CASO CERRADO
MANUEL J. URIBE HEREDIA
MIR RADIODIAGNOSTICO
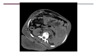
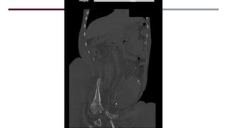
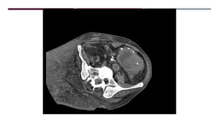
MASA SÓLIDO/QUISTICA
MESENTERIO/PERITONEO
LESION FOCAL PARED
ABDOMINAL
CALCIFICACION ESPLÉNICA
SINDROME DE PROTEUS (WIEDEMANN)
 El síndrome de Proteus es un raro estado congénito, multisistémico, hamartomatoso caracterizado por
crecimiento excesivo asimétrico de casi cualquier parte del cuerpo y un amplio espectro de
manifestaciones. Puede afectar el tejido de cualquier capa germinal. Mutación gen AKT1 en el brazo
largo del cromosoma 14.
SINDROME DE PROTEUS (WIEDEMANN)
PRESENTACION CLÍNICA
 Niños nacen sin anomalías.
 Nevus cerebriforme del tejido conjuntivo:
prácticamente patognomónico.
 Crecimiento desproporcionado: hemihipertrofia /
gigantismo parcial: Extremidades, Vértebras, CAE
y visceral raramente (bazo, riñón, timo).
 Macrodactilia. Macrocefalia.
 Disrregulación adiposa: lipoma, ausencia regional de
grasa, crecimiento excesivo de grasa en pared
posterior/anterior del cuerpo o a nivel subcutáneo en
extremidades.
 Malformaciones vasculares: capilar, venosa o
linfática.
Los hallazgos menos comunes incluyen:
 Cistoadenomas ováricos bilaterales.
 Adenoma parotídeo monomórfico.
 Rasgos faciales anormales (Dolicocefalia, puente
nasal bajo, etc).
SINDROME DE PROTEUS (WIEDEMANN)
CARACTERÍSTICAS RADIOLÓGICAS
 No son específicas y se refieren a las características clínicas. Sin embargo, característicamente, el
síndrome de Proteus se considera cuando hay hemimegalencefalia, malformaciones linfangíticas o
vasculares extensas y hemihipertrofia asimétrica.
 Otras características incluyen agrandamiento y displasia de cuerpos vertebrales, escoliosis, exostosis
craneal, osteomas y genu valgum.
 Nodularidad hamartomatosa subcutánea, muscular y visceral.
 Visceromegalias (Bazo/Riñón).
 El síndrome de Proteus se presenta con una multitud de hallazgos radiográficos que pueden ser
fácilmente confundidos con malignidad o enfermedad infiltrativa.
 El diagnóstico se sospecha por razones clínicas o con una combinación de anomalías radiológicas.
SINDROME DE CLOVES
 Congenital Lipomatous Overgrowth, Vascular animalies, Epidermal nevis, Spinal disorders
(Scoliosis).
 Malformaciones capilares única o múltiples (flancos), venosas (EEII) y linfáticas (tronco -
retroperitoneo, abdomen, pelvis).
 Masas lipomatosas troncales y escoliosis (infancia precoz).
 Las alteraciones óseas no son progresivas, y las más graves se suelen observar en las zonas que han
sido operadas.
 Manos y pies grandes con superficie plantar gruesa y con pliegues. Megadactilia de algunos dedos.
 Sobrecrecimiento en forma globulosa de las zonas con malformaciones vasculares, esencialmente en
el tronco.
SÍNDROME DE KLIPPEL-TRÉNAUNAY (KTS)
 Es una combinación de malformaciones capilares, hipertrofia de tejido blando/ hueso y malformaciones
venosas (VL). Se considera un síndrome angio-osteo-hipertrófico.
Clásicamente comprende una tríada de:
 Nevus en vino de Oporto.
 Hipertrofia ósea o de tejido blando de una extremidad (gigantismo localizado)
 Venas varicosas o malformaciones venosas de distribución inusual.
 Dx: 2 de 3 características.
SÍNDROME DE KLIPPEL-TRÉNAUNAY (KTS)
EPIDEMIOLOGIA
 La mayoría son esporádicos. No predilección de
género o raza. Prevalencia 1: 100,000.
PRESENTACIÓN CLÍNICA
 Generalmente se presenta en la infancia. Suele
afectar una extremidad.
