CASO CLÍNICO 1
(01/II/2015)
• Paciente DMS, mujer de 28 años G2 P1001.
• G1 2010 Varón 2950g, parto vaginal s/c – HSB.
• G2 ACTUAL, no planificado.
• Antecedentes personales y familiares: no contributorios.
ECOGRAFÍA GENÉTICA
INNOVA
CURSO NACIONAL DE ACTUALIZACIÓN
ENERO 2016
adelita.h.s@gmail.com
Y. ADELITA HÍJAR SIFUENTES
GINECOLOGÍA Y OBSTETRICIA
FELLOW EN MEDICINA FETAL
INTRODUCCIÓN
• En 1866, Langdon Down describió individuos con un
síndrome, que más tarde llevaría su apellido,con piel de
apariencia grande para su edad (NT incrementada), con nariz
pequeña (ausencia de hueso nasal) y cara aplanada (ángulo
frontomaxilofacial).
• Anomalías cardíacas frecuentes en T21, ante la ausencia de
un daño estructural evidente, se consideraron los
marcadores:
– Válvula tricúspide
– Ductus Venoso (Frecuencia Cardíaca Fetal)
¿POR QUÉ DE 11-13+6SS?
• Herniación fisiológica del instestino que dificulta el
diagnóstico de onfalocele antes de las 11ss.
• La ausencia de osificación de la calota craneana,
disminuyendo la agudeza en el diagnóstico de la secuencia
exencefalia/anencefalia en el 1er trimester.
• Hueso nasal no se osifica antes de las 11ss, casi 50% de los
fetos tienen incompetencia de valvas tricuspídeas a las 10ss.
TRANSLUCENCIA NUCAL
• Personal entrenado, Ecógrafo de alta resolución
• Transabdominal, LCC:45-84mm
• Corte sagital medio. Feto en posición neutra.
• Incluyendo en la imagen sólo cabeza y tórax.
• Magnificación de la imagen(75%).
• Calipers emplazados de interno- interno de los bordes de la
TN y en sentido perpendicular.
• Diferenciar el amnios de la piel
• Debe prestarse atención especial a los casos de NT
incrementada y cariotipo normal.
• La NT: si sus niveles superan el percentile 95, las
posibilidades de un niño sano van disminuyendo, a
menudo asociadas con malformaciones diferentes y
síndromes genéticos.
(Nicolaides et al. 1999).
Debemos enfatizar en que una
NT aislada y con aumento
moderado NO ES UNA
MALFORMACIÓN, porque en 90%
de los casos con NT de 4.5mm,
se espera un bebé saludable.
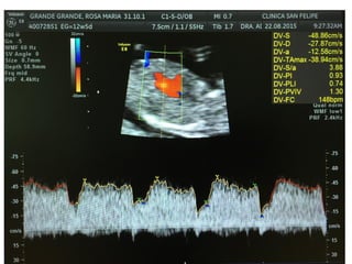
DUCTUS VENOSO
• Vaso pequeño que conecta la vena umbilical con la
proximidad de la aurícula derecha. Tiene un papel crítico
dirigiendo la sangre oxigenada al cerebro fetal
• Un 20% de la sangre oxigenada de la placenta sobrepasa el
hígado y se dirige al corazón fetal. Entra en la aurícula
derecha y luego a la izquierda, a través del foramen oval.
• De la aurícula izquierda pasa al ventrículo izquierdo y luego
a la aorta
VALORACIÓN DV
• Semanas 11+0-13+6 y la LCC entre 45-84 mm. El feto no
debe moverse.
• El tamaño de la imagen debe ser tal que el tórax y abdomen
fetal ocupen toda la pantalla. Se debe obtener un corte
sagital medio del tronco fetal.
• Se debe usar el Doppler color para demostrar la vena
umbilical, el ductus venoso y el corazón fetal. La ventana
del Doppler pulsado debe ser pequeña (0,5-1,0 mm) y debe
situarse en la zona de aliasing normalmente en amarillo
VALORACIÓN DV
• El ángulo de insonación debe ser menor de 30 grados.
• El filtro debe ser de baja frecuencia (50-70 Hz), para
permitir la visualización de la onda completa.
• La velocidad de barrido debe ser alta (2-3 cm/s), para
obtener una forma más ancha y poder evaluar mejor la onda
A.
HUESO NASAL
• Corte sagital medio. Magnificación de la imagen.
• En esta posición tenemos que ver tres líneas :
– 1-2: 2 líneas paralelas más cercanas a la frente del feto,
la más externa corresponde a la piel y la más interna al
hueso nasal (de más grosor y ecogenicidad)
– 3: Otra línea a un nivel más alto que la piel que es la
punta de la nariz.
REGURGITACIÓN TRICÚSPIDEA
ÁNGULO FRONTOMAXILOFACIAL
DOPPLER DE ARTERIAS UTERINAS
RIESGO DE
PREECLAMPSIA
FETAL MEDICINE FOUNDATION
IMPORTANTE
• Por estas razones es extremadamente importante ofrecer la
consejería genética a la mujer y su compañero, para que
comprendan los límites y los riesgos del Screening en el primer
trimester.
• Es fundamental para detectar marcadores de aneuploidías.
• Debe de realizarse la evaluación anatómica sistemática, ya
que se pueden diagnosticar o sospechar la mayoría de
anomalías mayores fetales, aunque su diagnóstico es muy
difícil por debajo de las 13 semanas.
IMPORTANTE
• Combinar la vía abdominal y la vaginal. Hay malformaciones
evolutivas o que sólo se pueden diagnosticar en semanas
posteriores.
• No sustituye a la ecografía anatómica 20-22 semanas.
