Atlas de Radiología Normal
CÁTEDRA DE DIAGNÓSTICO POR IMÁGENES
Autoras:
Dra. Bogdanich Goycoa Manuela
Dra. Capiel María Celina
Tántera Fernández Florencia
Colaboradores:
Dr. Capiel Carlos
Dr. Constantino Sebastian
Dr. Rossini Sebastian
En Diagnóstico por Imágenes, la anatomía normal es la base para comprender la patología
macroscópica. Así mismo, la clínica tiene un correlato práctico directo con las alteraciones de cada una
de las estructuras.
De esta forma, es de fundamental relevancia conocer la anatomía normal en imágenes, para luego
poder detectar la anormalidad. Sin esta base de conocimiento, es prácticamente imposible llegar a un
diagnóstico certero.
La utilización del Diagnóstico por Imágenes permite sucesivamente la detección, caracterización y
estadificación de las alteraciones patológicas, para llegar a un diagnóstico y programar la terapéutica
adecuada a cada paciente.
El objetivo de este atlas, es proveer una primera aproximación a la anatomía normal básica en
imágenes para estudiantes de la Facultad de Ciencias Médicas y para médicos recién graduados.
I. TÓRAX
Radiografía de Tórax
(Frente y Perfil)
Radiografía de Tórax Normal (Frente)
Radiografía de Tórax Normal (Perfil)
Estructuras óseas en Radiografía de Tórax (Frente)
Esquema de Radiografía de Tórax Normal (Frente): estructuras vasculares y cardíacas
Vena cava sup
Arteria
pulmonar der
Aurícula der
Ventrículo der
Aorta
Arteria
pulmonar izq
Ventrículo izq
Esquema de Radiografía de Tórax Normal (perfil): estructuras vasculares y cardíacas
Representación esquemática de estructuras vasculares y cardíacas
sobre Radiografía de Tórax Normal (Frente)
Arcos Cardíacos
Estructuras vasculares y cardíacas en Radiografía de Tórax Normal
(Perfil)
Arcos costales
Estructuras y espacios anatómicos en Radiografía de Tórax Normal
(Perfil)
Manubrio
esternal
Tráquea
Espacio
retroesternal
Cuerpo esternal
Corazón
Diafragma
Escápula
Cuerpo
Vertebral
Espacio
Retrocardiaco
Costilla
Seno
costodiafragmático
Estructuras y espacios anatómicos en Radiografía de Tórax Normal
(Perfil)
Arteria pulmonar izq
Bronquio izq
Arteria pulmonar der
Bronquio der
Límites del Mediastino: División Radiológica (Clasificación de Felson)
Anterior:
- Esternón
- Borde posterior cardíaco
- Borde anterior de la tráquea
Medio:
- Hasta 1 cm por detrás del
borde anterior de los
cuerpos vertebrales.
Posterior:
- Desde la parte posterior de
mediastino medio hasta los
surcos paravertebrales y
áreas posteriores de las
costillas.
