ARTEFACTOS EN
RESONANCIA MAGNETICA
TM CLAUDIA LAVIN G.
SH U TTER CL
U B N
Y
Artefactos en resonancia
I N T ROD U C C C I O N
DEFINICION
HARDWARE DE MRI Y BLINDAJE DE LA SALA
Artefacto de cremallera (zipper)
Artefacto de espiga (herringbone)
Artefacto del punto central
Artefacto de desbordamiento de RF
Artefacto de sombreado en la RM
ARTEFACTO DE ALIASING
SOFTWARE DE RESONANCIA MAGNÉTICA
Artefacto de superposición de corte
Artefacto de excitación cruzada
MOVIMIENTO PACIENTE Y FISIOLÓGICO
Artefacto de movimiento codificado en fase
Fenómeno de la tajada de entrada
HETEROGENEIDAD TISULAR Y CUERPOS EXTRAÑOS
Artefacto de tinta de la india
Artefacto de ángulo mágico
Artefactos por susceptibilidad magnética (sm)
artefacto en floración
Artefacto de desplazamiento químico
Artefacto de efecto dieléctrico
TRANSFORMADA DE FOURIER Y TEOREMA DE MUESTREO DE NYQVIS
Artefacto gibbs
Artefacto de relleno cero
CONCLUSION
En las exploraciones de RM se producen numerosos artefactos que degradan la
calidad de las imágenes e impiden al Tecnólogo realizar un examen correcto, basado
en los hallazgos que encuentra. No es infrecuente revisar un informe en el que se
puede leer que la exploración no es válida por los numerosos artefactos que se han
producido, por tal o cual motivo. Parece una excusa, pero no es así.
Uno de los problemas más frecuentes con los que se enfrentan, los profesionales
que trabajan en Resonancia Magnética surge con aquellas personas que llevan
algún objeto metálico en su cuerpo. Por ejemplo dispositivos de ortodoncia,
pendientes, "piercings", etc.
En los siguientes apartados se muestran algunas imágenes con artefactos y se indica
la causa que los ha producido.
I N T R O D U C CI O N
DEFINICION
Los artefactos de resonancia magnética son numerosos y dan una
idea de la física detrás de cada secuencia. Algunos artefactos afectan
la calidad del examen de IRM, mientras que otros no afectan la calidad
del diagnóstico, pero pueden confundirse con la patología.
Cuando se encuentra con un artefacto desconocido, es útil examinar
sistemáticamente las características generales del artefacto para tratar
de entender su clase general.
Estas características incluyen:
• tipo de secuencia, p. ej. eco tubo espin echo, gradiente, adquisición
volumétrica
• dirección de fase y frecuencia
• señal grasa o fluido
• Presencia de anatomía fuera del campo de la imagen.
• Presencia de cuerpos extraños metálicos
La clasificación del
tipo de artefacto
puede dar una idea
de cómo intentar
solucionarlo.
HARDWARE DE MRI Y
BLINDAJE DE LA SALA
Se refiere a un tipo de artefacto de RM donde una o
más bandas espurias de ruido electrónico se extienden
perpendiculares a la dirección de codificación de la
frecuencia y están presentes en todas las imágenes de
una serie.
Los artefactos de la cremallera que pueden controlarse
fácilmente son aquellos que se producen cuando la
puerta está abierta durante la adquisición de imágenes
debido a que la RF ingresa a la sala de exploración
desde equipos electrónicos (por ejemplo, dispositivos
móviles o aviones) y la cadena de receptores de imagen
de los receptores los selecciona.
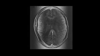
ARTEFACTO DE CREMALLERA (ZIPPER)
Como evitarlo:
• Asegúrese de que la puerta de la sala del escáner MR esté cerrada durante la toma de imágenes
• retire todos los dispositivos electrónicos del paciente antes de tomar imágenes
• Si el artefacto persiste a pesar de que todos los equipos electrónicos cercanos están apagados, es
posible que el blindaje de RF esté comprometido.
• Esto generalmente ocurre en los contactos entre la puerta y el atasco y puede necesitar limpieza o
reparación.
• El panel de penetración donde los cables entran a la habitación es otro sitio que debe verificarse.
También llamado crisscross artifact or corduroy
artifact , es un artefacto de MRI , aparece como un
tejido de hueso de arenque. El artefacto se dispersa por
toda la imagen en una sola rebanada o múltiples
rebanadas.
Causas
• Picos electromagnéticos por bobinas de gradiente.
• fuente de alimentación fluctuante
• Discrepancias de pulso de RF
ARTEFACTO DE ESPIGA (HERRINGBONE)
El artefacto del punto central es un punto focal de
señal incrementada en el centro de una imagen. Es
causado por un desplazamiento constante de la tensión
de DC en el receptor.
Después de la transformación de Fourier, este
desplazamiento constante proporciona el punto brillante
en el centro de la imagen como se muestra en el
diagrama.
CENTRAL POINT ARTIFACT
Corrección y prevención
• Repetir la secuencia puede deshacerse del artefacto.
• Mantenga una temperatura constante en el escáner y en la sala de equipos para los
amplificadores del receptor.
• Software para estimar la compensación de DC y ajustar los datos en el espacio k.
• Llamar al ingeniero de servicio para recalibración
El artefacto de desbordamiento de RF causa una
apariencia no uniforme y lavada de una imagen. Este
artefacto ocurre cuando la señal recibida por el escáner
del paciente es demasiado intensa para ser digitalizada
con precisión por el convertidor de analógico a digital.
