EXPLORACIÓN
DOPPLER
MIEMBRO INFERIOR
DRA.	
  Ma.	
  ISABEL	
  MÁRQUEZ
üPrincipal	
  misión	
  de	
  la	
  circulación	
  venosa	
  es	
  el	
  drenaje	
  del	
  CO2	
  y	
  
demás	
  residuos	
  originados	
  por	
  el	
  metabolismo	
  celular	
  hacia	
  el	
  
corazón,	
  para	
  su	
  posterior	
  depuración	
  pulmonar,	
  hepática	
  o	
  renal.	
  
Características	
  de	
  las	
  venas	
  normales
• Normal:
ØTubular	
  
ØParedes	
  finas	
  y	
  ligeramente	
  ecogénicas
ØLuz	
  venosa	
  central	
  anecogénica
ØAdyacentes	
  a	
  la	
  arteria	
  correspondiente	
  
ØFlujo	
  espontáneo	
  en	
  reposo,	
  no	
  pulsátil
ØPueden	
  comprimirse	
  y	
  expandirse	
  a	
  las	
  maniobras	
  externas
ØCon	
  transductores	
  de	
  alta	
  frecuencia	
  pueden	
  apreciarse	
  las	
  válvulas	
  
• Anormales:
vAumento	
  de	
  su	
  calibre	
  y	
  trayecto	
  sinuoso
vNo	
  colapsan	
  a	
  las	
  maniobras	
  externas	
  
vLas	
  válvulas	
  pueden	
  estar	
  fijas	
  (congeladas)
Características	
  de	
  las	
  ondas	
  en	
  Doppler:
• El	
  trazado	
  espectral	
  muestra	
  una	
  señal	
  espontanea	
  con	
  variaciones	
  
debidas	
  a	
  la	
  respiración.	
  Monofásico	
  de	
  baja	
  velocidad.
• No	
  hay	
  señal	
  durante	
  la	
  respiración	
  suspendida
• La	
  señal	
  tiene	
  baja	
  frecuencia	
  y	
  aumenta	
  fácilmente
• Con	
  la	
  compresión	
  distal	
  se	
  demuestra	
  un	
  aumento	
  del	
  flujo	
  hacia	
  el	
  
corazón	
  con	
  mayores	
  velocidades	
  
Sistema	
  Superficial	
  
Sistema	
  Profundo	
  
piel (Figura 1). sidera
tiene
un co
disten
c. S
C
musc
sistem
sistem
super
Figura 1. Distribución anatómica del sistema venoso. Planos:
1. Piel 2. Fascia superficial o safena 3. Fascia muscular
o aponeurótica. Compartimentos: 4. Compartimento
1
2
3
4
5
6
SISTEMA	
  VENOSO	
  SUPERFICIAL
ØEl espacio	
   subcutáneo, en el cual se encuentran las venas
superficiales,	
   está separado por una membrana llamada fascia
superficial o venosa, en un espacio subcutáneo	
   más profundo,
ubicado entre la fascia superficial y la fascia muscular, llamado
compartimiento interfascial o safeno y un compartimento subcutáneo
verdadero,entre la fascia venosa y la piel.
ØSAFENA MAYOR O INTERNA: primera rama de la femoral. Medial y
superficial a la fascia. Es la más larga del cuerpo, contiene 10 a 20
válvulas.
ØSAFENA MENOR O EXTERNA: nace de la vena poplítea. Posterior y
lateralmente. Termina por delante del maléolo lateral.
Figura 4. Safena interna en espacio safeno en el muslo.
una later
se denom
el 40% d
del muslo
la unión s
nodo bas
fácilment
con los v
interna q
Es muy i
cialmente
post-ope
SISTEMA	
  VENOSO	
  PROFUNDO:
vVena ilíaca externa se une a la interna en la articulación sacroilíaca
dando lugar a la V. Ilíaca común que desemboca en la V. Cava inferior
vVena femoral común, VFS y VFP
vVena poplítea
vEn la pantorrilla hay tres pares de venas profundas que acompañan
una arteria: tibial posterior, peronea y tibial anterior. Válvulas cada 2.5
cm.
vLa vena poplítea, femoral superficial, femoral común e ilíaca tienen
pocas válvulas. La V. Cava ninguna
estación.
la arcada inguinal, con un
de la unión safeno-femoral
. 2). Se evalúa el reflujo a
al común, la vena femoral y
e maniobras de Valsalva con
5).
ormar si existen afluentes al
o no tortuosas y si son o no
e, hay que consignar si el
minal) o si se encuentra en
y 7).
iámetro de la vena safena
en los que presentan golfos
a entre el borde anterior de
dad del ostium.
se evalúa el reflujo en la
magna en el tercio superior,
insuficientes se debe defi-
a el trayecto insuficiente, y
una o más epifasciales dila-
qué localización y dónde se
VSM
VFC
Arteria femoral común
ARTICLE IN PRESSRARD-60; No. of Pages 8
Doppler de miembros inferiores en la insuficiencia venosa 5
VSM
VFC
Figura 8 Corte longitudinal a nivel del ostium, donde se debe
hacer la medición del diámetro de la VSM.
- Se debe mencionar y evaluar la existencia de venas vari-
cosas que no tengan relación con las safenas, así como
también hay que establecer cuál es su procedencia (por
ejemplo: vena pélvica), ya que la ligadura de las safenas
puede no ser necesaria16
.
En síntesis, el objetivo del examen es determinar el punto
de fuga, la presencia de venas epifasciales insuficientes y el
punto de reentrada, indicando la existencia de perforantes
insuficientes y su localización.
Parámetros a evaluar en el paciente
safenectomizado con tratamiento de termo
obliteración
1) Buscar si se evidencian tramos de safena e informar
dónde comienzan y terminan.
2) Es importante tener en cuenta que en la etapa posquirúr-
gica inmediata se pueden ver imágenes hiperecogénicas
en la luz de la vena, habitualmente secundarias al tra-
tamiento de termo obliteración con láser. Esto no debe
ser confundido con trombosis y tiene que ser informado
como safena termo-obliterada.
Venas	
  musculares:
Son	
  dos	
  los	
  principales	
  grupos.	
  Las	
  venas	
  soleales en	
  la	
  región	
  mas	
  
