UNIVERSIDAD DE EL SALVADOR
FACULTAD DE MEDICINA
ESCUELA DE TECNOLOGIA MÉDICA
LICENCIATURA EN RADIOLOGIA E IMÁGENES
TAC DE TÓRAX SIMPLE, NORMAL Y TACAR
DOCENTE
LIC. NAPOLÉON VALENCIA
INTEGRANTES DEL GRUPO
MOLINA CRUZ, WILLIAM ORLANDO.
DIAZ ALVARADO, CLAUDIA BEATRIZ.
ESPINOSA RAMOS, LUIS OSMAR.
JOSÉ ALEXANDER FRANCO
IRVIN ELÍAS CARDONO
CIUDAD UNIVERSITARIA, SEPTIEMBRE DE 2014
ANATOMIA DEL TÓRAX
El cuerpo contiene varias cavidades entre ellas se
encuentra la cavidad torácica la cual contiene
órganos de vital importancia para el funcionamiento
del cuerpo entre ellos se encuentran el corazón, los
pulmones, el esófago la traque y grandes vasos
sanguíneos.
Esta cavidad se encuentra delimitada por las costillas
en sus porciones laterales derecha e izquierda, la
porción dorsal de la columna vertebral la delimita en
su parte posterior, el esternón en su porción anterior
y por el musculo diafragma en su porción inferior.
ESOFAGO
El esófago es un conducto músculo
membranoso (un tubo muscular), ubicado en la
parte media del tórax, que se extiende desde la
faringe hasta el estómago se ubica anterior a la
columna dorsal y posterior a la tráquea, es un
órgano que no tiene ninguna función dentro de
la cavidad torácica, solamente esta le sirve
como vía de paso para viajar a la cavidad
abdominal.
TRÁQUEA
La tráquea es una parte muy importante del aparato
respiratorio, es el tubo que conecta la nariz y la boca
(LARINGE) con los bronquios y los pulmones, La
tráquea tiene forma de tubo y está compuesta por
anillos cartilaginosos Comienza en la parte inferior de
la laringe 6ª O 7ª vértebra cervical y continua hacia el
tórax dónde se bifurca hasta la 4ª vertebra torácica a
esta altura se encuentra la Carina la cual divide los
bronquios izquierdo y derecho que unen la tráquea
con los pulmones La longitud media de la tráquea en
un adulto está entre los 10 y los 12 cm y un diámetro
entre 16 y 18 mm. El diámetro varía
considerablemente según la edad.
PULMONES
Los pulmones son dos órganos situados en el tórax y a
través de ellos se realiza la respiración. Están separados
por una zona denominada mediastino, espacio donde se
encuentran el corazón, la tráquea, el esófago y vasos
sanguíneos. El pulmón derecho está dividido por dos
cisuras (mayor y menor) en 3 partes, llamadas lóbulos
(superior, medio e inferior). El pulmón izquierdo tiene dos
lóbulos (superior e inferior) separados por una cisura
(cisura mayor). Esto se debe a que el corazón tiene una
inclinación oblicua hacia la izquierda y de atrás hacia
delante; reduciendo el volumen del pulmón izquierdo,
Los pulmones están cubiertos por una membrana
llamada pleura. Durante la respiración la pleura facilita
que los pulmones se contraigan y expandan.
CORAZON Y GRANDES VASOS
El corazón es un órgano hueco, de
estructura básicamente muscular, dotado de
movimiento propio, y que, gracias a sus
contracciones, actúa como motor del
aparato circulatorio, bombeando la sangre
desde el interior de sus cavidades hacia todo
el organismo.
LA CIRCULACIÓN SISTÉMICA
Transporta el oxigeno y los elementos
nutritivos hasta los tejidos del organismo y
elimina el anhídrido carbónico, los demás
residuos y el calor de los tejidos. Todas las
arterias sistémicas derivan de la aorta.
LA CIRCULACIÓN PULMONAR
Lleva la sangre desoxigenada desde el ventrículo
derecho a los alvéolos pulmonares y devuelve la
sangre, ya oxigenada en los pulmones, a la aurícula
izquierda. El tronco pulmonar sale del ventrículo
derecho y se dirige hacia arriba, hacia atrás y a la
izquierda. A continuación, se divide en dos ramas: la
arteria pulmonar derecha, que se dirige hacia el
pulmón derecho, y la arteria a pulmonar izquierda
hacia el pulmón izquierdo. Las arterias pulmonares
son las únicas arterias postnatales que llevan sangre
desoxigenada.
