“…  RESISTENTE A POR LOS MENOS ISONIAZIDA  Y RIFAMPICINA…” TUBERCULOSIS   MULTIDROGORESISTENTE   TBC-MDR
Distribución Mundial de la TBC-MDR  MUNDO INDUSTRIALIZADO Baja MDR   AMERICA LATINA Moderada MDR AFRICA Alta MDR ESTE MEDIO MDR?   ASIA Alta MDR ANTERIOR URSS Alta MDR   Programa Global de TB  de la OMS
EPIDEMIOLOGIA La incidencia de transmisión de TB-MDR de un adulto infectado es igual para niños que para otros adultos. La mayoría de los casos de TB- MDR en niños son de resistencia primaria. Los niños pueden tener un riesgo menor de adquirir resistencia, debido a una carga bacilar reducida .
EL DESARROLLO DE ENFERMEDAD SIGUIENDO A LA INFECCION El riesgo es de por vida, pero esta concentrado en los primeros  02 años después de la infección(80%). El % de infectados que van a desarrollar enfermedad varia (5% a 20%), pero en promedio es 10%. Sutherland I et al(1982) The development of clinical tuberculosis following infection with tubercle bacilli.Tubercle 255-268
 
 
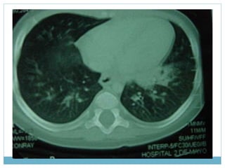
Rx de paciente de 2.5 años
 
CASO CLINICO X DR Con el DX de TBCP XDR, en coordinación con H. de Huaycan el 27/7/07 ingresa a esquema IND. con MOXI 100, ETHIO 150, CS 150, PAS 1.5,H 100,Z 250,AMIK 150. El 8-8-07 se conoce PS (Agar en placa) de muestra del 7-5-07 con (R) a  K - CX - CM  confirmándose la condición de XDR, primer caso de un lactante en el mundo. Acude a evaluación el 6-11-07 y el 12-2-08, asintomático, ganancia ponderal , cumple DOTS PLUS, con buena tolerancia a drogas y con Bk(-) del 1 al  6 mes de tratamiento y con Cx (-) del 1 al 4 mes.
 
 
TRATAMIENTO DE  LA TBC-MDR ☛   MEDICO FARMACOLOGICO DOTS-PLUS   ☛   QUIRURGICO COMPLEMENTARIO
MANEJO SECUENCIAL DE LOS CASOS DE TBC-MDR Identificación del  paciente con  TBC-MDR Evaluación clínico-radiológica Diseño de un esquema de retratamiento DOTS-PLUS: Empírico o Individualizado Coordinación para que el tratamiento sea directamente observado Seguimiento bacteriológico con baciloscopía y cultivo BK mensuales Vigilancia de la eficacia del tratamiento Diseño del esquema de retratamiento definitivo con el resultado de la PS (Tratamiento Individualizado) Manejo agresivo de los efectos colaterales Valoración de la necesidad o no de opciones coadyuvantes. Ej. Manejo Quirúrgico Determinación de la duración del tratamiento
Factores de Riesgo asociados a TBC-MDR Ser contacto de paciente con TBC- MDR documentada  o en tratamiento con fármacos  de 2da. línea. Tener alguna condición  de inunosupresión: - VIH/SIDA - Diabetes Mellitus, - Corticoterapia  crónica - Otros: cáncer, etc. Tener recaída menor a 6  meses después  de egresar como “curado”  con el  esquema Uno o  Dos.  Tener TBC crónica multitratada. Ser Personal de Salud activo o cesante con menos de dos años de cesantía. Ser estudiante de Ciencias de la Salud que realizan actividades en áreas clínicas  y/o  laboratorio  y/o  salas de necropsia.