baja	
  de	
  la	
  pantorrilla	
  y	
  las	
  gastrocnemias un	
  poco	
  mas	
  altas.
sistema profundo, el otro eje es el sistema superficial y los travesaños son las venas
perforantes. Así, los sistemas superficial y profundo discurren paralelamente.
Figura 3. Diagrama explicativo de cómo se distribuyen los sistemas venosos de la extremidad inferior.
Las venas perforantes comunican las venas superficiales con las profundas perforando la fascia,
mientras que las venas profundas van subfasciales y las venas superficiales en el mismo eje pero por
encima de la fascia y por fuera de los compartimentos fasciales de los músculos de la extremidad,
son pues, subdérmicas.
Vena
Profunda
Vena
Superficial
Venas
Perforantes
Vena Profunda
PERFORANTES	
  DEL	
  MUSLO
ØPerforantes	
  del	
  canal	
  de	
  Hunter	
  (Dodd)	
  en	
  la	
  cara	
  medial	
  del	
  muslo
ØLas	
  perforantes	
  inguinales,	
  las	
  cuales	
  conectan	
  la	
  vena	
  safena	
  mayor	
  
(o	
  sus	
  tributarias)	
  con	
  la	
  vena	
  femoral.
PERFORANTES	
  	
  DE	
  LA	
  PIERNA
vPerforantes	
  mediales	
  o	
  paratibiales:	
  conectan	
  el	
  tronco	
  principal	
  o	
  
tributarias	
  de	
  la	
  vena	
  safena	
  mayor	
  con	
  las	
  venas	
  tibiales	
  posteriores.	
  
Cerca	
  de	
  la	
  superficie	
  medial	
  de	
  la	
  tibia.
• BOYD a	
  10	
  cm	
  por	
  debajo	
  de	
  la	
  rodilla	
  
• SHERMAN a	
  a	
  mitad	
  de	
  la	
  pierna
vPerforante	
  de	
  MAY:	
  perforante	
  intergemelar
vPerforantes	
  de	
  las	
  tibiales	
  posteriores:
• Comunican	
  la	
  VSM	
  con	
  las	
  VTP
• COCKETT
• Superior,	
  media	
  e	
  inferior	
  (I	
  a	
  6-­‐8	
  cm	
  por	
  arriba	
  del	
  maléolo	
  interno,	
  II	
  a	
  12	
  cm	
  y	
  a	
  18	
  cm	
  
la	
  III).	
  Algunos	
  autores	
  mencionan	
  una	
  IV	
  submaleolar a	
  5	
  cm
IV
42	
  cm
35	
  cm
MAY
Dodd
Hunter
TÉCNICA	
  DE	
  EXPLORACIÓN
OS
Figura 16. Maniobras de contracción y relajación muscular para estudio. La
primera foto de cada serie muestra la contracción y la segunda la relajación
muscular. a) Maniobra de Parana. b) Compresión distal de la musculatura. c)
Carga alternada.
Figura 15. Tarima para colocar
al paciente, con cinta de medir
adherida.
a etapa de contrac-
anifiesta como un
unda, la relajación,
en zona del cayado, ligada o no a remanente largo.
En safena externa, se debe buscar presencia de
venas perforantes.
POSICIONES
• Extremidad	
  inferior	
  colgando.
• Paciente	
  sentado.
• Anti-­‐Trendelemburg
• Paciente	
  de	
  pie.
PROTOCOLO	
  DE	
  EXPLORACIÓN
üEn	
  posición	
  anti-­‐ Trendelenburg	
  .
üInicia	
  segmento	
  femoral:
üIngle:	
  Eje	
  longitudinal	
  de	
  la	
  VIE,	
  VFC,	
  VSM	
  y	
  la	
  unión	
  de	
  las	
  VFS	
  y	
  VFP.
üConfirmar	
  permeabilidad	
  VSM	
  y	
  FP	
  (flujo	
  color)
üFlujo	
  de	
  la	
  VFC	
  	
