Descarga gratis durante 30 días
Iniciar sesión
Cargar
Idioma (ES)
Atención al cliente
Empresariales
Móvil
Redes sociales
Marketing
Tecnología
Arte y fotografía
Empleo
Diseño
Educación
Presentaciones y charlas públicas
Gobierno y org. sin ánimo de lucro
Atención sanitaria
Internet
Derecho
Liderazgo y gestión
Motor
Ingeniería
Software
Reclutamiento y RR. HH.
Venta al por menor
Ventas
Servicios
Ciencias
PYMES y liderazgo
Alimentación
Medio ambiente
Economía y finanzas
Datos y análisis
Relaciones con inversores
Deportes
Meditación
Noticias y política
Viajes
Desarrollo personal
Sector inmobiliario
Entretenimiento y humor
Salud y medicina
Dispositivos y hardware
Estilo de vida
Cambiar idioma
Idioma
English
Español
Português
Français
Deutsche
Cancelar
Guardar
Enviar búsqueda
ES
AS
Subido por
Almudena Blazquez Saez
POT, PDF
396 vistas
Caso cerrado 21 abril
Descripción mejorada por IA
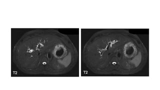
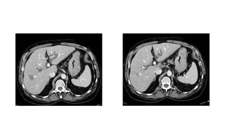
Un hombre de 50 años con hepatitis crónica e hipertensión portal visitó el médico.
Salud y medicina
◦
Leer más
0
Guardar
Compartir
Insertar
Incrustar presentación
Descargar
Descargar para leer sin conexión
1
/ 7
2
/ 7
3
/ 7
4
/ 7
5
/ 7
6
/ 7
7
/ 7
Más contenido relacionado
PPT
Sesión 24 de Mayo: Ecografía de víscera hueca
por
Almudena Blazquez Saez
PPTX
Caso clinico: neoplasia renal
por
magaibarra
PPT
Ceus renal
por
magaibarra
PPTX
Lectura de caso 18 de Abril: Tumor urotelial.
por
Almudena Blazquez Saez
PPTX
Caso cerrado
por
magaibarra
PPT
Caso cerrado 12 de Mayo
por
Almudena Blazquez Saez
PPTX
Revisión Bibliográfica Seguimiento radiológico en Neumonía
por
Heidy Saenz
PPTX
Caso cerrado magaly
por
magaibarra
Sesión 24 de Mayo: Ecografía de víscera hueca
por
Almudena Blazquez Saez
Caso clinico: neoplasia renal
por
magaibarra
Ceus renal
por
magaibarra
Lectura de caso 18 de Abril: Tumor urotelial.
por
Almudena Blazquez Saez
Caso cerrado
por
magaibarra
Caso cerrado 12 de Mayo
por
Almudena Blazquez Saez
Revisión Bibliográfica Seguimiento radiológico en Neumonía
por
Heidy Saenz
Caso cerrado magaly
por
magaibarra
Destacado
PDF
Lectura de caso 25 Abril: Gangrena de fournier
por
Almudena Blazquez Saez
ODP
Caso cerrado 28 de Abril: Infección piógena cerebral
por
Almudena Blazquez Saez
PPTX
Lectura de caso 30 de Mayo: enteritis eosinofílica
por
Almudena Blazquez Saez
PPT
Sesión 31 de Mayo: PET con colina
por
Almudena Blazquez Saez
PPTX
Lectura de caso 18 de Abril: Otomastoiditis complicada.
por
Almudena Blazquez Saez
PPTX
Sesión bibliográfica: contrastes en RM
por
Almudena Blazquez Saez
PPTX
Revisión bibliográfica 25 de Mayo: Síndrome aórtico agudo
por
Almudena Blazquez Saez
PPTX
Caso ileitis
por
magaibarra
PPTX
Lectura de caso. Lesión Axonal Difusa
por
magaibarra
PPTX
Casos de abdomen
por
magaibarra
PPTX
Lectura de caso octubre 2016
por
magaibarra
PPTX
Casos de abdomen
por
magaibarra
PPTX
Caso cerrado 10noviembre2016
por
magaibarra
PPTX
Tema Torax. Noviembre 2016
por
magaibarra
PPTX
Lectura de caso 16 Mayo: Quistes hendidura branquial.
por
Almudena Blazquez Saez
PPTX
TEMA: Tuberculosis
por
magaibarra
PPT
Caso cerrado
por
magaibarra
PPTX
Caso cerrado enero 2017
por
magaibarra
PPTX
Lectura de caso. infarto omental
por
magaibarra
PPTX
Aorta 2
por
magaibarra
Lectura de caso 25 Abril: Gangrena de fournier
por
Almudena Blazquez Saez
Caso cerrado 28 de Abril: Infección piógena cerebral
por
Almudena Blazquez Saez
Lectura de caso 30 de Mayo: enteritis eosinofílica
por
Almudena Blazquez Saez
Sesión 31 de Mayo: PET con colina
por
Almudena Blazquez Saez
Lectura de caso 18 de Abril: Otomastoiditis complicada.
