Luis Lucero 
RIII
 Describir los aspectos ultrasonográficos de la 
placenta. 
 Definir placenta previa. 
 Definir desprendimiento de placenta. 
 Describir los hallazgos ultrasonográficos que 
acompañan a las patologías placentarias. 
 Describir los aspectos ultrasonográficos del 
cordón umbilical. 
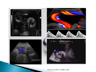
Placenta y cordón. LUCERO. Cafici.
PLACENTA 
Placenta y cordón. LUCERO. Cafici.
 Órgano de transferencia de gases y nutrientes 
entre la madre y el feto. 
 Producción de: 
◦ Hormonas 
◦ Prostaglandinas 
 Funciones 
◦ Respiratoria 
◦ Nutrición 
◦ Excreción 
◦ Órgano endocrino 
◦ Regulación metabólica 
Placenta y cordón. LUCERO. Cafici.
 Inicia con la implantación del blastocito 
◦ Primer semana  difusión simple 
◦ Segunda semana (día 9)  Sincitotrofoblasto se 
forman vacuólas 
 Lagunas trofoblásticas 
Placenta y cordón. LUCERO. Cafici.
 Membrana fetal en contacto con el 
endometrio y que recubre el saco coriónico 
◦ Sincitiotrofoblasto 
◦ Citotrofoblasto 
◦ Mesodermo extraembrionario 
Placenta y cordón. LUCERO. Cafici.
 Corión liso 
◦ Vellosidades terciarias en relación con decidua 
capsular, se comprimen y reduce su riego, luego 
degeneran formando un área desnuda avascular. 
 Corión frondoso 
◦ Vellosidades que están en relación con la decidua 
basal, aumentan su número, se ramifican y crecen. 
◦ Constituye finalmente la porción fetal de la 
placenta. 
Placenta y cordón. LUCERO. Cafici.
 Invasión trofoblástica 
 Oleadas trofoblásticas 
Placenta y cordón. LUCERO. Cafici.
 Invasión trofoblástica 
◦ Vellosidades primarias (día 11-13) 
 Proliferaciones del citotrofoblasto cubiertas por 
sincitotrofoblasto 
◦ Secundarias (día 16) 
 Introducción del mesodermo en estas proliferaciones 
◦ Terciarias 
 Vellosidades con vasos sanguíneos 
Placenta y cordón. LUCERO. Cafici.
 Invasión de las arterias espirales por el 
trofoblasto fetal 
 Vasos sanguíneos modifican su capa muscular y 
se dilatan y su flujo sanguíneo aumenta 
 Dos tiempos 
◦ 6-12 semanas 
◦ 14-20 semanas 
 Una alteración provoca vasos y veollosidades de 
mayor resistencia que transportan menor 
cantidad de sangre 
Placenta y cordón. LUCERO. Cafici.
Placenta y cordón. LUCERO. Cafici.
 Ecográficamente se observa un anillo 
hiperecogénico alrededor del saco 
gestacional. 
Placenta y cordón. LUCERO. Cafici.
 Reconocida por ultrasonido a las: 
◦ 9 o 10 semana 
◦ Engrosamiento del halo hiperecogénico que rodea 
el saco gestacional. 
 Flujo intervelloso a partir de: 
◦ 13 semanas 
◦ Doppler color 
Placenta y cordón. LUCERO. Cafici.
 Placa corial 
 Sustancia placentaria 
 Placa basal 
◦ Complejo retroplacentario 
 Decidua 
 Miometrio 
 Vasos uterinos 
Placenta y cordón. LUCERO. Cafici.
 Proliferación selectiva de las vellosidades 
trofoblásticas de la placenta en regiones con 
mejor aporte de sangre endometrial, y atrofia 
simultánea en zonas de menor 
vascularización. 
Placenta y cordón. LUCERO. Cafici.
 Permite 
◦ Placenta cambie su posición y remodele su forma 
dentro del útero 
◦ Explicar 
 Resolución de una placenta previa 
 Placenta bilobulada y/o succenturiada 
 Inserción marginal y velamentosa del cordón 
 Vasa previa 
 Procidencia del cordón 
Placenta y cordón. LUCERO. Cafici.
 Grado 0 
 Grado I 
 Grado II 
 Grado III 
Placenta y cordón. LUCERO. Cafici.
Placenta y cordón. LUCERO. Cafici.
Placenta y cordón. LUCERO. Cafici.
 Grado I 
◦ 30-31 s 
◦ A Término en la mitad de los embarazos 
 Grado II 
◦ 35-37s  45% 
 Grado III 
◦ 15% 
Placenta y cordón. LUCERO. Cafici.
 Aceleración de maduración placentaria 
◦ GIII <33s 
 RCIU 
 Fumadoras 
 Demora de la maduración placentaria 
◦ Grado 0 >33s 
 DM gestacional 
 RH negativas sensibilizadas 
Placenta y cordón. LUCERO. Cafici.
 Relacionar la posición de la placenta con la 
anatomía uterina 
◦ Anterior 
◦ Posterior 
◦ Fondo 
◦ Lateral 
 Derecha 
 izquierda 
Placenta y cordón. LUCERO. Cafici.
Placenta y cordón. LUCERO. Cafici.
 Definición 
◦ Placenta que se sitúa en algún lugar entre el 
segmento inferior del útero hasta más allá del OCI. 
◦ Placenta que se sitúa por delante de la presentación 
fetal. 
 Estándar de oro 
Placenta y cordón. LUCERO. Cafici.
 Placenta previa oclusiva total 
◦ OCI cubierto por placenta 
 Placenta previa oclusiva parcial 
◦ OCI parcialmente cubierto 
 Placenta previa marginal 
◦ Borde placentario se encuentra en el margen del OCI 
 Placenta de inserción baja 
◦ Placenta se inserta en el segmento inferior uterino, no 
alcanza OCI 
Placenta y cordón. LUCERO. Cafici.
