UNIDAD III

BIOLOGÍA CELULAR
Antecedentes históricos
               “Teorías”
• Origen de las especias
  Charles Darwin
   - Selección natural
• Generación espontánea (Aristóteles)
Abiogénesis

Francesco Redi

Lazaro Spallanzani




                                        Louis Pasteur
Origen y evolución de las células
• Todas las células descienden de un único ancestro.
• 3800 millones de años

                                             Reproducción




  Nutrición



                                               Relación
Teoría de la invaginación
de la membrana plasmática
Teoría endosimbiótica
      por Lynn Margulis
Célula procariota
Eucariota
Célula
• Unidad morfológica y funcional de todo ser
  vivo.

• Es la unidad más pequeña capaz de realizar por
  si misma las tres funciones vitales: nutrición,
  reproducción y relación con el medio
Componentes bioquímicos
     de la célula
Componentes orgánicos




PROTEINAS
                              LÍPIDOS
                                         ACIDOS
              CARBOHIDRATOS             NUCLEICOS
Monosacáridos

• Pentosas: Ribosa, desoxirribosa

• Hexosas: Glucosa
Disacáridos



–Sacarosa
–Lactosa
Polisacáridos


–Glucógeno
• Los lípidos
Lípidos

• En la célula:

  – Reserva energética
  – Estructura
Proteínas
• Macromoléculas compuestas por aminoácidos.




                          Enlace
                         peptídico
Grupo amino (NH2) y un grupo carboxilo (COOH)

- Estructura celular
- Funciones celulares
Ácidos nucleicos
• DNA       ó    ADN
• RNA       ó    ARN




• Macromoléculas que tienen las características
  hereditarias en su base química
Célula
Membrana citoplasmática

• Estructura laminar que engloba a las células, define
  sus límites y contribuye a mantener el equilibrio entre
  su ambiente externo e interno.
• CREAN BARRERAS
• REGIONES HIDRÓFOBAS E HIDRÓFILAS
(ANFIPATIA)
•COLESTEROL - RIGIDEZ
DIFUSIÓN PROTEINAS

SEÑALIZACIÓN

DISTRIBUCIÓN
50% de la membrana

Responsables de las funciones dinámicas:

ESTRUCTURALES
TRANSPORTADORAS
CONECTORAS -
RECEPTORAS
ENZIMAS
Protegen y lubrican la superficie celular.
 Participan en los procesos de reconocimiento y
                 adhesión celular.

Permiten desplazarse a través de pasajes estrechos.
Medio interno intracelular, semilíquido, en el cuál residen los
organelos y se lleva a cabo gran parte del metabolismo celular



                                         Vías de
                                         transducción

                                         Receptores
                                         intracelulares

                                         Factores
 ¿Qué es el
citoplasma?
• Especialización regional

• Transporte
RER
     REL
  A. GOLGI
MITOCONDRIAS
   NÚCLEO
 LISOSOMAS
PEROXISOMAS
 ENDOSOMAS
Compartimento   % volúmen total   # apróx por célula
    CITOSOL            54                  1
 MITOCONDRIA           22                1700
   RETÍCULO
ENDOPLÁSMICO           12                 1
    NÚCLEO              6                 1
    A. GOLGI            3                 1
 PEROXISOMA             1                400
   LISOSOMA             1                300
  ENDOSOMA              1                200
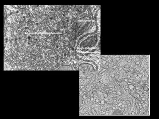
Retículo endoplasmático
• Sistema de sacos y tubos membranosos que se extienden a
  todo lo largo de la célula.
• Compartimento delimitado por una membrana.
• Se encargan de transportar proteínas sintetizadas a lo
  largo del citosol.
• Principalmente proteínas de membrana
• SINTESIS DE
  PROTEÍNAS

• Distribuye orgánulos membranoso
• Proteínas hidrosolubles destinadas a la secreción.
• Proteínas transmembrana.
• Juega diferentes funciones dependiendo del tipo celular.

• Altamente desarrollado en células productoras de hormonas.

• Síntesis de lípidos.
• Rompe toxinas liposolubles en células hepáticas.
  (Detoxifican)
• Liberación y recaptación de Ca.
• Estructura de sacos apilados membranosos que se encarga de
  empaquetar diferentes macromoléculas.
• En cada célula de una a cientos de pilas.




