APARATOS PREAJUSTADOS
Basado en SWA del Dr. Laurence F. Andrews
Estudio
 120 no ortodónticos ideales
 1150 tratados ortodónticamente
 Encontró inconsistencias
6 Llaves de la oclusión normal de
Andrews
 Relación molar
 Angulación de la corona (Tip )
 Inclinación de la corona (Torque )
 Rotación ( No debe haber rotaciones )
 Espacios ( No debe haber espacios; los puntos
de contacto deben ser continuos)
 Plano oclusal ( pudiendo ir desde recto hasta
ligera curva de Spee)
Relación molar
1, 2 y 3. Relación inadecuada.
4 Relación adecuada
Angulación de la corona
El eje axial de la corona se mide a
partir de 90° al plano oclusal
Inclinación de la corona
La inclinación de la corona se mide a partir
de 90°al plano oclusal.
Rotación
Una rotación molar ocupa mas espacio
mesiodistal provocando una situación de
mala relación de oclusión normal
Espacios
Plano oclusal
Una curva de Spee profunda resulta en un
área restringida para los dientes superiores.
Un plano oclusal recto es más
receptivo a la oclusión normal
Una curva de Spee inversa resulta en
un área excesiva para los dientes
superiores
Características de la técnica
de arco recto (SWA)
 Colocar a los dientes en una posición ideal a
través de arcos rectos que llenen el slot del
braquet, dando al mismo tiempo inclinación,
torsión, rotación y posición in-out dentro del
plano oclusal.
Ventajas de la técnica de
arco recto
 Fácil elaboración de los arcos rectos puesto que
no es necesario doblarlos para formar curvas de
compensación, no importando la medida del
alambre
 No se necesita una gran distancia interbraquet
para reducir el nivel de fuerza
 Fácil colocación del arco recto cuándo todos los
dientes se encuentran en su posición ideal, ya
que el slot de los braquets quedan paralelos al
plano oclusal
Ventajas de la técnica de
arco recto
 Menos giroversiones
 Mejor control de las posiciones dentarias
gracias a los braquets y no a los arcos; las
posiciones dentarias son mejor controladas y
autolimitadas
 Mejores y consistentes resultados en corto
tiempo
Ventajas de la técnica de
arco recto
 Confort de los pacientes al utilizar arcos
rectangulares que le facilitan la adaptación al
Ortodoncista y proporcionan un menor juego de
los dientes durante el tratamiento
 Completo cierre del espacio en caso de
extracciones y de no extracciones
 Fácil de ligar
 Fácil identificación de los braquets
 Fácil y exacta colocación de los braquets
FILOSOFÍA DE ROTH
Basada enTécnica Stright wireAppliance de Andrews ( SWA )
SWA por Roth
 Inicia en 1970
 Braquets de la serie de extracciones de SWA
deAndrews
 Mejor deslizamiento de los dientes a lo largo del
arco rectangular
 mejor contrainclinación
 mejor contrarotación
 Mayor estabilidad
Beneficios de la técnica de
Roth
 Acortamiento del tiempo de tratamiento
 Resultados mejores y más consistentes
 Menor tiempo en silla del consultorio
Fundamentos de la filosofía de
Roth
 La posición final de los dientes debe de
encontrarse en una relación céntrica
mutuamente protegida por la oclusión y la
eliminación de interferencias oclusales
Ronald H. Roth
Fundamentos de la filosofía de
Roth
 Concepto de posición
mandibular – Relación
céntrica
 Articulador
semiajustable en
Ortodoncia
 API ( indicador de posición
axial )
Fundamentos de la filosofía de
Roth
 Concepto de posición
mandibular – Relación
céntrica
 Articulador
semiajustable en
Ortodoncia
 API ( indicador de posición
axial )
Fundamentos de la filosofía de
Roth
 Concepto de posición
mandibular – Relación
céntrica
 Articulador
semiajustable en
Ortodoncia
 API ( indicador de posición
axial )
 Solo desde una posición estable mandibular
obtenida por una férula podremos realizar un
correcto diagnóstico de la maloclusión
Ronald H. Roth
Importancia de la R. C.
 Separar ó desocluir los dientes en excursiones
 Desocluir para prevenir parafunción ó
atricción
 Proteger el periodonto de las fuerzas
laterales (función de la guía canina)
 Para mantener la estabilidad del complejo
disco-condilar
Importancia de la R. C.
 Separar ó desocluir los dientes en excursiones
 Desocluir para prevenir parafunción ó
atricción
 Proteger el periodonto de las fuerzas
laterales (función de la guía canina)
 Para mantener la estabilidad del complejo
disco-condilar
Importancia de la R. C.
 Separar ó desocluir los dientes en excursiones
 Desocluir para prevenir parafunción ó
atricción
 Proteger el periodonto de las fuerzas
laterales (función de la guía canina)
 Para mantener la estabilidad del complejo
disco-condilar
Importancia de la R. C.
 Separar ó desocluir los dientes en excursiones
 Desocluir para prevenir parafunción ó
atricción
 Proteger el periodonto de las fuerzas
laterales (función de la guía canina)
 Para mantener la estabilidad del complejo
disco-condilar
Importancia de la R. C.
 Separar ó desocluir los dientes en excursiones
 Desocluir para prevenir parafunción ó
atricción
 Proteger el periodonto de las fuerzas
laterales (función de la guía canina)
 Para mantener la estabilidad del complejo
disco-condilar
Disco articular
Ligamento temporomandibular
Distracción condilar
Distracción condilar
 En el plano sagital
 En el plano transversal
Distracción condilar
 En el plano sagital
 En el plano transversal
Distraccion condilar
 Posición hacia abajo y hacia atrás que
adquiere el cóndilo dentro de la cavidad
glenoidea producto de la rotación mandibular
provocada por interferencias oclusales
Inestabilidad de la posición mandibular
Inestabilidad de la oclusión posterior
Inestabilidad del alineamiento anterior
Distraccion condilar
Distracción condilar
 En el plano sagital
 En el plano transversal
Estudio de la trayectoria de cierre entre
la posición de reposo postural y la
oclusión en el plano transversal
 Anomalías provocadas por:
 Lateroclusión
 Laterognasia
Desprogramación
Desprogramación
 Obtensión de tentativa de céntrica
 Montaje en articulador
 Férula de miorelajación
Desprogramación
 Obtensión de tentativa de céntrica
 Montaje en articulador
 Férula de miorelajación
TOPE ANTERIOR
OBTENCIÓN DE TENTATIVA DE CÉNTRICA
MANIPULACIÓN Y COLOCACIÓN DEL TOPE ANTERIOR
OBTENCIÓN DE TENTATIVA DE CÉNTRICA
MANIPULACIÓN Y COLOCACIÓN DEL TOPE ANTERIOR
TOPE POSTERIOR
TOPE POSTERIOR
Desprogramación
 Obtensión de tentativa de céntrica
 Montaje en articulador
 Férula de miorelajación
Articulador con axiógrafo ( eje de bisagra verdadero )
•Panadent
Desprogramación
 Obtensión de tentativa de céntrica
 Montaje en articulador
 Férula de miorelajación
Desprogramación
 Obtensión de tentativa de céntrica
 Montaje en articulador
 Férula de miorelajación
 Debe ser plana siempre dejando un punto por diente
 Al ir desprogramándose la mandíbula, se van
perdiendo algunos puntos, por lo que se debe estar
ajustando la férula
 Al mantener con la cantidad de puntos totales, se ha
terminado la desprogramación, logrando la
estabilidad mandibular
Objetivos para obtener una
oclusión funcional ideal
Objetivos para obtener una
oclusión funcional ideal
 La oclusión céntrica se ha
de producir con la
mandíbula en relación
céntrica.
Objetivos para obtener una
oclusión funcional ideal
 La oclusión céntrica se ha
de producir con la
mandíbula en relación
céntrica.
 Esta oclusión en relación
céntrica ha de tener
contactos tripoideos de las
cúspides céntricas con las
fosas respectivas y topes
oclusales más suaves en los
dientes anteriores.
Objetivos para obtener una
oclusión funcional ideal
 La fuerza oclusal durante el
cierre ha de ser de igual
magnitud en todos los
dientes posteriores, y la
tensión ha de estar dirigida
en la dirección de los ejes
mayores de los dientes.
Objetivos para obtener una
oclusión funcional ideal
 La fuerza oclusal durante el
cierre ha de ser de igual
magnitud en todos los
dientes posteriores, y la
tensión ha de estar dirigida
en la dirección de los ejes
mayores de los dientes.
 En ortodoncia el objetivo
debe ser una relación de
diente a dos dientes ó clase
I tal como lo describió
Angle.
Objetivos para obtener una
oclusión funcional ideal
 Ha de existir una sobremordida
anterior mínima pero suficiente
para conseguir una guía anterior
de modo que en cualquier
excursión fuera de la relación
céntrica los dientes anteriores
sean capaces de funcionar entre
ellos en el rango completo de
movimiento y sirvan para
desocluir a los dientes posteriores.
 Los dientes anteriores, por tanto,
protegen a los dientes posteriores
de tensiones laterales)
Objetivos para obtener una
oclusión funcional ideal
 En protusiva recta seis u ocho
dientes anteriores articulan
uniformemente ( los incisivos
centrales superiores y los cuatro
incisivos mandibulares ó los
cuatro incisivos superores y los
cuatro incisivos mandibulares) y
los bicúspides y el resto de los
dientes posteriores han de estar
desocluidos.
Objetivos para obtener una
oclusión funcional ideal
 En protusiva recta seis dientes
anteriores articulan
uniformemente ( los incisivos
centrales superiores y los cuatro
incisivos mandibulares) y los
bicúspides y el resto de los
dientes posteriores han de estar
desocluidos.
 En las excursiones laterales los
caninos maxilares han de actuar
como planos guías para
desocluir tanto los dientes del
lado de balance como los
dientes del lado de trabajo.
Objetivos para obtener una
oclusión funcional ideal
 La estructura dentaria, la
posición de los dientes y la
forma oclusal se han de
correlacionar perfectamente
con los movimientos límite
de la mandíbula, incluyendo
el movimiento de Bennett y
el desplazamiento lateral
inmediato, de modo que en
cualquier excursión
mandibular las cúspides
siempre pasan a través de los
surcos.
