (con vello en el niño y la mujer y pelos en el hombre);  2. Labio inferior :   a. La  fosita media (mosca) . Cara posterior:  lisa, color rosado y cubierta por la mucosa Borde adherente:   Es  el limite periférico de los labios y  exteriormente  está limitado:  1. Labio superior :  por la nariz y el pliegue labiogeniano ;  2. Labio inferior ,  por el pliegue mentolabial y labiomandibular .  Interiormente  y del lado de la cavidad bucal, esta  el surco gingivolabial (superior e inferior)  y, en la línea media  el frenillo medio labial (superior e inferior) .  Borde libre:  Corresponde a l bermellón. Presenta: 1.  Labio superior:  el   tubérculo labial superior . 2 .  Labio inferior :   una escotadura media , para el tubérculo labial . Los labios están unidos a nivel de sus comisuras, los labios,  separados constituyen el orificio bucal ; una vez  aproximados, forman la hendidura bucal  (47 a 53 mm. de long. aprox).
 
Labios: Constitución Anatómica Constituidos por  cuatro capas: Piel:   gruesa, rica en folículos pilosos con glándulas sebáceas y sudoríparas,   firmemente adherida a la capa muscular .  El tejido celular subcutáneo existe solo en los confines de la región. Capa muscular.  Capa submucosa o glandular:   tejido conjuntivo y glándulas labiales, perceptibles al tacto por su relieve. Capa mucosa:   grisácea y abollonada en la cara posterior de los labios  (glándulas labiales) ; delgada, adherente y rosada a nivel de su borde libre. Se compone de un corion dermopapilar y de   un epitelio muy parecido a  la piel , difiriendo del mismo por la ausencia de queratinización.
Constitución Anatómica: Capa muscular Constituida por:   Músculos dilatadores Plano superficial Elevador común del ala de la nariz y del labio superior Cigomático mayor y menor Risorio Triangular de los labios y Fibras del cutáneo del cuello que van a la comisura labial Plano profundo Canino Buccinador y Cuadrado del mentón Músculos constrictores Orbicular de los labios Compresor de los labios (que se atrofia después de la lactancia)  Borla de la barba.
Paredes laterales: Mejillas (1) Ocupan  la mayor parte de la cara.   L imita  hacia arriba  con los  parpados inferiores  y los  bordes superiores de los arcos cigomáticos ,  hacia afuera  con los  pliegues preauriculares  o  auriculares anteriores ,  hacia abajo  por la  línea mandibular , y  hacia adentro  con el  surco nasogeniano , el  pliegue labiogeniano  y la  línea labiomandibular . Las  subunidades son 4 :  cigomático ,  lateral o maseterina parotídea ,  medial o infraorbitaria y bucal . Su espesor varia según el estado de gordura de los individuos. En su  conformación exterior  se considera en ella  2  caras, una interna y otra externa. La cara externa , abombada en el niño, esta excavada en los individuos flacos y los viejos (mejilla senil). La cara interna , libre en su parte media y recubierta por mucosa y, arriba y abajo se halla limitada por el surco gingivoyugal, esta adherida al plano óseo en el resto de su extensión.  A la altura del cuello de la segunda molar superior se observa el orificio de desembocadura del conducto de Stenon
Paredes laterales: Mejillas (2) Conformación anatómica. Están constituidas por: Piel , fina, rica en vasos y en glándulas sebáceas; sus pelos constituyen la barba T ejido celular subcutáneo , rico en grasa (que constituye en este punto una formación especial, la bola adiposa de Bichat) y que presenta manojos musculares pertenecientes a los músculos cutáneos de la cara Capa muscular. Mucosa bucal , lisa y provista de algunas glándulas alojadas en el espesor,  las glándulas molares . Además la presencia del conducto de Sténon, que la recorre transversalmente, antes de  abrirse a nivel del segundo molar superior
Constitución Anatómica: Capa muscular Constituida por:   Capa muscular superficial Porción inferior y lateral del orbicular de los párpados Elevador común del ala de la nariz y del labio superior Elevador propio del labio superior Canino Cigomáticos mayor y menor Risorio de Santorini Triangular de los labios Cuadrado del mentón (en parte), Masetero y Algunos fascículos del cutáneo del cuello.  Capa muscular profunda Buccinador
Paredes laterales: Mejillas (3) Las arterias  son  ramas de la temporal superficial  (transversal de la cara) de  la facial  y de  la maxilar interna . Las venas  terminan  en la facial ,  temporal superficial  y  en el plexo  venoso  pterigomaxilar .  Los linfáticos   mucosos  drenan en  los ganglios submaxilares  y los  cutáneos  son tributarios de  los ganglios submaxilares, submentonianos y  parotídeos  inferiores . Los nervios   motores  son  ramas del facial , mientras que los  sensitivos  provienen  del bucal y del suborbitario .