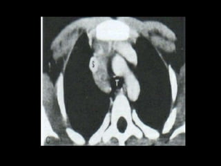
EL TIMO
El timo es un pequeño órgano linfático formado
por dos lóbulos. Ocupa el espacio mediastínico,
entre el corazón y el hueso del esternón. El desa
rrollo de esta glándula se inicia en la etapa fetal
hasta la pubertad, momento en que comienza a
evolucionar para atrofiarse en la edad adulta. La
función del timo es la producción y maduración
de linfocitos T, que son enviados por torrente sa
nguíneo hacia el bazo, amígdalas y a los gangli
os linfáticos.
Protocolo de Tórax Barrido Simple
Indicación Trauma, herida por arma de fuego.
Preparación del paciente Solicitarle placa de tórax.
Posición del paciente
Decúbito supino, los brazos a cada lado de la
cabeza con cabezal cuadrado se toma el
barrido en inspiración sostenida
Topograma AP de tórax (512 mm)
FOV Desde ápices pulmonares hasta diafragma
Grosor del corte
Unicorte 10x10 mm
Multicorte de 5 mm, post reconstrucción de
1.5 mm
Medio de contraste No
Ventana Mediastínica y pulmonar
Tipo de adquisición y post-construcción Cráneo-caudal. Axial
Nota
Tomar densidades en lesiones (liquidas,
derrames, etc.) se pueden agregar post
reconstrucciones multiplanares.
Protocolo de Tórax Normal
Indicación Metástasis, masas, tumores y neoplasias
Preparación del
paciente
Ayuno de 6hrs. Vena tomada catéter # 18 de preferencia y
examen de creatinina
Posición del paciente Decúbito supino, los brazos a cada lado de la cabeza con
cabezal cuadrado
Topograma AP de tórax (512mm)
F.O.V. Desde ápices pulmonares hasta diafragma
Grosor del corte Unicorte 10x10 mm
Multicorte de 5 mm, post reconstrucción de 1.5 mm
Medio de contraste Con inyector dual: de 3cc por seg. Y una prueba de 20ml de
solución salina, MDC: 80 a 120cc. Caudal de inyección
3cc/seg.
30 cc de solución salina a 3cc/seg. (para optimizar el MdC)
con 40 seg de retardo. Si (sólo se realiza fase contrastada)
Ventana Mediastínica y pulmonar
Tipo de adquisición y
post-construcción
Cráneo-caudal. Axial
Nota Tomar densidades en lesiones (liquidas, derrames, etc.)
hacer reconstrucciones en múltiples planos si lo amerita
Tórax de Alta Resolución
Indicación Enfermedad pulmonar obstructiva crónica (EPOC),
enfermedad pulmonar crónica intersticial (EPIC) y
fibrosis pulmonar
Preparación del paciente Ninguna
Posición del paciente Decúbito supino, los brazos a cada lado de la
cabeza con cabezal cuadrado
Topograma AP de tórax (512mm)
FOV Desde ápices pulmonares hasta diafragma
Grosor del corte Unicorte de 1 a 2 mm.
Multicorte de 5 mm, reconstrucción de 1 mm
Medio de contraste No
Ventana Pulmonar
Tipo de adquisición y post-construcción Axial, con reconstrucción multiplanar
Nota Magnificaciones de zonas patológicas
PATOLOGIAS
Enfermedad Pulmonar Obstructiva
Crónica, EPOC.
Trastorno de la ventilación pulmonar con obs
trucción crónica al flujo aéreo. Suele ser prog
resiva, puede acompañarse de hiperactivida
d bronquial y ser parcialmente reversible. Co
mprende la bronquitis crónica, el enfisema, l
as bronquiectasias y el asma bronquial.
Enfermedad Pulmonar Intersticial D
ifusa, EPID.
Enfermedad inflamatoria que afecta el
intersticio del parénquima pulmonar, es el
lugar a través del cual se da el intercambio
de O2 y el CO2, por lo cual una de las
consecuencias del EPID es la hipoxemia que
se da porque se ve afectado el intercambio
de gases lo cual mata al paciente.
Neumonía.
Inflamación aguda del parénquima
pulmonar en la que los alveolos y
bronquiolos se taponan por el acumuló de
un exudado fibrinoso. Suele cursar fiebre y
escalofríos, tos y dolor torácico.
Tuberculosis.
Infección bacteriana crónica, originada por el
Mycobacterium tuberculosis, que se caracter
iza por la formación de granulomas calseifica
ntes en los tejidos afectados y por una hipers
ensibilidad mediada por células.
Timoma.
Tumoración benigna o maligna originada en
las células epiteliales del timo.
