CÁNCER DE PRÓSTATA
UROLOGÍA
AGENDA
Próstata
Anatomía
Testosterona
Cáncer de Próstata
Epidemiologia
Detección
Tratamiento
Seguimiento
ABREVIATURAS
SIGLA
S
SIGNIFICADO
CaP Cáncer de Próstata
TR Tacto Rectal
CSP Cuestionario de
Síntomas Prostáticos
APE Antígeno prostático
específico
EGO Examen General de
Orina
STUI Síntomas del tracto
urinario inferior.
VAPE Velocidad del APE.
CPB Crecimiento
SIGLA
S
SIGNIFICADO
TSA,
TDA
Terapia de
deprivación
androgénica
LHRH,
GnRH
Hormona liberadora
de gonadotropina
PLND Linfadenectomía
pélvica
EBRT Radioterapia de haz
externo
PR Prostatectomía
Radical.
OSB Orquiectomía simple
bilateral.
OBJETIVOS
Ofrecer un panorama general del cáncer de
próstata enfatizando en su epidemiología,
métodos de diagnostico y tratamiento con base en
las recomendaciones emitidas por los organismos
competentes.
Describir el papel de los andrógenos en su
etiología y patogenia así como sus implicaciones
terapéuticas.
Generar en el medico en formación el criterio
clínico que le permita sospechar los casos de
cáncer de próstata y referirlos oportunamente al
Urólogo u Oncólogo.
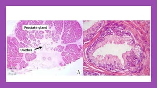
Órgano retroperitoneal
con peso aproximado de
20g que rodea el cuello de
la vejiga y la uretra, carece
de una capsula
diferenciada.
PRÓSTATA
Zonas de Mc Neal
Se han identificado 4 zonas
distintivas:
 La zona periférica, central,
transicional y fibromuscular,
algunos incluyen la periuretral.
(McNeal, et al., 1988
De 60 a 70% de los
carcinomas
prostáticos se
originan en la zona
periférica, 10 a 20%
en la zona de
transición y 5 a 10%
en la zona central.
Testosterona
Células
estromales
prostáticas
5α reductasa
tipo 2
DHT
RA nucleares
Activación de
transcripción
Factores de
crecimiento y
receptores
FGF TGF-β
Kumar V., Abbas A.K. (2015). Robbins y Cotran. Patología estructural y funcional.
Los
andrógenos
testiculares
controlan el
crecimiento y
la
supervivencia
de las células
prostáticas.
Kumar V., Abbas A.K. (2015). Robbins y Cotran. Patología estructural y funcional.
DHT al unirse al RA:
Induce la expresión de
los genes inductores del
crecimiento y la
supervivencia.
• TGF β
• FGF
ESTOS FACTORES actúan
aumentando la proliferación de
las células del estroma y
disminuyendo la muerte
de células epiteliales.
Kumar V., Abbas A.K. (2015). Robbins y Cotran. Patología estructural y funcional.
andrógenos en el
mantenimiento del
crecimiento y en la
supervivencia de las
células del cáncer de
próstata se comprueba
con el efecto
terapéutico de la
castración o del
tratamiento con anti-
androgenos que
normalmente induce la
CÁNCER DE PRÓSTATA
CÁNCER
KARKINOS= CANGREJO
POR SU CAPACIDAD DE ADHERIRSE A
CUALQUIER PARTE DE FORMA
OBSTINADA.
ES EN GENERAL LA PRINCIPAL CAUSA DE
MORTALIDAD A NIVEL MUNDIAL, SE LE
ATRIBUYEN 7.6M DE DEFUNCIONES, EL 13%
DE LAS OCURRIDAS EN TODO EL MUNDO.
EPIDEMIOLOGÍA
4° LUGAR
EN
INCIDENCI
A, AMBOS
SEXOS
GLOBOCAN
EPIDEMIOLOGÍA
2° LUGAR
EN
INCIDENCI
A, SEXO
MASCULIN
O
GLOBOCAN
EPIDEMIOLOGÍA
1° LUGAR
EN
PREVALENCI
A, SEXO
MASCULINO
GLOBOCAN
EPIDEMIOLOGÍA
5° LUGAR
EN
MORTALIDA
D, SEXO
MASCULINO
GLOBOCAN
National Cancer Institute. (2020). Cáncer de Próstata. Obtenido de
https://seer.cancer.gov/statfacts/html/prost.html
DETECCIÓN TEMPRANA
RESPUESTA A TRATAMIENTO
MUERTES POR OTRAS CAUSAS
FACTORES DE RIESGO
Los más importantes son:
Edad
Rara vez ocurre antes de los 40a, pero la
incidencia aumenta rápidamente a partir
de los 65 y los 74 años.
Etnicidad
Es más común en hombres negros que
blancos o hispanos, además la edad de
inicio en los hombres afroamericanos es
anterior a la de los grupos comparativos.
Genéticos
Fuerte componente genético
Su identificación es un fuerte desafio
Mutaciones en las vías de reparación del
ADN (BRCA1 y 2 y ATM, Sx de Lynch).
Dietéticos
Dieta rica en grasa animal (carne roja,
lácteos), baja en verduras (<14
porciones/semana), alto consumo de
omega-3 y aceite de pescado, altas
concentraciones de acido fólico y B12,
ingesta de soja y café como factor
protector
Estudios han encontrado que
los hombres afroamericanos:
• tienen niveles más altos de
PSA en suero,
• tienen peores puntajes de
Gleason,
• tienen una etapa más
avanzada de la enfermedad
al momento del diagnóstico
y
• reciben menos atención.
CUADRO CLÍNICO
Las manifestaciones con
frecuencia están ausentes en
el momento del diagnóstico.
En el
momento
del
diagnóstico:
el 78% de
los
pacientes
tienen
cáncer
localizado
12% tienen
implicación
de los
ganglios
linfáticos
regionales
6% tiene
metástasis
a distancia.
Philip W. et al. (2020) Clinical presentation and diagnosis of prostate cancer. UpToDate.
CUADRO CLÍNICO: LOS SÍNTOMAS
Es raro que los pacientes
se presentan debido a
los síntomas atribuibles
al cáncer de próstata.
Con poca frecuencia
puede presentarse con
síntomas urinarios
inespecíficos
hematuria o
hematospermia; estos
son por lo general
debido a las condiciones
no malignas.
Philip W. et al. (2020) Clinical presentation and diagnosis of prostate cancer. UpToDate.
CUADRO CLÍNICO: LOS SÍNTOMAS
Entre el 6% de los
pacientes cuyo cáncer de
próstata es metastásico
en el momento del
diagnóstico:
Otros síntomas con
enfermedad metastásica
pueden incluir:
•El dolor óseo puede ser el síntoma de
presentación.
•El hueso es el sitio predominante de cáncer de
próstata diseminado
•El dolor es la manifestación más común de
metástasis óseas.
•Pérdida de peso,
•Debilidad o dolor debido a la compresión de la
médula espinal,
•Dolor debido a fracturas patológicas,
•Fatiga causada por anemia,
•O síntomas urinarios / renales
•Tales como hematuria,
•Disuria,
•Anuria,
•Incontinencia.
Philip W. et al. (2020) Clinical presentation and diagnosis of prostate cancer. UpToDate.
DETECCIÓN
Hasta este punto sabemos que, el cáncer de próstata se encuentra entre las
principales causas de muerte relacionada con el cáncer.
En muchos casos, el cáncer de
próstata crece tan lentamente que no
afecta la supervivencia; por lo tanto,
la detección de rutina es
controvertida.
Sin la detección, muchos casos de
cáncer de próstata nunca se vuelven
clínicamente evidentes, la mayoría de
los hombres mueren de otras causas
antes de que la enfermedad se vuelve
clínicamente avanzados. (70%70a)
Su mortalidad decreciente
(359,000  quinta causa principal
de muerte por cáncer masculino)
atribuida en EEUUAA a la detección
de PSA lo defienden.
El aumento de la detección del
cáncer de próstata somete a
algunos pacientes a los riesgos
asociados con los tratamientos
que pueden no prolongar la vida y
que tienen riesgos de morbilidad.
NOM-048-SSA2-2017
Los profesionales de la salud, deben investigar la presencia de crecimiento
prostático en pacientes con edad igual o mayor a 45 años, independientemente
de que se presenten o no STUI.
Cuando exista carga genética para CaP por la línea directa (abuelo, padre,
hermanos), se debe realizar la valoración a partir de los 40 años de edad.
La detección integral está compuesta por los siguientes elementos, que son
complementarios y no excluyentes entre sí:
• CSP
• TR
• APE cuantitativo.
*Ante síntomas o signos de infección urinaria, el médico debe solicitar el EGO y
urocultivo, así como darle tratamiento antes de solicitar APE.
*Ante detección negativa, la frecuencia con la que se debe repetir la evaluación,
dependerá de los niveles de APE, los síntomas y la edad del paciente.
Richard M. H. et al. (2020) Screening for prostate cancer. UpToDate.
NORMA Oficial Mexicana NOM-048-SSA2-
DETECCIÓN
CUESTIONARIO DE SINTOMAS
PROSTÁTICOS/CSP/IPSS
Los pacientes con STUI en la
valoración inicial, se clasifican de
acuerdo al CSP, de la siguiente
manera:
Sintomatología leve: 1-7 puntos;
Sintomatología moderada: 8-19
puntos, y
Sintomatología severa: 20-35
puntos;
Richard M. H. et al. (2020) Screening for prostate cancer. UpToDate.
DETECCIÓN
APE >4 pero <10 ng/dl
Se repite APE, mas urocultivo, epermocultivo y
EGO.
Rangos normales
Seguimiento cada 6
meses
Rangos anormales
Relación <25%,
Densidad >.15
Biopsia
Relación >25%,
Densidad <.15
Repetir laboratorios
Tx empirico semanas
(antibiotico + antinflamatorio
+ alfa-antagonista)
Tx empirico =
• Fluoroquinolona por
3 semanas
(Ofloxacino)
• Diclofenaco o
Indometacina
• Tamsulosina
Pacientes
sintomatolog
ico o >45
años, CPS y
TR sugestivo
DETECCIÓN
Tacto rectal TR
Tambien conocido como examen rectal digital (DRE)
Puede detectar nódulos de próstata, induración, o asimetría.
El TR solo puede detectar tumores en los aspectos posterior y lateral
de la glándula prostática.
Los tumores no detectados por DRE incluyen el 25 al 35 %.
El TR generalmente no se recomienda como una prueba de detección
de rutina para la evaluación de la próstata o el área rectal en ausencia
de síntomas (urinarios o rectales).
Resultados TR anormal (crecimiento, nodulaciones o incremento en la
consistencia).
Philip W. et al. (2020) Clinical presentation and diagnosis of prostate cancer. UpToDate.
DETECCIÓN
Tacto rectal TR (Tecnica)
1. El dedo índice enguantado y lubricado se
introduce con presión suave y constante
mientras se evalúa el calibre y tono del
conducto anal.
2. De acuerdo con los síntomas, debe prestarse
especial atención a la respuesta del piso
pélvico mientras se solicita al paciente la
contracción del esfínter o el pujo.
3. Toda la superficie al alcance del dedo es
tactada en busca de áreas de dolor,
induración, orificios fistulosos, lesiones
protruyentes o crecimiento tumoral.
Philip W. et al. (2020) Clinical presentation and diagnosis of prostate cancer. UpToDate.
APE
Glucoproteina
formada por las
celulas del estroma
prostatico.
Valores normales segín la edad:
● 40 a 49 años: < 2.5 ng/mL
● 50 a 59 años - < 3.5 ng/mL
● 60 a 69 años - < 4.5 ng/mL
● 70 a 79 años - <6.5 ng/mL
Su función es la
licuefacción del
semen. Con una vida
media de 2 a 3 dias
El APE se une a la
alfa-1-
anticimotripsina y la
alfa-2-
macroglobulina.
El APE se puede
reportar en forma
libre y total, la cual
sirve para calculcar
la relación y
densidad prostatica.
El APE elevado no es
específico para
malignidad, puede
estar aumentado en
condiciones
benignas y un
resultado normal no
descarta cancer.
DETECCIÓN
Philip W. et al. (2020) Clinical presentation and diagnosis of prostate cancer. UpToDate.