P M A
Índice Cardiotorácico en Rx de Tórax Normal (Frente)
Índice Cardiotorácico
Normal :
(a + b )/ c ≤ 0.5
Lóbulos Pulmonares
Rx de Tórax Frente
Lóbulo Superior
Lóbulo Inferior
Lóbulo Medio
Lóbulos Pulmonares
Rx de Tórax Frente
Lóbulo Superior
Lóbulo Inferior
Lóbulo Medio
Lóbulos Pulmonares: pulmón derecho
Rx de Tórax Perfil
Lóbulos Pulmonares: pulmón izquierdo
Rx de Tórax Perfil
Segmentación Pulmonar (frente)
Apical
Anterior
Externo
Interno
Anterior
Externo
Apicoposterior
Anterior
Externo
Interno
Anterior
Externo
Segmentación Pulmonar
(perfil derecho)
Apical
Posterior
Anterior
Externo
Apical
Anterior
Externo
Posterior
Segmentación Pulmonar
(perfil izquierdo)
Apicoposterior
Anterior
Externo
Interno
Apical
Anterior
Externo
Posterior
1) Apical
2) Posterior
3) Anterior
4) Externo
5) Interno
6) Apical
7) Interno
8) Anterior
9) Externo
10) Posterior
1) Apicoposterior
2) Apicoposterior
3) Anterior
4) Externo
5) Interno
6) Apical
8) Anterior
9) Externo
10) Posterior
TC de Tórax
Cortes axiales, coronales y sagitales
Ventana mediastínica y pulmonar
Ventana Mediastínica
Ventana Pulmonar
Tráquea
Vena Yugular
Interna
Carótida
Arteria
axilar Cabeza
humeral
Escápula
Costilla
Clavícula
Ap. Transversa Lámina Ap. Espinosa
Pedículo
Cuerpo
Vertebral
Lóbulos
tiroideos
Cabeza humeral
Escápula
Costilla
Clavícula Ap. Transversa Lámina Ap. Espinosa Cuerpo
Vertebral
Pedículo
Ventana Mediastínica
Vena Yugular
Interna
Carótida
Arteria
axilar
Ventana Mediastínica
Ventana Mediastínica
Lóbulos
tiroideos
Cabeza humeral
Escápula
Costilla
Clavícula Ap. Transversa Lámina Ap. Espinosa Cuerpo
Vertebral
Pedículo
Ventana Mediastínica
Vena Yugular
Interna
Carótida
Arteria
axilar
Lóbulos
tiroideos
Ventana Pulmonar
Tráquea
Lóbulo superior
izq
Lóbulo superior der
Ventana Mediastínica
Esternón
Escápula
V.
braquiocefálica
izq
V. braquiocefálica
der
A. carótida izq
A. Subclavia izq
A. Braquiocefálica
A. Subclavia der
Lóbulo superior
izq
Esófago
Ventana Mediastínica
Esternón
Escápula
Ventana Mediastínica
Ventana Mediastínica
V.
braquiocefálica
izq
V. braquiocefálica
der
A. carótida izq
A. Subclavia izq
A. Braquiocefálica
A. Subclavia der
Ventana Mediastínica
Ventana Mediastínica
Ventana Mediastínica
Esternón
Escápula
V.
braquiocefálica
izq
V. braquiocefálica
der
A. carótida izq
A. Subclavia izq
A. Braquiocefálica
A. Subclavia der
Esófago
Ventana Mediastínica
Ventana Pulmonar
Cayado aórtico
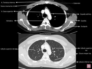
V. Cava superior
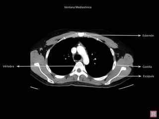
Costilla
Escápula
Esternón
Vértebra
A. Torácica interna
Vasos mamarios int
Lóbulo inferior izq
Lóbulo superior der Lóbulo superior
izq
Cisura mayor izq
Costilla
Escápula
Esternón
Vértebra
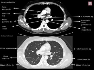
Ventana Mediastínica
Cayado
aórtico
V. Cava superior
A. Torácica interna
Vasos mamarios int
Ventana Mediastínica
Cayado
aórtico
V. Cava superior
Costilla
Escápula