 Placenta previa 
◦ Polo inferior se sitúa en algún sitio desde 20 mm 
por encima del OCI, alcanzando o superando el 
mismo 
 Incompleta: polo inferior cercano al OCI 
 Completa: cubre completamente al OCI 
 Inserción baja 
◦ Polo inferior se sitúa a menos de 20 mm del OCI 
pero sin alcanzarlo 
Placenta y cordón. LUCERO. Cafici.
Placenta y cordón. LUCERO. Cafici.
 Prevalencia 
◦ 1.5-6 x 1000 nacimientos 
 Porcentaje de placentas previas 
diagnosticadas en el segundo trimestre que 
permanecerán al término: 
◦ 1-5% 
 Causas 
◦ Migración placentaria 
◦ Factores técnicos y errores de apreciación 
Placenta y cordón. LUCERO. Cafici.
 Migración real o remodelación por el 
tropotrofismo 
 Desplazamiento placentario que acompaña al 
crecimiento del segmento inferior 
◦ Placenta crece mas lentamente que el útero 
◦ Mayor desarrollo del segmento inferior con relación 
al fondo 
Placenta y cordón. LUCERO. Cafici.
 Excesivo relleno vesical 
 Contracciones uterinas 
 Corte parasagital 
 Hematomas 
 Cotiledón accesorio 
Placenta y cordón. LUCERO. Cafici.
USG 
Semana 20 
PIP >10 mm del 
OCI 
Descartar 
placenta previa al 
término 
PIP <10 o supera 
OCI hasta 25 mm 
Repetir a las 35 
semanas 
PIP supera OCI 
>25 mm 
Confirma 
placenta previa al 
término 
Placenta y cordón. LUCERO. Cafici.
 PIP >20 mm del OCI excluye posibilidad de 
placenta previa 
 Si placenta cubre el OCI >20 mm posibilidad 
de placenta previa al término elevada 
 Cuando se realice USG abdominal y se 
identifica placenta previa, se debe confirmar 
con endovaginal. 
Placenta y cordón. LUCERO. Cafici.
 Clínica 
◦ Hemorragia escasa de sangre oscura 
◦ Dolor abdominal 
◦ Hipercontractilidad 
 Factores predisponentes 
◦ Edad materna avanzada 
◦ Multiparidad 
◦ Hipertensión arterial 
◦ Consumo de drogas 
 Cocaína, tabaco 
◦ Sobredistensión uterina 
 Polihidramnios, gemelar 
◦ Déficit de ácido fólico 
 Riesgo 
◦ 9 veces mas de muerte fetal intraútero 
Placenta y cordón. LUCERO. Cafici.
 Identificación de un hematoma 
retroplacentario 
 Sangrado agudo 
◦ Hiperecogénico, se torna isoecoico entre los tres y 
siete días, y luego hipoecoico. 
 Sangrado antiguo 
◦ Posteriormente se vuelven anecoicos y pueden 
disminuir de tamaño. 
◦ Área retroplacentaria no >2 cms 
Placenta y cordón. LUCERO. Cafici.
 Diferencial 
◦ Contracción 
◦ Mioma 
 La ausencia de vascularización al doppler 
color puede ser útil. 
 La utilidad del USG para diagnóstico de 
hematomas no es muy elevada. 
◦ Sensibilidad 25-50% 
Placenta y cordón. LUCERO. Cafici.
 50% de pacientes con clínica de DPPNI no 
tendrán hallazgos ultrasonográficos. 
 Cuando se visualiza un hematoma 
retroplacentario el valor predictivo positivo es 
elevado. 
Placenta y cordón. LUCERO. Cafici.
 Definición 
◦ Vellosidades placentarias que contactan con el 
miometrio sin decidua interpuesta. Adherencia 
anormal entre útero y placenta. } 
 Clasificación 
◦ Acreta (78%) 
◦ Increta (17%) 
◦ Percreta (5%) 
Placenta y cordón. LUCERO. Cafici.
Placenta y cordón. LUCERO. Cafici.
Placenta y cordón. LUCERO. Cafici.
 Deficiencia de la decidua basal que se 
reemplaza por tejido conectivo, con la 
consecuente adherencia de vellosidades al 
miometrio. 
 Factores de riesgo 
◦ Césareas 
◦ Legrados 
◦ Adenomiosis 
◦ Miomas submucosos 
◦ Endometritis 
◦ Miomectomías 
Placenta y cordón. LUCERO. Cafici.
 Prevalencia 
◦ 1:2500 
◦ 5% placenta previa 
◦ 24% placenta previa y CSTP anterior 
◦ 50% placenta previa y 2 CSTP anteriores 
◦ 80% de los casos de acretismo se dan en pacientes 
con placenta previa. 
Placenta y cordón. LUCERO. Cafici.
 Pérdida de zona hipoecoica retroplacentaria 
 Adelgazamiento o separación de la línea ecogénica que 
corresponde a la interfase entre serosas uterina y vesical 
 Extensiones focales de tejido placentario que sobrepasa la 
serosa 
 Presencia de espacios anecoicos que se denominan lagos o 
lagunas dentro de la sustancia placentaria 
 Múltiples lagos sanguíneos con vasos aberrantes y con 
distintos niveles de invasión al miometrio. 
Placenta y cordón. LUCERO. Cafici.
 USG vaginal y doppler color o energía 
1. Presencia de flujo lacunar difuso intraplacentario 
2. Presencia de flujo lacunar focal intraplacentario 
3. Hipervascularización de la interfase serosa uterina-vesical 
4. Presencia de complejos venosos subplacentarios 
prominentes 
5. Pérdida de las señales vasculares subplacentarias 
Placenta y cordón. LUCERO. Cafici.