DETECCIÓN
El APE es específico de la próstata,
más no es específico de cáncer
Prostatitis
Hiperplasia prostática benigna
Retención urinaria (sonda) 8 veces
Procedimientos urológicos: dilataciones, cistoscopia,
biopsia de próstata, RTUP HASTA 50 VECES
Richard M. H. et al. (2020) Screening for prostate cancer. UpToDate.
CAUSAS DE ELEVACION
BENIGNA DE ANTIGENO
PROSTATICO
• TRAUMA (Perineal y sonda)
T
• INFLAMACIÓN/INFECCIÓN/HPB
I
• MASAJE PROSTATICO
M
• BIOPSIA
B
• RETENCIÓN URINARIA
R
• EYACULACIÓN
E
¿EL APE PUEDE SUSTITUIR EL
TACTO RECTAL?
Definitivamente NO
El TR no puede ser sustituido por
ningún estudio de laboratorio ni de
imagen.
Tiene un papel primordial en la
evaluación y manejo de pacientes
con patología prostática ya sea
benigna o maligna  no debe
omitirse.
El APE y el TR se complementan.
Philip W. et al. (2020) Clinical presentation and diagnosis of prostate cancer. UpToDate.
DETECCIÓN
Relación APE Total/libre
El cociente de APE l/t es un valor ampliamente utilizado en la práctica
clínica para diferenciar entre CPB y CaP, siendo normal un valor mayor al
25%, valores inferiores al 10% incrementan las posibilidades de CaP.
APE Total = 100%
APE libre = x. .
• 25% = factor
protector
• 20 a 25%= Riesgo del
15% de tener CA
• <10% = Riesgo del
50% de tener CA
Se tomara como 25% el
corte, sugestivo a CA..
Philip W. et al. (2020) Clinical presentation and diagnosis of prostate cancer. UpToDate.
DETECCIÓN
PSAD: Densidad de APE
Requiere la
división de Ag
prostático total
con el Volumen
prostático
Factor beningo
<0.15
Marcador para
malignidad si es
>0.15
La concentración del
PSA se eleva en
promedio 0.12ng/ml
por gramo de tejido
de BHP, la relación
entre tejido epitelial y
el estroma varían de
glándula a otra.
Philip W. et al. (2020) Clinical presentation and diagnosis of prostate cancer. UpToDate.
DETECCIÓN
El resultado se reporta como una
cantidad (ng/ml) por año.
Se necesita una serie de
tres pruebas durante un
período mínimo de 18
meses para calcular la
velocidad del PSA.
En general, una tasa de
0.75 ng/ml/año se
considera alta y puede ser
un signo de un cáncer más
agresivo.
Describe la velocidad a la
que aumenta el valor del
PSA en una serie de
análisis de sangre (y en el
tiempo).
Los niveles muy altos son más
propensos que el cáncer de
próstata a representar un signo
de prostatitis y se pueden tratar
con antibióticos.
La VAPE, es el incremento anual absoluto del
APE, siendo normal menor de 0.75
ng/ml/año o de 0.35 ng/ml/año con uso de
inhibidores de 5 alfa reductasas.
PSAV:
VELOCIDAD
DE
INCREMENT
O DE
ANTÍGENO
PROSTÁTIC
O
DETECCIÓN
El PCA3, es el marcador de ARNm no codificador específico de la próstata.
Se mide en el sedimento de orina obtenido después de un masaje prostático por el personal médico.
Dicho marcador ofrece mayor sensibilidad y especificidad en el diagnóstico.
Después de centrifugar la orina, el sedimento se utiliza para la detección del gen PCA3 mediante
teécnicas de biología molecular (reacción en cadena de la polimerasa de fluorescencia).
Philip W. et al. (2020) Clinical presentation and diagnosis of prostate cancer. UpToDate.
DETECCIÓN
El diagnóstico definitivo, se basa
en la presencia de células
neoplásicas malignas en muestras
de biopsia o piezas quirúrgicas
de próstata por parte del médico
patólogo.
La indicación de biopsia depende
de si los estudios anteriores y la
edad del paciente.
Philip W. et al. (2020) Clinical presentation and diagnosis of prostate cancer. UpToDate.
DETECCIÓN
Imagen
La ecografía transrectal es
el método de imagen mas
útil para la estadificación
local pudiendo ofrecer
información importante
sobre afectación capsular,
vesículas seminales, cuello
vesical o recto.
No existe patrón
característico, suele
aparecer como nódulos
hiperecogénicos.
Philip W. et al. (2020) Clinical presentation and diagnosis of prostate cancer. UpToDate.
DETECCIÓN
La TC y la RM tienen su principal papel en la
estadificación ganglionar y la valoración de
metástasis a distancia.
Las primeras metástasis deben buscarse a nivel
de los ganglios linfáticos de las cadenas
obturatrices e iliacas.
Si se tiene sospecha clínica de CaP, a pesar de biopsias de
próstata negativas, se debe valorar el uso de RM de próstata
para detectar áreas sospechosas de CaP, de ser así, realizar
biopsia guiada por RM de la región afectada.
Ganglio de
Cloquet o de
Rosenmüller
RM MULTIPARAMETRICA
EVALUA
•Morfología
•Metabolismo
•Funcionalidad
Inyección de citrato y colina
DETECCIÓN
La RM tiene utilidad para valorar el estado de riesgo de la
enfermedad prostática y para informar las decisiones para
la realización de biopsias.
Caso hipotético: Paciente de
edad avanzada con
comorbilidades importantes, una
resonancia magnética que no
muestra ninguna lesión o una
lesión de bajo riesgo podría ser
un argumento a renunciar a la
biopsia.
Éstas pueden producir
una imagen muy clara de
la próstata e indicar si el
cáncer se ha propagado
fuera de la próstata hasta
las vesículas seminales o
a otras estructuras
adyacentes.
Philip W. et al. (2020) Clinical presentation and diagnosis of prostate cancer. UpToDate.
DETECCIÓN
El diagnóstico
definitivo, se basa en la
presencia de células
neoplásicas malignas
en muestras de biopsia
o piezas quirúrgicas de
próstata por parte del
médico patólogo.
Ximing J. et al. (2020) Interpretation of prostate biopsy. UpToDate.
DETECCIÓN
El médico especialista (urólogo), debe indicar una biopsia de próstata,
dependiendo de la concentración de APE cuantitativo, un TR sospechoso o
ambos. Se debe considerar la expectativa de vida.
Generalmente procedemos a una biopsia
si:
• La esperanza de vida es de al menos
10 años (algunos médicos la indican si
la esperanza de vida es > 5 años).
• El PSA se eleva por encima del rango
para la cohorte de edad del paciente, o
• el PSA ha aumentado más de 0,75
ng/ml durante un año, o
• hay una palpación con respecto a la
anormalidad en el TR.
Realizar la BTR, guiada por
ultrasonido bajo sedación, con
valoración pre-quirúrgica o con
anestesia local, con técnica de doble
sextante, es decir, 6 cilindros de cada
lóbulo prostático, para un total de 12
cilindros.
Las complicaciones de la biopsia de
próstata (Infección, dolor, sangrado,
obstrucción urinaria) ocurren en hasta
el 2% de los hombres
Puede efectuarse vía transrectal o transperineal
guíada por el TR o por ecografía transrectal.
La PAAF es una alternativa con menos
complicaciones pero no puede evaluar el grado
histológico.
Ximing J. et al. (2020) Interpretation of prostate biopsy. UpToDate.
Diagnóstico y Tratamiento del Cáncer de Próstata en Segundo y Tercer Nivel de
Atención. Guía de Referencia Rápida. Numero de Registro: IMSS-140-08
DECISIÓN DE LA BIOPSIA
4K SCORE TEST
Reduce la realización de biopsias prostáticas en el 50% de los
casos.
Algoritmo integrado por las determinaciones
plasmáticas cuantitativas de cuatro
marcadores: PSA total, libre e intacto y
calicreína humana 2, además, incluye la edad,
el estado de TR (nódulos o no nódulos) y la
información acerca de la realización de una
biopsia previa para proporcionar un
porcentaje de probabilidad de que una
biopsia de próstata sea positiva para cáncer
de alto grado (Gleason Score mayor o igual a
7).
Los pacientes que
más se pueden
beneficiar de este
sistema de
evaluación del
riesgo son
aquellos en los
que el PSA sólo
está ligeramente
elevado, es decir,
entre 4 y 10
ng/ml zona gris.
Supera a la biopsia en la detección de tumores mas pequeños.
ANATOMÍA PATOLÓGICA
La gran mayoría de
los cánceres de
próstata son
adenocarcinomas
acinares.
90-95%
Peter A Humphrey (2012). Histological variants of prostatic carcinoma and their significance.
Histopathology 60, 59–74Histopathology 60, 59–74
ESTADIFICACIÓN
J. Vallejos et al. (2013) Actualización de la estadificación del cáncer
de próstata. Revista Argentina de Radiología.
La estadificación clínica del paciente se debe realizar a través del TR, niveles de APE y escala
de Gleason.
Para estadificar el CaP con metástasis o enfermedad avanzada, se deben evaluar:
•Pruebas de función hepática,
•tele de tórax,
•tomografía o RM de abdomen,
•gamagrama óseo,
•tomografía de cráneo o PET/CT.
Una vez establecida la extensión clínica del tumor, se clasifica de acuerdo al TNM para CaP.
ESCALA DE
GLEASON
J. Vallejos et al. (2013) Actualización de la estadificación del cáncer
de próstata. Revista Argentina de Radiología.
El examen histopatológico, permite la gradación del tumor
en función del grado de diferenciación celular.
El adenocarcinoma prostático es con frecuencia multifocal y
presenta poblaciones en distinto grado de diferenciación.
En esta heterogenicidad se basa la escala Gleason que se
corresponde con el pronostico de la enfermedad,
independientemente del estadio.
La puntuación es la suma del grado predominante y el
segundo grado predominante y ambos deberán indicarse
por el MÉDICO PATÓLOGO.
ESCALA DE GLEASON
Deriva mediante la suma de los valores numéricos para los dos
patrones de diferenciación prevalentes (un grado primario y un
grado secundario).
Como ejemplo, si una biopsia consiste predominantemente de
enfermedad de grado 3 y secundaria de grado 4, la puntuación
combinada es "3 más 4" o 7.
Los tumores con un solo patrón se tratan como si sus grados
primario y secundario fueran iguales, y por lo tanto, el número
se duplica.
J. Vallejos et al. (2013) Actualización de la estadificación del cáncer
de próstata. Revista Argentina de Radiología.
Imagen de la web.
ESCALA DE GLEASON
J. Vallejos et al. (2013) Actualización de la estadificación del cáncer
de próstata. Revista Argentina de Radiología.
Según el patrón de crecimiento y el grado de diferenciación, los tumores se
clasifican del 1 al 5.
Gleason 1. tumores mejor diferenciados, en los cuales las glándulas
neoplásicas son uniformes y redondas en apariencia y están agrupadas en
nódulos bien circunscritos.
Gleason 5. tumores que no muestran diferenciación glandular, y las células
tumorales se infiltran en el estroma en forma de cordones, sábanas y nidos.
American Cancer Society. Etapas y otras maneras de evaluar el
riesgo de cáncer de próstata.
Grados 2-6: Tumores bien
diferenciados
Grado 7: Tumores moderadamente
diferenciados
Grados 8-10: Tumores
indiferenciados o de biología
agresiva
Excelente
pronóstico
Pronostico
intermedio
Mal pronostico
J. Vallejos et al. (2013) Actualización de la estadificación del cáncer
de próstata. Revista Argentina de Radiología.
J. Vallejos et al. (2013) Actualización de la estadificación del cáncer
de próstata. Revista Argentina de Radiología.
J. Vallejos et al. (2013) Actualización de la estadificación del cáncer
de próstata. Revista Argentina de Radiología.
J. Vallejos et al. (2013) Actualización de la estadificación del cáncer
de próstata. Revista Argentina de Radiología.
Eric A. K. et al. (2019) Prostate cancer: Risk stratification and choice
of initial treatment. UpToDate.
TRATAMIENTO
La estadificación del
cáncer de próstata
es importante para
la selección de la
forma de
tratamiento mas
apropiada.
Para la toma de
decisión del
tratamiento se debe
tener en cuenta la
esperanza de vida
del paciente, su
estado de salud y
las características
del tumor.