ESPECTRO CLÍNICO-PATOLÓGICO
Se han sugerido los siguientes niveles de gravedad:
 Displasias venosas / displasias flebectasicas
 Displasias arteriales Arterial
 Displasias arterial y venosas asociadas
Flebarterectasia (sin derivación AV)
 Angiodisplasias con shunt (KTWS o en realidad F.
P. Weber) Angiodisplasias mixtas Forma atípica
de KTS
Hipertrofia:
 Alargamiento óseo, hipertrofia circunferencial de los tejidos
blandos. Diferencia en la longitud de la pierna. Cualquier
extremidad puede afectarse.
Malformaciones capilares:
 Manifestación cutánea más común. Típicamente implican a la
extremidad afecta, aunque los cambios de la piel se pueden ver
en cualquier parte del cuerpo.
 El miembro inferior es el sitio afectado en 95% de los pacientes.
SÍNDROME DE KLIPPEL-TRÉNAUNAY (KTS)
Venas varicosas
 Más común en la cara lateral de extremidad afecta.
 Tanto en los sistemas venosos superficiales como en los
profundos.
Superficiales: desde ectasia de venas pequeñas hasta
venas embriológicas persistentes y malformaciones
venosas grandes.
Profundas: incluyen dilatación aneurismática, aplasia,
hipoplasia, duplicaciones e incompetencia venosa.
SÍNDROME DE KLIPPEL-TRÉNAUNAY (KTS)
MANIFESTACIONES VISCERALES
Tracto gastrointestinal (20%): Hemorragia es el
síntoma más común (oculta – masiva).
 Más comúnmente afectado: colon distal y el recto.
 Puede ocurrir hemorragia digestiva alta de los
hemangiomas yeyunales.
Tracto G-U: casos severos
 Ausencia de varicosidades o malformaciones
venosas no excluye afectación pélvica.
 La hematuria grave, recurrente e indolora, suele ser
el primer signo clínico de afectación vesical. Las
malformaciones vasculares se encuentran a
menudo en la pared de la vejiga anterior y la
cúpula, el trígono y el cuello de la vejiga rara vez
están involucrados.
 La hipertrofia renal puede ocurrir ipsilateralmente al
lado afectado.
 Las lesiones genitales generalmente no causan
problemas, pero algunos pacientes que reportan
disfunción eréctil tienen venas penianas anormales.
Bazo: Pueden presentarse
hemangiomas/linfangiomas esplénicos.
SÍNDROME DE KLIPPEL-TRÉNAUNAY (KTS)
MANIFESTACIONES ESQUELÉTICAS
Generalmente secundario a la diferencia de
longitud de la pierna:
 Luxación de cadera ipsilateral
 Escoliosis.
SÍNDROME DE KLIPPEL-TRÉNAUNAY (KTS)
SINDROME DE PARKES-WEBER
Tipo de angiodisplasia, que en la actualidad se denominaría malformación vascular congénita (CVM)
hemolinfática mixta con shunt arteriovenosa (av) en la clasificación de CVM de Hamburgo.
PATOLOGIA
 Malformación vascular congénita (predominio CV) con shunt AV. En "SPW" clásico, se presentan
anomalías esqueléticas, tales como gigantismo o hemihipertrofia. Los componentes vasculares tienden
a aumentar de tamaño con el tiempo.
EPIDEMIOLOGIA
 Existe evidencia de que SPW en algunos casos se debe a mutaciones en el gen que codifica la
proteína activadora de p120-Ras GTPasa.
TRATAMIENTO Y PRONÓSTICO
Frecuentemente se requiere cirugía endovascular o embolización endovascular repetida. Sin embargo, la
enfermedad es progresiva y puede conducir a la amputación o a la muerte por insuficiencia cardiaca.
SINDROME DE PARKES-WEBER
CARACTERÍSTICAS RADIOLÓGICAS
 La imagen diagnóstica en las CVM se basa en un
enfoque multimodal.
 La RM y la ARM han demostrado su utilidad en la
detección y caracterización de las displasias
arteriovenosas. La arteriografía es necesaria para
preparar intervenciones quirúrgicas o
endovasculares. Los hallazgos angiográficos
tienen que ser cuidadosamente evaluados,
preferentemente por una junta de especialistas.
SINDROME DE MAFFUCCI
 El síndrome de Maffucci es una displasia mesodérmica congénita no hereditaria caracterizada por
múltiples encondromas con malformaciones venosas de tejidos blandos (hemangiomas).