Pared superior: Bóveda palatina La bóveda palatina ósea (la bóveda palatina membranosa   es el velo del paladar) es una región en forma de herradura, circunscrita por los arcos  alveolo dentarios. Conformación exterior.   1.  E n la línea media :   un rafe  medio  algo saliente  terminado hacia delante por  un tubérculo (papila palatina) .  2.  A los lados  y en el tercio anterior :   2 a 6 crestas transversales mucosas (arrugas palatinas) .  3.  A los lados y e n los dos tercios posteriores :  papilas y orificios glandulares . Constitución anatómica.   Conformada de arriba abajo  por los tres   planos siguientes: Un  plano  óseo . Un  plano o  capa glandular .   Corresponde e  a las glándulas palatinas y  se encuentran en los 2/3  posteriores. Un  plano o  capa mucosa .  De  color rosado, gruesa y resistente.
Pared inferior: Piso de la boca Esta formada por  la lengua  y  la región sublingual ,  cuyo suelo está constituido por el músculo milohioideo . Lengua. Región sublingual:  Espacio comprendido  entre las encías y la base de la lengua . Triangular, con el vértice correspondiente a los incisivos inferiores. Presenta: 1. En la línea media el  frenillo lingual  2. A cada lado, la  carúncula sublingual  con un orificio en su vértice (ostium umbilical), correspondiente a la desembocadura del conducto de Wharton;  los conductos excretorios de la glándula sublingual o conductos de Walther ; dos eminencias simétricas, los  pliegues sublinguales , debidas al levantamiento de la mucosa por las glándulas sublinguales.  Entre la mucosa y el plano muscular profundo de los genioglosos , existe el  espacio sublingual.
Pared posterior: Velo del paladar (1) Formada por el  velo del paladar  y el  istmo de las fauces Velo del paladar:  tabique blando, móvil y contráctil. Tiene una dirección anteroposterior (primero horizontal, luego oblicua y después vertical). Se  eleva durante la deglución  (aísla la nasofaringe de la orofaringe) y  en estado de reposo desciende  y contacta con el dorso de la lengua (separa las cavidades bucal y faríngea). Presenta dos caras y cuatro bordes. Cara anteroinferior o bucal.  Cóncava y lisa. Presenta en la línea media el  rafe fibroso  que se prolonga en el paladar duro. Cara posterosuperior o nasal.  Convexa. Esta en continuidad con el piso nasal. Su superficie es irregular por la presencia en la mucosa de tejido linfoideo y un relieve longitudinal determinado por los músculos palatoestafilinos. Borde anterior.  Se confunde con el borde posterior del paladar duro. Bordes laterales.  Mal limitados. Unidos a la parte inferior de la apófisis pterigoides y a las paredes laterales de la faringe. Borde inferior.  Libre, presenta en la parte media una prolongación cilindrocónica llamada  úvula o campanilla , de cuya base se desprenden cuatro pliegues mucosos curvilíneos, dos anteriores y dos posteriores, los pilares del velo del paladar.
El pilar anterior o palatogloso .  Se dirige hacia fuera, abajo y adelante, para terminar en el borde lateral de la lengua.  Contiene en su espesor al músculo palatogloso o glosoestafilino . El pilar posterior o palatofaringeo .  Va hacia abajo, afuera y atrás, terminando en la pared lateral de la faringe.  En su interior se encuentra el músculo palatofaringeo o faringoestafilino . En la boca abierta, los pilares posteriores sobresalen por dentro de los anteriores. Pared posterior: Velo del paladar (2) Istmo de las fauces .  Es una abertura  circunscrita por la úvula, los pilares anteriores y la base de la lengua . Istmo nasofaríngeo .  Es un orificio  delimitado por los pilares posteriores , que  pone en comunicación las coanas nasales con la orofaringe .  Los pilares del velo se van separando a medida que descienden a la base de la lengua formando una excavación de forma triangular, la  fosa amigdalina , para el órgano linfoideo, la  amígdala palatina .