RIESGO DE RECURRENCIA
BIOQUÍMICA (D'AMICO)
Definición de
recurrencia
bioquímica: Paciente
que presenta
incremento del valor
de PSA mayor de 0,2
ng/ml posterior a
tratamiento con
prostatectomía
radical; o si se
incrementen en 2
ng/ml sobre el valor
de PSA nadir, si el
tratamiento es
radioterapia más
J. Vallejos et al. (2013) Actualización de la estadificación del cáncer
de próstata. Revista Argentina de Radiología.
CLASIFICACIÓN DE RIESGO DE
D'AMICO PARA EL CÁNCER DE
PRÓSTATA
https://www.mdcalc.com/damico-risk-
classification-prostate-cancer
VIGILANCIA ACTIVA
Objetivo: lograr el momento correcto
para el tratamiento curativo.
Seguimiento muy cuidadoso con
evaluaciones seriadas de tacto rectal y
PSA cada 3 meses, y biopsias de
seguimiento guiadas por US transrectal
para asegurar la estabilidad del tumor.
Por lo general, se les trata al primer
signo de progresión subclínica.
Entre 20 y 41% de los hombres requiere
tratamiento a los 3 a 5 años de
seguimiento.
Criterios de selección para
vigilancia activa
• Gleason 6 o menor,
• cT1c o cT2a,
• PSA <10 ng/mL y
• Densidad de PSA < 0,15
ng/ml/cc.
(Cooperberg, et al., 2011a, 2011b; Dall’Era, Cancer, 2008;
Klotz, 2010).
PROSTATECTOMÍA RADICAL (RP)
Extirpación de toda la glándula prostática y la resección de ambas vesículas seminales
con márgenes negativos (tejido circundante) y anastomosis vesico-uretral.
Objetivo: erradicación de la enfermedad, preservando la continencia y, siempre que
sea posible, la potencia.
La prostatectomía radical puede realizarse mediante una incisión retropúbica o
perineal o mediante una técnica laparoscópica o robótica asistida.
Se puede acompañar de linfadenectomía pélvica bilateral.**
Sabiston. Tratado de Cirugía
PROSTATECTOMÍA RADICAL (RP)
LINFADENECTOMIA PELVICA EXTENDIDA
•En pacientes con Gleason >7 se extirparán los ganglios iliacos
externos (situados por encima de la arteria y la vena ilíacas
externas) y los obturadores (ubicados en el interior de la fosa
obturatriz craneal y caudalmente al nervio obturador) y los
iliacos internos (situados medial y lateralmente a la arteria
ilíaca interna).
•Los pacientes con un valor de PSA < 10 ng/ml y una
puntuación de Gleason en la biopsia < 7 tienen un riesgo bajo
de metástasis ganglionares, por lo que podría no ser
beneficiosa.
Sabiston. Tratado de Cirugía
PROSTATECTOMÍA
RADICAL (RP)
PRESERVACIÓN DE NERVIOS
• Debe usarse de manera selectiva, porque la extensión
extra capsular puede ser un dato común en pacientes
en quienes se presume CaP localizado.
• Si hay extensión extracapsular la preservación del haz
neurovascular puede aumentar la probabilidad de que
el tumor recurra.
• Solo si resulta factible y oncológicamente aceptable se
aplicara dicha técnica que evitara el daño de los nervios
cavernosos que discurren a lo largo de la cara
posterolateral de la próstata median la erección del
pene.
Sabiston. Tratado de Cirugía
PROSTATECTOMÍA RADICAL (RP)
Sabiston. Tratado de Cirugía
REFERENCIAS ANATÓMICAS
IMPORTANTES
•Por delante: Plexo venoso dorsal
•Por arriba: Cuello de la vejiga
•Por debajo: Unión prostatomembranosa
•Por detrás: Pared del recto.
El plano correcto de disección se sitúa
justo detrás de la fascia de Denonvillers.
PROSTATECTOMÍA
RADICAL (RP)
PRINCIPALES
COMPLICACIONES
•Incontinencia urinaria
•Disfunción eréctil
•Alteraciones miccionales
•Recidiva**
Sabiston. Tratado de Cirugía
SVLP a 10
años
• 85% en pacientes con
enfermedad confinada al órgano
• 60-70% en caso de extensión
extracapsular
• 50% si se dejaran bordes
positivos
RADIOTERAPIA CON HAZ EXTERNO
Radiación de toda la pelvis, incluidos los ganglios
linfáticos regionales.
El uso de privación de andrógenos a corto plazo (3 a 4
meses) neoadyuvante y concurrente se recomienda
para quienes tienen tumores con riesgo intermedio.
Quienes tienen tumores con riesgo elevado deben
recibir privación de andrógenos neoadyuvante,
concurrente y adyuvante a largo plazo (24 meses).
Harrison. Principios de Medicina Interna,
Goodman and Gilman las bases farmacológicas de la terpéutica,
Smith y Tanagho Urología General.
Cuando se combina
con privación de
andrógenos  ha
demostrado mejores
resultados en quienes
tienen cáncer de
próstata con riesgo
intermedio a elevado.
USG renal cada 6 meses para ver si no hay uropatía
obstructiva.
GAMMA KNIFE
Alta SVLP
El estadiaje es poco confiable ya que no obtiene la
pieza quirúrgica para su examen anatomopatológico
Indicado en pacientes con altas comorbilidades y no
candidatos a PR.
BRAQUITERAPIA
Colocación de semillas radiactivas bajo guía de US
transrectal.
Los implantes pueden ser:
• Permanentes (yodo 125 o paladio 103): entregan
una dosis total más elevada en comparación con los
implantes temporales.
•Temporales: entregan una dosis total más baja
INDICACIONES
I. Pacientes con enfermedad local donde no
haya riesgo de enfermedad ganglionar
(Gleason 5-6).
II. Paciente joven con APE <10 o T1-T2a
(método menos agresivo, menos
complicaciones).
III. En prostatas de mas de 40 gr primero RTU y
luego las semillas
Harrison. Principios de Medicina Interna,
Goodman and Gilman las bases farmacológicas de la terpéutica,
Smith y Tanagho Urología General.
NO SE UTILIZA
PROSTATECTOMÍA RADICAL
VERSUS RADIOTERAPIA.
ProtecT comparó RP vs. AM vs. EBRT (combinado
con 6 meses de ADT).
En una mediana de seguimiento de 10 años, no
hubo diferencias entre la cirugía y la EBRT en todos
los resultados oncológicos.
EAU. Guideline
TERAPIA HORMONAL/BLOQUEO
ANDROGÉNICO
La terapia de deprivación de
andrógenos primarios (TDA)
puede ser empleada con el
objetivo de proporcionar un
control sintomático del cáncer
de próstata para pacientes en
los que el tratamiento definitivo
con cirugía o radiación no es
posible o aceptable o que
presentan RECURRENCIA.
Harrison. Principios de Medicina Interna,
Goodman and Gilman las bases farmacológicas de la terpéutica,
Smith y Tanagho Urología General.
OBJETIVOS
En pacientes sintomáticos:
•Paliar y reducir el riesgo de secuelas
En pacientes asintomáticos:
•Retrasar la progresión a sintomáticos y
evitar complicaciones relacionadas con
la progresión.
Responsable
del 95% de la
producción de
Testosterona
SÍNTESIS
DE
ANDRÓGE
NOS
AGONISTAS DE LA HORMONA LIBERADORA DE LA
HORMONA LUTEINIZANTE (ANÁLOGOS GnRH)
Principales formas de ADT. Logran la castración mediante inhibición
de la retroalimentación del eje hipotalámico-hipofisario
desensibilizando al receptor de GnRH en adenohipófisis por
estimulación crónica.
Castración en 2-4 semanas (28 días).
Su uso está limitado debido al aumento en el riesgo de efectos
cardiovasculares negativos.
La FDA ha aprobado cuatro agonistas de LHRH para el tratamiento de
cáncer de próstata: acetato de goserelina, pamoato de triptorelina,
acetato de histrelina y acetato de leuprolida, bicalutamida.
Después de la primera inyección, inducen un aumento
transitorio de la hormona luteinizante (LH) y la hormona
folículoestimulante (FSH) que conduce al fenómeno de "flare-
up" que comienza 2-3 días después de la administración y dura
alrededor de 1 semana.
FENÓMENO LLAMARADA O “FLARE-UP” (10% DE LOS PACIENTES)
Efectos clínicos perjudiciales: aumento del dolor óseo,
retención urinaria, insuficiencia renal obstructiva, compresión
de la médula espinal y muerte cardiovascular debido al estado
de hipercoagulación. Harrison. Principios de Medicina Interna,
Goodman and Gilman las bases farmacológicas de la terpéutica,
Smith y Tanagho Urología General.
ANTAGONISTAS DE LA GnRH
Funcionan inhibiendo de forma directa
la producción de hormonas LH y FSH al
bloquear competitivamente los
receptores de GnRH en la glándula
pituitaria.
Entre sus ventajas; tienen menos
efectos cardiovasculares que los
agonistas, tienen un papel importante a
corto plazo (mayor SVLP) evitan el
efecto Flare Up.
El único actualmente
aprobado es Degarelix, de
aplicación mensual,
subcutánea, dosis de inicio
240mg y las subsiguientes
son de 80mg.
Harrison. Principios de Medicina Interna,
Goodman and Gilman las bases farmacológicas de la terpéutica,
Smith y Tanagho Urología General.
Castración al día 3.
Más reacciones adversas,
dolor en el sitio de
aplicación, aplicación
mensual.
$$$
ANTIANDRÓGENOS
Antagonizan la unión del ligando a los receptores de andrógenos,
inicialmente aprobados para bloquear las exacerbaciones de la
enfermedad relacionadas con el tratamiento con agonistas de GnRH.
Sus propiedades químicas le confieren menores reacciones adversas y
se les han denominado antiandrógenos puros limitándose a ejercer su
efecto a nivel del receptor androgénico.
NO ESTEROIDEOS:
• Flutamida: 375 a 750 mg cada 24 horas en tres dosis.
• Nilutamida: tiene una vida media prolongada (30-60 horas). 150-
300 mg administrada una vez al día
• Bicalutamida: es cuatro veces más afín al receptor androgénico que
la flutamida. 50 a 150 mg una vez al día
Harrison. Principios de Medicina Interna,
Goodman and Gilman las bases farmacológicas de la terpéutica,
Smith y Tanagho Urología General.
BLOQUEO COMBINADO DE ANDRÓGENOS/ BLOQUEO
ANDRÓGENICO MÁXIMO
El bloqueo completo de andrógenos puede lograrse mediante la
combinación de un antagonista del receptor de andrógenos
(flutamida, bicalutamida o nilutamida) con el uso de un agonista de
GnRH u orquiectomía.
Con un agonista normalmente se tiene que
agregar un antiandrogeno (p.Ej. leuprolida +
flutamida).
Cuando se utiliza el antagonista (Degarelix)
normalmente ya no es necesario utilizar el
antiadrogeno lo cual es otra ventaja en su uso.
Harrison. Principios de Medicina Interna,
Goodman and Gilman las bases farmacológicas de la terpéutica,
Smith y Tanagho Urología General.
No se ha documentado
mejoría con el bloqueo
androgénico máximo vs
monoterapia si con esta
se logra castración,
agregas toxicidad del
tratamiento y menor
apego a el.
BLOQUEO INTERMITENTE
Prolongar el tiempo sensible a castración
Retrasar la resistencia a la castración
Es seguro, no hay diferencia en SG y SVLP
que con el bloqueo continuo
Disminuye complicaciones asociadas al
bloqueo androgénico
Disminuye los efectos adversos del bloqueo
androgénico y propios del tratamiento
Recuperan la función eréctil
En pacientes buenos respondedores al
bloqueo androgénico, sin progresión clínica y
con APE <4ng/dL.
Enfermedad metastásica con APE <4
asintomáticos
Reiniciar el bloqueo
•Duplicación del antígeno antes de 6 meses
•Enfermedad recurrente/LA: APE 4-10
•Enfermedad metastásica: APE 10-15
Enfermedad recurrente/LA:
APE 4-10ng/ml
Enfermedad metastásica: APE
10-15ng/ml
ORQUIECTOMÍA
SIMPLE BILATERAL
Extirpación quirúrgica de ambos
testículos.
