Ecografía 
Ginecológica 
y Obstétrica 
Dr. Martín Valdez
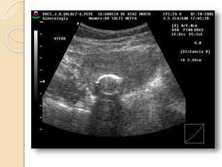
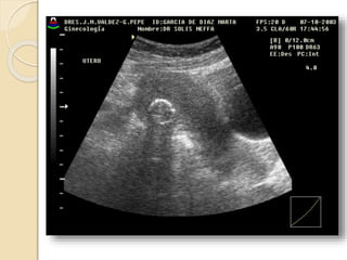
Útero
Posición: 
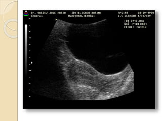
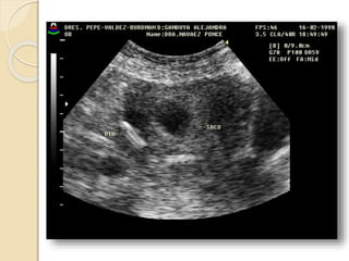
En la ecografía transabdominal el útero 
se encuentra entre la vejiga distendida 
por delante y el recto por detrás. 
El cérvix generalmente se ubica en la 
línea media, pero el fondo del útero 
comúnmente se sitúa en forma oblicua a 
la derecha o izquierda de la línea media.
Tamaño: 
Útero prepúber: 3 cm. 1 cm. 1 cm 
En esta fase el cuerpo y el cuello 
uterino tienen una longitud similar 
dando un índice cuerpo-cuello de 1-1 
o 1-2 a favor del cérvix
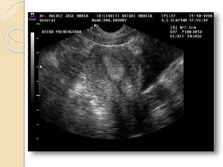
Tamaño: 
Útero púber: 7cm. 5cm. 4cm 
Dependiendo de la multiparidad la 
cual aumenta aproximadamente 1 a 2 
cm en todas las direcciones
Tamaño: 
Útero posmenopáusico: Se produce la 
atrofia del mismo con disminución de 
1 a 2 cm de espesor y 3 a 7 cm de 
longitud
•Forma: 
Prepúber: tubular a predominio del 
cérvix. (1:1 o 1:2)
Pospúber: piriforme y se invierte a 
relación. (2:1)
Posmenopáusica: atrofia y leve 
inversión de la relación nuevamente.
Versión y flexión: 
Con vejiga vacía: normalmente el útero esta 
antevertido de modo que el fondo se ubica casi 
directamente anterior o incluso anteroinferior al 
cérvix. 
Con vejiga distendida: el útero esta en grados 
diversos de leve anteversión. 
Retroposición uterina: Si todo el útero se inclina 
hacia atrás desde un punto de apoyo del cérvix, es 
retrovertido. 
Si solamente el cuerpo y el fondo están flexionados 
posteriormente, es retroflexión.
Malformaciones Uterinas 
Tipo I: Agenesia o hipoplasia del útero y cérvix. 
Tipo II: Útero unicorne: Presenta 4 categorías. 
Tipo III: Útero didelfo o bicorne bicolis. Existen 
dos úteros con dos cuellos totalmente separados. 
Grado máximo de alteración en la fusión de los 2 
conductos de Muller. 
Tipo IV: Útero bicorne: Bicorne unicollis 
completo, bicorne unicollis parcial y el grado mínimo 
del bicorne que es el útero arcuato. 
Tipo V: Útero septo: puede ser completo o 
parcial (subsepto).
Estudio del Endometrio a lo 
largo del ciclo menstrual. 
El endometrio debe ser estudiado en toda 
mujer que presente o no actividad 
hormonal y especialmente en las mujeres 
que consultan por problemas de fertilidad.
FASE MENSTRUAL 
Hiperecogénico. Zonas anecoicas. Refuerzo 
posterior. 
FASE FOLICULAR 
Triple línea. Halo hipoecogénico. Espesor 8- 
12mm. 
FASE LUTEA 
Trazos de línea media. 
Hiperecogenicidad uniforme.
Patología Uterina 
FIBROMA O LEIOMIOMA UTERINO 
Patología común del útero que ocurre aproximadamente 
en el 40% de las mujeres mayores de 35 años. 
Los fibromas habitualmente son múltiples y más 
comúnmente asintomáticos. 
Se clasifican en: 
• Submucosos: son los menos frecuentes pero es mas 
probable que produzcan síntomas. 
• Intramurales: Es el tipo mas común. 
• Subserosos: Con frecuencia son pediculados y 
pueden simular masas anexiales.
