ANOMALÍAS
DENTALES
ANOMALÍAS DENTALES
Desviación de lo que habitualmente se
considera normal.
Stewart y Prescott 1976
 NUMERO
 TAMAÑO
 FORMA
 ESTRUCTURA
 COLOR
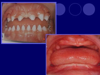
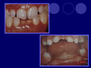
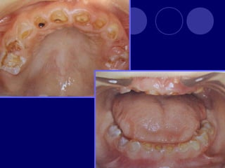
ANOMALÍAS DE NUMERO
 AGENESIA
 SUPERNUMERARIO
( hiperdoncia)
AGENESIA
 Falta de desarrollo de los gérmenes dentales.
ETIOLOGÍA
 Obstrucción física o
interrupción de la lamina
dental (Sx.
Orodigitofacial)
 Anomalías funcionales
del epitelio dental
(displasias
ectodérmicas)
 Límite de espacio
 Falta de inducción del
mesénquima
Femenino
Permanente=1.6/9.6%
Temporal=0.1/0.9%
Terceros molares, laterales superiores, 2
premolares inferiores, 2 premolar superior,
incisivo central inferior
Lateral superior, centrales y laterales
inferiores.
 ANODONCIA: ausencia total de los órganos
dentarios.
 AGENODONCIA: temporales
 ABLASTODONCIA:permanentes
 OLIGODONCIA: ausencia de algunos dientes.
 OLIGOGENODONCIA: =/- a 10 temporales
 OLIGOBLASTODONCIA: =/- a 16 `permanentes
 HIPODONCIA: ausencia de algunos dientes (+
de la mitad)
 ATELOGENODONCIA:+ 10 temporales
 ATELOBLASTODONCIA: + 16 permanentes
CAPRIOGLIO 1988
SUPERNUMERARIOS
 :aumento en el numero de dientes.
 Temporal: 0.5%
 Permanente: 3%
 Maxilar
 Masculino
 Únicos
 Múltiples: Sx.
Gardner, disostosis
cleidocraneal
 Rudimentarios:
Tuberculado
Cónico
 Complementarios
 Mesiodens
 Distomolar
 Paramolares
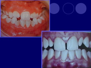
ANOMALÍAS DE TAMAÑO
 MACRODONCIA:
 Generalizada
verdadera
 Generalizada relativa
 De un solo diente
 MICRODONCIA:
 Generalizada
verdadera
 Generalizada relativa
 De un solo diente
FUSIÓN: unión de dos gérmenes
(esmalte,dentina),dos cámaras pulpares,
más frecuente en la dentición temporal
GEMINACIÓN: tentativa fallida de un
germen a dividirse (diente con dos
coronas y una sola raíz, un solo conducto)
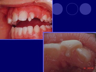
ANOMALÍAS DE FORMA
 CÚSPIDES Y
TUBERCULOS
ACCESORIOS: y o T,
alteración cúspide fisura,
carabelli, paramolar. Se
pueden deber a
evaginación del epitelio
interno del órgano del
esmalte o a hiperplasia
localizada del
mesénquima pulpar.
DENS IN DENTE
Diente invaginado, invaginación de las
células del epitelio interno del órgano del
esmalte.
Más frecuente en dientes anteriores
superiores, lateral, central,
2:1
Esmalte, dentina (cemento)
Radiográfico
 Etiología
 Fusión dental
 Invaginación activa
(campana)
 Retardo pasivo
 Desplazamiento
 Traumática o
infecciosa
 Clasifica en:
 Diente invaginado coronal
 Con forma coronaria normal
• Que no sobrepasa la corona
• Sobrepasa la corona y se alarga en raíz
• Invaginación radicular con fondo invaginado abierto
• Apertura lateral
 Forma coronaria anormal
• Que no sobrepasa la corona
• Sobrepasa la corona y se alarga en raíz
• Invaginación radicular con fondo invaginado abierto
• Apertura lateral
 Diente invaginado radicular
TAURODONTISMO
 cuerpo del diente se alarga, raíces cortas, furca
se desplaza hacia apical, cámara pulpar amplia
en sentido apico-oclusal
 Dx: radiográfico
 Etiología retraso en la vaina radicular de
hertwing en invaginarse horizontalmente,
hasta que esta cerca del ápice.