Factores que evitan una función
ideal
 Casos con discrepancia de tamaño dentario
en los que hay:
 Insuficiente tamaño dentario maxilar
 Exceso de tamaño dentario mandibular
 Una gran diferencia de tamaño entre los dientes
del lado izquierdo y los del lado derecho
 Casos en los que hay agenesia de dientes
 Incisivos laterales maxilares
 Segundos premolares mandibulares, cuando los
primeros tienen forma de canino
 Caninos maxilares ó mandibulares
 Casos en los que no existe suficiente material
dentario para el tamaño de los huesos
basales
 Casos en los que hay agenesia de dientes
 Incisivos laterales maxilares
 Segundos premolares mandibulares, cuando los
primeros tienen forma de canino
 Caninos maxilares ó mandibulares
 Casos en los que no existe suficiente material
dentario para el tamaño de los huesos
basales
 Casos en los que la estructura dentaria es
pobre y la anatomía dentaria poco marcada
 Casos con asimetría facial notable
 Mordidas abiertas esqueletales a causa de la
configuración de la mandíbula
 Casos severos de clase II
 En pacientes que han pasado la fase de
crecimiento puberal
 Discrepancias esqueletales verdaderas
 Casos de clase II división 2 en adultos
 Clases III
 Clases III verdaderas
 Clases III funcionales
Prescripción de Roth
Prescripción de Roth
 Los dientes tienden a recidivar al quitar
aparatos.
 Contrainclinación, contrarotación, contratorque
y la ruptura de la curva de Spee son aplicados al
SWA original.
 Es necesario dar un sobretratamiento
Prescripción maxilar
 Incisivos con torque de 5° de más
 Caninos con 2° de más de inclinación distal y 2° de
rotación mesial
 Premolares y molares con inclinación distal de 0° (
aumenta la capacidad de anclaje )
 Premolares con 2° de rotación mesial
 Molares con 14° de rotación distal
 Molares con 5° de más de torque bucal
Prescripción mandibular
 Caninos con 7° de inclinación mesial y 2° de
rotación distal.
 Premolares y molares con 3° más de lo
normal de inclinación distal y 4° de rotación
distal.
Prescripción de Roth
1
2
3
4
5
6
7
+12 +5 0
+8 +9 0
-2 +13 4m
-7 0 2d
-7 0 2d
-14 0 14d
-14 0 14d
Torque
grados
Tip
grados
Maxilar
Rotación
grados
1
2
3
4
5
6
7
Prescripción de Roth
Torque
grados
Tip
grados
-1 +2 0
-1 +2 0
-11 +7 2m
-17 3 4d
-22 3 4d
-30 -1 4d
-30 -1 4d
Mandíbula
Rotación
grados
Prescripción de Roth
1
2
3
4
5
6
7
+12 +5 0
+17 +5 0
+8 +9 0
-2 +13 4m
-2 +9 4m
-7 0 2d
-7 0 2d
-14 0 14d
-14 0 0
-14 0 14d
-14 0 0
Torque
grados
Tip
grados
Maxilar
Rotación
grados
Diferencia en torque
Maxilar
Central Lateral Canino 1er.
Premolar
2o.
premolar
1er.
molar
2o.
molar
ARO 7 3 -7 -7 -7 -9 -9
Roth 12
17
8 -2 -7 -7 -14 -14
MBT 17 10 -7 -7 -7 -14 -14
Damon 12
17
7
8
10
3
0
7
-7 -7 -9 -9
Diferencia en torque
Mandíbula
Central Lateral Canino 1er.
premolar
2o.
premolar
1er.
molar
2o.
molar
ARO -1 -1 -11 -17 -22 -30 -35
Roth -1 -1 -11 -17 -22 -30 -30
MBT -6 -6 -6 -12 -17 -20 -10
Damon -1
-6
-1
-6
0
7
-12 -17 -30 -10
Diferencia en angulación
Maxilar
Central Lateral Canino 1er.
premolar
2o.
premolar
1er.
molar
2o.
molar
ARO 5 9 11 2 2 5 5
Roth 5 9 13
9
0 0 0 0
MBT 4 8 8 0 0 0 0
Damon 5 9 6 2 2 0 0
Diferencia en angulación
Mandíbula
Central Lateral Canino 1er.
premolar
2o.
premolar
1er.
molar
2o.
molar
ARO 2 2 5 2 2 2 2
Roth 2 2 7 3 3 -1 -1
MBT 0 0 3 2 2 0 0
Damon 2 2 5 2 2 2 0
Tubos bucales
 Primeros molares
superiores
 Tubo triple convertible
con tubo auxiliar .045”
 Tubo doble convertible
con tubo auxiliar .045”
 Tubo doble convertible
conTubo auxiliar
.022x.028”
 Tubo sencillo
convertible
Tubos bucales
 Segundos molares
superiores
 Tubo sencillo
Tubos bucales
 Primeros molares
inferiores
 Tubo doble convertible
con tubo auxiliar
.022x.028”
 Tubo doble convertible
con tubo auxiliar .045”
 Tubo sencillo
convertible
Tubos bucales
 Segundos molares
inferiores
 Tubo sencillo
convertible
 Tubo sencillo
 Ronald H. Roth y
RobertWilliams
sugieren la utilización
de braquets Ovation de
GAC
Arcos de alambre
 La forma de arco maxilar y
mandibular están diseñadas
para coordinar la dentición
superior e inferior
Forma de arcos
 Los arcos tienen cuatro componentes
principales
 Curvatura anterior
 Distancia intercanina
 Curvatura posterior
 Distancia intermolar
Selección de arcos
 La curvatura anterior es determinada
primordialmente por la distancia
intercuspidea de los caninos.
 Distancia intercuspídea pequeña, curvatura más
punteaguda.
 Distancia intercuspídea grande, curvatura más
amplia.
 La distancia intercanina es el aspecto más
importante en la selección de los arcos.
Formas de arcos
 Chico
 Grande
 Mediano
 Para seleccionar se usa la
plantilla sobre el modelo
inferior, dándonos un rango
de 6 mm. de diferencia entre
las distintas distancias
intercuspídeas.
Chico
Grande
Mediano
Colocación de brackets y
tubos
 La colocación de braquets se basa en el largo
de la corona clínica
Eje facial ( EF )
 Es la principal cresta
desarrollada en la mitad de
las superficies vestibulares
de los incisivos, caninos y
premolares; en los
molares, en la cúspide
mesiovestibular en su
extensión gingival.
Centro vertical de la corona
 Molares: Nace en la
cúspide mesiovestibular a
la mitad de la corona
 Premolares: A la altura
vertical del contorno en el
eje longitudinal de la
corona
 Caninos e incisivos:
Verticalmente en la mitad
de la corona
Plano de Andrews
 Si se une el punto del eje facial de cada corona
se forma el plano de Andrews
Colocación ideal de brackets
 Los braquets deben colocarse en la
mitad de las coronas anatómicas
oclusogingival e incisogingival con la
excepción de los incisivos laterales
superiores y los seis anteriores inferiores.
Ronald H. Roth
 En incisivos centrales y caninos superiores, los
brackets deben colocarse en el centro vertical de
las coronas, centrados y paralelos al el eje
longitudinal.
 En los incisivos laterales superiores, los
brackets deben colocarse 0.5 mm incisal del
centro vertical de las coronas
 En los seis dientes inferiores anteriores, los
brackets deben estar 1 mm incisal del centro
vertical de las coronas ( Si el diente es muy
grande a 1.5 mm ).
COLOCACION IDEAL DEL DR. ROTH
SUPERIOR
INFERIOR
 En los dientes posteriores, los brackets se
colocaran verticalmente en la mitad de las
coronas ( centrado y paralelo en el eje
longitudinal de la corona)
 En los molares, los
tubos se colocaran
verticalmente en el
centro vertical de la
corona)
 En los molares, los
tubos se colocaran
verticalmente en el
centro vertical de la
corona). La parte
mesial del tubo
quedará sobre el eje
facial del molar que
parte de la cúspíde
mesiovestibular
Errores referidos a la
colocación del bracket
basándose en el largo de la
corona
Richard Mc.Laughlin ( Sistema MBT)
 Variaciones gingivales provocadas por
dientes parcialmente erupcionados, raices
desplazadas hacia palatino, inflamaciones
gingivales.
 Dientes con desplazamiento radicular palatal
ó lingual.
 Coronas clínicas proporcionalmente largas ó
cortas generalmente entre incisivos centrales y
laterales.
 Fracturas incisales u oclusales.
 Dientes con cúspides afiladas y puntiagudas o
desgastadas.
POSICIÓN DE BRACKETS Y
TUBOS
Richard Mc.Laughlin ( Sistema MBT)
Paso 1
 Medir la altura de las coronas clínicas en todos
los dientes totalmente erupcionados sobre los
modelos de estudio.
Paso 2
Dividir la medida a la mitad y redondearla lo
más cercano a .5 mm para obtener la
medida desde las superficies incisales u
oclusales al centro de las coronas clínicas
Paso 3
 La hilera sobre la plantilla de colocación de
braquets que tenga el mayor número de
registros es selecionada para colocar los
braquets.
Paso 4
• Los braquets son colocados sobre el eje
axial de la corona clínica como referencia
vertical y el estimado centro de la corona
clínica como referencia horizontal
 De acuerdo a los autores de la técnica MVT, se
ha experimentado una reducción del 50 al 60 %
en la necesidad de reposición de brackets
durante el tratamiento.
