Anemias hemolíticas
Dra. María del Rosario Cooper Arias
Déficit de G6PD. Hematíes "mordidos" ("degmacitos")
Cirrosis hepática. Anemia hemolítica de células en espuela ('spur cell anemia").
Saturnismo con anemia hemolítica; punteado basófilo eritrocitario tosco.
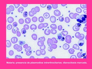
Malaria; presencia de plasmodios intreritrocitarios; dianocitosis marcada.
Esferocitosis Herecitaria
Hemoglobinuria Paroxística Nocturna
• Es una anemia hemolítica hereditaria debida a un defecto intrínseco
de la membrana del eritrocito, caracterizada por eritrocitos
densos, osmóticamente frágiles y esféricos que son atrapados
selectivamente en el bazo.
• Conocida también como Enfermedad de Minkowski-Chauffard.
• Aproximadamente el 75 % de las familias afectadas muestran un
patrón de herencia autosómico dominante y el 25 % restante un
patrón autosómico recesivo o son casos esporádicos.
• Es una enfermedad clonal adquirida de las células madre
hematopoyética caracterizada por una anemia hemolítica
mixta (daño intra y extracorpuscular), una aplasia
medular y frecuentes trombosis.
• Conocida también como Síndrome de MarchiafavaMichelli.
• La HPN es consecuencia de la expansión
clonal
no
maligna
de
células
progenitoras hematopoyéticas que han
adquirido una mutación somática en el
gen Pig-A3 (fosfatidil inositol glucano
a), situado en el brazo corto del
cromosoma X (Xp22.1).
• Como consecuencia, las células afectas
son deficientes en una serie de proteínas
que se anclan a la membrana a través del
glucosil-fosfatidil-inositol (gPi-aP).
• Entre las proteínas deficitarias, se encuentran MiRL (inhibidor
de la lisis reactiva de la membrana; CD59) y DaF (factor
acelerador de la degradación del complemento; CD55). Otras:
CD58, CD48, CD16, CD87, CD14, CD24.
• Estas glucoproteínas son reguladoras fisiológicas de la
actividad lítica del complemento y su déficit provoca la
existencia de hemólisis intravascular crónica.
• Puede ser una deficiencia parcial (HPN tipo II) o de una una
def. total (HPN tipo III)
• HPN Clásica: Evidencia clínica de hemólisis sin otra
patología en MO.
• HPN asociada a otra patología medular: las más
frecuentes son Anemia aplásica o los síndromes
mielodisplásicos.
Dolor lumbar
Hemoglobinu
ria (Orina
oscura)

Dolor
abdominal

Tendencia al
sangrado

Fiebre

Hematomas

Trombosis
venosa
• Se manifiesta en forma de
crisis,
generalmente
durante la noche.
• Pueden
ser
desencadenadas
por:
esfuerzo
físico, medicamentos, infec
ciones, estrés, vacunacione
s, ingesta de ácido
acetilsalicílico, etc.
•

El diagnóstico es clínico y de
laboratorio:
Anemia
hemolítica
regenerativa con PAD negativo.

•

Hallazgos más relevantes: pancitopenia
y signos de hemólisis (aumento de
reticulocitos,
de
LDH
y
la
bilirrubina,
descenso
de
la
haptoglobina, ferropenia)

•

Tinción de Perls en sedimento urinario:
pérdida de Hb por la orina.
Aspirado de MO: hiperplasia de serie
eritroide
Citometría de flujo

•

•
•
•
•
•
•

Transfusiones sanguíneas
Corticoides o Andrógenos
Anticoagulantes: heparina y dicumarinicos
Ácido fólico
En
aplasia
medular:
TMO;
ciclos
de
inmunosupresores del tipo de la porina A o suero
antilinfocitario.
Enzimopatías del metabolismo del glutatión
Enzimopatías de la glicólisis anaeróbica
• El glutatión reducido (GSH) es un tripéptido que se encuentra
presente en elevadas concentraciones dentro del eritrocito.
Protección contra la acción de agentes oxidantes endógenos y
exógenos.
Mantener la estabilidad de la membrana eritrocitaria.