Fue el primer tratamiento
utilizado para el cáncer de
próstata metastásico hace más
de 70 años.
Si bien se trata de una
operación, se considera terapia
de deprivación de andrógenos.
Logra niveles de castración de
testosterona, método seguro y
evita los efectos adversos tipo
flare up de algunos anti
andrógenos.
Harrison. Principios de Medicina Interna,
Goodman and Gilman las bases farmacológicas de la terpéutica,
Smith y Tanagho Urología General.
CUAL MÉTODO ES MEJOR?
Se han comparado los
resultados y no hay diferencia
entre métodos de castración
EAU. Guideline
INMEDIATO VS DIFERIDO
Iniciar TDA:
•¿Inmediatamente después del diagnóstico
de la enfermedad localmente avanzada o
metastásica asintomática?
•¿Retrasarlo hasta progresión clínica?
EAU. Guideline
TERAPIA DE PRIVACIÓN DE
ANDRÓGENOS NEOADYUVANTES
La ADT neoadyuvante se asocia con una disminución de la tasa de
pT3 (reducción de etapas) y disminución de los márgenes
positivos. Estos beneficios son mayores con una mayor duración del
tratamiento (hasta 8 meses).
Sin embargo, dado que ni la supervivencia libre de recaída del PSA ni
la supervivencia especifica del cáncer mostraron mejorar, la ADT
neoadyuvante no debe considerarse como una práctica clínica
estándar.
EAU. Guideline
NO SE HACE PORQUE
AUMENTA LAS
COMPLICACIONES
RELACIONADAS CON LA
CIRUGÍA
NIVELES DE CASTRACIÓN
Testosterona
•<50ng/dL: considerado por las autoridades
reguladoras y en los ensayos clínicos
•<20ng/dL: mejores resultados
Los estudios
sugieren una
relación directa
entre la
supervivencia y
SVLP con los
niveles de
testosterona
alcanzados
durante el
bloqueoEAU. Guideline
APE
•<.2ng/dL: en pacientes post
prostatectomía radical
•<2ng/dL: en pacientes post radioterapia
SÍNDROME DE AGOTAMIENTO DE
ANDROGENOS
Bochorno, debilidad, fatiga, depresión, anemia, perdida de la libido y la función
sexual, reducción de la densidad mineral de los huesos, aumento de peso y grasa
corporal, y cambios cognitivos, aumento en colesterol total, lipoproteínas de baja
y alta densidad, y triglicéridos séricos, obesidad, resistencia a la insulina.
Harrison. Principios de Medicina Interna,
Goodman and Gilman las bases farmacológicas de la terpéutica,
Smith y Tanagho Urología General.
EFECTOS ADVERSOS
Fatiga y síntomas vasomotores (80%) Bochorno)
Síndrome metabólico (50%)
Cardiopatía isquémica
•Alta causa de mortalidad, relacionado a la edad y comorbilidades
Alteraciones en la densidad mineral ósea
•Osteopenia
•Osteoporosis
•Fracturas
Alteraciones en la función sexual
•Disfunción eréctil
•Disminución de la libido
RECOMENDACIONES DE MANEJO
SEGÚN LA NCCN PARA
LATINOAMERICA 2017
1
2
3
4
5
6
7
8
9
10
SEGUIMIENTO
Por al menos
10 años
•CLÍNICA
•PSA
•ECOGRAFÍA TR
•PET
•GO
SEGUIMIENTO
La Tomografía por Emisión de Positrones (PET) técnica de
medicina nuclear, no invasiva, que utiliza radiofármacos y
cámaras de detección de radiaciones.
Aida Sánchez-Salmón y Álvaro Ruibal (2006) VALOR ACTUAL DE LA TOMOGRAFÍA POR EMISIÓN DE
POSITRONES DURANTE EL SEGUIMIENTO DEL CÁNCER DE PRÓSTATA..
El radiofármaco hasta ahora más comúnmente usado, la 18F-
FlúorDeoxiGlucosa (18F-FDG), un análogo de la glucosa que se
elimina por vía renal lo que dificulta su interpretación en las
patologías urológicas tumorales.
SEGUIMIENTO
SEGUIMIENTO
La gammagrafía ósea se utiliza para la detección de metástasis
óseas, tiene mayor sensibilidad que la radiología convencional.
Debe realizarse en todo paciente en quien se sospeche
metástasis, Gleason >8, APE >20.
Antes de plantear tratamiento curativo en pacientes con alta
probabilidad de encontrar extensión se debe efectuar
gammagrafía para descartar existencia de metástasis ósea y TC
para descartar metástasis ganglionar.
Las metástasis del cáncer de
próstata son osteoblásticas, el
sitio de metástasis mas
frecuente es columna lumbar.
Radiotrazador con tropismo óseo: 99mTc-
Jose. A. et al. Métodos diagnósticos de la diseminación prostática.
METÁSTASIS
Se diseminan por vía linfática hacia los ganglios obturadores y
finalmente, hacia los ganglios paraaórticos.
La diseminación hematógena tiene lugar principalmente hacia
los huesos (esqueleto axial).
Afectando principalmente, en ese orden:
•Columna lumbar
•Fémur proximal
•Pélvis
•Columna torácica
•Costillas
Las metástasis óseas son típicamente osteoblásticas.
FACTORES PRONÓSTICOS
Metástasis al momento del diagnóstico
APE
ECOG
Gleason
REFERENCIA
Pacientes con sospecha de
cáncer de próstata, en quienes
no se pueda afectuar biopsia
para confirmación del
diagnóstico en su unidad de
origen por falta de recursos
Pacientes candidatos de cirugía
radical en quieres el
procedimiento no pueda
llevarse a cabo en su unidad de
atencion, por no tener la
capacidad resolutiva
Cuando no se cuenta con el
recurso técnico para ofrecer
tratamiento (radioterapia)
Pacientes con cáncer de
próstata hormono refractario
Pacientes con falla al
tratamiento primario que no
cuenten con los recursos en la
unidad de segundo nivel de
atención , para tratamiento
paliativo
Diagnóstico y Tratamiento del Cáncer de Próstata en Segundo y Tercer Nivel de
Atención. Guía de Referencia Rápida. Numero de Registro: IMSS-140-08
BIBLIOGRAFÍA
1. Kumar V., Abbas A.K. (2015). Robbins y Cotran. Patología estructural y funcional.
España.: Elsevier, 9ª Ed.
2. Oliver Sartor et al. (2019) Risk factors for prostate cancer. UpToDate. Disponible en
https://www.uptodate.com/contents/risk-factors-for-prostate-
cancer?search=cancer%20de%20prostate&source=search_result&selectedTitle=3~150&
usage_type=default&display_rank=3
3. GLOBOCAN
4. National Cancer Institute. (2020). Cáncer de Próstata. Obtenido de
https://seer.cancer.gov/statfacts/html/prost.html
5. Philip W. et al. (2020) Clinical presentation and diagnosis of prostate cancer.
UpToDate. Disponible en https://www.uptodate.com/contents/clinical-presentation-
and-diagnosis-of-prostate-
cancer?search=cancer%20de%20prostate&source=search_result&selectedTitle=6~150&
usage_type=default&display_rank=6#H2562436504
6. Richard M. H. et al. (2020) Screening for prostate cancer. UpToDate. Disponible en
https://www.uptodate.com/contents/screening-for-prostate-
cancer?search=cancer%20de%20prostate&source=search_result&selectedTitle=2~150&
usage_type=default&display_rank=2#H3355913205
1. NORMA Oficial Mexicana NOM-048-SSA2-2017, Para la prevención, detección, diagnóstico,
tratamiento, vigilancia epidemiológica y promoción de la salud sobre el crecimiento
prostático benigno (hiperplasia de la próstata) y cáncer de próstata (tumor maligno de la
próstata).
2. Stephen F. et al. (2020) Measurement of prostate-specific antigen. UpToDate. Disponible en
https://www.uptodate.com/contents/measurement-of-prostate-specific-
antigen?search=cancer%20de%20prostate&source=search_result&selectedTitle=7~150&usa
ge_type=default&display_rank=7
3. Ximing J. et al. (2020) Interpretation of prostate biopsy. UpToDate. Disponible en
https://www.uptodate.com/contents/interpretation-of-prostate-
biopsy?search=cancer%20de%20prostate&topicRef=6938&source=see_link#H528216779
4. Diagnóstico y Tratamiento del Cáncer de Próstata en Segundo y Tercer Nivel de Atención.
Guía de Referencia Rápida. Numero de Registro: IMSS-140-08
5. David G Bostwick & Liang ChengDavid G Bostwick & Liang Cheng (2012). Precursors of
prostate cancer. Histopathology 60, 4–27
BIBLIOGRAFÍA
1. Eric A. K. et al. (2019) Prostate cancer: Risk stratification and choice of initial treatment.
UpToDate. Disponible en https://www.uptodate.com/contents/prostate-cancer-risk-
stratification-and-choice-of-initial-
treatment?search=cancer%20de%20prostate&source=search_result&selectedTitle=1~150&us
age_type=default&display_rank=1
2. American Cancer Society. Etapas y otras maneras de evaluar el riesgo de cáncer de próstata.
Disponible en https://www.cancer.org/es/cancer/cancer-de-prostata/deteccion-
diagnostico-clasificacion-por-etapas/clasificacion-por-etapas.html
3. CENAPRECE. Guía de consulta del Médico para la atención de la próstata. Disponible en
http://www.cenaprece.salud.gob.mx/programas/interior/adulto/descargas/pdf/GuiaCPByC
A_Prxstata.pdf
4. J. Vallejos et al. (2013) Actualización de la estadificación del cáncer de próstata. Revista
Argentina de Radiología. 77(4); 301-305. En https://www.elsevier.es/es-revista-revista-
argentina-radiologia-383-articulo-actualizacion-estadificacion-del-cancer-prostata-
X0048761913603128
BIBLIOGRAFÍA
1. Nancy A. et al. (2019). Overview of the treatment of disseminated castration-sensitive
prostate cancer. UpToDate. Disponible en https://www.uptodate.com/contents/overview-
of-the-treatment-of-disseminated-castration-sensitive-prostate-
cancer?search=cancer%20de%20prostate&source=search_result&selectedTitle=4~150&usag
e_type=default&display_rank=4
2. Nancy A. et al. (2019). Overview of the treatment of castration-resistant prostate cancer
(CRPC). UpToDate. Disponible en https://www.uptodate.com/contents/overview-of-the-
treatment-of-castration-resistant-prostate-cancer-
crpc?search=cancer%20de%20prostate&source=search_result&selectedTitle=5~150&usage_t
ype=default&display_rank=5
3. Aida Sánchez-Salmón y Álvaro Ruibal (2006) Valor actual de la tomografía por emisión de
positrones durante el seguimiento del cáncer de próstata. Cáncer de próstata: nuevas
técnicas diagnósticas. 59, 10 .
4. Jose. A. et al. Métodos diagnósticos de la diseminación prostática. Cáncer de próstata:
nuevas técnicas diagnósticas. 59, 10.
BIBLIOGRAFÍA

Cáncer de Próstata.pptx

  • 1.
  • 2.
  • 3.
    ABREVIATURAS SIGLA S SIGNIFICADO CaP Cáncer dePróstata TR Tacto Rectal CSP Cuestionario de Síntomas Prostáticos APE Antígeno prostático específico EGO Examen General de Orina STUI Síntomas del tracto urinario inferior. VAPE Velocidad del APE. CPB Crecimiento SIGLA S SIGNIFICADO TSA, TDA Terapia de deprivación androgénica LHRH, GnRH Hormona liberadora de gonadotropina PLND Linfadenectomía pélvica EBRT Radioterapia de haz externo PR Prostatectomía Radical. OSB Orquiectomía simple bilateral.
  • 4.
    OBJETIVOS Ofrecer un panoramageneral del cáncer de próstata enfatizando en su epidemiología, métodos de diagnostico y tratamiento con base en las recomendaciones emitidas por los organismos competentes. Describir el papel de los andrógenos en su etiología y patogenia así como sus implicaciones terapéuticas. Generar en el medico en formación el criterio clínico que le permita sospechar los casos de cáncer de próstata y referirlos oportunamente al Urólogo u Oncólogo.