Esternón
Vértebra
A. Torácica interna
Vasos mamarios int
Ventana Mediastínica
Ventana Mediastínica
Ventana Pulmonar
Bronquio fuente derecho Bronquio fuente
Izq
Cisura mayor
izq
Lóbulo inferior izq
Lóbulo superior
izq
Lóbulo superior der
Lóbulo inferior der
Cisura Mayor der
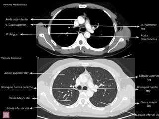
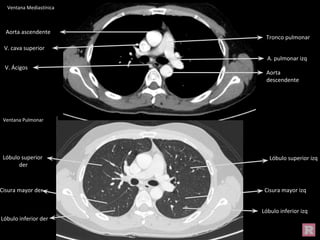
Aorta ascendente
Aorta
descendente
V. Cava superior A. Pulmonar
izq
V. Ácigos
Aorta ascendente
Aorta
descendente
V. Cava superior A. Pulmonar
izq
V. Ácigos
Ventana Mediastínica
Ventana Mediastínica
Ventana Pulmonar
Cisura mayor izq
Cisura mayor der
Lóbulo inferior izq
Lóbulo superior izq
Lóbulo superior
der
Lóbulo inferior der
Aorta ascendente
Tronco pulmonar
V. cava superior
Aorta
descendente
A. pulmonar izq
V. Ácigos
Aorta ascendente
Tronco pulmonar
V. cava superior
Aorta
descendente
A. pulmonar izq
V. Ácigos
Ventana Mediastínica
Ventana Mediastínica
Ventana Pulmonar
Cisura
mayor der
Lóbulo superior der
Lóbulo inferior der
Lóbulo superior izq
Lóbulo inferior izq
Cisura mayor izq
Aorta
descendente
V. Pulmonar izq
Arteria
pulmonar der
Rama de la
arteria
pulmonar izq
Aorta
ascendente
Vena cava
sup
Vena
Ácigos
Aorta
descendente
V. Pulmonar izq
Arteria
pulmonar der
Rama de la
arteria
pulmonar izq
Aorta
ascendente
Vena cava
sup
Vena
Ácigos
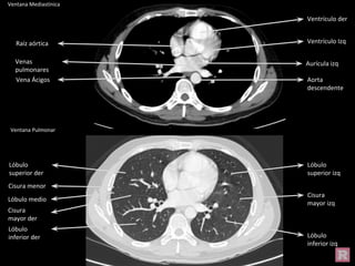
Ventana Mediastínica
Ventana Mediastínica
Ventana Pulmonar
Aorta
descendente
Vena Ácigos
Aurícula izq
Ventrículo der
Raíz aórtica
Venas
pulmonares
Ventrículo Izq
Cisura
mayor izq
Lóbulo
inferior izq
Lóbulo
superior izq
Lóbulo
superior der
Lóbulo
inferior der
Cisura menor
Cisura
mayor der
Lóbulo medio
Aorta
descendente
Vena Ácigos
Aurícula izq
Ventrículo der
Raíz aórtica
Venas
pulmonares
Ventrículo Izq
Ventana Mediastínica
Ventana Mediastínica
Ventana Pulmonar
Lóbulo superior izq
Lóbulo inferior izq
Cisura mayor izq
Lóbulo medio
Lóbulo inferior der
Cisura menor
Miocardio
Ventrículo izq
Aorta
descendente
Ventrículo der
Aurícula der
Tabique interventricular
Miocardio
Ventrículo izq
Aorta
descendente
Ventrículo der
Aurícula der
Tabique interventricular
Ventana Mediastínica
Ventana Mediastínica
Ventana Pulmonar
Cúpula
diafragmática
Ventrículo izq
Ventrículo der
Esófago
V. Ácigos
Vena cava inf
Aorta
descendente
Pericardio
Lóbulo medio
Lóbulo
inferior der
Lóbulo
superior izq
Lóbulo
inferior izq
Cisura menor
Cisura
mayor izq
Esófago
Ventrículo izq
Ventrículo der
V. Ácigos
Vena cava inf
Aorta
descendente
Pericardio
Ventana Mediastínica
Cúpula diafragmática
Esófago
Ventana Mediastínica
Cúpula
diafragmática
Ventrículo izq
Ventrículo der
Esófago
V. Ácigos
Vena cava inf
Aorta
descendente
Pericardio
Ventana Mediastínica
Ventana Mediastínica
Ventana Pulmonar
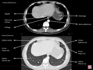
Hígado
Estómago
Vena cava
inferior
Aorta abdominal
Esófago
Lóbulo medio
Cisura
mayor der
Lóbulo
inferior der
Lóbulo
superior izq