• Periodo ideal para a valoración de marcadores y anatomía
fetal:12-13 semanas.
• Reto de futuro: clasificar la gestación en alto o bajo riesgo
PREGUNTAS Y/O
COMENTARIOS
UNMSM

Ecografía genética hdlm 16x

  • 1.
    CASO CLÍNICO 1 (01/II/2015) •Paciente DMS, mujer de 28 años G2 P1001. • G1 2010 Varón 2950g, parto vaginal s/c – HSB. • G2 ACTUAL, no planificado. • Antecedentes personales y familiares: no contributorios.
  • 6.
    ECOGRAFÍA GENÉTICA INNOVA CURSO NACIONALDE ACTUALIZACIÓN ENERO 2016 adelita.h.s@gmail.com Y. ADELITA HÍJAR SIFUENTES GINECOLOGÍA Y OBSTETRICIA FELLOW EN MEDICINA FETAL
  • 7.
    INTRODUCCIÓN • En 1866,Langdon Down describió individuos con un síndrome, que más tarde llevaría su apellido,con piel de apariencia grande para su edad (NT incrementada), con nariz pequeña (ausencia de hueso nasal) y cara aplanada (ángulo frontomaxilofacial). • Anomalías cardíacas frecuentes en T21, ante la ausencia de un daño estructural evidente, se consideraron los marcadores: – Válvula tricúspide – Ductus Venoso (Frecuencia Cardíaca Fetal)
  • 8.
    ¿POR QUÉ DE11-13+6SS? • Herniación fisiológica del instestino que dificulta el diagnóstico de onfalocele antes de las 11ss. • La ausencia de osificación de la calota craneana, disminuyendo la agudeza en el diagnóstico de la secuencia exencefalia/anencefalia en el 1er trimester. • Hueso nasal no se osifica antes de las 11ss, casi 50% de los fetos tienen incompetencia de valvas tricuspídeas a las 10ss.
  • 9.
    TRANSLUCENCIA NUCAL • Personalentrenado, Ecógrafo de alta resolución • Transabdominal, LCC:45-84mm • Corte sagital medio. Feto en posición neutra. • Incluyendo en la imagen sólo cabeza y tórax. • Magnificación de la imagen(75%). • Calipers emplazados de interno- interno de los bordes de la TN y en sentido perpendicular. • Diferenciar el amnios de la piel
  • 13.
    • Debe prestarseatención especial a los casos de NT incrementada y cariotipo normal. • La NT: si sus niveles superan el percentile 95, las posibilidades de un niño sano van disminuyendo, a menudo asociadas con malformaciones diferentes y síndromes genéticos. (Nicolaides et al. 1999).
  • 14.
    Debemos enfatizar enque una NT aislada y con aumento moderado NO ES UNA MALFORMACIÓN, porque en 90% de los casos con NT de 4.5mm, se espera un bebé saludable.
  • 15.
    DUCTUS VENOSO • Vasopequeño que conecta la vena umbilical con la proximidad de la aurícula derecha. Tiene un papel crítico dirigiendo la sangre oxigenada al cerebro fetal • Un 20% de la sangre oxigenada de la placenta sobrepasa el hígado y se dirige al corazón fetal. Entra en la aurícula derecha y luego a la izquierda, a través del foramen oval. • De la aurícula izquierda pasa al ventrículo izquierdo y luego a la aorta
  • 18.
    VALORACIÓN DV • Semanas11+0-13+6 y la LCC entre 45-84 mm. El feto no debe moverse. • El tamaño de la imagen debe ser tal que el tórax y abdomen fetal ocupen toda la pantalla. Se debe obtener un corte sagital medio del tronco fetal. • Se debe usar el Doppler color para demostrar la vena umbilical, el ductus venoso y el corazón fetal. La ventana del Doppler pulsado debe ser pequeña (0,5-1,0 mm) y debe situarse en la zona de aliasing normalmente en amarillo
  • 19.
    VALORACIÓN DV • Elángulo de insonación debe ser menor de 30 grados. • El filtro debe ser de baja frecuencia (50-70 Hz), para permitir la visualización de la onda completa. • La velocidad de barrido debe ser alta (2-3 cm/s), para obtener una forma más ancha y poder evaluar mejor la onda A.
  • 23.
    HUESO NASAL • Cortesagital medio. Magnificación de la imagen. • En esta posición tenemos que ver tres líneas : – 1-2: 2 líneas paralelas más cercanas a la frente del feto, la más externa corresponde a la piel y la más interna al hueso nasal (de más grosor y ecogenicidad) – 3: Otra línea a un nivel más alto que la piel que es la punta de la nariz.
  • 26.
  • 30.
  • 31.
    DOPPLER DE ARTERIASUTERINAS RIESGO DE PREECLAMPSIA
  • 36.
  • 38.
    IMPORTANTE • Por estasrazones es extremadamente importante ofrecer la consejería genética a la mujer y su compañero, para que comprendan los límites y los riesgos del Screening en el primer trimester. • Es fundamental para detectar marcadores de aneuploidías. • Debe de realizarse la evaluación anatómica sistemática, ya que se pueden diagnosticar o sospechar la mayoría de anomalías mayores fetales, aunque su diagnóstico es muy difícil por debajo de las 13 semanas.
  • 39.
    IMPORTANTE • Combinar lavía abdominal y la vaginal. Hay malformaciones evolutivas o que sólo se pueden diagnosticar en semanas posteriores. • No sustituye a la ecografía anatómica 20-22 semanas. • Periodo ideal para a valoración de marcadores y anatomía fetal:12-13 semanas. • Reto de futuro: clasificar la gestación en alto o bajo riesgo
  • 40.