Por lo general, la exploración automática ajusta la
ganancia del receptor para evitar que esto ocurra, pero
si el artefacto aún ocurre, la ganancia del receptor se
puede disminuir manualmente .
Los métodos de posprocesamiento también existen,
pero pueden llevar mucho tiempo.
RF OVERFLOW ARTIFACT
El artefacto de sombreado en la RM se refiere a la pérdida
de intensidad de la señal en una parte de la imagen, lo que
lleva a un sombreado oscuro en esta parte de la imagen.
Causas
• excitación desigual de los núcleos dentro del campo; debido
a los impulsos de RF aplicados en ángulos de giro diferentes
a 90 y 180 grados
• carga anormal de la bobina o acoplamiento de la bobina en
un punto (como en un paciente grande que toca un lado de
la bobina)
• inhomogeneidad en el campo magnético
• Desbordamiento de convertidor analógico a digital
Eje
codificación de frecuencia
codificación de fase
SHADING ARTIFACT
Como evitarlo:
• carga la bobina correctamente
• use la bobina del tamaño adecuado para el tamaño del paciente y la parte examinada
• Evite que el paciente toque la bobina (puede usar almohadillas de espuma entre el paciente y la
bobina)
• Calce para reducir la falta de homogeneidad del campo magnético.
• use los parámetros de escaneo adecuados para establecer la amplitud adecuada de los pulsos de
RF aplicados (menos amplificación para evitar el desbordamiento del convertidor analógico a
digital)
También conocido como envolvente , es un artefacto
de MRI que se encuentra con frecuencia cuando el
campo de visión (FOV) es más pequeño que la parte
del cuerpo que se está fotografiando. La parte del
cuerpo que se encuentra más allá del borde del FOV se
proyecta en el otro lado de la imagen.
ARTEFACTO DE ALIASING
El aliasing en MRI puede ser compensado por:
• Ampliando el campo de visión (FOV)
• usando bandas de Saturación en áreas fuera del FOV
• software anti-aliasing
• cambiando las direcciones de fase y frecuencia
• use una bobina de superficie para reducir la señal fuera del área de interés
SOFTWARE DE
RESONANCIA MAGNÉTICA
El artefacto de superposición de corte , también conocido
como artefacto de solapamiento, es un nombre que se le da a
la pérdida de señal que se ve en una imagen a partir de una
adquisición de múltiples ángulos y múltiples cortes, como se
obtiene comúnmente en la columna lumbar.
Si los segmentos obtenidos en diferentes espacios de disco no
son paralelos, entonces los segmentos pueden
superponerse. Si se realizan dos niveles al mismo tiempo, por
ejemplo, L4-5 y L5-S1, el nivel adquirido en segundo lugar
incluirá giros que ya han sido saturados. Esto provoca una
banda de pérdida de señal que se cruza horizontalmente en su
imagen, generalmente peor posteriormente.
SLICE-OVERLAP ARTIFACT
Como evitarlo:
Mientras el área saturada permanezca por detrás del canal espinal, no causa daño.
El artefacto de excitación cruzada es un tipo de artefacto
MRI y se refiere a la pérdida de señal dentro de un segmento
debido a la preexcitación del pulso de RF destinado a un
segmento adyacente.
El perfil de frecuencia del pulso de RF es imperfecto; esto
significa que durante la selección de cortes también existe
cierto grado de excitación de los cortes adyacentes. Si se toma
una imagen de esa porción adyacente durante el mismo TR (es
decir, imágenes de múltiples cortes) o poco después (es decir,
imágenes sin dejar un espacio), para empezar se saturará
parcialmente, y la señal resultante se reducirá. Este fenómeno
es más evidente en las secuencias de recuperación de
inversión (180 °).
CROSS-EXCITATION ARTIFACT (MRI)
COMO EVITARLO:
• dejando un espacio mínimo de 1/3 de grosor de corte al obtener imágenes de cortes
contiguos
• Intercalado entre cortes
• empleando imágenes en 3D si se requieren imágenes de volumen
• utilizando secuencias de impulsos optimizadas que tienen una penalización de tiempo de
un TE mínimo más alto y un número reducido de cortes para un TR dado
MOVIMIENTO PACIENTE Y
FISIOLÓGICO.
El artefacto de movimiento codificado en fase es uno de los
muchos artefactos de MRI que se producen como resultado del
movimiento del tejido / fluido durante la exploración.
Se manifiesta como efecto fantasma en la dirección de la codificación de
fase, generalmente en la dirección del eje corto de la imagen (es decir, de
izquierda a derecha en los cerebros axial o coronal, y anterior a posterior
en el abdomen axial).
Estos artefactos se pueden ver en las pulsaciones arteriales, la deglución,
la respiración, el peristaltismo y el movimiento físico de un paciente.
Cuando se proyecta sobre la anatomía, puede simular una patología y
necesita ser reconocida. El movimiento aleatorio, como el movimiento del
paciente, produce un borrón en la dirección de la fase. El movimiento
periódico, como la pulsación respiratoria o cardíaca / vascular, produce
fantasmas discretos y bien definidos. El espacio entre estos fantasmas
está relacionado con el tiempo de repetición (TR) y la frecuencia del
movimiento.
PHASE-ENCODED MOTION ARTIFACT
Las formas de identificar artefactos de fase incluyen:
1.identificar las estructuras conocidas de movimiento / flujo y observar que el
artefacto está en línea con ellas (horizontal o vertical según la orientación de la
codificación de fase)
2.hacer coincidir la forma del fantasma con la del vaso que fluye (p. ej.,
pseudolesión redonda debido al fantasma de la aorta)
3.Amplia ventana para ver fantasmas repetitivos más allá de los límites de la
anatomía.
