Incrustar presentación
Descargar como ODP, PPTX
























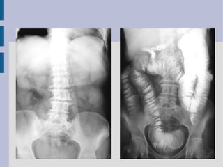
Este documento presenta un caso clínico de un hombre de 35 años con dolor abdominal y vómitos durante 24 horas. Describe las posibles causas de dolor abdominal difuso como apendicitis, pancreatitis aguda u obstrucción intestinal. Los hallazgos de rayos X e imágenes de TC muestran dilatación del intestino delgado, sin líquido libre abdominal ni neumoperitoneo. Las causas más frecuentes de obstrucción intestinal mecánica en adultos incluyen adherencias, invaginación intestinal, vólvulo y masas. El documento también