Cisura
mayor izq
Lóbulo
inferior izq
Hígado
Estómago
Vena cava
inferior
Aorta abdominal
Esófago
Ventana Mediastínica
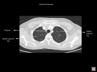
Tráquea
Ventana Pulmonar
Tráquea
Lóbulo
superior
izq
Lóbulo superior
der
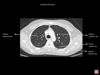
Ventana Pulmonar
Ventana Pulmonar
Lóbulo
inferior izq
Lóbulo
superior der
Lóbulo
superior izq
Cisura
mayor izq
Ventana Pulmonar
Bronquio
fuente der
Bronquio
fuente Izq
Cisura
mayor izq
Lóbulo
inferior izq
Lóbulo
superior izq
Lóbulo
superior der
Lóbulo
inferior der
Cisura
mayor der
Ventana Pulmonar
Cisura
mayor izq
Cisura
mayor der
Lóbulo
inferior izq
Lóbulo
superior izq
Lóbulo
superior der
Lóbulo
inferior der
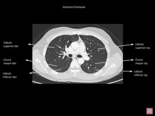
Ventana Pulmonar
Cisura
mayor der
Lóbulo
superior der
Lóbulo
inferior der
Lóbulo
superior izq
Lóbulo
inferior izq
Cisura
mayor izq
Ventana Pulmonar
Cisura
mayor izq
Lóbulo
inferior izq
Lóbulo
superior izq
Lóbulo
superior der
Lóbulo
inferior der
Cisura menor
Cisura
mayor der
Lóbulo medio
Ventana Pulmonar
Lóbulo
superior izq
Lóbulo
inferior izq
Cisura
mayor izq
Lóbulo medio
Lóbulo
inferior der
Cisura menor
Ventana Pulmonar
Lóbulo medio
Lóbulo
inferior der
Lóbulo
superior izq
Lóbulo
inferior izq
Cisura menor
Cisura
mayor izq
Lóbulo medio
Cisura
mayor der
Lóbulo
inferior der
Lóbulo
superior izq
Cisura
mayor izq
Lóbulo
inferior izq
Ventana Pulmonar
Aorta ascendente
Aurícula der
Tronco de la
A. Pulmonar
Ventrículo izq
Ventrículo der
Confluente
Yugulosubclavio
izquierdo
Ventana Mediastínica
Diafragma
Estómago
Hígado
Vena Porta
Ventana Mediastínica
Cisura mayor der
Cisura menor
Ventana Pulmonar
A. Pulmonar izq
Arco Aórtico
Ventrículo izq
Aurícula izq
A. Pulmonar der
V. Pulmonar izq
Ventana Mediastínica
Tráquea
Ventana Pulmonar
Cayado ácigos
Ventana Mediastínica
Bronquio del lóbulo inferior
der
Tráquea
Bronquio izq
Bronquio basal der
Bronquio der
Bronquio del lóbulo superior der
Ventana Pulmonar
Vasos sanguíneos
Cisura mayor
Ventana Pulmonar
Aorta abdominal
Aorta descendente
Aorta ascendente
V. Braquiocefálica der
Tronco arterial braquiocefálico
Ventrículo izq
Aurícula der
Aurícula izq
A. Pulmonar izq
Ventana Mediastínica
Hígado
Tráquea
Esternón
Pulmón der
Ventana Mediastínica
Estómago
Diafragma
Clavícula
Esternón
Hígado
Cuerpos vertebrales
Ventana Mediastínica
Ventrículo izquierdo
Tronco de la a. Pulmonar
Aurícula izquierda
Ventrículo derecho
Bronquio izquierdo
V. Pulmonares
Cayado aórtico
V. Yugular interna izquierda
Confluente yugulosubclavio
izquierdo
A. Vertebral
1
1. Válvula
pulmonar
Ventana Mediastínica
Reconstrucción 3D
Estructuras vasculares
Reconstrucción 3D
Estructuras vasculares
Reconstrucción 3D
Estructuras vasculares
Reconstrucción 3D
Estructuras vasculares
Reconstrucción 3D
Estructuras vasculares
Reconstrucción 3D
Tórax
Reconstrucción 3D
Tórax
Reconstrucción 3D

ATLAS ANATOMIA NORMAL TORAX .pptx (1).pdf