 ANATOMÍA DENTAL IIANATOMÍA DENTAL II
 REBECA E. DÁVILA GUTIÉRREZREBECA E. DÁVILA GUTIÉRREZ
 Alteración o desviación de loAlteración o desviación de lo
normal, relacionada por elnormal, relacionada por el
desarrollo embrionario ydesarrollo embrionario y
puede dar lugar a la ausencia,puede dar lugar a la ausencia,
exceso o deformidad de unaexceso o deformidad de una
parte del cuerpo departe del cuerpo de
estructuras dentales.estructuras dentales.
ANOMALIAS DE LAANOMALIAS DE LA
DENTICIÓNDENTICIÓN
 Deformidad: Defecto en la forma deDeformidad: Defecto en la forma de
un órgano dental o pieza dentaria.un órgano dental o pieza dentaria.
Mal formación del diente.Mal formación del diente.
 Ocurren en la sexta u octava semanaOcurren en la sexta u octava semana
de vida intrauterina debido a lade vida intrauterina debido a la
histodiferenciación.histodiferenciación.
 Las anomalías dentales se producenLas anomalías dentales se producen
con mayor frecuencia en la denticióncon mayor frecuencia en la dentición
del adulto.del adulto.
ETIOLOGIAETIOLOGIA
Existen anomalías causadas por:Existen anomalías causadas por:
 Factores genéticos-hereditariosFactores genéticos-hereditarios
 Ambientales (sistémicos y locales)Ambientales (sistémicos y locales)
 O de ambos que se presentan en cada una de las etapas deO de ambos que se presentan en cada una de las etapas de
la odontogénesis.la odontogénesis.
ANOMALÍASANOMALÍAS
1.1. Anomalías de númeroAnomalías de número
2.2. Anomalías de tamañoAnomalías de tamaño
3.3. Anomalías de formaAnomalías de forma
4.4. Anomalías de estructuraAnomalías de estructura
5.5. Anomalías de la erupciónAnomalías de la erupción
ANODONCIA VERDADERAANODONCIA VERDADERA

EEs la ausencia total de todos los dientes, ya sean temporarios os la ausencia total de todos los dientes, ya sean temporarios o
permanentes, lo que se llama “Anodoncia verdadera”, cuando faltan lospermanentes, lo que se llama “Anodoncia verdadera”, cuando faltan los
gérmenes de las piezas dentarias.gérmenes de las piezas dentarias.
 En los casos en que existen los gérmenes de las piezas dentarias y noEn los casos en que existen los gérmenes de las piezas dentarias y no
han hecho erupción, se habla de “Anodoncia falsa”han hecho erupción, se habla de “Anodoncia falsa”
 Suele estar asociada a un trastornó como la displasia ectodérmicaSuele estar asociada a un trastornó como la displasia ectodérmica
hereditaria, efectos de la radiación.hereditaria, efectos de la radiación.
 La forma mas frecuente de anodoncia es la parcial, los dientes ausentesLa forma mas frecuente de anodoncia es la parcial, los dientes ausentes
suelen ser los 3ros molares, incisivos laterales y 2dos premolaressuelen ser los 3ros molares, incisivos laterales y 2dos premolares
ANOMALIAS DE NUMEROANOMALIAS DE NUMERO
Anodoncia verdadera
Anodoncia Parcial.Anodoncia Parcial.
 Falta de algunas de las piezas del arco dentarioFalta de algunas de las piezas del arco dentario
por ausencia de sus gérmenes ( agenesia).por ausencia de sus gérmenes ( agenesia).
 Las más afectadas son : Los 3º Molares ausentesLas más afectadas son : Los 3º Molares ausentes
en el 25% de la población, seguidos por los 2en el 25% de la población, seguidos por los 2
Premolares y los Incisivos Laterales,Premolares y los Incisivos Laterales,
especialmente los superiores.especialmente los superiores.
ANOMALIAS DE NUMEROANOMALIAS DE NUMERO
DIENTES SUPERNUMERARIOSDIENTES SUPERNUMERARIOS::
 Dientes en exceso sobre el numeroDientes en exceso sobre el numero
normal.normal.
 Pueden presentarse en cualquierPueden presentarse en cualquier
localización, son mas frecuentes en ellocalización, son mas frecuentes en el
maxilar superior.maxilar superior.