                3 a 20 cisternas
• MODIFICACIONES

• Glicosilaciones
• Fosforilaciones

• Distribución de proteínas
• Formación de vesículas.
• y las despacha desde la red trans.
• El transporte proteico está mediado por brote y fusión de
  membranas
                       Proteínas “DIANA”




   VACUOLA
• Organelo del tamaño de una bacteria, que lleva a cabo
  la fosforilación oxidativa y produce la mayor parte
  del ATP en las células eucariotas.




                                            Cantidad
                                            variable
Porinas
              permeable




Impermeable
  Selectiva
ADN CIRCULAR
                                       BICATENARIO

                                          ARN


Protones como resultado
del bombeo de la cadena
      respiratoria

                          RIBOSOMAS
                              70S
Mitosol
                 Ciclo de krebs




  M. Externa
Beta-oxidación
  De ácidos
    grasos
Proteínas

                                                 Cadena de transportes
                                                 para la fosforilación
                                                 oxidativa.

                                                 Permite el paso de
                                                 piruvato y ácidos grasos.



*Proceso metabólico que utiliza energía liberada de la oxidación de nutrientes
                             para producir ATP.
Proteínas

TRANSPORTADORA

OXIDATIVAS

PRODUCTORAS ATP
Enfermedades degenerativas relacionadas con el envejecimiento
Enfermedades en el sistema nervioso
Enfermedad de Parkinson
Enfermedad de Alzheimer
Cardiopatías
Enfermedades músculares

Relacionadas con lesiones mitocondriales
Organelos membranosos que contienen enzimas líticas
  para digerir moléculas externas (heterofagia) o
  internas (autofagia).



                  RETÍCULO ENDOPLASMICO RUGOSO
                                 ↓
                             A. GOLGI
                                 ↓
                             LISOSOMA
• Diversos tamaños menos a 1 micra.
• pH -5
• + 40 ENZIMAS
FAGOLISOSOMAS –

ENDOSOMAS TARDÍOS

 AUTOFAGOSOMA
Son orgánulos membranosos con una variedad de enzimas
(como la peroxidasa) que emplean una variedad de reacciones
oxidativas para degradar lípidos y destruir moléculas tóxicas.
• Complejos macromoleculares de proteínas de
  ARNr, que se encargan de la síntesis de
  proteínas (traducción).
Las
subunidades
 ribosómicas         2 aa X seg
se forman en
   el núcleo

                             60s




               40s


                          Las moléculas que tienen
                            actividad catalítica se
                            denominan ribozimas
Valor S
    Velocidad de
sedimentación por
ultracentrifugación
E P A




La subunidad pequeña se aparea al
   RNAt y codones de RNAm

  La subunidad mayor cataliza la
 formación de enlaces peptídicos
•   Lípidos
•   Glucógeno
•   Granulos de secreción
•   Pigmentos



Muchos de naturaleza transitoria
• Sistema de filamentos proteicos del citoplasma de una célula
  eucariote que le da la forma a la célula y la capacidad de
  movimientos dirigidos.
• Son fibras que le confieren resistencia tensional a la
  célula. 10 nm



• Son los más resistentes.
• Polímeros estables cordiformes , proteínas fibrosas
Estiran y
 distribuyen el
 efecto de las      4 categorías:
fuerzas locales    •Filamentos de
                      queratina

                    •Vimentina y
                     filamentos
                    relacionados

                  •Neurofilamentos

                    •“Laminas”
                     nucleares
FILAMENTOS
INTERMEDIOS
MICROTUBULOS
PLECTINA
• Estructuras cilíndricas, largas y rígidas que miden 25
  nm.
• Intervienen en los procesos de organización celular y
  división




                                              Guías
                                          intracelulares
protofilamentos   Centrosomas

                  Cuerpos basales
Inestabilidad dinámica

                           • transportan materiales
                    •Los orgánulos se desplazan por medio
                                   de estos




  Huso
  mitótico
Esenciales para muchos de los movimientos celulares, sobre todo
los relacionados con la superficie celular.



                                        Desplazamiento

                                      Englobar partículas

                                        Anillo contráctil

                                       Microvillosidades
• Mantiene la integridad de los genes y controla las
  actividades celulares a través de la expresión génica.
ENVOLTURA NUCLEAR
      POROS
                    NUCLEOPLASMA
 LAMINA NUCLEAR
                     CARIOPLASMA
FUNCIONES
• Dirige la actividad celular, ya que contiene el
  programa genético que dirige el desarrollo y
  funcionamiento de la célula.