GSH

Participa en el mantenimiento de la estructura de la Hb.
Participa en la síntesis de proteínas en los reticulocitos.
Preserva la integridad de algunas enzimas y proteínas de la
membrana
• El GSH se sintetiza en 2 reacciones dependientes de
ATP, con la participación de la g-glutamil cisteil
sintetasa (g-GCS) y la glutatión sintetasa (GS).
• Otra enzima de importancia en la génesis del GSH, es la
glucosa-6-fosfato deshidrogenasa (G6PD), principal
fuente intracelular de NADPH. Mediante su
producción, los eritrocitos reducen el glutatión oxidado
a GSH, proceso catalizado por la enzima glutatión
reductasa (Vía de las pentosas).
La deficiencia de estas enzimas provoca una disminución de los
niveles de GSH, con la consiguiente aparición de un cuadro de
anemia hemolítica de intensidad variable.
Obtención y utilización de ATP
5-10% Glucosa
NADP+/NADPH

*

*
* Vía R-L

2,3 DPG

Defensa ataque
Oxidativo.
Deficiencia de γ-GCS
• Se observan niveles muy
bajos de GSH; la anemia es
de
ligera
a
moderada, asociada a una
alteración
neurodegenerativa
progresiva.
• El patrón de herencia es
autosómico recesivo.

Deficiencia severa de GS
De herencia autosómica recesiva, se
pueden observar 2 fenotipos:
- Anemia hemolítica aislada (deficiencia de
GS es grave solo en los eritrocitos)
- Enf. multisistémica con anemia
hemolítica, acidosis metabólica, 5oxoprolinuria y disfunción neurológica
asociada con el síndrome hemolítico
(deficiencia de GS se generaliza en
leucocitos, fibroblastos, e incluso en el
riñón y el hígado)

Además de la hemólisis crónica que acompaña a ambas
enzimopatías, los pacientes son susceptibles de presentar
episodios agudos de hemólisis por estrés oxidativo con la
formación de cuerpos de Heinz.
• El eritrocito maduro mediante la vía de EmbdenMeyerhof, obtiene el 95%, de los requerimientos
energéticos de la célula.

• Se producen dificultades en la formación o
utilización de ATP, debido a una disminución de
las enzimas encargadas de la producción de
energía: la Hexocinasa (HK), fosfofructocinasa
(PFK) y Piruvatocinasa (PK).
Obtención y utilización de ATP
5-10% Glucosa
NADP+/NADPH

*

*
* Vía R-L

2,3 DPG

Defensa ataque
Oxidativo.