  (espectral).
üEspontáneo,	
  fásico	
  y	
  Valsalva	
  normal.
üCompresión transversal (escala de grises o color):
üVFC: Cada 2 cm desde el punto más alto de la VFC hasta canal
aductor.
üVFS: A nivel del canal aductor donde se sumerge en los músculos
aductores.
• Safena	
  Mayor:
ØSuperficialmente.
ØMínima	
  presión.
ØPlanos	
  fasciales	
  adyacentes.
ØLocalizada	
  por	
  fuera	
  de	
  la	
  fascia	
  muscular	
  (unión	
  músculo-­‐tejido	
  subcutáneo).
• Vena poplítea:
vPosición posteromedial:
vEje longitudinal de la VP, ascendiendo al canal aductor hasta la parte distal de
la VFS.
vSuperficial a la arteria poplítea.
vContinuar distalmente hasta la bifurcación (troncos tibial posterior y
peroneal).
vEje transversal: comprobar compresibilidad.
üPara demostrar la permeabilidad y competencia se realiza la
maniobra de compresión externa, tiene alta sensibilidad y
especificidad para detectar trombosis. De preferencia se realiza en un
corte transversal del vaso para evitar desplazamiento.
üPara demostrar competencia valvular se utiliza la maniobra de
Valsalva a través de inspiración profunda y sostenida, el flujo al
Doppler color debe de cesar
CRITERIOS	
  DIAGNÓSTICOS	
  DE	
  TVP
1. Visualización	
  directa	
  del	
  trombo	
  como	
  estructura	
  ecogénica en	
  la	
  
luz	
  de	
  la	
  vena.
2. Medición	
  de	
  los	
  cambios	
  provocados	
  por	
  la	
  presencia	
  del	
  trombo	
  
(distensión	
  pasiva	
  del	
  vaso,	
  pérdida	
  de	
  compresibilidad).
3. Detección	
  de	
  un	
  cambio	
  de	
  un	
  cambio	
  en	
  la	
  dinámica	
  del	
  flujo	
  
venoso	
  (ausencia	
  total	
  o	
  flujo	
  alterado	
  alrededor	
  del	
  trombo).
TROMBO	
  LIBREMENTE	
  FLOTANTE
TVP	
  CRÓNICA
TVP	
  PARCIALMENTE	
  OBSTRUCTIVA
TVP	
  TOTALMENTE	
  OBSTRUCTIVA	
  
INSUFICIENCIA	
  VENOSA	
  
üCausas:	
  várices,	
  síndrome	
  postflebítico	
  y	
  trombosis	
  a	
  repetición.
üDisminución	
  en	
  el	
  retorno	
  venoso	
  hacia	
  el	
  corazón.
üSistema	
  superficial,	
  profundo	
  o	
  ambos.
üSignos	
  clínicos:	
  edema,	
  varices	
  y	
  úlceras.
üIVC	
  refleja	
  fallo	
  en	
  el	
  mecanismo	
  de	
  bombeo.
INSUFICIENCIA	
  VENOSA	
  SUPERFICIAL
Debilidad
inherente
de la pared
venosa
Disfunción	
  
valvular
Elevación	
  del	
  
volumen	
  y	
  
distensión	
  de	
  
las	
  
perforantes	
  
(insuficientes)
Afectación	
  del	
  
Sist.	
  Profundo
INSUFICIENCIA	
  VENOSA	
  PROFUNDA
TVP
Daño	
  directo	
  
del	
  mecanismo	
  
valvular Cicatrización	
  
de	
  las	
  hojas	
  
de	
  las	
  
válvulas
Debilidad	
  del	
  
mecanismo	
  valvular	
  	
  
conlleva	
  al	
  fallo	
  de	
  
la	
  unión	
  de	
  las	
  hojas	
  
bicúspidas.
Aumento	
  de	
  
la	
  presión	
  y	
  
del	
  volumen	
  
sanguíneo.
Conlleva:
Incompetencia de las venas
perforantes, distención de las
venas superficiales, varices.
Cierre	
  valvular:
<	
  0.5	
  seg
Femorales	
  y	
  
poplítea:	
  1.5	
  seg	
  o	
  
más.
Reflujo:
ü VP:	
  durante	
  toda	
  
la	
  Valsalva	
  .
ü VD:	
  2-­‐3	
  seg	
  tras	
  el	
  
cese	
  de	
  la	
  
compresión.
EN	
  ESCALA	
  DE	
  GRISES	
  ENCONTRAREMOS:
vFlujo	
  lento	
  anterógrado	
  y	
  retógrado.
vDilatación	
  venosa	
  (superficial,	
  profundo,	
  perforantes).
vVasos	
  superficiales	
  tortuosos.
vEdema.
vVasos	
  colaterales.
vVálvulas	
  fijas,	
  inmóviles.
vParedes	
  engrosadas.
vNo	
  se	
  detecta	
  flujo	
  espontáneo.
ONDA	
  DOPPLER
vAnálisis	
  espectral	
  a	
  la	
  compresión	
  proximal,	
  señal	
  retrógrada	
  y	
  
anterógrada.
vEn	
  zonas	
  de	
  flujo	
  lento,	
  sin	
  maniobras,	
  señal	
  en	
  vaiven.
vMedición	
  del	
  reflujo.
vAlgunos	
  autores	
  consideran	
  que	
  velocidades	
  mayores	
  a	
  13	
  cm/seg	
  
corresponden	
  a	
  reflujo	
  severo	
  con	
  repercusión	
  clínica.	
  