por
Almudena Blazquez Saez
Sesión bibliográfica: contrastes en RM
por
Almudena Blazquez Saez
Revisión bibliográfica 25 de Mayo: Síndrome aórtico agudo
por
Almudena Blazquez Saez
Caso ileitis
por
magaibarra
Lectura de caso. Lesión Axonal Difusa
por
magaibarra
Casos de abdomen
por
magaibarra
Lectura de caso octubre 2016
por
magaibarra
Casos de abdomen
por
magaibarra
Caso cerrado 10noviembre2016
por
magaibarra
Tema Torax. Noviembre 2016
por
magaibarra
Lectura de caso 16 Mayo: Quistes hendidura branquial.
por
Almudena Blazquez Saez
TEMA: Tuberculosis
por
magaibarra
Caso cerrado
por
magaibarra
Caso cerrado enero 2017
por
magaibarra
Lectura de caso. infarto omental
por
magaibarra
Aorta 2
por
magaibarra
Más de Almudena Blazquez Saez
PPTX
Sesión 7 de Mayo: Mama densa
por
Almudena Blazquez Saez
PPT
Lectura de caso de neuroimagen en nuclear .24 de Mayo
por
Almudena Blazquez Saez
PPTX
Lectura de caso 16 de Mayo: Linfangioleimiomatosis
por
Almudena Blazquez Saez
PPTX
Caso cerrado 21 Abril: Quistes peribiliares
por
Almudena Blazquez Saez
PPT
Sesión bibliográfica19 de Abril : Apendicitis
por
Almudena Blazquez Saez
PPT
Sesión 12 de Abril: Síndrome aórtico agudo
por
Almudena Blazquez Saez
PPT
Caso cerrado 7 Abril: Atresia traqueal y bronquial con hipoplasia pulmonar se...
por
Almudena Blazquez Saez
ODP
Caso cerrado 31 marzo: Tumor testicular
por
Almudena Blazquez Saez
PPTX
Lectura de caso 14 de marzo: Hidatidosis pulmonar
por
Almudena Blazquez Saez
PPT
Lectura de caso: Glomus yugular
por
Almudena Blazquez Saez
ODP
Caso cerrado 17 febrero: sarcoidosis alveolar
por
Almudena Blazquez Saez
PPT
Lesiones benignas del esófago
por
Almudena Blazquez Saez
PPTX
Sesión bibliográfica: Screening cáncer de mama
por
Almudena Blazquez Saez
PPT
Lectura de caso: Tuberculosis infantil
por
Almudena Blazquez Saez
PPT
Radioembolización lesiones hepáticas
por
Almudena Blazquez Saez
PPT
Sesión bibliográfica : aspectos básicos de la imagen cardíaca en TC y RM.
por
Almudena Blazquez Saez
PPT
Lectura de caso clínico: Pancreatitis de surco
por
Almudena Blazquez Saez
PPT
Lectura de caso clínico:Enfermedad Lhermitte Duclos
por
Almudena Blazquez Saez
PPT
Lectura de caso clínico: Granuloma eosinófilo
por
Almudena Blazquez Saez
Sesión 7 de Mayo: Mama densa
por
Almudena Blazquez Saez
Lectura de caso de neuroimagen en nuclear .24 de Mayo
por
Almudena Blazquez Saez
Lectura de caso 16 de Mayo: Linfangioleimiomatosis
por
Almudena Blazquez Saez
Caso cerrado 21 Abril: Quistes peribiliares
por
Almudena Blazquez Saez
Sesión bibliográfica19 de Abril : Apendicitis
por
Almudena Blazquez Saez
Sesión 12 de Abril: Síndrome aórtico agudo
por
Almudena Blazquez Saez
Caso cerrado 7 Abril: Atresia traqueal y bronquial con hipoplasia pulmonar se...
por
Almudena Blazquez Saez
Caso cerrado 31 marzo: Tumor testicular
por
Almudena Blazquez Saez
Lectura de caso 14 de marzo: Hidatidosis pulmonar
por
Almudena Blazquez Saez
Lectura de caso: Glomus yugular
por
Almudena Blazquez Saez
Caso cerrado 17 febrero: sarcoidosis alveolar
por
Almudena Blazquez Saez
Lesiones benignas del esófago
por
Almudena Blazquez Saez
Sesión bibliográfica: Screening cáncer de mama
por
Almudena Blazquez Saez
Lectura de caso: Tuberculosis infantil
por
Almudena Blazquez Saez
Radioembolización lesiones hepáticas
por
Almudena Blazquez Saez
Sesión bibliográfica : aspectos básicos de la imagen cardíaca en TC y RM.