 Doppler de energía endovaginal 
◦ Método para placenta en cara anterior 
 Resonancia magnética 
◦ Casos en los que la placenta no se visualiza 
correctamente 
 Cara posterior 
Placenta y cordón. LUCERO. Cafici.
Placenta y cordón. LUCERO. Cafici.
 Hematomas subamnióticos 
◦ Rotura de vasos coriónicos cerca de la inserción del 
cordón 
◦ Imagen anecoica situada sobre la placa corial de la 
placenta cubierta por una membrana delgada 
◦ Identificación de una masa adherida a la porción 
basal de la placenta que representa el coágulo. 
Placenta y cordón. LUCERO. Cafici.
 El patrón ultrasonográfico 
◦ Hematoma subcoriónico 
◦ Corioangioma 
◦ Hematoma subamniótico 
 Pueden ser similares 
 Diagnóstico diferencial 
◦ Doppler color 
 Presencia de flujo en la masa y vasos nutrientes en 
corioangioma 
Placenta y cordón. LUCERO. Cafici.
 Hematomas subamnióticos 
◦ Niveles de alfa feto proteína materna elevada 
◦ Metrorragia 
◦ Déficit de crecimiento fetal 
◦ Polihidramnios 
Placenta y cordón. LUCERO. Cafici.
 Separan la placa basal de la placenta del 
miometrio 
 >30% 
◦ Causan hipoxia fetal con riesgo de RCIU y muerte fetal 
◦ Hemorragia de las arterias espirales y tienen como factor 
predisponente 
 HTA 
 Tipo de hematoma que se aprecia en el DPPNI 
Placenta y cordón. LUCERO. Cafici.
 Más frecuentes 
 En el primer trimestre constituyen el 
resultado de un desprendimiento marginal. 
 Deslizamiento de la sangre por debajo de la 
membrana coriónica en lugar de su 
acumulación 
Placenta y cordón. LUCERO. Cafici.
 Hematoma preplacentario 
 Mola de Breus 
 Masa que protuye desde la superficie de la 
placenta elevando la placa corial y separándola 
de las vellosidades coriales 
 Pronóstico variable 
◦ Muerte fetal intraútero 
◦ Parto prematuro 
 Compromiso de importante superficie de 
placenta con un coágulo >1cm de espesor 
Placenta y cordón. LUCERO. Cafici.
 Incidencia 30-40% 
 Áreas anecoicas de tamaño variable 
◦ 5-25 mm 
 Sangre materna coagulada en el espacio 
intervelloso 
 Se asocia a 
◦ Incompatibilidad RH 
◦ Aumento de alfafetoproteína materna 
Placenta y cordón. LUCERO. Cafici.
Placenta y cordón. LUCERO. Cafici.
 Forma de placenta anormal 
 Placa corial es mas pequeña que la placa 
basal. 
 La placenta se extiende mas allá de la placa 
corial. 
Placenta y cordón. LUCERO. Cafici.
 Circunmarginada 
◦ Interfase entre membranas fetales y placenta 
permanecen planas. 
◦ No tiene significado clínico. 
 Circunvalada 
◦ Pliegue en las membranas en el sitio de inserción 
◦ Implicaciones clínicas 
 Hemorragia anteparto, hemorragia intraparto, 
amenazad de aborto, parto prematuro, RCIU, DPPNI, 
anomalías fetales y muerte perinatal. 
Placenta y cordón. LUCERO. Cafici.
Placenta y cordón. LUCERO. Cafici.
 Uno o varios lóbulos accesorios conectados a 
la porción principal de la placenta. 
 Bilobulada 
 Patogenia 
◦ Persistencia anormal de una zona de corion calvo 
que debiera haberse atrofiado 
◦ Zona focal de atrofia en la placenta por el 
tropotrofismo 
Placenta y cordón. LUCERO. Cafici.
 Dos porciones separadas de placenta 
 Diferenciales 
◦ Placenta que cubre dos caras del útero 
◦ Contracción uterina 
 No se asocia con riesgos fetales 
 Importancia (?) 
◦ Rotura de vasos de conexión durante el parto 
◦ Lóbulo accesorio cervical se comporta como placenta 
previa 
Placenta y cordón. LUCERO. Cafici.
Placenta y cordón. LUCERO. Cafici.
 Placenta con localización excéntrica del cordón 
 Inserción marginal 
◦ Cordón en el borde de la placenta 
◦ Placenta en raqueta 
 Inserción velamentosa 
◦ Cordón a cierta distancia del borde placentario 
◦ El cordón se inserta en las membranas 
◦ Los vasos discurren entre el amnios y el corion 
◦ No poseen protección de gelatina de Wharton 
Placenta y cordón. LUCERO. Cafici.
 1% embarazo único, 9% embarazo gemelar 
 Vasa previa 
◦ Vasos de la inserción velamentosa atraviesan las membranas 
fetales en el segmento inferior, por debajo de la presentación y 
sobre el OCI 
 Se asocia 
◦ RCIU 
◦ Parto prematuro 
◦ Anomalías congénitas 
 Arteria umbilical única 
 Atresia esofágica 
 Uropatías obstructivas 
 Espina bífida 
 CIV 
 Trisomía 21 
Placenta y cordón. LUCERO. Cafici.
 Inserción del cordón en borde placentario 
 Inserción en membranas ovulares 
 Inserción en membranas ovulares y presencia 
sobre OCI 
 Utilización de doppler 
Placenta y cordón. LUCERO. Cafici.
Placenta y cordón. LUCERO. Cafici.
 Sección perpendicular con respecto al eje mayor de la placenta, no suele 
medir >4 cms 
 Espesor en mm similar a EG 
 Placenta delgada 
◦ RCIU 
◦ Infección intraútero 
◦ Anomalías cromosómicas 
◦ Diabetes pregestacional 
◦ Polihidramnios 
 Placenta Gruesa 
◦ Diabetes gestacional 
◦ Embarazo molar 
◦ Triploidía 
◦ Anemia 
◦ Hidrops 
◦ Hemorragia placentaria 
Placenta y cordón. LUCERO. Cafici.