  • 5.
    Órgano retroperitoneal con pesoaproximado de 20g que rodea el cuello de la vejiga y la uretra, carece de una capsula diferenciada. PRÓSTATA Zonas de Mc Neal Se han identificado 4 zonas distintivas:  La zona periférica, central, transicional y fibromuscular, algunos incluyen la periuretral. (McNeal, et al., 1988 De 60 a 70% de los carcinomas prostáticos se originan en la zona periférica, 10 a 20% en la zona de transición y 5 a 10% en la zona central.
  • 6.
    Testosterona Células estromales prostáticas 5α reductasa tipo 2 DHT RAnucleares Activación de transcripción Factores de crecimiento y receptores FGF TGF-β Kumar V., Abbas A.K. (2015). Robbins y Cotran. Patología estructural y funcional. Los andrógenos testiculares controlan el crecimiento y la supervivencia de las células prostáticas.
  • 7.
    Kumar V., AbbasA.K. (2015). Robbins y Cotran. Patología estructural y funcional. DHT al unirse al RA: Induce la expresión de los genes inductores del crecimiento y la supervivencia. • TGF β • FGF ESTOS FACTORES actúan aumentando la proliferación de las células del estroma y disminuyendo la muerte de células epiteliales.
  • 8.
    Kumar V., AbbasA.K. (2015). Robbins y Cotran. Patología estructural y funcional.
  • 10.
    andrógenos en el mantenimientodel crecimiento y en la supervivencia de las células del cáncer de próstata se comprueba con el efecto terapéutico de la castración o del tratamiento con anti- androgenos que normalmente induce la
  • 11.
  • 12.
    CÁNCER KARKINOS= CANGREJO POR SUCAPACIDAD DE ADHERIRSE A CUALQUIER PARTE DE FORMA OBSTINADA. ES EN GENERAL LA PRINCIPAL CAUSA DE MORTALIDAD A NIVEL MUNDIAL, SE LE ATRIBUYEN 7.6M DE DEFUNCIONES, EL 13% DE LAS OCURRIDAS EN TODO EL MUNDO.
  • 13.
  • 14.
  • 15.
  • 16.
  • 17.
    National Cancer Institute.(2020). Cáncer de Próstata. Obtenido de https://seer.cancer.gov/statfacts/html/prost.html DETECCIÓN TEMPRANA RESPUESTA A TRATAMIENTO MUERTES POR OTRAS CAUSAS
  • 18.
    FACTORES DE RIESGO Losmás importantes son: Edad Rara vez ocurre antes de los 40a, pero la incidencia aumenta rápidamente a partir de los 65 y los 74 años. Etnicidad Es más común en hombres negros que blancos o hispanos, además la edad de inicio en los hombres afroamericanos es anterior a la de los grupos comparativos. Genéticos Fuerte componente genético Su identificación es un fuerte desafio Mutaciones en las vías de reparación del ADN (BRCA1 y 2 y ATM, Sx de Lynch). Dietéticos Dieta rica en grasa animal (carne roja, lácteos), baja en verduras (<14 porciones/semana), alto consumo de omega-3 y aceite de pescado, altas concentraciones de acido fólico y B12, ingesta de soja y café como factor protector Estudios han encontrado que los hombres afroamericanos: • tienen niveles más altos de PSA en suero, • tienen peores puntajes de Gleason, • tienen una etapa más avanzada de la enfermedad al momento del diagnóstico y • reciben menos atención.
  • 19.
    CUADRO CLÍNICO Las manifestacionescon frecuencia están ausentes en el momento del diagnóstico. En el momento del diagnóstico: el 78% de los pacientes tienen cáncer localizado 12% tienen implicación de los ganglios linfáticos regionales 6% tiene metástasis a distancia. Philip W. et al. (2020) Clinical presentation and diagnosis of prostate cancer. UpToDate.
  • 20.
    CUADRO CLÍNICO: LOSSÍNTOMAS Es raro que los pacientes se presentan debido a los síntomas atribuibles al cáncer de próstata. Con poca frecuencia puede presentarse con síntomas urinarios inespecíficos hematuria o hematospermia; estos son por lo general debido a las condiciones no malignas. Philip W. et al. (2020) Clinical presentation and diagnosis of prostate cancer. UpToDate.
  • 21.
    CUADRO CLÍNICO: LOSSÍNTOMAS Entre el 6% de los pacientes cuyo cáncer de próstata es metastásico en el momento del diagnóstico: Otros síntomas con enfermedad metastásica pueden incluir: •El dolor óseo puede ser el síntoma de presentación. •El hueso es el sitio predominante de cáncer de próstata diseminado •El dolor es la manifestación más común de metástasis óseas. •Pérdida de peso, •Debilidad o dolor debido a la compresión de la médula espinal, •Dolor debido a fracturas patológicas, •Fatiga causada por anemia, •O síntomas urinarios / renales •Tales como hematuria, •Disuria, •Anuria, •Incontinencia. Philip W. et al. (2020) Clinical presentation and diagnosis of prostate cancer. UpToDate.
  • 22.
    DETECCIÓN Hasta este puntosabemos que, el cáncer de próstata se encuentra entre las principales causas de muerte relacionada con el cáncer. En muchos casos, el cáncer de próstata crece tan lentamente que no afecta la supervivencia; por lo tanto, la detección de rutina es controvertida. Sin la detección, muchos casos de cáncer de próstata nunca se vuelven clínicamente evidentes, la mayoría de los hombres mueren de otras causas antes de que la enfermedad se vuelve clínicamente avanzados. (70%70a) Su mortalidad decreciente (359,000  quinta causa principal de muerte por cáncer masculino) atribuida en EEUUAA a la detección de PSA lo defienden. El aumento de la detección del cáncer de próstata somete a algunos pacientes a los riesgos asociados con los tratamientos que pueden no prolongar la vida y que tienen riesgos de morbilidad. NOM-048-SSA2-2017 Los profesionales de la salud, deben investigar la presencia de crecimiento prostático en pacientes con edad igual o mayor a 45 años, independientemente de que se presenten o no STUI. Cuando exista carga genética para CaP por la línea directa (abuelo, padre, hermanos), se debe realizar la valoración a partir de los 40 años de edad. La detección integral está compuesta por los siguientes elementos, que son complementarios y no excluyentes entre sí: • CSP • TR • APE cuantitativo. *Ante síntomas o signos de infección urinaria, el médico debe solicitar el EGO y urocultivo, así como darle tratamiento antes de solicitar APE. *Ante detección negativa, la frecuencia con la que se debe repetir la evaluación, dependerá de los niveles de APE, los síntomas y la edad del paciente. Richard M. H. et al. (2020) Screening for prostate cancer. UpToDate. NORMA Oficial Mexicana NOM-048-SSA2-
  • 23.
    DETECCIÓN CUESTIONARIO DE SINTOMAS PROSTÁTICOS/CSP/IPSS Lospacientes con STUI en la valoración inicial, se clasifican de acuerdo al CSP, de la siguiente manera: Sintomatología leve: 1-7 puntos; Sintomatología moderada: 8-19 puntos, y Sintomatología severa: 20-35 puntos; Richard M. H. et al. (2020) Screening for prostate cancer. UpToDate.
  • 24.
    DETECCIÓN APE >4 pero<10 ng/dl Se repite APE, mas urocultivo, epermocultivo y EGO. Rangos normales Seguimiento cada 6 meses Rangos anormales Relación <25%, Densidad >.15 Biopsia Relación >25%, Densidad <.15 Repetir laboratorios Tx empirico semanas (antibiotico + antinflamatorio + alfa-antagonista) Tx empirico = • Fluoroquinolona por 3 semanas (Ofloxacino) • Diclofenaco o Indometacina • Tamsulosina Pacientes sintomatolog ico o >45 años, CPS y TR sugestivo
  • 25.
    DETECCIÓN Tacto rectal TR Tambienconocido como examen rectal digital (DRE) Puede detectar nódulos de próstata, induración, o asimetría. El TR solo puede detectar tumores en los aspectos posterior y lateral de la glándula prostática. Los tumores no detectados por DRE incluyen el 25 al 35 %. El TR generalmente no se recomienda como una prueba de detección de rutina para la evaluación de la próstata o el área rectal en ausencia de síntomas (urinarios o rectales). Resultados TR anormal (crecimiento, nodulaciones o incremento en la consistencia). Philip W. et al. (2020) Clinical presentation and diagnosis of prostate cancer. UpToDate.
  • 26.
    DETECCIÓN Tacto rectal TR(Tecnica) 1. El dedo índice enguantado y lubricado se introduce con presión suave y constante mientras se evalúa el calibre y tono del conducto anal. 2. De acuerdo con los síntomas, debe prestarse especial atención a la respuesta del piso pélvico mientras se solicita al paciente la contracción del esfínter o el pujo. 3. Toda la superficie al alcance del dedo es tactada en busca de áreas de dolor, induración, orificios fistulosos, lesiones protruyentes o crecimiento tumoral. Philip W. et al. (2020) Clinical presentation and diagnosis of prostate cancer. UpToDate.
  • 27.
    APE Glucoproteina formada por las celulasdel estroma prostatico. Valores normales segín la edad: ● 40 a 49 años: < 2.5 ng/mL ● 50 a 59 años - < 3.5 ng/mL ● 60 a 69 años - < 4.5 ng/mL ● 70 a 79 años - <6.5 ng/mL Su función es la licuefacción del semen. Con una vida media de 2 a 3 dias El APE se une a la alfa-1- anticimotripsina y la alfa-2- macroglobulina. El APE se puede reportar en forma libre y total, la cual sirve para calculcar la relación y densidad prostatica. El APE elevado no es específico para malignidad, puede estar aumentado en condiciones benignas y un resultado normal no descarta cancer. DETECCIÓN Philip W. et al. (2020) Clinical presentation and diagnosis of prostate cancer. UpToDate.
  • 28.
    DETECCIÓN El APE esespecífico de la próstata, más no es específico de cáncer Prostatitis Hiperplasia prostática benigna Retención urinaria (sonda) 8 veces Procedimientos urológicos: dilataciones, cistoscopia, biopsia de próstata, RTUP HASTA 50 VECES Richard M. H. et al. (2020) Screening for prostate cancer. UpToDate.
  • 29.
    CAUSAS DE ELEVACION BENIGNADE ANTIGENO PROSTATICO • TRAUMA (Perineal y sonda) T • INFLAMACIÓN/INFECCIÓN/HPB I • MASAJE PROSTATICO M • BIOPSIA B • RETENCIÓN URINARIA R • EYACULACIÓN E
  • 30.
    ¿EL APE PUEDESUSTITUIR EL TACTO RECTAL? Definitivamente NO El TR no puede ser sustituido por ningún estudio de laboratorio ni de imagen. Tiene un papel primordial en la evaluación y manejo de pacientes con patología prostática ya sea benigna o maligna  no debe omitirse. El APE y el TR se complementan. Philip W. et al. (2020) Clinical presentation and diagnosis of prostate cancer. UpToDate.
  • 31.
    DETECCIÓN Relación APE Total/libre Elcociente de APE l/t es un valor ampliamente utilizado en la práctica clínica para diferenciar entre CPB y CaP, siendo normal un valor mayor al 25%, valores inferiores al 10% incrementan las posibilidades de CaP. APE Total = 100% APE libre = x. . • 25% = factor protector • 20 a 25%= Riesgo del 15% de tener CA • <10% = Riesgo del 50% de tener CA Se tomara como 25% el corte, sugestivo a CA.. Philip W. et al. (2020) Clinical presentation and diagnosis of prostate cancer. UpToDate.
  • 32.
    DETECCIÓN PSAD: Densidad deAPE Requiere la división de Ag prostático total con el Volumen prostático Factor beningo <0.15 Marcador para malignidad si es >0.15 La concentración del PSA se eleva en promedio 0.12ng/ml por gramo de tejido de BHP, la relación entre tejido epitelial y el estroma varían de glándula a otra. Philip W. et al. (2020) Clinical presentation and diagnosis of prostate cancer. UpToDate.
  • 33.