 Fx: 0.5 -5 %
 Se asocia a Síndromes congénitos, con
herencia ligada al sexo (Sx. Klinefelter)
 Se clasifica en tres según el grado de
afectación y la extensión de la cámara pulpar:
 Hipotaurodontismo: leve, la corona es 1/3 total del
diente, el cuello -1/3, y la raíz -2/3
 Mesotaurodontismo: la raíz se divide en el tercio
medio apical, la cámara pulpar es más ancha que
alta, 1/3 las tres porciones
 Hipertaurodontismo: la raíz se divide en el tercio
ápical o no se divide, la cámara pulpar es más alta
que ancha. La corona 1/3, cuello 2/3.
PERLAS O NÓDULOS DE ESMALTE
 pequeñas
formaciones
redondas que se
adhieren sobre la
superficie radicular,
generalmente sobre
la furca.
 Formadas por
esmalte
 Atrofia
 Hiperactividad
 DILACERACIÓN: las
raíces a la altura del
cuello se curvan y
forman un ángulo
marcado
 traumatismos
CÚSPIDE DENTRO DE LA CÚSPIDE
CÚSPIDE EN FORMA DE GARRA
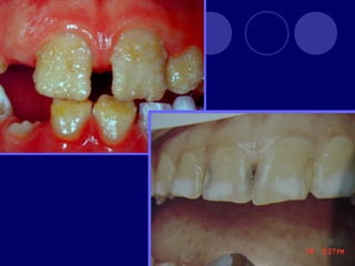
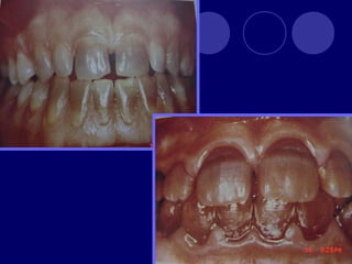
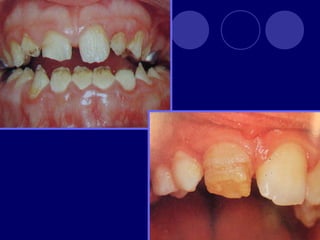
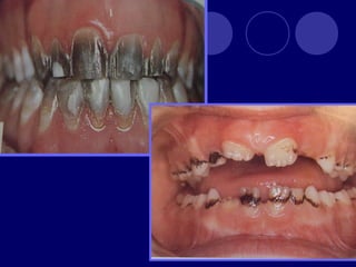
ANOMALÍAS DE ESTRUCTURA
 AMELOGENESIS
IMPERFECTA:
(Hipoplásico,
hipocalcificado
Hipomaduro)
 DISPLASIA
AMBIENTAL DEL
ESMALTE
Diagnóstico:
 Historia familiar
 Distribución de la alteración (no. De dientes,
disposición V= genética y H= ambiental)
 Identidad del agente causal
AMELOGENESIS IMPERFECTA
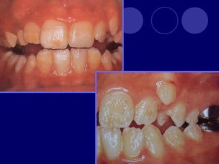
 Hipoplásico:
 Zonas ausentes de esmalte
 Afecta más a caras vestibulares
 Esmalte: blanco amarillento y marrón claro, consistencia dura,
fosas y surcos oscuras, delgado
 Hipocalcificado:
 Cualitativo
 Esmalte frágil, fácil de desprender
 Rx: falta de contacto entre dentina, esmalte
 Hipomaduro:
 Disminución en el contenido mineral
 Esmalte blando y rugoso, veteado de blanco a marrón (esmalte
en copos de nieve)
 Más frecuente en caras vestibulares y dientes superiores
DISPLASIA AMBIENTAL DEL
ESMALTE
 HIPOPLASIA POR
INGESTA DE
FLÚOR: fluorosis,
manchas opacas,
esmalte sin
brillo(leve=lechoso,
graves=amarillo/café)
.