4.se pueden distinguir de Gibbs o artefactos de truncamiento porque se
extienden por todo el campo de visión, a diferencia de los artefactos de
truncamiento que disminuyen rápidamente alejándose del límite que los causa.
LAS SOLUCIONES PARA EL DESAJUSTE DE FASE INCLUYEN:
• activación cardíaca / respiratoria
• bandas de saturación espacial colocadas sobre tejidos en movimiento (p. ej., sobre el cuello anterior en espinas cervicales
sagitales)
• Bandas de saturación espacial situadas fuera del FOV, especialmente antes de la entrada o después del corte de salida
para reducir el efecto fantasma del flujo vascular: arterial y venoso
• Exploración propensa a reducir la excursión abdominal.
• Cambio de fase y direcciones de frecuencia
• aumentando el número de promedios de señal
• acortar el tiempo de exploración cuando el movimiento es del movimiento del paciente
El fenómeno de la tajada de entrada se produce
cuando los espines insaturados en la sangre entran por
primera vez en una tajada. Se caracteriza por la señal
luminosa en un vaso sanguíneo (arteria o vena) en el
primer corte en que ingresa el vaso.
Por lo general, la señal se ve en más de una porción,
desvaneciéndose con la distancia. Este mecanismo se
utiliza de manera positiva para generar angiogramas de
vuelo MR.
Este artefacto ha sido confundido con trombosis con
resultados desastrosos
ENTRY SLICE PHENOMENON
Como identificarla:
• La ubicación característica y, si es necesario, el uso de técnicas de flujo de eco de gradiente se pueden utilizar para
diferenciar los artefactos de los cortes de entrada de las oclusiones.
• Las bandas de saturación espacial ubicadas antes del primer corte y después del último se pueden usar para eliminar este
artefacto.
HETEROGENEIDAD
TISULAR Y CUERPOS
EXTRAÑOS.
El artefacto del límite negro , también conocido
como artefacto de tinta de la India o artefacto de cambio
químico tipo 2 , es una línea negra creada artificialmente
ubicada en las interfaces agua-grasa, como las que se
encuentran entre el músculo y la grasa.
Esto da como resultado una delineación nítida del límite
músculo-grasa que otorga a la imagen una apariencia como si
alguien hubiera delineado estas interfaces con tinta que a veces
es visualmente atractiva pero no una estructura anatómica.
Este artefacto se produce en secuencias de eco de gradiente
(GE) como resultado de la selección de un tiempo de eco
(TE) en el que los espines de grasa y agua (ubicados en el
mismo vóxel en una interfaz) están desfasados, cancelando
entre sí.
BLACK BOUNDARY ARTIFACT
Aplicaciones
Ayudas en el diagnóstico de enfermedades benignas :
•Hipertrofia lipomatosa del tabique interauricular.
•grasa pancreática focal
•angiomiolipoma renal rico en grasa
Ayudas en la identificación de la inflamación :
•pancreatitis aguda
•paniculitis mesentérica
•infarto omental
Para evitar este artefacto:
• Elija TEs cerca de 4.5 ms, 9 ms, 13.6 ms
• la supresión de grasa puede ser utilizada
• usa la secuencia SE en lugar de GE
El ángulo mágico es un artefacto de MRI que se
produce en secuencias con un TE corto (menos de 32
ms; secuencias T1W , secuencias PD y secuencias
de gradiente de eco ).
Se limita a las regiones de colágeno estrechamente
ligadas a 54.74 ° del campo magnético principal (B 0 ), y
aparece hiperintensa, por lo que puede confundirse con
una tendinopatía.
MAGIC ANGLE EFFECT (MRI ARTIFACT)
Los sitios típicos incluyen:
• Parte proximal del ligamento cruzado posterior (LCP)
• Tendón infrapatelar en la inserción tibial.
• Tendones peroneos a medida que se enganchan alrededor del maléolo lateral.
• El cartílago puede verse afectado, por ejemplo, los cóndilos femorales.
• tendón supraespinoso
• Complejo de fibrocartílago triangular (si se toma una imagen del paciente con el brazo elevado)
Como evitarlo:
Tiende a ocurrir solo en secuencias cortas de TE (por ejemplo, T1, GRE, PD), se pueden
usar secuencias con un TE más largo (por ejemplo, T2 incluyendo FSE T2) para evitar este
artefacto.
ARTEFACTOS POR SUSCEPTIBILIDAD
MAGNÉTICA (SM)
- Materiales Diamagnéticos: SM < 0
- Materiales Paramagnéticos: SM > 0
- Materiales Ferromagnéticos: SM >>1
•Cuando en una misma región existen
sustancias con diferente susceptibilidad
magnética, el campo magnético local será en
esta región muy inhomogéneo.
•Normalmente la mayor parte de los tejidos
poseen una susceptibilidad magnética parecida
y las inhomogeneidades son despreciables.
El artefacto en floración es un artefacto de
susceptibilidad encontrado en algunas secuencias de MRI en
presencia de sustancias paramagnéticas que afectan los
ambientes magnéticos locales. Aunque es un artefacto, puede
ser explotado deliberadamente para mejorar la detección de
ciertas lesiones pequeñas, así como los efectos de
acortamiento de T1 de baja concentración de gadolinio se
utilizan para detectar el aumento de contraste .