 El más frecuente entre los ICS, que seEl más frecuente entre los ICS, que se
denomina comodenomina como mesiodiente,mesiodiente, seguidoseguido
por los 4tos molares (paramolares) ypor los 4tos molares (paramolares) y
los incisivos lateraleslos incisivos laterales
 Los dientes supernumerarios mas frecuentes en la mandíbula son losLos dientes supernumerarios mas frecuentes en la mandíbula son los
premolares.premolares.
 Pueden estar impactados o erupcionadosPueden estar impactados o erupcionados
 Los dientes supernumerarios son de forma rudimentaria en forma deLos dientes supernumerarios son de forma rudimentaria en forma de
cuña o semejante a un diente normal o de forma diminuta.cuña o semejante a un diente normal o de forma diminuta.
 TERCEROS MOLARES
 INCISIVOS LATERALES SUPERIORES
 GEMINACION
 FUSION
 DIENTE DE HUTCHINZON
 SEGUNDO MOLARES
 CUSPIDES O TUBÉRCULOS ACCESORIOS
 DISLACERACION
 TAURODONTISMO
 CONCRESCENCIA
 DENS IN DENTE
 PERLAS DE ESMALTE
ANOMALIAS DE FORMAANOMALIAS DE FORMA
 Anomalía: Irregular, extraño, que se apartan del tipo normal de las coronas.Anomalía: Irregular, extraño, que se apartan del tipo normal de las coronas.
 El diagnostico en la forma visual es la de Inspección.El diagnostico en la forma visual es la de Inspección.
TERCEROS MOLARES
•Tienen una variedad de formas, desde estacas, premolar superior,
multicuspideo de forma irregular, semejante al segundo molar.
•Los inferiores presenta mayor numero de irregularidades en las
raíces.
Incisivos Laterales Superiores
•En el adulto presentan forma de estaca.
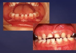
GEMINACIÓNGEMINACIÓN::
 Formación de dientesFormación de dientes
gemelos.gemelos.
 Generalmente dosGeneralmente dos
supernumerarios o unsupernumerarios o un
supernumerario con otrosupernumerario con otro
diente de la serie normal.diente de la serie normal.
 Causa: División del germenCausa: División del germen
dentario anormalmentedentario anormalmente
grande, o a un sinodontismogrande, o a un sinodontismo
(unión con gérmenes de(unión con gérmenes de
dientes vecinos)dientes vecinos)
 Frecuentes en ICS y en ILI;Frecuentes en ICS y en ILI;
dientes inftantiles.dientes inftantiles.
• Presentan continuidad de las
cámaras pulpares y de la dentina.
• Radiográficamente se observan dos
coronas conformadas con un canal
radicular.
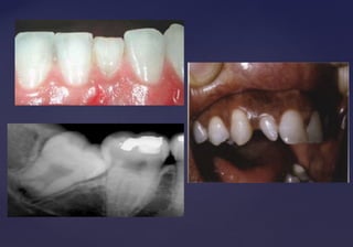
FusiónFusión
 Unión de dos dientes de la serie normal, mediante la dentina,Unión de dos dientes de la serie normal, mediante la dentina,
independientemente de la pulpa y del esmalte.independientemente de la pulpa y del esmalte.
 Se cree que es causada por la presión o fuerza durante el desarrollo de laSe cree que es causada por la presión o fuerza durante el desarrollo de la
raíz adyacente.raíz adyacente.
 Frecuente entre incisivos central y lateral y lateral y canino de dientesFrecuente entre incisivos central y lateral y lateral y canino de dientes
temporarios.temporarios.
 Mas frecuentes en la zona mandibular anterior.Mas frecuentes en la zona mandibular anterior.
Dientes de HutchinzonDientes de Hutchinzon
 Existe el síndrome de Hutchinzon, seExiste el síndrome de Hutchinzon, se
observa en ambas denticiones, son muyobserva en ambas denticiones, son muy
raros, debido a sífilis prenatal.raros, debido a sífilis prenatal.
 Presenta una muesca.Presenta una muesca.
 Frecuencia: Incisivos maxilares yFrecuencia: Incisivos maxilares y
mandibulares en dientes amplios enmandibulares en dientes amplios en
cervical estrechándose en el borde incisalcervical estrechándose en el borde incisal
con escotadura o marca “con escotadura o marca “
destorllinador”.destorllinador”.
 En los primeros molares forma deEn los primeros molares forma de
aframbuesado.aframbuesado.