Factores de Riesgo asociados a TBC-MDR Ser interno o ex-interno de algún centro penitenciario. Ser trabajador de un establecimiento penal. Ser contacto de paciente fallecido con  tuberculosis en tratamiento. Haber recibido  tratamiento previo particular y/o auto administrado. Haber abandonado algún tratamiento antituberculoso. Haber sido hospitalizado por mas de 15 días y por cualquier causa en los últimos dos años. Haber presentado alguna  RAFA que obligó a modificar  la dosis y/o a cambiar y/o a suprimir algún medicamento. Ser contacto de paciente que fracaso a algún tratamiento  antituberculoso.
TBC-MDR Son dos los factores de riesgo más importantes: Tratamiento incompleto, irregular, o inapropiado de TB activa. Vivir en una comunidad con alta prevalencia de TB-MDR.
TRATAMIENTO  FARMACOLOGICO DOTS-PLUS ➽   ESTANDARIZADO ➽  EMPIRICO ➽   INDIVIDUALIZADO
ESQUEMA ESTANDARIZADO E-Z-Km-Cpx-Ethio-CS-PAS Es un esquema normatizado. Basado en la prevalencia de resistencia y en función del arsenal terapéutico disponible. No se requiere disponer del resultado de la PS para su aplicación. Dura por lo menos 18 meses. Se reajusta con el resultado de la PS.
ESQUEMA ESTANDARIZADO INDICACIONES Fracaso aL Esquema Uno o Dos sin disponer de la PS. Sospecha de fracaso al esquema Uno o Dos. TBC activa, con antecedente de 2 tratamientos previos y sin disponer de la PS. Contacto NT de TBC-MDR adquirida documentado.
ESQUEMA EMPIRICO INDICACIONES Contacto de TBC-MDR en tratamiento individualizado y sin disponer de la PS. Fracaso al tratamiento estandarizado y sin disponer de la PS.  Abandono al tratamiento estandarizado y sin disponer de la PS. Antecedente de haber sido tratado con fármacos de 2da. Línea.
ESQUEMA INDIVIDUALIZADO Se diseña según el resultado de la PS
Isoniazida Rifampicina Pirazinamida Estreptomicina Kanamicina Amikacina Capreomicina Ciprofloxacina Ofloxacina Levofloxacina Moxifloxacino Ethionamida Prothionamida Cicloserina PAS Amoxicilina -  A.Clavulánico Rifabutina Claritromicina Clofazimina Ethambutol FARMACOS DE   PRIMERA LÍNEA FARMACOS DE   SEGUNDA LÍNEA I N Y E C  T A B L E S
DISEÑO DE UN ESQUEMA DE RETRATAMIENTO DOTS-PLUS
DISEÑO DE UN ESQUEMA DE RETRATAMIENTO DOTS-PLUS   PRINCIPIOS Incluir mínimo 5 medicamentos. Nunca agregar un sòlo fàrmaco. Indicar las dosis màximas de cada medicamento. Incluir fármacos de  1ra. Línea  si se considera o se confirma  que aún son sensibles Incluir siempre una  quinolona  y un inyectable  (aminoglicósido o capreomicina) No incluir fármacos con resistencia documentada Duración del tratamiento: ☛   Del inyectable:  hasta tener  6 cultivos  BK (-)  mensuales  consecutivos ☛   De todo el tratamiento : hasta tener de 18 a 24 cultivos BK (-)  post-conversión
DISEÑO DE UN ESQUEMA DE RETRATAMIENTO DOTS-PLUS PRINCIPIOS   Ante la sospecha de resistencia o de amplificación de resistencia de algún  medicamento, se deberá: ❶   Reemplazarlo  por  otro  medicamento del mismo grupo  que se considere sea sensible. ❷   Mantenerlo  dentro  del  esquema  hasta  disponer  del  resultado de la  Prueba  de Sensibilidad, si no es posible reemplazarlo.
¡¡NO OLVIDAR!! “  DETRÁS DE UN NIÑO CON  TUBERCULOSIS HAY UN ADULTO QUE LO CONTAGIO” (  PROTEGELO!! )
¡   MUCHAS GRACIAS   !

Tuberculosis MDR

  • 1.