ANATOMIA
RADIOLÓGICA
Tac de torax
Tac de torax
Tac de torax
Tac de torax
Tac de torax
Tac de torax
Tac de torax
Tac de torax
Tac de torax
Tac de torax
Tac de torax
Tac de torax
Tac de torax
Tac de torax
Tac de torax
Tac de torax
Tac de torax
Tac de torax
Tac de torax
Tac de torax
Tac de torax

Tac de torax

  • 1.
    UNIVERSIDAD DE ELSALVADOR FACULTAD DE MEDICINA ESCUELA DE TECNOLOGIA MÉDICA LICENCIATURA EN RADIOLOGIA E IMÁGENES TAC DE TÓRAX SIMPLE, NORMAL Y TACAR DOCENTE LIC. NAPOLÉON VALENCIA INTEGRANTES DEL GRUPO MOLINA CRUZ, WILLIAM ORLANDO. DIAZ ALVARADO, CLAUDIA BEATRIZ. ESPINOSA RAMOS, LUIS OSMAR. JOSÉ ALEXANDER FRANCO IRVIN ELÍAS CARDONO CIUDAD UNIVERSITARIA, SEPTIEMBRE DE 2014
  • 2.
    ANATOMIA DEL TÓRAX Elcuerpo contiene varias cavidades entre ellas se encuentra la cavidad torácica la cual contiene órganos de vital importancia para el funcionamiento del cuerpo entre ellos se encuentran el corazón, los pulmones, el esófago la traque y grandes vasos sanguíneos. Esta cavidad se encuentra delimitada por las costillas en sus porciones laterales derecha e izquierda, la porción dorsal de la columna vertebral la delimita en su parte posterior, el esternón en su porción anterior y por el musculo diafragma en su porción inferior.
  • 3.
    ESOFAGO El esófago esun conducto músculo membranoso (un tubo muscular), ubicado en la parte media del tórax, que se extiende desde la faringe hasta el estómago se ubica anterior a la columna dorsal y posterior a la tráquea, es un órgano que no tiene ninguna función dentro de la cavidad torácica, solamente esta le sirve como vía de paso para viajar a la cavidad abdominal.
  • 6.
    TRÁQUEA La tráquea esuna parte muy importante del aparato respiratorio, es el tubo que conecta la nariz y la boca (LARINGE) con los bronquios y los pulmones, La tráquea tiene forma de tubo y está compuesta por anillos cartilaginosos Comienza en la parte inferior de la laringe 6ª O 7ª vértebra cervical y continua hacia el tórax dónde se bifurca hasta la 4ª vertebra torácica a esta altura se encuentra la Carina la cual divide los bronquios izquierdo y derecho que unen la tráquea con los pulmones La longitud media de la tráquea en un adulto está entre los 10 y los 12 cm y un diámetro entre 16 y 18 mm. El diámetro varía considerablemente según la edad.
  • 8.
    PULMONES Los pulmones sondos órganos situados en el tórax y a través de ellos se realiza la respiración. Están separados por una zona denominada mediastino, espacio donde se encuentran el corazón, la tráquea, el esófago y vasos sanguíneos. El pulmón derecho está dividido por dos cisuras (mayor y menor) en 3 partes, llamadas lóbulos (superior, medio e inferior). El pulmón izquierdo tiene dos lóbulos (superior e inferior) separados por una cisura (cisura mayor). Esto se debe a que el corazón tiene una inclinación oblicua hacia la izquierda y de atrás hacia delante; reduciendo el volumen del pulmón izquierdo, Los pulmones están cubiertos por una membrana llamada pleura. Durante la respiración la pleura facilita que los pulmones se contraigan y expandan.
  • 11.
    CORAZON Y GRANDESVASOS El corazón es un órgano hueco, de estructura básicamente muscular, dotado de movimiento propio, y que, gracias a sus contracciones, actúa como motor del aparato circulatorio, bombeando la sangre desde el interior de sus cavidades hacia todo el organismo.
  • 13.
    LA CIRCULACIÓN SISTÉMICA Transportael oxigeno y los elementos nutritivos hasta los tejidos del organismo y elimina el anhídrido carbónico, los demás residuos y el calor de los tejidos. Todas las arterias sistémicas derivan de la aorta.
  • 14.
    LA CIRCULACIÓN PULMONAR Llevala sangre desoxigenada desde el ventrículo derecho a los alvéolos pulmonares y devuelve la sangre, ya oxigenada en los pulmones, a la aurícula izquierda. El tronco pulmonar sale del ventrículo derecho y se dirige hacia arriba, hacia atrás y a la izquierda. A continuación, se divide en dos ramas: la arteria pulmonar derecha, que se dirige hacia el pulmón derecho, y la arteria a pulmonar izquierda hacia el pulmón izquierdo. Las arterias pulmonares son las únicas arterias postnatales que llevan sangre desoxigenada.
