ANEMIA
SIDEROBLASTICA
MARIA C. REYES, JOHANNA PICON, JOSE ALFREDO
    PEREZ, AYLA ROLFFS, SEBASTIAN RECIO
Anemia Sideroblástica
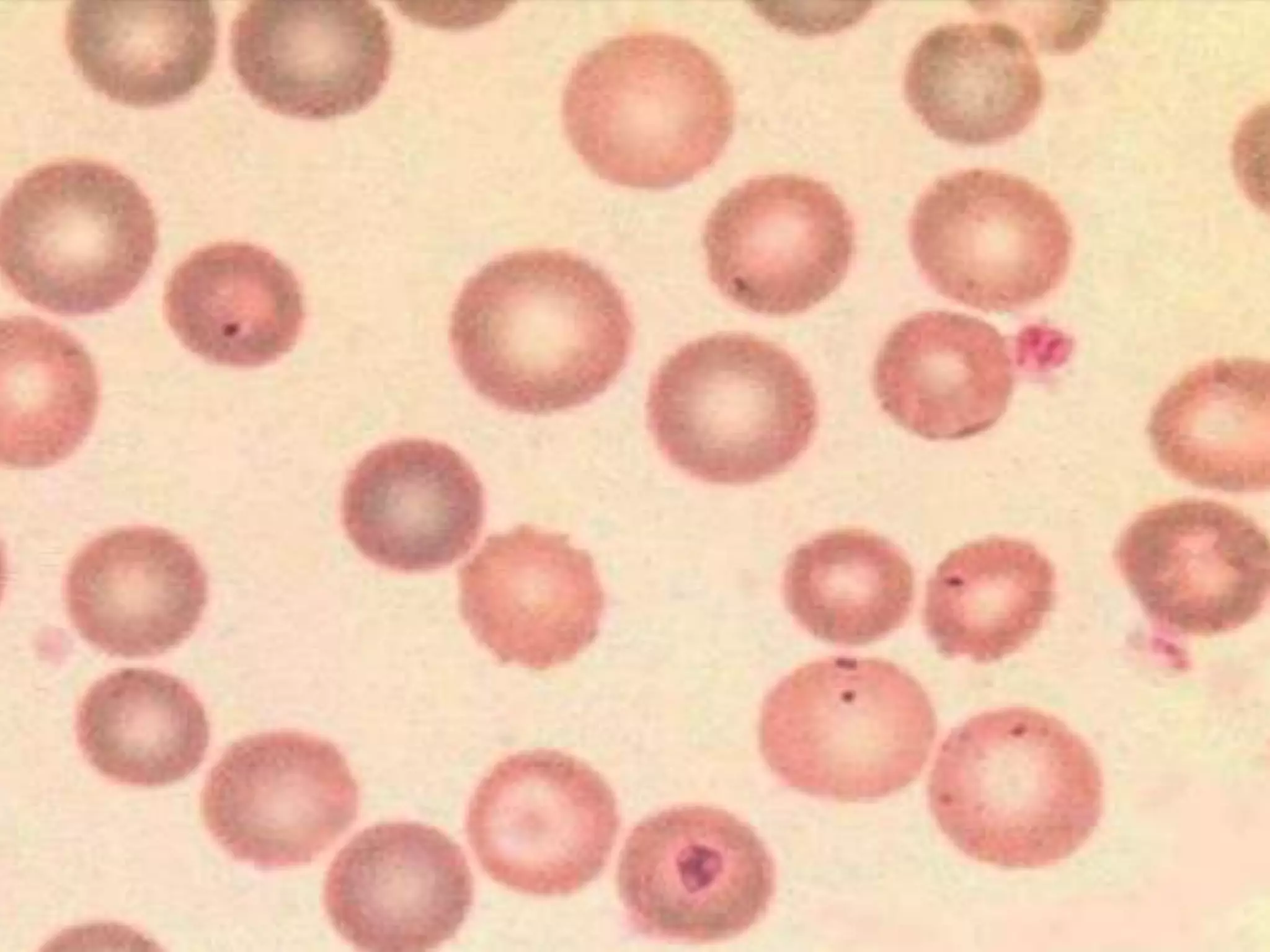
Cuerpos de Pappenheimer
Cuerpos de Pappenheimer
   Se observan en las siguientes condiciones
    clínicas:
     Síndromes   mielodisplásicos
     Talasemia

     Anemia  Sideroblástica
     Anemias deseritropoyéticas

     Alcoholismo

     Toxicidad por isoniazida
Causa
   Está asociada a una acumulación excesiva de
    hierro en las mitocondrias de los eritroblastos y a
    la aparición de sideroblastos en anillo, visibles
    tras una tinción de hierro en médula ósea.