 Placenta en queso gruyere 
◦ Triploidías 
◦ Múltiples imágenes anecoicas, redondeadas, de 
paredes bien definidas y contornos regulares. 
◦ Trisomía 18 
Placenta y cordón. LUCERO. Cafici.
 Corioangioma o hemangioma placentario 
◦ Tumor benigno mas frecuente de la placente 
◦ Son hemartromas 
 Malformación del tejido angioblástico 
◦ Angiomatoso o adulto: numerosos vasos 
sanguíneos 
◦ Celular o joven: tejido mesenquimatoso con 
escasos vasos malformados 
Placenta y cordón. LUCERO. Cafici.
 Masa redondeada 
 Bien circunscripta 
 Predominantemente hipoecoica 
 Vecina a la placa corial 
 Cercana a la inserción del cordón 
 Vascularización dentro del tumor 
◦ Diferencial 
 Hematoma subamniótico 
 Trombohematoma subcorial 
 Mola parcial 
 Mioma 
 Teratoma placentario 
Placenta y cordón. LUCERO. Cafici.
 Corioangiomas >5 cms 
◦ Polihidramnios 
 Trasudado a través de la pared de los vasos 
◦ Parto prematuro 
◦ Anemia fetal 
◦ Hidrops no inmune 
◦ ICC 
◦ RCIU 
◦ Placenta previa 
◦ Acretismo 
Placenta y cordón. LUCERO. Cafici.
Cordón umbilical 
Placenta y cordón. LUCERO. Cafici.
 Visualizado 
◦ 8s 
◦ Longitud 
 Similar a LEM 
 Dos arterias 
 Una vena 
 Gelatina de Wharton 
◦ Une y contiene a los vasos del cordón, los protege. 
◦ Compuesta de fibras de colágeno que forman una red de 
cavidades interconectadas, espacios cavernosos y 
perivasculares. 
◦ Alteraciones 
 DM, HTA, RCIU 
Placenta y cordón. LUCERO. Cafici.
 Tamaño 
◦ Diámetro <2 cms 
◦ Disminución del diámetro 
 Preeclampsia 
 Muerte fetal 
 Pequeño para edad gestacional 
◦ Aumento del diámetro 
 Diabetes gestacional 
Placenta y cordón. LUCERO. Cafici.
Placenta y cordón. LUCERO. Cafici.
 Anomalías cromosómicas y síndromes 
genéticos 
◦ Arteria umbilical única 
◦ Cordón umbilical corto 
◦ Ausencia de enrollamiento normal 
Placenta y cordón. LUCERO. Cafici.
 Arteria umbilical única 
◦ 1% 
◦ Malformación congénita mas frecuente 
◦ 4 a 5 veces mayor en gemelos 
◦ Acompaña al gemelo acárdico y la sirenomelia o 
síndrome de regresión caudal 
 Diagnóstico 
◦ Examen de cordón umbilical 
◦ Comprobar la presencia de ambas arterias antes de 
que abandonen el abdomen fetal 
Placenta y cordón. LUCERO. Cafici.
 Se asocia a una mayor incidencia de 
malformaciones congénitas 
◦ Defectos del tubo neural 
◦ Anomalías cardiovasculares 
◦ Atresia esofágica 
◦ Atresia anorrectal 
◦ Riñones poliquísticos 
◦ Defectos de reducción de miembros 
 RCIU 
 No constituye un marcador de anomalías 
cromosómicas 
Placenta y cordón. LUCERO. Cafici.
Placenta y cordón. LUCERO. Cafici.
 Quisticas 
◦ Quistes verdaderos 
 Pared epitelial y se asocian con otras anomalías 
 Onfalocele y persistencia del uraco 
◦ Seudoquistes 
 Masas de aspecto quístico que no derivan de estructuras 
vestigiales 
 Proceso degenrativo 
 Edema focal 
 Asocian 
 Aneuploidías 
 Trisomía 18 
 Riesgo de desarrollo de tromobosis de la vena 
umbilical 
Placenta y cordón. LUCERO. Cafici.
 Tumores del cordón 
◦ Hemangioma 
◦ Teratomas 
 Circulares de cordón 
◦ 25% 
◦ USG: corte sagital o axial 
 Nudos reales 
◦ 0.3-2.1% 
◦ Factores predisponentes 
◦ Imagen en trébol de cuatro hojas 
Placenta y cordón. LUCERO. Cafici.
 Cordón umbilical no enrollado 
◦ 5% 
◦ Asociado a 
 trisomía 21 
 Inserción velamentosa 
 Anomalías cardiovasculares 
 Coartación de la aorta 
 Parto prematuro 
 Muerte fetal 
◦ Cordón estructuralmente menos resistente 
Placenta y cordón. LUCERO. Cafici.
 Placenta 
 Placenta previa 
 DPPNI 
 Hematomas 
 Cordón 
Placenta y cordón. LUCERO. Cafici.
Placenta y cordon
Placenta y cordon

Placenta y cordon

  • 1.
  • 2.
     Describir losaspectos ultrasonográficos de la placenta.  Definir placenta previa.  Definir desprendimiento de placenta.  Describir los hallazgos ultrasonográficos que acompañan a las patologías placentarias.  Describir los aspectos ultrasonográficos del cordón umbilical. Placenta y cordón. LUCERO. Cafici.
  • 3.
    PLACENTA Placenta ycordón. LUCERO. Cafici.
  • 4.
     Órgano detransferencia de gases y nutrientes entre la madre y el feto.  Producción de: ◦ Hormonas ◦ Prostaglandinas  Funciones ◦ Respiratoria ◦ Nutrición ◦ Excreción ◦ Órgano endocrino ◦ Regulación metabólica Placenta y cordón. LUCERO. Cafici.
