Mesa redonda: Enfermedad Pulmonar
Crónica: el diagnóstico lo hace el pediatra
Fibrosis Quística
6º Congreso Argentino de Neumonología Pediátrica
Ciudad Autónoma de Buenos Aires
21 al 24 de noviembre de 2012
Dra. Silvina Zaragoza
Centro Respiratorio “Dr. Alberto Alvarez”
Hospital de Niños Ricardo Gutiérrez
silvinazaragoza@gmail.com
Fibrosis Quística
GENÉTICA
Enfermedad autosómica recesiva de expresión geno y fenotípica
variable
Brazo largo del cromosoma 7
MULTISISTÉMICA
Aparato respiratorio
Otros órganos
PROGRESIVA
Enfermedad pulmonar crónica
Principal causa de muerte: complicaciones respiratorias
Transmisión hereditaria: autosómica recesiva
Madre
portadora
Padre
portador
25%
sanos
25%
FQ
50%
portadores
Homocigota: igual mutación. Heterocigota: distinta mutación
Fisiopatología del compromiso pulmonar
Defecto genético→ alteración del CFTR
↓ Secreción de CL- / ↑ Absorción de NA+
Desecación del moco
Obstrucción bronquial
Infección
Inflamación
Bronquiectasias, fibrosis
Insuficiencia respiratoria
Muerte prematura
Fisiopatología en las Glándulas sudoríparas
Cl- CFTR DEP
Cl- CFTR INDEP
Sudor isotónico
Na+
Cl- CFTR DEP
Cl- CFTR INDEP
Sudor 10 - 50 meq/ l
Conducto de
reabsorción
Sudor hipertónico
Na+
Sudor 60 - 120 meq/ l
Normal FQ
Afectación del CFTR según mutación
Terminación precoz
transc. ARNm
ATP ATP
ADP ADP
Golgi
NúcleoRet. End.
IVIV
Falla en su transporte a la Membrana
celular (CFTR degradada en el RE)
Falla la regulación de la
actividad del canal
Propiedades del canal alteradas
CFTR
Reducción en la síntesis de CFTR
VV
IIIIII
IIII
II
Alteración en la conductancia del cloro
Falla en la producción
de CFTR
Actividad CFTR vs. Clínica
Tejido Afectado % Activ. CFTR100
50
10
4.5
1
NINGUNO
VASOS DEFERENTES
GL.SUDORIPARAS
VIA AEREA
PANCREAS
P.B.Davis y Cols. AJRCC 1996;154:1229-56
F508; G551D
R117H,5t
R117H,7t
A455E
Compromiso sistémico
Diagnóstico
Una o más características clínicas (Enfermedad sinopulmonar
crónica, insuficiencia pancreática, mal desarrollo pondoestatural,)
ó
Antecedente de hermano con FQ
ó
Pesquisa neonatal positiva
+
2 Test de sudor positivos
ó
2 Mutaciones de CFTR
ó
2 Test de Diferencia de potencial nasal positivos
Recién nacido
Protocolos de pesquisa
Newborn Screening for Cystic Fibrosis,Evaluation of Benefits and Risks and Recommendations
for State Newborn Screening Programs, 2004.
Programa de Pesquisa Neonatal para FQ del Gobierno de
CABA
Genético Molecular
(31 mutaciones)
Htal. Garrahan
Htal. de Niños R. Gutiérrez
TIR +
>60ng/ml
Se repite TIR antes de los
25 días de vida
Test Sudor
Htal de Niños Ricardo Gutiérrez
TIR +
(>60 ng /mL)
Test del sudor
positivo o
dudoso
2 Test del
sudor
Normal
Alta
Htal. de Niños Elizalde
Incidencia: 1/ 7645
Diagnóstico
Test del sudor
Cuantitativo: Gibson y Cooke
Falsos positivos: lesiones en piel, desnutrición, deshidratación,
evaporación de la muestra, errores técnicos
Falsos negativos: edema, escasa cantidad de sudor, errores técnicos
CL- EN EL SUDOR mEq./l
Normal < 40
Dudoso 40-60
Patológico > 60
El Na+ se calcula 10 mEq./l más alto
Legrys J Pediatr 2007;151:85–9.
Pasos del Test del Sudor
Estimulación del sudor por Iontoforesis con Pilocarpina
Recogida del sudor
Medición del volumen de sudor
Análisis cuantitativo de la concentración de iones
Legrys J Pediatr 2007;151:85–9.
¿Cuándo pedir un test del sudor?