PROTOCOLO	
  DE	
  ESTUDIO
üLONGITUDINALES:
ØUnion	
  safeno-­‐femoral
ØVFS	
  justo	
  por	
  debajo	
  de	
  la	
  
bifurcación	
  
ØVFP	
  por	
  debajo	
  de	
  la	
  bifurcación	
  
ØV	
  Pop
ØVTP
ØVenas	
  safenas	
  mayor	
  y	
  menor	
  
üTRANSVERSALES:
ØColocar	
  el	
  transductor	
  entre	
  la	
  safena	
  
mayor	
  y	
  la	
  tibial	
  posterior	
  justo	
  por	
  
encima	
  del	
  maléolo	
  interno.
ØIr	
  ascendiendo	
  por	
  la	
  pantorrilla	
  
hasta	
  la	
  rodilla	
  para	
  identificar	
  
perforantes	
  incompetentes	
  o	
  varices.
PROTOCOLO	
  DE	
  EXPLORACIÓN
vLa	
  exploración comienza en la arcada inguinal, corte transversal a la
altura de la	
  unión safeno-­‐femoral (signo de Mickey Mouse). Se	
  evalúa
el reflujo mediante maniobras de Valsalva con Doppler color y
espectral de la VFC, VSM
vA nivel de la USF se debe informar si existen afluentes al cayado, su	
  
diámetro, si son o no tortuosas y si son o no insuficientes
vMedir el	
   diámetro de la vena safena magna en el ostium. Ostium
safeno entre 6 y 8 mm, el cayado entre 5 y 6 mm, infrapatelar 3 mm.
vSe	
  evalúa el reflujo en la vena femoral y la vena safena magna en el
tercio superior, medio e inferior del muslo.
vSi las venas safenas son insuficientes se debe definir	
  dónde comienza
y termina el trayecto insuficiente.
vInformar si generan una o	
   más epifasciales dilatadas (venas
varicosas), en	
   qué	
   localización y	
   dónde se encuentra el punto de
reentrada al sistema venoso profundo, consignando	
   también las
perforantes.
vLa	
  Safena	
  menor	
  mide	
  entre	
  1	
  y	
  3	
  mm.
vPerforantes	
  menor	
  de	
  3	
  mm.
Doppler de miembros inferiores en la insuficiencia venosa 5
VSM
VFC
Figura 8 Corte longitudinal a nivel del ostium, donde se debe
hacer la medición del diámetro de la VSM.
- Se debe mencionar y evaluar la existencia de venas vari-
cosas que no tengan relación con las safenas, así como
también hay que establecer cuál es su procedencia (por
ejemplo: vena pélvica), ya que la ligadura de las safenas
puede no ser necesaria16
.
En síntesis, el objetivo del examen es determinar el punto
de fuga, la presencia de venas epifasciales insuficientes y el
punto de reentrada, indicando la existencia de perforantes
insuficientes y su localización.
Parámetros a evaluar en el paciente
safenectomizado con tratamiento de termo
obliteración
1) Buscar si se evidencian tramos de safena e informar
dónde comienzan y terminan.
2) Es importante tener en cuenta que en la etapa posquirúr-
gica inmediata se pueden ver imágenes hiperecogénicas
en la luz de la vena, habitualmente secundarias al tra-
tamiento de termo obliteración con láser. Esto no debe
ser confundido con trombosis y tiene que ser informado
como safena termo-obliterada.
ARTICLE+Model
RARD-60; No. of Pages 8
6
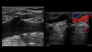
Vena perforante
Vena perforante insuficiente
HD
P
T
R
12,03,0
P
T
R
12,03,0
Figura 10 Vena perforante mayor de 3 mm con reflujo en el
reverso ante las maniobras de Valsalva en la unión safena-
femoral (viraje de color rojo, en descanso a color azul, en
Valsalva).
+0,86
m/s
–0,864 s
m/s
–0,11
+0,11
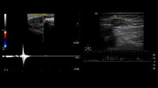
Vena femoral VSM
Figura 5 Imagen que demuestra el cierre valvular correcto
sin reflujo en la VSM con el Doppler color y espectral.
Figura 7 Insuficiencia de la VSM en el tercio medio del m
ante las maniobras de Valsalva.
- Para examinar el eje de la VSP, con el paciente de e
das al operador, se realizan cortes transversales en la
posterior de la pantorrilla (de caudal a cefálico), vis
zando la vena safena parva y calculando el reflujo e
distintos niveles. Debe consignarse si es o no tortuo
a qué altura desemboca en la vena poplítea (si es
lo hace)15
, midiendo la distancia desde la planta del
A su vez, hay que evaluar la presencia o no de la
safena parva del muslo y, en caso de que esté prese
definir si esta es suficiente o insuficiente.
- A nivel del hueco poplíteo se busca la existencia de re
en la vena poplítea.
- Si se descubre insuficiencia de la VSP, también debe
indicar si el ostium está involucrado o si el reflujo se i
más caudalmente, si hay presencia de venas epifasc
dilatadas y los puntos de reentrada del flujo.
- Es necesario explorar las venas tibiales posteriores, a
riores y peroneas.
ARTICLE IN PRESSRARD-60; No. of Pages 8
4 H. Berardi, A. Ciccioli
VSM
Izquierda
+ ,07
– ,07
m/s
+55,90
–54,98
cm/s
2
1
0
Vena femoral
VSM
5,3s
Figura 3 Doppler espectral con corte transversal evidencia
una VSM suficiente ante las maniobras de Valsalva.
HD
20
10
0
10
20
T
R
12,03,0
P
VSM
HD
Figura 6 Corte transversal de la VSM que muestra un aumento
de las velocidades anterógradas (por encima de la línea de
base), ante las maniobras de Valsalva.
INCOMPETENCIA	
  VENOSA
vVenas incompetentes muestran cambios de color, flujo retro y
anterógrado con o sin maniobras compresivas.
vDefectos de repleción debido a restos de trombos y depósitos de
fibrina
Las venas son más numerosas que las arterias, pues en muchas regiones, como en los
miembros, cada arteria va acompañada de dos venas; solamente los gruesos troncos
arteriales poseen un solo tronco venoso acompañante. Además, existen debajo de los
tegumentos intrines las redes venosas que constituyen el sistema venoso superficial, el
cual se anastomosa ampliamente con el sistema venoso profundo.
BIBLIOGRAFÍA
1. Aplicaciones	
  clínicas	
  de	
  la	
  ecografía	
  Doppler.	
  Kenneth	
  Taylor,	
  segunda	
  edición.	
  
