CARIOTIPO
Es una representación del conjunto de cromosomas de una célula, clasificados por
pares y según su tamaño y morfología.
UTILIDAD
Detectar anomalías cromosómicas
Precisar el diagnostico en caso de retraso mental,
infertilidad y defectos de nacimiento.
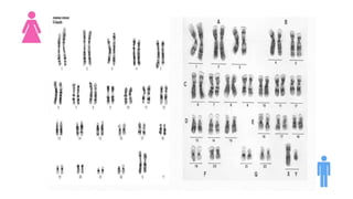
CARIOTIPO
Bandeo cromosómico- Bandas G
23 PARES DE CROMOSOMAS
46 CROMOSOMAS
22 pares de cromosomas no sexuales
AUTOSOMAS
23avo par de cromosomas sexualesXY
XX
CARIOTIPO
7 GRUPOS(A-G)
GRUPO A
• 3 PARES
CROMOSOMICOS(1,2,3)
• 1,3: METACENTRICOS
• 2: SUBMETACENTRICO
GRUPO B
•2 PARES(4,5)
• SUBMETACENTRICO
GRUPO C
•2 PARES(6-12)
• SUBMETACENTRICO
• Tamaño medio
MAYOR TAMAÑO Mas Numeroso
GRUPO D
• 3 PARES (13,14,15)
• ACROCENTRICOS
GRUPO E
•3 PARES(16,17,18)
• 16: METACENTRICO
• 17,18:
SUBMETACENTRICOS
GRUPO F
•2 PARES(19-20)
• METACENTRICO
• Tamaño pequeño
GRUPO G
•2 PARES(21,22)
•ACROCENTRICOS
MENOR TAMAÑO
ALTERACIONES
CROMOSOMICAS
Provocan retraso mental y del crecimiento así como defectos congénitos. Se
presentan en el 0,6% de los recién nacidos vivos.
ALTERACIONES
NUMERICAS
DE ESTRUCTURA
Variaciones en
el # normal de
cromosomas,
pero múltiplos
del numero
haploide
Ganancia o
perdida de
cromosomas
individuales.
ALTERACIONES NUMERICAS
ANEUPLOIDIAS
POLIPLOIDIAS
ALTERACIONES
ESTRUCTURALES
Pueden ser balanceadas o desbalanceada respecto a la cantidad de material
genético.
Rotura de doble hebra del ADN
Se reúnen pero en una posición diferente
DELECIONES
Perdida de material cromosómico
TERMINALES
Perdida de un
extremo de
brazo
cromosómico.
INTERSTICIALES
Perdida dentro
de los brazos
cromosómicos.
Cariotipo

Cariotipo

  • 1.
    CARIOTIPO Es una representacióndel conjunto de cromosomas de una célula, clasificados por pares y según su tamaño y morfología. UTILIDAD Detectar anomalías cromosómicas Precisar el diagnostico en caso de retraso mental, infertilidad y defectos de nacimiento.
  • 2.
    CARIOTIPO Bandeo cromosómico- BandasG 23 PARES DE CROMOSOMAS 46 CROMOSOMAS 22 pares de cromosomas no sexuales AUTOSOMAS 23avo par de cromosomas sexualesXY XX
  • 4.
    CARIOTIPO 7 GRUPOS(A-G) GRUPO A •3 PARES CROMOSOMICOS(1,2,3) • 1,3: METACENTRICOS • 2: SUBMETACENTRICO GRUPO B •2 PARES(4,5) • SUBMETACENTRICO GRUPO C •2 PARES(6-12) • SUBMETACENTRICO • Tamaño medio MAYOR TAMAÑO Mas Numeroso
  • 5.
    GRUPO D • 3PARES (13,14,15) • ACROCENTRICOS GRUPO E •3 PARES(16,17,18) • 16: METACENTRICO • 17,18: SUBMETACENTRICOS GRUPO F •2 PARES(19-20) • METACENTRICO • Tamaño pequeño GRUPO G •2 PARES(21,22) •ACROCENTRICOS MENOR TAMAÑO
  • 7.
    ALTERACIONES CROMOSOMICAS Provocan retraso mentaly del crecimiento así como defectos congénitos. Se presentan en el 0,6% de los recién nacidos vivos.
  • 8.
  • 9.
    Variaciones en el #normal de cromosomas, pero múltiplos del numero haploide Ganancia o perdida de cromosomas individuales. ALTERACIONES NUMERICAS ANEUPLOIDIAS POLIPLOIDIAS
  • 11.
    ALTERACIONES ESTRUCTURALES Pueden ser balanceadaso desbalanceada respecto a la cantidad de material genético. Rotura de doble hebra del ADN Se reúnen pero en una posición diferente
  • 12.
    DELECIONES Perdida de materialcromosómico TERMINALES Perdida de un extremo de brazo cromosómico. INTERSTICIALES Perdida dentro de los brazos cromosómicos.