CÚSPIDES Y TUBÉRCULOSCÚSPIDES Y TUBÉRCULOS
ACCESORIOSACCESORIOS
PPueden localizarse en cualquier pieza dentalueden localizarse en cualquier pieza dental
Todos los elementos dentarios pueden llegarTodos los elementos dentarios pueden llegar
a portar cúspides o tubérculosa portar cúspides o tubérculos
supernumerarios o presentar exageración ensupernumerarios o presentar exageración en
el tamaño.el tamaño.
Resultado de una hiperplasia en su desarrolloResultado de una hiperplasia en su desarrollo
por el crecimiento de células nuevas.por el crecimiento de células nuevas.
En incisivos y caninos el tubérculo lingualEn incisivos y caninos el tubérculo lingual
puede ser de gran tamaño.puede ser de gran tamaño.
En los molares, cúspides supernumerarias.En los molares, cúspides supernumerarias.
Perlas adamantinas
“Nodulos” “Gotas” “Formaciones” “Esferas”
 SonSon pequeñas áreas de esmalte que se aponen sobre la dentina de la raíz,
cuando lo normal es que sobre la dentina de la raíz haya siempre
cemento.
 La vaina epitelial de Hertwig permanece unida a la dentina subyacente enLa vaina epitelial de Hertwig permanece unida a la dentina subyacente en
la zona cervical, el epitelio elabora tejido del esmalte dando comola zona cervical, el epitelio elabora tejido del esmalte dando como
resultado un nódulo o perla.resultado un nódulo o perla.
 Se localizan en las raíces de los molares inferiores.Se localizan en las raíces de los molares inferiores.
 Particularmente en la zona de furcación.Particularmente en la zona de furcación.
 A veces unidas a la corona por una línea o banda de esmalte.A veces unidas a la corona por una línea o banda de esmalte.
 Rx: RADIOPACORx: RADIOPACO
TAURODONCIATAURODONCIA
 Molar con una corona alargada y situada enMolar con una corona alargada y situada en
posición apical respecto a la bifurcación de lasposición apical respecto a la bifurcación de las
raíces que da por resultado una cámara pulparraíces que da por resultado una cámara pulpar
coronal rectangular de tamaño mayor que elcoronal rectangular de tamaño mayor que el
normal.normal.
 Causada por la desorganización de los tejidosCausada por la desorganización de los tejidos
descalcificados.descalcificados.
 Fuerzas excesivas durante la masticación.Fuerzas excesivas durante la masticación.
 Afecta los molares, ocasionalmente losAfecta los molares, ocasionalmente los
premolares.premolares.
 Afecta dientes permanentes y deciduos.Afecta dientes permanentes y deciduos.
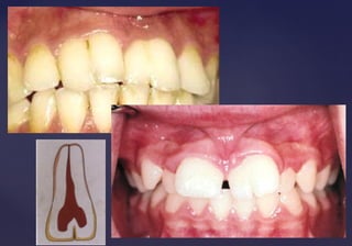
DENS IN DENTEDENS IN DENTE::
 Invaginación de las células delInvaginación de las células del
epitelio interno del órgano delepitelio interno del órgano del
esmalte, por enclavamientoesmalte, por enclavamiento
del ectodermo hacia la papiladel ectodermo hacia la papila
dentaldental
 El esmalte que cubre la superficieEl esmalte que cubre la superficie
de la cavidad da la apariencia dede la cavidad da la apariencia de
un diente que contiene otroun diente que contiene otro
pequeño en su interior.pequeño en su interior.
 Causas: Aumento de la presión externa,
trauma, estimulación del crecimiento focal en
ciertas áreas de la papila dentaria
Dens in Dente
Anomalía del desarrollo, durante la cual se produce una exageración en laAnomalía del desarrollo, durante la cual se produce una exageración en la
profundización de la fosa palatina de incisivos centrales, laterales o caninos.profundización de la fosa palatina de incisivos centrales, laterales o caninos.
Hendidura en el epitelio del esmalte por lo que aparece una fosa exagerada yHendidura en el epitelio del esmalte por lo que aparece una fosa exagerada y
cubierta por esmalte, dando el aspecto radiográfico de un diente dentro de otrocubierta por esmalte, dando el aspecto radiográfico de un diente dentro de otro
diente.diente.
CONCRESCENCIACONCRESCENCIA::
 Unión de las raíces de dos
o mas dientes normales
causada por la confluencia
de sus superficies
cementarías.