• Es la sede de la replicación (duplicación del DNA),
  y la transcripción (síntesis de RNA).
Características de la Cromatina
Tipo de cromatina    Estado físico   Cambio químico
                                                      Tipo de genes   Replicación

  Eucromatina            Laxa          Acetilada                         Fase S
                                                        Activos
                                                                       temprana
Heterocromatina      condensada         Metilada
                                                        Silentes      Fase S tardía
• Formado por proteínas y RNAr
• Biogénesis de ribosomas desde sus componentesde
  ADN para formar ARN ribosomal.

• Responsable del tráfico de pequeños segmentos de
  ARN.

• Interviene en la maduración y el transporte de ARN
  hasta su destino final.

• Regula el ciclo celular
• Macromoléculas que contiene la información génica
  usada en el desarrollo y el funcionamiento de todos
  los organismos vivos conocidos y algunos virus.
Grupos
fosfato                                       Pentosa (ribosa)




                                   Bases
                               nitrogenadas




La doble cadena de ADN mide
      2.2 nm de ancho
Un cromosoma puede llegar a
 tener 220 millones de pares
           de bases
• Pentosa del DNA = Desoxirribosa
• Pentosa del RNA = Ribosa
• Bases nitrogenadas:
   – Adenina (A)
   – Guanina (G)        Púricas

   – Citosina (C)        PURICAS
   – Timina (T)       DNA        pirimídicas
   – Uracilo (U)      RNA
Modelo de Watson-Crick



• La molécula de DNA es una
  espiral bicatenaria, una
  doble hélice (como una escalera en
  caracol)
• Las bases nitrogenadas están apareadas de
  manera que una base puríca siempre se une
  a una pirimidíca.




                   Purinas: A, G
                Pirimidinas: C, T, U
• Los ácidos nucleicos se mantienen unidos
  mediante enlaces de hidrógeno
• Las hélices del DNA
  transcurren en direcciones
  opuestas: son
  antiparalelas.
  – 5´-3´
  – 3´-5´
Asas de
               cromatina



                           Solenoide
                              H1
Cromosoma en
   metafase

                                        Nucleosoma:
                                       H2A, H2B, H3 y
                                             H4
• Las moléculas de RNA son monocatenarias.

• Hay 3 tipos principales de RNA:
   – RNA mensajero (mRNA)
   – RNA de transporte o transferencia (tRNA)
   – RNA ribosómico (rRNA)
      • Los 3 intervienen en la síntesis
      de proteínas en el citoplasma celular.
Dirige 2 procesos:

• La síntesis de proteínas
• Transcripción por medio de RNA Polimerasas.
Tipos de ARN
ARN codificantes:
   ARN mensajero
ARN no codificantes:
   intrones (que representan el 30% del genoma)
   ARN que se expresan de forma autónoma (50-70%
   de la transcripción total en los eucariotas
   superiores): básicos:
          ARN de transferencia
          ARN ribosómico
          ARN nucleolar merasa
       reguladores:
          ARN de interferencia
          micro ARN
RNA MENSAJERO
RNA DE TRANSFERENCIA
Longitud de 70 -80 aa
RNA RIBOSOMAL
Dogma central de la biología molecular

               DNA



                RNA



              Proteína
•SEMICONSERVATIVA
•ORDENADA Y SECUENCIAL
  •REQUIERE UN MOLDE
      •DISCONTINUA
INICIACIÓN




ELONGACIÓN    REPLISOMA



TERMINACIÓN
ENZIMA         FUNCIÓN

DNA Pol α   Síntesis Hebra retardada.
            Síntesis del cebador: 10 bases de DNA y 25 de RNA.
DNA Pol δ   Síntesis de la Hebra Líder
DNA Pol ε   Polimerización de los Fragmentos de Okazaki.
DNA Pol β   Unión de los fragmentos de Okazaki
            (de aproximadamente 250 pb).
DNA Pol γ   Síntesis DNA mitocondrial.
Proceso por el cual una hebra de una molécula de
DNA se utiliza como plantilla para la síntesis de un
RNA complementario por acción de la RNA pol.
Organización de un gen como unidad
            transcripcional