por
Almudena Blazquez Saez
Lectura de caso clínico: Pancreatitis de surco
por
Almudena Blazquez Saez
Lectura de caso clínico:Enfermedad Lhermitte Duclos
por
Almudena Blazquez Saez
Lectura de caso clínico: Granuloma eosinófilo
por
Almudena Blazquez Saez
Último
PDF
Integración DICOM – STL – Fotografía 3D en Software TITAN
por
DIANAESTEFANIATORRES1
PDF
Patologías Ginecológica diagnosticada en ecografian.pdf
por
Carlos Quezada
PPTX
HUC_SCMRMS_OD_Infecciones agudas de la mano - Animada.pptx
por
Luis163902
PPTX
ANATOMIADEPERINÉ todo lo básico en GyO a
por
ThelmisVillafuerteMo
PPTX
mapa conceptual del sistema renina angiotensina
por
MariadelrosarioPrieg
PDF
PoCUS: Evaluación contráctil del Ventriculo izquierdo (Winfocus)
por
Paloma GB
PDF
20-01-2026. Diagnostico diferencial y manejo de los síncopes.
por
UDMAFyC SECTOR ZARAGOZA II
PPTX
INFECCÍON DE VÍAS URINARIAS EN MEDICINA FAMILIAR Y COMUNITARIA
por
joannyfamilia08
PPTX
PRESENTACION SOBRE ARTITIS REUMATOIDE.pptx
por
cristianrea567
PDF
infeccion-del-sitio-quirurgico-guia-completa-y-sindrome-sirs.pdf
por
erasmovegas111
PPTX
Modalidades de entrenamiento Deportivo Bfr
por
elenita931993
PDF
AS002 - Inmunologia Celular y Molecular ABBAS 8º edición.pdf
por
davilaanny35
PDF
22-01-2026. DIAGNOSTICO DIFERENCIAL Y MANEJO DE LOS SINCOPES.pdf
por
UDMAFyC SECTOR ZARAGOZA II
PPTX
Integración DICOM – STL – Fotografía 3D en TITAN.pptx
por
josselineacosta4
PDF
FISIOLOGÍA 2 PRÁCTICA _221221_113018.pdf
por
GabrielaFrancia5
PDF
TRABAJO DE INTEGRACION DE ESCANEO FACIAL, INTRORAL Y TOMOGRAFIA
por
MARIAJOSEPOMAGRANDA
PDF
DESARROLLO PSICOMOTOR RETRASO DEL DESARROLLO PARALISIS CEREBRAL INFANTIL
por
nestorjalacurimamani1
PPTX
CARDIO - TEP - copia.pptx TROMBOEMBOLIA PULMONAR
por
samanthaalcantarjime
PPTX
3. Sistema Oseo clase para enfermeria general .pptx
por
LeonelCardenas9
PPTX
Enfermedades Hepáticas en Perros FUNCIPRO 1.pptx
por
EliasMercadoCuellar2
Integración DICOM – STL – Fotografía 3D en Software TITAN
por
DIANAESTEFANIATORRES1
Patologías Ginecológica diagnosticada en ecografian.pdf
por
Carlos Quezada
HUC_SCMRMS_OD_Infecciones agudas de la mano - Animada.pptx
por
Luis163902
ANATOMIADEPERINÉ todo lo básico en GyO a
por
ThelmisVillafuerteMo
mapa conceptual del sistema renina angiotensina
por
MariadelrosarioPrieg
PoCUS: Evaluación contráctil del Ventriculo izquierdo (Winfocus)
por
Paloma GB
20-01-2026. Diagnostico diferencial y manejo de los síncopes.
por
UDMAFyC SECTOR ZARAGOZA II
INFECCÍON DE VÍAS URINARIAS EN MEDICINA FAMILIAR Y COMUNITARIA
por
joannyfamilia08
PRESENTACION SOBRE ARTITIS REUMATOIDE.pptx
por
cristianrea567
infeccion-del-sitio-quirurgico-guia-completa-y-sindrome-sirs.pdf
por
erasmovegas111
Modalidades de entrenamiento Deportivo Bfr
por
elenita931993
AS002 - Inmunologia Celular y Molecular ABBAS 8º edición.pdf
por
davilaanny35
22-01-2026. DIAGNOSTICO DIFERENCIAL Y MANEJO DE LOS SINCOPES.pdf
por
UDMAFyC SECTOR ZARAGOZA II
Integración DICOM – STL – Fotografía 3D en TITAN.pptx
por
josselineacosta4
FISIOLOGÍA 2 PRÁCTICA _221221_113018.pdf
por
GabrielaFrancia5
TRABAJO DE INTEGRACION DE ESCANEO FACIAL, INTRORAL Y TOMOGRAFIA
por
MARIAJOSEPOMAGRANDA
DESARROLLO PSICOMOTOR RETRASO DEL DESARROLLO PARALISIS CEREBRAL INFANTIL
por
nestorjalacurimamani1
CARDIO - TEP - copia.pptx TROMBOEMBOLIA PULMONAR
por
samanthaalcantarjime
3. Sistema Oseo clase para enfermeria general .pptx
por
LeonelCardenas9
Enfermedades Hepáticas en Perros FUNCIPRO 1.pptx
por
EliasMercadoCuellar2
Caso cerrado 21 abril
1.
Caso Cerrado 21
Abril Ana Casas
2.
Historia • Varón de 50
años con historia de hepatitis crónica e hipertensión portal
Descargar