 Afecta al segundo y tercer
molar maxilar con mayor
frecuencia.
DILACERACIÓN:DILACERACIÓN:
 Curvatura de las raíces.Curvatura de las raíces.
 Etiología: traumatismos enEtiología: traumatismos en
la dentición temporal,la dentición temporal,
traumatismos entraumatismos en
formación de la raíz, faltaformación de la raíz, falta
de espacio.de espacio.
ANOMALIAS DE TAMAÑOANOMALIAS DE TAMAÑO
MICRODONCIAMICRODONCIA
Dientes afectados son más pequeños de lo normal, resultado deDientes afectados son más pequeños de lo normal, resultado de
un desarrollo insuficiente del germen dentario.un desarrollo insuficiente del germen dentario.
La causa es por la hipo fusión de la glándula hipófisis por sífilis.La causa es por la hipo fusión de la glándula hipófisis por sífilis.
Los dientes mas afectados son los 3º Molares, incisivos laterales,Los dientes mas afectados son los 3º Molares, incisivos laterales,
segundos premolares y caninos inferiores.segundos premolares y caninos inferiores.
Algunos pueden presentar un aspecto conoide.Algunos pueden presentar un aspecto conoide.
MACRODONCIAMACRODONCIA
Dientes más grandes de lo normalDientes más grandes de lo normal
Resultado de un desarrollo excesivoResultado de un desarrollo excesivo
de los dientes, causado por una hiperde los dientes, causado por una hiper
fusión de la glándula hipófisis.fusión de la glándula hipófisis.
Frecuencia en los Incisivos y CaninosFrecuencia en los Incisivos y Caninos
HIPERCEMENTOSISHIPERCEMENTOSIS
 Formación excesiva del tejido delFormación excesiva del tejido del
cemento alrededor de la raíz despuéscemento alrededor de la raíz después
que el diente haya erupcionado.que el diente haya erupcionado.
 Frecuencia en los molares.Frecuencia en los molares.
 Es mas frecuente en dientes sometidosEs mas frecuente en dientes sometidos
a fuerzas de oclusión tanto aumentadasa fuerzas de oclusión tanto aumentadas
como reducidas, disfunción metabólicacomo reducidas, disfunción metabólica
del individuo o inflamación periapical.del individuo o inflamación periapical.
{{
Fluorosis dentariaFluorosis dentaria
Es una patología provocada
por la toxicidad del flúor
cuando supera la
concentración de una parte
por millón (1 ppm).
 La gravedad de la patología
depende del periodo en el que
se produce la ingesta.
 Se cree que la concentración
del ion flúor altera la función
metabólica de los ameloblastos
durante su formación.
 La gravedad de la patología
depende del periodo en el que
se produce la ingesta.
 Se cree que la concentración
del ion flúor altera la función
metabólica de los ameloblastos
durante su formación.
 Fluorosis moderadaFluorosis moderada
 Fluorosis graveFluorosis grave
{{
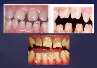
TetraciclinasTetraciclinas
Son antibióticos que comenzaron a ser
desarrollados en 1948, su ingesta por parte de
mujeres embarazadas o niños a corta edad
produce alteraciones dentarias.
 Los cambios de color son
provocados por el efecto
secundario de las tetraciclinas,
forman bandas de pigmento
fluorescente en el interior de
las piezas dentarias y también
inhiben la calcificación.
 El diente se torna amarillo o
marrón grisaceo.
 Tinción por tetraciclina moderadaTinción por tetraciclina moderada  Tinción por tetraciclina leveTinción por tetraciclina leve
Tinción por
tetraciclina severa
Fiebre altaFiebre alta
 El esmalte que esta en un periodo de formación
sufre cambios por elevadas temperaturas de fiebre
en la infancia temprana.
 -Molares permanentes e Incisivos Centrales
Superiores.
 Son dientes que por falta de fuerza eruptiva no
erupcionan en la cavidad bucal y se encuentran ocultos.
 -Terceros molares Inf y Sup.
 Caninos superiores
 Terceros premolares
Dientes no erupcionadosDientes no erupcionados
Dientes transpuestosDientes transpuestos
 El germen dental se coloca en mala posición por
factores genéticos hereditarios.
 Cuando erupciona lo hacen en un sitio diferente al que
le debe corresponder en el arco dentario.