Síntomas respiratorios
• Obstrucción bronquial recurrente o persistente
• Atelectasia recurrente o persistente
• Bronquiectasias
• Tos crónica, bronquitis crónica
• Hemoptisis
• Colonización por Pseudomonas aeruginosa
• Pólipos nasales
• Pansinusitis
• Neumonía recurrente
• Taquipnea y/o tiraje persistente
• Sibilancias con hiperinsuflación torácica
¿Cuándo pedir un test del sudor?
Síntomas gastrointestinales
• Íleo meconial
• Sindrome de oclusión intestinal distal
• Ictericia neonatal prolongada
• Hepatitis crónica, cirrosis biliar
• Litiasis biliar
• Esteatorrea
• Prolapso rectal
• Invaginación recurrente
• Pancreatitis recurrente
• Insuficiencia pancreática
¿Cuándo pedir un test del sudor?
Otros síntomas
• Antecedentes familiares de FQ
• Retraso de crecimiento
• Hipocratismo digital
• Edema e hipoproteinemia
• Deshidratación aguda hipotónica
• Alcalosis metabólica hipoclorémica
• Sindrome de depleción salina
• Sabor salado. Cristales de sal
• Acrodermatitis enteropática
• Azoospermia y ausencia del conducto deferente
• Hipoprotrombinemia
Diagnóstico molecular
Hay descriptas más de 1700 mutaciones
La detección de los 2 alelos mutados confirma el diagnóstico
Hay una fuerte correlación fenotipo-genotipo para la insuficiencia
pancreática
pF508del presente en el 70% de los alelos FQ analizados a nivel
mundial
Variaciones étnicas y geográficas
Diagnóstico molecular
Confirmación del diagnóstico
Detección de portadores asintomáticos
Asesoramiento genético
Permite predecir ciertas características fenotípicas
Permite diseñar futuras estrategias terapéuticas
Diferencia de Potencial Nasal
Anormal funcionamiento del CFTR: menos CL- en el exterior de la
célula y más reabsorción de Na+ ↓ anormal dif. de potencial entre
el int y el ext de las células.
Valores patológicos: - 50 mv o más negativo.
Indicaciones:
- Clínica compatible , test del sudor dudoso y genético negativo o con
una sola mutación.
Hofmann, Am J Respir Crit Care Med 1997; 155: 1908-1913
EVOLUCIÓN CLÍNICA
Formas de presentación clínica
Patología pulmonar 46.5%
Patología gastrointestinal 23.5%
Combinación de ambas 25 %
Íleo meconial 17 %
Pesquisa neonatal 7.5 %
Prolapso rectal 2.5 %
Antecedentes familiares 14 %
CLÍNICA
RECIÉN NACIDO
- Asintomático
- Taquipnea
- Tos
- Poca ganancia de peso
- Íleo meconial
- Ictericia prolongada
Arch Argent Pediatr 2008; (Supl) 106(5):01- 52.
MENORES DE 2 AÑOS
- Bronquitis crónica
- Obstrucción bronquial recurrente o persistente
- Atelectasias recurrentes o persistentes
- Escaso desarrollo ponderal
- Esteatorrea
- Edema / hipoproteinemia
- Síndrome de pérdida de sal
- Prolapso rectal
CLÍNICA
Arch Argent Pediatr 2008; (Supl) 106(5):01- 52.
ESCOLARES
- Infecciones respiratorias recurrentes
- Bronquiectasias
- Escaso desarrollo ponderal
- Malabsorción
- Tos crónica
- Cultivo de esputo con Staphylococcus o Pseudomonas
- Pólipos nasales
CLÍNICA
Arch Argent Pediatr 2008; (Supl) 106(5):01- 52.
CLÍNICA
ADOLESCENTES
- Reagudizaciones respiratorias frecuentes
- Compromiso de V.A.S. (rinosinusopatía y pólipos)
- Bronquiectasias
- Atelectasias
- Hemoptisis
- Neumotórax
- A.B.P.A.
- Infección por micobacterias
- Azoospermia
- Cirrosis biliar
- DRFQ
Arch Argent Pediatr 2008; (Supl) 106(5):01- 52.