POLIPO ENDOMETRIAL 
Se forman por una proliferación 
anómala focal o multifocal de la capa 
basal del endometrio y del estroma. 
Son mas sensibles al estímulo 
estrogénico y por esto es frecuente que 
coexistan con una hiperplasia 
endometrial.
POLIPO ENDOMETRIAL 
Pueden ser sésiles o pediculados, únicos o múltiples y de 
tamaño variable. 
Suelen ser hiperecogénicos y en su espesor pueden 
apreciarse pequeñas imágenes econegativas quísticas de 
diferente tamaño. 
Con la ayuda del Doppler color podemos identificar el 
pedículo vascular. 
La histerosonografía diagnóstica con nitidez la existencia 
de pólipos endometriales. Incluidos los de dimensiones 
reducidas, su numero, localización, su inserción y las 
características del endometrio adyacente.
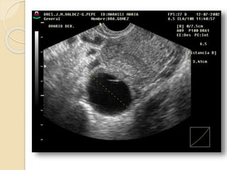
Ovarios
Los ovarios son órganos elipsoides 
localizados en la fosita ovárica 
situada en la pared pélvica externa. 
Limitan con la fosa ovárica el 
uréter y la arteria ilíaca interna 
por detrás y la vena iliaca externa 
por arriba.
El ecodoppler se agrega a la ecografía 
para detectar vascularización arterial y 
venosa, cuantificación de la misma y 
dirección. 
Para la mayoría de los autores el 
ecodoppler T.V. muestra buenos 
resultados en la diferenciación de las 
tumoraciones.
Quistes Funcionales 
Quistes foliculares: 
Resultan de una falla en la involución. 
El folículo se distiende y mide mas de 
30mm de diámetro. No dan síntoma a 
menos que adquieran mucho tamaño y 
sufran ruptura, torsión o hemorragia
Cuerpo lúteo quístico: 
Esta dado por una hemorragia exagerada 
en un folículo que ovuló y esta en etapa de 
regresión. 
Frecuentemente son asintomáticos. 
Ambos quistes funcionales se resuelven en 
dos o tres ciclos.
Quistes Funcionales 
•Quistes Serosos: 
Son quistes que se originan por la 
inclusión de epitelio de la corteza 
del ovario en sucesivas ovulaciones. 
No son funcionales y son mas 
frecuentes en mujeres 
menopáusicas.
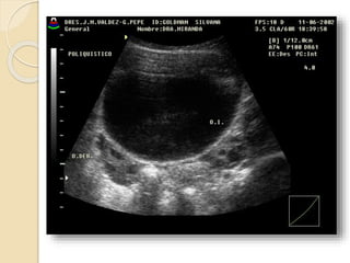
Poliquistosis Ovárica: 
Se describe este síndrome como cambios 
escleroquísticos en el ovario, mas 
amenorrea, infertilidad e hirsutismo. 
Ecográficamente vamos a ver 
agrandamiento de ambos ovarios con 
quistes subcorticales de menos de 1cm., 
mas incremento de las dimensiones del 
estroma y fibrosis subcapsular.
Quistes Endometrósicos: 
Clínicamente se manifiesta por dismenorrea, 
dispareunia e infertilidad. 
La lesion mas detectable por la imágenes esta 
constituida por los quistes endometrosicós 
(endometriomas) que se forman a partir de los 
implantes ováricos configurando los quistes 
“achocolatados”. 
Se observan quistes de paredes relativamente 
gruesas e irregulares con débiles ecos en su 
interior debido al contenido hemático.
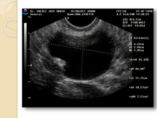
Masas Ováricas Neoplásicas 
Masa ovárica sospechosa 
de malignidad: 
1. Masa liquida sólida-liquida 
2. Pared gruesa 
3. Pared irregular 
4. Septo grueso 
5. Proyecciones papilares 
6. Masa sólida
La presunción de un proceso 
maligno esta dada por la 
invasión de órganos vecinos, 
adenomegalias pélvicas o 
retroperitoneales, ascitis, 
metástasis, uronefrosis, etc.
Es importante mencionar que 
para los tumores limitados al 
ovario la curación excede el 
85%, los tumores con extensión 
al abdomen o fuera del mismo 
tiene una sobrevida a 5 años 
menor al 15%.
Teratomas 
Los teratomas quísticos o tumores 
dermoides contienen elementos de las tres 
capas embrionarias y por lo tanto están 
formado por distintos tejidos: hueso, 
cartílago, pelo, sebo, tejido nervioso, etc.
