Incrustar presentación
Descargar como PDF, PPTX
















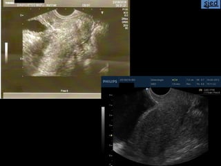
La ecografía ginecológica transrrectal es una ecografía endocavitaria que usa la vía transrrectal en lugar de la transvaginal. Se indica principalmente para pacientes vírgenes con ecografías ginecológicas no concluyentes, pacientes con vaginismo severo o hipotrofia marcada del introito y vagina. La técnica es similar a la ecografía transvaginal pero sin el tope vaginal, y permite imágenes casi idénticas.














