Dr. Jorge Avalos
Doppler básico
Arteria Cerebral
posterior
Arteria comunicante
posterior
Arteria Cerebral
media
Arteria Cerebral anterior
en obstetricia
medicina
materno
fetal
HNDAC
el doppler
como herramienta
3
medicina
materno
fetal
HNDAC
Andreas Doppler - 1842
4
medicina
materno
fetal
HNDAC
E. Gratacos. Doppler en medicina fetal - 2010
principios
físicos
el efecto doppler
cambio de frecuencia producido por el
movimiento de las partículas
medicina
materno
fetal
HNDAC
E. Gratacos. Doppler en medicina fetal - 2010
principios
físicos
longitud de onda
ciclo completo 1 Hz
amplitud
cresta
valle
medicina
materno
fetal
HNDAC
E. Gratacos. Doppler en medicina fetal - 2010
sin movimientos
E R
onda emitida efecto en la onda onda recibida
medicina
materno
fetal
HNDAC
E. Gratacos. Doppler en medicina fetal - 2010
se aleja
E R
onda emitida efecto en la onda onda recibida
medicina
materno
fetal
HNDAC
E. Gratacos. Doppler en medicina fetal - 2010
se acerca
E R
onda emitida efecto en la onda onda recibida
9
medicina
materno
fetal
HNDAC
10
medicina
materno
fetal
HNDAC
E. Gratacos. Doppler en medicina fetal - 2010
indicaciones
uso del doppler obstetricia
Hipoxia cronica
RCIU
Anemia fetal
Embarazo multiple
Valoracion del riesgo de preeclampsia
ecocardiografia
11
medicina
materno
fetal
HNDAC
E. Gratacos. Doppler en medicina fetal - 2010
modalidades
tipos de doppler
Doppler espectral
Doppler color direccional
Power Doppler
12
medicina
materno
fetal
HNDAC
E. Gratacos. Doppler en medicina fetal - 2010
Doppler espectral
cambio de velocidad del flujo
respecto al tiempo
13
medicina
materno
fetal
HNDAC
E. Gratacos. Doppler en medicina fetal - 2010
Doppler espectral
14
medicina
materno
fetal
HNDAC
E. Gratacos. Doppler en medicina fetal - 2010
indices utilizados
arterial
indice de pulsatilidad
velocidad sistólico
velocidad diastolica y
promedio
venoso
indice de pulsatilidad
velocidad maxima
velocidad promedio
15
medicina
materno
fetal
HNDAC
E. Gratacos. Doppler en medicina fetal - 2010
adecuada frecuencia
emisión de pulsos
50 -70%
16
medicina
materno
fetal
HNDAC
angulo
insonacion
17
medicina
materno
fetal
HNDAC
E. Gratacos. Doppler en medicina fetal - 2010
doppler color
18
medicina
materno
fetal
HNDAC
Power doppler
poder acustico
19
medicina
materno
fetal
HNDAC
doppler 3D
20
medicina
materno
fetal
HNDAC
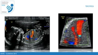
ISUOG - Guidelines 2013
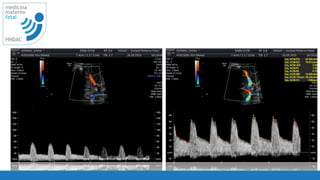
Optimizacion
requerimientos
ausencia de movimientos fetales y maternos
suspender respiración materna
angulo de insonacion menor 20
optimizar escala de grises
optimizar el volumen de muestra de acuerdo al
tamaño del vaso
corroborar la velocidad del filtro menor a 60Hz
visualizacion de ondas 4 - 6 ondas
PRF de acuerdo al vaso que se estudia
21
medicina
materno
fetal
HNDAC
ISUOG - Guidelines 2013
movimientos
respiratorios
22
medicina
materno
fetal
HNDAC
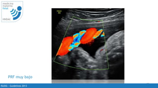
erencia de la
a dependiendo
onde se toma la
el doppler.