    “… RESISTENTEA POR LOS MENOS ISONIAZIDA Y RIFAMPICINA…” TUBERCULOSIS MULTIDROGORESISTENTE TBC-MDR
  • 2.
    Distribución Mundial dela TBC-MDR MUNDO INDUSTRIALIZADO Baja MDR AMERICA LATINA Moderada MDR AFRICA Alta MDR ESTE MEDIO MDR? ASIA Alta MDR ANTERIOR URSS Alta MDR Programa Global de TB de la OMS
  • 3.
    EPIDEMIOLOGIA La incidenciade transmisión de TB-MDR de un adulto infectado es igual para niños que para otros adultos. La mayoría de los casos de TB- MDR en niños son de resistencia primaria. Los niños pueden tener un riesgo menor de adquirir resistencia, debido a una carga bacilar reducida .
  • 4.
    EL DESARROLLO DEENFERMEDAD SIGUIENDO A LA INFECCION El riesgo es de por vida, pero esta concentrado en los primeros 02 años después de la infección(80%). El % de infectados que van a desarrollar enfermedad varia (5% a 20%), pero en promedio es 10%. Sutherland I et al(1982) The development of clinical tuberculosis following infection with tubercle bacilli.Tubercle 255-268
  • 5.
  • 6.
  • 7.
    Rx de pacientede 2.5 años
  • 8.
  • 9.
    CASO CLINICO XDR Con el DX de TBCP XDR, en coordinación con H. de Huaycan el 27/7/07 ingresa a esquema IND. con MOXI 100, ETHIO 150, CS 150, PAS 1.5,H 100,Z 250,AMIK 150. El 8-8-07 se conoce PS (Agar en placa) de muestra del 7-5-07 con (R) a K - CX - CM confirmándose la condición de XDR, primer caso de un lactante en el mundo. Acude a evaluación el 6-11-07 y el 12-2-08, asintomático, ganancia ponderal , cumple DOTS PLUS, con buena tolerancia a drogas y con Bk(-) del 1 al 6 mes de tratamiento y con Cx (-) del 1 al 4 mes.
  • 10.
  • 11.
  • 12.
    TRATAMIENTO DE LA TBC-MDR ☛ MEDICO FARMACOLOGICO DOTS-PLUS ☛ QUIRURGICO COMPLEMENTARIO
  • 13.
    MANEJO SECUENCIAL DELOS CASOS DE TBC-MDR Identificación del paciente con TBC-MDR Evaluación clínico-radiológica Diseño de un esquema de retratamiento DOTS-PLUS: Empírico o Individualizado Coordinación para que el tratamiento sea directamente observado Seguimiento bacteriológico con baciloscopía y cultivo BK mensuales Vigilancia de la eficacia del tratamiento Diseño del esquema de retratamiento definitivo con el resultado de la PS (Tratamiento Individualizado) Manejo agresivo de los efectos colaterales Valoración de la necesidad o no de opciones coadyuvantes. Ej. Manejo Quirúrgico Determinación de la duración del tratamiento
  • 14.
    Factores de Riesgoasociados a TBC-MDR Ser contacto de paciente con TBC- MDR documentada o en tratamiento con fármacos de 2da. línea. Tener alguna condición de inunosupresión: - VIH/SIDA - Diabetes Mellitus, - Corticoterapia crónica - Otros: cáncer, etc. Tener recaída menor a 6 meses después de egresar como “curado” con el esquema Uno o Dos. Tener TBC crónica multitratada. Ser Personal de Salud activo o cesante con menos de dos años de cesantía. Ser estudiante de Ciencias de la Salud que realizan actividades en áreas clínicas y/o laboratorio y/o salas de necropsia.
  • 15.