 -Canino Superior en el ILS
 -ILS en el Canino Superior
Rotación de los dientesRotación de los dientes
 Es una extraña anomalía dentaria pero un diente puede
rotar sobre su eje hasta 180°
 Se produce por falta de espacio interproximal
 ICS
 ILS
 Segundo premolar superior
 Canino Inferior
Perdida de la superficie del diente por acción química, uso
excesivo de acido cítrico, bebidas con gas y regurgitación de
acido estomacal.
Anomalias dentarias

Anomalias dentarias

  • 1.
     ANATOMÍA DENTALIIANATOMÍA DENTAL II  REBECA E. DÁVILA GUTIÉRREZREBECA E. DÁVILA GUTIÉRREZ
  • 2.
     Alteración odesviación de loAlteración o desviación de lo normal, relacionada por elnormal, relacionada por el desarrollo embrionario ydesarrollo embrionario y puede dar lugar a la ausencia,puede dar lugar a la ausencia, exceso o deformidad de unaexceso o deformidad de una parte del cuerpo departe del cuerpo de estructuras dentales.estructuras dentales. ANOMALIAS DE LAANOMALIAS DE LA DENTICIÓNDENTICIÓN
  • 3.
     Deformidad: Defectoen la forma deDeformidad: Defecto en la forma de un órgano dental o pieza dentaria.un órgano dental o pieza dentaria. Mal formación del diente.Mal formación del diente.  Ocurren en la sexta u octava semanaOcurren en la sexta u octava semana de vida intrauterina debido a lade vida intrauterina debido a la histodiferenciación.histodiferenciación.  Las anomalías dentales se producenLas anomalías dentales se producen con mayor frecuencia en la denticióncon mayor frecuencia en la dentición del adulto.del adulto.
  • 4.
    ETIOLOGIAETIOLOGIA Existen anomalías causadaspor:Existen anomalías causadas por:  Factores genéticos-hereditariosFactores genéticos-hereditarios  Ambientales (sistémicos y locales)Ambientales (sistémicos y locales)  O de ambos que se presentan en cada una de las etapas deO de ambos que se presentan en cada una de las etapas de la odontogénesis.la odontogénesis.
  • 5.
    ANOMALÍASANOMALÍAS 1.1. Anomalías denúmeroAnomalías de número 2.2. Anomalías de tamañoAnomalías de tamaño 3.3. Anomalías de formaAnomalías de forma 4.4. Anomalías de estructuraAnomalías de estructura 5.5. Anomalías de la erupciónAnomalías de la erupción
  • 6.
    ANODONCIA VERDADERAANODONCIA VERDADERA  EEsla ausencia total de todos los dientes, ya sean temporarios os la ausencia total de todos los dientes, ya sean temporarios o permanentes, lo que se llama “Anodoncia verdadera”, cuando faltan lospermanentes, lo que se llama “Anodoncia verdadera”, cuando faltan los gérmenes de las piezas dentarias.gérmenes de las piezas dentarias.  En los casos en que existen los gérmenes de las piezas dentarias y noEn los casos en que existen los gérmenes de las piezas dentarias y no han hecho erupción, se habla de “Anodoncia falsa”han hecho erupción, se habla de “Anodoncia falsa”  Suele estar asociada a un trastornó como la displasia ectodérmicaSuele estar asociada a un trastornó como la displasia ectodérmica hereditaria, efectos de la radiación.hereditaria, efectos de la radiación.  La forma mas frecuente de anodoncia es la parcial, los dientes ausentesLa forma mas frecuente de anodoncia es la parcial, los dientes ausentes suelen ser los 3ros molares, incisivos laterales y 2dos premolaressuelen ser los 3ros molares, incisivos laterales y 2dos premolares ANOMALIAS DE NUMEROANOMALIAS DE NUMERO
  • 7.
  • 8.
    Anodoncia Parcial.Anodoncia Parcial. Falta de algunas de las piezas del arco dentarioFalta de algunas de las piezas del arco dentario por ausencia de sus gérmenes ( agenesia).por ausencia de sus gérmenes ( agenesia).  Las más afectadas son : Los 3º Molares ausentesLas más afectadas son : Los 3º Molares ausentes en el 25% de la población, seguidos por los 2en el 25% de la población, seguidos por los 2 Premolares y los Incisivos Laterales,Premolares y los Incisivos Laterales, especialmente los superiores.especialmente los superiores.
  • 10.
