ATELECTASIADOCENTE:   Lic. Lourdes ZeballosEstudiante:   María Teresa VelardeLisett LagunaBlanca Serrano   Pamela Coaquira                       Verónica Mata
DEFINICION   Es el colapso de una parte o de todo el pulmón, de los La atelectasia es la disminución del volumen pulmonar. Se debe a la restricción de la vía aérea.Es el colapso del tejido pulmonar que impide el intercambio respiratorio de dióxido de carbono y oxigeno; que puede afectar parte o todo un pulmón.     Debido a la restricción bronquial, el aire no fluye al tejido pulmonar.      El aire que inicialmente estaba en los alveolos se reabsorbe o pasa a los alvéolos vecinos a través de los poros de comunicación entre las paredes alveolares.      La consecuencia es que esa zona de pulmón se va retrayendo y colapsando.     La atelectasia puede afectar a personas de todas las edades, pero es más común en niñosmenores de 10 años.
LA ATELECTASIA AGUDA :se observa como una zona de pulmón deprimida, bien delimitada, rojo oscuro, húmeda, con escasa o nula crepitación  Son reversibles.  LA ATELECTASIA CRÓNICA :se observa como un área deprimida, limitada, anémica, seca con escasa o nula crepitación. La atelectasia crónica conduce con frecuencia a la induración atelectasica. Se produce en estos casos fibrosis intersticial con organización del edema (carnificación), hiperplasia del epitelio alveolar y un aumento del tejido elástico (cirrosis elástica) y frecuentemente organización del exudado alveolar.Se reconocen dos formas de atelectasia: la atelectasia primaria o fetal y la atelectasia secundaria o adquirida. 
ATELECTASIA PRIMARIAEn los mortinatos, los pulmones son rojo oscuro y están completamente desprovistos de aire.      Se palpan difusamente compactos. La prueba de la flotación o docimasia es negativa.Histológicamente el epitelio alveolar es prominente, se ve como una capa continua de células cúbicas.     Las causas son: obstrucción de las vías respiratorias (malformaciones, aspiración), estímulo respiratorio inadecuado (hemorragias encefálicas) y falta de sustancia tenso activa pulmonar (inmadurez: membranas hialinas idiopáticas).
ATELECTASIA  SECUNDARIALos mecanismos son relajación (falta de succión), compresión y obstrucción con reabsorción.La atelectasia por compresión suele ser focal y se produce por desplazamiento y aumento de la presión del tejido adyacente. Los tumores, quistes, cavernas tuberculosas, que ocupan espacio, producen compresión del tejido pulmonar adyacente. Aparece colapsado, elástico, gris pardusco, con anemia y edema. Los derrames pleurales laminares comprimen el pulmón desde las partes dorsales y basales.
El aire del acino se reabsorbe en minutos y el de un lóbulo, en 24 a 48 horas. El tamaño de la atelectasia depende del tamaño del bronquio obstruido. Se distinguen el colapso pulmonar masivo (secreciones espesas en todo el árbol bronquial), las atelectasias lobulares y segmentarias (cuerpos extraños, tumores, etc.) y las atelectasias lobulillares y acinosas (microatelectasias; bronquiolitis, shock).
CAUSAS DE LA ATELECTASIALa atelectasia es causada por una obstrucción de las vías aéreas (bronquios o bronquiolos) o por presión en la parte externa del pulmón.Atelactasia obstructiva (el tipo más común):Taponamiento con flema espesa, a causa de una infección u otra enfermedad.Inhalación de objetos, tales como juguetes pequeños o cacahuates.Cirugía del pecho (torácica) o abdominal.Atelactasia no obstructiva:Efusión pleural (líquido en los pulmones).Neumotórax (aire en el área alrededor de los pulmones).Tumores.Falta del agente flotador (una sustancia en los pulmones).Información del Proveedor del Cuidado de la SaludCicatrices en el tejido pulmonar (debido a una enfermedad).Trauma (lesión) del pulmón.Glándulas linfáticas engrandecidas.