Ecografia tocoginecologica
Ecografia tocoginecologica
Ecografia tocoginecologica
Ecografia tocoginecologica

Ecografia tocoginecologica

  • 1.
    Ecografía Ginecológica yObstétrica Dr. Martín Valdez
  • 2.
  • 3.
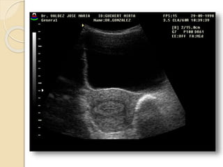
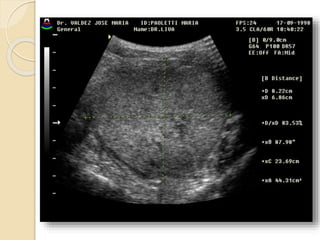
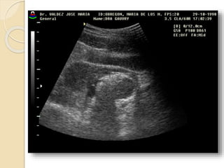
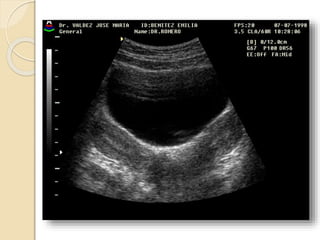
    Posición: En laecografía transabdominal el útero se encuentra entre la vejiga distendida por delante y el recto por detrás. El cérvix generalmente se ubica en la línea media, pero el fondo del útero comúnmente se sitúa en forma oblicua a la derecha o izquierda de la línea media.
  • 8.
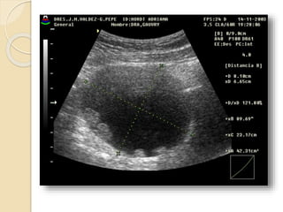
    Tamaño: Útero prepúber:3 cm. 1 cm. 1 cm En esta fase el cuerpo y el cuello uterino tienen una longitud similar dando un índice cuerpo-cuello de 1-1 o 1-2 a favor del cérvix
  • 10.
    Tamaño: Útero púber:7cm. 5cm. 4cm Dependiendo de la multiparidad la cual aumenta aproximadamente 1 a 2 cm en todas las direcciones
  • 12.
    Tamaño: Útero posmenopáusico:Se produce la atrofia del mismo con disminución de 1 a 2 cm de espesor y 3 a 7 cm de longitud
  • 14.
    •Forma: Prepúber: tubulara predominio del cérvix. (1:1 o 1:2)
  • 15.
    Pospúber: piriforme yse invierte a relación. (2:1)
  • 16.
    Posmenopáusica: atrofia yleve inversión de la relación nuevamente.
  • 17.
    Versión y flexión: Con vejiga vacía: normalmente el útero esta antevertido de modo que el fondo se ubica casi directamente anterior o incluso anteroinferior al cérvix. Con vejiga distendida: el útero esta en grados diversos de leve anteversión. Retroposición uterina: Si todo el útero se inclina hacia atrás desde un punto de apoyo del cérvix, es retrovertido. Si solamente el cuerpo y el fondo están flexionados posteriormente, es retroflexión.
  • 20.
    Malformaciones Uterinas TipoI: Agenesia o hipoplasia del útero y cérvix. Tipo II: Útero unicorne: Presenta 4 categorías. Tipo III: Útero didelfo o bicorne bicolis. Existen dos úteros con dos cuellos totalmente separados. Grado máximo de alteración en la fusión de los 2 conductos de Muller. Tipo IV: Útero bicorne: Bicorne unicollis completo, bicorne unicollis parcial y el grado mínimo del bicorne que es el útero arcuato. Tipo V: Útero septo: puede ser completo o parcial (subsepto).
  • 23.
    Estudio del Endometrioa lo largo del ciclo menstrual. El endometrio debe ser estudiado en toda mujer que presente o no actividad hormonal y especialmente en las mujeres que consultan por problemas de fertilidad.
  • 24.
    FASE MENSTRUAL Hiperecogénico.Zonas anecoicas. Refuerzo posterior. FASE FOLICULAR Triple línea. Halo hipoecogénico. Espesor 8- 12mm. FASE LUTEA Trazos de línea media. Hiperecogenicidad uniforme.
  • 29.
    Patología Uterina FIBROMAO LEIOMIOMA UTERINO Patología común del útero que ocurre aproximadamente en el 40% de las mujeres mayores de 35 años. Los fibromas habitualmente son múltiples y más comúnmente asintomáticos. Se clasifican en: • Submucosos: son los menos frecuentes pero es mas probable que produzcan síntomas. • Intramurales: Es el tipo mas común. • Subserosos: Con frecuencia son pediculados y pueden simular masas anexiales.