                              GEN



            Promotor   Secuencia codificadora Terminador

DNA



                   Sitio de inicio         Sitio de término de
                   de la transcripción     la transcripción


      Rio arriba                                Rio abajo
INICIACIÓN
E. coli (37°C)
Velocidad: 40 nt por segundo
1 error por 10,000 nt

Fago T7
Velocidad: 200 nt por segundo

INICIACIÓN



Reconocimiento del codón de inicio
           Metionina
          AUG, AUA




                                     Terminación
Unidad 3 biología celular

Unidad 3 biología celular

  • 1.
  • 2.
    Antecedentes históricos “Teorías” • Origen de las especias Charles Darwin - Selección natural
  • 3.
    • Generación espontánea(Aristóteles) Abiogénesis Francesco Redi Lazaro Spallanzani Louis Pasteur
  • 5.
    Origen y evoluciónde las células • Todas las células descienden de un único ancestro. • 3800 millones de años Reproducción Nutrición Relación
  • 6.
    Teoría de lainvaginación de la membrana plasmática
  • 7.
    Teoría endosimbiótica por Lynn Margulis
  • 10.
  • 11.
  • 12.
    Célula • Unidad morfológicay funcional de todo ser vivo. • Es la unidad más pequeña capaz de realizar por si misma las tres funciones vitales: nutrición, reproducción y relación con el medio
  • 13.
  • 14.
    Componentes orgánicos PROTEINAS LÍPIDOS ACIDOS CARBOHIDRATOS NUCLEICOS
  • 15.
    Monosacáridos • Pentosas: Ribosa,desoxirribosa • Hexosas: Glucosa
  • 16.
  • 17.
  • 18.
  • 19.
    Lípidos • En lacélula: – Reserva energética – Estructura
  • 20.
    Proteínas • Macromoléculas compuestaspor aminoácidos. Enlace peptídico Grupo amino (NH2) y un grupo carboxilo (COOH) - Estructura celular - Funciones celulares
  • 21.
    Ácidos nucleicos • DNA ó ADN • RNA ó ARN • Macromoléculas que tienen las características hereditarias en su base química
  • 22.
  • 23.
    Membrana citoplasmática • Estructuralaminar que engloba a las células, define sus límites y contribuye a mantener el equilibrio entre su ambiente externo e interno.
  • 25.
    • CREAN BARRERAS •REGIONES HIDRÓFOBAS E HIDRÓFILAS (ANFIPATIA) •COLESTEROL - RIGIDEZ
  • 26.
  • 27.
    50% de lamembrana Responsables de las funciones dinámicas: ESTRUCTURALES TRANSPORTADORAS CONECTORAS - RECEPTORAS ENZIMAS
  • 29.
    Protegen y lubricanla superficie celular. Participan en los procesos de reconocimiento y adhesión celular. Permiten desplazarse a través de pasajes estrechos.
  • 30.
    Medio interno intracelular,semilíquido, en el cuál residen los organelos y se lleva a cabo gran parte del metabolismo celular Vías de transducción Receptores intracelulares Factores ¿Qué es el citoplasma?
  • 31.
  • 32.
    RER REL A. GOLGI MITOCONDRIAS NÚCLEO LISOSOMAS PEROXISOMAS ENDOSOMAS
  • 33.
    Compartimento % volúmen total # apróx por célula CITOSOL 54 1 MITOCONDRIA 22 1700 RETÍCULO ENDOPLÁSMICO 12 1 NÚCLEO 6 1 A. GOLGI 3 1 PEROXISOMA 1 400 LISOSOMA 1 300 ENDOSOMA 1 200
  • 34.
    Retículo endoplasmático • Sistemade sacos y tubos membranosos que se extienden a todo lo largo de la célula. • Compartimento delimitado por una membrana.
  • 35.
    • Se encargande transportar proteínas sintetizadas a lo largo del citosol. • Principalmente proteínas de membrana
  • 36.
    • SINTESIS DE PROTEÍNAS • Distribuye orgánulos membranoso • Proteínas hidrosolubles destinadas a la secreción. • Proteínas transmembrana.
  • 38.
    • Juega diferentesfunciones dependiendo del tipo celular. • Altamente desarrollado en células productoras de hormonas. • Síntesis de lípidos. • Rompe toxinas liposolubles en células hepáticas. (Detoxifican) • Liberación y recaptación de Ca.