Características Clínicas o Fenotipos
Fenotipo Severo
(Fibrosis Quística
Clásica)
Fenotipo Moderado
(Fibrosis Quística no
clásica)
Edad de diagnóstico Temprana
(1 a 2 años)
Tardía
(> de 10 años)
Función Pancreática IP SP
Estado Nutricional Pobre Bueno
Íleo Meconial Alta Incidencia (15%) No
Cl en sudor (> 60 mEq./l) 40-60 mEq./l
Fertilidad en hombres CBAVD CBAVD
Función pulmonar Variable Variable
Mutaciones asociadas 2 alelos severos 1 alelo moderado
EXAMEN FÍSICO
- Aumento del diámetro antero posterior del tórax
- Tiraje, uso de músculos accesorios
- Aleteo nasal
- Hipocratismo digital
- Cianosis
- Signos de malnutrición
AUMENTO DEL D.A.P. DEL TORAX
HIPOCRATISMO DIGITAL
EVOLUCIÓN FUNCIONAL
EVOLUCIÓN A LARGO PLAZO
Nacimiento Tiempo
Reagudizaciones
Reagudizaciones
El porcentaje de caída del FEV1 predice mortalidad
100
80
60
40
20
Age (years)
5 10 15 20 25 30 35 400
MeanFEV1%pred
Una caída lenta del FEV1 mejoraría la sobrevida
Konstan MW et al. J Cystic Fibrosis 2009; 8 [suppl 1] S15-S19.
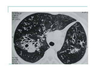
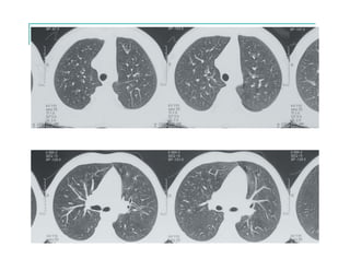
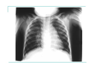
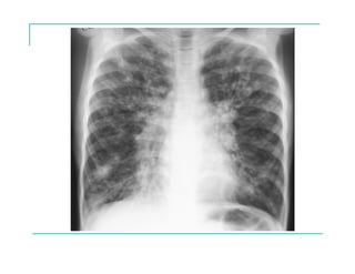
EVOLUCIÓN RADIOLÓGICA
ASPECTOS INFECTOLÓGICOS
Gérmenes más frecuentes
S.aureus: primeros años de vida
H.influenzae: puede producir colonización crónica
P.aeruginosa: infección pulmonar crónica más severa
que se asocia a un continuo y progresivo deterioro de la
función pulmonar.
Bacteriología
Adapted from CFF. Patient Registry Annual Report 2009
Sobrevida
Adapted from CFF. Patient Registry Annual Report 2010
Conclusiones
Conocer y pensar en la enfermedad
Confirmar resultados de pesquisa neonatal
Diagnóstico precoz.
Gold Standard: Test del sudor
Derivación temprana a Centros de Referencia
Muchas Gracias!!!
Dr. Alejandro Teper
Dra Silvina Lubovich
Dra Silvina Zaragoza
Dra Viviana Rodriguez
Dr. Sergio Scigliano
Dra Miriam Tonietti
Dra Gabriela Manonelles
Bioquímica Laura Galanternik
Lic. Psicología Daniela Kaplan
Licenciada Kga Patricia Ratto
Enfermera Lic. Raquel Cenzano
“Curar a veces, aliviar a menudo, acompañar siempre”

fibrosis quistica mesa redonda

  • 1.
    Mesa redonda: EnfermedadPulmonar Crónica: el diagnóstico lo hace el pediatra Fibrosis Quística 6º Congreso Argentino de Neumonología Pediátrica Ciudad Autónoma de Buenos Aires 21 al 24 de noviembre de 2012 Dra. Silvina Zaragoza Centro Respiratorio “Dr. Alberto Alvarez” Hospital de Niños Ricardo Gutiérrez silvinazaragoza@gmail.com
  • 2.
    Fibrosis Quística GENÉTICA Enfermedad autosómicarecesiva de expresión geno y fenotípica variable Brazo largo del cromosoma 7 MULTISISTÉMICA Aparato respiratorio Otros órganos PROGRESIVA Enfermedad pulmonar crónica Principal causa de muerte: complicaciones respiratorias
  • 3.
    Transmisión hereditaria: autosómicarecesiva Madre portadora Padre portador 25% sanos 25% FQ 50% portadores Homocigota: igual mutación. Heterocigota: distinta mutación
  • 4.
    Fisiopatología del compromisopulmonar Defecto genético→ alteración del CFTR ↓ Secreción de CL- / ↑ Absorción de NA+ Desecación del moco Obstrucción bronquial Infección Inflamación Bronquiectasias, fibrosis Insuficiencia respiratoria Muerte prematura
  • 5.
    Fisiopatología en lasGlándulas sudoríparas Cl- CFTR DEP Cl- CFTR INDEP Sudor isotónico Na+ Cl- CFTR DEP Cl- CFTR INDEP Sudor 10 - 50 meq/ l Conducto de reabsorción Sudor hipertónico Na+ Sudor 60 - 120 meq/ l Normal FQ
  • 6.