Una de las secuencias más poderosas y ampliamente
disponibles que maximiza el artefacto en floración con gran
efecto es la imagen ponderada por susceptibilidad (SWI) .
BLOOMING ARTEFACT (MRI)
La floración se ve rodeando una serie de compuestos:
•hemosiderina de hemorragia previa, por ej.
• malformaciones cavernosas
• antigua hemorragia intracerebral
• lesión axonal difusa
• siderosis superficial
•calcificación, particularmente distrófica, por ejemplo
• Neurocisticercosis (etapa granulomatosa)
•metal por ejemplo
• Fragmentos quirúrgicos o traumáticos.
•gas por ejemplo
• embolia gaseosa
• Se produce en el sentido de la codificación de
frecuencia, y se traduce por una banda en forma
de semiluna de hiposeñal que se alterna con
otra banda de hiperseñal
• Esto ocurre en las zonas anatómicas donde las
interfaces de tejidos son de composición muy
distinta como es el interfaz de grasa a agua.
ARTEFACTO DE DESPLAZAMIENTO QUÍMICO
Molly Coleman
Junior Photographer
Estos efectos pueden usarse para confirmar, por ejemplo, la presencia de grasa
intracelular en una lesión.
• Utilizar técnicas de supresión grasa (Stir, Fat.Sat,…) Aumentar el ancho de banda disminuirá el
artefacto las imágenes con supresión de grasa se pueden utilizar para eliminar el registro incorrecto
de cambios químicos y el artefacto de borde negro
• Cambiar la dirección de codificación (no elimina el artefacto pero en caso de diagnóstico dudoso,
desplaza la dirección del artefacto).
• El cambio químico aumenta con la fuerza del campo magnético
• El cambio químico aumenta con la disminución de la fuerza del gradiente.
• El artefacto de cambio químico depende del ancho de banda; cuanto más estrecho sea el ancho de
banda, mayor será el desplazamiento químico. el uso de una secuencia de eco de espín en lugar de un
gradiente de eco puede eliminar el artefacto del borde negro pero no el registro incorrecto de cambios
químicos.
El artefacto de efecto dieléctrico se encuentra con mayor
frecuencia en la RM de cuerpo con 3 unidades T.
Artefacto
A 3 T, la longitud de onda de radiofrecuencia (RF) mide 234 cm en el
aire, y la velocidad y la longitud de onda del campo de RF se acortan
a ~ 26 cm dentro del cuerpo como resultado de los efectos
dieléctricos. Sin embargo, este campo de visión de 26 cm es
aproximadamente el diámetro de la sección transversal de la
mayoría de los estudios de imagen corporal.
Con diámetros abdominales del paciente que exceden la longitud de
onda de RF (por ejemplo, pacientes con cirrosis y ascitis o
pacientes embarazadas), pueden surgir patrones de interferencia
constructivos y destructivos. En la IRM corporal, esto puede
provocar oscurecimiento / sombreado en el centro de la imagen.
A 7,0 T, la longitud de onda de RF en el tejido disminuye a ~ 11 cm.
DIELECTRIC EFFECT ARTIFACT
Mejora
• cambiar la imagen a un sistema <3.0 T
• drenar la ascitis antes de tomar imágenes de un paciente con cirrosis para
disminuir la posibilidad de que ocurra el artefacto
TRANSFORMADA DE
FOURIER Y TEOREMA DE
MUESTREO DE NYQVIS
El artefacto Gibbs es un tipo de artefacto MRI . Se
refiere a una serie de líneas en la imagen de RM
paralelas a cambios abruptos e intensos en el objeto en
esta ubicación, como el LCR - médula espinal y la
interfaz cráneo-cerebro
La imagen MR se reconstruye a partir del espacio k, que es un muestreo
finito de la señal sometida a la transformada de Fourier inversa para
obtener la imagen final. En los límites de alto contraste (discontinuidad del
salto en términos matemáticos), la transformada de Fourier corresponde a
un número infinito de frecuencias. Como el muestreo de RM es finito, la
discrepancia se manifiesta en la imagen reconstruida en forma de una
serie de líneas. Estos pueden aparecer en las direcciones de codificación
de fase y codificación de frecuencia.
GIBBS AND TRUNCATION ARTIFACTS
Como evitarlo:
• aumentar el tamaño de la matriz (es decir, la frecuencia de muestreo para la dirección de
frecuencia y el número de pasos de codificación de fase para la dirección de fase)
• uso de filtros de suavizado (filtrado exponencial 2-D, reconstrucción de Gegenbauer, etc.)
• Si la grasa es uno de los límites, use supresión de grasa.
El artefacto de relleno cero es uno de los
muchos artefactos de MRI y se debe a que faltan
datos o están en cero en la matriz de espacio K durante
el escaneo. El cambio abrupto de señal a no señal da
como resultado artefactos en las imágenes que
muestran bandas alternas de sombreado y oscuridad, a
menudo en una dirección oblicua.
Un pico en el espacio k a partir de una chispa
electrostática es otro artefacto que causa rayas oblicuas
ZERO FILL ARTIFACT
CONCLUSION Los artefactos son causados ​​por una variedad de factores
que pueden estar relacionados con el paciente, como el
movimiento voluntario y fisiológico, implantes metálicos o
cuerpos extraños.
El muestreo finito, la codificación del espacio k y la
transformación de Fourier pueden causar aliasing y
artefactos de Gibbs.
Las características de las secuencias de pulsos pueden
causar artefactos de borde negro, Moiré y de codificación
de fase. Los problemas de hardware pueden causar
artefactos de desbordamiento de RF y puntos centrales.