A
B
C
D
E
A
B
C
D
E
2.0
2.0
2.0
2.0
2.0
3.5
3.0
2.5
2.0
2.0
4.0
3.5
3.0
2.5
2.0
3.5
3.0
2.5
2.0
2.0
5.0
4.5
4.0
3.5
3.0
4.5
4.0
3.5
3.0
2.5
5.5
5.0
4.5
4.0
3.5
5.0
4.5
4.0
3.5
3.0
6.0
5.5
5.0
4.5
4.0
5.5
5.0
4.5
4.0
3.5
5.5
5.0
4.5
4.0
3.5
5.0
4.5
4.0
3.5
3.0
6.0
5.5
5.0
4.5
4.0
5.0
4.5
4.0
3.5
3.0
+1.0mm
+0.5mm
Promedio
-0.5mm
-1.0mm
+1.0mm
+0.5mm
Promedio
-0.5mm
-1.0mm
U7 U6 U5 U4 U3 U2 U1 Arco superior
L7 L6 L5 L4 L3 L2 L1 Arco inferior
Estudio de efectividad en
colocación de brackets
Robles E., Guzmán I., ULA 2001
60
65
70
75
80
22 23.33 25.33
Roth Alexander MBT
68.75%
72.91%
79.16%
%
No. de contactos (32 ideales)
Eficiencia
Eficiencia
Ockeson establece que en una oclusión ideal clase I deben
existir 32 puntos de contacto de primer molar a primer molar
Selección de la mecánica del
tratamiento
 Crecimiento
 Cooperación del paciente
 Rango de movimiento dental
 Respuesta del tipo facial a la mecánica
Tipos de alambre
 Ligero ( diámetro pequeño )
 Flexible ( trenzado, nitinol,TMA )
 Térmico ( Copper Ni-Ti )
 Resilente ( elgiloy pretratado )
 Rígido ( Diámetro mayor de acero
inoxidable, Australiano )
Secuencia de arcos
Tamaños chico, mediano y grande
Secuencia de arcos
 de alineación ó nivelación
 de cierre de espacios
 de renivelación
 De paralelización de raíces
 de consolidación
 de asentamiento oclusal
Tamaños chico, mediano y grande
Niquel-titanio
 .014
 .016
 .018
 Sentaloy de GAC sugerido
 .016 x .016
 .016 x .022
 .017 x .025
 .018 x .018
 .018 x .025
 .019 x .025
 .020 x .020
 .021 x .028
 Neosentaloy de GAC
sugerido
Tamaños chico, mediano y grande
Cooper-niquel-titanio
 .016 x .016
 .016 x .022
 .018 x .018
 .018 x .025
 .019 x .025
 .020 x .020
 .021 x .028
 Bioforce with ionguard
low friction de GAC
sugerido
Tamaños chico, mediano y grande
Acero inoxidable
 .014
 .016
 .018
 .016 x .022
 .017 x .025
 .018 x .018
 .018 x .025
 .019 x .025
 .020 x .020
 .021 x .025
Tamaños chico, mediano y grande
Arcos para la etapa inicial del
tratamiento
 Alambres de diámetro
pequeño
 Alambres exóticos
(Nitinol, Copper Ni-Ti)
Arcos para la etapa intermedia
de tratamiento
 Arcos de acero
inoxidable
rectangulares
continuos
 Arcos de acero
inoxidable de doble
llave (Double
Keyholed looped
(DKL))
Double Keyholed looped (DKL) en .019 x .025
 Maxilar
 34 mm
 36 mm
 38 mm
 40 mm
 42 mm
 44 mm
 Mandíbula
 22 mm
 24 mm
 26 mm
 28 mm
 30 mm
 32 mm
GAC
Renivelación y paralelización
de raices
 Arcos rectangulares Nitinol ó Copper-Ni-Ti
 Arcos rectangulares de acero inoxidable .017 x
.025, .019 x .025 ó .021 x .025
 Recolocación de braquets con .016 x .016, .016 x
.022, ó .018 x .025 Nitinol ó Copper Ni-Ti.
Etapa final
 Arcos ligeros de nitinol
ó trensado rectangular (
Braided ) .019 x .025 con
elásticos verticales
cortos.
Fases del tratamiento
dependiendo la dentición
 Fase 1
 Dentición mixta
 Fase 2
 Dentición permanente
Fases del tratamiento
dependiendo la dentición
 Fase 1
 Dentición mixta
 Fase 2
 Dentición permanente
BIOMECÁNICA EN UN
TRATAMIENTO CLÁSICO SIN
EXTRACCIONES
Técnica de Roth
Objetivos
 Alinear y nivelar los arcos dentarios
 Obtener el encastrado completo de los arcos
desde un .014 nitinol hasta un .019 x .025 mínimo.
 Los movimientos dentarios que se realizan son
generalmente individuales
 Los movimientos dentarios que se realizan son
generalmente coronales en las fases iniciales e
intermedias
Arco transpalatino de
Goshgarian
 Expansión
 Distalización
 Rotación
 Anclaje
 Intrusión
 Torque
 Mas del 80% de todas las maloclusiones
tienen molares superiores mesialmente
rotados
 En casos de no extracciones las barras
transpalatinas son usadas para rotar y/o
distalar primeros y segundos molares para
obtener una lectura más exacta de la relación
sagital.
Dr. Norman M. Cetlin
Arco transpalatino con omega
mesial
 Pacientes
dolicofaciales
 Cierre de mordidas
(control de anclaje)
 Se pueden usar en 1os.
Y 2os. Molares
Arco transpalatino con omega
distal
 Pacientes braquifaciales
 Anclaje (como prioridad)
 Se recomienda usar solamente en
1os. Molares
Colocación de brackets
 Según técnica
Fases
1. Nivelación y alineación inicial
2. Coordinación
 Movimientos de 2° y 3er. orden ligeros
3. Consolidación y estabilización
4. Asentamiento oclusal
Fase I
 Nivelación y alineación inicial
 .014” nitinol
 .016” nitinol
 .016” ss
 .018” ss
Fase II
Movimientos mayores individuales (sagital,
transversal y vertical)
 Coordinación
 Simetría de anchura de arcos oseodentales
 Corrección de mordida cruzada
 Corrección de sobremordida vertical y horizontal
 Distalización
Fase II
Movimientos mayores individuales (sagital,
transversal y vertical)
 Coordinación
 Simetría de anchura de arcos oseodentales
 Corrección de mordida cruzada
 Corrección de sobremordida vertical y horizontal
 Distalización
Fase II
Movimientos mayores individuales
(sagital, transversal y vertical)
 Coordinación
 Simetría de anchura de arcos oseodentales
 Corrección de mordida cruzada
 Corrección de sobremordida vertical y horizontal
 Distalización
Distalización
 Anclaje Extraoral
 Anclaje intramaxilar
 Anclaje intermaxilar
Distalización
 Anclaje Extraoral
 Anclaje intramaxilar
 Anclaje intermaxilar
Distalización
 Anclaje Extraoral
 Anclaje intramaxilar
 Anclaje intermaxilar
Péndulo
First class
Distalización
 Anclaje Extraoral
 Anclaje intramaxilar
 Anclaje intermaxilar
Distalizador de Carriere
La unión entre las dos piezas simula a la articulación de la cadera humana
Modificación arco “N”
Fase II
 Movimientos de 2o. y 3er. orden ligeros
 .016 x .016 nitinol
 .016 x .016 acero inoxidable
 .016 x .022 nitinol
 .016 x .022 acero inoxidable
 .017 x .025 nitinol
 .017 x .025 acero inoxidable
Fase III
 Consolidación y estabilización
 Optimizar la sobrecorrección individual
dentaria y de los segmentos de acuerdo a los
objetivos
Fase III
 Consolidación y estabilización
 Manifestación completa del sistema
 Acero inoxidable
 .018 x .025
 .019 x .025
 .021 x .025
 Si es necesario se podrán utilizar arcos .018 x .025, .019 x
.025 y .021 x .028 nitinol
Fase III
 Consolidación y estabilización
 Optimizar la sobrecorrección individual dentaria
y de los segmentos de acuerdo a los objetivos
 Si hay necesidad de paralelizar raíces, reposicionar el
ó los braquets y colocar arco .016 x .022” ó .018 x .025”
Nitinol ó Copper Niti.
 Se recomienda bloquear con ligadura metálica de
molar a molar
Fase IV
 Asentamiento oclusal
 Arcos ligeros
 .019 x .025” trensado rectangular (Braided) con
elásticos verticales cortos (vector II, III ó neutro)
 Sección de arcos con elásticos verticales cortos
(vector II, III ó neutro)
Finalización del tratamiento
 Ajuste oclusal
 En relación céntrica
 En protusiva (guía anterior)
 En movimientos laterales (protección canina ó en
su defecto función de grupo)
Bioforce
 Produce fuerzas
óptimas y biológicas
para mover los dientes
tanto anteriores como
posteriores
Bioforce. Fuerza ideal
 Da fuerzas que
aumentan
gradualmente desde
80 gr. en zona de
centrales hasta 320 gr.
en zona de molares
 Los dientes anteriores
reciben 3 veces más de
la fuerza necesaria
Bioforce Cu-Niti
Bioforce. Eficiencia
 Debido a este
incremento gradual en
la fuerza, no es
necesario seguir una
secuencia de arcos
para lograr los
movimientos dentarios
necesarios
 Solo está disponible en
arcos cuadrados y
rectangulares
 Al tener una sola fuerza
por arco es necesario
seguir una secuencia
de arcos para lograr
los movimientos
dentarios necesarios
Bioforce Cu-Niti
Bioforce. Desempeño
 Con la aplicación de
Ortho Ice o Polar bear
pencil, el arco se vuelve
muy maleable y
permite introducirse en
la áreas mas apiñadas
Bioforce. Fricción
 With ion guard reduce
la fricción.
 Un arco Cu-niti
no tratado produce
78 % más de fricción.
Biomecánica
Fase I
 Nivelación y alineación inicial
 .014” niti
Fase II
 Movimientos de 2º.Y 3er. Orden
 018 x .025” Bioforce
Fase III
 Consolidación y estabilización
 Optimizar la sobrecorrección individual
dentaria y de los segmentos de acuerdo a los
objetivos
Fase III
 Consolidación y estabilización
 Manifestación completa del sistema
 Acero inoxidable
 .019 x .025
 .021 x .025
Fase III
 Consolidación y estabilización
 Optimizar la sobrecorrección individual dentaria
y de los segmentos de acuerdo a los objetivos
 Si hay necesidad de paralelizar raíces, reposicionar el
ó los braquets y colocar arco .016 x .022” ó .018 x .025”
Nitinol ó Copper Niti.