 DÉFICIT
NUTRICIONAL
 ENFERMEDADES
EXANTEMÁTICAS
 INFECCIONES
PRENATALES:
 Sífilis congénita
 Rubéola
 NEFROPATÍAS
 ENDOCRINOPATÍAS
LESIONES CEREBRALES
ERRORES INATOS DEL METABOLISMO
ALERGIA
ALTERACIONES NEONATALES
FACTORES LOCALES:
 Infección apical
 Traumatismos
 Cirugía
 Irradiación
DENTINOGENESIS IMPERFECTA
TIPO I: asociada a padecimiento
esquelético, asociada a osteogénesis
imperfecta (escleróticas azules, sordera,
múltiples fracturas,etc.)
 Dos denticiones
 Dientes blandos, consistencia terrosa
 Rx: cámaras pulpares obliteradas
TIPO II:
 Dientes de color: amarillo, pardo azulado u
opalescente con brillo translúcido, raíces color
ámbar
 Rx: coronas bulbosas, cámaras pequeñas o
ausentes, raíces delgadas y cortas
TIPO III: (SHIELDS)
 Temporal: translúcido, ámbar
 Permanente: normal
DISPLASIA DE DENTINA
TIPO I DE SHIELDS O DISPLASIA
DENTINARIA RADICULAR:
 Raíces cortas
 Temporal: cámaras pulpares obliteradas
 Conductos radiculares no se distinguen
TIPO II DE SHIELDS O DISPLASIA
DENTINARIA CORONAL :
 Pulpolitos
OSTEOGENESIS IMPERFECTA
Alteración de esmalte y dentina
En la dentición temporal no hay esmalte y
dentina muy abrasionada
En la dentición permanente esmalte frágil
color grisáceo y amplias zonas
desprovistas de éste, dentina atípica
ODONTODISPLASIA REGIONAL
 Diente fantasma
 Dientes en forma de
concha, pequeños
con escasa raíz,
amplias cámaras
pulpares
 Rx: aspecto
fantasmagórico
HIPOFOSFATASIA
Incapacidad de los osteoblastos de formar
fosfatasa alcalina
Movilidad dental
Rx. Cámaras pulpares y conductos
radiculares amplios.
CONCRESCENCIA
Unión por cemento de dos o más raíces
Concrescencia verdadera: durante el
desarrollo dental
Concrescencia adquirida: después de la
formación completa de la raíz
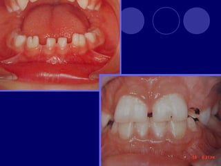
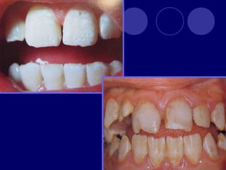
ANOMALÍAS DEL COLOR
 PIGMENTACIÓN
POR
TETRACICLINA:
 Gris marrón, amarillo
 ERITROBLASTOSIS
FETAL:
 Amarillo verdosa
Anomalías dentales
Anomalías dentales

Anomalías dentales

  • 1.
  • 2.
    ANOMALÍAS DENTALES Desviación delo que habitualmente se considera normal. Stewart y Prescott 1976  NUMERO  TAMAÑO  FORMA  ESTRUCTURA  COLOR
  • 3.
    ANOMALÍAS DE NUMERO AGENESIA  SUPERNUMERARIO ( hiperdoncia)
  • 4.
    AGENESIA  Falta dedesarrollo de los gérmenes dentales.
  • 5.
    ETIOLOGÍA  Obstrucción físicao interrupción de la lamina dental (Sx. Orodigitofacial)  Anomalías funcionales del epitelio dental (displasias ectodérmicas)  Límite de espacio  Falta de inducción del mesénquima
  • 6.
    Femenino Permanente=1.6/9.6% Temporal=0.1/0.9% Terceros molares, lateralessuperiores, 2 premolares inferiores, 2 premolar superior, incisivo central inferior Lateral superior, centrales y laterales inferiores.