    DETECCIÓN El resultado sereporta como una cantidad (ng/ml) por año. Se necesita una serie de tres pruebas durante un período mínimo de 18 meses para calcular la velocidad del PSA. En general, una tasa de 0.75 ng/ml/año se considera alta y puede ser un signo de un cáncer más agresivo. Describe la velocidad a la que aumenta el valor del PSA en una serie de análisis de sangre (y en el tiempo). Los niveles muy altos son más propensos que el cáncer de próstata a representar un signo de prostatitis y se pueden tratar con antibióticos. La VAPE, es el incremento anual absoluto del APE, siendo normal menor de 0.75 ng/ml/año o de 0.35 ng/ml/año con uso de inhibidores de 5 alfa reductasas. PSAV: VELOCIDAD DE INCREMENT O DE ANTÍGENO PROSTÁTIC O
  • 34.
    DETECCIÓN El PCA3, esel marcador de ARNm no codificador específico de la próstata. Se mide en el sedimento de orina obtenido después de un masaje prostático por el personal médico. Dicho marcador ofrece mayor sensibilidad y especificidad en el diagnóstico. Después de centrifugar la orina, el sedimento se utiliza para la detección del gen PCA3 mediante teécnicas de biología molecular (reacción en cadena de la polimerasa de fluorescencia). Philip W. et al. (2020) Clinical presentation and diagnosis of prostate cancer. UpToDate.
  • 35.
    DETECCIÓN El diagnóstico definitivo,se basa en la presencia de células neoplásicas malignas en muestras de biopsia o piezas quirúrgicas de próstata por parte del médico patólogo. La indicación de biopsia depende de si los estudios anteriores y la edad del paciente. Philip W. et al. (2020) Clinical presentation and diagnosis of prostate cancer. UpToDate.
  • 36.
    DETECCIÓN Imagen La ecografía transrectales el método de imagen mas útil para la estadificación local pudiendo ofrecer información importante sobre afectación capsular, vesículas seminales, cuello vesical o recto. No existe patrón característico, suele aparecer como nódulos hiperecogénicos. Philip W. et al. (2020) Clinical presentation and diagnosis of prostate cancer. UpToDate.
  • 37.
    DETECCIÓN La TC yla RM tienen su principal papel en la estadificación ganglionar y la valoración de metástasis a distancia. Las primeras metástasis deben buscarse a nivel de los ganglios linfáticos de las cadenas obturatrices e iliacas. Si se tiene sospecha clínica de CaP, a pesar de biopsias de próstata negativas, se debe valorar el uso de RM de próstata para detectar áreas sospechosas de CaP, de ser así, realizar biopsia guiada por RM de la región afectada. Ganglio de Cloquet o de Rosenmüller
  • 38.
  • 39.
    DETECCIÓN La RM tieneutilidad para valorar el estado de riesgo de la enfermedad prostática y para informar las decisiones para la realización de biopsias. Caso hipotético: Paciente de edad avanzada con comorbilidades importantes, una resonancia magnética que no muestra ninguna lesión o una lesión de bajo riesgo podría ser un argumento a renunciar a la biopsia. Éstas pueden producir una imagen muy clara de la próstata e indicar si el cáncer se ha propagado fuera de la próstata hasta las vesículas seminales o a otras estructuras adyacentes. Philip W. et al. (2020) Clinical presentation and diagnosis of prostate cancer. UpToDate.
  • 40.
    DETECCIÓN El diagnóstico definitivo, sebasa en la presencia de células neoplásicas malignas en muestras de biopsia o piezas quirúrgicas de próstata por parte del médico patólogo. Ximing J. et al. (2020) Interpretation of prostate biopsy. UpToDate.
  • 41.
    DETECCIÓN El médico especialista(urólogo), debe indicar una biopsia de próstata, dependiendo de la concentración de APE cuantitativo, un TR sospechoso o ambos. Se debe considerar la expectativa de vida. Generalmente procedemos a una biopsia si: • La esperanza de vida es de al menos 10 años (algunos médicos la indican si la esperanza de vida es > 5 años). • El PSA se eleva por encima del rango para la cohorte de edad del paciente, o • el PSA ha aumentado más de 0,75 ng/ml durante un año, o • hay una palpación con respecto a la anormalidad en el TR. Realizar la BTR, guiada por ultrasonido bajo sedación, con valoración pre-quirúrgica o con anestesia local, con técnica de doble sextante, es decir, 6 cilindros de cada lóbulo prostático, para un total de 12 cilindros. Las complicaciones de la biopsia de próstata (Infección, dolor, sangrado, obstrucción urinaria) ocurren en hasta el 2% de los hombres Puede efectuarse vía transrectal o transperineal guíada por el TR o por ecografía transrectal. La PAAF es una alternativa con menos complicaciones pero no puede evaluar el grado histológico. Ximing J. et al. (2020) Interpretation of prostate biopsy. UpToDate.
  • 42.
    Diagnóstico y Tratamientodel Cáncer de Próstata en Segundo y Tercer Nivel de Atención. Guía de Referencia Rápida. Numero de Registro: IMSS-140-08 DECISIÓN DE LA BIOPSIA
  • 43.
    4K SCORE TEST Reducela realización de biopsias prostáticas en el 50% de los casos. Algoritmo integrado por las determinaciones plasmáticas cuantitativas de cuatro marcadores: PSA total, libre e intacto y calicreína humana 2, además, incluye la edad, el estado de TR (nódulos o no nódulos) y la información acerca de la realización de una biopsia previa para proporcionar un porcentaje de probabilidad de que una biopsia de próstata sea positiva para cáncer de alto grado (Gleason Score mayor o igual a 7). Los pacientes que más se pueden beneficiar de este sistema de evaluación del riesgo son aquellos en los que el PSA sólo está ligeramente elevado, es decir, entre 4 y 10 ng/ml zona gris. Supera a la biopsia en la detección de tumores mas pequeños.
  • 44.
    ANATOMÍA PATOLÓGICA La granmayoría de los cánceres de próstata son adenocarcinomas acinares. 90-95% Peter A Humphrey (2012). Histological variants of prostatic carcinoma and their significance. Histopathology 60, 59–74Histopathology 60, 59–74
  • 45.
    ESTADIFICACIÓN J. Vallejos etal. (2013) Actualización de la estadificación del cáncer de próstata. Revista Argentina de Radiología. La estadificación clínica del paciente se debe realizar a través del TR, niveles de APE y escala de Gleason. Para estadificar el CaP con metástasis o enfermedad avanzada, se deben evaluar: •Pruebas de función hepática, •tele de tórax, •tomografía o RM de abdomen, •gamagrama óseo, •tomografía de cráneo o PET/CT. Una vez establecida la extensión clínica del tumor, se clasifica de acuerdo al TNM para CaP.
  • 46.
    ESCALA DE GLEASON J. Vallejoset al. (2013) Actualización de la estadificación del cáncer de próstata. Revista Argentina de Radiología. El examen histopatológico, permite la gradación del tumor en función del grado de diferenciación celular. El adenocarcinoma prostático es con frecuencia multifocal y presenta poblaciones en distinto grado de diferenciación. En esta heterogenicidad se basa la escala Gleason que se corresponde con el pronostico de la enfermedad, independientemente del estadio. La puntuación es la suma del grado predominante y el segundo grado predominante y ambos deberán indicarse por el MÉDICO PATÓLOGO.
  • 47.
    ESCALA DE GLEASON Derivamediante la suma de los valores numéricos para los dos patrones de diferenciación prevalentes (un grado primario y un grado secundario). Como ejemplo, si una biopsia consiste predominantemente de enfermedad de grado 3 y secundaria de grado 4, la puntuación combinada es "3 más 4" o 7. Los tumores con un solo patrón se tratan como si sus grados primario y secundario fueran iguales, y por lo tanto, el número se duplica. J. Vallejos et al. (2013) Actualización de la estadificación del cáncer de próstata. Revista Argentina de Radiología.
  • 48.
  • 49.
    ESCALA DE GLEASON J.Vallejos et al. (2013) Actualización de la estadificación del cáncer de próstata. Revista Argentina de Radiología. Según el patrón de crecimiento y el grado de diferenciación, los tumores se clasifican del 1 al 5. Gleason 1. tumores mejor diferenciados, en los cuales las glándulas neoplásicas son uniformes y redondas en apariencia y están agrupadas en nódulos bien circunscritos. Gleason 5. tumores que no muestran diferenciación glandular, y las células tumorales se infiltran en el estroma en forma de cordones, sábanas y nidos.
  • 50.
    American Cancer Society.Etapas y otras maneras de evaluar el riesgo de cáncer de próstata. Grados 2-6: Tumores bien diferenciados Grado 7: Tumores moderadamente diferenciados Grados 8-10: Tumores indiferenciados o de biología agresiva Excelente pronóstico Pronostico intermedio Mal pronostico
  • 51.
    J. Vallejos etal. (2013) Actualización de la estadificación del cáncer de próstata. Revista Argentina de Radiología.
  • 52.
    J. Vallejos etal. (2013) Actualización de la estadificación del cáncer de próstata. Revista Argentina de Radiología.
  • 53.
    J. Vallejos etal. (2013) Actualización de la estadificación del cáncer de próstata. Revista Argentina de Radiología.
  • 54.
    J. Vallejos etal. (2013) Actualización de la estadificación del cáncer de próstata. Revista Argentina de Radiología.
  • 55.
    Eric A. K.et al. (2019) Prostate cancer: Risk stratification and choice of initial treatment. UpToDate.
  • 60.
    TRATAMIENTO La estadificación del cáncerde próstata es importante para la selección de la forma de tratamiento mas apropiada. Para la toma de decisión del tratamiento se debe tener en cuenta la esperanza de vida del paciente, su estado de salud y las características del tumor.
  • 61.
    RIESGO DE RECURRENCIA BIOQUÍMICA(D'AMICO) Definición de recurrencia bioquímica: Paciente que presenta incremento del valor de PSA mayor de 0,2 ng/ml posterior a tratamiento con prostatectomía radical; o si se incrementen en 2 ng/ml sobre el valor de PSA nadir, si el tratamiento es radioterapia más J. Vallejos et al. (2013) Actualización de la estadificación del cáncer de próstata. Revista Argentina de Radiología.
  • 62.
    CLASIFICACIÓN DE RIESGODE D'AMICO PARA EL CÁNCER DE PRÓSTATA https://www.mdcalc.com/damico-risk- classification-prostate-cancer
  • 63.
    VIGILANCIA ACTIVA Objetivo: lograrel momento correcto para el tratamiento curativo. Seguimiento muy cuidadoso con evaluaciones seriadas de tacto rectal y PSA cada 3 meses, y biopsias de seguimiento guiadas por US transrectal para asegurar la estabilidad del tumor. Por lo general, se les trata al primer signo de progresión subclínica. Entre 20 y 41% de los hombres requiere tratamiento a los 3 a 5 años de seguimiento. Criterios de selección para vigilancia activa • Gleason 6 o menor, • cT1c o cT2a, • PSA <10 ng/mL y • Densidad de PSA < 0,15 ng/ml/cc. (Cooperberg, et al., 2011a, 2011b; Dall’Era, Cancer, 2008; Klotz, 2010).
  • 64.
    PROSTATECTOMÍA RADICAL (RP) Extirpaciónde toda la glándula prostática y la resección de ambas vesículas seminales con márgenes negativos (tejido circundante) y anastomosis vesico-uretral. Objetivo: erradicación de la enfermedad, preservando la continencia y, siempre que sea posible, la potencia. La prostatectomía radical puede realizarse mediante una incisión retropúbica o perineal o mediante una técnica laparoscópica o robótica asistida. Se puede acompañar de linfadenectomía pélvica bilateral.** Sabiston. Tratado de Cirugía
  • 65.
    PROSTATECTOMÍA RADICAL (RP) LINFADENECTOMIAPELVICA EXTENDIDA •En pacientes con Gleason >7 se extirparán los ganglios iliacos externos (situados por encima de la arteria y la vena ilíacas externas) y los obturadores (ubicados en el interior de la fosa obturatriz craneal y caudalmente al nervio obturador) y los iliacos internos (situados medial y lateralmente a la arteria ilíaca interna). •Los pacientes con un valor de PSA < 10 ng/ml y una puntuación de Gleason en la biopsia < 7 tienen un riesgo bajo de metástasis ganglionares, por lo que podría no ser beneficiosa. Sabiston. Tratado de Cirugía
  • 66.