 Se recomienda bloquear con ligadura metálica de
molar a molar
Fase IV
 Asentamiento oclusal
 Arcos ligeros
 .019 x .025” trensado rectangular (Braided) con
elásticos verticales cortos (vector II, III ó neutro)
 Sección de arcos con elásticos verticales cortos
(vector II, III ó neutro)
Finalización del tratamiento
 Ajuste oclusal
 En relación céntrica
 En protusiva (guía anterior)
 En movimientos laterales (protección canina ó en
su defecto función de grupo)
Biomecánica en un tratamiento
clásico con extracción de 4
primeros premolares
• Técnica de Roth
Técnica de deslizamiento y
técnica de no deslizamiento
Técnica de deslizamiento y
técnica de no deslizamiento
 Fricción
Técnica de deslizamiento y
técnica de no deslizamiento
 Fricción
 Control de anclaje
Técnica de deslizamiento y
técnica de no deslizamiento
 Fricción
 Control de anclaje
 Control de movimiento
Objetivos
 Realizar todos los movimientos de grupo en sentido
sagital, transversal y vertical con arcos doble llave,
(Double Keyholed looped (DKL))
 Coordinar el ancho y simetría de los arcos (corregir problemas
transversales)
 Corregir overbite y después overjet
 Retraer los dientes anteriores protuidos
 Mesializar premolares y molares ó prevenir su migración
 Corregir clase II ó clase III
 Cerrar espacios remanentes de las extracciones
 Los movimientos son generalmente traslación e inclinación y/ó
torque radicular
Anclaje
Anclaje
 Propio del sistema
Anclaje
 Propio del sistema
 Tipping 0° de premolares y molares maxilares
 Torque negativo y rotación distal en premolares y
molares mandibulares
Sistema Roth
 ¿Es necesario reforzar el anclaje?
Superficies radiculares expuestas al
movimiento dentario en el cierre de espacios
en la arcada inferior
Superficies enfrentadas a movimientos anteroposteriores
1.00 1.10 1.10 0.75 0.25 0.25
Superficies radiculares expuestas al
movimiento dentario en el cierre de espacios
en la arcada inferior
 Disposición geométrica
de las piezas en la
arcada y su incidencia
en la resistencia que
oponen al movimiento
 ArcoTranspalatal si se requiere reforzar
control de rotación de molares
 Si se requiere refuerzo de anclaje deberá
colocarse en la fase II-2
Colocación de brackets
 Según técnica
Fases
1. Nivelación y alineación inicial
2. Coordinación
 Movimientos de 2° y 3er. orden
 Retracción de segmento anterior y cierre de
espacios
3. Consolidación y estabilización
4. Asentamiento oclusal
Fase I
Fase I
 Nivelación y alineación inicial
 .014” nitinol
 .016” nitinol
 .016” ss
 .018” ss
 Cinchar los arcos (?¿).
 En casos donde la mordida esté abierta ó
tienda a abrirse en la nivelación podremos
bandear los segundos molares hasta la fase II.
Fase II
Fase II
Movimientos mayores individuales y en grupo
(sagital, transversal y vertical)
 Coordinación
 Simetría de anchura de arcos oseodentales
 Corrección de mordida cruzada
 Corrección de sobremordida vertical y horizontal
 Distalización
Fase II-1
 Movimientos de segundo y tercer orden
 Formación de tres bloques por arcada
 Un anterior de canino a canino
 Dos posteriores, derecho e izquierdo de molares y premolares
 .016 x .016” Nitinol
 .016 x .016” Acero inoxidable.
 .016 x .022” Nitinol
 .016 x .022” Acero inoxidable
 .017 x .025” Nitinol
 .017 x .025” Acero inoxidable
 .018 x .025” Nitinol
 .019 x .025” Acero inoxidable
Fase II-2
 Retracción de segmento anterior
 Cierre de espacios remanentes
Fase II-2. Refuerzo de
anclaje
Fase II-2. Refuerzo de
anclaje
 Arco transpalatal
 Microimplantes ó microtornillos ortodónticos
Fase II-2. Refuerzo de
anclaje
 Arco transpalatal
 Omega distal
Fase II-2. Refuerzo de
anclaje
 Microimplantes ó microtornillos ortodónticos
Fase II-2. Refuerzo de
anclaje
 Microimplantes ó microtornillos ortodónticos
 Tipo de anclaje esquelético real
Fase II-2. Refuerzo de
anclaje
 Microimplantes ó microtornillos ortodónticos
 Composición
Cabeza
Porción
endoósea
Cuello
intramucoso
Fase II-2. Refuerzo de
anclaje
 Microimplantes ó microtornillos ortodónticos
 Tamaño
 1.2 mm de diámetro
 6 a 12 mm. de longitud
 La elección del microtornillo depende del lugar de la
colocación y de la calidad del hueso
Fase II-2. Refuerzo de
anclaje
 Microimplantes ó microtornillos ortodónticos
 Composición
 Titanio aleación tipoV
 Biocompatible
 Es el más usado
 Acero ó de láctico glicólico
 Lentamente biodegradable
Fase II-2. Refuerzo de
anclaje
 Microimplantes ó microtornillos ortodónticos
 Requisitos
 Tamaño pequeño ( 6 a 12 mm )
 Biocompatibilidad
 Fácil manejo clínico
 Cicatrización rápida
Fase II-2. Refuerzo de
anclaje
 Microimplantes ó microtornillos ortodónticos
 Zonas de colocación
 Maxilar
 Espacio interradicular vestibular
 Espacio interradicular palatino
 Tuberosidad del maxilar
 Superficie inferior de la espina nasal anterior
 Zonas edéntulas
Fase II-2. Refuerzo de
anclaje
 Microimplantes ó microtornillos ortodónticos
 Zonas de colocación
 Mandíbula
 Espacio interadicular vestibular
 Trígono retromolar
 Lateralmente en la sínfisis mentoniana
 Zonas edéntulas
Fase II-2. Refuerzo de
anclaje
 Microimplantes ó microtornillos ortodónticos
 Aplicación de fuerzas
 Carga inmediata si la fuerza es menor a 150 gr
 Se recomienda cargar de 2 a 3 semanas después de
la colocación del microtornillo para dar tiempo a la
cicatrización de los tejidos
Fase II-2. Refuerzo de
anclaje
 Microimplantes ó microtornillos ortodónticos
 Aplicación de fuerzas
 Retracción de segmento anterior: 150-200 gr
 Intrusión: 15-25 gr
 Rotación y extrusión: 30-60 gr
Fase II-2. Refuerzo de
anclaje
 Microimplantes ó microtornillos ortodónticos
 Técnica
 Valorar tamaño y grosor del microtornillo
Fase II-2. Refuerzo de
anclaje
 Microimplantes ó microtornillos ortodónticos
 Técnica
 Prueba para la colocación del microtornillo
Fase II-2. Refuerzo de
anclaje
 Microimplantes ó microtornillos ortodónticos
 Técnica
 Construcción de la guía quirúrgica
Fase II-2. Refuerzo de
anclaje
 Microimplantes ó microtornillos ortodónticos
 Técnica
 Toma radiográfica con guía quirúrgica
Fase II-2. Refuerzo de
anclaje
 Microimplantes ó microtornillos ortodónticos
 Infiltración de anestesia local en la zona de
inserción del tornillo
Fase II-2. Refuerzo de
anclaje
 Microimplantes ó microtornillos ortodónticos
 Colocación de la guía quirúrgica
Fase II-2. Refuerzo de
anclaje
 Microimplantes ó microtornillos ortodónticos
 Colocación de la guía quirúrgica
Fase II-2. Refuerzo de
anclaje
 Microimplantes ó microtornillos ortodónticos
 Colocación del microtornillo
Fase II-2. Refuerzo de
anclaje
 Microimplantes ó microtornillos ortodónticos
 Clorhexidina en la zona que rodea al microtornillo
Fase II-2. Refuerzo de
anclaje
 Microimplantes ó microtornillos ortodónticos
 Corroboración radiográfica de la colocación del
microtornillo
Fase II-2. Refuerzo de
anclaje
 Microimplantes ó microtornillos ortodónticos
 Contraindicaciones
 Patologías médicas debilitantes como neoplasias o
diabetes
 Falta de retención por cortical delgada
 Pacientes en crecimiento
 Mala higiene oral
 Enfermedad periodontal no controlada
Fase II-2. Refuerzo de
anclaje
 Microimplantes ó microtornillos ortodónticos
 Complicaciones
 Inadecuada estabilidad primaria
 Movilidad tardía
 Comunicación del microtornillo con el ligamento
periodontal
 Comunicación del microtornillo con la raíz
 Lesión del tejido blando
Fase II-2. Refuerzo de
anclaje
 Microimplantes ó microtornillos ortodónticos
 Complicaciones
 Infección
 Movilidad ó pérdida del microtornillo
Fase II-2
 Retracción de segmento anterior
 .019 x .025”, Double Keyholed looped (DKL) de
acero inoxidable
 1a. Cita no activar el arco
 Recomendable activar con ligadura de Susuky del
hook del 6 ó del 7 a la llave distal ya activada
 Si se colocaron microtornillos ó microimplantes
ortodónticos, colocar la ligadura de Susuky del
microtornillo a la llave distal ya activada
 Activación cada 4 a 6 semanas
Fase II-2
 Cierre de espacios remanentes
 Eliminar cantos distal a la 2a. llave del arco DKL
 Bloquear segmento anterior de 3-3
 Activar arco DKL
Fase II-2
 Cierre de espacios remanentes
 Eliminar cantos distal a la 2a. llave del arco DKL
 Bloquear segmento anterior de 3-3
 Activar arco DKL a premolares
Fase II-2
 Cierre de espacios remanentes
 Bloquear segmento anterior de 3-3
 Cadena elástica de segundo premolar a la segunda
llave
 Interfase (si es necesario)
 Renivelación
 .018 x .025” ó .019 x .025” Nitinol
Fase III
 Consolidación y estabilización
 Manifestación completa del sistema
 Acero inoxidable
 .019 x .025
 .021 x .025
Fase III
 Control vertical
 Arco transpalatino bajo
Fase III
 Optimizar la sobrecorrección individual
dentaria y de los segmentos de acuerdo a los
objetivos
 Si hay necesidad de paralelizar raíces, reposicionar
el ó los braquets y colocar arco .016 x .022” ó .018 x
.025” Nitinol ó Copper Ni-ti bloqueando con ligadura
metálica los dientes que no se van a corregir.