 En la imagen, suele ser retratado por una extremidad corta con distorsiones metafisarias debido a
múltiples enchondromas, que pueden parecer grotescas, y masas de tejidos blandos con flebólitos que
representan hemangiomas.
 Hay una predilección masculina reconocida.
SINDROME DE MAFFUCCI
PRESENTACIÓN CLÍNICA
 Los síntomas clínicos del síndrome de Maffucci están presentes al nacer o se manifiestan en el primer año de
vida en aproximadamente una cuarta parte de los casos. En menos de la mitad de los casos, el inicio de los
síntomas es antes de los 6 años, y en tres cuartas partes de los casos, los síntomas comienzan antes de la
pubertad. Los hemangiomas aparecen como nódulos subcutáneos azules que se pueden vaciar mediante
compresión manual.
DISTRIBUCION
 La distribución de enchondromas es similar a la enfermedad de Ollier, con las manos y los pies más
afectados. Las lesiones esqueléticas y vasculares en las extremidades suelen ser de distribución asimétrica,
con cambios unilaterales observados en aproximadamente el 50% de los pacientes.
 Los hemangiomas se encuentran principalmente en los tejidos blandos subcutáneos.
SINDROME DE MAFFUCCI
CARACTERISTICAS RADIOLÓGICAS
Radiografía simple
 Casi patognomónicas, con múltiples encondromas que provoca deformidad y acortamiento de la extremidad.
Asocia hinchazón de tejidos blandos (hemangiomas cavernosos) y flebolitos a nivel superficial y visceral.
 Escoliosis está presente en 17% de los pacientes, el acortamiento óseo en el 15% y la fractura espontánea en el
20%-26% de los casos publicados.
SINDROME DE MAFFUCCI
TRATAMIENTO Y PRONÓSTICO
 Cuando hay un acortamiento de la extremidad involucrada, la cirugía ortopédica para el alargamiento
de los miembros se realiza generalmente durante la infancia.
COMPLICACIONES
 Encondromas degeneran en condrosarcomas en el 15-51% de los casos y los hemangiomas de los
tejidos blandos a sarcomas vasculares en 3-5%.
 Aumento de otras neoplasias malignas (carcinoma pancreático y gliomas).
SINDROME DE MAFFUCCI
SINDROME KLIPPEL-TRENAUNAY
SINDROME DE PROTEUS

Caso cerrado enero 2017

  • 1.
    CASO CERRADO MANUEL J.URIBE HEREDIA MIR RADIODIAGNOSTICO
  • 7.
    MASA SÓLIDO/QUISTICA MESENTERIO/PERITONEO LESION FOCALPARED ABDOMINAL CALCIFICACION ESPLÉNICA
  • 9.
    SINDROME DE PROTEUS(WIEDEMANN)  El síndrome de Proteus es un raro estado congénito, multisistémico, hamartomatoso caracterizado por crecimiento excesivo asimétrico de casi cualquier parte del cuerpo y un amplio espectro de manifestaciones. Puede afectar el tejido de cualquier capa germinal. Mutación gen AKT1 en el brazo largo del cromosoma 14.
  • 10.
    SINDROME DE PROTEUS(WIEDEMANN) PRESENTACION CLÍNICA  Niños nacen sin anomalías.  Nevus cerebriforme del tejido conjuntivo: prácticamente patognomónico.  Crecimiento desproporcionado: hemihipertrofia / gigantismo parcial: Extremidades, Vértebras, CAE y visceral raramente (bazo, riñón, timo).  Macrodactilia. Macrocefalia.  Disrregulación adiposa: lipoma, ausencia regional de grasa, crecimiento excesivo de grasa en pared posterior/anterior del cuerpo o a nivel subcutáneo en extremidades.  Malformaciones vasculares: capilar, venosa o linfática. Los hallazgos menos comunes incluyen:  Cistoadenomas ováricos bilaterales.  Adenoma parotídeo monomórfico.  Rasgos faciales anormales (Dolicocefalia, puente nasal bajo, etc).
  • 11.