   El aumento ineficaz de la eritropoyesis conlleva
    un aumento de la absorción de hierro a nivel del
    tracto   gastrointestinal,  provocando       una
    sobrecarga de hierro.
Signos y Sintomas
Los signos clínicos son los de una anemia y una
              sobrecarga de hierro:
   Debilidad, falta de aliento, Esplenomegalia,
  Problemas Cardíacos, palidez, fatiga, función
 hepática anormal (hepatomegalia), Diabetes, e
           hiperpigmentación cutánea.
Anemias sideroblásticas
            Hereditarias
   De herencia ligada al sexo:
     La anormalidad enzimática del hem mejor
     documentada en este tipo de anemia es la
         disminución de Delta-ALA sintasa.
         Cromosoma femenino: Xp21-q21

   Autosómica recesiva:
     En ocasiones se ha reportado ambos sexo
                    afectados
Anemias sideroblásticas
hereditarias

  La edad de presentación es variable, desde el
 nacimiento hasta la edad adulta (lo mas común
     edad adulta temprana) . Algunas formas
 responden a la administración de piridoxina. El
riesgo de hemosiderosis es elevado, tanto por la
eritropoyesis ineficaz como por el posible aporte
                   transfusional.
Anemias sideroblásticas
  Secundarias: Drogas o toxinas
         y neoplasias

• Deshidratasa         • Neplasias
  Acida delta –          Hematologicas:
  aminolevulinica y    • Leucemias
  ferroquerratasa      • Histiocitos
                         maligna.
• Anormalidad          • Mieloma multiple
  marcada del          • Linfoma
  grupo hemo
                       • Postratamiento:
                         enf Hodgkin y
                         mieloma (mal
                         pronostico)
Diagnostico
   Mediante el descubrimiento característico de
    estos sideroblastos en anillo en las tinciones
    para demostración de hierro sobre tejido medular,
    se puede establecer el diagnóstico de anemia
    sideroblástica.
   El rasgo morfológico patognomónico es la
    presencia de mitocondrias paranucleares
    grandes cargadas de Fe en los eritroblastos
    (sideroblastos en anillo).
   El rasgo de laboratorio más frecuente es el
    aumento en las concentraciones de Fe,
    ferritina séricos y la saturación de
Tratamiento
   Algunas formas responden a la administración de
    piridoxina.
   Acido Fólico o Tiamina.
   En pacientes con una anemia severa que obligue a
    transfusiones periódicas, debe tenerse muy
    presente la posibilidad de hemosiderosis
    postransfusional.
   Si la hemosiderosis ya está establecida, la quelación
    con desferoxamina, o incluso las flebotomías muy
    espaciadas, pueden mejorar la anemia.
GRACIAS

Anemia sideroblastica

  • 1.
    ANEMIA SIDEROBLASTICA MARIA C. REYES,JOHANNA PICON, JOSE ALFREDO PEREZ, AYLA ROLFFS, SEBASTIAN RECIO
  • 2.
  • 3.
  • 4.
    Cuerpos de Pappenheimer  Se observan en las siguientes condiciones clínicas:  Síndromes mielodisplásicos  Talasemia  Anemia Sideroblástica  Anemias deseritropoyéticas  Alcoholismo  Toxicidad por isoniazida
  • 6.
    Causa  Está asociada a una acumulación excesiva de hierro en las mitocondrias de los eritroblastos y a la aparición de sideroblastos en anillo, visibles tras una tinción de hierro en médula ósea.  El aumento ineficaz de la eritropoyesis conlleva un aumento de la absorción de hierro a nivel del tracto gastrointestinal, provocando una sobrecarga de hierro.
  • 7.
    Signos y Sintomas Lossignos clínicos son los de una anemia y una sobrecarga de hierro: Debilidad, falta de aliento, Esplenomegalia, Problemas Cardíacos, palidez, fatiga, función hepática anormal (hepatomegalia), Diabetes, e hiperpigmentación cutánea.
  • 9.
    Anemias sideroblásticas Hereditarias  De herencia ligada al sexo: La anormalidad enzimática del hem mejor documentada en este tipo de anemia es la disminución de Delta-ALA sintasa. Cromosoma femenino: Xp21-q21  Autosómica recesiva: En ocasiones se ha reportado ambos sexo afectados
  • 10.
    Anemias sideroblásticas hereditarias La edad de presentación es variable, desde el nacimiento hasta la edad adulta (lo mas común edad adulta temprana) . Algunas formas responden a la administración de piridoxina. El riesgo de hemosiderosis es elevado, tanto por la eritropoyesis ineficaz como por el posible aporte transfusional.
  • 11.
    Anemias sideroblásticas Secundarias: Drogas o toxinas y neoplasias • Deshidratasa • Neplasias Acida delta – Hematologicas: aminolevulinica y • Leucemias ferroquerratasa • Histiocitos maligna. • Anormalidad • Mieloma multiple marcada del • Linfoma grupo hemo • Postratamiento: enf Hodgkin y mieloma (mal pronostico)
  • 12.
    Diagnostico  Mediante el descubrimiento característico de estos sideroblastos en anillo en las tinciones para demostración de hierro sobre tejido medular, se puede establecer el diagnóstico de anemia sideroblástica.  El rasgo morfológico patognomónico es la presencia de mitocondrias paranucleares grandes cargadas de Fe en los eritroblastos (sideroblastos en anillo).  El rasgo de laboratorio más frecuente es el aumento en las concentraciones de Fe, ferritina séricos y la saturación de
  • 13.
    Tratamiento  Algunas formas responden a la administración de piridoxina.  Acido Fólico o Tiamina.  En pacientes con una anemia severa que obligue a transfusiones periódicas, debe tenerse muy presente la posibilidad de hemosiderosis postransfusional.  Si la hemosiderosis ya está establecida, la quelación con desferoxamina, o incluso las flebotomías muy espaciadas, pueden mejorar la anemia.
  • 14.