Fase IV
 Asentamiento oclusal
 Arcos ligeros
 .019 x .025” trensado rectangular (Braided) con
elásticos verticales cortos (vector II ó III)
 Sección de arcos con elásticos verticales cortos
(vector II ó III)
Finalización del tratamiento
 Ajuste oclusal
 En relación céntrica
 En protusiva (guía anterior)
 En movimientos laterales (protección canina ó en
su defecto función de grupo)
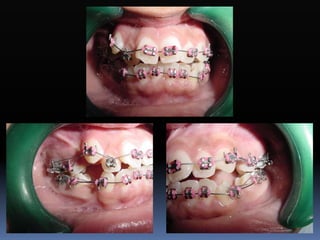
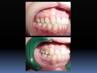
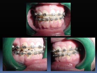
Arco recto

Arco recto

  • 1.
    APARATOS PREAJUSTADOS Basado enSWA del Dr. Laurence F. Andrews
  • 2.
    Estudio  120 noortodónticos ideales  1150 tratados ortodónticamente  Encontró inconsistencias
  • 3.
    6 Llaves dela oclusión normal de Andrews  Relación molar  Angulación de la corona (Tip )  Inclinación de la corona (Torque )  Rotación ( No debe haber rotaciones )  Espacios ( No debe haber espacios; los puntos de contacto deben ser continuos)  Plano oclusal ( pudiendo ir desde recto hasta ligera curva de Spee)
  • 4.
    Relación molar 1, 2y 3. Relación inadecuada. 4 Relación adecuada
  • 5.
    Angulación de lacorona El eje axial de la corona se mide a partir de 90° al plano oclusal
  • 6.
    Inclinación de lacorona La inclinación de la corona se mide a partir de 90°al plano oclusal.
  • 7.
    Rotación Una rotación molarocupa mas espacio mesiodistal provocando una situación de mala relación de oclusión normal
  • 8.
  • 9.
    Plano oclusal Una curvade Spee profunda resulta en un área restringida para los dientes superiores. Un plano oclusal recto es más receptivo a la oclusión normal Una curva de Spee inversa resulta en un área excesiva para los dientes superiores
  • 10.
    Características de latécnica de arco recto (SWA)  Colocar a los dientes en una posición ideal a través de arcos rectos que llenen el slot del braquet, dando al mismo tiempo inclinación, torsión, rotación y posición in-out dentro del plano oclusal.
  • 11.
    Ventajas de latécnica de arco recto  Fácil elaboración de los arcos rectos puesto que no es necesario doblarlos para formar curvas de compensación, no importando la medida del alambre  No se necesita una gran distancia interbraquet para reducir el nivel de fuerza  Fácil colocación del arco recto cuándo todos los dientes se encuentran en su posición ideal, ya que el slot de los braquets quedan paralelos al plano oclusal
  • 12.
    Ventajas de latécnica de arco recto  Menos giroversiones  Mejor control de las posiciones dentarias gracias a los braquets y no a los arcos; las posiciones dentarias son mejor controladas y autolimitadas  Mejores y consistentes resultados en corto tiempo
  • 13.
    Ventajas de latécnica de arco recto  Confort de los pacientes al utilizar arcos rectangulares que le facilitan la adaptación al Ortodoncista y proporcionan un menor juego de los dientes durante el tratamiento  Completo cierre del espacio en caso de extracciones y de no extracciones  Fácil de ligar  Fácil identificación de los braquets  Fácil y exacta colocación de los braquets
  • 14.
    FILOSOFÍA DE ROTH BasadaenTécnica Stright wireAppliance de Andrews ( SWA )
  • 15.
    SWA por Roth Inicia en 1970  Braquets de la serie de extracciones de SWA deAndrews  Mejor deslizamiento de los dientes a lo largo del arco rectangular  mejor contrainclinación  mejor contrarotación  Mayor estabilidad
  • 16.
    Beneficios de latécnica de Roth  Acortamiento del tiempo de tratamiento  Resultados mejores y más consistentes  Menor tiempo en silla del consultorio
  • 17.
    Fundamentos de lafilosofía de Roth  La posición final de los dientes debe de encontrarse en una relación céntrica mutuamente protegida por la oclusión y la eliminación de interferencias oclusales Ronald H. Roth
  • 18.
    Fundamentos de lafilosofía de Roth  Concepto de posición mandibular – Relación céntrica  Articulador semiajustable en Ortodoncia  API ( indicador de posición axial )
  • 19.
    Fundamentos de lafilosofía de Roth  Concepto de posición mandibular – Relación céntrica  Articulador semiajustable en Ortodoncia  API ( indicador de posición axial )
  • 20.
    Fundamentos de lafilosofía de Roth  Concepto de posición mandibular – Relación céntrica  Articulador semiajustable en Ortodoncia  API ( indicador de posición axial )
  • 21.
     Solo desdeuna posición estable mandibular obtenida por una férula podremos realizar un correcto diagnóstico de la maloclusión Ronald H. Roth
  • 22.
    Importancia de laR. C.  Separar ó desocluir los dientes en excursiones  Desocluir para prevenir parafunción ó atricción  Proteger el periodonto de las fuerzas laterales (función de la guía canina)  Para mantener la estabilidad del complejo disco-condilar
  • 23.
    Importancia de laR. C.  Separar ó desocluir los dientes en excursiones  Desocluir para prevenir parafunción ó atricción  Proteger el periodonto de las fuerzas laterales (función de la guía canina)  Para mantener la estabilidad del complejo disco-condilar
  • 26.
    Importancia de laR. C.  Separar ó desocluir los dientes en excursiones  Desocluir para prevenir parafunción ó atricción  Proteger el periodonto de las fuerzas laterales (función de la guía canina)  Para mantener la estabilidad del complejo disco-condilar
  • 28.
    Importancia de laR. C.  Separar ó desocluir los dientes en excursiones  Desocluir para prevenir parafunción ó atricción  Proteger el periodonto de las fuerzas laterales (función de la guía canina)  Para mantener la estabilidad del complejo disco-condilar
  • 30.
    Importancia de laR. C.  Separar ó desocluir los dientes en excursiones  Desocluir para prevenir parafunción ó atricción  Proteger el periodonto de las fuerzas laterales (función de la guía canina)  Para mantener la estabilidad del complejo disco-condilar
  • 31.
  • 32.
  • 33.
    Distracción condilar  Enel plano sagital  En el plano transversal
  • 34.
    Distracción condilar  Enel plano sagital  En el plano transversal
  • 35.
    Distraccion condilar  Posiciónhacia abajo y hacia atrás que adquiere el cóndilo dentro de la cavidad glenoidea producto de la rotación mandibular provocada por interferencias oclusales
  • 38.
    Inestabilidad de laposición mandibular Inestabilidad de la oclusión posterior Inestabilidad del alineamiento anterior Distraccion condilar
  • 39.
    Distracción condilar  Enel plano sagital  En el plano transversal
  • 40.
    Estudio de latrayectoria de cierre entre la posición de reposo postural y la oclusión en el plano transversal  Anomalías provocadas por:  Lateroclusión  Laterognasia
  • 42.
  • 43.
    Desprogramación  Obtensión detentativa de céntrica  Montaje en articulador  Férula de miorelajación
  • 44.
    Desprogramación  Obtensión detentativa de céntrica  Montaje en articulador  Férula de miorelajación
  • 45.
  • 46.
    OBTENCIÓN DE TENTATIVADE CÉNTRICA MANIPULACIÓN Y COLOCACIÓN DEL TOPE ANTERIOR
  • 47.
    OBTENCIÓN DE TENTATIVADE CÉNTRICA MANIPULACIÓN Y COLOCACIÓN DEL TOPE ANTERIOR
  • 48.
  • 49.
  • 50.
    Desprogramación  Obtensión detentativa de céntrica  Montaje en articulador  Férula de miorelajación
  • 51.
    Articulador con axiógrafo( eje de bisagra verdadero ) •Panadent
  • 52.
    Desprogramación  Obtensión detentativa de céntrica  Montaje en articulador  Férula de miorelajación
  • 53.
    Desprogramación  Obtensión detentativa de céntrica  Montaje en articulador  Férula de miorelajación  Debe ser plana siempre dejando un punto por diente  Al ir desprogramándose la mandíbula, se van perdiendo algunos puntos, por lo que se debe estar ajustando la férula  Al mantener con la cantidad de puntos totales, se ha terminado la desprogramación, logrando la estabilidad mandibular
  • 59.
    Objetivos para obteneruna oclusión funcional ideal
  • 60.
    Objetivos para obteneruna oclusión funcional ideal  La oclusión céntrica se ha de producir con la mandíbula en relación céntrica.
  • 61.
    Objetivos para obteneruna oclusión funcional ideal  La oclusión céntrica se ha de producir con la mandíbula en relación céntrica.  Esta oclusión en relación céntrica ha de tener contactos tripoideos de las cúspides céntricas con las fosas respectivas y topes oclusales más suaves en los dientes anteriores.
  • 63.
    Objetivos para obteneruna oclusión funcional ideal  La fuerza oclusal durante el cierre ha de ser de igual magnitud en todos los dientes posteriores, y la tensión ha de estar dirigida en la dirección de los ejes mayores de los dientes.
  • 64.
    Objetivos para obteneruna oclusión funcional ideal  La fuerza oclusal durante el cierre ha de ser de igual magnitud en todos los dientes posteriores, y la tensión ha de estar dirigida en la dirección de los ejes mayores de los dientes.  En ortodoncia el objetivo debe ser una relación de diente a dos dientes ó clase I tal como lo describió Angle.
  • 66.
    Objetivos para obteneruna oclusión funcional ideal  Ha de existir una sobremordida anterior mínima pero suficiente para conseguir una guía anterior de modo que en cualquier excursión fuera de la relación céntrica los dientes anteriores sean capaces de funcionar entre ellos en el rango completo de movimiento y sirvan para desocluir a los dientes posteriores.  Los dientes anteriores, por tanto, protegen a los dientes posteriores de tensiones laterales)
  • 68.
    Objetivos para obteneruna oclusión funcional ideal  En protusiva recta seis u ocho dientes anteriores articulan uniformemente ( los incisivos centrales superiores y los cuatro incisivos mandibulares ó los cuatro incisivos superores y los cuatro incisivos mandibulares) y los bicúspides y el resto de los dientes posteriores han de estar desocluidos.
  • 70.