    SINDROME DE PROTEUS(WIEDEMANN) CARACTERÍSTICAS RADIOLÓGICAS  No son específicas y se refieren a las características clínicas. Sin embargo, característicamente, el síndrome de Proteus se considera cuando hay hemimegalencefalia, malformaciones linfangíticas o vasculares extensas y hemihipertrofia asimétrica.  Otras características incluyen agrandamiento y displasia de cuerpos vertebrales, escoliosis, exostosis craneal, osteomas y genu valgum.  Nodularidad hamartomatosa subcutánea, muscular y visceral.  Visceromegalias (Bazo/Riñón).  El síndrome de Proteus se presenta con una multitud de hallazgos radiográficos que pueden ser fácilmente confundidos con malignidad o enfermedad infiltrativa.  El diagnóstico se sospecha por razones clínicas o con una combinación de anomalías radiológicas.
  • 13.
    SINDROME DE CLOVES Congenital Lipomatous Overgrowth, Vascular animalies, Epidermal nevis, Spinal disorders (Scoliosis).  Malformaciones capilares única o múltiples (flancos), venosas (EEII) y linfáticas (tronco - retroperitoneo, abdomen, pelvis).  Masas lipomatosas troncales y escoliosis (infancia precoz).  Las alteraciones óseas no son progresivas, y las más graves se suelen observar en las zonas que han sido operadas.  Manos y pies grandes con superficie plantar gruesa y con pliegues. Megadactilia de algunos dedos.  Sobrecrecimiento en forma globulosa de las zonas con malformaciones vasculares, esencialmente en el tronco.
  • 15.
    SÍNDROME DE KLIPPEL-TRÉNAUNAY(KTS)  Es una combinación de malformaciones capilares, hipertrofia de tejido blando/ hueso y malformaciones venosas (VL). Se considera un síndrome angio-osteo-hipertrófico. Clásicamente comprende una tríada de:  Nevus en vino de Oporto.  Hipertrofia ósea o de tejido blando de una extremidad (gigantismo localizado)  Venas varicosas o malformaciones venosas de distribución inusual.  Dx: 2 de 3 características.
  • 16.
    SÍNDROME DE KLIPPEL-TRÉNAUNAY(KTS) EPIDEMIOLOGIA  La mayoría son esporádicos. No predilección de género o raza. Prevalencia 1: 100,000. PRESENTACIÓN CLÍNICA  Generalmente se presenta en la infancia. Suele afectar una extremidad. ESPECTRO CLÍNICO-PATOLÓGICO Se han sugerido los siguientes niveles de gravedad:  Displasias venosas / displasias flebectasicas  Displasias arteriales Arterial  Displasias arterial y venosas asociadas Flebarterectasia (sin derivación AV)  Angiodisplasias con shunt (KTWS o en realidad F. P. Weber) Angiodisplasias mixtas Forma atípica de KTS
  • 17.
    Hipertrofia:  Alargamiento óseo,hipertrofia circunferencial de los tejidos blandos. Diferencia en la longitud de la pierna. Cualquier extremidad puede afectarse. Malformaciones capilares:  Manifestación cutánea más común. Típicamente implican a la extremidad afecta, aunque los cambios de la piel se pueden ver en cualquier parte del cuerpo.  El miembro inferior es el sitio afectado en 95% de los pacientes. SÍNDROME DE KLIPPEL-TRÉNAUNAY (KTS)
  • 18.
    Venas varicosas  Máscomún en la cara lateral de extremidad afecta.  Tanto en los sistemas venosos superficiales como en los profundos. Superficiales: desde ectasia de venas pequeñas hasta venas embriológicas persistentes y malformaciones venosas grandes. Profundas: incluyen dilatación aneurismática, aplasia, hipoplasia, duplicaciones e incompetencia venosa. SÍNDROME DE KLIPPEL-TRÉNAUNAY (KTS)
  • 19.
    MANIFESTACIONES VISCERALES Tracto gastrointestinal(20%): Hemorragia es el síntoma más común (oculta – masiva).  Más comúnmente afectado: colon distal y el recto.  Puede ocurrir hemorragia digestiva alta de los hemangiomas yeyunales. Tracto G-U: casos severos  Ausencia de varicosidades o malformaciones venosas no excluye afectación pélvica.  La hematuria grave, recurrente e indolora, suele ser el primer signo clínico de afectación vesical. Las malformaciones vasculares se encuentran a menudo en la pared de la vejiga anterior y la cúpula, el trígono y el cuello de la vejiga rara vez están involucrados.  La hipertrofia renal puede ocurrir ipsilateralmente al lado afectado.  Las lesiones genitales generalmente no causan problemas, pero algunos pacientes que reportan disfunción eréctil tienen venas penianas anormales. Bazo: Pueden presentarse hemangiomas/linfangiomas esplénicos. SÍNDROME DE KLIPPEL-TRÉNAUNAY (KTS)
  • 20.