  • 5.
     Inicia conla implantación del blastocito ◦ Primer semana  difusión simple ◦ Segunda semana (día 9)  Sincitotrofoblasto se forman vacuólas  Lagunas trofoblásticas Placenta y cordón. LUCERO. Cafici.
  • 6.
     Membrana fetalen contacto con el endometrio y que recubre el saco coriónico ◦ Sincitiotrofoblasto ◦ Citotrofoblasto ◦ Mesodermo extraembrionario Placenta y cordón. LUCERO. Cafici.
  • 7.
     Corión liso ◦ Vellosidades terciarias en relación con decidua capsular, se comprimen y reduce su riego, luego degeneran formando un área desnuda avascular.  Corión frondoso ◦ Vellosidades que están en relación con la decidua basal, aumentan su número, se ramifican y crecen. ◦ Constituye finalmente la porción fetal de la placenta. Placenta y cordón. LUCERO. Cafici.
  • 8.
     Invasión trofoblástica  Oleadas trofoblásticas Placenta y cordón. LUCERO. Cafici.
  • 9.
     Invasión trofoblástica ◦ Vellosidades primarias (día 11-13)  Proliferaciones del citotrofoblasto cubiertas por sincitotrofoblasto ◦ Secundarias (día 16)  Introducción del mesodermo en estas proliferaciones ◦ Terciarias  Vellosidades con vasos sanguíneos Placenta y cordón. LUCERO. Cafici.
  • 10.
     Invasión delas arterias espirales por el trofoblasto fetal  Vasos sanguíneos modifican su capa muscular y se dilatan y su flujo sanguíneo aumenta  Dos tiempos ◦ 6-12 semanas ◦ 14-20 semanas  Una alteración provoca vasos y veollosidades de mayor resistencia que transportan menor cantidad de sangre Placenta y cordón. LUCERO. Cafici.
  • 11.
    Placenta y cordón.LUCERO. Cafici.
  • 12.
     Ecográficamente seobserva un anillo hiperecogénico alrededor del saco gestacional. Placenta y cordón. LUCERO. Cafici.
  • 13.
     Reconocida porultrasonido a las: ◦ 9 o 10 semana ◦ Engrosamiento del halo hiperecogénico que rodea el saco gestacional.  Flujo intervelloso a partir de: ◦ 13 semanas ◦ Doppler color Placenta y cordón. LUCERO. Cafici.
  • 14.
     Placa corial  Sustancia placentaria  Placa basal ◦ Complejo retroplacentario  Decidua  Miometrio  Vasos uterinos Placenta y cordón. LUCERO. Cafici.
  • 15.
     Proliferación selectivade las vellosidades trofoblásticas de la placenta en regiones con mejor aporte de sangre endometrial, y atrofia simultánea en zonas de menor vascularización. Placenta y cordón. LUCERO. Cafici.
  • 16.
     Permite ◦Placenta cambie su posición y remodele su forma dentro del útero ◦ Explicar  Resolución de una placenta previa  Placenta bilobulada y/o succenturiada  Inserción marginal y velamentosa del cordón  Vasa previa  Procidencia del cordón Placenta y cordón. LUCERO. Cafici.
  • 17.
     Grado 0  Grado I  Grado II  Grado III Placenta y cordón. LUCERO. Cafici.
  • 18.
    Placenta y cordón.LUCERO. Cafici.
  • 19.
    Placenta y cordón.LUCERO. Cafici.
  • 20.
     Grado I ◦ 30-31 s ◦ A Término en la mitad de los embarazos  Grado II ◦ 35-37s  45%  Grado III ◦ 15% Placenta y cordón. LUCERO. Cafici.
  • 21.
     Aceleración demaduración placentaria ◦ GIII <33s  RCIU  Fumadoras  Demora de la maduración placentaria ◦ Grado 0 >33s  DM gestacional  RH negativas sensibilizadas Placenta y cordón. LUCERO. Cafici.
  • 22.
     Relacionar laposición de la placenta con la anatomía uterina ◦ Anterior ◦ Posterior ◦ Fondo ◦ Lateral  Derecha  izquierda Placenta y cordón. LUCERO. Cafici.
  • 23.
    Placenta y cordón.LUCERO. Cafici.
  • 24.
     Definición ◦Placenta que se sitúa en algún lugar entre el segmento inferior del útero hasta más allá del OCI. ◦ Placenta que se sitúa por delante de la presentación fetal.  Estándar de oro Placenta y cordón. LUCERO. Cafici.
  • 25.
     Placenta previaoclusiva total ◦ OCI cubierto por placenta  Placenta previa oclusiva parcial ◦ OCI parcialmente cubierto  Placenta previa marginal ◦ Borde placentario se encuentra en el margen del OCI  Placenta de inserción baja ◦ Placenta se inserta en el segmento inferior uterino, no alcanza OCI Placenta y cordón. LUCERO. Cafici.
  • 26.
     Placenta previa ◦ Polo inferior se sitúa en algún sitio desde 20 mm por encima del OCI, alcanzando o superando el mismo  Incompleta: polo inferior cercano al OCI  Completa: cubre completamente al OCI  Inserción baja ◦ Polo inferior se sitúa a menos de 20 mm del OCI pero sin alcanzarlo Placenta y cordón. LUCERO. Cafici.
  • 27.
    Placenta y cordón.LUCERO. Cafici.
  • 28.
     Prevalencia ◦1.5-6 x 1000 nacimientos  Porcentaje de placentas previas diagnosticadas en el segundo trimestre que permanecerán al término: ◦ 1-5%  Causas ◦ Migración placentaria ◦ Factores técnicos y errores de apreciación Placenta y cordón. LUCERO. Cafici.
  • 29.