    Objetivos para obteneruna oclusión funcional ideal  En protusiva recta seis dientes anteriores articulan uniformemente ( los incisivos centrales superiores y los cuatro incisivos mandibulares) y los bicúspides y el resto de los dientes posteriores han de estar desocluidos.  En las excursiones laterales los caninos maxilares han de actuar como planos guías para desocluir tanto los dientes del lado de balance como los dientes del lado de trabajo.
  • 72.
    Objetivos para obteneruna oclusión funcional ideal  La estructura dentaria, la posición de los dientes y la forma oclusal se han de correlacionar perfectamente con los movimientos límite de la mandíbula, incluyendo el movimiento de Bennett y el desplazamiento lateral inmediato, de modo que en cualquier excursión mandibular las cúspides siempre pasan a través de los surcos.
  • 73.
    Factores que evitanuna función ideal  Casos con discrepancia de tamaño dentario en los que hay:  Insuficiente tamaño dentario maxilar  Exceso de tamaño dentario mandibular  Una gran diferencia de tamaño entre los dientes del lado izquierdo y los del lado derecho
  • 76.
     Casos enlos que hay agenesia de dientes  Incisivos laterales maxilares  Segundos premolares mandibulares, cuando los primeros tienen forma de canino  Caninos maxilares ó mandibulares  Casos en los que no existe suficiente material dentario para el tamaño de los huesos basales
  • 79.
     Casos enlos que hay agenesia de dientes  Incisivos laterales maxilares  Segundos premolares mandibulares, cuando los primeros tienen forma de canino  Caninos maxilares ó mandibulares  Casos en los que no existe suficiente material dentario para el tamaño de los huesos basales
  • 83.
     Casos enlos que la estructura dentaria es pobre y la anatomía dentaria poco marcada  Casos con asimetría facial notable  Mordidas abiertas esqueletales a causa de la configuración de la mandíbula
  • 85.
     Casos severosde clase II  En pacientes que han pasado la fase de crecimiento puberal  Discrepancias esqueletales verdaderas  Casos de clase II división 2 en adultos  Clases III  Clases III verdaderas  Clases III funcionales
  • 86.
  • 87.
    Prescripción de Roth Los dientes tienden a recidivar al quitar aparatos.  Contrainclinación, contrarotación, contratorque y la ruptura de la curva de Spee son aplicados al SWA original.  Es necesario dar un sobretratamiento
  • 88.
    Prescripción maxilar  Incisivoscon torque de 5° de más  Caninos con 2° de más de inclinación distal y 2° de rotación mesial  Premolares y molares con inclinación distal de 0° ( aumenta la capacidad de anclaje )  Premolares con 2° de rotación mesial  Molares con 14° de rotación distal  Molares con 5° de más de torque bucal
  • 89.
    Prescripción mandibular  Caninoscon 7° de inclinación mesial y 2° de rotación distal.  Premolares y molares con 3° más de lo normal de inclinación distal y 4° de rotación distal.
  • 90.
    Prescripción de Roth 1 2 3 4 5 6 7 +12+5 0 +8 +9 0 -2 +13 4m -7 0 2d -7 0 2d -14 0 14d -14 0 14d Torque grados Tip grados Maxilar Rotación grados
  • 91.
    1 2 3 4 5 6 7 Prescripción de Roth Torque grados Tip grados -1+2 0 -1 +2 0 -11 +7 2m -17 3 4d -22 3 4d -30 -1 4d -30 -1 4d Mandíbula Rotación grados
  • 92.
    Prescripción de Roth 1 2 3 4 5 6 7 +12+5 0 +17 +5 0 +8 +9 0 -2 +13 4m -2 +9 4m -7 0 2d -7 0 2d -14 0 14d -14 0 0 -14 0 14d -14 0 0 Torque grados Tip grados Maxilar Rotación grados
  • 93.
    Diferencia en torque Maxilar CentralLateral Canino 1er. Premolar 2o. premolar 1er. molar 2o. molar ARO 7 3 -7 -7 -7 -9 -9 Roth 12 17 8 -2 -7 -7 -14 -14 MBT 17 10 -7 -7 -7 -14 -14 Damon 12 17 7 8 10 3 0 7 -7 -7 -9 -9
  • 94.
    Diferencia en torque Mandíbula CentralLateral Canino 1er. premolar 2o. premolar 1er. molar 2o. molar ARO -1 -1 -11 -17 -22 -30 -35 Roth -1 -1 -11 -17 -22 -30 -30 MBT -6 -6 -6 -12 -17 -20 -10 Damon -1 -6 -1 -6 0 7 -12 -17 -30 -10
  • 95.
    Diferencia en angulación Maxilar CentralLateral Canino 1er. premolar 2o. premolar 1er. molar 2o. molar ARO 5 9 11 2 2 5 5 Roth 5 9 13 9 0 0 0 0 MBT 4 8 8 0 0 0 0 Damon 5 9 6 2 2 0 0
  • 96.
    Diferencia en angulación Mandíbula CentralLateral Canino 1er. premolar 2o. premolar 1er. molar 2o. molar ARO 2 2 5 2 2 2 2 Roth 2 2 7 3 3 -1 -1 MBT 0 0 3 2 2 0 0 Damon 2 2 5 2 2 2 0
  • 97.
    Tubos bucales  Primerosmolares superiores  Tubo triple convertible con tubo auxiliar .045”  Tubo doble convertible con tubo auxiliar .045”  Tubo doble convertible conTubo auxiliar .022x.028”  Tubo sencillo convertible
  • 98.
    Tubos bucales  Segundosmolares superiores  Tubo sencillo
  • 99.
    Tubos bucales  Primerosmolares inferiores  Tubo doble convertible con tubo auxiliar .022x.028”  Tubo doble convertible con tubo auxiliar .045”  Tubo sencillo convertible
  • 100.
    Tubos bucales  Segundosmolares inferiores  Tubo sencillo convertible  Tubo sencillo
  • 101.
     Ronald H.Roth y RobertWilliams sugieren la utilización de braquets Ovation de GAC
  • 102.
    Arcos de alambre La forma de arco maxilar y mandibular están diseñadas para coordinar la dentición superior e inferior
  • 103.
    Forma de arcos Los arcos tienen cuatro componentes principales  Curvatura anterior  Distancia intercanina  Curvatura posterior  Distancia intermolar
  • 104.
    Selección de arcos La curvatura anterior es determinada primordialmente por la distancia intercuspidea de los caninos.  Distancia intercuspídea pequeña, curvatura más punteaguda.  Distancia intercuspídea grande, curvatura más amplia.  La distancia intercanina es el aspecto más importante en la selección de los arcos.
  • 105.
    Formas de arcos Chico  Grande  Mediano  Para seleccionar se usa la plantilla sobre el modelo inferior, dándonos un rango de 6 mm. de diferencia entre las distintas distancias intercuspídeas. Chico Grande Mediano
  • 106.
    Colocación de bracketsy tubos  La colocación de braquets se basa en el largo de la corona clínica
  • 107.
    Eje facial (EF )  Es la principal cresta desarrollada en la mitad de las superficies vestibulares de los incisivos, caninos y premolares; en los molares, en la cúspide mesiovestibular en su extensión gingival.
  • 108.
    Centro vertical dela corona  Molares: Nace en la cúspide mesiovestibular a la mitad de la corona  Premolares: A la altura vertical del contorno en el eje longitudinal de la corona  Caninos e incisivos: Verticalmente en la mitad de la corona
  • 109.
    Plano de Andrews Si se une el punto del eje facial de cada corona se forma el plano de Andrews
  • 110.
    Colocación ideal debrackets  Los braquets deben colocarse en la mitad de las coronas anatómicas oclusogingival e incisogingival con la excepción de los incisivos laterales superiores y los seis anteriores inferiores. Ronald H. Roth
  • 111.
     En incisivoscentrales y caninos superiores, los brackets deben colocarse en el centro vertical de las coronas, centrados y paralelos al el eje longitudinal.
  • 112.
     En losincisivos laterales superiores, los brackets deben colocarse 0.5 mm incisal del centro vertical de las coronas
  • 113.
     En losseis dientes inferiores anteriores, los brackets deben estar 1 mm incisal del centro vertical de las coronas ( Si el diente es muy grande a 1.5 mm ).
  • 114.
    COLOCACION IDEAL DELDR. ROTH SUPERIOR INFERIOR
  • 115.
     En losdientes posteriores, los brackets se colocaran verticalmente en la mitad de las coronas ( centrado y paralelo en el eje longitudinal de la corona)
  • 116.
     En losmolares, los tubos se colocaran verticalmente en el centro vertical de la corona)
  • 117.
     En losmolares, los tubos se colocaran verticalmente en el centro vertical de la corona). La parte mesial del tubo quedará sobre el eje facial del molar que parte de la cúspíde mesiovestibular
  • 118.
    Errores referidos ala colocación del bracket basándose en el largo de la corona Richard Mc.Laughlin ( Sistema MBT)
  • 119.
     Variaciones gingivalesprovocadas por dientes parcialmente erupcionados, raices desplazadas hacia palatino, inflamaciones gingivales.  Dientes con desplazamiento radicular palatal ó lingual.
  • 120.
     Coronas clínicasproporcionalmente largas ó cortas generalmente entre incisivos centrales y laterales.  Fracturas incisales u oclusales.  Dientes con cúspides afiladas y puntiagudas o desgastadas.
  • 122.
    POSICIÓN DE BRACKETSY TUBOS Richard Mc.Laughlin ( Sistema MBT)
  • 123.
    Paso 1  Medirla altura de las coronas clínicas en todos los dientes totalmente erupcionados sobre los modelos de estudio. Paso 2 Dividir la medida a la mitad y redondearla lo más cercano a .5 mm para obtener la medida desde las superficies incisales u oclusales al centro de las coronas clínicas
  • 124.
    Paso 3  Lahilera sobre la plantilla de colocación de braquets que tenga el mayor número de registros es selecionada para colocar los braquets. Paso 4 • Los braquets son colocados sobre el eje axial de la corona clínica como referencia vertical y el estimado centro de la corona clínica como referencia horizontal
  • 125.
     De acuerdoa los autores de la técnica MVT, se ha experimentado una reducción del 50 al 60 % en la necesidad de reposición de brackets durante el tratamiento.
  • 126.
  • 127.