  • 41.
    • Estructura desacos apilados membranosos que se encarga de empaquetar diferentes macromoléculas.
  • 42.
    • En cadacélula de una a cientos de pilas. 3 a 20 cisternas
  • 43.
    • MODIFICACIONES • Glicosilaciones •Fosforilaciones • Distribución de proteínas • Formación de vesículas. • y las despacha desde la red trans.
  • 44.
    • El transporteproteico está mediado por brote y fusión de membranas Proteínas “DIANA” VACUOLA
  • 45.
    • Organelo deltamaño de una bacteria, que lleva a cabo la fosforilación oxidativa y produce la mayor parte del ATP en las células eucariotas. Cantidad variable
  • 46.
    Porinas permeable Impermeable Selectiva
  • 47.
    ADN CIRCULAR BICATENARIO ARN Protones como resultado del bombeo de la cadena respiratoria RIBOSOMAS 70S
  • 48.
    Mitosol Ciclo de krebs M. Externa Beta-oxidación De ácidos grasos
  • 50.
    Proteínas Cadena de transportes para la fosforilación oxidativa. Permite el paso de piruvato y ácidos grasos. *Proceso metabólico que utiliza energía liberada de la oxidación de nutrientes para producir ATP.
  • 51.
  • 52.
    Enfermedades degenerativas relacionadascon el envejecimiento Enfermedades en el sistema nervioso Enfermedad de Parkinson Enfermedad de Alzheimer Cardiopatías Enfermedades músculares Relacionadas con lesiones mitocondriales
  • 54.
    Organelos membranosos quecontienen enzimas líticas para digerir moléculas externas (heterofagia) o internas (autofagia). RETÍCULO ENDOPLASMICO RUGOSO ↓ A. GOLGI ↓ LISOSOMA
  • 55.
    • Diversos tamañosmenos a 1 micra. • pH -5 • + 40 ENZIMAS
  • 56.
  • 57.
    Son orgánulos membranososcon una variedad de enzimas (como la peroxidasa) que emplean una variedad de reacciones oxidativas para degradar lípidos y destruir moléculas tóxicas.
  • 58.
    • Complejos macromolecularesde proteínas de ARNr, que se encargan de la síntesis de proteínas (traducción).
  • 59.
    Las subunidades ribosómicas 2 aa X seg se forman en el núcleo 60s 40s Las moléculas que tienen actividad catalítica se denominan ribozimas
  • 60.
    Valor S Velocidad de sedimentación por ultracentrifugación
  • 61.
    E P A Lasubunidad pequeña se aparea al RNAt y codones de RNAm La subunidad mayor cataliza la formación de enlaces peptídicos
  • 62.
    Lípidos • Glucógeno • Granulos de secreción • Pigmentos Muchos de naturaleza transitoria
  • 63.
    • Sistema defilamentos proteicos del citoplasma de una célula eucariote que le da la forma a la célula y la capacidad de movimientos dirigidos.
  • 64.
    • Son fibrasque le confieren resistencia tensional a la célula. 10 nm • Son los más resistentes. • Polímeros estables cordiformes , proteínas fibrosas
  • 65.
    Estiran y distribuyenel efecto de las 4 categorías: fuerzas locales •Filamentos de queratina •Vimentina y filamentos relacionados •Neurofilamentos •“Laminas” nucleares
  • 66.
  • 67.
    • Estructuras cilíndricas,largas y rígidas que miden 25 nm. • Intervienen en los procesos de organización celular y división Guías intracelulares
  • 68.
    protofilamentos Centrosomas Cuerpos basales
  • 69.
    Inestabilidad dinámica • transportan materiales •Los orgánulos se desplazan por medio de estos Huso mitótico
  • 70.
    Esenciales para muchosde los movimientos celulares, sobre todo los relacionados con la superficie celular. Desplazamiento Englobar partículas Anillo contráctil Microvillosidades
  • 72.
    • Mantiene laintegridad de los genes y controla las actividades celulares a través de la expresión génica.
  • 73.
    ENVOLTURA NUCLEAR POROS NUCLEOPLASMA LAMINA NUCLEAR CARIOPLASMA
  • 74.