FACTORES DE RIESGOLos factores de riesgo para desarrollar atelectasia abarcan:     Anestesia     Objetos extraños en las vías respiratorias (más común en los niños)Enfermedad pulmonar obstructiva crónica.Obesidad. Enfermedad pulmonar congénita, tal como fibrosis quística. Enfermedad neuromuscular. Fumar. Asma.Enfermedades pulmonares: Moco que tapona las vías respiratoriasPresión pulmonar causada por la acumulación de líquido entre las costillas y los pulmonesReposo prolongado en cama con pocos cambios de posiciónRespiración superficialTumores que obstruyen la vía respiratoria
SIGNOS Y SINTOMAS Colapso masivo súbito: Dolor torácico Dificultad respiratoria Falta de aire; respiración rápida.Dolor  pleuralCianosisShock (debilidad, palidez, palpitaciones rápidas).Mareos.Colapso gradual:Tos. Fiebre. Falta de aire. Algunas veces, no hay síntomas notables
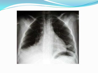
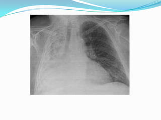
EXAMENESBroncoscopia Radiografía de tórax: Detecta los siguientes signos radiológicos:Desplazamiento de las cisuras.Desplazamiento de mediastinoElevación del hemidiafragma.Aproximación arcos costales.Enfisema compensador.Aumento de la densidad pulmonar sin broncograma.En el adulto previamente sano que presente una atelectasia hay que sospechar una neoplasias que obstruye el bronquio.
TRATAMIENTOEl objetivo del tratamiento es suprimir la obstrucción bronquial, por ejemplo extrayendo las secreciones pulmonares y  re expandir el área pulmonar colapsada. Las medidas terapéuticas para curar la atelectasia son:Permanecer recostado sobre el lado no afectado para ser ayudado por la fuerza de gravedad en la llegada de oxigeno y permitir la reexpansión del pulmón.Drenaje postural específico del área colapsada para favorecer la movilización del tapón o cuerpo extraño hacia la boca. El drenaje postural se basa en la colocación del paciente en determinadas posturas mantenidas en el tiempo, en las que, por efecto de la gravedad, los bronquios ocupados se vacían hacia la tráquea para la posterior salida del contenido al exterior.
Aplicación de sistemas de humidificación e incluso medicación fluidificante en nebulización si el tapón mucoso es muy adherente.Extraer el cuerpo extraño, si lo hay, mediante una broncoscopia u otro procedimiento.Realizar ejercicios de respiración profunda mediante fisioterapia respiratoria como:Ejercicios respiratorios de ventilación localizada del área afectada.     Técnicas de espiración forzada para favorecer el arrastre del tapón mucoso o del cuerpo extraño.Ejercicios diafragmáticos: Son ejercicios respiratorios que implican una adecuada contracción del diafragma, músculo fundamental de la respiración, para favorecer la reexpansión del tejido pulmonar colapsado.
Realizar palmoteo (percusión) del tórax para aflojar el moco.Realizar ejercicios de respiración profunda (espirometría incentiva).Retirar cualquier obstrucción por broncoscopia u otro procedimiento.Inclinar la persona de manera que la cabeza quede más baja que el tórax (llamado drenaje postural), lo cual permite que el moco drene más fácilmente.Tratar un tumor o afección subyacente, si existe.Voltear a la persona de manera que se acueste sobre el lado sano, permitiendo que el área del pulmón colapsada se expanda nuevamente.Utilizar tratamientos respiratorios con aerosoles (medicamentos inhalados) para abrir las vía respiratoria
EXPECTATIVAS PRONOSTICOSEn un adulto, la atelectasia en una área pequeña del pulmón por lo general no es potencialmente mortal. El resto del pulmón puede suplir o compensar el área colapsada, trayendo oxígeno suficiente para que el cuerpo funcione.Las atelectasias grandes pueden ser mortales, sobre todo en un bebé o un niño pequeño, o alguien que tenga otra enfermedad o padecimiento pulmonar.El pulmón colapsado generalmente se vuelve a expandir en forma gradual una vez que la obstrucción ha sido eliminada. Sin embargo, se puede presentar algo de cicatrización o daño.
COMPLICACIONESDespués de la atelectasia, se puede desarrollar rápidamente una neumonía.Las atelectasias masivas pueden ocasionar el colapso completo de un pulmón.Situaciones que requieren asistencia médicaConsulte con el médico si desarrolla síntomas de atelectasia.
PREVENCIONEstimule el movimiento y las respiraciones profundas en alguien postrado en cama por períodos prolongados.Mantenga los objetos pequeños fuera del alcance de los niños pequeños.Mantenga la respiración profunda después de una anestesia.
Fomentar la respiración profunda adecuada y la tos para prevenir la acumulación de secreciones y expulsar el exudados.Cambiar frecuentemente de posición al paciente, sobre todo de supina a vertical para fomentar la ventilación y prevenir la acumulación de secreciones.Fomentar la expansión adecuada del tórax durante la respiración para aerear plenamente los pulmones.Ejecutar drenaje postural y percusión del tórax. Caminar lo mas pronto posible.Enseñar la técnica adecuada para espirometria de incentivos
GRACIAS POR SU ATENCIÓN

Atelectasia presentacion

  • 1.