    ANOMALIAS DE NUMEROANOMALIASDE NUMERO DIENTES SUPERNUMERARIOSDIENTES SUPERNUMERARIOS::  Dientes en exceso sobre el numeroDientes en exceso sobre el numero normal.normal.  Pueden presentarse en cualquierPueden presentarse en cualquier localización, son mas frecuentes en ellocalización, son mas frecuentes en el maxilar superior.maxilar superior.  El más frecuente entre los ICS, que seEl más frecuente entre los ICS, que se denomina comodenomina como mesiodiente,mesiodiente, seguidoseguido por los 4tos molares (paramolares) ypor los 4tos molares (paramolares) y los incisivos lateraleslos incisivos laterales
  • 11.
     Los dientessupernumerarios mas frecuentes en la mandíbula son losLos dientes supernumerarios mas frecuentes en la mandíbula son los premolares.premolares.  Pueden estar impactados o erupcionadosPueden estar impactados o erupcionados  Los dientes supernumerarios son de forma rudimentaria en forma deLos dientes supernumerarios son de forma rudimentaria en forma de cuña o semejante a un diente normal o de forma diminuta.cuña o semejante a un diente normal o de forma diminuta.
  • 12.
     TERCEROS MOLARES INCISIVOS LATERALES SUPERIORES  GEMINACION  FUSION  DIENTE DE HUTCHINZON  SEGUNDO MOLARES  CUSPIDES O TUBÉRCULOS ACCESORIOS  DISLACERACION  TAURODONTISMO  CONCRESCENCIA  DENS IN DENTE  PERLAS DE ESMALTE ANOMALIAS DE FORMAANOMALIAS DE FORMA
  • 13.
     Anomalía: Irregular,extraño, que se apartan del tipo normal de las coronas.Anomalía: Irregular, extraño, que se apartan del tipo normal de las coronas.  El diagnostico en la forma visual es la de Inspección.El diagnostico en la forma visual es la de Inspección. TERCEROS MOLARES •Tienen una variedad de formas, desde estacas, premolar superior, multicuspideo de forma irregular, semejante al segundo molar. •Los inferiores presenta mayor numero de irregularidades en las raíces. Incisivos Laterales Superiores •En el adulto presentan forma de estaca.
  • 14.
    GEMINACIÓNGEMINACIÓN::  Formación dedientesFormación de dientes gemelos.gemelos.  Generalmente dosGeneralmente dos supernumerarios o unsupernumerarios o un supernumerario con otrosupernumerario con otro diente de la serie normal.diente de la serie normal.  Causa: División del germenCausa: División del germen dentario anormalmentedentario anormalmente grande, o a un sinodontismogrande, o a un sinodontismo (unión con gérmenes de(unión con gérmenes de dientes vecinos)dientes vecinos)  Frecuentes en ICS y en ILI;Frecuentes en ICS y en ILI; dientes inftantiles.dientes inftantiles. • Presentan continuidad de las cámaras pulpares y de la dentina. • Radiográficamente se observan dos coronas conformadas con un canal radicular.
  • 16.
    FusiónFusión  Unión dedos dientes de la serie normal, mediante la dentina,Unión de dos dientes de la serie normal, mediante la dentina, independientemente de la pulpa y del esmalte.independientemente de la pulpa y del esmalte.  Se cree que es causada por la presión o fuerza durante el desarrollo de laSe cree que es causada por la presión o fuerza durante el desarrollo de la raíz adyacente.raíz adyacente.  Frecuente entre incisivos central y lateral y lateral y canino de dientesFrecuente entre incisivos central y lateral y lateral y canino de dientes temporarios.temporarios.  Mas frecuentes en la zona mandibular anterior.Mas frecuentes en la zona mandibular anterior.
  • 19.
    Dientes de HutchinzonDientesde Hutchinzon  Existe el síndrome de Hutchinzon, seExiste el síndrome de Hutchinzon, se observa en ambas denticiones, son muyobserva en ambas denticiones, son muy raros, debido a sífilis prenatal.raros, debido a sífilis prenatal.  Presenta una muesca.Presenta una muesca.  Frecuencia: Incisivos maxilares yFrecuencia: Incisivos maxilares y mandibulares en dientes amplios enmandibulares en dientes amplios en cervical estrechándose en el borde incisalcervical estrechándose en el borde incisal con escotadura o marca “con escotadura o marca “ destorllinador”.destorllinador”.  En los primeros molares forma deEn los primeros molares forma de aframbuesado.aframbuesado.
  • 21.