    MANIFESTACIONES ESQUELÉTICAS Generalmente secundarioa la diferencia de longitud de la pierna:  Luxación de cadera ipsilateral  Escoliosis. SÍNDROME DE KLIPPEL-TRÉNAUNAY (KTS)
  • 22.
    SINDROME DE PARKES-WEBER Tipode angiodisplasia, que en la actualidad se denominaría malformación vascular congénita (CVM) hemolinfática mixta con shunt arteriovenosa (av) en la clasificación de CVM de Hamburgo. PATOLOGIA  Malformación vascular congénita (predominio CV) con shunt AV. En "SPW" clásico, se presentan anomalías esqueléticas, tales como gigantismo o hemihipertrofia. Los componentes vasculares tienden a aumentar de tamaño con el tiempo. EPIDEMIOLOGIA  Existe evidencia de que SPW en algunos casos se debe a mutaciones en el gen que codifica la proteína activadora de p120-Ras GTPasa. TRATAMIENTO Y PRONÓSTICO Frecuentemente se requiere cirugía endovascular o embolización endovascular repetida. Sin embargo, la enfermedad es progresiva y puede conducir a la amputación o a la muerte por insuficiencia cardiaca.
  • 23.
    SINDROME DE PARKES-WEBER CARACTERÍSTICASRADIOLÓGICAS  La imagen diagnóstica en las CVM se basa en un enfoque multimodal.  La RM y la ARM han demostrado su utilidad en la detección y caracterización de las displasias arteriovenosas. La arteriografía es necesaria para preparar intervenciones quirúrgicas o endovasculares. Los hallazgos angiográficos tienen que ser cuidadosamente evaluados, preferentemente por una junta de especialistas.
  • 25.
    SINDROME DE MAFFUCCI El síndrome de Maffucci es una displasia mesodérmica congénita no hereditaria caracterizada por múltiples encondromas con malformaciones venosas de tejidos blandos (hemangiomas).  En la imagen, suele ser retratado por una extremidad corta con distorsiones metafisarias debido a múltiples enchondromas, que pueden parecer grotescas, y masas de tejidos blandos con flebólitos que representan hemangiomas.  Hay una predilección masculina reconocida.
  • 26.
    SINDROME DE MAFFUCCI PRESENTACIÓNCLÍNICA  Los síntomas clínicos del síndrome de Maffucci están presentes al nacer o se manifiestan en el primer año de vida en aproximadamente una cuarta parte de los casos. En menos de la mitad de los casos, el inicio de los síntomas es antes de los 6 años, y en tres cuartas partes de los casos, los síntomas comienzan antes de la pubertad. Los hemangiomas aparecen como nódulos subcutáneos azules que se pueden vaciar mediante compresión manual. DISTRIBUCION  La distribución de enchondromas es similar a la enfermedad de Ollier, con las manos y los pies más afectados. Las lesiones esqueléticas y vasculares en las extremidades suelen ser de distribución asimétrica, con cambios unilaterales observados en aproximadamente el 50% de los pacientes.  Los hemangiomas se encuentran principalmente en los tejidos blandos subcutáneos.
  • 27.
    SINDROME DE MAFFUCCI CARACTERISTICASRADIOLÓGICAS Radiografía simple  Casi patognomónicas, con múltiples encondromas que provoca deformidad y acortamiento de la extremidad. Asocia hinchazón de tejidos blandos (hemangiomas cavernosos) y flebolitos a nivel superficial y visceral.  Escoliosis está presente en 17% de los pacientes, el acortamiento óseo en el 15% y la fractura espontánea en el 20%-26% de los casos publicados.
  • 28.
  • 29.
    TRATAMIENTO Y PRONÓSTICO Cuando hay un acortamiento de la extremidad involucrada, la cirugía ortopédica para el alargamiento de los miembros se realiza generalmente durante la infancia. COMPLICACIONES  Encondromas degeneran en condrosarcomas en el 15-51% de los casos y los hemangiomas de los tejidos blandos a sarcomas vasculares en 3-5%.  Aumento de otras neoplasias malignas (carcinoma pancreático y gliomas). SINDROME DE MAFFUCCI
  • 30.