    Afectación del CFTRsegún mutación Terminación precoz transc. ARNm ATP ATP ADP ADP Golgi NúcleoRet. End. IVIV Falla en su transporte a la Membrana celular (CFTR degradada en el RE) Falla la regulación de la actividad del canal Propiedades del canal alteradas CFTR Reducción en la síntesis de CFTR VV IIIIII IIII II Alteración en la conductancia del cloro Falla en la producción de CFTR
  • 7.
    Actividad CFTR vs.Clínica Tejido Afectado % Activ. CFTR100 50 10 4.5 1 NINGUNO VASOS DEFERENTES GL.SUDORIPARAS VIA AEREA PANCREAS P.B.Davis y Cols. AJRCC 1996;154:1229-56 F508; G551D R117H,5t R117H,7t A455E
  • 8.
  • 9.
    Diagnóstico Una o máscaracterísticas clínicas (Enfermedad sinopulmonar crónica, insuficiencia pancreática, mal desarrollo pondoestatural,) ó Antecedente de hermano con FQ ó Pesquisa neonatal positiva + 2 Test de sudor positivos ó 2 Mutaciones de CFTR ó 2 Test de Diferencia de potencial nasal positivos
  • 10.
    Recién nacido Protocolos depesquisa Newborn Screening for Cystic Fibrosis,Evaluation of Benefits and Risks and Recommendations for State Newborn Screening Programs, 2004.
  • 11.
    Programa de PesquisaNeonatal para FQ del Gobierno de CABA Genético Molecular (31 mutaciones) Htal. Garrahan Htal. de Niños R. Gutiérrez TIR + >60ng/ml Se repite TIR antes de los 25 días de vida Test Sudor Htal de Niños Ricardo Gutiérrez TIR + (>60 ng /mL) Test del sudor positivo o dudoso 2 Test del sudor Normal Alta Htal. de Niños Elizalde Incidencia: 1/ 7645
  • 12.
    Diagnóstico Test del sudor Cuantitativo:Gibson y Cooke Falsos positivos: lesiones en piel, desnutrición, deshidratación, evaporación de la muestra, errores técnicos Falsos negativos: edema, escasa cantidad de sudor, errores técnicos CL- EN EL SUDOR mEq./l Normal < 40 Dudoso 40-60 Patológico > 60 El Na+ se calcula 10 mEq./l más alto Legrys J Pediatr 2007;151:85–9.
  • 13.
    Pasos del Testdel Sudor Estimulación del sudor por Iontoforesis con Pilocarpina Recogida del sudor Medición del volumen de sudor Análisis cuantitativo de la concentración de iones Legrys J Pediatr 2007;151:85–9.
  • 14.
    ¿Cuándo pedir untest del sudor? Síntomas respiratorios • Obstrucción bronquial recurrente o persistente • Atelectasia recurrente o persistente • Bronquiectasias • Tos crónica, bronquitis crónica • Hemoptisis • Colonización por Pseudomonas aeruginosa • Pólipos nasales • Pansinusitis • Neumonía recurrente • Taquipnea y/o tiraje persistente • Sibilancias con hiperinsuflación torácica
  • 15.
    ¿Cuándo pedir untest del sudor? Síntomas gastrointestinales • Íleo meconial • Sindrome de oclusión intestinal distal • Ictericia neonatal prolongada • Hepatitis crónica, cirrosis biliar • Litiasis biliar • Esteatorrea • Prolapso rectal • Invaginación recurrente • Pancreatitis recurrente • Insuficiencia pancreática
  • 16.
    ¿Cuándo pedir untest del sudor? Otros síntomas • Antecedentes familiares de FQ • Retraso de crecimiento • Hipocratismo digital • Edema e hipoproteinemia • Deshidratación aguda hipotónica • Alcalosis metabólica hipoclorémica • Sindrome de depleción salina • Sabor salado. Cristales de sal • Acrodermatitis enteropática • Azoospermia y ausencia del conducto deferente • Hipoprotrombinemia
  • 17.
    Diagnóstico molecular Hay descriptasmás de 1700 mutaciones La detección de los 2 alelos mutados confirma el diagnóstico Hay una fuerte correlación fenotipo-genotipo para la insuficiencia pancreática pF508del presente en el 70% de los alelos FQ analizados a nivel mundial Variaciones étnicas y geográficas
  • 18.
    Diagnóstico molecular Confirmación deldiagnóstico Detección de portadores asintomáticos Asesoramiento genético Permite predecir ciertas características fenotípicas Permite diseñar futuras estrategias terapéuticas
  • 19.