Músculos del velo del paladar Intrínsecos:  que nacen y terminan en el velo palatino. Palatostafilino o ácigos de la úvula Extrínsecos : cuando origen o terminación tienen lugar fuera de el. Periestafilino externo o tensor del velo palatino  Periestafilino interno o elevador del velo palatino  Glosostafilino o palatogloso  Faringostafilino o palatofaríngeo Inervación:   Periestafilino externo: ramo del V3 Todos los demas: ramos del nervio neumoespinal  Constitución Anatómica del Velo del paladar Los elementos estructurales mas importantes están constituidos por: Aponeurosis palatina Músculos del velo del paladar (10) Mucosa Aponeurosis palatina : de forma cuadrilátera, se inserta por delante en el borde posterior de la bóveda y a los lados en la apófisis pterigoides, es resistente, delgada y fuertemente tensa.
AGRADECIMIENTOS: A los diferentes autores de artículos relacionados y divulgados en la Web que me permitieron desarrollar los contenidos teóricos  e ilustrarlas con imágenes.
Chimbote los espera

ANATOMIA DE LA CAVIDAD ORAL

  • 1.
    MINISTERIO DE SALUD Servicio de Cirugía de Cabeza, Cuello y Máxilofacial DEPARTAMENTO DE CIRUGIA Dr. Edwin J. Calderón Flores Cirujano de Cabeza, Cuello y Maxilofacial RNE:18918 HOSPITAL “LA CALETA” Miembro de la Sociedad Peruana de Cirugía de Cabeza, Cuello y Maxilofacial
  • 2.
    CAVIDAD ORAL Dr.Edwin José Calderón Flores Cirujano de Cabeza, Cuello y Máxilofacial Hospital “La Caleta” Chimbote-Ancash-Perú
  • 3.
    Generalidades Cavidad oral o boca . Situada entre las fosas nasales y el cuello (región suprahioidea). Dividida por la región gingivodentaria en vestíbulo bucal , por delante y boca propiamente dicha , por detrás. Ambos comunican por los espacios interdentarios y retrodentarios . Abierto hacia delante mediante el orificio bucal, y en comunicación posterior con la faringe a través del istmo de las fauces. Constituida por 6 paredes denominadas: Pared anterior o labios ; Paredes laterales o mejillas ; Pared superior o bóveda palatina ; Pared inferior o piso de la boca , y Pared posterior o velo del paladar .
  • 4.
    Vestibulo Cavidad oralpropiament e dicha Re gion gingivodentaria Istmo de las fauces
  • 5.
  • 6.
  • 7.
    Pared Anterior: LabiosDos repliegues músculomembranosos: 2 caras y 2 bordes. Cara anterior: 1. Labio superior : a. El surco medio subnasal o filtro , c. El arco de Cupido , d. Hacia los lados : los segmentos laterales (con vello en el niño y la mujer y pelos en el hombre); 2. Labio inferior : a. La fosita media (mosca) . Cara posterior: lisa, color rosado y cubierta por la mucosa Borde adherente: Es el limite periférico de los labios y exteriormente está limitado: 1. Labio superior : por la nariz y el pliegue labiogeniano ; 2. Labio inferior , por el pliegue mentolabial y labiomandibular . Interiormente y del lado de la cavidad bucal, esta el surco gingivolabial (superior e inferior) y, en la línea media el frenillo medio labial (superior e inferior) . Borde libre: Corresponde a l bermellón. Presenta: 1. Labio superior: el tubérculo labial superior . 2 . Labio inferior : una escotadura media , para el tubérculo labial . Los labios están unidos a nivel de sus comisuras, los labios, separados constituyen el orificio bucal ; una vez aproximados, forman la hendidura bucal (47 a 53 mm. de long. aprox).
  • 8.
  • 9.