    ATELECTASIADOCENTE: Lic. Lourdes ZeballosEstudiante: María Teresa VelardeLisett LagunaBlanca Serrano Pamela Coaquira Verónica Mata
  • 2.
    DEFINICION Es el colapso de una parte o de todo el pulmón, de los La atelectasia es la disminución del volumen pulmonar. Se debe a la restricción de la vía aérea.Es el colapso del tejido pulmonar que impide el intercambio respiratorio de dióxido de carbono y oxigeno; que puede afectar parte o todo un pulmón. Debido a la restricción bronquial, el aire no fluye al tejido pulmonar. El aire que inicialmente estaba en los alveolos se reabsorbe o pasa a los alvéolos vecinos a través de los poros de comunicación entre las paredes alveolares. La consecuencia es que esa zona de pulmón se va retrayendo y colapsando. La atelectasia puede afectar a personas de todas las edades, pero es más común en niñosmenores de 10 años.
  • 4.
    LA ATELECTASIA AGUDA:se observa como una zona de pulmón deprimida, bien delimitada, rojo oscuro, húmeda, con escasa o nula crepitación Son reversibles. LA ATELECTASIA CRÓNICA :se observa como un área deprimida, limitada, anémica, seca con escasa o nula crepitación. La atelectasia crónica conduce con frecuencia a la induración atelectasica. Se produce en estos casos fibrosis intersticial con organización del edema (carnificación), hiperplasia del epitelio alveolar y un aumento del tejido elástico (cirrosis elástica) y frecuentemente organización del exudado alveolar.Se reconocen dos formas de atelectasia: la atelectasia primaria o fetal y la atelectasia secundaria o adquirida. 
  • 5.
    ATELECTASIA PRIMARIAEn losmortinatos, los pulmones son rojo oscuro y están completamente desprovistos de aire. Se palpan difusamente compactos. La prueba de la flotación o docimasia es negativa.Histológicamente el epitelio alveolar es prominente, se ve como una capa continua de células cúbicas. Las causas son: obstrucción de las vías respiratorias (malformaciones, aspiración), estímulo respiratorio inadecuado (hemorragias encefálicas) y falta de sustancia tenso activa pulmonar (inmadurez: membranas hialinas idiopáticas).
  • 6.
    ATELECTASIA SECUNDARIALosmecanismos son relajación (falta de succión), compresión y obstrucción con reabsorción.La atelectasia por compresión suele ser focal y se produce por desplazamiento y aumento de la presión del tejido adyacente. Los tumores, quistes, cavernas tuberculosas, que ocupan espacio, producen compresión del tejido pulmonar adyacente. Aparece colapsado, elástico, gris pardusco, con anemia y edema. Los derrames pleurales laminares comprimen el pulmón desde las partes dorsales y basales.
  • 7.
    El aire delacino se reabsorbe en minutos y el de un lóbulo, en 24 a 48 horas. El tamaño de la atelectasia depende del tamaño del bronquio obstruido. Se distinguen el colapso pulmonar masivo (secreciones espesas en todo el árbol bronquial), las atelectasias lobulares y segmentarias (cuerpos extraños, tumores, etc.) y las atelectasias lobulillares y acinosas (microatelectasias; bronquiolitis, shock).
  • 9.
    CAUSAS DE LAATELECTASIALa atelectasia es causada por una obstrucción de las vías aéreas (bronquios o bronquiolos) o por presión en la parte externa del pulmón.Atelactasia obstructiva (el tipo más común):Taponamiento con flema espesa, a causa de una infección u otra enfermedad.Inhalación de objetos, tales como juguetes pequeños o cacahuates.Cirugía del pecho (torácica) o abdominal.Atelactasia no obstructiva:Efusión pleural (líquido en los pulmones).Neumotórax (aire en el área alrededor de los pulmones).Tumores.Falta del agente flotador (una sustancia en los pulmones).Información del Proveedor del Cuidado de la SaludCicatrices en el tejido pulmonar (debido a una enfermedad).Trauma (lesión) del pulmón.Glándulas linfáticas engrandecidas.
  • 11.
    FACTORES DE RIESGOLosfactores de riesgo para desarrollar atelectasia abarcan: Anestesia Objetos extraños en las vías respiratorias (más común en los niños)Enfermedad pulmonar obstructiva crónica.Obesidad. Enfermedad pulmonar congénita, tal como fibrosis quística. Enfermedad neuromuscular. Fumar. Asma.Enfermedades pulmonares: Moco que tapona las vías respiratoriasPresión pulmonar causada por la acumulación de líquido entre las costillas y los pulmonesReposo prolongado en cama con pocos cambios de posiciónRespiración superficialTumores que obstruyen la vía respiratoria
  • 12.