     Migración realo remodelación por el tropotrofismo  Desplazamiento placentario que acompaña al crecimiento del segmento inferior ◦ Placenta crece mas lentamente que el útero ◦ Mayor desarrollo del segmento inferior con relación al fondo Placenta y cordón. LUCERO. Cafici.
  • 30.
     Excesivo rellenovesical  Contracciones uterinas  Corte parasagital  Hematomas  Cotiledón accesorio Placenta y cordón. LUCERO. Cafici.
  • 31.
    USG Semana 20 PIP >10 mm del OCI Descartar placenta previa al término PIP <10 o supera OCI hasta 25 mm Repetir a las 35 semanas PIP supera OCI >25 mm Confirma placenta previa al término Placenta y cordón. LUCERO. Cafici.
  • 32.
     PIP >20mm del OCI excluye posibilidad de placenta previa  Si placenta cubre el OCI >20 mm posibilidad de placenta previa al término elevada  Cuando se realice USG abdominal y se identifica placenta previa, se debe confirmar con endovaginal. Placenta y cordón. LUCERO. Cafici.
  • 33.
     Clínica ◦Hemorragia escasa de sangre oscura ◦ Dolor abdominal ◦ Hipercontractilidad  Factores predisponentes ◦ Edad materna avanzada ◦ Multiparidad ◦ Hipertensión arterial ◦ Consumo de drogas  Cocaína, tabaco ◦ Sobredistensión uterina  Polihidramnios, gemelar ◦ Déficit de ácido fólico  Riesgo ◦ 9 veces mas de muerte fetal intraútero Placenta y cordón. LUCERO. Cafici.
  • 34.
     Identificación deun hematoma retroplacentario  Sangrado agudo ◦ Hiperecogénico, se torna isoecoico entre los tres y siete días, y luego hipoecoico.  Sangrado antiguo ◦ Posteriormente se vuelven anecoicos y pueden disminuir de tamaño. ◦ Área retroplacentaria no >2 cms Placenta y cordón. LUCERO. Cafici.
  • 35.
     Diferencial ◦Contracción ◦ Mioma  La ausencia de vascularización al doppler color puede ser útil.  La utilidad del USG para diagnóstico de hematomas no es muy elevada. ◦ Sensibilidad 25-50% Placenta y cordón. LUCERO. Cafici.
  • 36.
     50% depacientes con clínica de DPPNI no tendrán hallazgos ultrasonográficos.  Cuando se visualiza un hematoma retroplacentario el valor predictivo positivo es elevado. Placenta y cordón. LUCERO. Cafici.
  • 37.
     Definición ◦Vellosidades placentarias que contactan con el miometrio sin decidua interpuesta. Adherencia anormal entre útero y placenta. }  Clasificación ◦ Acreta (78%) ◦ Increta (17%) ◦ Percreta (5%) Placenta y cordón. LUCERO. Cafici.
  • 38.
    Placenta y cordón.LUCERO. Cafici.
  • 39.
    Placenta y cordón.LUCERO. Cafici.
  • 40.
     Deficiencia dela decidua basal que se reemplaza por tejido conectivo, con la consecuente adherencia de vellosidades al miometrio.  Factores de riesgo ◦ Césareas ◦ Legrados ◦ Adenomiosis ◦ Miomas submucosos ◦ Endometritis ◦ Miomectomías Placenta y cordón. LUCERO. Cafici.
  • 41.
     Prevalencia ◦1:2500 ◦ 5% placenta previa ◦ 24% placenta previa y CSTP anterior ◦ 50% placenta previa y 2 CSTP anteriores ◦ 80% de los casos de acretismo se dan en pacientes con placenta previa. Placenta y cordón. LUCERO. Cafici.
  • 42.
     Pérdida dezona hipoecoica retroplacentaria  Adelgazamiento o separación de la línea ecogénica que corresponde a la interfase entre serosas uterina y vesical  Extensiones focales de tejido placentario que sobrepasa la serosa  Presencia de espacios anecoicos que se denominan lagos o lagunas dentro de la sustancia placentaria  Múltiples lagos sanguíneos con vasos aberrantes y con distintos niveles de invasión al miometrio. Placenta y cordón. LUCERO. Cafici.
  • 43.
     USG vaginaly doppler color o energía 1. Presencia de flujo lacunar difuso intraplacentario 2. Presencia de flujo lacunar focal intraplacentario 3. Hipervascularización de la interfase serosa uterina-vesical 4. Presencia de complejos venosos subplacentarios prominentes 5. Pérdida de las señales vasculares subplacentarias Placenta y cordón. LUCERO. Cafici.
  • 44.
     Doppler deenergía endovaginal ◦ Método para placenta en cara anterior  Resonancia magnética ◦ Casos en los que la placenta no se visualiza correctamente  Cara posterior Placenta y cordón. LUCERO. Cafici.
  • 45.
    Placenta y cordón.LUCERO. Cafici.
  • 46.
     Hematomas subamnióticos ◦ Rotura de vasos coriónicos cerca de la inserción del cordón ◦ Imagen anecoica situada sobre la placa corial de la placenta cubierta por una membrana delgada ◦ Identificación de una masa adherida a la porción basal de la placenta que representa el coágulo. Placenta y cordón. LUCERO. Cafici.
  • 47.
     El patrónultrasonográfico ◦ Hematoma subcoriónico ◦ Corioangioma ◦ Hematoma subamniótico  Pueden ser similares  Diagnóstico diferencial ◦ Doppler color  Presencia de flujo en la masa y vasos nutrientes en corioangioma Placenta y cordón. LUCERO. Cafici.
  • 48.
     Hematomas subamnióticos ◦ Niveles de alfa feto proteína materna elevada ◦ Metrorragia ◦ Déficit de crecimiento fetal ◦ Polihidramnios Placenta y cordón. LUCERO. Cafici.
  • 49.