Recuerde que los artefactos no son todos malos, y que
ocasionalmente son explotados intencionalmente, por
ejemplo, artefactos de susceptibilidad.

Artefactos en rm

  • 1.
    ARTEFACTOS EN RESONANCIA MAGNETICA TMCLAUDIA LAVIN G. SH U TTER CL U B N Y
  • 2.
    Artefactos en resonancia IN T ROD U C C C I O N DEFINICION HARDWARE DE MRI Y BLINDAJE DE LA SALA Artefacto de cremallera (zipper) Artefacto de espiga (herringbone) Artefacto del punto central Artefacto de desbordamiento de RF Artefacto de sombreado en la RM ARTEFACTO DE ALIASING SOFTWARE DE RESONANCIA MAGNÉTICA Artefacto de superposición de corte Artefacto de excitación cruzada MOVIMIENTO PACIENTE Y FISIOLÓGICO Artefacto de movimiento codificado en fase Fenómeno de la tajada de entrada HETEROGENEIDAD TISULAR Y CUERPOS EXTRAÑOS Artefacto de tinta de la india Artefacto de ángulo mágico Artefactos por susceptibilidad magnética (sm) artefacto en floración Artefacto de desplazamiento químico Artefacto de efecto dieléctrico TRANSFORMADA DE FOURIER Y TEOREMA DE MUESTREO DE NYQVIS Artefacto gibbs Artefacto de relleno cero CONCLUSION
  • 3.
    En las exploracionesde RM se producen numerosos artefactos que degradan la calidad de las imágenes e impiden al Tecnólogo realizar un examen correcto, basado en los hallazgos que encuentra. No es infrecuente revisar un informe en el que se puede leer que la exploración no es válida por los numerosos artefactos que se han producido, por tal o cual motivo. Parece una excusa, pero no es así. Uno de los problemas más frecuentes con los que se enfrentan, los profesionales que trabajan en Resonancia Magnética surge con aquellas personas que llevan algún objeto metálico en su cuerpo. Por ejemplo dispositivos de ortodoncia, pendientes, "piercings", etc. En los siguientes apartados se muestran algunas imágenes con artefactos y se indica la causa que los ha producido. I N T R O D U C CI O N
  • 4.
    DEFINICION Los artefactos deresonancia magnética son numerosos y dan una idea de la física detrás de cada secuencia. Algunos artefactos afectan la calidad del examen de IRM, mientras que otros no afectan la calidad del diagnóstico, pero pueden confundirse con la patología. Cuando se encuentra con un artefacto desconocido, es útil examinar sistemáticamente las características generales del artefacto para tratar de entender su clase general. Estas características incluyen: • tipo de secuencia, p. ej. eco tubo espin echo, gradiente, adquisición volumétrica • dirección de fase y frecuencia • señal grasa o fluido • Presencia de anatomía fuera del campo de la imagen. • Presencia de cuerpos extraños metálicos
  • 5.
    La clasificación del tipode artefacto puede dar una idea de cómo intentar solucionarlo.
  • 6.
    HARDWARE DE MRIY BLINDAJE DE LA SALA
  • 7.
    Se refiere aun tipo de artefacto de RM donde una o más bandas espurias de ruido electrónico se extienden perpendiculares a la dirección de codificación de la frecuencia y están presentes en todas las imágenes de una serie. Los artefactos de la cremallera que pueden controlarse fácilmente son aquellos que se producen cuando la puerta está abierta durante la adquisición de imágenes debido a que la RF ingresa a la sala de exploración desde equipos electrónicos (por ejemplo, dispositivos móviles o aviones) y la cadena de receptores de imagen de los receptores los selecciona. ARTEFACTO DE CREMALLERA (ZIPPER)
  • 9.
    Como evitarlo: • Asegúresede que la puerta de la sala del escáner MR esté cerrada durante la toma de imágenes • retire todos los dispositivos electrónicos del paciente antes de tomar imágenes • Si el artefacto persiste a pesar de que todos los equipos electrónicos cercanos están apagados, es posible que el blindaje de RF esté comprometido. • Esto generalmente ocurre en los contactos entre la puerta y el atasco y puede necesitar limpieza o reparación. • El panel de penetración donde los cables entran a la habitación es otro sitio que debe verificarse.
  • 10.
    También llamado crisscrossartifact or corduroy artifact , es un artefacto de MRI , aparece como un tejido de hueso de arenque. El artefacto se dispersa por toda la imagen en una sola rebanada o múltiples rebanadas. Causas • Picos electromagnéticos por bobinas de gradiente. • fuente de alimentación fluctuante • Discrepancias de pulso de RF ARTEFACTO DE ESPIGA (HERRINGBONE)
  • 12.
    El artefacto delpunto central es un punto focal de señal incrementada en el centro de una imagen. Es causado por un desplazamiento constante de la tensión de DC en el receptor. Después de la transformación de Fourier, este desplazamiento constante proporciona el punto brillante en el centro de la imagen como se muestra en el diagrama. CENTRAL POINT ARTIFACT
  • 14.
    Corrección y prevención •Repetir la secuencia puede deshacerse del artefacto. • Mantenga una temperatura constante en el escáner y en la sala de equipos para los amplificadores del receptor. • Software para estimar la compensación de DC y ajustar los datos en el espacio k. • Llamar al ingeniero de servicio para recalibración
  • 15.