    PROSTATECTOMÍA RADICAL (RP) PRESERVACIÓN DENERVIOS • Debe usarse de manera selectiva, porque la extensión extra capsular puede ser un dato común en pacientes en quienes se presume CaP localizado. • Si hay extensión extracapsular la preservación del haz neurovascular puede aumentar la probabilidad de que el tumor recurra. • Solo si resulta factible y oncológicamente aceptable se aplicara dicha técnica que evitara el daño de los nervios cavernosos que discurren a lo largo de la cara posterolateral de la próstata median la erección del pene. Sabiston. Tratado de Cirugía
  • 67.
    PROSTATECTOMÍA RADICAL (RP) Sabiston.Tratado de Cirugía REFERENCIAS ANATÓMICAS IMPORTANTES •Por delante: Plexo venoso dorsal •Por arriba: Cuello de la vejiga •Por debajo: Unión prostatomembranosa •Por detrás: Pared del recto. El plano correcto de disección se sitúa justo detrás de la fascia de Denonvillers.
  • 68.
    PROSTATECTOMÍA RADICAL (RP) PRINCIPALES COMPLICACIONES •Incontinencia urinaria •Disfuncióneréctil •Alteraciones miccionales •Recidiva** Sabiston. Tratado de Cirugía SVLP a 10 años • 85% en pacientes con enfermedad confinada al órgano • 60-70% en caso de extensión extracapsular • 50% si se dejaran bordes positivos
  • 69.
    RADIOTERAPIA CON HAZEXTERNO Radiación de toda la pelvis, incluidos los ganglios linfáticos regionales. El uso de privación de andrógenos a corto plazo (3 a 4 meses) neoadyuvante y concurrente se recomienda para quienes tienen tumores con riesgo intermedio. Quienes tienen tumores con riesgo elevado deben recibir privación de andrógenos neoadyuvante, concurrente y adyuvante a largo plazo (24 meses). Harrison. Principios de Medicina Interna, Goodman and Gilman las bases farmacológicas de la terpéutica, Smith y Tanagho Urología General. Cuando se combina con privación de andrógenos  ha demostrado mejores resultados en quienes tienen cáncer de próstata con riesgo intermedio a elevado. USG renal cada 6 meses para ver si no hay uropatía obstructiva.
  • 70.
    GAMMA KNIFE Alta SVLP Elestadiaje es poco confiable ya que no obtiene la pieza quirúrgica para su examen anatomopatológico Indicado en pacientes con altas comorbilidades y no candidatos a PR.
  • 71.
    BRAQUITERAPIA Colocación de semillasradiactivas bajo guía de US transrectal. Los implantes pueden ser: • Permanentes (yodo 125 o paladio 103): entregan una dosis total más elevada en comparación con los implantes temporales. •Temporales: entregan una dosis total más baja INDICACIONES I. Pacientes con enfermedad local donde no haya riesgo de enfermedad ganglionar (Gleason 5-6). II. Paciente joven con APE <10 o T1-T2a (método menos agresivo, menos complicaciones). III. En prostatas de mas de 40 gr primero RTU y luego las semillas Harrison. Principios de Medicina Interna, Goodman and Gilman las bases farmacológicas de la terpéutica, Smith y Tanagho Urología General. NO SE UTILIZA
  • 72.
    PROSTATECTOMÍA RADICAL VERSUS RADIOTERAPIA. ProtecTcomparó RP vs. AM vs. EBRT (combinado con 6 meses de ADT). En una mediana de seguimiento de 10 años, no hubo diferencias entre la cirugía y la EBRT en todos los resultados oncológicos. EAU. Guideline
  • 73.
    TERAPIA HORMONAL/BLOQUEO ANDROGÉNICO La terapiade deprivación de andrógenos primarios (TDA) puede ser empleada con el objetivo de proporcionar un control sintomático del cáncer de próstata para pacientes en los que el tratamiento definitivo con cirugía o radiación no es posible o aceptable o que presentan RECURRENCIA. Harrison. Principios de Medicina Interna, Goodman and Gilman las bases farmacológicas de la terpéutica, Smith y Tanagho Urología General. OBJETIVOS En pacientes sintomáticos: •Paliar y reducir el riesgo de secuelas En pacientes asintomáticos: •Retrasar la progresión a sintomáticos y evitar complicaciones relacionadas con la progresión.
  • 74.
    Responsable del 95% dela producción de Testosterona SÍNTESIS DE ANDRÓGE NOS
  • 75.
    AGONISTAS DE LAHORMONA LIBERADORA DE LA HORMONA LUTEINIZANTE (ANÁLOGOS GnRH) Principales formas de ADT. Logran la castración mediante inhibición de la retroalimentación del eje hipotalámico-hipofisario desensibilizando al receptor de GnRH en adenohipófisis por estimulación crónica. Castración en 2-4 semanas (28 días). Su uso está limitado debido al aumento en el riesgo de efectos cardiovasculares negativos. La FDA ha aprobado cuatro agonistas de LHRH para el tratamiento de cáncer de próstata: acetato de goserelina, pamoato de triptorelina, acetato de histrelina y acetato de leuprolida, bicalutamida. Después de la primera inyección, inducen un aumento transitorio de la hormona luteinizante (LH) y la hormona folículoestimulante (FSH) que conduce al fenómeno de "flare- up" que comienza 2-3 días después de la administración y dura alrededor de 1 semana. FENÓMENO LLAMARADA O “FLARE-UP” (10% DE LOS PACIENTES) Efectos clínicos perjudiciales: aumento del dolor óseo, retención urinaria, insuficiencia renal obstructiva, compresión de la médula espinal y muerte cardiovascular debido al estado de hipercoagulación. Harrison. Principios de Medicina Interna, Goodman and Gilman las bases farmacológicas de la terpéutica, Smith y Tanagho Urología General.
  • 77.
    ANTAGONISTAS DE LAGnRH Funcionan inhibiendo de forma directa la producción de hormonas LH y FSH al bloquear competitivamente los receptores de GnRH en la glándula pituitaria. Entre sus ventajas; tienen menos efectos cardiovasculares que los agonistas, tienen un papel importante a corto plazo (mayor SVLP) evitan el efecto Flare Up. El único actualmente aprobado es Degarelix, de aplicación mensual, subcutánea, dosis de inicio 240mg y las subsiguientes son de 80mg. Harrison. Principios de Medicina Interna, Goodman and Gilman las bases farmacológicas de la terpéutica, Smith y Tanagho Urología General. Castración al día 3. Más reacciones adversas, dolor en el sitio de aplicación, aplicación mensual. $$$
  • 79.
    ANTIANDRÓGENOS Antagonizan la unióndel ligando a los receptores de andrógenos, inicialmente aprobados para bloquear las exacerbaciones de la enfermedad relacionadas con el tratamiento con agonistas de GnRH. Sus propiedades químicas le confieren menores reacciones adversas y se les han denominado antiandrógenos puros limitándose a ejercer su efecto a nivel del receptor androgénico. NO ESTEROIDEOS: • Flutamida: 375 a 750 mg cada 24 horas en tres dosis. • Nilutamida: tiene una vida media prolongada (30-60 horas). 150- 300 mg administrada una vez al día • Bicalutamida: es cuatro veces más afín al receptor androgénico que la flutamida. 50 a 150 mg una vez al día Harrison. Principios de Medicina Interna, Goodman and Gilman las bases farmacológicas de la terpéutica, Smith y Tanagho Urología General.
  • 80.
    BLOQUEO COMBINADO DEANDRÓGENOS/ BLOQUEO ANDRÓGENICO MÁXIMO El bloqueo completo de andrógenos puede lograrse mediante la combinación de un antagonista del receptor de andrógenos (flutamida, bicalutamida o nilutamida) con el uso de un agonista de GnRH u orquiectomía. Con un agonista normalmente se tiene que agregar un antiandrogeno (p.Ej. leuprolida + flutamida). Cuando se utiliza el antagonista (Degarelix) normalmente ya no es necesario utilizar el antiadrogeno lo cual es otra ventaja en su uso. Harrison. Principios de Medicina Interna, Goodman and Gilman las bases farmacológicas de la terpéutica, Smith y Tanagho Urología General. No se ha documentado mejoría con el bloqueo androgénico máximo vs monoterapia si con esta se logra castración, agregas toxicidad del tratamiento y menor apego a el.
  • 82.
    BLOQUEO INTERMITENTE Prolongar eltiempo sensible a castración Retrasar la resistencia a la castración Es seguro, no hay diferencia en SG y SVLP que con el bloqueo continuo Disminuye complicaciones asociadas al bloqueo androgénico Disminuye los efectos adversos del bloqueo androgénico y propios del tratamiento Recuperan la función eréctil En pacientes buenos respondedores al bloqueo androgénico, sin progresión clínica y con APE <4ng/dL. Enfermedad metastásica con APE <4 asintomáticos Reiniciar el bloqueo •Duplicación del antígeno antes de 6 meses •Enfermedad recurrente/LA: APE 4-10 •Enfermedad metastásica: APE 10-15
  • 83.
  • 84.
    ORQUIECTOMÍA SIMPLE BILATERAL Extirpación quirúrgicade ambos testículos. Fue el primer tratamiento utilizado para el cáncer de próstata metastásico hace más de 70 años. Si bien se trata de una operación, se considera terapia de deprivación de andrógenos. Logra niveles de castración de testosterona, método seguro y evita los efectos adversos tipo flare up de algunos anti andrógenos. Harrison. Principios de Medicina Interna, Goodman and Gilman las bases farmacológicas de la terpéutica, Smith y Tanagho Urología General.
  • 85.
    CUAL MÉTODO ESMEJOR? Se han comparado los resultados y no hay diferencia entre métodos de castración EAU. Guideline
  • 86.
    INMEDIATO VS DIFERIDO IniciarTDA: •¿Inmediatamente después del diagnóstico de la enfermedad localmente avanzada o metastásica asintomática? •¿Retrasarlo hasta progresión clínica? EAU. Guideline
  • 87.
    TERAPIA DE PRIVACIÓNDE ANDRÓGENOS NEOADYUVANTES La ADT neoadyuvante se asocia con una disminución de la tasa de pT3 (reducción de etapas) y disminución de los márgenes positivos. Estos beneficios son mayores con una mayor duración del tratamiento (hasta 8 meses). Sin embargo, dado que ni la supervivencia libre de recaída del PSA ni la supervivencia especifica del cáncer mostraron mejorar, la ADT neoadyuvante no debe considerarse como una práctica clínica estándar. EAU. Guideline NO SE HACE PORQUE AUMENTA LAS COMPLICACIONES RELACIONADAS CON LA CIRUGÍA
  • 88.
    NIVELES DE CASTRACIÓN Testosterona •<50ng/dL:considerado por las autoridades reguladoras y en los ensayos clínicos •<20ng/dL: mejores resultados Los estudios sugieren una relación directa entre la supervivencia y SVLP con los niveles de testosterona alcanzados durante el bloqueoEAU. Guideline APE •<.2ng/dL: en pacientes post prostatectomía radical •<2ng/dL: en pacientes post radioterapia
  • 89.
    SÍNDROME DE AGOTAMIENTODE ANDROGENOS Bochorno, debilidad, fatiga, depresión, anemia, perdida de la libido y la función sexual, reducción de la densidad mineral de los huesos, aumento de peso y grasa corporal, y cambios cognitivos, aumento en colesterol total, lipoproteínas de baja y alta densidad, y triglicéridos séricos, obesidad, resistencia a la insulina. Harrison. Principios de Medicina Interna, Goodman and Gilman las bases farmacológicas de la terpéutica, Smith y Tanagho Urología General.
  • 90.
    EFECTOS ADVERSOS Fatiga ysíntomas vasomotores (80%) Bochorno) Síndrome metabólico (50%) Cardiopatía isquémica •Alta causa de mortalidad, relacionado a la edad y comorbilidades Alteraciones en la densidad mineral ósea •Osteopenia •Osteoporosis •Fracturas Alteraciones en la función sexual •Disfunción eréctil •Disminución de la libido
  • 91.
    RECOMENDACIONES DE MANEJO SEGÚNLA NCCN PARA LATINOAMERICA 2017 1
  • 92.
  • 93.
  • 94.
  • 95.
  • 96.
  • 97.
  • 98.
  • 99.
  • 100.
  • 101.