  • 7.
     ANODONCIA: ausenciatotal de los órganos dentarios.  AGENODONCIA: temporales  ABLASTODONCIA:permanentes  OLIGODONCIA: ausencia de algunos dientes.  OLIGOGENODONCIA: =/- a 10 temporales  OLIGOBLASTODONCIA: =/- a 16 `permanentes  HIPODONCIA: ausencia de algunos dientes (+ de la mitad)  ATELOGENODONCIA:+ 10 temporales  ATELOBLASTODONCIA: + 16 permanentes CAPRIOGLIO 1988
  • 10.
    SUPERNUMERARIOS  :aumento enel numero de dientes.
  • 11.
     Temporal: 0.5% Permanente: 3%  Maxilar  Masculino  Únicos  Múltiples: Sx. Gardner, disostosis cleidocraneal
  • 12.
  • 17.
    ANOMALÍAS DE TAMAÑO MACRODONCIA:  Generalizada verdadera  Generalizada relativa  De un solo diente
  • 19.
     MICRODONCIA:  Generalizada verdadera Generalizada relativa  De un solo diente
  • 20.
    FUSIÓN: unión dedos gérmenes (esmalte,dentina),dos cámaras pulpares, más frecuente en la dentición temporal GEMINACIÓN: tentativa fallida de un germen a dividirse (diente con dos coronas y una sola raíz, un solo conducto)
  • 26.
    ANOMALÍAS DE FORMA CÚSPIDES Y TUBERCULOS ACCESORIOS: y o T, alteración cúspide fisura, carabelli, paramolar. Se pueden deber a evaginación del epitelio interno del órgano del esmalte o a hiperplasia localizada del mesénquima pulpar.
  • 28.
    DENS IN DENTE Dienteinvaginado, invaginación de las células del epitelio interno del órgano del esmalte. Más frecuente en dientes anteriores superiores, lateral, central, 2:1 Esmalte, dentina (cemento) Radiográfico
  • 29.
     Etiología  Fusióndental  Invaginación activa (campana)  Retardo pasivo  Desplazamiento  Traumática o infecciosa
  • 30.
     Clasifica en: Diente invaginado coronal  Con forma coronaria normal • Que no sobrepasa la corona • Sobrepasa la corona y se alarga en raíz • Invaginación radicular con fondo invaginado abierto • Apertura lateral  Forma coronaria anormal • Que no sobrepasa la corona • Sobrepasa la corona y se alarga en raíz • Invaginación radicular con fondo invaginado abierto • Apertura lateral  Diente invaginado radicular
  • 33.
    TAURODONTISMO  cuerpo deldiente se alarga, raíces cortas, furca se desplaza hacia apical, cámara pulpar amplia en sentido apico-oclusal  Dx: radiográfico  Etiología retraso en la vaina radicular de hertwing en invaginarse horizontalmente, hasta que esta cerca del ápice.  Fx: 0.5 -5 %  Se asocia a Síndromes congénitos, con herencia ligada al sexo (Sx. Klinefelter)
  • 34.
     Se clasificaen tres según el grado de afectación y la extensión de la cámara pulpar:  Hipotaurodontismo: leve, la corona es 1/3 total del diente, el cuello -1/3, y la raíz -2/3  Mesotaurodontismo: la raíz se divide en el tercio medio apical, la cámara pulpar es más ancha que alta, 1/3 las tres porciones  Hipertaurodontismo: la raíz se divide en el tercio ápical o no se divide, la cámara pulpar es más alta que ancha. La corona 1/3, cuello 2/3.
  • 36.
    PERLAS O NÓDULOSDE ESMALTE  pequeñas formaciones redondas que se adhieren sobre la superficie radicular, generalmente sobre la furca.  Formadas por esmalte  Atrofia  Hiperactividad
  • 38.
     DILACERACIÓN: las raícesa la altura del cuello se curvan y forman un ángulo marcado  traumatismos
  • 41.