  • 16.
    EL TIMO El timoes un pequeño órgano linfático formado por dos lóbulos. Ocupa el espacio mediastínico, entre el corazón y el hueso del esternón. El desa rrollo de esta glándula se inicia en la etapa fetal hasta la pubertad, momento en que comienza a evolucionar para atrofiarse en la edad adulta. La función del timo es la producción y maduración de linfocitos T, que son enviados por torrente sa nguíneo hacia el bazo, amígdalas y a los gangli os linfáticos.
  • 18.
    Protocolo de TóraxBarrido Simple Indicación Trauma, herida por arma de fuego. Preparación del paciente Solicitarle placa de tórax. Posición del paciente Decúbito supino, los brazos a cada lado de la cabeza con cabezal cuadrado se toma el barrido en inspiración sostenida Topograma AP de tórax (512 mm) FOV Desde ápices pulmonares hasta diafragma Grosor del corte Unicorte 10x10 mm Multicorte de 5 mm, post reconstrucción de 1.5 mm Medio de contraste No Ventana Mediastínica y pulmonar Tipo de adquisición y post-construcción Cráneo-caudal. Axial Nota Tomar densidades en lesiones (liquidas, derrames, etc.) se pueden agregar post reconstrucciones multiplanares.
  • 19.
    Protocolo de TóraxNormal Indicación Metástasis, masas, tumores y neoplasias Preparación del paciente Ayuno de 6hrs. Vena tomada catéter # 18 de preferencia y examen de creatinina Posición del paciente Decúbito supino, los brazos a cada lado de la cabeza con cabezal cuadrado Topograma AP de tórax (512mm) F.O.V. Desde ápices pulmonares hasta diafragma Grosor del corte Unicorte 10x10 mm Multicorte de 5 mm, post reconstrucción de 1.5 mm Medio de contraste Con inyector dual: de 3cc por seg. Y una prueba de 20ml de solución salina, MDC: 80 a 120cc. Caudal de inyección 3cc/seg. 30 cc de solución salina a 3cc/seg. (para optimizar el MdC) con 40 seg de retardo. Si (sólo se realiza fase contrastada) Ventana Mediastínica y pulmonar Tipo de adquisición y post-construcción Cráneo-caudal. Axial Nota Tomar densidades en lesiones (liquidas, derrames, etc.) hacer reconstrucciones en múltiples planos si lo amerita
  • 20.
    Tórax de AltaResolución Indicación Enfermedad pulmonar obstructiva crónica (EPOC), enfermedad pulmonar crónica intersticial (EPIC) y fibrosis pulmonar Preparación del paciente Ninguna Posición del paciente Decúbito supino, los brazos a cada lado de la cabeza con cabezal cuadrado Topograma AP de tórax (512mm) FOV Desde ápices pulmonares hasta diafragma Grosor del corte Unicorte de 1 a 2 mm. Multicorte de 5 mm, reconstrucción de 1 mm Medio de contraste No Ventana Pulmonar Tipo de adquisición y post-construcción Axial, con reconstrucción multiplanar Nota Magnificaciones de zonas patológicas
  • 21.
  • 22.
    Enfermedad Pulmonar Obstructiva Crónica,EPOC. Trastorno de la ventilación pulmonar con obs trucción crónica al flujo aéreo. Suele ser prog resiva, puede acompañarse de hiperactivida d bronquial y ser parcialmente reversible. Co mprende la bronquitis crónica, el enfisema, l as bronquiectasias y el asma bronquial.
  • 24.
    Enfermedad Pulmonar IntersticialD ifusa, EPID. Enfermedad inflamatoria que afecta el intersticio del parénquima pulmonar, es el lugar a través del cual se da el intercambio de O2 y el CO2, por lo cual una de las consecuencias del EPID es la hipoxemia que se da porque se ve afectado el intercambio de gases lo cual mata al paciente.
  • 26.
    Neumonía. Inflamación aguda delparénquima pulmonar en la que los alveolos y bronquiolos se taponan por el acumuló de un exudado fibrinoso. Suele cursar fiebre y escalofríos, tos y dolor torácico.
  • 28.
    Tuberculosis. Infección bacteriana crónica,originada por el Mycobacterium tuberculosis, que se caracter iza por la formación de granulomas calseifica ntes en los tejidos afectados y por una hipers ensibilidad mediada por células.
  • 30.
    Timoma. Tumoración benigna omaligna originada en las células epiteliales del timo.
  • 32.