    SIGNOS Y SINTOMASColapso masivo súbito: Dolor torácico Dificultad respiratoria Falta de aire; respiración rápida.Dolor pleuralCianosisShock (debilidad, palidez, palpitaciones rápidas).Mareos.Colapso gradual:Tos. Fiebre. Falta de aire. Algunas veces, no hay síntomas notables
  • 13.
    EXAMENESBroncoscopia Radiografía detórax: Detecta los siguientes signos radiológicos:Desplazamiento de las cisuras.Desplazamiento de mediastinoElevación del hemidiafragma.Aproximación arcos costales.Enfisema compensador.Aumento de la densidad pulmonar sin broncograma.En el adulto previamente sano que presente una atelectasia hay que sospechar una neoplasias que obstruye el bronquio.
  • 15.
    TRATAMIENTOEl objetivo deltratamiento es suprimir la obstrucción bronquial, por ejemplo extrayendo las secreciones pulmonares y re expandir el área pulmonar colapsada. Las medidas terapéuticas para curar la atelectasia son:Permanecer recostado sobre el lado no afectado para ser ayudado por la fuerza de gravedad en la llegada de oxigeno y permitir la reexpansión del pulmón.Drenaje postural específico del área colapsada para favorecer la movilización del tapón o cuerpo extraño hacia la boca. El drenaje postural se basa en la colocación del paciente en determinadas posturas mantenidas en el tiempo, en las que, por efecto de la gravedad, los bronquios ocupados se vacían hacia la tráquea para la posterior salida del contenido al exterior.
  • 16.
    Aplicación de sistemasde humidificación e incluso medicación fluidificante en nebulización si el tapón mucoso es muy adherente.Extraer el cuerpo extraño, si lo hay, mediante una broncoscopia u otro procedimiento.Realizar ejercicios de respiración profunda mediante fisioterapia respiratoria como:Ejercicios respiratorios de ventilación localizada del área afectada. Técnicas de espiración forzada para favorecer el arrastre del tapón mucoso o del cuerpo extraño.Ejercicios diafragmáticos: Son ejercicios respiratorios que implican una adecuada contracción del diafragma, músculo fundamental de la respiración, para favorecer la reexpansión del tejido pulmonar colapsado.
  • 17.
    Realizar palmoteo (percusión)del tórax para aflojar el moco.Realizar ejercicios de respiración profunda (espirometría incentiva).Retirar cualquier obstrucción por broncoscopia u otro procedimiento.Inclinar la persona de manera que la cabeza quede más baja que el tórax (llamado drenaje postural), lo cual permite que el moco drene más fácilmente.Tratar un tumor o afección subyacente, si existe.Voltear a la persona de manera que se acueste sobre el lado sano, permitiendo que el área del pulmón colapsada se expanda nuevamente.Utilizar tratamientos respiratorios con aerosoles (medicamentos inhalados) para abrir las vía respiratoria
  • 19.
    EXPECTATIVAS PRONOSTICOSEn unadulto, la atelectasia en una área pequeña del pulmón por lo general no es potencialmente mortal. El resto del pulmón puede suplir o compensar el área colapsada, trayendo oxígeno suficiente para que el cuerpo funcione.Las atelectasias grandes pueden ser mortales, sobre todo en un bebé o un niño pequeño, o alguien que tenga otra enfermedad o padecimiento pulmonar.El pulmón colapsado generalmente se vuelve a expandir en forma gradual una vez que la obstrucción ha sido eliminada. Sin embargo, se puede presentar algo de cicatrización o daño.
  • 20.
    COMPLICACIONESDespués de laatelectasia, se puede desarrollar rápidamente una neumonía.Las atelectasias masivas pueden ocasionar el colapso completo de un pulmón.Situaciones que requieren asistencia médicaConsulte con el médico si desarrolla síntomas de atelectasia.
  • 21.
    PREVENCIONEstimule el movimientoy las respiraciones profundas en alguien postrado en cama por períodos prolongados.Mantenga los objetos pequeños fuera del alcance de los niños pequeños.Mantenga la respiración profunda después de una anestesia.
  • 22.
    Fomentar la respiraciónprofunda adecuada y la tos para prevenir la acumulación de secreciones y expulsar el exudados.Cambiar frecuentemente de posición al paciente, sobre todo de supina a vertical para fomentar la ventilación y prevenir la acumulación de secreciones.Fomentar la expansión adecuada del tórax durante la respiración para aerear plenamente los pulmones.Ejecutar drenaje postural y percusión del tórax. Caminar lo mas pronto posible.Enseñar la técnica adecuada para espirometria de incentivos
  • 23.