    Labios: Constitución AnatómicaConstituidos por cuatro capas: Piel: gruesa, rica en folículos pilosos con glándulas sebáceas y sudoríparas, firmemente adherida a la capa muscular . El tejido celular subcutáneo existe solo en los confines de la región. Capa muscular. Capa submucosa o glandular: tejido conjuntivo y glándulas labiales, perceptibles al tacto por su relieve. Capa mucosa: grisácea y abollonada en la cara posterior de los labios (glándulas labiales) ; delgada, adherente y rosada a nivel de su borde libre. Se compone de un corion dermopapilar y de un epitelio muy parecido a la piel , difiriendo del mismo por la ausencia de queratinización.
  • 10.
    Constitución Anatómica: Capamuscular Constituida por: Músculos dilatadores Plano superficial Elevador común del ala de la nariz y del labio superior Cigomático mayor y menor Risorio Triangular de los labios y Fibras del cutáneo del cuello que van a la comisura labial Plano profundo Canino Buccinador y Cuadrado del mentón Músculos constrictores Orbicular de los labios Compresor de los labios (que se atrofia después de la lactancia) Borla de la barba.
  • 11.
    Paredes laterales: Mejillas(1) Ocupan la mayor parte de la cara. L imita hacia arriba con los parpados inferiores y los bordes superiores de los arcos cigomáticos , hacia afuera con los pliegues preauriculares o auriculares anteriores , hacia abajo por la línea mandibular , y hacia adentro con el surco nasogeniano , el pliegue labiogeniano y la línea labiomandibular . Las subunidades son 4 : cigomático , lateral o maseterina parotídea , medial o infraorbitaria y bucal . Su espesor varia según el estado de gordura de los individuos. En su conformación exterior se considera en ella 2 caras, una interna y otra externa. La cara externa , abombada en el niño, esta excavada en los individuos flacos y los viejos (mejilla senil). La cara interna , libre en su parte media y recubierta por mucosa y, arriba y abajo se halla limitada por el surco gingivoyugal, esta adherida al plano óseo en el resto de su extensión. A la altura del cuello de la segunda molar superior se observa el orificio de desembocadura del conducto de Stenon
  • 12.
    Paredes laterales: Mejillas(2) Conformación anatómica. Están constituidas por: Piel , fina, rica en vasos y en glándulas sebáceas; sus pelos constituyen la barba T ejido celular subcutáneo , rico en grasa (que constituye en este punto una formación especial, la bola adiposa de Bichat) y que presenta manojos musculares pertenecientes a los músculos cutáneos de la cara Capa muscular. Mucosa bucal , lisa y provista de algunas glándulas alojadas en el espesor, las glándulas molares . Además la presencia del conducto de Sténon, que la recorre transversalmente, antes de abrirse a nivel del segundo molar superior
  • 13.
    Constitución Anatómica: Capamuscular Constituida por: Capa muscular superficial Porción inferior y lateral del orbicular de los párpados Elevador común del ala de la nariz y del labio superior Elevador propio del labio superior Canino Cigomáticos mayor y menor Risorio de Santorini Triangular de los labios Cuadrado del mentón (en parte), Masetero y Algunos fascículos del cutáneo del cuello. Capa muscular profunda Buccinador
  • 14.
    Paredes laterales: Mejillas(3) Las arterias son ramas de la temporal superficial (transversal de la cara) de la facial y de la maxilar interna . Las venas terminan en la facial , temporal superficial y en el plexo venoso pterigomaxilar . Los linfáticos mucosos drenan en los ganglios submaxilares y los cutáneos son tributarios de los ganglios submaxilares, submentonianos y parotídeos inferiores . Los nervios motores son ramas del facial , mientras que los sensitivos provienen del bucal y del suborbitario .
  • 15.
    Pared superior: Bóvedapalatina La bóveda palatina ósea (la bóveda palatina membranosa es el velo del paladar) es una región en forma de herradura, circunscrita por los arcos alveolo dentarios. Conformación exterior. 1. E n la línea media : un rafe medio algo saliente terminado hacia delante por un tubérculo (papila palatina) . 2. A los lados y en el tercio anterior : 2 a 6 crestas transversales mucosas (arrugas palatinas) . 3. A los lados y e n los dos tercios posteriores : papilas y orificios glandulares . Constitución anatómica. Conformada de arriba abajo por los tres planos siguientes: Un plano óseo . Un plano o capa glandular . Corresponde e a las glándulas palatinas y se encuentran en los 2/3 posteriores. Un plano o capa mucosa . De color rosado, gruesa y resistente.