Anemias hemolíticas clase

  • 1.
    Anemias hemolíticas Dra. Maríadel Rosario Cooper Arias
  • 6.
    Déficit de G6PD.Hematíes "mordidos" ("degmacitos")
  • 8.
    Cirrosis hepática. Anemiahemolítica de células en espuela ('spur cell anemia").
  • 10.
    Saturnismo con anemiahemolítica; punteado basófilo eritrocitario tosco.
  • 11.
    Malaria; presencia deplasmodios intreritrocitarios; dianocitosis marcada.
  • 14.
  • 15.
    • Es unaanemia hemolítica hereditaria debida a un defecto intrínseco de la membrana del eritrocito, caracterizada por eritrocitos densos, osmóticamente frágiles y esféricos que son atrapados selectivamente en el bazo. • Conocida también como Enfermedad de Minkowski-Chauffard. • Aproximadamente el 75 % de las familias afectadas muestran un patrón de herencia autosómico dominante y el 25 % restante un patrón autosómico recesivo o son casos esporádicos.
  • 23.
    • Es unaenfermedad clonal adquirida de las células madre hematopoyética caracterizada por una anemia hemolítica mixta (daño intra y extracorpuscular), una aplasia medular y frecuentes trombosis. • Conocida también como Síndrome de MarchiafavaMichelli.
  • 24.
    • La HPNes consecuencia de la expansión clonal no maligna de células progenitoras hematopoyéticas que han adquirido una mutación somática en el gen Pig-A3 (fosfatidil inositol glucano a), situado en el brazo corto del cromosoma X (Xp22.1). • Como consecuencia, las células afectas son deficientes en una serie de proteínas que se anclan a la membrana a través del glucosil-fosfatidil-inositol (gPi-aP).
  • 25.
    • Entre lasproteínas deficitarias, se encuentran MiRL (inhibidor de la lisis reactiva de la membrana; CD59) y DaF (factor acelerador de la degradación del complemento; CD55). Otras: CD58, CD48, CD16, CD87, CD14, CD24. • Estas glucoproteínas son reguladoras fisiológicas de la actividad lítica del complemento y su déficit provoca la existencia de hemólisis intravascular crónica. • Puede ser una deficiencia parcial (HPN tipo II) o de una una def. total (HPN tipo III)
  • 27.
    • HPN Clásica:Evidencia clínica de hemólisis sin otra patología en MO. • HPN asociada a otra patología medular: las más frecuentes son Anemia aplásica o los síndromes mielodisplásicos.
  • 28.
    Dolor lumbar Hemoglobinu ria (Orina oscura) Dolor abdominal Tendenciaal sangrado Fiebre Hematomas Trombosis venosa
  • 29.
    • Se manifiestaen forma de crisis, generalmente durante la noche. • Pueden ser desencadenadas por: esfuerzo físico, medicamentos, infec ciones, estrés, vacunacione s, ingesta de ácido acetilsalicílico, etc.
  • 30.
    • El diagnóstico esclínico y de laboratorio: Anemia hemolítica regenerativa con PAD negativo. • Hallazgos más relevantes: pancitopenia y signos de hemólisis (aumento de reticulocitos, de LDH y la bilirrubina, descenso de la haptoglobina, ferropenia) • Tinción de Perls en sedimento urinario: pérdida de Hb por la orina. Aspirado de MO: hiperplasia de serie eritroide Citometría de flujo • •
  • 31.
    • • • • • Transfusiones sanguíneas Corticoides oAndrógenos Anticoagulantes: heparina y dicumarinicos Ácido fólico En aplasia medular: TMO; ciclos de inmunosupresores del tipo de la porina A o suero antilinfocitario.
  • 32.
    Enzimopatías del metabolismodel glutatión Enzimopatías de la glicólisis anaeróbica
  • 33.
    • El glutatiónreducido (GSH) es un tripéptido que se encuentra presente en elevadas concentraciones dentro del eritrocito. Protección contra la acción de agentes oxidantes endógenos y exógenos. Mantener la estabilidad de la membrana eritrocitaria. GSH Participa en el mantenimiento de la estructura de la Hb. Participa en la síntesis de proteínas en los reticulocitos. Preserva la integridad de algunas enzimas y proteínas de la membrana
  • 34.
    • El GSHse sintetiza en 2 reacciones dependientes de ATP, con la participación de la g-glutamil cisteil sintetasa (g-GCS) y la glutatión sintetasa (GS). • Otra enzima de importancia en la génesis del GSH, es la glucosa-6-fosfato deshidrogenasa (G6PD), principal fuente intracelular de NADPH. Mediante su producción, los eritrocitos reducen el glutatión oxidado a GSH, proceso catalizado por la enzima glutatión reductasa (Vía de las pentosas). La deficiencia de estas enzimas provoca una disminución de los niveles de GSH, con la consiguiente aparición de un cuadro de anemia hemolítica de intensidad variable.
  • 35.
    Obtención y utilizaciónde ATP 5-10% Glucosa NADP+/NADPH * * * Vía R-L 2,3 DPG Defensa ataque Oxidativo.
  • 36.
    Deficiencia de γ-GCS •Se observan niveles muy bajos de GSH; la anemia es de ligera a moderada, asociada a una alteración neurodegenerativa progresiva. • El patrón de herencia es autosómico recesivo. Deficiencia severa de GS De herencia autosómica recesiva, se pueden observar 2 fenotipos: - Anemia hemolítica aislada (deficiencia de GS es grave solo en los eritrocitos) - Enf. multisistémica con anemia hemolítica, acidosis metabólica, 5oxoprolinuria y disfunción neurológica asociada con el síndrome hemolítico (deficiencia de GS se generaliza en leucocitos, fibroblastos, e incluso en el riñón y el hígado) Además de la hemólisis crónica que acompaña a ambas enzimopatías, los pacientes son susceptibles de presentar episodios agudos de hemólisis por estrés oxidativo con la formación de cuerpos de Heinz.
  • 39.
    • El eritrocitomaduro mediante la vía de EmbdenMeyerhof, obtiene el 95%, de los requerimientos energéticos de la célula. • Se producen dificultades en la formación o utilización de ATP, debido a una disminución de las enzimas encargadas de la producción de energía: la Hexocinasa (HK), fosfofructocinasa (PFK) y Piruvatocinasa (PK).
  • 40.
    Obtención y utilizaciónde ATP 5-10% Glucosa NADP+/NADPH * * * Vía R-L 2,3 DPG Defensa ataque Oxidativo.