    El artefacto dedesbordamiento de RF causa una apariencia no uniforme y lavada de una imagen. Este artefacto ocurre cuando la señal recibida por el escáner del paciente es demasiado intensa para ser digitalizada con precisión por el convertidor de analógico a digital. Por lo general, la exploración automática ajusta la ganancia del receptor para evitar que esto ocurra, pero si el artefacto aún ocurre, la ganancia del receptor se puede disminuir manualmente . Los métodos de posprocesamiento también existen, pero pueden llevar mucho tiempo. RF OVERFLOW ARTIFACT
  • 17.
    El artefacto desombreado en la RM se refiere a la pérdida de intensidad de la señal en una parte de la imagen, lo que lleva a un sombreado oscuro en esta parte de la imagen. Causas • excitación desigual de los núcleos dentro del campo; debido a los impulsos de RF aplicados en ángulos de giro diferentes a 90 y 180 grados • carga anormal de la bobina o acoplamiento de la bobina en un punto (como en un paciente grande que toca un lado de la bobina) • inhomogeneidad en el campo magnético • Desbordamiento de convertidor analógico a digital Eje codificación de frecuencia codificación de fase SHADING ARTIFACT
  • 19.
    Como evitarlo: • cargala bobina correctamente • use la bobina del tamaño adecuado para el tamaño del paciente y la parte examinada • Evite que el paciente toque la bobina (puede usar almohadillas de espuma entre el paciente y la bobina) • Calce para reducir la falta de homogeneidad del campo magnético. • use los parámetros de escaneo adecuados para establecer la amplitud adecuada de los pulsos de RF aplicados (menos amplificación para evitar el desbordamiento del convertidor analógico a digital)
  • 20.
    También conocido comoenvolvente , es un artefacto de MRI que se encuentra con frecuencia cuando el campo de visión (FOV) es más pequeño que la parte del cuerpo que se está fotografiando. La parte del cuerpo que se encuentra más allá del borde del FOV se proyecta en el otro lado de la imagen. ARTEFACTO DE ALIASING
  • 22.
    El aliasing enMRI puede ser compensado por: • Ampliando el campo de visión (FOV) • usando bandas de Saturación en áreas fuera del FOV • software anti-aliasing • cambiando las direcciones de fase y frecuencia • use una bobina de superficie para reducir la señal fuera del área de interés
  • 23.
  • 24.
    El artefacto desuperposición de corte , también conocido como artefacto de solapamiento, es un nombre que se le da a la pérdida de señal que se ve en una imagen a partir de una adquisición de múltiples ángulos y múltiples cortes, como se obtiene comúnmente en la columna lumbar. Si los segmentos obtenidos en diferentes espacios de disco no son paralelos, entonces los segmentos pueden superponerse. Si se realizan dos niveles al mismo tiempo, por ejemplo, L4-5 y L5-S1, el nivel adquirido en segundo lugar incluirá giros que ya han sido saturados. Esto provoca una banda de pérdida de señal que se cruza horizontalmente en su imagen, generalmente peor posteriormente. SLICE-OVERLAP ARTIFACT
  • 26.
    Como evitarlo: Mientras elárea saturada permanezca por detrás del canal espinal, no causa daño.
  • 27.
    El artefacto deexcitación cruzada es un tipo de artefacto MRI y se refiere a la pérdida de señal dentro de un segmento debido a la preexcitación del pulso de RF destinado a un segmento adyacente. El perfil de frecuencia del pulso de RF es imperfecto; esto significa que durante la selección de cortes también existe cierto grado de excitación de los cortes adyacentes. Si se toma una imagen de esa porción adyacente durante el mismo TR (es decir, imágenes de múltiples cortes) o poco después (es decir, imágenes sin dejar un espacio), para empezar se saturará parcialmente, y la señal resultante se reducirá. Este fenómeno es más evidente en las secuencias de recuperación de inversión (180 °). CROSS-EXCITATION ARTIFACT (MRI)
  • 29.
    COMO EVITARLO: • dejandoun espacio mínimo de 1/3 de grosor de corte al obtener imágenes de cortes contiguos • Intercalado entre cortes • empleando imágenes en 3D si se requieren imágenes de volumen • utilizando secuencias de impulsos optimizadas que tienen una penalización de tiempo de un TE mínimo más alto y un número reducido de cortes para un TR dado
  • 30.
  • 31.
    El artefacto demovimiento codificado en fase es uno de los muchos artefactos de MRI que se producen como resultado del movimiento del tejido / fluido durante la exploración. Se manifiesta como efecto fantasma en la dirección de la codificación de fase, generalmente en la dirección del eje corto de la imagen (es decir, de izquierda a derecha en los cerebros axial o coronal, y anterior a posterior en el abdomen axial). Estos artefactos se pueden ver en las pulsaciones arteriales, la deglución, la respiración, el peristaltismo y el movimiento físico de un paciente. Cuando se proyecta sobre la anatomía, puede simular una patología y necesita ser reconocida. El movimiento aleatorio, como el movimiento del paciente, produce un borrón en la dirección de la fase. El movimiento periódico, como la pulsación respiratoria o cardíaca / vascular, produce fantasmas discretos y bien definidos. El espacio entre estos fantasmas está relacionado con el tiempo de repetición (TR) y la frecuencia del movimiento. PHASE-ENCODED MOTION ARTIFACT
  • 32.