    CÚSPIDES Y TUBÉRCULOSCÚSPIDESY TUBÉRCULOS ACCESORIOSACCESORIOS PPueden localizarse en cualquier pieza dentalueden localizarse en cualquier pieza dental Todos los elementos dentarios pueden llegarTodos los elementos dentarios pueden llegar a portar cúspides o tubérculosa portar cúspides o tubérculos supernumerarios o presentar exageración ensupernumerarios o presentar exageración en el tamaño.el tamaño. Resultado de una hiperplasia en su desarrolloResultado de una hiperplasia en su desarrollo por el crecimiento de células nuevas.por el crecimiento de células nuevas. En incisivos y caninos el tubérculo lingualEn incisivos y caninos el tubérculo lingual puede ser de gran tamaño.puede ser de gran tamaño. En los molares, cúspides supernumerarias.En los molares, cúspides supernumerarias.
  • 22.
    Perlas adamantinas “Nodulos” “Gotas”“Formaciones” “Esferas”  SonSon pequeñas áreas de esmalte que se aponen sobre la dentina de la raíz, cuando lo normal es que sobre la dentina de la raíz haya siempre cemento.  La vaina epitelial de Hertwig permanece unida a la dentina subyacente enLa vaina epitelial de Hertwig permanece unida a la dentina subyacente en la zona cervical, el epitelio elabora tejido del esmalte dando comola zona cervical, el epitelio elabora tejido del esmalte dando como resultado un nódulo o perla.resultado un nódulo o perla.  Se localizan en las raíces de los molares inferiores.Se localizan en las raíces de los molares inferiores.  Particularmente en la zona de furcación.Particularmente en la zona de furcación.  A veces unidas a la corona por una línea o banda de esmalte.A veces unidas a la corona por una línea o banda de esmalte.  Rx: RADIOPACORx: RADIOPACO
  • 24.
    TAURODONCIATAURODONCIA  Molar conuna corona alargada y situada enMolar con una corona alargada y situada en posición apical respecto a la bifurcación de lasposición apical respecto a la bifurcación de las raíces que da por resultado una cámara pulparraíces que da por resultado una cámara pulpar coronal rectangular de tamaño mayor que elcoronal rectangular de tamaño mayor que el normal.normal.  Causada por la desorganización de los tejidosCausada por la desorganización de los tejidos descalcificados.descalcificados.  Fuerzas excesivas durante la masticación.Fuerzas excesivas durante la masticación.  Afecta los molares, ocasionalmente losAfecta los molares, ocasionalmente los premolares.premolares.  Afecta dientes permanentes y deciduos.Afecta dientes permanentes y deciduos.
  • 25.
    DENS IN DENTEDENSIN DENTE::  Invaginación de las células delInvaginación de las células del epitelio interno del órgano delepitelio interno del órgano del esmalte, por enclavamientoesmalte, por enclavamiento del ectodermo hacia la papiladel ectodermo hacia la papila dentaldental  El esmalte que cubre la superficieEl esmalte que cubre la superficie de la cavidad da la apariencia dede la cavidad da la apariencia de un diente que contiene otroun diente que contiene otro pequeño en su interior.pequeño en su interior.  Causas: Aumento de la presión externa, trauma, estimulación del crecimiento focal en ciertas áreas de la papila dentaria
  • 26.
    Dens in Dente Anomalíadel desarrollo, durante la cual se produce una exageración en laAnomalía del desarrollo, durante la cual se produce una exageración en la profundización de la fosa palatina de incisivos centrales, laterales o caninos.profundización de la fosa palatina de incisivos centrales, laterales o caninos. Hendidura en el epitelio del esmalte por lo que aparece una fosa exagerada yHendidura en el epitelio del esmalte por lo que aparece una fosa exagerada y cubierta por esmalte, dando el aspecto radiográfico de un diente dentro de otrocubierta por esmalte, dando el aspecto radiográfico de un diente dentro de otro diente.diente.
  • 29.
    CONCRESCENCIACONCRESCENCIA::  Unión delas raíces de dos o mas dientes normales causada por la confluencia de sus superficies cementarías.  Afecta al segundo y tercer molar maxilar con mayor frecuencia.
  • 31.
    DILACERACIÓN:DILACERACIÓN:  Curvatura delas raíces.Curvatura de las raíces.  Etiología: traumatismos enEtiología: traumatismos en la dentición temporal,la dentición temporal, traumatismos entraumatismos en formación de la raíz, faltaformación de la raíz, falta de espacio.de espacio.