    Factores de Riesgoasociados a TBC-MDR Ser interno o ex-interno de algún centro penitenciario. Ser trabajador de un establecimiento penal. Ser contacto de paciente fallecido con tuberculosis en tratamiento. Haber recibido tratamiento previo particular y/o auto administrado. Haber abandonado algún tratamiento antituberculoso. Haber sido hospitalizado por mas de 15 días y por cualquier causa en los últimos dos años. Haber presentado alguna RAFA que obligó a modificar la dosis y/o a cambiar y/o a suprimir algún medicamento. Ser contacto de paciente que fracaso a algún tratamiento antituberculoso.
  • 16.
    TBC-MDR Son doslos factores de riesgo más importantes: Tratamiento incompleto, irregular, o inapropiado de TB activa. Vivir en una comunidad con alta prevalencia de TB-MDR.
  • 17.
    TRATAMIENTO FARMACOLOGICODOTS-PLUS ➽ ESTANDARIZADO ➽ EMPIRICO ➽ INDIVIDUALIZADO
  • 18.
    ESQUEMA ESTANDARIZADO E-Z-Km-Cpx-Ethio-CS-PASEs un esquema normatizado. Basado en la prevalencia de resistencia y en función del arsenal terapéutico disponible. No se requiere disponer del resultado de la PS para su aplicación. Dura por lo menos 18 meses. Se reajusta con el resultado de la PS.
  • 19.
    ESQUEMA ESTANDARIZADO INDICACIONESFracaso aL Esquema Uno o Dos sin disponer de la PS. Sospecha de fracaso al esquema Uno o Dos. TBC activa, con antecedente de 2 tratamientos previos y sin disponer de la PS. Contacto NT de TBC-MDR adquirida documentado.
  • 20.
    ESQUEMA EMPIRICO INDICACIONESContacto de TBC-MDR en tratamiento individualizado y sin disponer de la PS. Fracaso al tratamiento estandarizado y sin disponer de la PS. Abandono al tratamiento estandarizado y sin disponer de la PS. Antecedente de haber sido tratado con fármacos de 2da. Línea.
  • 21.
    ESQUEMA INDIVIDUALIZADO Sediseña según el resultado de la PS
  • 22.
    Isoniazida Rifampicina PirazinamidaEstreptomicina Kanamicina Amikacina Capreomicina Ciprofloxacina Ofloxacina Levofloxacina Moxifloxacino Ethionamida Prothionamida Cicloserina PAS Amoxicilina - A.Clavulánico Rifabutina Claritromicina Clofazimina Ethambutol FARMACOS DE PRIMERA LÍNEA FARMACOS DE SEGUNDA LÍNEA I N Y E C T A B L E S
  • 23.
    DISEÑO DE UNESQUEMA DE RETRATAMIENTO DOTS-PLUS
  • 24.
    DISEÑO DE UNESQUEMA DE RETRATAMIENTO DOTS-PLUS PRINCIPIOS Incluir mínimo 5 medicamentos. Nunca agregar un sòlo fàrmaco. Indicar las dosis màximas de cada medicamento. Incluir fármacos de 1ra. Línea si se considera o se confirma que aún son sensibles Incluir siempre una quinolona y un inyectable (aminoglicósido o capreomicina) No incluir fármacos con resistencia documentada Duración del tratamiento: ☛ Del inyectable: hasta tener 6 cultivos BK (-) mensuales consecutivos ☛ De todo el tratamiento : hasta tener de 18 a 24 cultivos BK (-) post-conversión
  • 25.
    DISEÑO DE UNESQUEMA DE RETRATAMIENTO DOTS-PLUS PRINCIPIOS Ante la sospecha de resistencia o de amplificación de resistencia de algún medicamento, se deberá: ❶ Reemplazarlo por otro medicamento del mismo grupo que se considere sea sensible. ❷ Mantenerlo dentro del esquema hasta disponer del resultado de la Prueba de Sensibilidad, si no es posible reemplazarlo.
  • 26.
    ¡¡NO OLVIDAR!! “ DETRÁS DE UN NIÑO CON TUBERCULOSIS HAY UN ADULTO QUE LO CONTAGIO” ( PROTEGELO!! )
  • 27.
    ¡ MUCHAS GRACIAS !