    Las formas deidentificar artefactos de fase incluyen: 1.identificar las estructuras conocidas de movimiento / flujo y observar que el artefacto está en línea con ellas (horizontal o vertical según la orientación de la codificación de fase) 2.hacer coincidir la forma del fantasma con la del vaso que fluye (p. ej., pseudolesión redonda debido al fantasma de la aorta) 3.Amplia ventana para ver fantasmas repetitivos más allá de los límites de la anatomía. 4.se pueden distinguir de Gibbs o artefactos de truncamiento porque se extienden por todo el campo de visión, a diferencia de los artefactos de truncamiento que disminuyen rápidamente alejándose del límite que los causa.
  • 34.
    LAS SOLUCIONES PARAEL DESAJUSTE DE FASE INCLUYEN: • activación cardíaca / respiratoria • bandas de saturación espacial colocadas sobre tejidos en movimiento (p. ej., sobre el cuello anterior en espinas cervicales sagitales) • Bandas de saturación espacial situadas fuera del FOV, especialmente antes de la entrada o después del corte de salida para reducir el efecto fantasma del flujo vascular: arterial y venoso • Exploración propensa a reducir la excursión abdominal. • Cambio de fase y direcciones de frecuencia • aumentando el número de promedios de señal • acortar el tiempo de exploración cuando el movimiento es del movimiento del paciente
  • 35.
    El fenómeno dela tajada de entrada se produce cuando los espines insaturados en la sangre entran por primera vez en una tajada. Se caracteriza por la señal luminosa en un vaso sanguíneo (arteria o vena) en el primer corte en que ingresa el vaso. Por lo general, la señal se ve en más de una porción, desvaneciéndose con la distancia. Este mecanismo se utiliza de manera positiva para generar angiogramas de vuelo MR. Este artefacto ha sido confundido con trombosis con resultados desastrosos ENTRY SLICE PHENOMENON
  • 37.
    Como identificarla: • Laubicación característica y, si es necesario, el uso de técnicas de flujo de eco de gradiente se pueden utilizar para diferenciar los artefactos de los cortes de entrada de las oclusiones. • Las bandas de saturación espacial ubicadas antes del primer corte y después del último se pueden usar para eliminar este artefacto.
  • 38.
  • 39.
    El artefacto dellímite negro , también conocido como artefacto de tinta de la India o artefacto de cambio químico tipo 2 , es una línea negra creada artificialmente ubicada en las interfaces agua-grasa, como las que se encuentran entre el músculo y la grasa. Esto da como resultado una delineación nítida del límite músculo-grasa que otorga a la imagen una apariencia como si alguien hubiera delineado estas interfaces con tinta que a veces es visualmente atractiva pero no una estructura anatómica. Este artefacto se produce en secuencias de eco de gradiente (GE) como resultado de la selección de un tiempo de eco (TE) en el que los espines de grasa y agua (ubicados en el mismo vóxel en una interfaz) están desfasados, cancelando entre sí. BLACK BOUNDARY ARTIFACT
  • 40.
    Aplicaciones Ayudas en eldiagnóstico de enfermedades benignas : •Hipertrofia lipomatosa del tabique interauricular. •grasa pancreática focal •angiomiolipoma renal rico en grasa Ayudas en la identificación de la inflamación : •pancreatitis aguda •paniculitis mesentérica •infarto omental
  • 42.
    Para evitar esteartefacto: • Elija TEs cerca de 4.5 ms, 9 ms, 13.6 ms • la supresión de grasa puede ser utilizada • usa la secuencia SE en lugar de GE
  • 43.
    El ángulo mágicoes un artefacto de MRI que se produce en secuencias con un TE corto (menos de 32 ms; secuencias T1W , secuencias PD y secuencias de gradiente de eco ). Se limita a las regiones de colágeno estrechamente ligadas a 54.74 ° del campo magnético principal (B 0 ), y aparece hiperintensa, por lo que puede confundirse con una tendinopatía. MAGIC ANGLE EFFECT (MRI ARTIFACT)
  • 44.
    Los sitios típicosincluyen: • Parte proximal del ligamento cruzado posterior (LCP) • Tendón infrapatelar en la inserción tibial. • Tendones peroneos a medida que se enganchan alrededor del maléolo lateral. • El cartílago puede verse afectado, por ejemplo, los cóndilos femorales. • tendón supraespinoso • Complejo de fibrocartílago triangular (si se toma una imagen del paciente con el brazo elevado)
  • 46.
    Como evitarlo: Tiende aocurrir solo en secuencias cortas de TE (por ejemplo, T1, GRE, PD), se pueden usar secuencias con un TE más largo (por ejemplo, T2 incluyendo FSE T2) para evitar este artefacto.
  • 47.
    ARTEFACTOS POR SUSCEPTIBILIDAD MAGNÉTICA(SM) - Materiales Diamagnéticos: SM < 0 - Materiales Paramagnéticos: SM > 0 - Materiales Ferromagnéticos: SM >>1 •Cuando en una misma región existen sustancias con diferente susceptibilidad magnética, el campo magnético local será en esta región muy inhomogéneo. •Normalmente la mayor parte de los tejidos poseen una susceptibilidad magnética parecida y las inhomogeneidades son despreciables.
  • 53.
    El artefacto enfloración es un artefacto de susceptibilidad encontrado en algunas secuencias de MRI en presencia de sustancias paramagnéticas que afectan los ambientes magnéticos locales. Aunque es un artefacto, puede ser explotado deliberadamente para mejorar la detección de ciertas lesiones pequeñas, así como los efectos de acortamiento de T1 de baja concentración de gadolinio se utilizan para detectar el aumento de contraste . Una de las secuencias más poderosas y ampliamente disponibles que maximiza el artefacto en floración con gran efecto es la imagen ponderada por susceptibilidad (SWI) . BLOOMING ARTEFACT (MRI)
  • 54.