2004
2. Doppler,	
  cuello	
  y	
  extremidades.	
  Joseph	
  Polak.	
  2007.
3. Examen	
  Doppler	
  de	
  la	
  insuficiencia	
  venosa	
  de	
  miembros	
  inferiores:	
  consenso	
  
entre	
  especialistas.	
  H.	
  Berardi y	
  A.	
  Ciccioli.	
  Hospital	
  Interzonal General	
  de	
  
Agudos	
  Dr.	
  José	
  Penna,	
  Bahía Blanca,	
  Argentina.	
  Marzo	
  2014.
4. Doppler	
  color.	
  Carol	
  Krebs.	
  
5. Ultrasonido	
  doppler de	
  extremidades	
  inferiores	
  para	
  el	
  estudio	
  de	
  la	
  
insuficiencia	
  venosa.	
  Dra.	
  Paola	
  Paolinelli G.	
  Clínica Las	
  Condes.	
  Chile.	
  2009.
6. Ecograga Doppler	
  color	
  venoso	
  de	
  miembros	
  inferiores.	
  Eco-­‐Doppler	
  color,	
  
duplex scan color	
  y	
  triplex.	
  Dr.	
  Oscar	
  Giraldo	
  Neira	
  MD.	
  Universidad	
  Pedagógica
y	
  Tecnológicade	
  Colombia.	
  2013.