    SEGUIMIENTO Por al menos 10años •CLÍNICA •PSA •ECOGRAFÍA TR •PET •GO
  • 102.
    SEGUIMIENTO La Tomografía porEmisión de Positrones (PET) técnica de medicina nuclear, no invasiva, que utiliza radiofármacos y cámaras de detección de radiaciones. Aida Sánchez-Salmón y Álvaro Ruibal (2006) VALOR ACTUAL DE LA TOMOGRAFÍA POR EMISIÓN DE POSITRONES DURANTE EL SEGUIMIENTO DEL CÁNCER DE PRÓSTATA.. El radiofármaco hasta ahora más comúnmente usado, la 18F- FlúorDeoxiGlucosa (18F-FDG), un análogo de la glucosa que se elimina por vía renal lo que dificulta su interpretación en las patologías urológicas tumorales.
  • 103.
  • 104.
    SEGUIMIENTO La gammagrafía ósease utiliza para la detección de metástasis óseas, tiene mayor sensibilidad que la radiología convencional. Debe realizarse en todo paciente en quien se sospeche metástasis, Gleason >8, APE >20. Antes de plantear tratamiento curativo en pacientes con alta probabilidad de encontrar extensión se debe efectuar gammagrafía para descartar existencia de metástasis ósea y TC para descartar metástasis ganglionar. Las metástasis del cáncer de próstata son osteoblásticas, el sitio de metástasis mas frecuente es columna lumbar. Radiotrazador con tropismo óseo: 99mTc- Jose. A. et al. Métodos diagnósticos de la diseminación prostática.
  • 105.
    METÁSTASIS Se diseminan porvía linfática hacia los ganglios obturadores y finalmente, hacia los ganglios paraaórticos. La diseminación hematógena tiene lugar principalmente hacia los huesos (esqueleto axial). Afectando principalmente, en ese orden: •Columna lumbar •Fémur proximal •Pélvis •Columna torácica •Costillas Las metástasis óseas son típicamente osteoblásticas.
  • 106.
    FACTORES PRONÓSTICOS Metástasis almomento del diagnóstico APE ECOG Gleason
  • 107.
    REFERENCIA Pacientes con sospechade cáncer de próstata, en quienes no se pueda afectuar biopsia para confirmación del diagnóstico en su unidad de origen por falta de recursos Pacientes candidatos de cirugía radical en quieres el procedimiento no pueda llevarse a cabo en su unidad de atencion, por no tener la capacidad resolutiva Cuando no se cuenta con el recurso técnico para ofrecer tratamiento (radioterapia) Pacientes con cáncer de próstata hormono refractario Pacientes con falla al tratamiento primario que no cuenten con los recursos en la unidad de segundo nivel de atención , para tratamiento paliativo Diagnóstico y Tratamiento del Cáncer de Próstata en Segundo y Tercer Nivel de Atención. Guía de Referencia Rápida. Numero de Registro: IMSS-140-08
  • 108.
    BIBLIOGRAFÍA 1. Kumar V.,Abbas A.K. (2015). Robbins y Cotran. Patología estructural y funcional. España.: Elsevier, 9ª Ed. 2. Oliver Sartor et al. (2019) Risk factors for prostate cancer. UpToDate. Disponible en https://www.uptodate.com/contents/risk-factors-for-prostate- cancer?search=cancer%20de%20prostate&source=search_result&selectedTitle=3~150& usage_type=default&display_rank=3 3. GLOBOCAN 4. National Cancer Institute. (2020). Cáncer de Próstata. Obtenido de https://seer.cancer.gov/statfacts/html/prost.html 5. Philip W. et al. (2020) Clinical presentation and diagnosis of prostate cancer. UpToDate. Disponible en https://www.uptodate.com/contents/clinical-presentation- and-diagnosis-of-prostate- cancer?search=cancer%20de%20prostate&source=search_result&selectedTitle=6~150& usage_type=default&display_rank=6#H2562436504 6. Richard M. H. et al. (2020) Screening for prostate cancer. UpToDate. Disponible en https://www.uptodate.com/contents/screening-for-prostate- cancer?search=cancer%20de%20prostate&source=search_result&selectedTitle=2~150& usage_type=default&display_rank=2#H3355913205
  • 109.
    1. NORMA OficialMexicana NOM-048-SSA2-2017, Para la prevención, detección, diagnóstico, tratamiento, vigilancia epidemiológica y promoción de la salud sobre el crecimiento prostático benigno (hiperplasia de la próstata) y cáncer de próstata (tumor maligno de la próstata). 2. Stephen F. et al. (2020) Measurement of prostate-specific antigen. UpToDate. Disponible en https://www.uptodate.com/contents/measurement-of-prostate-specific- antigen?search=cancer%20de%20prostate&source=search_result&selectedTitle=7~150&usa ge_type=default&display_rank=7 3. Ximing J. et al. (2020) Interpretation of prostate biopsy. UpToDate. Disponible en https://www.uptodate.com/contents/interpretation-of-prostate- biopsy?search=cancer%20de%20prostate&topicRef=6938&source=see_link#H528216779 4. Diagnóstico y Tratamiento del Cáncer de Próstata en Segundo y Tercer Nivel de Atención. Guía de Referencia Rápida. Numero de Registro: IMSS-140-08 5. David G Bostwick & Liang ChengDavid G Bostwick & Liang Cheng (2012). Precursors of prostate cancer. Histopathology 60, 4–27 BIBLIOGRAFÍA
  • 110.
    1. Eric A.K. et al. (2019) Prostate cancer: Risk stratification and choice of initial treatment. UpToDate. Disponible en https://www.uptodate.com/contents/prostate-cancer-risk- stratification-and-choice-of-initial- treatment?search=cancer%20de%20prostate&source=search_result&selectedTitle=1~150&us age_type=default&display_rank=1 2. American Cancer Society. Etapas y otras maneras de evaluar el riesgo de cáncer de próstata. Disponible en https://www.cancer.org/es/cancer/cancer-de-prostata/deteccion- diagnostico-clasificacion-por-etapas/clasificacion-por-etapas.html 3. CENAPRECE. Guía de consulta del Médico para la atención de la próstata. Disponible en http://www.cenaprece.salud.gob.mx/programas/interior/adulto/descargas/pdf/GuiaCPByC A_Prxstata.pdf 4. J. Vallejos et al. (2013) Actualización de la estadificación del cáncer de próstata. Revista Argentina de Radiología. 77(4); 301-305. En https://www.elsevier.es/es-revista-revista- argentina-radiologia-383-articulo-actualizacion-estadificacion-del-cancer-prostata- X0048761913603128 BIBLIOGRAFÍA
  • 111.
    1. Nancy A.et al. (2019). Overview of the treatment of disseminated castration-sensitive prostate cancer. UpToDate. Disponible en https://www.uptodate.com/contents/overview- of-the-treatment-of-disseminated-castration-sensitive-prostate- cancer?search=cancer%20de%20prostate&source=search_result&selectedTitle=4~150&usag e_type=default&display_rank=4 2. Nancy A. et al. (2019). Overview of the treatment of castration-resistant prostate cancer (CRPC). UpToDate. Disponible en https://www.uptodate.com/contents/overview-of-the- treatment-of-castration-resistant-prostate-cancer- crpc?search=cancer%20de%20prostate&source=search_result&selectedTitle=5~150&usage_t ype=default&display_rank=5 3. Aida Sánchez-Salmón y Álvaro Ruibal (2006) Valor actual de la tomografía por emisión de positrones durante el seguimiento del cáncer de próstata. Cáncer de próstata: nuevas técnicas diagnósticas. 59, 10 . 4. Jose. A. et al. Métodos diagnósticos de la diseminación prostática. Cáncer de próstata: nuevas técnicas diagnósticas. 59, 10. BIBLIOGRAFÍA

Notas del editor

  • #7 FGF. Factor de crecimiento de fibroblastos TGF factor de crecimiento transformante beta
  • #10 Histologicamente la próstata esta compuesta por glándulas revestidas por dos capas de células, una basal de epitelio cubico cubierta por una capa de células cilíndricas secretoras, estas glándulas están separadas por abundante estroma fibromuscular
  • #19 Ptes con factores genéticos iniciar tamizaje antes de los 50ª de edad. BRCA2:  para los portadores de la mutación BRCA2 , se estima que el riesgo relativo de cáncer de próstata a los 65 años es de 2.5 a 8.6 veces en comparación con los no portadores, presentan a una edad más temprana con tumores con puntajes de Gleason más altos, tasas más altas de afectación de los ganglios linfáticos, metástasis a distancia cuando se diagnostican y una tasa más alta de mortalidad específica por cáncer de próstata BRCA1: hasta 3.75 veces pero no tan agresiva ATM: además de una asociación con el cáncer gástrico, también se asociaron con el riesgo de cáncer de próstata (odds ratio 2.18) Síndrome de Lynch: un trastorno autosómico dominante que es causado por una mutación de la línea germinal en uno de varios genes de reparación de desajuste de ADN (MMR): MLH1, MSH2, MSH6 y PMS2, da un riesgo significativamente mayor de cáncer colorrectal y endometrial, así como un riesgo de varias otras neoplasias malignas
  • #37 Imagen 1 Prostatitis crónica, cambios inflamatorios crónicos, secreciones prostáticas acumuladas, calcificaciones. Imagen 2 Absceso prostático (ecografia suprapubica): Lesión quistica compleja bien definida y de paredes engrosadas Imagen 3 HPB, Aumento tamaño prostatico a expensas de ZT, grandes calcificaciones Imagen 4 Neoplasia prostática, zonas de hipoecogencidad, Doppler color en su interior
  • #65 El nervio cavernoso no es una estructura única y bien definida, estos tejidos pueden preservarse por completo, de manera parcial, o extirparse por completo dependiendo de los datos previos a la cirugía, la potencia sexual puede tardar hasta 18 meses en regresar
  • #66 El nervio cavernoso no es una estructura única y bien definida, estos tejidos pueden preservarse por completo, de manera parcial, o extirparse por completo dependiendo de los datos previos a la cirugía, la potencia sexual puede tardar hasta 18 meses en regresar
  • #67 El nervio cavernoso no es una estructura única y bien definida, estos tejidos pueden preservarse por completo, de manera parcial, o extirparse por completo dependiendo de los datos previos a la cirugía, la potencia sexual puede tardar hasta 18 meses en regresar
  • #68 El nervio cavernoso no es una estructura única y bien definida, estos tejidos pueden preservarse por completo, de manera parcial, o extirparse por completo dependiendo de los datos previos a la cirugía, la potencia sexual puede tardar hasta 18 meses en regresar
  • #69 El nervio cavernoso no es una estructura única y bien definida, estos tejidos pueden preservarse por completo, de manera parcial, o extirparse por completo dependiendo de los datos previos a la cirugía, la potencia sexual puede tardar hasta 18 meses en regresar
  • #70 Los hombres sujetos a radiacion experimenten síntomas obstructivos, irritativos e intestinales (diarrea, rectorragia y tenesmo intestinal). Los efectos secundarios sexuales pueden exacerbarse con el uso concurrente de privación de andrógenos, sobre todo si se emplea a largo plazo. En todos los px con radioterapia pelvica hay que hacer un USG renal cada 6 meses para ver si no hay uropatia obstructiva, por que si hay estenosis ureteral no habra sintomas por que es paulatino y se dan cuenta hasta que el px esta en uremia.
  • #73 RP prostatecto radical AM monitoreo activo EBRT
  • #74 La ADT (deprivacion de androgenos primaria) está asociada con un mayor riesgo de enfermedad cardiovascular y diabetes. El uso de ADT en hombres que están en riesgo o que ya están diagnosticados con enfermedad cardiaca y / o diabetes puede tener un efecto negativo. Afectan la salud general de estos pacientes.
  • #75 El conocimiento de que e cáncer de próstata esta mediado por andrógenos data de los años 40’s, Charles Huggins premio nobel
  • #87 SG, SVLP A 5 AÑOS NO HAY DIFERENCIA SVLP A 10 AÑOS SI HAY BENEFICIO DE INICIAR EL TTO DESDE ASINTOMATICO AL MOMENTO DEL DIAGNÓSTICO CONSIDERAR EN RELACION A LOS EFECTOS ADVERSOS DEL BLOQUEO ANDROGENICO