    Diferencia de PotencialNasal Anormal funcionamiento del CFTR: menos CL- en el exterior de la célula y más reabsorción de Na+ ↓ anormal dif. de potencial entre el int y el ext de las células. Valores patológicos: - 50 mv o más negativo. Indicaciones: - Clínica compatible , test del sudor dudoso y genético negativo o con una sola mutación. Hofmann, Am J Respir Crit Care Med 1997; 155: 1908-1913
  • 20.
  • 21.
    Formas de presentaciónclínica Patología pulmonar 46.5% Patología gastrointestinal 23.5% Combinación de ambas 25 % Íleo meconial 17 % Pesquisa neonatal 7.5 % Prolapso rectal 2.5 % Antecedentes familiares 14 %
  • 22.
    CLÍNICA RECIÉN NACIDO - Asintomático -Taquipnea - Tos - Poca ganancia de peso - Íleo meconial - Ictericia prolongada Arch Argent Pediatr 2008; (Supl) 106(5):01- 52.
  • 23.
    MENORES DE 2AÑOS - Bronquitis crónica - Obstrucción bronquial recurrente o persistente - Atelectasias recurrentes o persistentes - Escaso desarrollo ponderal - Esteatorrea - Edema / hipoproteinemia - Síndrome de pérdida de sal - Prolapso rectal CLÍNICA Arch Argent Pediatr 2008; (Supl) 106(5):01- 52.
  • 24.
    ESCOLARES - Infecciones respiratoriasrecurrentes - Bronquiectasias - Escaso desarrollo ponderal - Malabsorción - Tos crónica - Cultivo de esputo con Staphylococcus o Pseudomonas - Pólipos nasales CLÍNICA Arch Argent Pediatr 2008; (Supl) 106(5):01- 52.
  • 25.
    CLÍNICA ADOLESCENTES - Reagudizaciones respiratoriasfrecuentes - Compromiso de V.A.S. (rinosinusopatía y pólipos) - Bronquiectasias - Atelectasias - Hemoptisis - Neumotórax - A.B.P.A. - Infección por micobacterias - Azoospermia - Cirrosis biliar - DRFQ Arch Argent Pediatr 2008; (Supl) 106(5):01- 52.
  • 26.
    Características Clínicas oFenotipos Fenotipo Severo (Fibrosis Quística Clásica) Fenotipo Moderado (Fibrosis Quística no clásica) Edad de diagnóstico Temprana (1 a 2 años) Tardía (> de 10 años) Función Pancreática IP SP Estado Nutricional Pobre Bueno Íleo Meconial Alta Incidencia (15%) No Cl en sudor (> 60 mEq./l) 40-60 mEq./l Fertilidad en hombres CBAVD CBAVD Función pulmonar Variable Variable Mutaciones asociadas 2 alelos severos 1 alelo moderado
  • 27.
    EXAMEN FÍSICO - Aumentodel diámetro antero posterior del tórax - Tiraje, uso de músculos accesorios - Aleteo nasal - Hipocratismo digital - Cianosis - Signos de malnutrición
  • 28.
  • 29.
  • 30.
  • 31.
    EVOLUCIÓN A LARGOPLAZO Nacimiento Tiempo Reagudizaciones Reagudizaciones
  • 32.
    El porcentaje decaída del FEV1 predice mortalidad 100 80 60 40 20 Age (years) 5 10 15 20 25 30 35 400 MeanFEV1%pred Una caída lenta del FEV1 mejoraría la sobrevida Konstan MW et al. J Cystic Fibrosis 2009; 8 [suppl 1] S15-S19.
  • 33.
  • 42.
  • 43.
    Gérmenes más frecuentes S.aureus:primeros años de vida H.influenzae: puede producir colonización crónica P.aeruginosa: infección pulmonar crónica más severa que se asocia a un continuo y progresivo deterioro de la función pulmonar.
  • 44.
    Bacteriología Adapted from CFF.Patient Registry Annual Report 2009
  • 45.
    Sobrevida Adapted from CFF.Patient Registry Annual Report 2010
  • 46.
    Conclusiones Conocer y pensaren la enfermedad Confirmar resultados de pesquisa neonatal Diagnóstico precoz. Gold Standard: Test del sudor Derivación temprana a Centros de Referencia
  • 47.
    Muchas Gracias!!! Dr. AlejandroTeper Dra Silvina Lubovich Dra Silvina Zaragoza Dra Viviana Rodriguez Dr. Sergio Scigliano Dra Miriam Tonietti Dra Gabriela Manonelles Bioquímica Laura Galanternik Lic. Psicología Daniela Kaplan Licenciada Kga Patricia Ratto Enfermera Lic. Raquel Cenzano “Curar a veces, aliviar a menudo, acompañar siempre”