Doppler de miembro inferior 2017

  • 1.
  • 2.
    üPrincipal  misión  de  la  circulación  venosa  es  el  drenaje  del  CO2  y   demás  residuos  originados  por  el  metabolismo  celular  hacia  el   corazón,  para  su  posterior  depuración  pulmonar,  hepática  o  renal.  
  • 4.
    Características  de  las  venas  normales • Normal: ØTubular   ØParedes  finas  y  ligeramente  ecogénicas ØLuz  venosa  central  anecogénica ØAdyacentes  a  la  arteria  correspondiente   ØFlujo  espontáneo  en  reposo,  no  pulsátil ØPueden  comprimirse  y  expandirse  a  las  maniobras  externas ØCon  transductores  de  alta  frecuencia  pueden  apreciarse  las  válvulas   • Anormales: vAumento  de  su  calibre  y  trayecto  sinuoso vNo  colapsan  a  las  maniobras  externas   vLas  válvulas  pueden  estar  fijas  (congeladas)
  • 5.
    Características  de  las  ondas  en  Doppler: • El  trazado  espectral  muestra  una  señal  espontanea  con  variaciones   debidas  a  la  respiración.  Monofásico  de  baja  velocidad. • No  hay  señal  durante  la  respiración  suspendida • La  señal  tiene  baja  frecuencia  y  aumenta  fácilmente • Con  la  compresión  distal  se  demuestra  un  aumento  del  flujo  hacia  el   corazón  con  mayores  velocidades  
  • 8.
  • 9.
    piel (Figura 1).sidera tiene un co disten c. S C musc sistem sistem super Figura 1. Distribución anatómica del sistema venoso. Planos: 1. Piel 2. Fascia superficial o safena 3. Fascia muscular o aponeurótica. Compartimentos: 4. Compartimento 1 2 3 4 5 6
  • 10.
    SISTEMA  VENOSO  SUPERFICIAL ØElespacio   subcutáneo, en el cual se encuentran las venas superficiales,   está separado por una membrana llamada fascia superficial o venosa, en un espacio subcutáneo   más profundo, ubicado entre la fascia superficial y la fascia muscular, llamado compartimiento interfascial o safeno y un compartimento subcutáneo verdadero,entre la fascia venosa y la piel. ØSAFENA MAYOR O INTERNA: primera rama de la femoral. Medial y superficial a la fascia. Es la más larga del cuerpo, contiene 10 a 20 válvulas. ØSAFENA MENOR O EXTERNA: nace de la vena poplítea. Posterior y lateralmente. Termina por delante del maléolo lateral.
  • 11.
    Figura 4. Safenainterna en espacio safeno en el muslo. una later se denom el 40% d del muslo la unión s nodo bas fácilment con los v interna q Es muy i cialmente post-ope
  • 12.
    SISTEMA  VENOSO  PROFUNDO: vVenailíaca externa se une a la interna en la articulación sacroilíaca dando lugar a la V. Ilíaca común que desemboca en la V. Cava inferior vVena femoral común, VFS y VFP vVena poplítea vEn la pantorrilla hay tres pares de venas profundas que acompañan una arteria: tibial posterior, peronea y tibial anterior. Válvulas cada 2.5 cm. vLa vena poplítea, femoral superficial, femoral común e ilíaca tienen pocas válvulas. La V. Cava ninguna
  • 13.
    estación. la arcada inguinal,con un de la unión safeno-femoral . 2). Se evalúa el reflujo a al común, la vena femoral y e maniobras de Valsalva con 5). ormar si existen afluentes al o no tortuosas y si son o no e, hay que consignar si el minal) o si se encuentra en y 7). iámetro de la vena safena en los que presentan golfos a entre el borde anterior de dad del ostium. se evalúa el reflujo en la magna en el tercio superior, insuficientes se debe defi- a el trayecto insuficiente, y una o más epifasciales dila- qué localización y dónde se VSM VFC Arteria femoral común
  • 14.
    ARTICLE IN PRESSRARD-60;No. of Pages 8 Doppler de miembros inferiores en la insuficiencia venosa 5 VSM VFC Figura 8 Corte longitudinal a nivel del ostium, donde se debe hacer la medición del diámetro de la VSM. - Se debe mencionar y evaluar la existencia de venas vari- cosas que no tengan relación con las safenas, así como también hay que establecer cuál es su procedencia (por ejemplo: vena pélvica), ya que la ligadura de las safenas puede no ser necesaria16 . En síntesis, el objetivo del examen es determinar el punto de fuga, la presencia de venas epifasciales insuficientes y el punto de reentrada, indicando la existencia de perforantes insuficientes y su localización. Parámetros a evaluar en el paciente safenectomizado con tratamiento de termo obliteración 1) Buscar si se evidencian tramos de safena e informar dónde comienzan y terminan. 2) Es importante tener en cuenta que en la etapa posquirúr- gica inmediata se pueden ver imágenes hiperecogénicas en la luz de la vena, habitualmente secundarias al tra- tamiento de termo obliteración con láser. Esto no debe ser confundido con trombosis y tiene que ser informado como safena termo-obliterada.
  • 18.
    Venas  musculares: Son  dos  los  principales  grupos.  Las  venas  soleales en  la  región  mas   baja  de  la  pantorrilla  y  las  gastrocnemias un  poco  mas  altas.
  • 19.
    sistema profundo, elotro eje es el sistema superficial y los travesaños son las venas perforantes. Así, los sistemas superficial y profundo discurren paralelamente. Figura 3. Diagrama explicativo de cómo se distribuyen los sistemas venosos de la extremidad inferior. Las venas perforantes comunican las venas superficiales con las profundas perforando la fascia, mientras que las venas profundas van subfasciales y las venas superficiales en el mismo eje pero por encima de la fascia y por fuera de los compartimentos fasciales de los músculos de la extremidad, son pues, subdérmicas. Vena Profunda Vena Superficial Venas Perforantes Vena Profunda
  • 20.
    PERFORANTES  DEL  MUSLO ØPerforantes  del  canal  de  Hunter  (Dodd)  en  la  cara  medial  del  muslo ØLas  perforantes  inguinales,  las  cuales  conectan  la  vena  safena  mayor   (o  sus  tributarias)  con  la  vena  femoral.