    CÚSPIDE DENTRO DELA CÚSPIDE CÚSPIDE EN FORMA DE GARRA
  • 43.
    ANOMALÍAS DE ESTRUCTURA AMELOGENESIS IMPERFECTA: (Hipoplásico, hipocalcificado Hipomaduro)  DISPLASIA AMBIENTAL DEL ESMALTE
  • 44.
    Diagnóstico:  Historia familiar Distribución de la alteración (no. De dientes, disposición V= genética y H= ambiental)  Identidad del agente causal
  • 45.
    AMELOGENESIS IMPERFECTA  Hipoplásico: Zonas ausentes de esmalte  Afecta más a caras vestibulares  Esmalte: blanco amarillento y marrón claro, consistencia dura, fosas y surcos oscuras, delgado  Hipocalcificado:  Cualitativo  Esmalte frágil, fácil de desprender  Rx: falta de contacto entre dentina, esmalte  Hipomaduro:  Disminución en el contenido mineral  Esmalte blando y rugoso, veteado de blanco a marrón (esmalte en copos de nieve)  Más frecuente en caras vestibulares y dientes superiores
  • 54.
    DISPLASIA AMBIENTAL DEL ESMALTE HIPOPLASIA POR INGESTA DE FLÚOR: fluorosis, manchas opacas, esmalte sin brillo(leve=lechoso, graves=amarillo/café) .
  • 55.
     DÉFICIT NUTRICIONAL  ENFERMEDADES EXANTEMÁTICAS INFECCIONES PRENATALES:  Sífilis congénita  Rubéola  NEFROPATÍAS  ENDOCRINOPATÍAS
  • 59.
    LESIONES CEREBRALES ERRORES INATOSDEL METABOLISMO ALERGIA ALTERACIONES NEONATALES FACTORES LOCALES:  Infección apical  Traumatismos  Cirugía  Irradiación
  • 60.
    DENTINOGENESIS IMPERFECTA TIPO I:asociada a padecimiento esquelético, asociada a osteogénesis imperfecta (escleróticas azules, sordera, múltiples fracturas,etc.)  Dos denticiones  Dientes blandos, consistencia terrosa  Rx: cámaras pulpares obliteradas
  • 61.
    TIPO II:  Dientesde color: amarillo, pardo azulado u opalescente con brillo translúcido, raíces color ámbar  Rx: coronas bulbosas, cámaras pequeñas o ausentes, raíces delgadas y cortas TIPO III: (SHIELDS)  Temporal: translúcido, ámbar  Permanente: normal
  • 67.
    DISPLASIA DE DENTINA TIPOI DE SHIELDS O DISPLASIA DENTINARIA RADICULAR:  Raíces cortas  Temporal: cámaras pulpares obliteradas  Conductos radiculares no se distinguen TIPO II DE SHIELDS O DISPLASIA DENTINARIA CORONAL :  Pulpolitos
  • 71.
    OSTEOGENESIS IMPERFECTA Alteración deesmalte y dentina En la dentición temporal no hay esmalte y dentina muy abrasionada En la dentición permanente esmalte frágil color grisáceo y amplias zonas desprovistas de éste, dentina atípica
  • 72.
    ODONTODISPLASIA REGIONAL  Dientefantasma  Dientes en forma de concha, pequeños con escasa raíz, amplias cámaras pulpares  Rx: aspecto fantasmagórico
  • 73.
    HIPOFOSFATASIA Incapacidad de lososteoblastos de formar fosfatasa alcalina Movilidad dental Rx. Cámaras pulpares y conductos radiculares amplios.
  • 74.
    CONCRESCENCIA Unión por cementode dos o más raíces Concrescencia verdadera: durante el desarrollo dental Concrescencia adquirida: después de la formación completa de la raíz
  • 76.
    ANOMALÍAS DEL COLOR PIGMENTACIÓN POR TETRACICLINA:  Gris marrón, amarillo  ERITROBLASTOSIS FETAL:  Amarillo verdosa