    La floración seve rodeando una serie de compuestos: •hemosiderina de hemorragia previa, por ej. • malformaciones cavernosas • antigua hemorragia intracerebral • lesión axonal difusa • siderosis superficial •calcificación, particularmente distrófica, por ejemplo • Neurocisticercosis (etapa granulomatosa) •metal por ejemplo • Fragmentos quirúrgicos o traumáticos. •gas por ejemplo • embolia gaseosa
  • 56.
    • Se produceen el sentido de la codificación de frecuencia, y se traduce por una banda en forma de semiluna de hiposeñal que se alterna con otra banda de hiperseñal • Esto ocurre en las zonas anatómicas donde las interfaces de tejidos son de composición muy distinta como es el interfaz de grasa a agua. ARTEFACTO DE DESPLAZAMIENTO QUÍMICO
  • 57.
  • 60.
    Estos efectos puedenusarse para confirmar, por ejemplo, la presencia de grasa intracelular en una lesión. • Utilizar técnicas de supresión grasa (Stir, Fat.Sat,…) Aumentar el ancho de banda disminuirá el artefacto las imágenes con supresión de grasa se pueden utilizar para eliminar el registro incorrecto de cambios químicos y el artefacto de borde negro • Cambiar la dirección de codificación (no elimina el artefacto pero en caso de diagnóstico dudoso, desplaza la dirección del artefacto). • El cambio químico aumenta con la fuerza del campo magnético • El cambio químico aumenta con la disminución de la fuerza del gradiente. • El artefacto de cambio químico depende del ancho de banda; cuanto más estrecho sea el ancho de banda, mayor será el desplazamiento químico. el uso de una secuencia de eco de espín en lugar de un gradiente de eco puede eliminar el artefacto del borde negro pero no el registro incorrecto de cambios químicos.
  • 61.
    El artefacto deefecto dieléctrico se encuentra con mayor frecuencia en la RM de cuerpo con 3 unidades T. Artefacto A 3 T, la longitud de onda de radiofrecuencia (RF) mide 234 cm en el aire, y la velocidad y la longitud de onda del campo de RF se acortan a ~ 26 cm dentro del cuerpo como resultado de los efectos dieléctricos. Sin embargo, este campo de visión de 26 cm es aproximadamente el diámetro de la sección transversal de la mayoría de los estudios de imagen corporal. Con diámetros abdominales del paciente que exceden la longitud de onda de RF (por ejemplo, pacientes con cirrosis y ascitis o pacientes embarazadas), pueden surgir patrones de interferencia constructivos y destructivos. En la IRM corporal, esto puede provocar oscurecimiento / sombreado en el centro de la imagen. A 7,0 T, la longitud de onda de RF en el tejido disminuye a ~ 11 cm. DIELECTRIC EFFECT ARTIFACT
  • 63.
    Mejora • cambiar laimagen a un sistema <3.0 T • drenar la ascitis antes de tomar imágenes de un paciente con cirrosis para disminuir la posibilidad de que ocurra el artefacto
  • 64.
    TRANSFORMADA DE FOURIER YTEOREMA DE MUESTREO DE NYQVIS
  • 65.
    El artefacto Gibbses un tipo de artefacto MRI . Se refiere a una serie de líneas en la imagen de RM paralelas a cambios abruptos e intensos en el objeto en esta ubicación, como el LCR - médula espinal y la interfaz cráneo-cerebro La imagen MR se reconstruye a partir del espacio k, que es un muestreo finito de la señal sometida a la transformada de Fourier inversa para obtener la imagen final. En los límites de alto contraste (discontinuidad del salto en términos matemáticos), la transformada de Fourier corresponde a un número infinito de frecuencias. Como el muestreo de RM es finito, la discrepancia se manifiesta en la imagen reconstruida en forma de una serie de líneas. Estos pueden aparecer en las direcciones de codificación de fase y codificación de frecuencia. GIBBS AND TRUNCATION ARTIFACTS
  • 67.
    Como evitarlo: • aumentarel tamaño de la matriz (es decir, la frecuencia de muestreo para la dirección de frecuencia y el número de pasos de codificación de fase para la dirección de fase) • uso de filtros de suavizado (filtrado exponencial 2-D, reconstrucción de Gegenbauer, etc.) • Si la grasa es uno de los límites, use supresión de grasa.
  • 68.
    El artefacto derelleno cero es uno de los muchos artefactos de MRI y se debe a que faltan datos o están en cero en la matriz de espacio K durante el escaneo. El cambio abrupto de señal a no señal da como resultado artefactos en las imágenes que muestran bandas alternas de sombreado y oscuridad, a menudo en una dirección oblicua. Un pico en el espacio k a partir de una chispa electrostática es otro artefacto que causa rayas oblicuas ZERO FILL ARTIFACT
  • 70.
    CONCLUSION Los artefactosson causados ​​por una variedad de factores que pueden estar relacionados con el paciente, como el movimiento voluntario y fisiológico, implantes metálicos o cuerpos extraños. El muestreo finito, la codificación del espacio k y la transformación de Fourier pueden causar aliasing y artefactos de Gibbs. Las características de las secuencias de pulsos pueden causar artefactos de borde negro, Moiré y de codificación de fase. Los problemas de hardware pueden causar artefactos de desbordamiento de RF y puntos centrales. Recuerde que los artefactos no son todos malos, y que ocasionalmente son explotados intencionalmente, por ejemplo, artefactos de susceptibilidad.