recomienda
sa libre de
omienda tomar
cerca del feto en
s múltiples
ISUOG - Guidelines 2013
PRF muy bajo
23
medicina
materno
fetal
HNDAC
ISUOG - Guidelines 2013
PRF adecuado
24
medicina
materno
fetal
HNDAC
ISUOG - Guidelines 2013
velocidad de barrido
PRF
25
medicina
materno
fetal
HNDAC
ISUOG - Guidelines 2013
corregido
26
medicina
materno
fetal
HNDAC
ISUOG - Guidelines 2013
disminuir
ganancia 2D
27
medicina
materno
fetal
HNDAC
ISUOG - Guidelines 2013
consideración
de daño
28
medicina
materno
fetal
HNDAC
Arteria Umbilical
29
medicina
materno
fetal
HNDAC
E. Gratacos. Doppler en medicina fetal - 2010
porque se altera el flujo
la arteria umbilical
• En estados de insuficiencia placentaria
• Procesos de vasoconstricción en la
microvasculatura de las vellosidades terciarias
• Incremento de resistencia de arterias umbilicales
• Reduccion del 30% de la placenta altera la AU
30
medicina
materno
fetal
HNDAC
E. Gratacos. Doppler en medicina fetal - 2010
utilidad
• Diagnostico de insuficiencia placentaria
• RCIU
• Embarazo multiple
31
medicina
materno
fetal
HNDAC
eventos
en el tiempo
Hipoxemia
Acidemia
Doppler arterial
anormal
Doppler venoso
anormal
incremento de resistencia en AU
disminución de resistencia en ACM
descompensacion fetal
PBF alteraco CTG alterada
32
medicina
materno
fetal
HNDAC
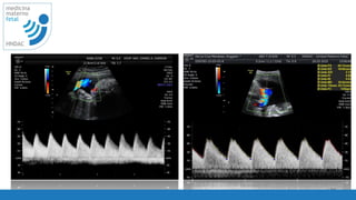
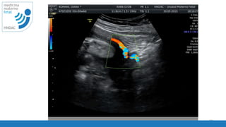
tecnica de medida
33
medicina
materno
fetal
HNDAC
• asa libre - cerca del feto
• decubito sin contracciones uterinas
• sin movimientos ni respiración fetal
• registrar 5 ondas
• angulo de insonacion menor a 30
especificaciones
técnicas
34
medicina
materno
fetal
HNDAC
ubicación
de la arteria umbilical
35
medicina
materno
fetal
HNDAC
36
medicina
materno
fetal
HNDAC
37
medicina
materno
fetal
HNDAC
38
medicina
materno
fetal
HNDAC
39
medicina
materno
fetal
HNDAC
• Estudio del flujo
uteroplacentario
• 18 estudios incluidos
• 10,156 mujeres
• Siete estudios incluyeron a
gestaciones únicas
• Un estudio solo gestaciones
doble (539 mujeres Giles
2003).
• Dos estudios gestaciones
40
medicina
materno
fetal
HNDAC
• Estudio del flujo
uteroplacentario
• 18 estudios incluidos
• 10,156 mujeres
• Siete estudios incluyeron a
41
medicina
materno
fetal
HNDAC
RR: 0.7 (0.52 -0.98)
NNT: 203
resultados
42
medicina
materno
fetal
HNDAC
• El doppler de la arteria umbilical debería ser
incorporado en el monitoreo de las gestaciones
de alto riesgo o riesgo de insuficiencia
placentaria
• La clara definición de insuficiencia placentaria,
frecuencia del estudio y manejo, ante una AU
alterada no es clara
conclusiones
43
medicina
materno
fetal
HNDAC
E. Gratacos. Doppler en medicina fetal - 2010
indicaciones discutibles
• prematuridad
• diabetes gestacional
• gestación bicorial
44
medicina
materno
fetal
HNDAC
Arteria Cerebral Media
45
medicina
materno
fetal
HNDAC
E. Gratacos. Doppler en medicina fetal - 2010
utilidad
• marcador de hipoxia
• anemia fetal
46
medicina
materno
fetal
HNDAC
E. Gratacos. Doppler en medicina fetal - 2010
porque se altera el flujo
la ACM
• En estados de hipoxia el feto intenta compensar
• priorizar organos nobles
• cerebro
• corazon
• bazo
• glandula suprarrenal
• para incrementar el flujo : vasodilatacion
47
medicina
materno
fetal
HNDAC
eventos
en el tiempo
Hipoxemia
Acidemia
Doppler arterial
anormal
Doppler venoso
anormal
incremento de resistencia en AU
disminución de resistencia en ACM
descompensacion fetal
PBF alteraco CTG alterada
48
medicina
materno
fetal
HNDAC
E. Gratacos. Doppler en medicina fetal - 2010
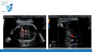
poligono
willis
Arteria Cerebral
media
Arteria Cerebral anterior
Arteria Cerebral
posterior
Arteria comunicante
posterior
49
medicina
materno