     Separan laplaca basal de la placenta del miometrio  >30% ◦ Causan hipoxia fetal con riesgo de RCIU y muerte fetal ◦ Hemorragia de las arterias espirales y tienen como factor predisponente  HTA  Tipo de hematoma que se aprecia en el DPPNI Placenta y cordón. LUCERO. Cafici.
  • 50.
     Más frecuentes  En el primer trimestre constituyen el resultado de un desprendimiento marginal.  Deslizamiento de la sangre por debajo de la membrana coriónica en lugar de su acumulación Placenta y cordón. LUCERO. Cafici.
  • 51.
     Hematoma preplacentario  Mola de Breus  Masa que protuye desde la superficie de la placenta elevando la placa corial y separándola de las vellosidades coriales  Pronóstico variable ◦ Muerte fetal intraútero ◦ Parto prematuro  Compromiso de importante superficie de placenta con un coágulo >1cm de espesor Placenta y cordón. LUCERO. Cafici.
  • 52.
     Incidencia 30-40%  Áreas anecoicas de tamaño variable ◦ 5-25 mm  Sangre materna coagulada en el espacio intervelloso  Se asocia a ◦ Incompatibilidad RH ◦ Aumento de alfafetoproteína materna Placenta y cordón. LUCERO. Cafici.
  • 53.
    Placenta y cordón.LUCERO. Cafici.
  • 54.
     Forma deplacenta anormal  Placa corial es mas pequeña que la placa basal.  La placenta se extiende mas allá de la placa corial. Placenta y cordón. LUCERO. Cafici.
  • 55.
     Circunmarginada ◦Interfase entre membranas fetales y placenta permanecen planas. ◦ No tiene significado clínico.  Circunvalada ◦ Pliegue en las membranas en el sitio de inserción ◦ Implicaciones clínicas  Hemorragia anteparto, hemorragia intraparto, amenazad de aborto, parto prematuro, RCIU, DPPNI, anomalías fetales y muerte perinatal. Placenta y cordón. LUCERO. Cafici.
  • 56.
    Placenta y cordón.LUCERO. Cafici.
  • 57.
     Uno ovarios lóbulos accesorios conectados a la porción principal de la placenta.  Bilobulada  Patogenia ◦ Persistencia anormal de una zona de corion calvo que debiera haberse atrofiado ◦ Zona focal de atrofia en la placenta por el tropotrofismo Placenta y cordón. LUCERO. Cafici.
  • 58.
     Dos porcionesseparadas de placenta  Diferenciales ◦ Placenta que cubre dos caras del útero ◦ Contracción uterina  No se asocia con riesgos fetales  Importancia (?) ◦ Rotura de vasos de conexión durante el parto ◦ Lóbulo accesorio cervical se comporta como placenta previa Placenta y cordón. LUCERO. Cafici.
  • 59.
    Placenta y cordón.LUCERO. Cafici.
  • 60.
     Placenta conlocalización excéntrica del cordón  Inserción marginal ◦ Cordón en el borde de la placenta ◦ Placenta en raqueta  Inserción velamentosa ◦ Cordón a cierta distancia del borde placentario ◦ El cordón se inserta en las membranas ◦ Los vasos discurren entre el amnios y el corion ◦ No poseen protección de gelatina de Wharton Placenta y cordón. LUCERO. Cafici.
  • 61.
     1% embarazoúnico, 9% embarazo gemelar  Vasa previa ◦ Vasos de la inserción velamentosa atraviesan las membranas fetales en el segmento inferior, por debajo de la presentación y sobre el OCI  Se asocia ◦ RCIU ◦ Parto prematuro ◦ Anomalías congénitas  Arteria umbilical única  Atresia esofágica  Uropatías obstructivas  Espina bífida  CIV  Trisomía 21 Placenta y cordón. LUCERO. Cafici.
  • 62.
     Inserción delcordón en borde placentario  Inserción en membranas ovulares  Inserción en membranas ovulares y presencia sobre OCI  Utilización de doppler Placenta y cordón. LUCERO. Cafici.
  • 63.
    Placenta y cordón.LUCERO. Cafici.
  • 64.
     Sección perpendicularcon respecto al eje mayor de la placenta, no suele medir >4 cms  Espesor en mm similar a EG  Placenta delgada ◦ RCIU ◦ Infección intraútero ◦ Anomalías cromosómicas ◦ Diabetes pregestacional ◦ Polihidramnios  Placenta Gruesa ◦ Diabetes gestacional ◦ Embarazo molar ◦ Triploidía ◦ Anemia ◦ Hidrops ◦ Hemorragia placentaria Placenta y cordón. LUCERO. Cafici.
  • 65.
     Placenta enqueso gruyere ◦ Triploidías ◦ Múltiples imágenes anecoicas, redondeadas, de paredes bien definidas y contornos regulares. ◦ Trisomía 18 Placenta y cordón. LUCERO. Cafici.
  • 66.
     Corioangioma ohemangioma placentario ◦ Tumor benigno mas frecuente de la placente ◦ Son hemartromas  Malformación del tejido angioblástico ◦ Angiomatoso o adulto: numerosos vasos sanguíneos ◦ Celular o joven: tejido mesenquimatoso con escasos vasos malformados Placenta y cordón. LUCERO. Cafici.
  • 67.
     Masa redondeada  Bien circunscripta  Predominantemente hipoecoica  Vecina a la placa corial  Cercana a la inserción del cordón  Vascularización dentro del tumor ◦ Diferencial  Hematoma subamniótico  Trombohematoma subcorial  Mola parcial  Mioma  Teratoma placentario Placenta y cordón. LUCERO. Cafici.
  • 68.
     Corioangiomas >5cms ◦ Polihidramnios  Trasudado a través de la pared de los vasos ◦ Parto prematuro ◦ Anemia fetal ◦ Hidrops no inmune ◦ ICC ◦ RCIU ◦ Placenta previa ◦ Acretismo Placenta y cordón. LUCERO. Cafici.