  • 16.
    Pared inferior: Pisode la boca Esta formada por la lengua y la región sublingual , cuyo suelo está constituido por el músculo milohioideo . Lengua. Región sublingual: Espacio comprendido entre las encías y la base de la lengua . Triangular, con el vértice correspondiente a los incisivos inferiores. Presenta: 1. En la línea media el frenillo lingual 2. A cada lado, la carúncula sublingual con un orificio en su vértice (ostium umbilical), correspondiente a la desembocadura del conducto de Wharton; los conductos excretorios de la glándula sublingual o conductos de Walther ; dos eminencias simétricas, los pliegues sublinguales , debidas al levantamiento de la mucosa por las glándulas sublinguales. Entre la mucosa y el plano muscular profundo de los genioglosos , existe el espacio sublingual.
  • 17.
    Pared posterior: Velodel paladar (1) Formada por el velo del paladar y el istmo de las fauces Velo del paladar: tabique blando, móvil y contráctil. Tiene una dirección anteroposterior (primero horizontal, luego oblicua y después vertical). Se eleva durante la deglución (aísla la nasofaringe de la orofaringe) y en estado de reposo desciende y contacta con el dorso de la lengua (separa las cavidades bucal y faríngea). Presenta dos caras y cuatro bordes. Cara anteroinferior o bucal. Cóncava y lisa. Presenta en la línea media el rafe fibroso que se prolonga en el paladar duro. Cara posterosuperior o nasal. Convexa. Esta en continuidad con el piso nasal. Su superficie es irregular por la presencia en la mucosa de tejido linfoideo y un relieve longitudinal determinado por los músculos palatoestafilinos. Borde anterior. Se confunde con el borde posterior del paladar duro. Bordes laterales. Mal limitados. Unidos a la parte inferior de la apófisis pterigoides y a las paredes laterales de la faringe. Borde inferior. Libre, presenta en la parte media una prolongación cilindrocónica llamada úvula o campanilla , de cuya base se desprenden cuatro pliegues mucosos curvilíneos, dos anteriores y dos posteriores, los pilares del velo del paladar.
  • 18.
    El pilar anterioro palatogloso . Se dirige hacia fuera, abajo y adelante, para terminar en el borde lateral de la lengua. Contiene en su espesor al músculo palatogloso o glosoestafilino . El pilar posterior o palatofaringeo . Va hacia abajo, afuera y atrás, terminando en la pared lateral de la faringe. En su interior se encuentra el músculo palatofaringeo o faringoestafilino . En la boca abierta, los pilares posteriores sobresalen por dentro de los anteriores. Pared posterior: Velo del paladar (2) Istmo de las fauces . Es una abertura circunscrita por la úvula, los pilares anteriores y la base de la lengua . Istmo nasofaríngeo . Es un orificio delimitado por los pilares posteriores , que pone en comunicación las coanas nasales con la orofaringe . Los pilares del velo se van separando a medida que descienden a la base de la lengua formando una excavación de forma triangular, la fosa amigdalina , para el órgano linfoideo, la amígdala palatina .
  • 19.
    Músculos del velodel paladar Intrínsecos: que nacen y terminan en el velo palatino. Palatostafilino o ácigos de la úvula Extrínsecos : cuando origen o terminación tienen lugar fuera de el. Periestafilino externo o tensor del velo palatino Periestafilino interno o elevador del velo palatino Glosostafilino o palatogloso Faringostafilino o palatofaríngeo Inervación: Periestafilino externo: ramo del V3 Todos los demas: ramos del nervio neumoespinal Constitución Anatómica del Velo del paladar Los elementos estructurales mas importantes están constituidos por: Aponeurosis palatina Músculos del velo del paladar (10) Mucosa Aponeurosis palatina : de forma cuadrilátera, se inserta por delante en el borde posterior de la bóveda y a los lados en la apófisis pterigoides, es resistente, delgada y fuertemente tensa.
  • 20.
    AGRADECIMIENTOS: A losdiferentes autores de artículos relacionados y divulgados en la Web que me permitieron desarrollar los contenidos teóricos e ilustrarlas con imágenes.
  • 21.