fetal
HNDAC
E. Gratacos. Doppler en medicina fetal - 2010
como se
interpreta
• Ea mayor vasodilatacion menor la resistencia del
vaso: <P5%
• Interpretación individualizada
• alteran el doppler
• movimientos
• contracciones uterinas
• corticoides
• lugar de toma de medida
50
medicina
materno
fetal
HNDAC
E. Gratacos. Doppler en medicina fetal - 2010
tecnica
• corte axial: talamos y base dek esfenoides
• visualizar el vaso y tomar la muestra lo mas
cercano a la carótida interna
• tomar 3 - 10 ondas
• lograr lo posible un angulo cercano a 0
51
medicina
materno
fetal
HNDAC
52
medicina
materno
fetal
HNDAC
53
medicina
materno
fetal
HNDAC
54
medicina
materno
fetal
HNDAC
55
medicina
materno
fetal
HNDAC
E. Gratacos. Doppler en medicina fetal - 2010
consideraciones
• su valor aislado como predictor es pobre
• debe ser interpretado junto con otros vasos,
edad gestacional y percentil de peso
56
medicina
materno
fetal
HNDAC
IP menor p5
57
medicina
materno
fetal
HNDAC
IP menor p5
58
medicina
materno
fetal
HNDAC
Ductus Venoso
59
medicina
materno
fetal
HNDAC
E. Gratacos. Doppler en medicina fetal - 2010
utilidad
• depende del trimestre
• 1er T: cardiopatias
• 2do - 3er: indicador de
compromiso cardiaco por
hipoxia u otras patologías
60
medicina
materno
fetal
HNDAC
utilidad
61
medicina
materno
fetal
HNDAC
62
medicina
materno
fetal
HNDAC
fisiologia
Vena
Umbilical
Ductus venoso
Vena
Cava inferior
63
medicina
materno
fetal
HNDAC
fisiologia
64
medicina
materno
fetal
HNDAC
eventos
en el tiempo
Hipoxemia
Acidemia
Doppler arterial
anormal
Doppler venoso
anormal
incremento de resistencia en AU
disminución de resistencia en ACM
descompensacion fetal
PBF alteraco CTG alterada
65
medicina
materno
fetal
HNDAC
ISUOG - Guidelines 2013
tecnica
• seguir la arteria umbilical hasta su unión
aparente con la vena cava
• en un plano oblicuo del abdomen se debe lograr
visualizar
• colocar el doppler y buscar la zona de mayor
velocidad
• debe buscarse lograr una insonacion en 0
• la velocidad en mayor 50-90 cm/s en el II y III
trimestre
tecnica del ductus arterioso
• seguir la arteria umbilical hasta
su unión aparente con la vena
cava
• en un plano oblicuo del
abdomen se debe lograr
visualizar
• colocar el doppler y buscar la
zona de mayor velocidad
• de buscarse lograr una
insonacion en 0 º
• la velocidad en mayor 50 cm/s
en el II y III trimestre. 66
ISUOG - Guidelines 2013
medicina
materno
fetal
HNDAC
tecnica
67
medicina
materno
fetal
HNDAC
68
medicina
materno
fetal
HNDAC
69
medicina
materno
fetal
HNDAC
Arteria Uterina
70
medicina
materno
fetal
HNDAC
E. Gratacos. Doppler en medicina fetal - 2010
utilidad
• depende del trimestre
• 1er T: tamizaje EIT
• 2do - 3er: diagnostico RCIU
71
medicina
materno
fetal
HNDAC
ISUOG - Guidelines 2013
tecnica
1T
• abdominal
• corte sagital del utero
• localizar la region del
cervix
• visualizar la region
paracervical
• colocar el doppler y buscar
un vaso ascendente
• verificar que velocidad de
flujo sea mayor a 50 cm/s
• transvaginal
• localizar el cérvix
• identificar los vasos
paracervicales
• buscar vaso ascendente.
72
medicina
materno
fetal
HNDAC
• buscar vaso ascendente.
73
medicina
materno
fetal
HNDAC
74
medicina
materno
fetal
HNDAC
75
medicina
materno
fetal
HNDAC
ISUOG - Guidelines 2013
tecnica
2-3T
• localizar la arteria uterina en
el cuadrante inferior
• localizar la arteria ilica
• localizar el cruce de la arteria
uterina e iliaca
• tomar la muestra 1 cm por
encima del cruce
76
medicina
materno
fetal
HNDAC
77
medicina
materno
fetal
HNDAC
technique, the
he paracervical
e carried out in
minal technique.
Figure 2 Waveforms from uterine artery obtained trans- 78
medicina
materno
fetal
HNDAC
79
medicina
materno
fetal
HNDAC

Doppler basico