  • 21.
    PERFORANTES    DE  LA  PIERNA vPerforantes  mediales  o  paratibiales:  conectan  el  tronco  principal  o   tributarias  de  la  vena  safena  mayor  con  las  venas  tibiales  posteriores.   Cerca  de  la  superficie  medial  de  la  tibia. • BOYD a  10  cm  por  debajo  de  la  rodilla   • SHERMAN a  a  mitad  de  la  pierna vPerforante  de  MAY:  perforante  intergemelar vPerforantes  de  las  tibiales  posteriores: • Comunican  la  VSM  con  las  VTP • COCKETT • Superior,  media  e  inferior  (I  a  6-­‐8  cm  por  arriba  del  maléolo  interno,  II  a  12  cm  y  a  18  cm   la  III).  Algunos  autores  mencionan  una  IV  submaleolar a  5  cm
  • 22.
  • 23.
  • 24.
  • 25.
  • 27.
    OS Figura 16. Maniobrasde contracción y relajación muscular para estudio. La primera foto de cada serie muestra la contracción y la segunda la relajación muscular. a) Maniobra de Parana. b) Compresión distal de la musculatura. c) Carga alternada. Figura 15. Tarima para colocar al paciente, con cinta de medir adherida. a etapa de contrac- anifiesta como un unda, la relajación, en zona del cayado, ligada o no a remanente largo. En safena externa, se debe buscar presencia de venas perforantes.
  • 28.
    POSICIONES • Extremidad  inferior  colgando. • Paciente  sentado. • Anti-­‐Trendelemburg • Paciente  de  pie.
  • 29.
    PROTOCOLO  DE  EXPLORACIÓN üEn  posición  anti-­‐ Trendelenburg  . üInicia  segmento  femoral: üIngle:  Eje  longitudinal  de  la  VIE,  VFC,  VSM  y  la  unión  de  las  VFS  y  VFP. üConfirmar  permeabilidad  VSM  y  FP  (flujo  color) üFlujo  de  la  VFC    (espectral). üEspontáneo,  fásico  y  Valsalva  normal.
  • 30.
    üCompresión transversal (escalade grises o color): üVFC: Cada 2 cm desde el punto más alto de la VFC hasta canal aductor. üVFS: A nivel del canal aductor donde se sumerge en los músculos aductores.
  • 31.
    • Safena  Mayor: ØSuperficialmente. ØMínima  presión. ØPlanos  fasciales  adyacentes. ØLocalizada  por  fuera  de  la  fascia  muscular  (unión  músculo-­‐tejido  subcutáneo).
  • 32.
    • Vena poplítea: vPosiciónposteromedial: vEje longitudinal de la VP, ascendiendo al canal aductor hasta la parte distal de la VFS. vSuperficial a la arteria poplítea. vContinuar distalmente hasta la bifurcación (troncos tibial posterior y peroneal). vEje transversal: comprobar compresibilidad.
  • 33.
    üPara demostrar lapermeabilidad y competencia se realiza la maniobra de compresión externa, tiene alta sensibilidad y especificidad para detectar trombosis. De preferencia se realiza en un corte transversal del vaso para evitar desplazamiento. üPara demostrar competencia valvular se utiliza la maniobra de Valsalva a través de inspiración profunda y sostenida, el flujo al Doppler color debe de cesar
  • 34.
    CRITERIOS  DIAGNÓSTICOS  DE  TVP 1. Visualización  directa  del  trombo  como  estructura  ecogénica en  la   luz  de  la  vena. 2. Medición  de  los  cambios  provocados  por  la  presencia  del  trombo   (distensión  pasiva  del  vaso,  pérdida  de  compresibilidad). 3. Detección  de  un  cambio  de  un  cambio  en  la  dinámica  del  flujo   venoso  (ausencia  total  o  flujo  alterado  alrededor  del  trombo).
  • 38.
  • 39.
  • 40.
  • 41.
  • 44.
    INSUFICIENCIA  VENOSA   üCausas:  várices,  síndrome  postflebítico  y  trombosis  a  repetición. üDisminución  en  el  retorno  venoso  hacia  el  corazón. üSistema  superficial,  profundo  o  ambos. üSignos  clínicos:  edema,  varices  y  úlceras. üIVC  refleja  fallo  en  el  mecanismo  de  bombeo.
  • 45.
    INSUFICIENCIA  VENOSA  SUPERFICIAL Debilidad inherente dela pared venosa Disfunción   valvular Elevación  del   volumen  y   distensión  de   las   perforantes   (insuficientes) Afectación  del   Sist.  Profundo
  • 46.
    INSUFICIENCIA  VENOSA  PROFUNDA TVP Daño  directo   del  mecanismo   valvular Cicatrización   de  las  hojas   de  las   válvulas Debilidad  del   mecanismo  valvular     conlleva  al  fallo  de   la  unión  de  las  hojas   bicúspidas. Aumento  de   la  presión  y   del  volumen   sanguíneo. Conlleva: Incompetencia de las venas perforantes, distención de las venas superficiales, varices.
  • 48.
    Cierre  valvular: <  0.5  seg Femorales  y   poplítea:  1.5  seg  o   más. Reflujo: ü VP:  durante  toda   la  Valsalva  . ü VD:  2-­‐3  seg  tras  el   cese  de  la   compresión.
  • 49.
    EN  ESCALA  DE  GRISES  ENCONTRAREMOS: vFlujo  lento  anterógrado  y  retógrado. vDilatación  venosa  (superficial,  profundo,  perforantes). vVasos  superficiales  tortuosos. vEdema. vVasos  colaterales. vVálvulas  fijas,  inmóviles. vParedes  engrosadas. vNo  se  detecta  flujo  espontáneo.
  • 50.
    ONDA  DOPPLER vAnálisis  espectral  a  la  compresión  proximal,  señal  retrógrada  y   anterógrada. vEn  zonas  de  flujo  lento,  sin  maniobras,  señal  en  vaiven. vMedición  del  reflujo. vAlgunos  autores  consideran  que  velocidades  mayores  a  13  cm/seg   corresponden  a  reflujo  severo  con  repercusión  clínica.  
  • 51.
    PROTOCOLO  DE  ESTUDIO üLONGITUDINALES: ØUnion  safeno-­‐femoral ØVFS  justo  por  debajo  de  la   bifurcación   ØVFP  por  debajo  de  la  bifurcación   ØV  Pop ØVTP ØVenas  safenas  mayor  y  menor   üTRANSVERSALES: ØColocar  el  transductor  entre  la  safena   mayor  y  la  tibial  posterior  justo  por   encima  del  maléolo  interno. ØIr  ascendiendo  por  la  pantorrilla   hasta  la  rodilla  para  identificar   perforantes  incompetentes  o  varices.