  • 33.
    ANOMALIAS DE TAMAÑOANOMALIASDE TAMAÑO MICRODONCIAMICRODONCIA Dientes afectados son más pequeños de lo normal, resultado deDientes afectados son más pequeños de lo normal, resultado de un desarrollo insuficiente del germen dentario.un desarrollo insuficiente del germen dentario. La causa es por la hipo fusión de la glándula hipófisis por sífilis.La causa es por la hipo fusión de la glándula hipófisis por sífilis. Los dientes mas afectados son los 3º Molares, incisivos laterales,Los dientes mas afectados son los 3º Molares, incisivos laterales, segundos premolares y caninos inferiores.segundos premolares y caninos inferiores. Algunos pueden presentar un aspecto conoide.Algunos pueden presentar un aspecto conoide.
  • 36.
    MACRODONCIAMACRODONCIA Dientes más grandesde lo normalDientes más grandes de lo normal Resultado de un desarrollo excesivoResultado de un desarrollo excesivo de los dientes, causado por una hiperde los dientes, causado por una hiper fusión de la glándula hipófisis.fusión de la glándula hipófisis. Frecuencia en los Incisivos y CaninosFrecuencia en los Incisivos y Caninos
  • 38.
    HIPERCEMENTOSISHIPERCEMENTOSIS  Formación excesivadel tejido delFormación excesiva del tejido del cemento alrededor de la raíz despuéscemento alrededor de la raíz después que el diente haya erupcionado.que el diente haya erupcionado.  Frecuencia en los molares.Frecuencia en los molares.  Es mas frecuente en dientes sometidosEs mas frecuente en dientes sometidos a fuerzas de oclusión tanto aumentadasa fuerzas de oclusión tanto aumentadas como reducidas, disfunción metabólicacomo reducidas, disfunción metabólica del individuo o inflamación periapical.del individuo o inflamación periapical.
  • 39.
    {{ Fluorosis dentariaFluorosis dentaria Esuna patología provocada por la toxicidad del flúor cuando supera la concentración de una parte por millón (1 ppm).
  • 40.
     La gravedadde la patología depende del periodo en el que se produce la ingesta.  Se cree que la concentración del ion flúor altera la función metabólica de los ameloblastos durante su formación.  La gravedad de la patología depende del periodo en el que se produce la ingesta.  Se cree que la concentración del ion flúor altera la función metabólica de los ameloblastos durante su formación.
  • 41.
     Fluorosis moderadaFluorosismoderada  Fluorosis graveFluorosis grave
  • 42.
    {{ TetraciclinasTetraciclinas Son antibióticos quecomenzaron a ser desarrollados en 1948, su ingesta por parte de mujeres embarazadas o niños a corta edad produce alteraciones dentarias.
  • 43.
     Los cambiosde color son provocados por el efecto secundario de las tetraciclinas, forman bandas de pigmento fluorescente en el interior de las piezas dentarias y también inhiben la calcificación.  El diente se torna amarillo o marrón grisaceo.
  • 44.
     Tinción portetraciclina moderadaTinción por tetraciclina moderada  Tinción por tetraciclina leveTinción por tetraciclina leve Tinción por tetraciclina severa
  • 45.
    Fiebre altaFiebre alta El esmalte que esta en un periodo de formación sufre cambios por elevadas temperaturas de fiebre en la infancia temprana.  -Molares permanentes e Incisivos Centrales Superiores.
  • 46.
     Son dientesque por falta de fuerza eruptiva no erupcionan en la cavidad bucal y se encuentran ocultos.  -Terceros molares Inf y Sup.  Caninos superiores  Terceros premolares Dientes no erupcionadosDientes no erupcionados
  • 47.
    Dientes transpuestosDientes transpuestos El germen dental se coloca en mala posición por factores genéticos hereditarios.  Cuando erupciona lo hacen en un sitio diferente al que le debe corresponder en el arco dentario.  -Canino Superior en el ILS  -ILS en el Canino Superior
  • 48.
    Rotación de losdientesRotación de los dientes  Es una extraña anomalía dentaria pero un diente puede rotar sobre su eje hasta 180°  Se produce por falta de espacio interproximal  ICS  ILS  Segundo premolar superior  Canino Inferior
  • 51.
    Perdida de lasuperficie del diente por acción química, uso excesivo de acido cítrico, bebidas con gas y regurgitación de acido estomacal.