  • 40.
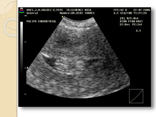
    POLIPO ENDOMETRIAL Seforman por una proliferación anómala focal o multifocal de la capa basal del endometrio y del estroma. Son mas sensibles al estímulo estrogénico y por esto es frecuente que coexistan con una hiperplasia endometrial.
  • 41.
    POLIPO ENDOMETRIAL Puedenser sésiles o pediculados, únicos o múltiples y de tamaño variable. Suelen ser hiperecogénicos y en su espesor pueden apreciarse pequeñas imágenes econegativas quísticas de diferente tamaño. Con la ayuda del Doppler color podemos identificar el pedículo vascular. La histerosonografía diagnóstica con nitidez la existencia de pólipos endometriales. Incluidos los de dimensiones reducidas, su numero, localización, su inserción y las características del endometrio adyacente.
  • 51.
  • 52.
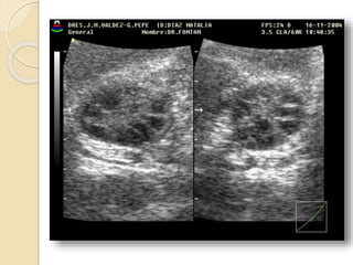
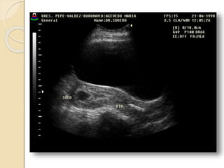
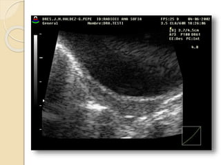
    Los ovarios sonórganos elipsoides localizados en la fosita ovárica situada en la pared pélvica externa. Limitan con la fosa ovárica el uréter y la arteria ilíaca interna por detrás y la vena iliaca externa por arriba.
  • 53.
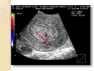
    El ecodoppler seagrega a la ecografía para detectar vascularización arterial y venosa, cuantificación de la misma y dirección. Para la mayoría de los autores el ecodoppler T.V. muestra buenos resultados en la diferenciación de las tumoraciones.
  • 54.
    Quistes Funcionales Quistesfoliculares: Resultan de una falla en la involución. El folículo se distiende y mide mas de 30mm de diámetro. No dan síntoma a menos que adquieran mucho tamaño y sufran ruptura, torsión o hemorragia
  • 56.
    Cuerpo lúteo quístico: Esta dado por una hemorragia exagerada en un folículo que ovuló y esta en etapa de regresión. Frecuentemente son asintomáticos. Ambos quistes funcionales se resuelven en dos o tres ciclos.
  • 58.
    Quistes Funcionales •QuistesSerosos: Son quistes que se originan por la inclusión de epitelio de la corteza del ovario en sucesivas ovulaciones. No son funcionales y son mas frecuentes en mujeres menopáusicas.
  • 60.
    Poliquistosis Ovárica: Sedescribe este síndrome como cambios escleroquísticos en el ovario, mas amenorrea, infertilidad e hirsutismo. Ecográficamente vamos a ver agrandamiento de ambos ovarios con quistes subcorticales de menos de 1cm., mas incremento de las dimensiones del estroma y fibrosis subcapsular.
  • 63.
    Quistes Endometrósicos: Clínicamentese manifiesta por dismenorrea, dispareunia e infertilidad. La lesion mas detectable por la imágenes esta constituida por los quistes endometrosicós (endometriomas) que se forman a partir de los implantes ováricos configurando los quistes “achocolatados”. Se observan quistes de paredes relativamente gruesas e irregulares con débiles ecos en su interior debido al contenido hemático.
  • 65.
    Masas Ováricas Neoplásicas Masa ovárica sospechosa de malignidad: 1. Masa liquida sólida-liquida 2. Pared gruesa 3. Pared irregular 4. Septo grueso 5. Proyecciones papilares 6. Masa sólida
  • 68.
    La presunción deun proceso maligno esta dada por la invasión de órganos vecinos, adenomegalias pélvicas o retroperitoneales, ascitis, metástasis, uronefrosis, etc.
  • 72.
    Es importante mencionarque para los tumores limitados al ovario la curación excede el 85%, los tumores con extensión al abdomen o fuera del mismo tiene una sobrevida a 5 años menor al 15%.
  • 76.
    Teratomas Los teratomasquísticos o tumores dermoides contienen elementos de las tres capas embrionarias y por lo tanto están formado por distintos tejidos: hueso, cartílago, pelo, sebo, tejido nervioso, etc.