  • 69.
    Cordón umbilical Placentay cordón. LUCERO. Cafici.
  • 70.
     Visualizado ◦8s ◦ Longitud  Similar a LEM  Dos arterias  Una vena  Gelatina de Wharton ◦ Une y contiene a los vasos del cordón, los protege. ◦ Compuesta de fibras de colágeno que forman una red de cavidades interconectadas, espacios cavernosos y perivasculares. ◦ Alteraciones  DM, HTA, RCIU Placenta y cordón. LUCERO. Cafici.
  • 71.
     Tamaño ◦Diámetro <2 cms ◦ Disminución del diámetro  Preeclampsia  Muerte fetal  Pequeño para edad gestacional ◦ Aumento del diámetro  Diabetes gestacional Placenta y cordón. LUCERO. Cafici.
  • 72.
    Placenta y cordón.LUCERO. Cafici.
  • 73.
     Anomalías cromosómicasy síndromes genéticos ◦ Arteria umbilical única ◦ Cordón umbilical corto ◦ Ausencia de enrollamiento normal Placenta y cordón. LUCERO. Cafici.
  • 74.
     Arteria umbilicalúnica ◦ 1% ◦ Malformación congénita mas frecuente ◦ 4 a 5 veces mayor en gemelos ◦ Acompaña al gemelo acárdico y la sirenomelia o síndrome de regresión caudal  Diagnóstico ◦ Examen de cordón umbilical ◦ Comprobar la presencia de ambas arterias antes de que abandonen el abdomen fetal Placenta y cordón. LUCERO. Cafici.
  • 75.
     Se asociaa una mayor incidencia de malformaciones congénitas ◦ Defectos del tubo neural ◦ Anomalías cardiovasculares ◦ Atresia esofágica ◦ Atresia anorrectal ◦ Riñones poliquísticos ◦ Defectos de reducción de miembros  RCIU  No constituye un marcador de anomalías cromosómicas Placenta y cordón. LUCERO. Cafici.
  • 76.
    Placenta y cordón.LUCERO. Cafici.
  • 77.
     Quisticas ◦Quistes verdaderos  Pared epitelial y se asocian con otras anomalías  Onfalocele y persistencia del uraco ◦ Seudoquistes  Masas de aspecto quístico que no derivan de estructuras vestigiales  Proceso degenrativo  Edema focal  Asocian  Aneuploidías  Trisomía 18  Riesgo de desarrollo de tromobosis de la vena umbilical Placenta y cordón. LUCERO. Cafici.
  • 78.
     Tumores delcordón ◦ Hemangioma ◦ Teratomas  Circulares de cordón ◦ 25% ◦ USG: corte sagital o axial  Nudos reales ◦ 0.3-2.1% ◦ Factores predisponentes ◦ Imagen en trébol de cuatro hojas Placenta y cordón. LUCERO. Cafici.
  • 79.
     Cordón umbilicalno enrollado ◦ 5% ◦ Asociado a  trisomía 21  Inserción velamentosa  Anomalías cardiovasculares  Coartación de la aorta  Parto prematuro  Muerte fetal ◦ Cordón estructuralmente menos resistente Placenta y cordón. LUCERO. Cafici.
  • 80.
     Placenta Placenta previa  DPPNI  Hematomas  Cordón Placenta y cordón. LUCERO. Cafici.

Notas del editor

  • #14 Hasta las 12 semanas no se ha podido constatar flujo intervelloso, extremos de las arterias espiraladas se encuentran obstruidos por tapones trofoblasticos, y el liquido presente en el espacio intervelloso esta constituido por plasma y secreciones glandulares. Cuando las arterias espiraladas se dilatan, por efecto de la invasion trofoblastica, se transforman en arterias utero placentarias y se remueven los tapones trofoblasticos, se establece la circulacion materno fetal.
  • #15 Placa corial: linea ecogenica que marcfa el borde placentario en contacto con el liquido amniotico Placa basal: interfase ecogenica que separa la placente del complejo retroplacentario
  • #16 Antes de entrar en otros aspectos tanto normales como anormales de la placenta es importante introducir el concepto de tropotrofismo.
  • #18 Descritos por grannum a finales de los 70, cuatro grados según los cambios hallados en la placa corial, sustancia y placa basal. Grado 0: Placa corial: lisa Sustancia placentaria: homogénea Placa basal: sin ecogenicidades subyacente Grado I: Placa corial: ligeras ondulaciones Sustancia placentaria: pequeñas ecogenicidades lineales con eje mayor paralelo a la placa corial Placa basal: sin modificaciones Grado II Placa corial: Ondulación mas marcada. Sustancia placentaria: ecogenicidades mas numerosas en forma de coma, que pueden acercarse a la placa basal sin alcanzarla. Placa basal: ecogenicidades lineales paralelas a la misma, que pueden presentar sombra acústica de acuerdo a su tamaño. Grado III: Placa corial: Marcadamente ondulada Sustancia placentaria: ecogenicidades que parten desde la placa corial y alcanzan la placa basal dividiendo a la placenta. Aparecen áreas anecoicas, más ecogenicidades y de mayor tamaño. Placa basal: ecogenicidades mas grandes y confluir generando sobra acústica.
  • #21 Asociacion entre grado iii placentario e indice lecitina esfingomielina informado en 100%, estudios posteriores no confirman una asociación entre maduración placentaria y pulmonar.
  • #26 Esta clasificación clinica no se puede extrapolar a hallazgos ultrasonograficos porque durante toda la gestacion el oci se observa pequeño y puntiforme de manera que es practicamente imposible diagnosticar placenta previa oclusiva parcial o placenta previa marginal.
  • #79 Cordon largo, feto pequeño, polihidramnios, embarazo gemelar