  • 52.
    PROTOCOLO  DE  EXPLORACIÓN vLa  exploración comienza en la arcada inguinal, corte transversal a la altura de la  unión safeno-­‐femoral (signo de Mickey Mouse). Se  evalúa el reflujo mediante maniobras de Valsalva con Doppler color y espectral de la VFC, VSM vA nivel de la USF se debe informar si existen afluentes al cayado, su   diámetro, si son o no tortuosas y si son o no insuficientes vMedir el   diámetro de la vena safena magna en el ostium. Ostium safeno entre 6 y 8 mm, el cayado entre 5 y 6 mm, infrapatelar 3 mm.
  • 53.
    vSe  evalúa elreflujo en la vena femoral y la vena safena magna en el tercio superior, medio e inferior del muslo. vSi las venas safenas son insuficientes se debe definir  dónde comienza y termina el trayecto insuficiente. vInformar si generan una o   más epifasciales dilatadas (venas varicosas), en   qué   localización y   dónde se encuentra el punto de reentrada al sistema venoso profundo, consignando   también las perforantes. vLa  Safena  menor  mide  entre  1  y  3  mm. vPerforantes  menor  de  3  mm.
  • 54.
    Doppler de miembrosinferiores en la insuficiencia venosa 5 VSM VFC Figura 8 Corte longitudinal a nivel del ostium, donde se debe hacer la medición del diámetro de la VSM. - Se debe mencionar y evaluar la existencia de venas vari- cosas que no tengan relación con las safenas, así como también hay que establecer cuál es su procedencia (por ejemplo: vena pélvica), ya que la ligadura de las safenas puede no ser necesaria16 . En síntesis, el objetivo del examen es determinar el punto de fuga, la presencia de venas epifasciales insuficientes y el punto de reentrada, indicando la existencia de perforantes insuficientes y su localización. Parámetros a evaluar en el paciente safenectomizado con tratamiento de termo obliteración 1) Buscar si se evidencian tramos de safena e informar dónde comienzan y terminan. 2) Es importante tener en cuenta que en la etapa posquirúr- gica inmediata se pueden ver imágenes hiperecogénicas en la luz de la vena, habitualmente secundarias al tra- tamiento de termo obliteración con láser. Esto no debe ser confundido con trombosis y tiene que ser informado como safena termo-obliterada. ARTICLE+Model RARD-60; No. of Pages 8 6 Vena perforante Vena perforante insuficiente HD P T R 12,03,0 P T R 12,03,0 Figura 10 Vena perforante mayor de 3 mm con reflujo en el
  • 55.
    reverso ante lasmaniobras de Valsalva en la unión safena- femoral (viraje de color rojo, en descanso a color azul, en Valsalva). +0,86 m/s –0,864 s m/s –0,11 +0,11 Vena femoral VSM Figura 5 Imagen que demuestra el cierre valvular correcto sin reflujo en la VSM con el Doppler color y espectral. Figura 7 Insuficiencia de la VSM en el tercio medio del m ante las maniobras de Valsalva. - Para examinar el eje de la VSP, con el paciente de e das al operador, se realizan cortes transversales en la posterior de la pantorrilla (de caudal a cefálico), vis zando la vena safena parva y calculando el reflujo e distintos niveles. Debe consignarse si es o no tortuo a qué altura desemboca en la vena poplítea (si es lo hace)15 , midiendo la distancia desde la planta del A su vez, hay que evaluar la presencia o no de la safena parva del muslo y, en caso de que esté prese definir si esta es suficiente o insuficiente. - A nivel del hueco poplíteo se busca la existencia de re en la vena poplítea. - Si se descubre insuficiencia de la VSP, también debe indicar si el ostium está involucrado o si el reflujo se i más caudalmente, si hay presencia de venas epifasc dilatadas y los puntos de reentrada del flujo. - Es necesario explorar las venas tibiales posteriores, a riores y peroneas. ARTICLE IN PRESSRARD-60; No. of Pages 8 4 H. Berardi, A. Ciccioli VSM Izquierda + ,07 – ,07 m/s +55,90 –54,98 cm/s 2 1 0 Vena femoral VSM 5,3s Figura 3 Doppler espectral con corte transversal evidencia una VSM suficiente ante las maniobras de Valsalva. HD 20 10 0 10 20 T R 12,03,0 P VSM HD Figura 6 Corte transversal de la VSM que muestra un aumento de las velocidades anterógradas (por encima de la línea de base), ante las maniobras de Valsalva.
  • 57.
    INCOMPETENCIA  VENOSA vVenas incompetentesmuestran cambios de color, flujo retro y anterógrado con o sin maniobras compresivas. vDefectos de repleción debido a restos de trombos y depósitos de fibrina
  • 59.
    Las venas sonmás numerosas que las arterias, pues en muchas regiones, como en los miembros, cada arteria va acompañada de dos venas; solamente los gruesos troncos arteriales poseen un solo tronco venoso acompañante. Además, existen debajo de los tegumentos intrines las redes venosas que constituyen el sistema venoso superficial, el cual se anastomosa ampliamente con el sistema venoso profundo.
  • 60.
    BIBLIOGRAFÍA 1. Aplicaciones  clínicas  de  la  ecografía  Doppler.  Kenneth  Taylor,  segunda  edición.   2004 2. Doppler,  cuello  y  extremidades.  Joseph  Polak.  2007. 3. Examen  Doppler  de  la  insuficiencia  venosa  de  miembros  inferiores:  consenso   entre  especialistas.  H.  Berardi y  A.  Ciccioli.  Hospital  Interzonal General  de   Agudos  Dr.  José  Penna,  Bahía Blanca,  Argentina.  Marzo  2014. 4. Doppler  color.  Carol  Krebs.   5. Ultrasonido  doppler de  extremidades  inferiores  para  el  estudio  de  la   insuficiencia  venosa.  Dra.  Paola  Paolinelli G.  Clínica Las  Condes.  Chile.  2009. 6. Ecograga Doppler  color  venoso  de  miembros  inferiores.  Eco-­‐Doppler  color,   duplex scan color  y  triplex.  Dr.  Oscar  Giraldo  Neira  MD.  Universidad  Pedagógica y  Tecnológicade  Colombia.  2013.