    FUNCIONES • Dirige laactividad celular, ya que contiene el programa genético que dirige el desarrollo y funcionamiento de la célula. • Es la sede de la replicación (duplicación del DNA), y la transcripción (síntesis de RNA).
  • 76.
    Características de laCromatina Tipo de cromatina Estado físico Cambio químico Tipo de genes Replicación Eucromatina Laxa Acetilada Fase S Activos temprana Heterocromatina condensada Metilada Silentes Fase S tardía
  • 77.
    • Formado porproteínas y RNAr
  • 78.
    • Biogénesis deribosomas desde sus componentesde ADN para formar ARN ribosomal. • Responsable del tráfico de pequeños segmentos de ARN. • Interviene en la maduración y el transporte de ARN hasta su destino final. • Regula el ciclo celular
  • 80.
    • Macromoléculas quecontiene la información génica usada en el desarrollo y el funcionamiento de todos los organismos vivos conocidos y algunos virus.
  • 81.
    Grupos fosfato Pentosa (ribosa) Bases nitrogenadas La doble cadena de ADN mide 2.2 nm de ancho Un cromosoma puede llegar a tener 220 millones de pares de bases
  • 82.
    • Pentosa delDNA = Desoxirribosa • Pentosa del RNA = Ribosa • Bases nitrogenadas: – Adenina (A) – Guanina (G) Púricas – Citosina (C) PURICAS – Timina (T) DNA pirimídicas – Uracilo (U) RNA
  • 83.
    Modelo de Watson-Crick •La molécula de DNA es una espiral bicatenaria, una doble hélice (como una escalera en caracol)
  • 84.
    • Las basesnitrogenadas están apareadas de manera que una base puríca siempre se une a una pirimidíca.  Purinas: A, G Pirimidinas: C, T, U
  • 85.
    • Los ácidosnucleicos se mantienen unidos mediante enlaces de hidrógeno
  • 86.
    • Las hélicesdel DNA transcurren en direcciones opuestas: son antiparalelas. – 5´-3´ – 3´-5´
  • 87.
    Asas de cromatina Solenoide H1 Cromosoma en metafase Nucleosoma: H2A, H2B, H3 y H4
  • 88.
    • Las moléculasde RNA son monocatenarias. • Hay 3 tipos principales de RNA: – RNA mensajero (mRNA) – RNA de transporte o transferencia (tRNA) – RNA ribosómico (rRNA) • Los 3 intervienen en la síntesis de proteínas en el citoplasma celular.
  • 89.
    Dirige 2 procesos: •La síntesis de proteínas • Transcripción por medio de RNA Polimerasas.
  • 90.
    Tipos de ARN ARNcodificantes: ARN mensajero ARN no codificantes: intrones (que representan el 30% del genoma) ARN que se expresan de forma autónoma (50-70% de la transcripción total en los eucariotas superiores): básicos: ARN de transferencia ARN ribosómico ARN nucleolar merasa reguladores: ARN de interferencia micro ARN
  • 91.
  • 92.
  • 93.
  • 95.
    Dogma central dela biología molecular DNA RNA Proteína
  • 96.
    •SEMICONSERVATIVA •ORDENADA Y SECUENCIAL •REQUIERE UN MOLDE •DISCONTINUA
  • 97.
    INICIACIÓN ELONGACIÓN REPLISOMA TERMINACIÓN
  • 98.
    ENZIMA FUNCIÓN DNA Pol α Síntesis Hebra retardada. Síntesis del cebador: 10 bases de DNA y 25 de RNA. DNA Pol δ Síntesis de la Hebra Líder DNA Pol ε Polimerización de los Fragmentos de Okazaki. DNA Pol β Unión de los fragmentos de Okazaki (de aproximadamente 250 pb). DNA Pol γ Síntesis DNA mitocondrial.
  • 102.
    Proceso por elcual una hebra de una molécula de DNA se utiliza como plantilla para la síntesis de un RNA complementario por acción de la RNA pol.
  • 103.
    Organización de ungen como unidad transcripcional GEN Promotor Secuencia codificadora Terminador DNA Sitio de inicio Sitio de término de de la transcripción la transcripción Rio arriba Rio abajo
  • 104.
  • 105.
    E. coli (37°C) Velocidad:40 nt por segundo 1 error por 10,000 nt Fago T7 Velocidad: 200 nt por segundo
  • 108.
  • 109.
    INICIACIÓN Reconocimiento del codónde inicio Metionina AUG, AUA Terminación