    Estudio de efectividaden colocación de brackets Robles E., Guzmán I., ULA 2001 60 65 70 75 80 22 23.33 25.33 Roth Alexander MBT 68.75% 72.91% 79.16% % No. de contactos (32 ideales) Eficiencia Eficiencia Ockeson establece que en una oclusión ideal clase I deben existir 32 puntos de contacto de primer molar a primer molar
  • 128.
    Selección de lamecánica del tratamiento  Crecimiento  Cooperación del paciente  Rango de movimiento dental  Respuesta del tipo facial a la mecánica
  • 129.
    Tipos de alambre Ligero ( diámetro pequeño )  Flexible ( trenzado, nitinol,TMA )  Térmico ( Copper Ni-Ti )  Resilente ( elgiloy pretratado )  Rígido ( Diámetro mayor de acero inoxidable, Australiano )
  • 130.
    Secuencia de arcos Tamañoschico, mediano y grande
  • 131.
    Secuencia de arcos de alineación ó nivelación  de cierre de espacios  de renivelación  De paralelización de raíces  de consolidación  de asentamiento oclusal Tamaños chico, mediano y grande
  • 132.
    Niquel-titanio  .014  .016 .018  Sentaloy de GAC sugerido  .016 x .016  .016 x .022  .017 x .025  .018 x .018  .018 x .025  .019 x .025  .020 x .020  .021 x .028  Neosentaloy de GAC sugerido Tamaños chico, mediano y grande
  • 133.
    Cooper-niquel-titanio  .016 x.016  .016 x .022  .018 x .018  .018 x .025  .019 x .025  .020 x .020  .021 x .028  Bioforce with ionguard low friction de GAC sugerido Tamaños chico, mediano y grande
  • 134.
    Acero inoxidable  .014 .016  .018  .016 x .022  .017 x .025  .018 x .018  .018 x .025  .019 x .025  .020 x .020  .021 x .025 Tamaños chico, mediano y grande
  • 135.
    Arcos para laetapa inicial del tratamiento  Alambres de diámetro pequeño  Alambres exóticos (Nitinol, Copper Ni-Ti)
  • 136.
    Arcos para laetapa intermedia de tratamiento  Arcos de acero inoxidable rectangulares continuos  Arcos de acero inoxidable de doble llave (Double Keyholed looped (DKL))
  • 137.
    Double Keyholed looped(DKL) en .019 x .025  Maxilar  34 mm  36 mm  38 mm  40 mm  42 mm  44 mm  Mandíbula  22 mm  24 mm  26 mm  28 mm  30 mm  32 mm GAC
  • 140.
    Renivelación y paralelización deraices  Arcos rectangulares Nitinol ó Copper-Ni-Ti  Arcos rectangulares de acero inoxidable .017 x .025, .019 x .025 ó .021 x .025  Recolocación de braquets con .016 x .016, .016 x .022, ó .018 x .025 Nitinol ó Copper Ni-Ti.
  • 141.
    Etapa final  Arcosligeros de nitinol ó trensado rectangular ( Braided ) .019 x .025 con elásticos verticales cortos.
  • 142.
    Fases del tratamiento dependiendola dentición  Fase 1  Dentición mixta  Fase 2  Dentición permanente
  • 143.
    Fases del tratamiento dependiendola dentición  Fase 1  Dentición mixta  Fase 2  Dentición permanente
  • 144.
    BIOMECÁNICA EN UN TRATAMIENTOCLÁSICO SIN EXTRACCIONES Técnica de Roth
  • 145.
    Objetivos  Alinear ynivelar los arcos dentarios  Obtener el encastrado completo de los arcos desde un .014 nitinol hasta un .019 x .025 mínimo.  Los movimientos dentarios que se realizan son generalmente individuales  Los movimientos dentarios que se realizan son generalmente coronales en las fases iniciales e intermedias
  • 146.
    Arco transpalatino de Goshgarian Expansión  Distalización  Rotación  Anclaje  Intrusión  Torque
  • 147.
     Mas del80% de todas las maloclusiones tienen molares superiores mesialmente rotados  En casos de no extracciones las barras transpalatinas son usadas para rotar y/o distalar primeros y segundos molares para obtener una lectura más exacta de la relación sagital. Dr. Norman M. Cetlin
  • 148.
    Arco transpalatino conomega mesial  Pacientes dolicofaciales  Cierre de mordidas (control de anclaje)  Se pueden usar en 1os. Y 2os. Molares
  • 149.
    Arco transpalatino conomega distal  Pacientes braquifaciales  Anclaje (como prioridad)  Se recomienda usar solamente en 1os. Molares
  • 150.
  • 151.
    Fases 1. Nivelación yalineación inicial 2. Coordinación  Movimientos de 2° y 3er. orden ligeros 3. Consolidación y estabilización 4. Asentamiento oclusal
  • 152.
    Fase I  Nivelacióny alineación inicial  .014” nitinol  .016” nitinol  .016” ss  .018” ss
  • 154.
    Fase II Movimientos mayoresindividuales (sagital, transversal y vertical)  Coordinación  Simetría de anchura de arcos oseodentales  Corrección de mordida cruzada  Corrección de sobremordida vertical y horizontal  Distalización
  • 155.
    Fase II Movimientos mayoresindividuales (sagital, transversal y vertical)  Coordinación  Simetría de anchura de arcos oseodentales  Corrección de mordida cruzada  Corrección de sobremordida vertical y horizontal  Distalización
  • 157.
    Fase II Movimientos mayoresindividuales (sagital, transversal y vertical)  Coordinación  Simetría de anchura de arcos oseodentales  Corrección de mordida cruzada  Corrección de sobremordida vertical y horizontal  Distalización
  • 158.
    Distalización  Anclaje Extraoral Anclaje intramaxilar  Anclaje intermaxilar
  • 159.
    Distalización  Anclaje Extraoral Anclaje intramaxilar  Anclaje intermaxilar
  • 161.
    Distalización  Anclaje Extraoral Anclaje intramaxilar  Anclaje intermaxilar
  • 162.
  • 163.
    Distalización  Anclaje Extraoral Anclaje intramaxilar  Anclaje intermaxilar
  • 164.
  • 165.
    La unión entrelas dos piezas simula a la articulación de la cadera humana
  • 168.
  • 170.
    Fase II  Movimientosde 2o. y 3er. orden ligeros  .016 x .016 nitinol  .016 x .016 acero inoxidable  .016 x .022 nitinol  .016 x .022 acero inoxidable  .017 x .025 nitinol  .017 x .025 acero inoxidable
  • 174.
    Fase III  Consolidacióny estabilización  Optimizar la sobrecorrección individual dentaria y de los segmentos de acuerdo a los objetivos
  • 175.
    Fase III  Consolidacióny estabilización  Manifestación completa del sistema  Acero inoxidable  .018 x .025  .019 x .025  .021 x .025  Si es necesario se podrán utilizar arcos .018 x .025, .019 x .025 y .021 x .028 nitinol
  • 178.
    Fase III  Consolidacióny estabilización  Optimizar la sobrecorrección individual dentaria y de los segmentos de acuerdo a los objetivos  Si hay necesidad de paralelizar raíces, reposicionar el ó los braquets y colocar arco .016 x .022” ó .018 x .025” Nitinol ó Copper Niti.  Se recomienda bloquear con ligadura metálica de molar a molar
  • 180.
    Fase IV  Asentamientooclusal  Arcos ligeros  .019 x .025” trensado rectangular (Braided) con elásticos verticales cortos (vector II, III ó neutro)  Sección de arcos con elásticos verticales cortos (vector II, III ó neutro)
  • 182.
    Finalización del tratamiento Ajuste oclusal  En relación céntrica  En protusiva (guía anterior)  En movimientos laterales (protección canina ó en su defecto función de grupo)
  • 184.
    Bioforce  Produce fuerzas óptimasy biológicas para mover los dientes tanto anteriores como posteriores
  • 185.
    Bioforce. Fuerza ideal Da fuerzas que aumentan gradualmente desde 80 gr. en zona de centrales hasta 320 gr. en zona de molares  Los dientes anteriores reciben 3 veces más de la fuerza necesaria Bioforce Cu-Niti
  • 186.
    Bioforce. Eficiencia  Debidoa este incremento gradual en la fuerza, no es necesario seguir una secuencia de arcos para lograr los movimientos dentarios necesarios  Solo está disponible en arcos cuadrados y rectangulares  Al tener una sola fuerza por arco es necesario seguir una secuencia de arcos para lograr los movimientos dentarios necesarios Bioforce Cu-Niti
  • 187.
    Bioforce. Desempeño  Conla aplicación de Ortho Ice o Polar bear pencil, el arco se vuelve muy maleable y permite introducirse en la áreas mas apiñadas
  • 188.
    Bioforce. Fricción  Withion guard reduce la fricción.  Un arco Cu-niti no tratado produce 78 % más de fricción.
  • 189.
  • 190.
    Fase I  Nivelacióny alineación inicial  .014” niti
  • 191.
    Fase II  Movimientosde 2º.Y 3er. Orden  018 x .025” Bioforce
  • 192.
    Fase III  Consolidacióny estabilización  Optimizar la sobrecorrección individual dentaria y de los segmentos de acuerdo a los objetivos
  • 193.
    Fase III  Consolidacióny estabilización  Manifestación completa del sistema  Acero inoxidable  .019 x .025  .021 x .025
  • 194.
    Fase III  Consolidacióny estabilización  Optimizar la sobrecorrección individual dentaria y de los segmentos de acuerdo a los objetivos  Si hay necesidad de paralelizar raíces, reposicionar el ó los braquets y colocar arco .016 x .022” ó .018 x .025” Nitinol ó Copper Niti.  Se recomienda bloquear con ligadura metálica de molar a molar
  • 195.
    Fase IV  Asentamientooclusal  Arcos ligeros  .019 x .025” trensado rectangular (Braided) con elásticos verticales cortos (vector II, III ó neutro)  Sección de arcos con elásticos verticales cortos (vector II, III ó neutro)
  • 196.
    Finalización del tratamiento Ajuste oclusal  En relación céntrica  En protusiva (guía anterior)  En movimientos laterales (protección canina ó en su defecto función de grupo)
  • 197.
    Biomecánica en untratamiento clásico con extracción de 4 primeros premolares • Técnica de Roth
  • 198.
    Técnica de deslizamientoy técnica de no deslizamiento
  • 199.
    Técnica de deslizamientoy técnica de no deslizamiento  Fricción
  • 200.
    Técnica de deslizamientoy técnica de no deslizamiento  Fricción  Control de anclaje
  • 201.
    Técnica de deslizamientoy técnica de no deslizamiento  Fricción  Control de anclaje  Control de movimiento
  • 202.
    Objetivos  Realizar todoslos movimientos de grupo en sentido sagital, transversal y vertical con arcos doble llave, (Double Keyholed looped (DKL))  Coordinar el ancho y simetría de los arcos (corregir problemas transversales)  Corregir overbite y después overjet  Retraer los dientes anteriores protuidos  Mesializar premolares y molares ó prevenir su migración  Corregir clase II ó clase III  Cerrar espacios remanentes de las extracciones  Los movimientos son generalmente traslación e inclinación y/ó torque radicular
  • 203.
  • 204.
  • 205.
    Anclaje  Propio delsistema  Tipping 0° de premolares y molares maxilares  Torque negativo y rotación distal en premolares y molares mandibulares
  • 206.
    Sistema Roth  ¿Esnecesario reforzar el anclaje?
  • 207.
    Superficies radiculares expuestasal movimiento dentario en el cierre de espacios en la arcada inferior Superficies enfrentadas a movimientos anteroposteriores 1.00 1.10 1.10 0.75 0.25 0.25
  • 208.
    Superficies radiculares expuestasal movimiento dentario en el cierre de espacios en la arcada inferior  Disposición geométrica de las piezas en la arcada y su incidencia en la resistencia que oponen al movimiento
  • 209.
     ArcoTranspalatal sise requiere reforzar control de rotación de molares  Si se requiere refuerzo de anclaje deberá colocarse en la fase II-2
  • 210.
  • 211.
    Fases 1. Nivelación yalineación inicial 2. Coordinación  Movimientos de 2° y 3er. orden  Retracción de segmento anterior y cierre de espacios 3. Consolidación y estabilización 4. Asentamiento oclusal
  • 212.
  • 213.
    Fase I  Nivelacióny alineación inicial  .014” nitinol  .016” nitinol  .016” ss  .018” ss  Cinchar los arcos (?¿).
  • 216.
     En casosdonde la mordida esté abierta ó tienda a abrirse en la nivelación podremos bandear los segundos molares hasta la fase II.
  • 219.
  • 220.
    Fase II Movimientos mayoresindividuales y en grupo (sagital, transversal y vertical)  Coordinación  Simetría de anchura de arcos oseodentales  Corrección de mordida cruzada  Corrección de sobremordida vertical y horizontal  Distalización
  • 221.
    Fase II-1  Movimientosde segundo y tercer orden  Formación de tres bloques por arcada  Un anterior de canino a canino  Dos posteriores, derecho e izquierdo de molares y premolares  .016 x .016” Nitinol  .016 x .016” Acero inoxidable.  .016 x .022” Nitinol  .016 x .022” Acero inoxidable  .017 x .025” Nitinol  .017 x .025” Acero inoxidable  .018 x .025” Nitinol  .019 x .025” Acero inoxidable
  • 224.
    Fase II-2  Retracciónde segmento anterior  Cierre de espacios remanentes
  • 225.
  • 226.
    Fase II-2. Refuerzode anclaje  Arco transpalatal  Microimplantes ó microtornillos ortodónticos
  • 227.
    Fase II-2. Refuerzode anclaje  Arco transpalatal  Omega distal
  • 228.
    Fase II-2. Refuerzode anclaje  Microimplantes ó microtornillos ortodónticos
  • 229.
    Fase II-2. Refuerzode anclaje  Microimplantes ó microtornillos ortodónticos  Tipo de anclaje esquelético real
  • 230.
    Fase II-2. Refuerzode anclaje  Microimplantes ó microtornillos ortodónticos  Composición Cabeza Porción endoósea Cuello intramucoso
  • 231.
    Fase II-2. Refuerzode anclaje  Microimplantes ó microtornillos ortodónticos  Tamaño  1.2 mm de diámetro  6 a 12 mm. de longitud  La elección del microtornillo depende del lugar de la colocación y de la calidad del hueso
  • 232.
    Fase II-2. Refuerzode anclaje  Microimplantes ó microtornillos ortodónticos  Composición  Titanio aleación tipoV  Biocompatible  Es el más usado  Acero ó de láctico glicólico  Lentamente biodegradable
  • 233.
    Fase II-2. Refuerzode anclaje  Microimplantes ó microtornillos ortodónticos  Requisitos  Tamaño pequeño ( 6 a 12 mm )  Biocompatibilidad  Fácil manejo clínico  Cicatrización rápida
  • 234.
    Fase II-2. Refuerzode anclaje  Microimplantes ó microtornillos ortodónticos  Zonas de colocación  Maxilar  Espacio interradicular vestibular  Espacio interradicular palatino  Tuberosidad del maxilar  Superficie inferior de la espina nasal anterior  Zonas edéntulas
  • 235.
    Fase II-2. Refuerzode anclaje  Microimplantes ó microtornillos ortodónticos  Zonas de colocación  Mandíbula  Espacio interadicular vestibular  Trígono retromolar  Lateralmente en la sínfisis mentoniana  Zonas edéntulas
  • 236.
    Fase II-2. Refuerzode anclaje  Microimplantes ó microtornillos ortodónticos  Aplicación de fuerzas  Carga inmediata si la fuerza es menor a 150 gr  Se recomienda cargar de 2 a 3 semanas después de la colocación del microtornillo para dar tiempo a la cicatrización de los tejidos
  • 237.
    Fase II-2. Refuerzode anclaje  Microimplantes ó microtornillos ortodónticos  Aplicación de fuerzas  Retracción de segmento anterior: 150-200 gr  Intrusión: 15-25 gr  Rotación y extrusión: 30-60 gr
  • 238.
    Fase II-2. Refuerzode anclaje  Microimplantes ó microtornillos ortodónticos  Técnica  Valorar tamaño y grosor del microtornillo
  • 239.
    Fase II-2. Refuerzode anclaje  Microimplantes ó microtornillos ortodónticos  Técnica  Prueba para la colocación del microtornillo
  • 240.
    Fase II-2. Refuerzode anclaje  Microimplantes ó microtornillos ortodónticos  Técnica  Construcción de la guía quirúrgica
  • 241.
    Fase II-2. Refuerzode anclaje  Microimplantes ó microtornillos ortodónticos  Técnica  Toma radiográfica con guía quirúrgica
  • 242.
    Fase II-2. Refuerzode anclaje  Microimplantes ó microtornillos ortodónticos  Infiltración de anestesia local en la zona de inserción del tornillo
  • 243.
    Fase II-2. Refuerzode anclaje  Microimplantes ó microtornillos ortodónticos  Colocación de la guía quirúrgica
  • 244.
    Fase II-2. Refuerzode anclaje  Microimplantes ó microtornillos ortodónticos  Colocación de la guía quirúrgica
  • 245.
    Fase II-2. Refuerzode anclaje  Microimplantes ó microtornillos ortodónticos  Colocación del microtornillo
  • 246.
    Fase II-2. Refuerzode anclaje  Microimplantes ó microtornillos ortodónticos  Clorhexidina en la zona que rodea al microtornillo
  • 247.
    Fase II-2. Refuerzode anclaje  Microimplantes ó microtornillos ortodónticos  Corroboración radiográfica de la colocación del microtornillo
  • 248.
    Fase II-2. Refuerzode anclaje  Microimplantes ó microtornillos ortodónticos  Contraindicaciones  Patologías médicas debilitantes como neoplasias o diabetes  Falta de retención por cortical delgada  Pacientes en crecimiento  Mala higiene oral  Enfermedad periodontal no controlada
  • 249.
    Fase II-2. Refuerzode anclaje  Microimplantes ó microtornillos ortodónticos  Complicaciones  Inadecuada estabilidad primaria  Movilidad tardía  Comunicación del microtornillo con el ligamento periodontal  Comunicación del microtornillo con la raíz  Lesión del tejido blando
  • 250.
    Fase II-2. Refuerzode anclaje  Microimplantes ó microtornillos ortodónticos  Complicaciones  Infección  Movilidad ó pérdida del microtornillo
  • 251.
    Fase II-2  Retracciónde segmento anterior  .019 x .025”, Double Keyholed looped (DKL) de acero inoxidable  1a. Cita no activar el arco  Recomendable activar con ligadura de Susuky del hook del 6 ó del 7 a la llave distal ya activada  Si se colocaron microtornillos ó microimplantes ortodónticos, colocar la ligadura de Susuky del microtornillo a la llave distal ya activada  Activación cada 4 a 6 semanas
  • 259.
    Fase II-2  Cierrede espacios remanentes  Eliminar cantos distal a la 2a. llave del arco DKL  Bloquear segmento anterior de 3-3  Activar arco DKL
  • 261.
    Fase II-2  Cierrede espacios remanentes  Eliminar cantos distal a la 2a. llave del arco DKL  Bloquear segmento anterior de 3-3  Activar arco DKL a premolares
  • 263.
    Fase II-2  Cierrede espacios remanentes  Bloquear segmento anterior de 3-3  Cadena elástica de segundo premolar a la segunda llave
  • 267.
     Interfase (sies necesario)  Renivelación  .018 x .025” ó .019 x .025” Nitinol
  • 269.
    Fase III  Consolidacióny estabilización  Manifestación completa del sistema  Acero inoxidable  .019 x .025  .021 x .025
  • 271.
    Fase III  Controlvertical  Arco transpalatino bajo
  • 272.
    Fase III  Optimizarla sobrecorrección individual dentaria y de los segmentos de acuerdo a los objetivos  Si hay necesidad de paralelizar raíces, reposicionar el ó los braquets y colocar arco .016 x .022” ó .018 x .025” Nitinol ó Copper Ni-ti bloqueando con ligadura metálica los dientes que no se van a corregir.
  • 276.
    Fase IV  Asentamientooclusal  Arcos ligeros  .019 x .025” trensado rectangular (Braided) con elásticos verticales cortos (vector II ó III)  Sección de arcos con elásticos verticales cortos (vector II ó III)
  • 280.
    Finalización del tratamiento Ajuste oclusal  En relación céntrica  En protusiva (guía anterior)  En movimientos laterales (protección canina ó en su defecto función de grupo)